The "1-2-3 sign" or "Pawnbroker's sign" is typically seen in which of the following conditions?
Pulmonary mycetomas on radiographs most commonly show as?
The 'thumb print' sign is seen in which of the following conditions?
Which of the following causes rib notching on X-ray?
Tree bark-like calcification on a chest X-ray is characteristically seen in which of the following conditions?
What imaging technique is best for demonstrating a small pneumothorax?
Which of the following features suggests a benign nature in the evaluation of a solitary pulmonary nodule on CT scan?
Sequestration lung is best diagnosed by?
The "finger in glove" sign is seen in which of the following conditions?
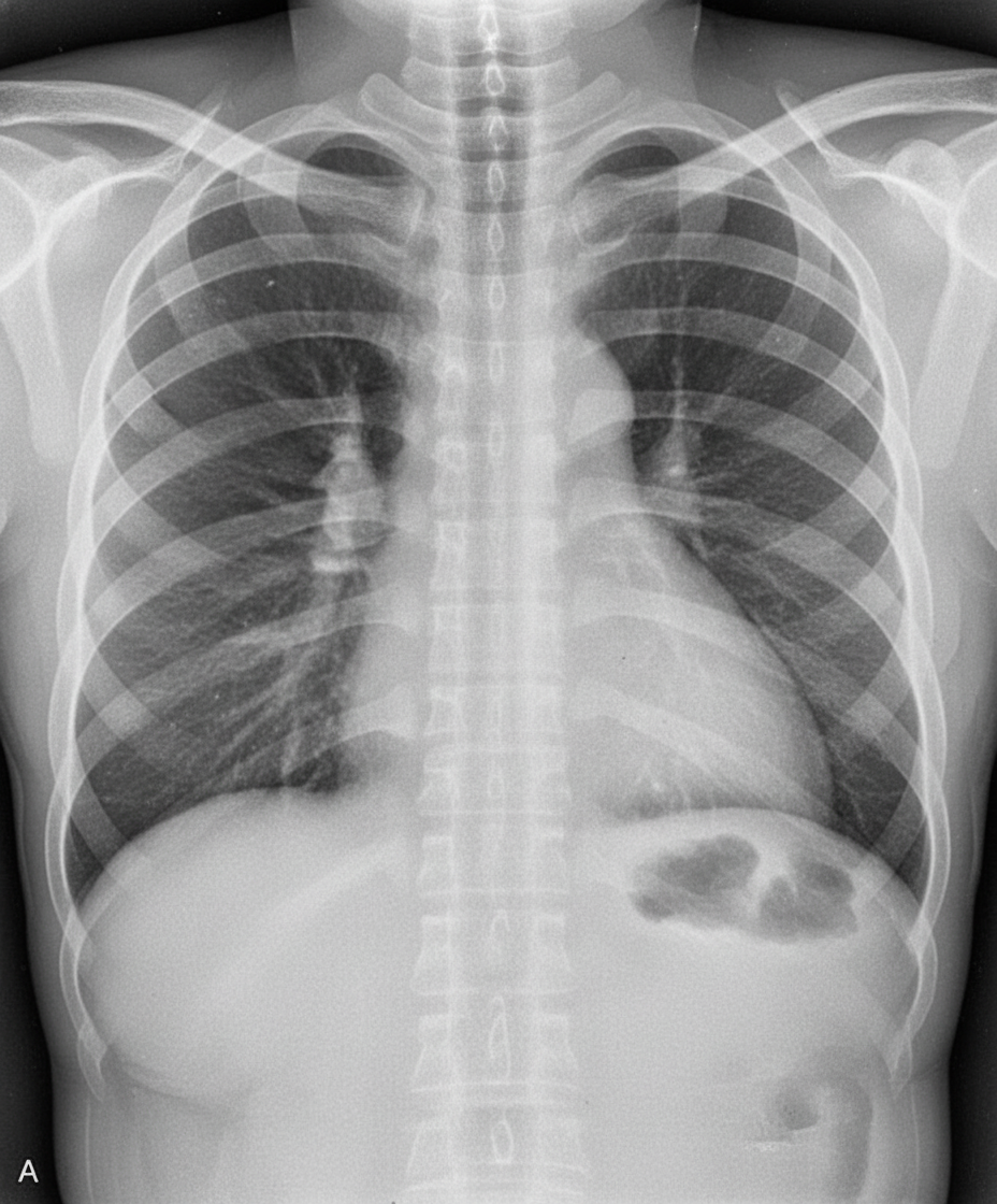
The given x-ray is suggestive of which of the following conditions?

Explanation: The **1-2-3 sign**, also known as the **Garland triad** or **Pawnbroker’s sign**, is a classic radiological finding in **Sarcoidosis**. It refers to a specific pattern of symmetrical lymphadenopathy involving three distinct nodal groups: 1. **Right paratracheal nodes** 2. **Right hilar nodes** 3. **Left hilar nodes** The term "Pawnbroker’s sign" originates from the historical symbol of a pawnbroker’s shop, which features three hanging golden balls. In Sarcoidosis, these nodes are typically discrete, non-matted, and may later develop "eggshell calcification." **Analysis of Incorrect Options:** * **Kaposi Sarcoma:** Typically presents with a "flame-shaped" or "spiculated" peribronchovascular interstitial pattern and hemorrhagic pleural effusions, rather than isolated symmetrical triad lymphadenopathy. * **Castleman’s Disease:** Characterized by massive, localized lymphadenopathy (often a single large mass) that shows intense contrast enhancement on CT. It is usually unicentric. * **Wegener’s Granulomatosis (GPA):** Characterized by multiple pulmonary nodules that frequently undergo cavitation. While lymphadenopathy can occur, it is not the primary or diagnostic feature. **High-Yield Clinical Pearls for NEET-PG:** * **Löfgren Syndrome:** A clinical triad of Sarcoidosis consisting of Erythema nodosum, bilateral hilar lymphadenopathy, and arthralgia (excellent prognosis). * **Eggshell Calcification:** While classic for Silicosis, it is also frequently seen in the later stages of Sarcoidosis. * **Panda Sign:** Seen on Gallium-67 scan due to uptake in lacrimal and parotid glands. * **Staging:** Stage I Sarcoidosis is defined by bilateral hilar lymphadenopathy alone on a chest X-ray.
Explanation: **Explanation:** A **pulmonary mycetoma** (fungal ball), most commonly caused by *Aspergillus fumigatus*, occurs when fungal hyphae colonize a pre-existing lung cavity (e.g., from old Tuberculosis, sarcoidosis, or bronchiectasis). **1. Why "Lucent Crescent" is correct:** The characteristic radiographic finding is the **Monod Sign**. As the fungal ball grows within a cavity, air is trapped between the mass and the cavity wall, creating a crescent-shaped radiolucency. This is known as the **Air-Crescent sign** or **Lucent Crescent**. A key clinical feature is that the fungal ball is mobile; its position changes when the patient moves from a supine to a prone position during imaging. **2. Why other options are incorrect:** * **Air-fluid level:** This is typical of a lung abscess or an infected cyst, where liquid (pus) and gas coexist. Mycetomas are solid masses of hyphae, not fluid. * **Eccentric nodule:** While a mycetoma is a nodular mass, it is usually central within the cavity. Eccentric nodules are more characteristic of certain malignancies or granulomas. * **Rim calcification:** This is often seen in "eggshell calcification" (silicosis/sarcoidosis) or hydatid cysts, but it is not a primary feature of a mycetoma. **3. NEET-PG High-Yield Pearls:** * **Monod Sign:** Air surrounding a mycetoma in a pre-existing cavity. * **Air-Crescent Sign:** Also seen in **Angioinvasive Aspergillosis**, but there it signifies the *recovery* phase (necrosed lung tissue separating from healthy parenchyma). * **Clinical Presentation:** The most common symptom is **hemoptysis**, which can sometimes be life-threatening. * **Treatment:** Surgical resection is the definitive treatment for symptomatic cases; systemic antifungals have poor penetration into the cavity.
Explanation: **Explanation:** The **'Thumb print' sign** is a classic radiologic finding seen on a **lateral neck X-ray** in patients with **Acute Epiglottitis**. It represents the severe edema and enlargement of the epiglottis, which normally appears thin and leaf-like but becomes rounded and thickened, resembling the distal tip of a thumb. **Why Epiglottitis is Correct:** Acute Epiglottitis (most commonly caused by *Haemophilus influenzae* type b) is a medical emergency. The inflammation causes the epiglottis to swell and protrude into the airway. On a lateral soft tissue neck X-ray, this thickened epiglottis narrows the valleculla and appears as a blunt, thumb-like projection. **Why Other Options are Incorrect:** * **Candida & Aspergillus:** These are fungal infections. While they can cause laryngitis or tracheobronchitis in immunocompromised patients, they do not typically present with the localized, massive epiglottic swelling required to produce the thumb print sign. * **Rhinosporidium:** Caused by *Rhinosporidium seeberi*, this typically presents as friable, strawberry-like vascular polyps in the nasal cavity or nasopharynx, not as acute epiglottic edema. **High-Yield Clinical Pearls for NEET-PG:** * **Clinical Triad:** Dysphagia, Drooling, and Distress (the 3 D's). * **Positioning:** Patients often assume the **'Tripod position'** to maintain airway patency. * **Management:** Never examine the throat with a tongue depressor if epiglottitis is suspected, as it can trigger fatal laryngospasm. Secure the airway first. * **Differential Diagnosis:** Contrast this with **Croup (Laryngotracheobronchitis)**, which shows the **'Steeple sign'** (subglottic narrowing) on an Anteroposterior (AP) view.
Explanation: **Explanation:** Rib notching is a classic radiological sign characterized by erosions on the inferior or superior margins of the ribs. It occurs due to the **pressure erosion** caused by dilated, tortuous intercostal vessels (arteries or veins) or nerves. * **Coarctation of the Aorta (Option A):** This is the most common cause of **inferior rib notching** (Roesler’s sign). In post-ductal coarctation, blood reaches the lower body via collateral circulation through the internal mammary and dilated **intercostal arteries**. These enlarged arteries erode the inferior surface of the 3rd to 8th ribs. (Note: 1st and 2nd ribs are spared as they are supplied by the costocervical trunk). * **SVC Occlusion (Option B):** Chronic Superior Vena Cava (SVC) obstruction leads to the development of venous collaterals. Dilated **intercostal veins** act as a bypass to return blood to the heart, causing pressure erosion and rib notching. * **Modified Blalock-Taussig (BT) Shunt (Option C):** This surgical procedure involves a graft between the subclavian artery and the pulmonary artery. This alters the hemodynamics and flow through the intercostal vessels on the side of the shunt, leading to localized rib notching. **High-Yield Clinical Pearls for NEET-PG:** * **Inferior Rib Notching:** Mnemonic **"COARC"** (Coarctation, Obstruction of SVC, Arteriovenous malformations, Reduced pulmonary flow like TOF, Coarctation of aorta). * **Superior Rib Notching:** Less common; associated with connective tissue diseases (SLE, RA), Hyperparathyroidism, and Polio. * **Unilateral Notching:** Seen in Blalock-Taussig shunts or if the coarctation is proximal to the left subclavian artery. * **"3" Sign:** Seen on X-ray in Coarctation (pre-stenotic dilation, indentation, and post-stenotic dilation).
Explanation: ### Explanation **1. Why Syphilitic Aortitis is Correct:** Syphilitic aortitis (a manifestation of tertiary syphilis) involves the **vasa vasorum** of the ascending aorta. The inflammatory process leads to endarteritis obliterans, causing ischemia of the aortic media. This results in the destruction of elastic tissue and subsequent scarring. On imaging, this manifests as **linear, "tree bark-like" calcification** of the **ascending aorta**. While atherosclerosis typically affects the aortic arch and descending aorta, syphilis has a predilection for the ascending segment. **2. Why Other Options are Incorrect:** * **Takayasu Arteritis:** Known as "pulseless disease," it is a large-vessel vasculitis. While it causes aortic wall thickening and narrowing (stenosis), it typically presents with **smooth, long-segment narrowing** or aneurysms rather than the characteristic tree-bark calcification. * **Neurofibromatosis (Type 1):** In the chest, NF-1 is associated with posterior mediastinal masses (neurofibromas), rib "notching" (due to intercostal nerve tumors), and "twisted ribbon" ribs, but not specific aortic calcification patterns. * **Atherosclerosis:** This is the most common cause of aortic calcification. However, it typically involves **patchy, irregular plaques** and is most prominent in the **aortic arch and descending/abdominal aorta**, sparing the ascending aorta (unlike syphilis). **3. High-Yield Clinical Pearls for NEET-PG:** * **Location Key:** Calcification of the **ascending aorta** is highly suggestive of Syphilitic Aortitis until proven otherwise. * **Complications:** It can lead to aortic regurgitation (due to root dilatation) and coronary ostial stenosis. * **Classic Triad:** Aneurysm of the ascending aorta, aortic insufficiency, and coronary ostial stenosis. * **Imaging Sign:** The "Tree-barking" appearance on gross pathology refers to the intimal wrinkling caused by medial scarring, which correlates to the linear calcification seen on X-ray.
Explanation: **Explanation:** The diagnosis of a small pneumothorax relies on visualizing the visceral pleural line. The correct answer is **Chest X-ray in inspiration and expiration** because of the physiological changes that occur during the respiratory cycle. During **expiration**, the lung volume decreases while the volume of the intrapleural air remains constant. This makes the pneumothorax appear relatively larger and more radiopaque compared to the deflated lung, enhancing the visibility of the thin visceral pleural line. **Analysis of Options:** * **A. Supine chest X-ray:** This is the least sensitive method. In a supine patient, air collects anteromedially and at the lung bases. This may only manifest as the **"Deep Sulcus Sign"** (a deep, lucent costophrenic angle), making small pneumothoraces easy to miss. * **C. Lateral decubitus view:** While sensitive (air rises to the highest point, i.e., the lateral chest wall), it is typically reserved for patients who cannot stand or when pleural effusion is suspected. It is not the standard "best" technique compared to expiratory films for routine screening. * **D. Prone oblique view:** This is not a standard or recommended view for detecting pneumothorax. **Clinical Pearls for NEET-PG:** * **Gold Standard:** Non-contrast CT (NCCT) Chest is the most sensitive imaging modality overall. * **Erect PA View:** The standard initial film; air typically collects at the **apex**. * **Tension Pneumothorax:** A clinical diagnosis. Radiographic signs include mediastinal shift to the contralateral side and flattening/inversion of the diaphragm. * **Deep Sulcus Sign:** A high-yield radiological sign of pneumothorax in **supine** trauma patients.
Explanation: ### Explanation A **Solitary Pulmonary Nodule (SPN)** is defined as a single, well-circumscribed opacity ≤3 cm in diameter. Determining whether a nodule is benign or malignant is a critical skill in radiology. **Why Option C is Correct:** The presence of **fat density** (typically -40 to -120 Hounsfield Units) within a pulmonary nodule is a highly specific indicator of a **Hamartoma**, which is the most common benign lung tumor. Another benign lesion containing fat is a lipoma. Identifying fat or characteristic "popcorn calcification" on a CT scan virtually confirms a benign etiology. **Analysis of Incorrect Options:** * **A. Air bronchogram:** While sometimes seen in benign conditions like pneumonia, in the context of a chronic nodule, an air bronchogram is more frequently associated with **malignancy**, specifically Adenocarcinoma (formerly BAC) or lymphoma. * **B. Amorphous calcification:** Calcification patterns matter. **Amorphous, eccentric, or stippled** calcifications are suspicious for malignancy. Benign calcification patterns include diffuse, central, laminated (seen in granulomas), or popcorn (seen in hamartomas). * **D. Spiculated outline:** Also known as the "corona radiata" sign, a spiculated or jagged border is highly suggestive of **malignancy** due to local infiltration of the lung parenchyma. **High-Yield Clinical Pearls for NEET-PG:** * **Size:** Nodules >2 cm have an 80% risk of malignancy. * **Stability:** A nodule that remains unchanged in size for **2 years** is generally considered benign. * **Doubling Time:** Malignant nodules typically have a volume doubling time between **20 and 400 days**. * **Contrast Enhancement:** Enhancement of **<15 HU** on dynamic CT suggests a benign lesion.
Explanation: **Explanation:** **Pulmonary sequestration** is a rare congenital anomaly characterized by a non-functioning mass of lung tissue that lacks a normal connection to the tracheobronchial tree and, crucially, receives its **blood supply from an anomalous systemic artery** (usually from the abdominal or thoracic aorta) rather than the pulmonary arteries. 1. **Why Angiography is the Correct Answer:** The definitive diagnosis of sequestration depends entirely on demonstrating this **anomalous systemic arterial supply**. Historically and classically, **Angiography** is considered the "gold standard" because it precisely maps the aberrant vessel's origin and venous drainage, which is vital for surgical planning to prevent accidental life-threatening hemorrhage during resection. 2. **Why Other Options are Incorrect:** * **CT Scan:** While Contrast-Enhanced CT (CECT) or CT Angiography (CTA) is now the *first-line* non-invasive investigation of choice in modern practice, traditional "CT Scan" without vascular reconstruction is less definitive than formal angiography. * **MRI:** MR Angiography is useful and avoids radiation, but it is generally not the primary diagnostic modality compared to CT or formal angiography. * **Barium Swallow:** This is used to rule out associated gastrointestinal communications (bronchopulmonary foregut malformations), but it cannot diagnose the vascular anomaly of sequestration. **High-Yield Clinical Pearls for NEET-PG:** * **Intralobar Sequestration (75%):** Located within the normal visceral pleura; usually presents in older children/adults with recurrent pneumonia; venous drainage is typically to the **pulmonary veins**. * **Extralobar Sequestration (25%):** Has its own pleural investment; usually presents in neonates with respiratory distress; often associated with other anomalies (e.g., diaphragmatic hernia); venous drainage is typically to the **systemic veins** (azygos/hemi-azygos). * **Most common location:** Posterior basal segment of the Left Lower Lobe.
Explanation: ### Explanation **Correct Answer: B. Bronchocele** The **"finger-in-glove" sign** is a classic radiological finding representing a **bronchocele** (also known as mucoid impaction). It occurs when a large bronchus becomes dilated and filled with thick, inspissated mucus. On a chest X-ray or CT scan, these tubular, branching opacities radiate from the hilum toward the periphery, resembling the fingers of a surgical glove filled with fluid. The underlying mechanism involves the obstruction of a proximal bronchus while the distal airways remain patent, allowing mucus to accumulate. The two most common clinical associations are: 1. **Allergic Bronchopulmonary Aspergillosis (ABPA):** The most frequent cause, often seen in asthmatics. 2. **Congenital Bronchial Atresia:** Usually involves the left upper lobe. **Why other options are incorrect:** * **A. Chronic bronchitis:** Characterized by "dirty lungs" or thickened bronchial walls (tram-track shadows), but does not typically present with large, focal mucoid impactions. * **C. Bronchogenic carcinoma:** While a tumor can cause distal mucoid impaction by obstructing a bronchus, the "finger-in-glove" sign specifically describes the *bronchocele* itself, not the malignancy. * **D. Pleuritis:** This involves inflammation of the pleural layers, typically presenting as pleural effusion or thickening, not intrapulmonary tubular opacities. **High-Yield Clinical Pearls for NEET-PG:** * **ABPA Triad:** Asthma, central bronchiectasis, and "finger-in-glove" sign (mucoid impaction). * **High-attenuation mucus (HAM):** On CT, if the "fingers" are hyperdense, it is highly suggestive of ABPA due to the presence of calcium and manganese salts in the fungal debris. * **V- or Y-shaped opacities:** These are common descriptors for the branching pattern of a bronchocele.
Explanation: ***Coarctation of the aorta*** - Classic chest X-ray findings include the **figure-3 sign** (indentation of the aorta at the coarctation site) and **rib notching** due to enlarged intercostal arteries. - Shows **left heart enlargement** and **post-stenotic dilatation** of the descending aorta, creating the characteristic aortic contour. *Transposition of the great arteries (TGA)* - Chest X-ray typically shows the **egg-on-string** appearance with a narrow superior mediastinum and oval cardiac silhouette. - Often presents with **cyanosis** in neonates and lacks the distinctive aortic contour changes seen in coarctation. *Total anomalous pulmonary venous connection (TAPVC)* - Characteristic **snowman sign** or **figure-8 sign** due to enlarged superior vena cava and vertical vein creating a distinctive cardiac silhouette. - Shows **pulmonary venous congestion** and **right heart enlargement**, not the aortic arch abnormalities of coarctation. *Patent ductus arteriosus (PDA)* - Chest X-ray shows **cardiomegaly** with **pulmonary plethora** and prominent **pulmonary arteries** due to left-to-right shunting. - Lacks the specific **aortic arch deformity** and **rib notching** that are pathognomonic for coarctation of the aorta.
Normal Chest Radiographic Anatomy
Practice Questions
Radiographic Signs in Chest Imaging
Practice Questions
Pulmonary Infections
Practice Questions
Chronic Obstructive Pulmonary Disease
Practice Questions
Interstitial Lung Diseases
Practice Questions
Pulmonary Neoplasms
Practice Questions
Pleural Diseases
Practice Questions
Mediastinal Pathology
Practice Questions
Congenital and Developmental Chest Anomalies
Practice Questions
Pulmonary Vascular Diseases
Practice Questions
Chest Trauma Imaging
Practice Questions
Post-Surgical Chest Imaging
Practice Questions
Get full access to all questions, explanations, and performance tracking.
Start For Free