Ground glass appearance is not typically seen in which of the following conditions?
What is the cause of unilateral hypertranslucent hemithorax?
Which of the following findings is NOT seen on HRCT in usual interstitial pneumonia (UIP)?
Which of the following conditions is associated with the presence of Kerley B lines on chest X-ray?
The inverted mustache sign is seen in which of the following conditions?
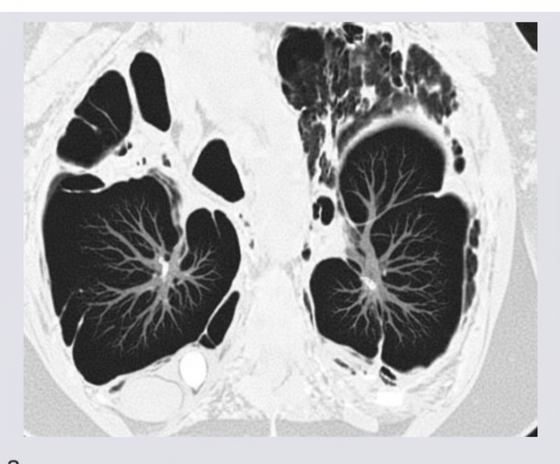
The following CT chest shows the presence of?

What is the investigation of choice (IOC) for Bronchiectasis?
All of the following are features of chest radiography in Tetralogy of Fallot except?
Eggshell calcification in hilar lymph nodes is typically seen in which of the following conditions?
What condition is characterized by a 'dirty chest' appearance on a chest X-ray?
Explanation: **Explanation:** Ground-glass opacity (GGO) in chest radiology refers to a hazy increase in lung opacity that does not obscure the underlying bronchial structures or pulmonary vessels. It typically represents partial filling of alveoli or thickening of the interstitium. **Why Left to Right Shunts is the correct answer:** In **Left to Right shunts** (like ASD, VSD, or PDA), there is increased pulmonary blood flow (**active hyperemia**). This manifests radiologically as prominent, well-defined pulmonary vessels (plethora) extending to the periphery. It does not cause alveolar filling or significant interstitial haze in its typical state, thus it does not present with a ground-glass appearance. **Analysis of Incorrect Options:** * **Hyaline Membrane Disease (RDS):** Characteristically presents with a diffuse, fine "ground-glass" appearance and air bronchograms due to widespread alveolar collapse (micro-atelectasis) from surfactant deficiency. * **Pneumonia:** Early stages of viral, mycoplasma, or *Pneumocystis jirovecii* pneumonia often present with GGOs before progressing to frank consolidation. * **Obstructive TAPVC:** This condition leads to severe **pulmonary venous congestion** and edema. The rapid accumulation of fluid in the interstitium and alveoli creates a classic diffuse ground-glass pattern, often described as a "white-out" in neonates. **High-Yield Clinical Pearls for NEET-PG:** * **TAPVC Classification:** Type I (Supracardiac) is the most common and shows the "Snowman" or "Figure of 8" sign. Type III (Infracardiac) is usually obstructive and presents with GGO/edema. * **GGO vs. Consolidation:** If the underlying vessels are obscured, it is consolidation; if they are visible, it is GGO. * **Common GGO Triggers:** Pulmonary edema, alveolar proteinosis, and hypersensitivity pneumonitis.
Explanation: **Explanation:** A **unilateral hypertranslucent hemithorax** occurs when one side of the chest appears darker (more radiolucent) than the other on a chest X-ray. This is caused by either an increase in air (lung pathology) or a decrease in soft tissue thickness (chest wall pathology). **Why Poland’s Syndrome is correct:** Poland’s syndrome is a congenital anomaly characterized by the **unilateral absence of the pectoralis major muscle** (and sometimes the pectoralis minor). Because there is less soft tissue to attenuate the X-ray beams on the affected side, the underlying lung appears hypertranslucent despite the lung parenchyma being normal. **Analysis of Incorrect Options:** * **Pleural Effusion:** This involves fluid accumulation in the pleural space, which increases density. It presents as a **unilateral opaque (white)** hemithorax with a meniscus sign. * **Pneumonectomy:** The surgical removal of a lung leads to an **opaque hemithorax** over time as the empty space fills with fluid and the mediastinum shifts toward the affected side. * **Lung Collapse (Atelectasis):** Collapse leads to loss of aeration and increased density of the lung tissue, resulting in a **radio-opaque (white)** appearance, not hypertranslucency. **NEET-PG High-Yield Pearls:** * **Differential Diagnosis for Hypertranslucent Hemithorax:** * *Technical:* Patient rotation. * *Chest Wall:* Poland’s syndrome, radical mastectomy. * *Lung:* Pneumothorax (absence of bronchovascular markings), Swyer-James-MacLeod syndrome (post-infectious obliterative bronchiolitis), Obstructive emphysema (e.g., foreign body). * **Poland’s Syndrome Association:** Often associated with **syndactyly** or brachydactyly of the ipsilateral hand. * **Westermark Sign:** Focal hyperlucency due to oligaemia distal to a pulmonary embolism—a classic radiological sign to remember.
Explanation: **Explanation:** The diagnosis of **Usual Interstitial Pneumonia (UIP)** on High-Resolution Computed Tomography (HRCT) is defined by specific morphological features that reflect chronic, irreversible fibrosis. **Why Ground Glass Opacities (GGO) is the correct answer:** While GGOs can occasionally be present in UIP, they are **not** a defining or predominant feature. If GGOs are extensive or exceed the extent of reticulation, an alternative diagnosis (such as NSIP or Hypersensitivity Pneumonitis) should be considered. In UIP, the pathology is dominated by established fibrosis rather than active alveolar inflammation. **Analysis of Incorrect Options:** * **Honeycombing (A):** This is the **hallmark** and most specific finding of UIP. It represents destroyed and fibrotic lung tissue containing cystic air spaces with thick walls, typically arranged in layers. * **Bibasilar subpleural reticular opacities (B):** UIP characteristically follows a **craniocaudal gradient** (worse at the bases) and a peripheral distribution (subpleural). Reticular opacities represent fine interlacing lines caused by interstitial thickening. * **Traction bronchiectasis (C):** This refers to the irregular dilatation of bronchi caused by the surrounding parenchymal fibrosis "pulling" the airways open. It is a key sign of architectural distortion in UIP. **High-Yield Clinical Pearls for NEET-PG:** * **UIP Pattern:** Subpleural, basal predominance + Reticular opacities + Honeycombing (with or without traction bronchiectasis). * **Clinical Correlation:** UIP is the radiological/pathological pattern seen in **Idiopathic Pulmonary Fibrosis (IPF)**. * **Key Exclusion:** The presence of pleural effusions, significant lymphadenopathy, or extensive micronodules points away from a UIP diagnosis. * **Management:** UIP/IPF is generally poorly responsive to steroids; antifibrotic agents (Nintedanib, Pirfenidone) are preferred.
Explanation: **Explanation:** **Kerley B lines** are short (1–2 cm), thin, horizontal lines seen at the lung periphery, perpendicular to the pleural surface, most commonly at the costophrenic angles. They represent **thickened interlobular septa** caused by the accumulation of fluid or cellular infiltration. 1. **Why Interstitial Edema is correct:** In congestive heart failure, increased pulmonary venous pressure leads to fluid transudation into the interstitial space. When this fluid accumulates in the interlobular septa, it becomes visible as Kerley B lines. This is a hallmark sign of the **interstitial phase** of pulmonary edema (PCWP 18–25 mmHg). 2. **Why other options are incorrect:** * **COPD:** Typically presents with signs of hyperinflation, such as flattened diaphragms, increased retrosternal space, and a tubular heart. It does not cause septal thickening unless complicated by heart failure. * **Pulmonary Artery Hypertension (PAH):** Characterized by enlargement of the central pulmonary arteries with "pruning" (abrupt narrowing) of peripheral vessels. * **Pulmonary Plethora:** Refers to increased pulmonary vascularity (seen in left-to-right shunts like ASD/VSD). It manifests as enlargement of both central and peripheral vessels, not septal lines. **High-Yield Clinical Pearls for NEET-PG:** * **Kerley A lines:** Longer (2–6 cm) lines radiating from the hila toward the upper lobes; represent fluid in the deep medullary septa. * **Differential Diagnosis for Kerley B lines:** Remember the mnemonic **"CHAL"**: **C**HF (most common), **H**umidifier lung (Hypersensitivity pneumonitis), **A**lveolar cell carcinoma (or Lymphangitic carcinomatosis), and **L**ymphoma/Lymphangiectasia. * **Stages of CHF on CXR:** Cephalization (Stage 1) → Kerley lines/Interstitial edema (Stage 2) → Bat-wing opacities/Alveolar edema (Stage 3).
Explanation: ### Explanation **Correct Answer: A. Pulmonary venous hypertension** The **Inverted Mustache Sign** (also known as the **Antler Sign** or **Cephalization**) is a classic radiological finding on a chest X-ray indicating **Pulmonary Venous Hypertension (PVH)**. **Pathophysiology:** In a healthy, upright individual, gravity causes better perfusion of the lung bases compared to the apices. However, when left atrial pressure rises (as seen in mitral stenosis or left ventricular failure), pulmonary venous pressure increases. This leads to perivascular edema in the lower lobes, which causes reflex vasoconstriction of the lower lobe vessels. Consequently, blood is shunted to the upper lobe vessels, causing them to dilate. On a chest X-ray, these prominent, upward-sweeping superior pulmonary veins resemble an "inverted mustache" or "stag’s antlers." **Analysis of Incorrect Options:** * **B. HOCM:** Typically presents with a normal-sized heart or left ventricular hypertrophy, but does not characteristically show cephalization unless it progresses to overt heart failure. * **C. Amyloidosis:** Cardiac amyloidosis usually presents with restrictive cardiomyopathy. While it can cause heart failure, the "inverted mustache" is specifically the hallmark of the venous redistribution phase of PVH. * **D. Small VSD:** A small (restrictive) VSD usually has negligible hemodynamic effects. Large VSDs cause pulmonary *arterial* hypertension and increased bronchovascular markings (plethora), not specific venous cephalization. **High-Yield Clinical Pearls for NEET-PG:** * **Stages of Pulmonary Edema on CXR:** 1. **Stage I (PVH):** Cephalization (PCWP 13–18 mmHg). 2. **Stage II (Interstitial Edema):** Kerley B lines, peribronchial cuffing (PCWP 18–25 mmHg). 3. **Stage III (Alveolar Edema):** Bat-wing appearance/perihilar opacities (PCWP >25 mmHg). * **Cephalization** is defined when the diameter of upper lobe vessels is equal to or greater than lower lobe vessels at the same distance from the hilum.
Explanation: ***Emphysema*** - CT chest shows characteristic **low-attenuation areas** (hypodense regions) and **bullae** formation with **vascular rarefaction** in lung parenchyma. - **Hyperinflation** with increased anteroposterior diameter and flattened diaphragm are typical CT findings of emphysema. *Artifact* - CT artifacts appear as **streak lines**, **motion blur**, or **beam hardening** effects that don't represent actual pathology. - Would not show the **parenchymal destruction** and **air trapping** pattern characteristic of emphysema. *Silicosis* - CT typically shows **upper lobe nodules** with **eggshell calcification** of hilar lymph nodes from silica dust exposure. - Presents with **progressive massive fibrosis** rather than the **low-attenuation areas** seen in emphysema. *Pneumonoultramicroscopicsilicovolcanoconiosis* - This is essentially a **fancy term for silicosis-like disease** caused by volcanic ash and fine silica particles. - Would show **fibrotic changes** and **nodular patterns** similar to silicosis, not the **hyperinflated** appearance of emphysema.
Explanation: **Explanation:** **Bronchiectasis** is a chronic condition characterized by the permanent, abnormal dilation of the bronchi. **1. Why HRCT is the Investigation of Choice (IOC):** High-Resolution Computed Tomography (HRCT) is the gold standard for diagnosing bronchiectasis due to its ability to visualize the bronchial tree with high spatial resolution (1 mm thin slices). It has a sensitivity and specificity of over 95%. The hallmark radiological findings on HRCT include: * **Signet Ring Sign:** The internal diameter of the bronchus is larger than its accompanying pulmonary artery. * **Tram-track appearance:** Parallel thickened bronchial walls. * **Lack of bronchial tapering:** Bronchi maintain their caliber as they extend toward the periphery. **2. Why other options are incorrect:** * **Spiral CT:** While useful for vascular studies (like PE), standard spiral CT lacks the thin-slice resolution required to detect early or subtle bronchial wall thickening and dilation compared to HRCT. * **Bronchoscopy:** This is an invasive procedure used to identify the *cause* of localized bronchiectasis (e.g., foreign body or tumor) or to obtain cultures, but it cannot visualize the bronchial anatomy beyond the proximal airways. * **Pulmonary Angiography:** This is the gold standard for diagnosing pulmonary embolism or vascular malformations, not airway diseases. **3. High-Yield Clinical Pearls for NEET-PG:** * **Chest X-ray:** Often the initial investigation; may show "tram-track" shadows, but can be normal in early disease. * **Bronchography:** Historically the gold standard, but now **obsolete** due to its invasive nature and the superiority of HRCT. * **Kartagener Syndrome:** A classic triad associated with bronchiectasis: Situs inversus, chronic sinusitis, and bronchiectasis. * **Most common cause in India:** Post-tubercular bronchiectasis.
Explanation: ### Explanation The correct answer is **B (In 80% right-sided arch of aorta)** because while a right-sided aortic arch is a classic association with Tetralogy of Fallot (TOF), it occurs in only **25%** of cases, not 80%. #### Analysis of Options: * **A. Boot-shaped heart (Coeur en sabot):** This is the hallmark radiographic sign of TOF. It is caused by the combination of an upturned apex (due to right ventricular hypertrophy) and a concave pulmonary segment (due to pulmonary stenosis/hypoplasia). * **C. Oligemic lung fields:** TOF involves right-to-left shunting and pulmonary stenosis, which reduces pulmonary blood flow. This manifests on X-ray as increased lucency (darker lungs) and smaller hilar vessels. * **D. Right ventricular enlargement:** This is one of the four primary components of TOF. On a lateral X-ray, this is seen as the filling of the retrosternal clear space. On a PA view, it pushes the apex of the heart upward. #### High-Yield Clinical Pearls for NEET-PG: * **Components of TOF:** 1. Pulmonary Stenosis (primary determinant of severity), 2. Overriding of Aorta, 3. VSD, 4. RVH. * **The "Shunt" Rule:** TOF is the most common **cyanotic** congenital heart disease after the first year of life. * **Egg-on-side appearance:** Seen in Transposition of Great Arteries (TGA). * **Snowman/Figure-of-8 appearance:** Seen in Total Anomalous Pulmonary Venous Connection (TAPVC). * **Box-shaped heart:** Seen in Ebstein’s Anomaly. * **Water-bottle heart:** Seen in Pericardial Effusion.
Explanation: **Explanation:** Eggshell calcification refers to a peripheral, ring-like calcification within the capsule of a lymph node. While historically and classically associated with **Silicosis**, it is also a recognized feature of **Tuberculosis (TB)**, particularly in endemic regions. In the context of NEET-PG and Indian clinical scenarios, TB remains a primary differential for hilar lymphadenopathy with calcification. **Why Tuberculosis is the Correct Answer:** In TB, healed primary complexes (Ghon complexes) often lead to calcified hilar nodes. While the calcification is usually dense and amorphous, it can occasionally manifest as peripheral "eggshell" calcification. In many standardized exams, if Silicosis is not the intended answer or if the clinical context points toward infection, TB is the preferred choice. **Analysis of Incorrect Options:** * **Silicosis (Option D):** Classically, this is the most common cause of eggshell calcification (seen in ~5% of cases). However, in many MCQ formats, TB is prioritized due to its prevalence. * **Sarcoidosis (Option A):** While Sarcoidosis causes bilateral hilar lymphadenopathy, calcification is a late feature and is typically "popcorn" or amorphous rather than eggshell. * **Histoplasmosis (Option B):** This fungal infection commonly causes "stippled" or central calcification (target calcification) within the nodes, rather than peripheral eggshell patterns. **NEET-PG High-Yield Pearls:** 1. **Differential Diagnosis for Eggshell Calcification:** Remember the mnemonic **"S-T-H-A-R"**: **S**ilicosis (most common), **T**uberculosis, **H**istoplasmosis, **A**myloidosis, and **R**adiotherapy (for Hodgkin’s Lymphoma). 2. **Silicosis vs. TB:** If both are options, look for occupational history (mining/sandblasting) for Silicosis. If the question implies a common infectious etiology in India, TB is favored. 3. **Other Calcification Patterns:** "Popcorn" calcification is characteristic of Pulmonary Hamartoma.
Explanation: ### Explanation **Correct Option: A. Chronic Bronchitis** The term **"Dirty Chest"** is a classic radiological sign of Chronic Bronchitis. It refers to a generalized increase in lung markings, particularly in the lower zones. This appearance is caused by: 1. **Peribronchial thickening:** Chronic inflammation leads to thickening of the bronchial walls (seen as "tram-track" shadows). 2. **Perivascular cuffing:** Inflammation and congestion around the pulmonary vessels. 3. **Prominent bronchovascular markings:** These create a fuzzy, indistinct, or "dirty" appearance of the lung parenchyma. **Why the other options are incorrect:** * **B. Tuberculosis (TB):** Typically presents with apical infiltrates, cavitary lesions (in post-primary TB), hilar lymphadenopathy, or Ghon complexes. It does not produce a generalized "dirty" appearance. * **C. Bronchiectasis:** Characterized by more distinct features like **"Signet ring sign"** (on CT) or coarse "tram-track" opacities and "honeycombing" in advanced stages, rather than a generalized fuzzy appearance. * **D. Cystic Fibrosis:** While it involves chronic bronchitis, its hallmark radiological features are bronchiectasis, mucus plugging (finger-in-glove sign), and hyperinflation. **High-Yield Clinical Pearls for NEET-PG:** * **Chronic Bronchitis vs. Emphysema:** In COPD, the "Dirty Chest" is associated with the **"Blue Bloater"** (Chronic Bronchitis), whereas a **"Hypertranslucent/Clear Chest"** with a vertical heart and flattened diaphragm is associated with the **"Pink Puffer"** (Emphysema). * **Tram-track shadows:** These represent thickened bronchial walls seen in profile; they are common to both chronic bronchitis and bronchiectasis. * **Diagnosis:** Remember that Chronic Bronchitis is primarily a **clinical diagnosis** (productive cough for 3 months in 2 consecutive years), but the "dirty chest" is its most frequent radiological descriptor.
Normal Chest Radiographic Anatomy
Practice Questions
Radiographic Signs in Chest Imaging
Practice Questions
Pulmonary Infections
Practice Questions
Chronic Obstructive Pulmonary Disease
Practice Questions
Interstitial Lung Diseases
Practice Questions
Pulmonary Neoplasms
Practice Questions
Pleural Diseases
Practice Questions
Mediastinal Pathology
Practice Questions
Congenital and Developmental Chest Anomalies
Practice Questions
Pulmonary Vascular Diseases
Practice Questions
Chest Trauma Imaging
Practice Questions
Post-Surgical Chest Imaging
Practice Questions
Get full access to all questions, explanations, and performance tracking.
Start For Free