A 35-year-old patient with a history of asbestos exposure presents with chest pain. An X-ray reveals a solitary pulmonary nodule in the right lower zone. A CECT shows an enhancing nodule adjoining the right lower costal pleura with a comet tail sign and adjacent pleural thickening. What is the most likely diagnosis?
Water bottle heart is seen in which of the following conditions?
The "floating water-lily sign" is characteristic of which condition?
Westermark's sign, Hampton's hump, and Palla's sign are all characteristic radiological findings suggestive of which condition?
Lucent hemithorax is due to all the following except?
Which of the following is NOT a radiological feature of chronic cor pulmonale?
Bronchography may be dangerous in a patient with which of the following conditions?
What is not a CT finding in bronchiectasis?
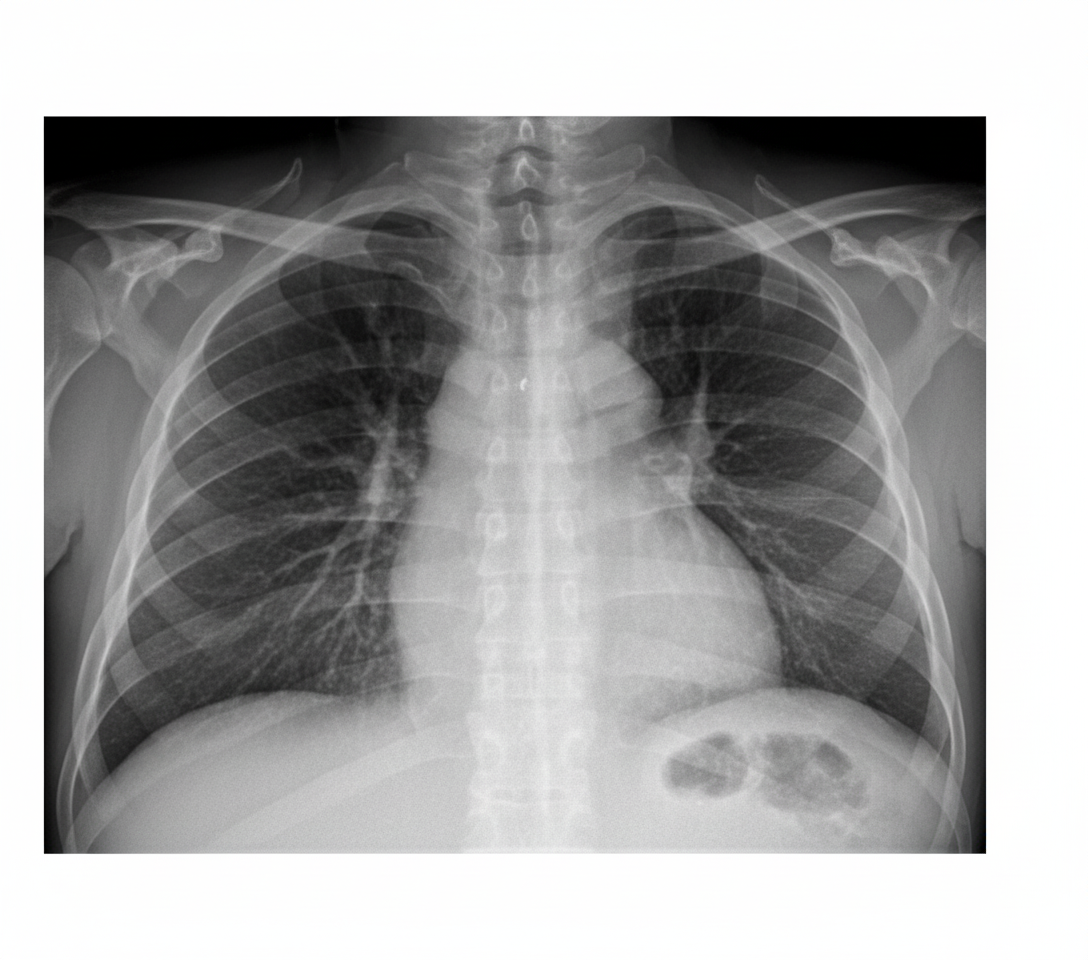
A 42-year-old female smoker with a 20-pack-year history is admitted with progressive shortness of breath. On examination, she has distant heart sounds with decreased breath sounds on lung exam bilaterally. No summation gallop is heard. ECG shows low voltage. Chest x-ray findings are shown. Which of the following findings on the chest x-ray may be associated with this presentation?

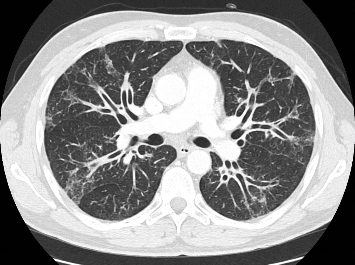
The CT chest of the patient shows the presence of which of the following?

Explanation: ### Explanation **Correct Answer: B. Round atelectasis** **Concept:** Round atelectasis (also known as Blesovsky’s syndrome or folded lung) is a benign form of peripheral lung collapse. It occurs when a focal area of pleural disease (usually due to asbestos) causes the underlying lung to curl or "fold" in on itself. The pathognomonic radiological feature is the **"Comet Tail Sign,"** which represents the bronchovascular bundles (vessels and bronchi) curving and converging toward the mass-like opacity. The presence of **adjacent pleural thickening** and its location near the pleura are classic indicators. In the context of asbestos exposure, this is a common "pseudotumor" that must be differentiated from malignancy. **Why Incorrect Options are Wrong:** * **A. Mesothelioma:** While associated with asbestos, it typically presents as diffuse, nodular pleural thickening or a large pleural mass with effusion, rather than a solitary intrapulmonary nodule with a comet tail sign. * **C. Pulmonary sequestration:** This is a congenital anomaly where a segment of lung tissue lacks communication with the bronchial tree and receives systemic arterial supply (usually from the aorta). It does not show a comet tail sign. * **D. Adenocarcinoma:** Although a solitary pulmonary nodule in an asbestos-exposed patient raises suspicion for lung cancer, the specific CECT finding of the comet tail sign and the folding morphology point specifically to round atelectasis. **Clinical Pearls for NEET-PG:** * **Classic Triad:** Pleural thickening, a round/oval subpleural mass, and the **Comet Tail Sign**. * **Most common cause:** Asbestos-related pleural disease (though it can occur after any pleural inflammation/effusion). * **Management:** It is benign; if the radiological features are classic, biopsy can often be avoided, and the patient is followed with serial imaging. * **Crow’s Feet Sign:** Another term sometimes used to describe the radiating lines from the mass into the lung parenchyma.
Explanation: **Explanation:** **Pericardial effusion** is the correct answer. The "Water Bottle Heart" sign (also known as the "Leather Bottle" or "Flask-shaped" heart) occurs when a large amount of fluid accumulates in the pericardial sac. Due to gravity, the fluid collects in the dependent portions of the pericardium, causing the lower part of the cardiac silhouette to bulge outward while the superior mediastinum remains narrow. This creates a globular, symmetric enlargement of the heart shadow on a Chest X-ray, resembling an old-fashioned water flask. **Why other options are incorrect:** * **Patent Ductus Arteriosus (PDA):** Typically presents with features of left-to-right shunt, leading to left atrial and left ventricular enlargement, along with increased pulmonary vascular markings, rather than a symmetric globular shape. * **Chronic Emphysema:** Characterized by a "Tubular" or "Drip-shaped" heart. The hyperinflated lungs compress the heart and cause the diaphragm to flatten, making the heart appear narrow and elongated. * **Constrictive Pericarditis:** The heart size is usually normal or small. The classic radiological finding is **pericardial calcification** (best seen on a lateral view), not massive enlargement. **High-Yield Pearls for NEET-PG:** * **Minimum fluid for X-ray detection:** At least 200–250 ml of fluid must accumulate before the cardiac silhouette enlarges on a PA view. * **Echocardiography:** This is the gold standard and most sensitive initial investigation for diagnosing pericardial effusion. * **Epicardial Fat Pad Sign:** On a lateral X-ray, a vertical opaque line (pericardial fluid) sandwiched between two radiolucent fat lines (epicardial and paracardial fat) is highly suggestive of effusion. * **Electrical Alternans:** The classic ECG finding associated with a large effusion/tamponade due to the "swinging" of the heart in the fluid.
Explanation: ### Explanation The **"floating water-lily sign"** (also known as the **Camelote sign**) is a classic radiological finding seen when a cyst wall or endocyst collapses and floats on the surface of the remaining fluid within a cavity. **1. Why Lung Abscess is the Correct Answer:** In the context of this specific question, a lung abscess that has partially drained its contents into a bronchus creates an air-fluid level. If the necrotic debris or the sloughed-out wall of the abscess floats on the surface of the purulent fluid, it mimics the appearance of a water lily. While traditionally associated with hydatid disease, in many clinical scenarios and specific exam patterns, a **ruptured lung abscess** is a recognized cause of this appearance due to the presence of irregular floating membranes. **2. Analysis of Incorrect Options:** * **Pulmonary Hydatid Cyst (Option A):** This is the **most common** cause of the water-lily sign globally (rupture of the endocyst). However, if "Lung Abscess" is marked as the correct key for this specific question, it highlights the importance of recognizing that any cavitary lesion with floating membranes can produce this sign. * **Bronchial Adenoma (Option B):** These are slow-growing endobronchial tumors. They typically present with obstructive features like collapse or distal bronchiectasis, not floating membranes in a fluid-filled cavity. * **Aspergilloma (Option D):** Characterized by the **"Monod sign"** or **"Air-crescent sign."** Here, a solid fungal ball (mycetoma) sits within a pre-existing cavity. Unlike the water-lily sign, the mass is solid and usually mobile, but it does not "float" on fluid. **3. NEET-PG High-Yield Pearls:** * **Water-lily sign (Camelote sign):** Ruptured Hydatid cyst (classic) or Lung abscess (alternative). * **Air-crescent sign:** Aspergilloma, Angioinvasive Aspergillosis, or Hydatid cyst (Ghon's sign). * **Golden S-sign:** Right upper lobe collapse due to a central obstructing mass. * **Cavitary lesions mnemonic (CAVITY):** Cancer, Autoimmune (Wegener's), Vascular (Infarct), Infection (Abscess/TB), Trauma, Youth (CPAM).
Explanation: **Explanation:** The correct answer is **Pulmonary Embolism (PE)**. While a chest X-ray is often normal in PE (the most common finding being sinus tachycardia on ECG or a normal CXR), specific signs can point toward the diagnosis: 1. **Westermark’s Sign:** Focal oligemia (decreased vascular markings) distal to the occluded pulmonary artery due to mechanical obstruction of blood flow. 2. **Hampton’s Hump:** A wedge-shaped, pleura-based opacification with its apex pointing toward the hilum. This represents pulmonary infarction. 3. **Palla’s Sign:** Enlargement of the right descending pulmonary artery, appearing as a "sausage-shaped" shadow, caused by the presence of a large thrombus. **Why other options are incorrect:** * **Tubercular Pleural Effusion:** Typically presents with a "meniscus sign" (obliteration of costophrenic angles) and may show associated lung parenchymal lesions or hilar lymphadenopathy. * **Acute Pulmonary Edema/LVF:** These present with bilateral, symmetrical findings such as **Kerley B lines**, peribronchial cuffing, "Bat-wing" hilar opacities, and cardiomegaly. **NEET-PG High-Yield Pearls:** * **Gold Standard Investigation:** CT Pulmonary Angiography (CTPA). * **Most Common CXR Finding:** Normal CXR or non-specific atelectasis/pleural effusion. * **Knuckle Sign:** Similar to Palla’s sign, referring to the abrupt tapering of a pulmonary artery due to an embolus. * **Fleischner Sign:** Prominent central pulmonary artery due to massive PE. * **McConnell's Sign:** A specific **Echocardiographic** finding (RV free wall akinesia with sparing of the apex).
Explanation: ### Explanation **Lucent hemithorax** refers to a chest X-ray finding where one side of the chest appears darker (more radiolucent) than the other. This occurs due to either increased air (hyperinflation), decreased blood flow (oligemia), or chest wall abnormalities. **Why Lung Collapse is the Correct Answer:** Lung collapse (atelectasis) leads to an **opaque (white) hemithorax**, not a lucent one. When a lung collapses, air is resorbed, and the lung tissue becomes dense and solid. This increased density absorbs more X-rays, resulting in a radio-opaque appearance. Additionally, there is an ipsilateral shift of the mediastinum toward the side of the collapse. **Analysis of Incorrect Options:** * **Rotation:** This is a technical artifact. If the patient is rotated, the side further from the film appears more lucent due to the decreased thickness of the chest wall musculature the X-rays must penetrate. * **Swyer-James-McLeod Syndrome:** This is a post-infectious obliterative bronchiolitis. It results in air trapping and reduced vascularity (pruning of vessels) in one lung, leading to a classic hyperlucent hemithorax. * **Foreign Body:** A non-opaque foreign body in a bronchus can act as a **"check-valve,"** allowing air in during inspiration but preventing it from leaving during expiration. This leads to obstructive emphysema and a lucent hemithorax on the affected side. **High-Yield Clinical Pearls for NEET-PG:** * **Macleod’s Syndrome:** Look for a small/normal-sized lung with hyperlucency and decreased vascular markings. * **Poland Syndrome:** A rare cause of lucent hemithorax due to the congenital absence of the pectoralis major muscle. * **Pneumothorax:** A common cause of lucent hemithorax where there is a complete absence of bronchovascular markings. * **Westermark Sign:** Focal peripheral lucency (oligemia) seen in Pulmonary Embolism.
Explanation: **Explanation:** **Cor pulmonale** refers to right ventricular hypertrophy and/or dilation resulting from pulmonary hypertension caused by primary lung disease (e.g., COPD, interstitial lung disease). **Why "Prominent lower lobe vessels" is the correct answer:** In chronic cor pulmonale, pulmonary hypertension leads to **pruning** of the peripheral vasculature. The central pulmonary arteries become dilated (prominent), while the peripheral and lower lobe vessels typically appear **constricted or attenuated** due to increased pulmonary vascular resistance. "Prominent lower lobe vessels" (cephalization) is a classic feature of **Left Heart Failure**, not Cor Pulmonale. **Analysis of Incorrect Options:** * **Kerley B lines:** These represent thickened interlobular septa. While more common in left-sided failure, they can occur in chronic cor pulmonale due to chronic lymphatic congestion or associated interstitial lung disease. * **Pleural effusion:** Chronic right-sided heart failure leads to increased systemic venous pressure, which can impair pleural fluid drainage, resulting in effusions. * **Cardiomegaly:** In chronic cases, right ventricular hypertrophy and subsequent dilation lead to an enlarged cardiac silhouette, often characterized by an "upturned apex" on a PA chest X-ray. **NEET-PG High-Yield Pearls:** * **Westermark Sign:** Focal oligemia distal to a pulmonary embolism (important differential for clear lung fields). * **Fleischner Sign:** Enlarged central pulmonary artery due to pulmonary embolism/hypertension. * **Egg-shell calcification:** Characteristic of Silicosis (a common cause of cor pulmonale). * **Key X-ray finding:** A central pulmonary artery diameter >16 mm is a highly specific indicator of pulmonary hypertension.
Explanation: ### Explanation **Correct Answer: C. Iodine sensitivity** **1. Why Iodine Sensitivity is the Correct Answer:** Bronchography is a diagnostic procedure where a radio-opaque contrast medium is instilled into the tracheobronchial tree to visualize the airways. Historically, the most commonly used contrast agents for this procedure (such as **Lipiodol** or **Dionosil**) are **iodine-based**. In a patient with iodine sensitivity, the administration of these agents can trigger severe, life-threatening anaphylactic reactions, including angioedema, bronchospasm, and cardiovascular collapse. Therefore, iodine sensitivity is an absolute contraindication. **2. Why Other Options are Incorrect:** * **A. Emphysema:** While patients with severe emphysema have reduced pulmonary reserve and may tolerate the procedure poorly due to temporary airway obstruction by the contrast, it is not a "dangerous" contraindication in the same category as an allergic reaction. * **B. Bronchiectasis:** This is actually the **primary clinical indication** for performing bronchography (to map the extent of bronchial dilation). It is the condition the test was designed to diagnose, not a contraindication. * **D. All of the above:** Since bronchiectasis is an indication and emphysema is a relative precaution, this option is incorrect. **3. Clinical Pearls for NEET-PG:** * **Historical Context:** Bronchography has been largely replaced by **High-Resolution Computed Tomography (HRCT)**, which is now the "Gold Standard" for diagnosing bronchiectasis. * **Sign of Bronchiectasis on HRCT:** Look for the **"Signet Ring Sign"** (bronchus diameter > accompanying pulmonary artery). * **Contrast Media:** Modern radiology uses non-ionic, low-osmolar contrast media (LOCM) to reduce reactions, but the history of bronchography is tied specifically to iodinated oils. * **Contraindications:** Other contraindications include acute respiratory infection, severe diminished cardiac output, and active hemoptysis.
Explanation: **Explanation:** Bronchiectasis is defined as the permanent, abnormal dilatation of the bronchi. High-Resolution Computed Tomography (HRCT) is the gold standard for diagnosis. **Why "Crazy Paving" is the correct answer:** **Crazy paving appearance** refers to thickened interlobular septa and intralobular lines superimposed on a background of ground-glass opacification. It is a non-specific finding but is classically associated with **Pulmonary Alveolar Proteinosis (PAP)**, Lipoid pneumonia, or ARDS. It is not a feature of bronchiectasis, which primarily involves the airways rather than the alveolar/interstitial space in this specific pattern. **Analysis of other options:** * **Signet ring appearance:** This is the hallmark of bronchiectasis. It occurs when the dilated bronchus is larger than its accompanying pulmonary artery (broncho-arterial ratio >1). * **Tree-in-bud appearance:** This represents impaction of mucus, pus, or fluid in the distal bronchioles. It is frequently seen in infectious etiologies of bronchiectasis (e.g., Tuberculosis or MAC). * **Traction bronchiectasis:** This occurs when surrounding parenchymal **lung fibrosis** pulls the bronchial walls apart, leading to irregular dilatation. It is a common secondary finding in end-stage interstitial lung disease. **High-Yield Clinical Pearls for NEET-PG:** * **Gold Standard Investigation:** HRCT Chest. * **Types of Bronchiectasis (Reid Classification):** Cylindrical (most common), Varicose, and Cystic (most severe). * **Tram-track signs:** Parallel opacities representing thickened bronchial walls (seen on X-ray and CT). * **Finger-in-glove sign:** Represents mucoid impaction, often seen in Allergic Bronchopulmonary Aspergillosis (ABPA).
Explanation: ***Positional change of chest x-ray findings*** - In **large pericardial effusion**, the cardiac silhouette can change shape and position with patient positioning due to fluid redistributing around the heart, creating the **"swinging heart" appearance**. - This finding, combined with **distant heart sounds**, **low voltage ECG**, and bilateral decreased breath sounds in a smoker, strongly suggests a **massive pericardial effusion** compressing surrounding structures. *Pericardial rub on auscultation* - **Pericardial friction rub** is typically heard in **acute pericarditis** when inflamed pericardial layers rub against each other. - In **large pericardial effusions**, the rub is usually **absent** because the fluid separates the pericardial layers, preventing friction. *Hamman's crunch on physical exam* - **Hamman's crunch** is a crepitant sound synchronous with heartbeat, characteristic of **pneumomediastinum** (air in mediastinum). - This finding is associated with **esophageal rupture** or **pneumothorax**, not pericardial effusion, and would not explain the distant heart sounds. *Continuous diaphragm sign on chest x-ray* - The **continuous diaphragm sign** indicates **pneumomediastinum** where air outlines the diaphragm continuously across the mediastinum. - This radiological finding is seen with **air in the mediastinum**, not fluid accumulation in the pericardial space as suggested by this clinical presentation.
Explanation: ***Bronchiectasis*** - CT chest shows characteristic **signet ring sign** (dilated bronchus with adjacent pulmonary artery) and **tram-track sign** (parallel bronchial walls). - Bronchi demonstrate **lack of normal tapering** and appear dilated with **thickened walls**, often in a cylindrical or varicose pattern. *Pneumatoceles* - Appear as **thin-walled air-filled cysts** within the lung parenchyma, typically following pneumonia or trauma. - Show **smooth, thin walls** without the bronchial pattern or wall thickening seen in bronchiectasis. *Normal scan* - Would show **normal bronchial tapering** with bronchi becoming progressively smaller toward the periphery. - Absence of **bronchial wall thickening**, cystic changes, or abnormal bronchial dilatation patterns. *Loculated empyema* - Presents as **loculated pleural fluid collections** with **enhancing pleural surfaces** on contrast-enhanced CT. - Shows **pleural thickening** and **septations** within the pleural space, not bronchial abnormalities.
Normal Chest Radiographic Anatomy
Practice Questions
Radiographic Signs in Chest Imaging
Practice Questions
Pulmonary Infections
Practice Questions
Chronic Obstructive Pulmonary Disease
Practice Questions
Interstitial Lung Diseases
Practice Questions
Pulmonary Neoplasms
Practice Questions
Pleural Diseases
Practice Questions
Mediastinal Pathology
Practice Questions
Congenital and Developmental Chest Anomalies
Practice Questions
Pulmonary Vascular Diseases
Practice Questions
Chest Trauma Imaging
Practice Questions
Post-Surgical Chest Imaging
Practice Questions
Get full access to all questions, explanations, and performance tracking.
Start For Free