What is the most likely diagnosis based on the provided chest X-ray findings?

Pallas sign is seen in which of the following conditions?
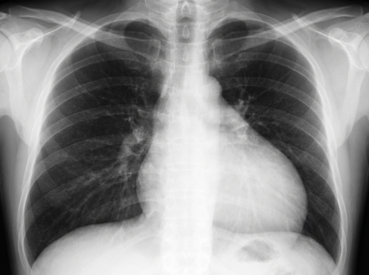
The X-ray provided suggests which of the following conditions?

Which of the following is NOT a criterion of a solitary benign pulmonary nodule on chest X-ray?
The chest CT scan shown below demonstrates the presence of which of the following findings?

Stratosphere sign is seen in which of the following conditions?
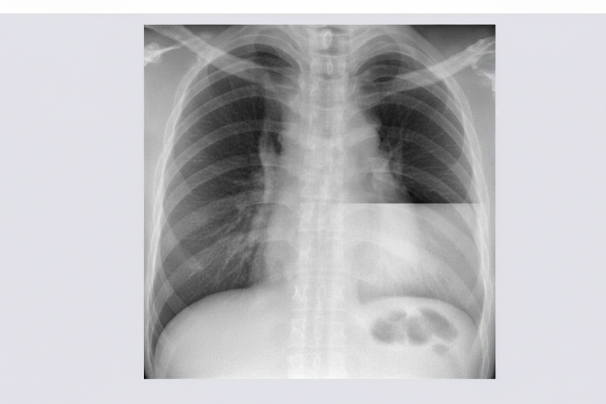
A retrocardiac shadow showing an air-fluid level is seen in which of the following conditions?
Miliary mottling on chest X-ray is typically seen in which of the following conditions?
On a chest X-ray, which structure forms the left border of the heart?
The "Golden S" sign is seen in which of the following conditions?
Explanation: ***Pericardial effusion*** - Classic **"water-bottle" or flask-shaped cardiac silhouette** on chest X-ray due to fluid accumulation in the pericardial space. - The heart appears **enlarged and globular** with loss of normal cardiac contours and waist. *Patent Ductus Arteriosus (PDA)* - Shows **increased pulmonary vascularity** with prominent pulmonary arteries and left heart enlargement. - **Left atrial and ventricular enlargement** may be present, but not the characteristic globular heart shape. *Constrictive pericarditis* - Often shows **pericardial calcification** on chest X-ray, particularly visible on lateral views. - Heart size is typically **normal or small**, not enlarged like in pericardial effusion. *Emphysema* - Characterized by **hyperinflation** with increased lung volumes and **flattened diaphragms**. - Shows **increased retrosternal airspace** and vertically oriented heart, not an enlarged cardiac silhouette.
Explanation: **Explanation:** **Pallas sign** is a classic radiological sign seen on a chest X-ray in patients with **Pulmonary Embolism (PE)**. It refers to the **enlargement of the right descending pulmonary artery**, which takes on a "sausage-like" appearance. This occurs due to the physical presence of a large embolus (often a saddle embolus) distending the vessel or due to acute pulmonary hypertension. **Why the correct answer is right:** In Pulmonary Embolism, Pallas sign is a marker of significant clot burden. It is often seen alongside **Westermark sign** (focal oligemia/translucency distal to the embolus) and **Hampton’s hump** (a wedge-shaped opacity representing pulmonary infarction). While CT Pulmonary Angiography (CTPA) is the gold standard, these X-ray signs are high-yield for exams. **Why the incorrect options are wrong:** * **Sarcoidosis:** Characterized by bilateral hilar lymphadenopathy (Stage I) and interstitial lung disease (Garland’s triad/1-2-3 sign), not focal arterial enlargement. * **Emphysema:** Shows signs of hyperinflation, such as flattened diaphragms, increased retrosternal space, and a "sabre-sheath" trachea. * **Myeloma:** Radiologically presents as "punched-out" lytic lesions in the ribs or spine and generalized osteopenia. **NEET-PG High-Yield Pearls:** * **Most common X-ray finding in PE:** Normal Chest X-ray or Atelectasis/Pleural effusion. * **Most specific X-ray signs for PE:** Westermark sign and Hampton’s hump. * **Fleischner sign:** Prominent central pulmonary artery (similar mechanism to Pallas sign). * **Knuckle sign:** Abrupt tapering of a pulmonary artery branch distal to an embolus.
Explanation: ***Hydropneumothorax*** - Characterized by a classic **horizontal air-fluid level** in the pleural cavity, representing both air and fluid collection. - The **air-fluid interface** appears as a straight horizontal line that changes position with patient positioning, distinguishing it from other conditions. *Normal x-ray* - Would show **clear lung fields** with normal vascular markings and no abnormal densities or air collections. - The presence of an **air-fluid level** clearly indicates pathology, ruling out a normal chest X-ray. *Hydatid cyst* - Appears as a **well-defined, round opacity** with possible **rim calcification** or **water lily sign** if ruptured. - Does not typically present with a **horizontal air-fluid level** unless complicated by secondary infection or rupture into pleural space. *Allergic bronchopulmonary aspergillosis (ABPA)* - Shows **central bronchiectasis** with **finger-in-glove** appearance due to mucoid impaction. - May demonstrate **fleeting pulmonary infiltrates** and **upper lobe predominance**, but not horizontal air-fluid levels in pleural space.
Explanation: A **Solitary Pulmonary Nodule (SPN)** is defined as a single, well-circumscribed opacity <3 cm in diameter, completely surrounded by aerated lung. Differentiating benign from malignant nodules is a high-yield topic in NEET-PG. ### **Why Cavitation is the Correct Answer** While benign lesions (like lung abscesses or fungal balls) can cavitate, **cavitation** is generally considered a suspicious feature on chest X-ray. Specifically, the **wall thickness** of the cavity is the key predictor: * **Wall <5 mm:** Likely benign. * **Wall >15 mm:** Highly suggestive of malignancy (e.g., Squamous Cell Carcinoma). Since cavitation often points toward malignancy or active infection rather than a stable benign process, it is not a standard criterion for a benign nodule. ### **Analysis of Incorrect Options** * **A. Less than 5cm size:** While the technical definition of a nodule is <3 cm (anything larger is a "mass"), smaller lesions are statistically much more likely to be benign. A stable size over 2 years is the gold standard for benignity. * **B. Peripheral location:** Benign lesions like hamartomas or granulomas are frequently located in the lung periphery. Central locations are often more concerning for bronchogenic carcinoma. * **D. Concentric calcification:** This is a classic sign of a benign lesion (e.g., healed histoplasmosis). Other benign patterns include **diffuse, central, and popcorn calcification** (seen in Hamartomas). ### **High-Yield Clinical Pearls for NEET-PG** 1. **Popcorn Calcification:** Pathognomonic for **Pulmonary Hamartoma**. 2. **Doubling Time:** If the volume doubles in <20 days (infection) or >400 days (benign), it is likely not malignant. Malignant doubling time is typically 20–400 days. 3. **Eccentric Calcification:** If calcification is stippled or off-center, it increases the suspicion of malignancy. 4. **Corona Radiata Sign:** Fine linear strands extending from the nodule (spiculation) is highly suggestive of malignancy.
Explanation: ***Bronchiectasis*** - Classic CT features include the **signet ring sign** (dilated bronchus with adjacent pulmonary artery), **tram-tracking** (parallel lines representing thickened airway walls), and **airway wall thickening**. - Airways are **abnormally dilated** and fail to taper normally, often with associated **mucus plugging** and **air-fluid levels**. *Pneumatocele* - Appears as **thin-walled air-filled cysts** within lung parenchyma, typically round or oval cavities. - Usually develops after **pneumonia** or **trauma**, lacking the characteristic dilated airway pattern seen in bronchiectasis. *Normal scan* - Would show **normal bronchial caliber** tapering distally with **thin airway walls** and no abnormal dilation. - Airways should **not be visible** peripherally and should maintain normal **broncho-arterial ratio** of approximately 1:1. *Lung cancer* - Presents as **discrete mass lesions**, **pulmonary nodules**, or **consolidation** with possible **hilar lymphadenopathy**. - May show **spiculated margins**, **cavitation**, or **pleural involvement**, but lacks the characteristic dilated airway pattern.
Explanation: **Explanation:** The **Stratosphere sign** (also known as the **Barcode sign**) is a classic finding in **M-mode ultrasonography** of the chest, diagnostic of a **Pneumothorax**. **Why it occurs:** In a normal lung, M-mode ultrasound shows the "Seashore sign": the stationary chest wall appears as horizontal parallel lines (the sea), while the sliding visceral pleura against the parietal pleura creates a granular, sandy appearance (the beach). In a pneumothorax, air collects between the pleural layers, preventing the ultrasound waves from reaching the moving lung. Consequently, only the stationary chest wall is visualized as a series of linear, horizontal parallel lines extending throughout the image, resembling a barcode or the stratosphere. **Analysis of Incorrect Options:** * **Pleural effusion:** Characterized by an echo-free (anechoic) space between the parietal and visceral pleura. On M-mode, it may show the "Sinusoid sign" due to the movement of the lung within the fluid. * **Rib fracture:** Diagnosed by a cortical break or disruption on ultrasound or X-ray; it does not produce the Stratosphere sign. * **Bronchogenic carcinoma:** Typically appears as a solid, hypoechoic mass with irregular margins on imaging. **High-Yield Clinical Pearls for NEET-PG:** 1. **Lung Point Sign:** The most specific ultrasound sign for pneumothorax (100% specificity); it represents the physical transition point where the lung re-contacts the chest wall. 2. **Absence of Lung Sliding:** A sensitive but non-specific early sign of pneumothorax on B-mode ultrasound. 3. **Deep Sulcus Sign:** The characteristic radiological finding of pneumothorax on a **supine** chest X-ray.
Explanation: **Explanation:** The presence of a **retrocardiac shadow with an air-fluid level** on a chest X-ray is a classic radiological sign of a **Hiatus Hernia** (specifically the sliding or paraesophageal types). In this condition, a portion of the stomach herniates through the esophageal hiatus of the diaphragm into the posterior mediastinum. Since the stomach contains both swallowed air and gastric secretions, it appears as a gas-filled structure with a horizontal air-fluid level located behind the heart silhouette on an AP/PA view. **Analysis of Options:** * **Hiatus Hernia (Correct):** The stomach's position in the retrocardiac space creates this specific density. It is best confirmed on a **Lateral Chest X-ray**, where the shadow is seen in the posterior mediastinum. * **Pleural Effusion:** Typically presents as blunting of the costophrenic angles and a homogenous opacity with a meniscus sign. It does not typically present as a localized retrocardiac air-fluid level unless it is a loculated hydropneumothorax. * **Pericardial Effusion:** Characterized by a symmetrical enlargement of the cardiac silhouette ("Water bottle" or "Money bag" heart) without air-fluid levels. * **Carcinoma of the Colon:** While it may cause bowel obstruction or perforation (leading to pneumoperitoneum), it does not typically present as a retrocardiac mass unless there is a rare diaphragmatic hernia involving the large bowel (e.g., Bochdalek hernia), which is less common than a hiatus hernia. **High-Yield Pearls for NEET-PG:** * **Differential Diagnosis for Retrocardiac Opacity:** Hiatus hernia, Achalasia cardia (dilated esophagus with air-fluid level), Left lower lobe collapse, and Thoracic aortic aneurysm. * **Achalasia vs. Hiatus Hernia:** In Achalasia, the air-fluid level is usually within a dilated, tubular esophagus; in Hiatus Hernia, it is within the herniated stomach pouch. * **Gold Standard Investigation:** While CXR suggests it, a **Barium Swallow** is the investigation of choice to delineate the anatomy of a hiatus hernia.
Explanation: **Explanation:** **Miliary mottling** refers to the presence of numerous, small (1–3 mm), discrete, rounded opacities scattered throughout both lung fields on a chest X-ray. The term originates from the resemblance of these spots to millet seeds. While **Miliary Tuberculosis** is the most classic cause, this pattern is a manifestation of various granulomatous, infectious, and neoplastic processes. **Analysis of Options:** * **Histoplasmosis:** This fungal infection often presents with a miliary pattern during the acute disseminated phase, particularly in immunocompromised individuals. Over time, these nodules may calcify. * **Sarcoidosis:** Stage II and III sarcoidosis can present with a micronodular or miliary distribution, typically following a perilymphatic pattern. * **Metastases:** Certain "seed-like" hematogenous spread of malignancies can mimic miliary TB. While common in thyroid (medullary/papillary), renal cell, and melanoma, it is also seen in **colonic and breast carcinomas**. **Why "All of the above" is correct:** The miliary pattern is non-specific. Since Histoplasmosis (fungal), Sarcoidosis (inflammatory), and certain Metastases (neoplastic) can all produce diffuse 1–3 mm nodules, all three options are recognized causes. **High-Yield Clinical Pearls for NEET-PG:** * **Mnemonic for Miliary Mottling (MISHAP):** **M**-Metastasis/Miliary TB, **I**-Inorganic dust (Silicosis), **S**-Sarcoidosis, **H**-Histoplasmosis/Hemosiderosis, **A**-Alveolar microlithiasis, **P**-Pneumoconiosis. * **Differential Diagnosis by Nodule Size:** If nodules are larger (>5 mm), consider "Cannon-ball" metastases (RCC, Choriocarcinoma). * **HRCT Finding:** In Miliary TB, the distribution is **random**, whereas in Sarcoidosis, it is **perilymphatic**.
Explanation: The cardiac silhouette on a chest X-ray (CXR) is formed by the interface between the heart/great vessels and the aerated lungs. Understanding these borders is fundamental for identifying chamber enlargement or mediastinal masses. **Explanation of the Correct Answer:** The **left border** of the heart (and mediastinum) on a PA view is not formed by a single structure but is a composite of several segments. From superior to inferior, these are: 1. **Aortic Arch (Aortic Knuckle):** The most superior convexity. 2. **Left Pulmonary Artery (Pulmonary Segment):** Located just below the aortic knuckle. 3. **Left Auricle (Left Atrial Appendage):** A small segment between the pulmonary artery and the ventricle (often flat or slightly concave unless enlarged). 4. **Left Ventricle:** Forms the lower, most prominent convex part of the left border and the apex. Since options A, B, and C all contribute to the formation of the left cardiac/mediastinal silhouette, **Option D (All of the above)** is the correct answer. **Clinical Pearls & High-Yield Facts:** * **Right Border:** Formed primarily by the **Superior Vena Cava (SVC)** superiorly and the **Right Atrium** inferiorly. Note: The Right Ventricle does *not* form a border on the PA view (it is the most anterior chamber). * **Mitral Stenosis:** Classically causes "straightening of the left heart border" due to left atrial appendage enlargement. * **Boot-shaped heart (Coeur en sabot):** Seen in Tetralogy of Fallot, caused by right ventricular hypertrophy uplifting the left ventricular apex. * **Water-bottle heart:** Characteristic of large pericardial effusions. * **Silhouette Sign:** Loss of the left heart border usually indicates pathology in the **Lingula** of the left lung.
Explanation: ### Explanation The **Golden S sign** (also known as the S-sign of Golden) is a classic radiological sign seen on a frontal chest X-ray. It is most characteristically associated with **Right Upper Lobe (RUL) collapse** caused by a centrally located mass (usually bronchogenic carcinoma). **1. Why Right Upper Lobe Collapse is Correct:** When the RUL collapses, the minor fissure shifts superiorly and medially. If a central mass is obstructing the RUL bronchus, the fissure cannot retract fully at the hilum. This creates a contour resembling a reverse "S": * The **superior/lateral** concave segment is formed by the displaced minor fissure. * The **inferior/medial** convex segment is formed by the margin of the obstructing mass. This sign is critical because it indicates that the collapse is not simple (e.g., from a mucus plug) but is likely due to an underlying malignancy. **2. Why Other Options are Incorrect:** * **Left Upper Lobe Collapse:** While a similar "S" shape can theoretically occur, LUL collapse typically presents with the "Luftsichel sign" (air crescent around the aortic arch) and a hazy opacification shifting anteriorly. * **Right/Left Middle Lobe Collapse:** These present as wedge-shaped opacities that obscure the right heart border (silhouette sign) but do not produce the characteristic "S" contour of the minor fissure and a central mass. **3. Clinical Pearls for NEET-PG:** * **Most common cause:** Bronchogenic carcinoma. * **Key Anatomy:** The sign specifically involves the **minor (horizontal) fissure**. * **Luftsichel Sign:** Associated with LUL collapse (hyperexpanded superior segment of the left lower lobe). * **Juxtaphrenic Peak Sign:** A small triangular peak of the diaphragm seen in upper lobe collapse due to traction on the inferior accessory fissure or phrenic nerve.
Normal Chest Radiographic Anatomy
Practice Questions
Radiographic Signs in Chest Imaging
Practice Questions
Pulmonary Infections
Practice Questions
Chronic Obstructive Pulmonary Disease
Practice Questions
Interstitial Lung Diseases
Practice Questions
Pulmonary Neoplasms
Practice Questions
Pleural Diseases
Practice Questions
Mediastinal Pathology
Practice Questions
Congenital and Developmental Chest Anomalies
Practice Questions
Pulmonary Vascular Diseases
Practice Questions
Chest Trauma Imaging
Practice Questions
Post-Surgical Chest Imaging
Practice Questions
Get full access to all questions, explanations, and performance tracking.
Start For Free