Which of the following is NOT an X-ray finding of Staphylococcus pneumonia?
A chest X-ray of a patient reveals hyperlucency of the right lung. What is the probable diagnosis?
All of the following show a miliary shadow on chest X-ray except?
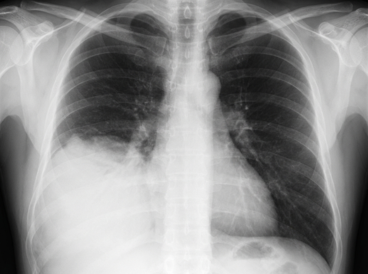
A 40-year-old male presented to the OPD with fever and breathlessness. His X-ray is shown below. What is the most probable diagnosis?

A patient presents with a solitary pulmonary nodule on chest x-ray. What is the most appropriate investigation to establish a diagnosis?
Kerley B lines are seen in which of the following conditions?
In pulmonary embolism, what are the characteristic findings on a perfusion scan?
A 35-year-old chronic smoker (10 years) presents to the emergency room 3 hours after an accident with signs of blood loss. The patient was transfused with a fixed component ratio of the same blood group. Four hours post-transfusion, the patient developed breathlessness and cough. A chest X-ray was advised. What is the most common blood component transfusion that leads to this condition?
Miliary shadows on chest X-ray are typically seen in which of the following conditions?
What is a Phantom Tumor?
Explanation: **Explanation:** *Staphylococcus aureus* pneumonia is a necrotizing bacterial infection characterized by rapid progression and tissue destruction. Understanding its radiological signature is crucial for NEET-PG. **Why Hilar Lymphadenopathy is the Correct Answer:** Hilar lymphadenopathy is **not** a typical feature of Staphylococcal pneumonia. It is more characteristically associated with Primary Tuberculosis, Sarcoidosis, Lymphoma, or fungal infections (like Histoplasmosis). In pyogenic bacterial pneumonias like Staph, the inflammatory process is localized to the parenchyma and pleura rather than the lymphatic chains. **Analysis of Other Options:** * **Pneumatocoele (Option A):** These are thin-walled, air-filled cystic spaces that develop due to a check-valve mechanism in the small airways. They are a **hallmark** of Staph pneumonia, especially in children. * **Empyema (Option B):** Staph is highly pyogenic. It frequently causes parapneumonic effusions that rapidly progress to empyema (pus in the pleural space) and bronchopleural fistulas. * **Absent Air Bronchogram (Option D):** Unlike *Streptococcus pneumoniae*, which causes "lobar pneumonia" where airways remain patent (showing air bronchograms), *Staphylococcus* causes "bronchopneumonia." The inflammatory exudate fills both the alveoli and the bronchioles, leading to the **absence** of air bronchograms. **High-Yield Clinical Pearls for NEET-PG:** * **Most common cause of secondary pneumonia** following an Influenza infection is *S. aureus*. * **IV Drug Abusers:** Often present with bilateral, peripheral, patchy opacities due to septic emboli from right-sided endocarditis. * **Radiological Triad:** Patchy infiltrates + Pneumatocoeles + Empyema = Think *Staphylococcus aureus*.
Explanation: **Explanation:** The correct answer is **Poland syndrome**. This condition is characterized by the congenital unilateral absence of the pectoralis major muscle (and sometimes the pectoralis minor). On a chest X-ray, the absence of this soft tissue mass results in decreased attenuation of X-rays on the affected side, leading to **unilateral hyperlucency**. This is a "false" hyperlucency because the lung parenchyma itself is normal, but there is less chest wall tissue to absorb the radiation. **Analysis of Options:** * **Lung Collapse (B):** This typically presents as **increased opacity** (whiteness) due to the loss of air and volume in the lung, often accompanied by a mediastinal shift toward the side of the collapse. * **Pulmonary Embolism (A):** While a large PE can cause focal hyperlucency distal to the occluded vessel (**Westermark sign**) due to oligemia, it rarely involves the entire lung uniformly. * **Pulmonary Arterial Hypoplasia (D):** This can cause hyperlucency (e.g., Swyer-James-MacLeod Syndrome), but it is usually associated with a **small/hypoplastic lung** and reduced vascular markings. In Poland syndrome, the lung volume and vascularity are typically normal. **Clinical Pearls for NEET-PG:** * **Poland Syndrome Triad:** Unilateral absence of pectoralis major, symbrachydactyly (short, webbed fingers), and ipsilateral breast/nipple hypoplasia. * **Differential for Unilateral Hyperlucency:** 1. **Technical:** Patient rotation. 2. **Chest Wall:** Mastectomy, Poland syndrome. 3. **Airway/Lung:** Pneumothorax, Obstructive emphysema (Foreign body), Swyer-James-MacLeod Syndrome. 4. **Vascular:** Westermark sign (PE). * **High-Yield Tip:** If the hyperlucency disappears on a film taken with different centering or if the lung markings are normal, always suspect a chest wall abnormality like Poland syndrome or a prior mastectomy.
Explanation: **Explanation:** The term **"miliary shadow"** refers to a pattern of fine, discrete, small nodules (1–3 mm in diameter) distributed uniformly throughout the lungs, resembling millet seeds. This pattern typically represents **hematogenous spread** or diffuse interstitial involvement. **Why Staphylococcal pneumonia is the correct answer:** Staphylococcal pneumonia typically presents with **patchy bronchopneumonia**, consolidation, or abscess formation. A hallmark feature in children is the development of **pneumatoceles** (thin-walled, air-filled cysts). It does not present with a diffuse miliary pattern; instead, it shows localized or multifocal opacities. **Analysis of incorrect options:** * **Miliary Tuberculosis:** The classic cause of this pattern, resulting from the hematogenous spread of *Mycobacterium tuberculosis*. * **Pneumoconiosis:** Occupational lung diseases like Silicosis or Coal Worker’s Pneumoconiosis (CWP) often present with diffuse nodular opacities that can mimic a miliary pattern. * **Sarcoidosis:** Specifically Stage II sarcoidosis can present with a micronodular/miliary distribution, often accompanied by bilateral hilar lymphadenopathy. **NEET-PG High-Yield Pearls:** * **Differential Diagnosis for Miliary Shadows:** Remember the mnemonic **"MIST"**: **M**iliary TB/Metastasis (Thyroid, Renal Cell Carcinoma, Melanoma), **I**diopathic Pulmonary Fibrosis (early), **S**ilicoses/Sarcoidosis, **T**ropical Pulmonary Eosinophilia (TPE) or Histoplasmosis. * **Snowstorm Appearance:** Often used interchangeably with miliary patterns in the context of Metastatic Choriocarcinoma or Silicosis. * **Staph. aureus:** Look for "pneumatoceles" and "pyopneumothorax" in clinical vignettes involving post-viral (influenza) pneumonia.
Explanation: ***Pneumonia*** - Fever and breathlessness with **consolidation** and **air bronchograms** on chest X-ray are classic features of pneumonia. - The acute presentation with respiratory symptoms strongly supports **community-acquired pneumonia** rather than chronic conditions. *Tuberculosis* - Typically presents with **upper lobe cavitation** or **miliary pattern** on chest X-ray, not consolidation. - Usually has a more **chronic course** with night sweats, weight loss, and hemoptysis over weeks to months. *Pleural effusion* - Chest X-ray would show **meniscus sign** and **homogeneous opacification** obscuring lung markings. - Clinical presentation includes **dull percussion note** and **reduced breath sounds** rather than consolidation features. *Bronchogenic carcinoma* - X-ray findings include **lung mass**, **hilar enlargement**, or **collapse/consolidation** due to obstruction. - Typically presents with **chronic cough**, **weight loss**, and **hemoptysis** rather than acute fever and breathlessness.
Explanation: ### Explanation The primary goal in evaluating a **Solitary Pulmonary Nodule (SPN)** is to differentiate between benign and malignant etiologies. While imaging modalities help characterize the nodule, they cannot provide a definitive pathological diagnosis. **Why Image-guided Biopsy is correct:** A definitive diagnosis requires a histological or cytological examination. **Image-guided biopsy** (usually CT-guided Percutaneous Transthoracic Needle Aspiration/Biopsy) is the gold standard for establishing a tissue diagnosis, especially when malignancy is suspected or when non-invasive tests are inconclusive. It allows for the identification of specific cell types (e.g., Adenocarcinoma vs. Small Cell Carcinoma), which dictates management. **Why the other options are incorrect:** * **Computed Tomography (CT) Scan:** CT is the **investigation of choice for characterization** and staging. It assesses margins, calcification patterns, and doubling time, but it remains a morphological assessment, not a histological one. * **Magnetic Resonance Imaging (MRI):** MRI has a limited role in lung parenchyma due to low proton density and motion artifacts. It is primarily used for assessing chest wall invasion or superior sulcus tumors. * **Ultrasonography (USG):** USG is useful only for peripheral nodules abutting the pleura or for guiding biopsies of such lesions; it cannot evaluate nodules surrounded by aerated lung. **High-Yield Clinical Pearls for NEET-PG:** * **Definition of SPN:** A single, well-circumscribed opacity < 3 cm in diameter, completely surrounded by aerated lung, without associated atelectasis or adenopathy. * **Benign Calcification Patterns:** Diffuse, central, laminated (popcorn-like in hamartomas). * **Malignant Features:** Spiculated margins (Corona radiata sign), size > 3 cm (termed a "mass"), and rapid doubling time (20–400 days). * **Next Step:** If a nodule is found on CXR, the immediate next step is **CT Chest**. If the CT suggests malignancy, the diagnostic step is **Biopsy**.
Explanation: **Explanation:** **Kerley B lines** are thin, short (1–2 cm), horizontal lines seen at the lung bases, perpendicular to the pleural surface. They represent **thickened interlobular septa** caused by fluid accumulation or cellular infiltration. 1. **Why Pulmonary Edema is Correct:** In congestive heart failure and pulmonary edema, increased pulmonary venous pressure leads to fluid transudation into the interstitial spaces. This fluid collects in the interlobular septa, making them visible on a chest X-ray as Kerley B lines. They are a hallmark sign of **interstitial pulmonary edema**. 2. **Why Other Options are Incorrect:** * **Pulmonary Embolism:** Typically presents with a normal X-ray or specific signs like Hampton’s hump (wedge-shaped opacity) or Westermark sign (focal oligemia), but not septal lines. * **Carcinoma Bronchus:** Usually presents as a focal mass, hilar enlargement, or post-obstructive atelectasis. While *Lymphangitis Carcinomatosa* can cause Kerley lines, "Carcinoma bronchus" refers to the primary tumor itself. * **Lung Abscess:** Characterized by a thick-walled cavity with an air-fluid level, not diffuse septal thickening. **High-Yield Clinical Pearls for NEET-PG:** * **Kerley A lines:** Longer (2–6 cm) lines radiating from the hila toward the periphery (represent thickening of deep central connective tissue). * **Kerley C lines:** Short, reticular lines forming a "spider web" appearance (represent thickening of anastomotic lymphatics). * **Differential Diagnosis for Kerley B lines:** Remember the mnemonic **"CHAL"**: **C**HF (Pulmonary edema), **H**umidifier lung (Hypersensitivity pneumonitis), **A**lveolar proteinosis/Asbestosis, **L**ymphangitis carcinomatosa/Lymphoma. * **Stage of Edema:** Kerley B lines appear when the Pulmonary Capillary Wedge Pressure (PCWP) is between **18–25 mmHg**.
Explanation: In Pulmonary Embolism (PE), the hallmark finding on a V/Q (Ventilation/Perfusion) scan is a **segmental perfusion defect** in the presence of normal ventilation. ### Why Option A is Correct A pulmonary embolus physically obstructs a branch of the pulmonary artery. This leads to a complete lack of blood flow (perfusion) to the specific lung segment supplied by that vessel. On a perfusion scan (using Technetium-99m MAA), these areas appear as "cold spots." Because the defect follows the anatomical distribution of the bronchopulmonary segments, it is characterized as **segmental**. ### Why Other Options are Incorrect * **Option B:** While a perfusion defect occurs, the term "normal lung scan" is ambiguous and technically incorrect because the perfusion scan itself is abnormal. The classic finding is a **V/Q mismatch** (abnormal perfusion with normal ventilation). * **Option C:** Tenting of the diaphragm is a non-specific sign often associated with pleural effusions, basal atelectasis, or phrenic nerve palsy, but it is not a diagnostic feature of PE on a perfusion scan. * **Option D:** A normal perfusion scan virtually excludes PE (high negative predictive value), but it is not the *finding* of PE. ### High-Yield Clinical Pearls for NEET-PG * **V/Q Mismatch:** The classic triad for PE is a perfusion defect + normal ventilation + normal chest X-ray. * **Westermark Sign:** Focal oligemia (decreased vascularity) distal to the embolus on a Chest X-ray. * **Hampton’s Hump:** A wedge-shaped opacity at the periphery (pleura-based) representing pulmonary infarction. * **Gold Standard:** CT Pulmonary Angiography (CTPA) is now the investigation of choice. V/Q scans are primarily used when CTPA is contraindicated (e.g., renal failure or pregnancy). * **Palla’s Sign:** Enlarged right descending pulmonary artery on X-ray.
Explanation: ### Explanation The clinical presentation describes **TRALI (Transfusion-Related Acute Lung Injury)**. This is a life-threatening complication characterized by the sudden onset of non-cardiogenic pulmonary edema (breathlessness, cough, and bilateral infiltrates on CXR) within **6 hours** of a blood product transfusion. **Why Plasma Transfusion is the Correct Answer:** TRALI is primarily caused by **anti-HLA or anti-neutrophil antibodies** present in the **donor's plasma**. These antibodies react with the recipient’s neutrophils in the pulmonary microvasculature, leading to endothelial damage and capillary leak. Therefore, blood components with the **highest volume of plasma** pose the greatest risk. **Fresh Frozen Plasma (FFP)** and **Platelets** (which are suspended in plasma) are the most common culprits. Among all components, plasma-rich products from multiparous female donors are historically the most frequently implicated. **Analysis of Incorrect Options:** * **Packed Red Blood Cells (PRBC):** While PRBCs can cause TRALI, they contain significantly less plasma than FFP or Platelet concentrates, making them a less common cause per unit transfused. * **Platelet Transfusion:** Platelets are the second most common cause. However, in the hierarchy of risk per unit, high-volume plasma remains the primary trigger. * **Whole Blood Transfusion:** While it contains plasma, whole blood is rarely used in modern practice compared to component therapy. **Clinical Pearls for NEET-PG:** * **TRALI vs. TACO:** TRALI presents with **hypotension** and normal pulmonary capillary wedge pressure (non-cardiogenic). **TACO** (Transfusion-Associated Circulatory Overload) presents with **hypertension**, neck vein distension, and responds to diuretics. * **Prevention:** Using "male-only" plasma or plasma from nulliparous women reduces risk, as pregnancy sensitizes women to HLA antigens. * **CXR Finding:** Characterized by bilateral "white-out" or patchy alveolar infiltrates without cardiomegaly.
Explanation: **Explanation:** Miliary shadows on a chest X-ray refer to fine, discrete, 1–3 mm micronodular opacities scattered uniformly throughout both lung fields. The term "miliary" is derived from the resemblance of these nodules to millet seeds. While classically associated with hematogenous spread of tuberculosis, this pattern is a morphological finding that can occur in several granulomatous, inflammatory, or neoplastic conditions. **Breakdown of Options:** * **Tuberculosis (A):** The most common cause. It represents hematogenous dissemination of *Mycobacterium tuberculosis*. Nodules are typically uniform in size and distribution. * **Rheumatoid Arthritis (B):** Can present with miliary-sized rheumatoid nodules or as part of an interstitial lung disease (ILD) pattern. * **Pneumoconiosis (C):** Occupational lung diseases like Silicosis, Coal Worker’s Pneumoconiosis (CWP), and Siderosis frequently present with diffuse micronodular opacities that mimic miliary TB. Since all three conditions can manifest with this radiological pattern, **Option D** is the correct answer. **High-Yield Clinical Pearls for NEET-PG:** * **Differential Diagnosis (Mnemonic: M.S. PANT):** **M**iliary TB, **S**ilicosis/Sarcoidosis, **P**neumoconiosis, **A**lveolar Cell Carcinoma (now Adenocarcinoma), **N**odular Metastases (e.g., Thyroid, Melanoma, Renal Cell Carcinoma), **T**ropical Pulmonary Eosinophilia. * **HRCT:** High-Resolution CT is the gold standard for characterizing these nodules. In miliary TB, the distribution is typically **random**, whereas in Silicosis/Sarcoidosis, it is often **perilymphatic**. * **Stannosis and Barium inhalation:** These produce the most "radio-opaque" (dense) miliary shadows.
Explanation: ### Explanation A **Phantom Tumor** (also known as a **Vanishing Tumor** or **Pseudotumor**) is a classic radiological sign seen on a chest X-ray. It occurs due to a **loculated interlobar effusion**, most commonly found within the **horizontal (minor) fissure**. #### Why Interlobar Effusion is Correct: The "tumor" appearance is created when pleural fluid accumulates within a pulmonary fissure. Because the fluid is confined by the pleural layers of the fissure, it assumes a biconvex, lenticular, or lemon-shaped morphology. On a frontal radiograph, this mimics a solid lung mass or tumor. It is termed "phantom" or "vanishing" because it characteristically disappears rapidly following diuretic therapy or treatment of the underlying cause (typically Congestive Heart Failure). #### Why Other Options are Incorrect: * **Loculated Pleural Effusion:** While a phantom tumor is a *type* of loculated effusion, the term specifically refers to fluid trapped within the **fissures** (interlobar). General loculated effusions often occur in the peripheral pleural space due to adhesions (e.g., empyema). * **Subpulmonic Effusion:** This refers to fluid collected between the lung base and the diaphragm. It presents as an "elevated hemidiaphragm" with lateral displacement of the peak (dome), not as a lung mass. * **Pericardial Effusion:** This involves fluid in the pericardial sac, leading to a "water-bottle" heart sign or globular enlargement of the cardiac silhouette, rather than a focal pulmonary mass. #### High-Yield Pearls for NEET-PG: * **Most Common Cause:** Congestive Heart Failure (CHF). * **Most Common Site:** Horizontal (minor) fissure. * **Key Diagnostic Feature:** Disappears with diuresis. * **Lateral View:** On a lateral X-ray, the "mass" appears tapered at the ends where it follows the line of the fissure, confirming its interlobar origin.
Normal Chest Radiographic Anatomy
Practice Questions
Radiographic Signs in Chest Imaging
Practice Questions
Pulmonary Infections
Practice Questions
Chronic Obstructive Pulmonary Disease
Practice Questions
Interstitial Lung Diseases
Practice Questions
Pulmonary Neoplasms
Practice Questions
Pleural Diseases
Practice Questions
Mediastinal Pathology
Practice Questions
Congenital and Developmental Chest Anomalies
Practice Questions
Pulmonary Vascular Diseases
Practice Questions
Chest Trauma Imaging
Practice Questions
Post-Surgical Chest Imaging
Practice Questions
Get full access to all questions, explanations, and performance tracking.
Start For Free