All are true about thymus swelling except:
What is the safest contrast agent for diagnosing esophageal perforation?
Split Pleura sign is seen in which of the following conditions?
Air bronchogram is seen in which of the following conditions?
The "flat waist sign" is characteristically seen in which of the following conditions?
A patient presents with cough and fever. On X-ray examination, a homogenous opacity silhouetting the right heart border with ill-defined lateral margins is seen. What is the most probable diagnosis?
Miliary mottling on X-ray chest is seen in which of the following conditions?
Which of the following statements about a normal chest X-ray is true?
A 68-year-old female smoker presents to the ER with mild hemoptysis and cough, producing 1 to 2 teaspoons of light-green sputum daily. She uses inhalers as needed for occasional shortness of breath. A routine chest X-ray is obtained. What is the most likely cause of the abnormality seen on the CXR?

Notching of ribs occurs in all EXCEPT:
Explanation: The thymus is a soft, lymphoid organ located in the anterior mediastinum, most prominent in infants and young children. Understanding its radiological characteristics is crucial for differentiating normal physiological enlargement from pathological masses. ### **Why "Shift of trachea" is the Correct Answer (The Exception)** The normal thymus is a **soft, pliable structure**. Even when enlarged (physiological or reactive hyperplasia), it conforms to the surrounding structures rather than compressing them. Therefore, a thymic swelling **does not cause a mass effect**; it will not displace the trachea or compress the great vessels. If tracheal deviation is present, a clinician should suspect a firmer mass like a lymphoma, germ cell tumor, or neuroblastoma. ### **Analysis of Other Options** * **Widening of mediastinum (A):** In infants, the thymus is the most common cause of a wide superior mediastinum on a chest X-ray. This is a normal finding up to the age of 2 years. * **Sail-like appearance (B):** This is a classic radiological sign (the **"Thymic Sail Sign"**). The thymus often has a sharp, triangular lateral border, usually on the right side, resembling the sail of a boat. * **Steroid administration (C):** The thymus is highly sensitive to corticosteroids. During periods of acute stress or exogenous steroid administration, the thymus undergoes rapid involution (shrinkage). It may later exhibit "rebound hyperplasia" once the stressor is removed. ### **High-Yield Clinical Pearls for NEET-PG** * **Wave Sign (Mulvey’s Sign):** The soft thymus shows indentations from the overlying ribs, creating a wavy contour on X-ray. * **Age Factor:** The thymus is largest at puberty but most visible on X-ray in the first 2 years of life. It undergoes fatty infiltration (involution) in adults. * **DiGeorge Syndrome:** Characterized by **thymic aplasia** (absent thymic shadow on X-ray) along with hypocalcemia and cardiac defects.
Explanation: In the clinical suspicion of esophageal perforation, the choice of contrast agent is dictated by the potential risk of leakage into the mediastinum or pleural space. **Why Iohexol is the Correct Answer:** Iohexol is a **non-ionic, low-osmolar water-soluble contrast agent (LOCM)**. It is considered the safest option because it is biologically inert if it leaks into the mediastinum. Unlike older water-soluble agents, it does not cause significant chemical mediastinitis, and unlike barium, it does not cause granulomatous reactions or fibrosis. Furthermore, if accidentally aspirated into the lungs (a common risk in patients with dysphagia or perforation), LOCM is much less likely to cause life-threatening pulmonary edema compared to high-osmolar agents. **Analysis of Incorrect Options:** * **Barium Sulphate:** While it provides superior mucosal detail, it is strictly contraindicated if perforation is suspected. If barium leaks into the mediastinum or peritoneum, it causes a severe **granulomatous inflammatory response** and permanent fibrosis, which complicates surgical repair. * **Gadolinium:** This is an MRI contrast agent. It is not used for routine fluoroscopic swallow studies to detect perforations. * **Hypaque (Diatrizoate):** This is a **high-osmolar water-soluble contrast (HOCM)**. While it was historically used to avoid barium complications, its high osmolarity causes severe **pulmonary edema** if aspirated. It is also more irritating to the mediastinal tissues than Iohexol. **NEET-PG Clinical Pearls:** * **Stepwise Protocol:** The standard protocol for suspected perforation is to start with a **water-soluble contrast** (like Iohexol). If no leak is seen, follow up with **Barium** to rule out small leaks, as barium has higher sensitivity due to better coating. * **Gold Standard:** For definitive diagnosis and staging of esophageal trauma/perforation, **CT Chest with oral contrast** is increasingly preferred over traditional fluoroscopy.
Explanation: **Explanation:** The **Split Pleura Sign** is a classic and highly specific CT finding for **Pleural Empyema**. It occurs when the parietal and visceral pleura become thickened and separated by a collection of infected fluid. On contrast-enhanced CT, both layers of the pleura enhance intensely, creating the appearance of two distinct "split" layers surrounding the hypodense fluid collection. **Analysis of Options:** * **Pleural Empyema (Correct):** The presence of pus in the pleural space triggers an inflammatory response, leading to the thickening and enhancement of both pleural layers. This sign helps differentiate empyema from a simple parapneumonic effusion. * **Lung Abscess:** This is an intraparenchymal collection. Unlike empyema, an abscess typically has thick, irregular walls, forms an acute angle with the chest wall, and destroys the lung parenchyma (vessels and bronchi end abruptly at the cavity). * **Pleural Fibroma:** Also known as a Solitary Fibrous Tumor of the Pleura, this is a localized soft tissue mass. It does not typically cause the diffuse, uniform splitting of pleural layers seen in empyema. * **Dressler Syndrome:** This is a post-myocardial infarction syndrome characterized by pericarditis and pleuritis. While it causes pleural effusion, it rarely leads to the significant pleural thickening required to produce the split pleura sign. **High-Yield Pearls for NEET-PG:** * **CT is the gold standard** for identifying the split pleura sign. * **Empyema vs. Abscess:** Empyema displaces adjacent vessels/bronchi (compression), whereas an abscess destroys them. * **Other features of Empyema:** Lenticular (biconvex) shape and extrapleural fat stranding. * The split pleura sign can also occasionally be seen in **pleurodesis** or **chronic hemothorax**, but empyema is the most common association in exams.
Explanation: **Explanation:** **1. Why Consolidation is Correct:** An **Air Bronchogram** is a radiographic phenomenon where air-filled (lucent) bronchi are made visible by the surrounding opacified (white) alveoli. Under normal conditions, the bronchi are not visible because they are surrounded by air-filled lung tissue (black against black). In **consolidation**, the alveoli are filled with fluid, pus, or blood, creating a dense background that provides contrast, allowing the air-filled bronchial tree to stand out as linear branching lucencies. This is a hallmark sign of alveolar lung disease. **2. Why Incorrect Options are Wrong:** * **Lung Abscess & Lung Cavity:** These involve the destruction of lung parenchyma and the bronchial wall itself. Because the architecture of the airway is destroyed in these areas, the classic branching pattern of an air bronchogram cannot be formed. * **Pneumothorax:** This occurs when air enters the pleural space, causing the lung to collapse. Since the lung is no longer in contact with the chest wall and the alveoli are deflated rather than fluid-filled, no air bronchogram is seen. **3. NEET-PG High-Yield Pearls:** * **Most Common Cause:** Lobar pneumonia (Streptococcus pneumoniae). * **Other Causes:** Pulmonary edema, pulmonary hemorrhage, hyaline membrane disease (RDS), and certain tumors like Bronchoalveolar Carcinoma (now Adenocarcinoma in situ). * **Exclusion:** An air bronchogram **rules out** a pleural effusion or a complete obstructive atelectasis (where the bronchus itself is plugged). * **CT Correlation:** The "CT Air Bronchogram" is more sensitive than a standard Chest X-ray.
Explanation: **Explanation:** The **"Flat Waist Sign"** is a classic radiological sign of **Left Lower Lobe (LLL) collapse**. **1. Why Left Lower Lobe Collapse is Correct:** In a normal chest X-ray, the left heart border has a characteristic "waist" formed by the concavity between the aortic arch, the pulmonary artery, and the left ventricle. When the left lower lobe collapses, it displaces posteriorly and medially. This causes the **heart to rotate posterolaterally** and the mediastinum to shift slightly. This rotation flattens the normal concavity of the left heart border, resulting in a straight or "flat" appearance—the Flat Waist Sign. **2. Why the Other Options are Incorrect:** * **Right Upper Lobe (RUL) Collapse:** Characterized by the **Golden S-sign** (due to a central mass) and upward displacement of the horizontal fissure. * **Right Middle Lobe (RML) Collapse:** Best seen on a lateral view as a wedge-shaped opacity; on PA view, it causes **blurring of the right heart border** (Silhouette sign). * **Left Upper Lobe (LUL) Collapse:** Characterized by the **Luftsichel sign** (a crescent of air around the aortic arch) and anterior displacement of the major fissure. **3. High-Yield Clinical Pearls for NEET-PG:** * **Luftsichel Sign:** Pathognomonic for Left Upper Lobe collapse. * **Golden S-Sign:** Suggests a central obstructing mass causing lobe collapse (usually RUL). * **Sail Sign:** Seen in Left Lower Lobe collapse (the collapsed lobe forms a triangular opacity behind the heart) or as a normal finding in the pediatric thymus. * **Silhouette Sign:** Loss of the heart border or diaphragm contour helps localize which lobe is involved (e.g., loss of right heart border = RML).
Explanation: ### Explanation The key to solving this question lies in understanding the **Silhouette Sign**, a fundamental concept in chest radiology. The silhouette sign occurs when two structures of similar radiographic density (e.g., water/soft tissue) are in direct anatomical contact, causing the border between them to be lost or "silhouetted." **1. Why Option A is Correct:** The **right heart border** is formed by the **Right Middle Lobe (RML)**, specifically its **medial segment**. When this segment becomes consolidated (as in pneumonia), it replaces the air-filled lung adjacent to the heart with fluid/pus. Since the heart and the consolidated lung now have the same density and are in physical contact, the right heart border disappears. **2. Why the Other Options are Incorrect:** * **Option B (Right Lower Lobe):** The superior segment of the right lower lobe is located posteriorly. It does not touch the heart border; instead, lower lobe pathologies typically silhouette the **diaphragm**. * **Option C (Loculated Pleural Effusion):** While an effusion causes opacity, it usually presents with well-defined, convex borders and does not specifically silhouette the heart border unless it is very large or specifically located in the fissure adjacent to the heart. * **Option D (Anterior Zone):** This is a distractor. Anatomically, the RML is divided into **medial and lateral segments**. It is the medial segment that lies against the heart, while the lateral segment does not. **3. High-Yield Clinical Pearls for NEET-PG:** * **Right Heart Border:** Silhouetted by Right Middle Lobe (Medial segment). * **Left Heart Border:** Silhouetted by Left Upper Lobe (Lingula). * **Right Diaphragm:** Silhouetted by Right Lower Lobe. * **Left Diaphragm:** Silhouetted by Left Lower Lobe. * **Aortic Knuckle:** Silhouetted by Left Upper Lobe (Posterior segment). * **Ascending Aorta:** Silhouetted by Right Upper Lobe (Anterior segment).
Explanation: **Explanation:** Miliary mottling refers to a radiological pattern characterized by numerous fine, discrete, 1-2 mm "millet-seed" sized nodules distributed throughout both lung fields. **1. Why Sarcoidosis is Correct:** Sarcoidosis is a multisystem granulomatous disease characterized by non-caseating granulomas. While the classic radiological presentation is bilateral hilar lymphadenopathy, it can present with a miliary pattern (Stage II or III) due to the perilymphatic distribution of granulomas. It is a well-recognized cause of "pseudomiliary" mottling on chest X-rays. **2. Analysis of Incorrect Options:** * **Histoplasmosis:** While acute histoplasmosis can cause small nodules, it typically presents with larger, ill-defined patches or "buckshot" calcifications as it heals. It is a less common cause of true miliary patterns compared to Sarcoidosis in standard exam contexts. * **Secondaries from Ca. Colon:** Hematogenous metastases from the colon usually present as larger, well-defined "cannon-ball" lesions. Miliary metastases are more characteristically seen in **Thyroid (follicular), Renal Cell Carcinoma, Melanoma, and Choriocarcinoma.** * **Gonococcal Pneumonia:** This is an extremely rare cause of pneumonia and does not typically present with a miliary pattern; it usually presents as localized consolidation if it occurs. **3. High-Yield Clinical Pearls for NEET-PG:** * **Most Common Cause:** Miliary Tuberculosis is the most common cause of this pattern globally. * **Differential Diagnosis (Mnemonic: M.I.S.T.):** * **M:** Miliary TB, Metastasis (Thyroid, RCC), Microlithiasis (Alveolar). * **I:** Idiopathic Pulmonary Fibrosis (early stages). * **S:** Sarcoidosis, Silicosis, Stannosis. * **T:** Tropical Pulmonary Eosinophilia (TPE), Talcosis. * **HRCT Finding:** In Sarcoidosis, nodules follow a **perilymphatic distribution** (along fissures and bronchovascular bundles), whereas in Miliary TB, the distribution is **random**.
Explanation: ### **Explanation** **1. Why Option A is Correct:** In a normal chest radiograph, the **left hilum is higher than the right hilum** in approximately 95% of individuals. This is primarily due to the anatomy of the pulmonary arteries. The **left pulmonary artery** arches over the left main bronchus (becoming "hyparterial"), whereas the **right pulmonary artery** lies anterior and slightly inferior to the right main bronchus. Consequently, the right hilum is lower than the left. They are at the same level in a small percentage of cases, but the right hilum is **never** higher than the left in a normal scan. **2. Why the Other Options are Incorrect:** * **Option B:** Normally, the **right dome of the diaphragm is higher** than the left (by about 1.5–2 cm). This is due to the presence of the liver on the right side and the heart pushing the left dome downward. * **Option C:** Pulmonary vessels (arteries and veins) taper as they move toward the periphery. On a standard CXR, they are generally **not visible in the lateral 1/3rd** (peripheral zone) of the lung fields. Visibility in the extreme periphery usually indicates pathology, such as pulmonary venous hypertension or pruning in pulmonary hypertension. **3. NEET-PG High-Yield Pearls:** * **Hilum Height:** If the right hilum is higher than the left, suspect **right upper lobe collapse** or a mass pulling the hilum upward. * **Diaphragm:** The left dome may be higher than the right in cases of **situs inversus**, left-sided eventration, or phrenic nerve palsy. * **Trachea:** A slight rightward deviation of the trachea at the level of the aortic arch is normal. * **Cardiothoracic Ratio:** Normal is **<0.5** (50%) on a PA view; it cannot be accurately assessed on an AP view.
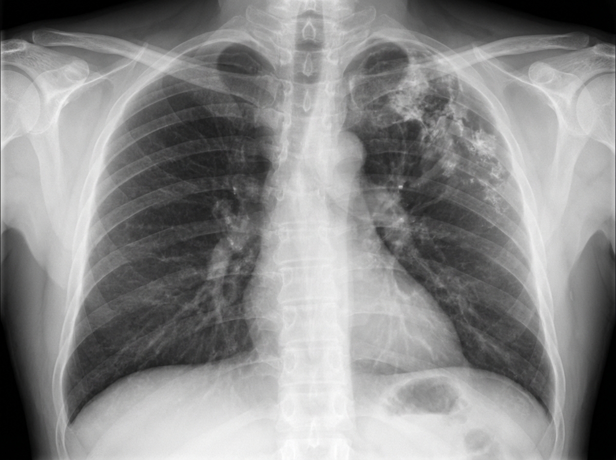
Explanation: ***Old tuberculosis with thoracoplasty*** - **Thoracoplasty** shows characteristic features of **absent upper ribs**, **asymmetric chest configuration**, and **apical volume loss** with possible **calcifications** from old TB. - This was a **pre-antibiotic era treatment** for tuberculosis, involving surgical removal of ribs to collapse the lung and control infection. *Asbestos exposure* - Would typically show **bilateral lower lobe** pleural changes like **pleural plaques** or **pleural thickening**, not upper lobe asymmetry. - **Pleural calcifications** in asbestosis are usually **bilateral** and **symmetrical**, unlike the unilateral changes seen in thoracoplasty. *Lung cancer* - Would present as a **discrete mass** or **nodule** on chest X-ray, not structural chest wall deformity. - Given the patient's smoking history and hemoptysis, cancer should be considered but wouldn't cause **rib absence** or **chest asymmetry**. *Chronic bronchitis* - Typically shows **hyperinflation** with **flattened diaphragms** and increased **anteroposterior diameter** on CXR. - Would not cause **structural chest wall abnormalities** or **rib absence** as seen in thoracoplasty cases.
Explanation: **Explanation:** Rib notching is a classic radiological sign characterized by erosions along the margins of the ribs. It is broadly categorized into **superior** and **inferior** rib notching. **1. Why Hypothyroidism is the correct answer:** Hypothyroidism does not cause rib notching. It is associated with other skeletal findings such as delayed bone age, epiphyseal dysgenesis (stippled epiphyses), and macroglossia, but it has no pathophysiological mechanism that leads to focal pressure erosion or metabolic remodeling of the rib margins. **2. Analysis of Incorrect Options:** * **Coarctation of Aorta (Option A):** This is the most common cause of **inferior rib notching** (Roesler’s sign). Due to the narrowing of the aorta, collateral circulation develops through the intercostal arteries. These dilated, tortuous arteries cause pressure erosion on the lower borders of the 3rd to 9th ribs. * **Neurofibromatosis Type 1 (Option B):** NF-1 causes rib notching through two mechanisms: pressure erosion from intercostal neurofibromas or primary skeletal dysplasia (rib "shaving" or "ribbon ribs"). * **Osteogenesis Imperfecta (Option D):** This is a cause of **superior rib notching**. In metabolic or connective tissue disorders, the ribs are weakened, making them susceptible to pressure from overlying muscles or abnormal remodeling. **High-Yield Clinical Pearls for NEET-PG:** * **Inferior Notching (3rd–9th ribs):** Think vascular (Coarctation, Blalock-Taussig shunt, SVC obstruction). * **Superior Notching:** Think connective tissue/metabolic (Osteogenesis Imperfecta, Marfan syndrome, Rheumatoid Arthritis, Hyperparathyroidism). * **Unilateral Notching:** If seen on the right side only in Coarctation, it suggests the narrowing is proximal to the left subclavian artery. * **Roesler’s Sign:** Specific term for inferior rib notching in Coarctation of the Aorta.
Normal Chest Radiographic Anatomy
Practice Questions
Radiographic Signs in Chest Imaging
Practice Questions
Pulmonary Infections
Practice Questions
Chronic Obstructive Pulmonary Disease
Practice Questions
Interstitial Lung Diseases
Practice Questions
Pulmonary Neoplasms
Practice Questions
Pleural Diseases
Practice Questions
Mediastinal Pathology
Practice Questions
Congenital and Developmental Chest Anomalies
Practice Questions
Pulmonary Vascular Diseases
Practice Questions
Chest Trauma Imaging
Practice Questions
Post-Surgical Chest Imaging
Practice Questions
Get full access to all questions, explanations, and performance tracking.
Start For Free