Which is the most accurate investigation for assessing left ventricular global systolic function?
Transesophageal echocardiography is useful in which of the following conditions?
Hilar dance is seen in fluoroscopy of which condition?
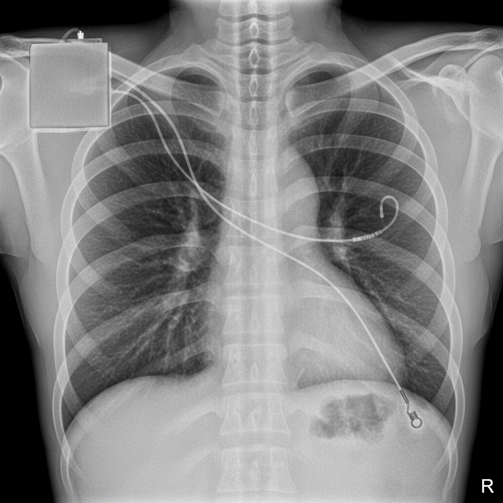
What is the location of the atrial and ventricular pacemaker lead tips, respectively?

What is the typical movement of mitral valve calcification?
What is the radiological finding of a "sitting duck heart"?
What is the procedure of choice for the evaluation of aortic aneurysm?
On an X-ray chest PA view, which chamber forms the anterior surface of the heart?
A 68-year-old woman presented with unstable angina and underwent cardiac catheterization by radial access. There was difficulty advancing the guidewire; a brachial angiogram revealed the following. What is the diagnosis?

'Spade-like' deformity of the cardiac apex on angiography is pathognomonic of:
Explanation: **Explanation:** **Cardiac MRI (CMR)** is currently considered the **Gold Standard** for the assessment of left ventricular (LV) volumes, mass, and global systolic function (Ejection Fraction). Its superiority lies in its high spatial and temporal resolution and its ability to provide three-dimensional volumetric data without relying on geometric assumptions or acoustic windows. Unlike other modalities, MRI provides excellent endocardial border definition, leading to the highest inter-observer reproducibility. **Analysis of Incorrect Options:** * **Echocardiography:** While it is the most common *initial* investigation due to its cost-effectiveness and availability, it is limited by the "acoustic window" (body habitus/lung disease) and relies on geometric assumptions (e.g., Simpson’s rule), which can be inaccurate in remodeled or dilated hearts. * **Multislice CT (MSCT):** Although CT offers excellent spatial resolution and can calculate EF, it involves significant ionizing radiation and iodinated contrast. It is generally reserved for coronary anatomy rather than routine functional assessment. * **Nuclear Scan (MUGA/SPECT):** These are useful for functional assessment but have lower spatial resolution compared to MRI and involve exposure to radioactive isotopes. **Clinical Pearls for NEET-PG:** * **Gold Standard for Myocardial Viability:** Cardiac MRI (Late Gadolinium Enhancement - LGE). * **Gold Standard for Iron Overload (Hemochromatosis):** Cardiac MRI T2* weighted imaging. * **First-line investigation for Valvular Heart Disease:** Echocardiography. * **Best for Coronary Artery Calcium Scoring:** Non-contrast CT.
Explanation: **Explanation:** Transesophageal Echocardiography (TEE) is a specialized imaging modality that provides high-resolution images of posterior cardiac structures and the great vessels, as the esophagus lies directly behind the heart. **Why the Correct Answer is Right:** **Vascular Rings** (e.g., Double Aortic Arch) encircle the trachea and esophagus. TEE is exceptionally useful here because the probe is positioned within the esophagus itself, allowing for direct visualization of the compressive vascular structures and their relationship with the esophageal wall. It helps in identifying the anatomy of the ring and assessing the degree of esophageal compression. **Analysis of Incorrect Options:** * **A. Sinus Venosus ASD:** While TEE is superior to Transthoracic Echocardiography (TTE) for visualizing the superior vena cava and the atrial septum, it is not the *most* definitive or unique application compared to the anatomical assessment required for vascular rings. * **B. Dissection of the Aortic Arch:** While TEE is excellent for the descending aorta, **CT Angiography (CTA)** is the gold standard for diagnosing aortic dissection (especially involving the arch and ascending aorta) due to its speed and comprehensive field of view. * **C. Prosthetic Valve Thrombosis:** TEE is indeed used to evaluate prosthetic valves (to avoid acoustic shadowing seen on TTE), but in the context of this specific question, the structural/anatomical assessment of a **Vascular Ring** is a classic high-yield indication for TEE’s proximity to the esophagus. **High-Yield Clinical Pearls for NEET-PG:** * **Gold Standard for Left Atrial Appendage (LAA) Thrombus:** TEE is the investigation of choice to rule out LAA thrombi before cardioversion. * **Infective Endocarditis:** TEE is more sensitive than TTE for detecting small vegetations (<5mm) and perivalvular abscesses. * **Blind Spot:** TEE has a "blind spot" at the distal ascending aorta and the proximal arch due to the interposition of the trachea (air-filled), which limits its utility in certain aortic pathologies.
Explanation: **Explanation:** **Hilar Dance** refers to the visualization of vigorous, expansive pulsations of the pulmonary arteries during fluoroscopy. This phenomenon occurs due to a **large left-to-right shunt**, which leads to increased pulmonary blood flow and a wide pulse pressure within the pulmonary circulation. **Why Patent Ductus Arteriosus (PDA) is correct:** In PDA, blood shunts from the high-pressure aorta into the lower-pressure pulmonary artery. This continuous flooding of the pulmonary bed increases the stroke volume of the pulmonary arteries. During fluoroscopy, these hyperdynamic pulsations are seen at the hilum, creating the "hilar dance." While also seen in ASD and VSD, PDA is a classic cause among the provided options. **Why the other options are incorrect:** * **Aortic Stenosis:** This is an obstructive lesion of the left heart. It leads to post-stenotic dilatation of the ascending aorta, not increased pulmonary artery pulsations. * **Coarctation of Aorta:** This involves narrowing of the aortic arch. Characteristic radiological findings include the "3 sign" on X-ray and rib notching (Roesler’s sign), but it does not cause a hilar dance. * **Mitral Stenosis:** This results in pulmonary venous hypertension and enlarged left atrium. On X-ray, it shows features like Kerley B lines and a "double atrial shadow," but the pulmonary arteries are often constricted (Antler sign) rather than hyperdynamic. **High-Yield Pearls for NEET-PG:** * **Hilar Dance** is most commonly associated with **Atrial Septal Defect (ASD)**, but is also seen in VSD and PDA. * **Waterston’s Groove:** The groove between the right atrium and left atrium, often obliterated in Mitral Stenosis. * **Figure of 3 sign:** Pathognomonic for Coarctation of the Aorta. * **Egg-on-a-string appearance:** Seen in Transposition of the Great Arteries (TGA).
Explanation: ***Right atrium and extracardiac*** - The **atrial lead** is correctly positioned in the **right atrial appendage**, which is the standard placement for dual-chamber pacemakers. - The **ventricular lead** has perforated through the myocardium and is positioned **extracardiac**, indicating a serious complication requiring immediate attention. *Right atrium and right ventricle* - While the atrial lead is correctly positioned in the **right atrium**, this option incorrectly describes normal ventricular lead placement. - In this case, the ventricular lead has **perforated** beyond the right ventricle into an extracardiac position. *Extracardiac and right ventricle* - The **atrial lead** is actually properly positioned within the **right atrium**, not extracardiac. - This option incorrectly describes the ventricular lead as being in the right ventricle when it has actually **migrated extracardiac**. *Both leads are extracardiac* - The **atrial lead** remains properly positioned in the **right atrial appendage** and has not perforated. - Only the **ventricular lead** has perforated, making this description of both leads being extracardiac incorrect.
Explanation: **Explanation:** The mitral valve is located between the left atrium and the left ventricle. During the cardiac cycle, the base of the heart (where the mitral annulus is located) moves dynamically along the long axis of the heart. Specifically, during ventricular systole, the mitral annulus moves toward the apex (**downwards**), and during diastole, it returns to its original position (**upwards**). Consequently, any calcification of the mitral valve or annulus follows this longitudinal excursion, appearing as an **upward and downward** movement on fluoroscopy or real-time imaging. **Analysis of Options:** * **Option A (Correct):** Reflects the physiological longitudinal displacement of the atrioventricular groove during the cardiac cycle. * **Option B & D:** Circular or counterclockwise movements are not characteristic of valvular motion. While the heart undergoes a degree of "wringing" or torsional motion, the dominant displacement of the mitral apparatus is longitudinal. * **Option C:** Side-to-side (lateral) movement is not the primary vector for the mitral valve; the heart is anchored by the great vessels, making vertical excursion more prominent than lateral shifting. **Clinical Pearls for NEET-PG:** * **Mitral Annular Calcification (MAC):** Typically appears as a dense, **C-shaped or O-shaped** opacity on a chest X-ray. * **Location on Lateral X-ray:** To differentiate valves, draw a line from the carina to the apex. The **Mitral valve** lies posterior and inferior to this line, while the **Aortic valve** lies superior and anterior. * **Fluoroscopy:** Historically used to identify valve calcifications; the rapid "dancing" motion of calcific spots is a classic radiological sign of valvular involvement.
Explanation: ### Explanation **Correct Answer: B. Persistent truncus arteriosus** **Why it is correct:** In **Persistent Truncus Arteriosus (PTA)**, a single large arterial trunk arises from the heart, supplying the systemic, pulmonary, and coronary circulations. Radiologically, this results in a **"sitting duck"** appearance. This sign is produced by the combination of a **narrow vascular pedicle** (due to the absence of a separate pulmonary artery and aorta) and a **globular, enlarged heart** that appears to sit on the diaphragm, resembling the body of a duck. Additionally, the right-sided aortic arch (seen in 30-35% of cases) and increased pulmonary plethora contribute to this unique silhouette. **Why the other options are incorrect:** * **A. TAPVC:** Characterized by the **"Snowman sign"** or **"Figure-of-8"** appearance (specifically in the supracardiac type) due to a dilated left vertical vein, innominate vein, and superior vena cava. * **C. Ebstein’s Anomaly:** Characterized by a massive, **"Box-shaped" heart** (square-shaped silhouette) due to severe right atrial enlargement and a small functional right ventricle. * **D. Constrictive Pericarditis:** Classically shows **pericardial calcification** (best seen on lateral X-ray) and a normal or small-sized heart, often described as a "straightened" cardiac border. **High-Yield Clinical Pearls for NEET-PG:** * **Boot-shaped heart (Coeur en sabot):** Tetralogy of Fallot (due to RVH and upturned apex). * **Egg-on-a-string appearance:** Transposition of the Great Arteries (TGA). * **Jug-handle sign:** Primary Pulmonary Hypertension (dilated central pulmonary arteries). * **Goose-neck deformity:** Seen on angiography in Endocardial Cushion Defects (AV Canal defects).
Explanation: **Explanation:** **Computed Tomography (CT)**, specifically Multidetector CT Angiography (MDCTA), is the procedure of choice for evaluating aortic aneurysms. It provides high-resolution, 3D anatomical detail regarding the aneurysm's diameter, longitudinal extent, and relationship to major arterial branches (e.g., renal or celiac arteries). It is superior for detecting complications like leakage, intramural hematoma, or impending rupture. **Analysis of Options:** * **Ultrasonography (USG):** While USG is the **screening modality of choice** for Abdominal Aortic Aneurysm (AAA) due to its non-invasive nature and low cost, it is operator-dependent and cannot visualize the thoracic aorta or detailed branch involvement accurately. * **Magnetic Resonance Imaging (MRI/MRA):** Provides excellent detail without ionizing radiation; however, it is time-consuming, expensive, and unsuitable for unstable patients or those with metallic implants. * **Arteriography (Digital Subtraction Angiography):** Once the gold standard, it is now rarely used for primary diagnosis. It is invasive and, importantly, can **underestimate aneurysm size** because it only visualizes the patent lumen, missing the surrounding mural thrombus. **High-Yield Clinical Pearls for NEET-PG:** * **Screening/Monitoring:** USG is the investigation of choice. * **Pre-operative Planning/Diagnosis:** CT Angiography is the investigation of choice. * **Gold Standard for Aortic Dissection:** Transesophageal Echocardiography (TEE) in unstable patients; CT Angiography in stable patients. * **Surgical Threshold:** Intervention is generally indicated if the AAA diameter is **>5.5 cm in men** or **>5.0 cm in women**, or if it expands **>0.5 cm in 6 months**.
Explanation: **Explanation:** The heart is rotated within the mediastinum, meaning its anatomical chambers do not align perfectly with the cardinal planes. On a standard Chest X-ray (CXR) or in cross-sectional anatomy, the **Right Ventricle (RV)** is the most anteriorly situated chamber. It lies directly behind the sternum and forms the majority of the heart's **anterior (sternocostal) surface**. **Analysis of Options:** * **A. Right Ventricle (Correct):** Due to the heart's clockwise rotation (as viewed from above), the RV occupies the front. In a Lateral CXR, the RV is the chamber that obliterates the retrosternal clear space when enlarged. * **B. Left Ventricle:** This chamber forms the **left border** and the **apex** of the heart. It is situated posteriorly and to the left of the right ventricle. * **C. Right Atrium:** This chamber forms the **right heart border** on a PA view. It does not form the anterior surface. * **D. Left Atrium:** This is the most **posterior chamber** of the heart. It lies directly in front of the esophagus and the descending aorta. **High-Yield Clinical Pearls for NEET-PG:** 1. **Left Atrial Enlargement (LAE):** Look for the "Double atrial shadow," "Splaying of the carina" (widening of the subcarinal angle >90°), and the "Walking cane appearance" of the left main bronchus. 2. **Right Ventricular Enlargement:** On a lateral view, it causes **obliteration of the retrosternal clear space**. 3. **Left Ventricular Enlargement:** On a PA view, it causes the apex to shift **downwards and outwards**. 4. **Water Bottle Heart:** Characteristic of massive pericardial effusion. 5. **Boot-shaped Heart (Coeur en Sabot):** Seen in Tetralogy of Fallot due to RV hypertrophy lifting the apex.
Explanation: ***Fibromuscular dysplasia*** - The brachial angiogram likely shows the classic **"string of beads"** appearance, which is pathognomonic for **fibromuscular dysplasia** affecting the brachial artery. - **FMD** is more common in **women** and can be encountered as a complication during **transradial catheterization**, causing difficulty in guidewire advancement. *Takayasu's arteritis* - Typically affects the **aorta and its major branches** in young Asian women, not isolated brachial artery involvement. - Would show **long-segment stenosis** or occlusion rather than the beaded appearance characteristic of FMD. *Arteriovenous malformation* - Would demonstrate **early venous filling** and **arteriovenous shunting** on angiography, not stenotic segments. - Presents with **pulsatile masses**, **bruits**, or **high-output heart failure**, not guidewire advancement difficulty. *Brachial artery stenosis* - Would show **smooth, focal narrowing** without the characteristic beaded appearance seen in FMD. - Usually caused by **atherosclerosis** or **trauma**, presenting as uniform stenotic lesions rather than alternating areas of stenosis and dilatation.
Explanation: **Explanation:** The **'Spade-like' deformity** (or Ace of Spades appearance) is a classic angiographic finding pathognomonic for **Apical Hypertrophic Cardiomyopathy (Yamaguchi Syndrome)**. **1. Why Hypertrophic Cardiomyopathy (HCM) is correct:** In the apical variant of HCM, there is localized hypertrophy of the myocardium at the left ventricular (LV) apex. During left ventriculography (RAO view), the thickened walls obliterate the apical cavity during systole and severely narrow it during diastole. This configuration, where the base of the heart remains wide while the apex is sharply narrowed, resembles the **'Ace of Spades'** symbol. **2. Why the other options are incorrect:** * **Atrial Septal Defect (ASD):** Characterized by right-sided heart enlargement and pulmonary plethora. On imaging, it may show a "Goose-neck deformity" (if associated with endocardial cushion defects), but not a spade-like apex. * **ARVD:** Primarily affects the right ventricle, leading to fatty-fibrous replacement. Angiography typically shows RV aneurysms or "pouching" (triangle of dysplasia), not a specific LV spade deformity. * **Persistent Truncus Arteriosus (PTA):** A cyanotic congenital heart disease where a single vessel exits the heart. It does not involve localized apical hypertrophy. **3. High-Yield Clinical Pearls for NEET-PG:** * **ECG Finding:** Apical HCM is characteristically associated with **giant, deep T-wave inversions** (precordial leads V4-V6). * **Echocardiography:** Gold standard for initial diagnosis; shows "apical thickening >15mm." * **MRI:** Cardiac MRI is the most sensitive tool to visualize the apex if echo windows are poor. * **Other 'Spade' signs:** Do not confuse this with the "Spade sign" in **Scleroderma** (referring to resorption of distal phalanges/acro-osteolysis).
Cardiovascular Anatomy
Practice Questions
Cardiac CT Techniques
Practice Questions
Cardiac MRI Techniques
Practice Questions
Ischemic Heart Disease Imaging
Practice Questions
Valvular Heart Disease
Practice Questions
Cardiomyopathies
Practice Questions
Pericardial Diseases
Practice Questions
Congenital Heart Disease
Practice Questions
Aortic and Great Vessel Imaging
Practice Questions
Peripheral Vascular Imaging
Practice Questions
Cardiovascular Interventional Procedures
Practice Questions
Post-Surgical Cardiovascular Imaging
Practice Questions
Get full access to all questions, explanations, and performance tracking.
Start For Free