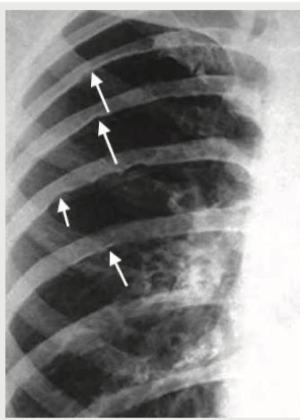
A short stature female presents with history of wearing socks in summer season. Physical examination shows icy cold toes with cyanosis. CXR done shows:

A 35-year-old hypertension patient has the following CXR in annual medical check up. What does it show?

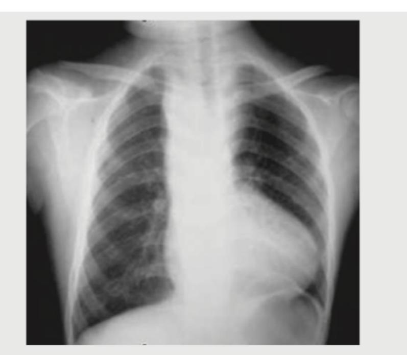
Identify the congenital heart disease presenting with cyanosis in CXR: (Recent NEET Pattern 2016-17)

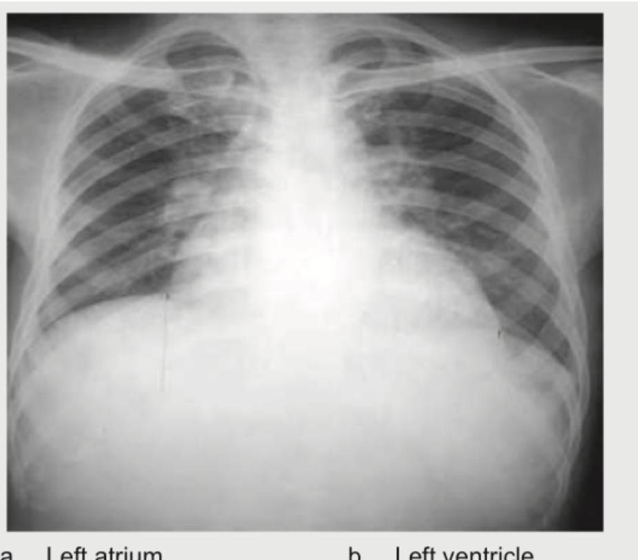
In the chest X-ray shown, identify the chamber enlargement:

In the chest X-ray shown below, identify the chamber enlargement:

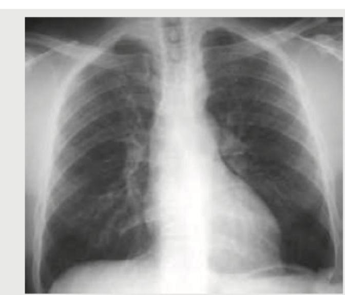
A 30-year-old hypertension patient presents with daily headaches. The CXR given below shows which of the following? (Recent NEET Pattern 2016-17)

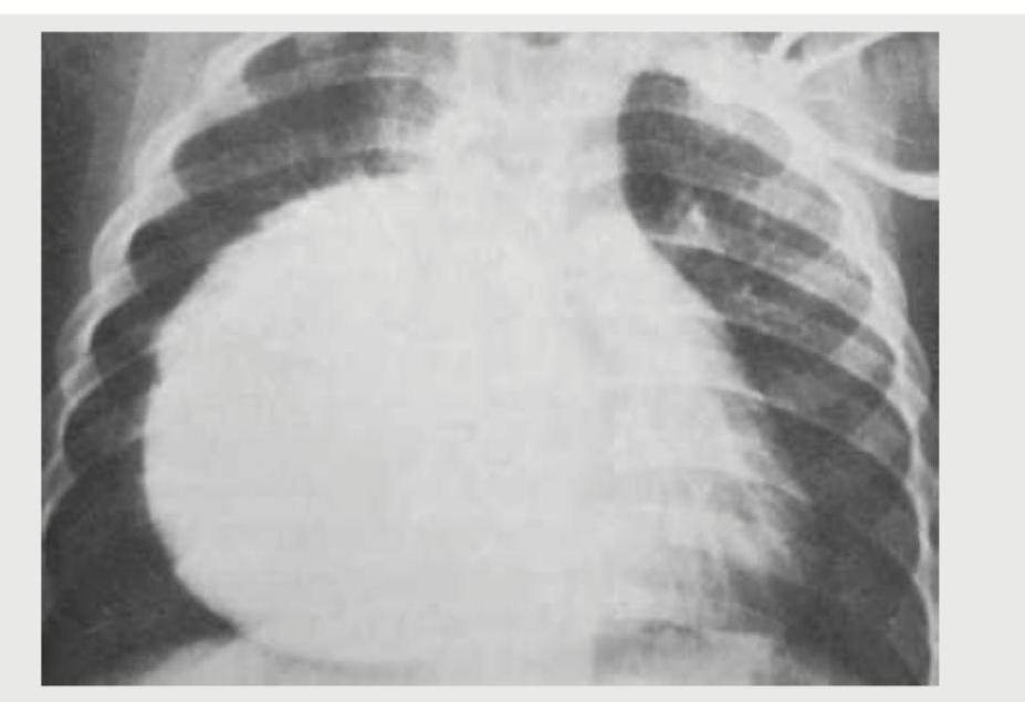
Identify the chamber enlargement:

The Gut blood vessel marked (Red arrow) in the angiogram is: (Recent NEET Pattern 2018-19)

What is the cardiac axis in the ECG provided?

Identify the ECG finding shown below:

Explanation: ***Coarctation of aorta*** - The imaging provided illustrates **rib notching**, a classic radiographic sign caused by erosion of the inferior rib margins by enlarged intercostal arteries. This occurs as these arteries develop collateral circulation to bypass the narrowed aorta in **coarctation of the aorta**. - **Short stature** and **icy cold toes with cyanosis** are also consistent with coarctation of the aorta. The reduced blood flow to the lower extremities causes peripheral cyanosis and coldness, while reduced overall growth can lead to short stature. *Hyperparathyroidism* - This condition primarily affects **calcium and phosphate metabolism**, leading to bone resorption and potential features like subperiosteal bone erosion, brown tumors, and osteopenia. - It does not typically cause rib notching or the peripheral vascular symptoms described. *Neurofibromatosis* - Neurofibromatosis is a genetic disorder affecting **nerve tissue growth**, - It's associated with neurofibromas, café-au-lait spots, and Lisch nodules. While it can cause some skeletal abnormalities, **rib notching** as a primary feature is not typical, and the described peripheral vascular symptoms are not characteristic. *Multiple myeloma* - This is a **plasma cell malignancy** characterized by monoclonal immunoglobulin production, leading to lytic bone lesions, hypercalcemia, renal failure, and anemia. - While it affects bones and can produce lytic lesions in the ribs, it does not cause the characteristic **inferior rib notching** seen in the image, nor does it typically present with peripheral cyanosis and cold extremities directly related to a vascular obstruction.
Explanation: ***Left ventricular hypertrophy*** - The cardiac silhouette shows a **rounded left heart border** and an **increased cardiothoracic ratio**, particularly on the left side, indicating enlargement consistent with left ventricular hypertrophy. - This is commonly seen in patients with **long-standing hypertension** as the left ventricle works harder against elevated systemic vascular resistance. *Pulmonary artery hypertension* - This condition typically presents with **enlargement of the pulmonary arteries** in the hilar region, which is not prominently visible here. - While pulmonary hypertension can cause right ventricular enlargement, the image primarily suggests **left-sided cardiac enlargement**. *Coarctation of aorta* - While a cause of hypertension, coarctation of the aorta is often associated with specific radiographic findings such as **rib notching** (due to collateral vessel development) or a **'3' sign** in the aorta, none of which are evident in this image. - The image does not show a **narrowing of the aorta** or post-stenotic dilation. *Cor pulmonale* - Cor pulmonale involves **right ventricular enlargement** secondary to lung disease or pulmonary hypertension. - This would typically manifest as a prominent **right heart border** and potentially **increased retrosternal airspace** on a lateral view, which are not suggested by this frontal CXR.
Explanation: ***Tetralogy of Fallot*** - The chest X-ray shows a **boot-shaped heart** (coeur en sabot) due to right ventricular hypertrophy and a concave pulmonary artery segment, which is a classic finding in Tetralogy of Fallot. - This cyanotic congenital heart disease is characterized by four defects: a **ventricular septal defect**, **pulmonary stenosis**, **overriding aorta**, and **right ventricular hypertrophy**. *Truncus Arteriosus* - This cyanotic CHD involves a **single arterial trunk** arising from the heart supplying systemic, pulmonary, and coronary circulations. - CXR typically shows **cardiomegaly with increased pulmonary vascular markings** and a **right-sided aortic arch** in 30% of cases, not the boot-shaped heart seen here. - The pulmonary artery segment is **prominent or convex**, contrasting with the concave segment in Tetralogy of Fallot. *Ebstein anomaly* - This anomaly involves the **tricuspid valve** being displaced into the right ventricle, often leading to cardiomegaly and a **"box-shaped" or "globular" heart** on CXR, which is not depicted. - It can cause cyanosis, but the characteristic CXR finding is **massive cardiomegaly with diminished pulmonary vascular markings**, not a boot-shaped heart. *Snowman heart* - The "snowman heart" or **"figure of 8" sign** is characteristic of **total anomalous pulmonary venous return (TAPVR)**, specifically the supracardiac type. - This appearance is due to the dilated superior vena cava and the vertical vein draining into it, creating the "head" of the snowman, which is not seen in the provided image.
Explanation: ***Left atrium*** - The chest X-ray shows **double contour sign**, an increased **carinal angle**, and **elevation of the left main bronchus**, all classic signs of **left atrial enlargement**. - The convexity of the left heart border appears straightened, and there might be a "bulge" or straightening of the **left cardiac border**, further indicating left atrial enlargement. *Right atrium* - Right atrial enlargement would typically show a prominent **convexity of the right cardiac border** extending further to the right. - This image does not demonstrate significant prominence or bulging of the right heart border beyond what is expected. *Left ventricle* - Left ventricular enlargement usually presents as increased **cardiac apex prominence** and **downward displacement** of the cardiac apex. - While there is some cardiomegaly, the primary signs visible (double contour, carinal angle change) point more specifically to left atrial enlargement. *Right ventricle* - Right ventricular enlargement typically manifests as **increased prominence of the right ventricle** along the left heart border and an **uplifted cardiac apex**. - No clear evidence of right ventricular specific enlargement signs like severe right heart border prominence or uplifted apex is seen here.
Explanation: ***Left ventricle*** - The image shows **cardiomegaly** with a markedly enlarged heart shadow, particularly extending to the **left and inferiorly**. This is characteristic of severe **left ventricular enlargement**. - In cases of substantial left ventricular dilatation, the cardiac apex shifts downwards and to the left, often pushing the hemidiaphragm inferiorly, as appears to be the case here. *Right atrium* - **Right atrial enlargement** typically presents as prominent fullness or bulging of the **right heart border** on a chest X-ray. - While it can contribute to cardiomegaly, the dominant projection and extreme size seen here are more indicative of a ventricular chamber. *Right ventricle* - **Right ventricular enlargement** can cause the heart to appear enlarged, often with elevation of the **cardiac apex** or an increase in the retrosternal clear space on a lateral view. - On a PA view, significant right ventricular enlargement can push the left ventricle posteriorly and cause a rounding of the cardiac apex, but the extreme leftward and inferior extension points away from isolated right ventricular enlargement. *Left atrium* - **Left atrial enlargement** is typically identified by an enlarged **left atrial appendage** on the left cardiac border, a **double density sign** (due to the right border of the enlarged LA), or splaying of the carina. - While left atrial enlargement often accompanies left ventricular issues, the overall massive increase in heart size, especially laterally and inferiorly, suggests primary ventricular enlargement rather than isolated or dominant left atrial enlargement.
Explanation: ***Postductal coarctation*** - The image shows **rib notching** (highlighted by the arrow), a classic sign of **collateral vessel development** due to narrowing of the aorta **distal to the ductus arteriosus**. - This congenital heart defect is associated with **hypertension** in the upper extremities and can lead to symptoms like **headaches**. *Preductal coarctation* - This typically presents earlier in life, often with **heart failure** in infancy, and is less commonly associated with **hypertension** and **rib notching** in a seemingly asymptomatic adult. - The coarctation is located **proximal to the ductus arteriosus**, leading to different collateral circulation patterns. *Aortic dissection* - This condition is an acute medical emergency characterized by a tear in the **aortic wall**, often presenting with sudden, severe chest or back pain. - CXR findings typically include a **widened mediastinum**, not specifically rib notching. *Takayasu arteritis* - This is a **granulomatous vasculitis** primarily affecting the aorta and its major branches, leading to narrowing or occlusion. - While it can cause hypertension, **rib notching** is not a characteristic radiological finding; signs usually include vessel wall thickening or stenoses.
Explanation: ***Left atrium*** - The chest X-ray shows **cephalization of the pulmonary vessels** and a **double contour sign** over the right heart border, indicating left atrial enlargement. - There is also evidence of **pulmonary congestion** and **interstitial edema**, consistent with elevated left atrial pressure. *Left ventricle* - Left ventricular enlargement would typically manifest as **cardiomegaly** with a **leftward and downward displacement of the apex**. - While there is some cardiac enlargement, the specific signs for left atrial enlargement are more prominent. *Right atrium* - Right atrial enlargement would typically show a **prominent right heart border** that extends further to the right. - This is not the dominant feature seen in this X-ray. *Right ventricle* - Right ventricular enlargement would shift the **cardiac apex superiorly**, forming a "boot-shaped" heart, or cause a **prominent outflow tract** on lateral views. - The findings here are more consistent with left-sided heart chamber issues affecting the pulmonary circulation.
Explanation: ***Superior mesenteric artery*** - The image shows an **abdominal angiogram** with a vessel arising from the anterior aspect of the aorta and branching extensively, consistent with the **superior mesenteric artery (SMA)**. - The SMA typically supplies the **midgut structures**, which include the duodenum (distal to the major duodenal papilla), jejunum, ileum, cecum, ascending colon, and the proximal two-thirds of the transverse colon. *Inferior mesenteric artery* - The **inferior mesenteric artery (IMA)** originates lower down the aorta, usually at the level of L3, and supplies the hindgut (distal one-third of the transverse colon, descending colon, sigmoid colon, and rectum). - The branching pattern and location in the angiogram do not match the expected origin and distribution of the IMA. *Splenic artery* - The **splenic artery** is a branch of the celiac trunk, which arises higher than the vessel shown and typically courses towards the left to supply the spleen, stomach, and pancreas. - Its branching pattern and location are distinctly different from the vessel highlighted in the image, which is clearly supplying mesenteric structures. *Gastroepiploic artery* - The **gastroepiploic arteries** (right and left) are branches primarily supplying the greater curvature of the stomach and the greater omentum. - These arteries are much smaller and are situated along the stomach, not originating directly from the aorta in this manner or having such a widespread mesenteric distribution.
Explanation: ***Left axis deviation*** - The QRS complex in **lead I** is predominantly **positive**, and in **lead aVF** is predominantly **negative**. This combination indicates left axis deviation. - Also, the QRS complex in **lead II** is predominantly **negative**, which further confirms left axis deviation. *Normal axis* - A **normal axis** would show a predominantly **positive QRS** complex in both **lead I** and **lead aVF**. - In this ECG, lead aVF shows a predominantly negative QRS, ruling out normal axis. *Right axis deviation* - **Right axis deviation** is characterized by a predominantly **negative QRS** in **lead I** and a predominantly **positive QRS** in **lead aVF**. - This ECG shows a positive QRS in lead I, which contradicts right axis deviation. *Extreme axis deviation* - **Extreme axis deviation**, also known as "northwest axis," occurs when the QRS complex is predominantly **negative** in both **lead I** and **lead aVF**. - In this ECG, lead I is positive, ruling out extreme axis deviation.
Explanation: ***Irregularly irregular pulse*** - The ECG shows a rhythm where the **R-R intervals are inconsistent** and vary unpredictably, a hallmark of irregularly irregular rhythm. - This pattern, combined with the **absence of discernible P waves**, is characteristic of **atrial fibrillation**. *Widespread ST segment depression with HR of 300 bpm* - While there might be some **ST segment changes**, they are not consistently depressed across all leads, and the **rate is not 300 bpm**. - A heart rate of 300 bpm would mean 1 large box (0.2s) between QRS complexes, which is clearly not the case here. *Widespread ST segment depression with HR of 150 bpm* - The calculated heart rate appears to be roughly around **90-110 bpm**, which contradicts 150 bpm. - As mentioned, **widespread ST segment depression** is not the primary and most striking defining feature in this ECG. *Tall T waves in V3-V5* - There are **no prominent tall T waves** in leads V3-V5; in fact, the T waves are difficult to discern clearly due to the rapid and irregular ventricular activity. - The most significant feature is the **marked irregularity** of the ventricular response.
Cardiovascular Anatomy
Practice Questions
Cardiac CT Techniques
Practice Questions
Cardiac MRI Techniques
Practice Questions
Ischemic Heart Disease Imaging
Practice Questions
Valvular Heart Disease
Practice Questions
Cardiomyopathies
Practice Questions
Pericardial Diseases
Practice Questions
Congenital Heart Disease
Practice Questions
Aortic and Great Vessel Imaging
Practice Questions
Peripheral Vascular Imaging
Practice Questions
Cardiovascular Interventional Procedures
Practice Questions
Post-Surgical Cardiovascular Imaging
Practice Questions
Get full access to all questions, explanations, and performance tracking.
Start For Free