What is the radiological feature of Mitral stenosis?
Which is true about the CT angiography report shown?

One-month-old child with tet spells. Incorrect about the image shown?

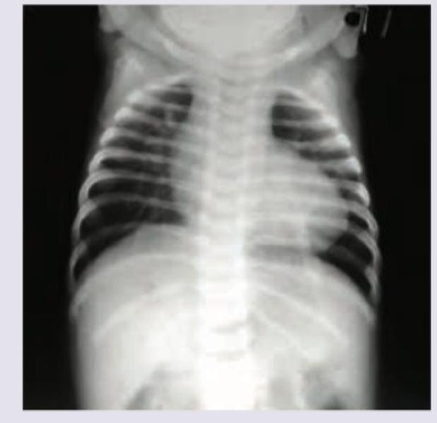
An image of a newborn infant is shown. What is the most likely diagnosis?

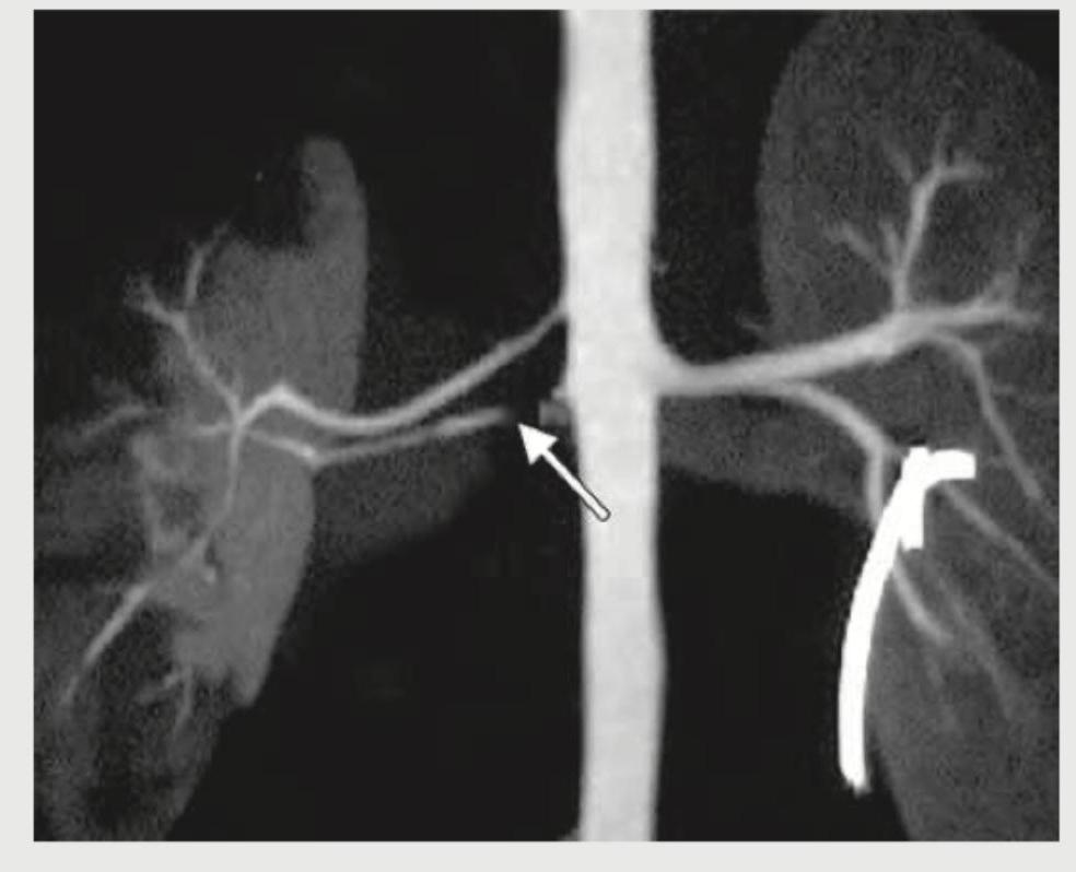
What does the following angiogram in a hypertension patient show?

A Coronary CT angiogram shows a blood vessel marked as 'X' coursing around the left side of the heart. Small branches originating from this vessel supply the lateral surface of the heart and are called obtuse marginal branches. Identify the vessel marked as 'X'.

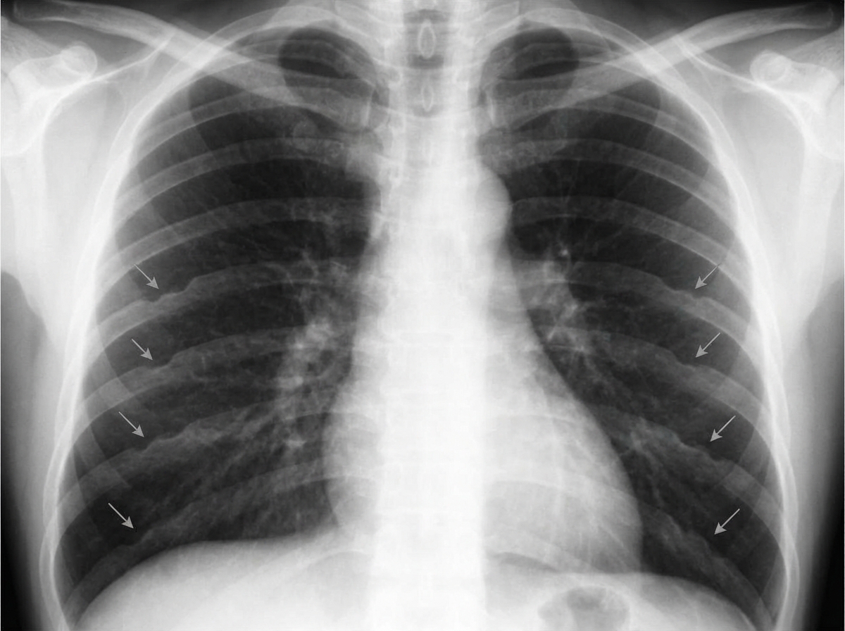
What condition is suggested by inferior rib notching in a setting of hypertension?

In the condition shown below, rib notching is present in which of the following ribs? (AIIMS Nov 2015)

A 60-year-old hypertensive patient was showing poor response to three classes of antihypertensive drugs (ACE inhibitors, CCB and diuretics). Renal CT angiography was performed. What is the diagnosis?

What is the name of the marked blood vessel shown in the CT coronary angiography image?

Explanation: In Mitral Stenosis (MS), the fundamental hemodynamic change is **Left Atrial Enlargement (LAE)** due to pressure and volume overload. This enlargement manifests through specific radiological signs on a Chest X-ray (PA view). **Explanation of Features:** * **Double contour of right heart border:** As the Left Atrium (LA) enlarges, it expands towards the right, creating a second shadow (the LA wall) behind the normal Right Atrial border. This is also known as the **"Shadow-within-a-shadow"** sign. * **Straightening of left heart border:** This occurs due to three factors: enlargement of the LA appendage (filling the normal concavity), prominence of the pulmonary artery (due to pulmonary hypertension), and a relatively small Left Ventricle. * **Splaying of carinal angle:** The enlarging LA sits directly beneath the bifurcation of the trachea. As it grows superiorly, it pushes the left main bronchus upward, widening the subcarinal angle to **>90 degrees** (normal is 60-75°). **Why "All of the above" is correct:** All three signs are classic radiographic hallmarks of LAE, which is the primary structural consequence of Mitral Stenosis. **High-Yield Clinical Pearls for NEET-PG:** * **Walking Man Sign:** Seen on the lateral view, where the enlarged LA pushes the left main bronchus posteriorly. * **Cephalization (Antler Sign):** Redirection of blood flow to upper lobes (Kerley B lines appear when pulmonary capillary wedge pressure exceeds 18-20 mmHg). * **Mitral Heart:** A configuration characterized by a small aorta, prominent pulmonary artery, and enlarged LA. * **Most common cause:** Rheumatic Heart Disease.
Explanation: ***Fibromuscular dysplasia*** - The CT angiogram shows a **"string of beads" appearance** (indicated by the arrow), which is characteristic of fibromuscular dysplasia (FMD) of the renal artery. - FMD is an **idiopathic, non-inflammatory, non-atherosclerotic condition** that can affect medium-sized arteries, most commonly the renal and carotid arteries, leading to stenosis, aneurysms, or dissections. *Hydronephrosis* - **Hydronephrosis** refers to the **swelling of a kidney** due to a build-up of urine, usually caused by a blockage in the urinary tract. - This image is a CT angiogram visualizing the **renal arteries and aorta**, not the renal collecting system, and therefore cannot directly assess for hydronephrosis. *Duplication of renal collecting system* - **Duplication of the renal collecting system** involves the presence of two separate collecting systems (ureters) draining a single kidney. - This is an arterial phase image focusing on the vascular anatomy and does not provide information about the **collecting system architecture**. *Renal artery stenosis* - While the image does show narrowing in the renal artery (stenosis), simply stating "renal artery stenosis" is a less specific diagnosis. - The **"string of beads" pattern specifically points to fibromuscular dysplasia** as the cause of the stenosis rather than atherosclerosis or other etiologies.
Explanation: ***Pulmonary oligaemia*** - This is the **INCORRECT** statement about the image shown. - The chest X-ray demonstrates **increased pulmonary vascular markings** (pulmonary plethora), not oligaemia. - While **Tetralogy of Fallot** classically presents with **pulmonary oligaemia** due to right ventricular outflow tract obstruction, this particular image shows **increased pulmonary blood flow**, which is atypical and may suggest associated findings or a different physiology. - **Pulmonary oligaemia** would show decreased vascular markings with clear, dark lung fields, which is not seen in this image. *Increased CT ratio* - The **cardiothoracic (CT) ratio** is within normal limits or mildly increased for an infant. - In Tetralogy of Fallot, the heart size is typically **normal to mildly enlarged**, which is consistent with this image. - This statement is **CORRECT** about the image. *Right sided aortic arch* - A **right-sided aortic arch** can be identified in this image, with the aortic knob positioned on the right side of the trachea. - This finding is present in approximately **15-25% of patients with Tetralogy of Fallot** and is a classic associated anomaly. - This statement is **CORRECT** about the image. *Coeur en sabot* - The cardiac silhouette demonstrates the classic **"boot-shaped heart"** (coeur en sabot) appearance. - Characteristic features include an **upturned cardiac apex**, **concave pulmonary artery segment**, and **right ventricular hypertrophy**. - This morphology results from **pulmonary artery hypoplasia** and **right ventricular hypertrophy**, both hallmarks of Tetralogy of Fallot. - This statement is **CORRECT** about the image.
Explanation: ***Infant of diabetic mother*** - The image depicts a **large for gestational age (LGA)** or **macrosomic** infant with a **plethoric appearance** and significant subcutaneous fat, which are classic signs of an infant of a diabetic mother. - Maternal hyperglycemia leads to fetal hyperinsulinemia, causing increased fetal growth and fat deposition. *Beckwith Wiedemann syndrome* - While infants with Beckwith-Wiedemann syndrome can be LGA, they typically present with characteristic features such as **macroglossia**, **omphalocele**, **ear creases/pits**, and **hemihyperplasia**, which are not clearly evident in this image. - The overall appearance of diffuse adiposity is more consistent with uncontrolled maternal diabetes. *Congenital hypothyroidism* - Infants with congenital hypothyroidism are often **hypotonic**, have a **hoarse cry**, prolonged jaundice, and a characteristic **coarse facial appearance** with a large tongue and umbilical hernia, and are typically *not* macrosomic. - The appearance in the image does not align with the typical features of congenital hypothyroidism. *IUGR baby* - An **intrauterine growth restriction (IUGR)** baby is small for gestational age (SGA) due to various factors impeding fetal growth. - The infant in the image is clearly **macrosomic**, and not small, directly contradicting the definition of IUGR.
Explanation: ***Fibromuscular dysplasia*** - The angiogram shows a classic **"string of beads" appearance** in the renal artery, which is pathognomonic for **fibromuscular dysplasia (FMD)**. - This condition is a common cause of **renovascular hypertension**, particularly in **young to middle-aged women**, due to progressive stenosis with alternating areas of arterial dilatation and stenosis. - FMD most commonly affects the **mid to distal portions** of the renal artery. *Atherosclerosis* - **Atherosclerotic renal artery stenosis** typically presents with focal or eccentric narrowing, often with calcifications, and **not** the regular "string of beads" pattern. - It predominantly affects the **ostial or proximal segments** of the renal arteries and is more common in **older patients** with cardiovascular risk factors (smoking, diabetes, hyperlipidemia). *Takayasu arteritis* - **Takayasu arteritis** is a large-vessel vasculitis that causes inflammation and narrowing of the aorta and its major branches, including the renal arteries. - Angiographic findings typically show **long, smooth stenoses** or occlusions, wall thickening, and involvement of the aorta and multiple vessels. - More common in **young Asian women** and presents with constitutional symptoms and vascular insufficiency. *Polyarteritis nodosa* - **Polyarteritis nodosa (PAN)** is a medium-vessel vasculitis that can affect renal arteries and cause hypertension. - Angiographic findings show **multiple microaneurysms** (1-5 mm) scattered throughout medium-sized arteries, creating a "rosary bead" appearance that is **distinct from** the larger, regular "string of beads" of FMD. - Associated with systemic symptoms, livedo reticularis, and multi-organ involvement.
Explanation: ***Left circumflex artery*** - The vessel marked as 'X' is the **left circumflex artery (LCx)**, which branches from the left main coronary artery and courses around the **left side of the heart in the left atrioventricular groove**. - The **obtuse marginal branches** arising from it are characteristic branches that supply the **lateral wall of the left ventricle**. - The LCx supplies blood to the **left atrium, lateral and posterior walls of the left ventricle**, and sometimes the posterior interventricular septum. *Incorrect: Left anterior descending artery* - The LAD courses **anteriorly in the anterior interventricular groove**, not around the lateral aspect of the heart. - It gives off **diagonal and septal branches**, not obtuse marginal branches. - The LAD supplies the anterior wall of the left ventricle and anterior two-thirds of the interventricular septum. *Incorrect: Right coronary artery* - The RCA courses in the **right atrioventricular groove** on the right side of the heart. - It gives off **acute marginal branches** (not obtuse marginal branches) and supplies the right ventricle, right atrium, and (in right dominant systems) the inferior wall of the left ventricle. *Incorrect: Posterior descending artery* - The PDA is a **terminal branch** (usually of the RCA or less commonly the LCx), not a main coronary artery branch from the left coronary system. - It courses in the **posterior interventricular groove** and supplies the inferior interventricular septum.
Explanation: ***Postductal coarctation*** - **Inferior rib notching** is a classic radiological finding in coarctation of the aorta, particularly **postductal coarctation**. It is caused by the enlargement and tortuosity of **collateral arteries** (intercostal arteries) supplying blood distal to the coarctation, which erode the inferior margins of the ribs (typically ribs 3-8). - The associated **hypertension** is a direct consequence of the narrowed aorta, leading to increased pressure proximal to the coarctation (upper extremities and head). - This classic triad of **rib notching + hypertension + chest X-ray findings** (including "3 sign" of aorta) is pathognomonic for postductal coarctation. *Preductal coarctation* - Occurs proximal to the ductus arteriosus insertion, typically presenting in neonates with cyanosis and heart failure. - **Does not cause rib notching** because collateral circulation doesn't have time to develop significantly. *Patent ductus arteriosus* - Presents with continuous "machinery" murmur and bounding pulses. - Does **not cause rib notching** or the specific pattern of upper extremity hypertension with lower extremity hypotension. *Takayasu arteritis* - An inflammatory vasculitis affecting large vessels, can cause hypertension and diminished pulses. - **Rib notching is not a characteristic finding**; imaging typically shows vessel wall thickening and stenosis on angiography.
Explanation: **3rd to 9th ribs** - The image provided depicts **coarctation of the aorta**, characterized by a narrowing of the aorta, typically distal to the origin of the left subclavian artery. - In coarctation of the aorta, collateral circulation develops through the **intercostal arteries** to bypass the constriction, leading to their enlargement and subsequent erosion of the inferior margins of the **3rd to 9th ribs**, a finding known as "rib notching." *1st to 9th ribs* - While rib notching affects upper ribs, it typically **spares the 1st and 2nd ribs** because the superior intercostal arteries (which supply these ribs) originate directly from the subclavian artery, often proximal to the coarctation, so they do not participate in collateral circulation as significantly. - The pattern of notching is usually more concentrated in the mid-thoracic region. *11th and 12th ribs* - Rib notching from coarctation of the aorta is rarely observed in the **floating ribs** (11th and 12th ribs). - These ribs have a different anatomical relationship with the pleura and typically do not bear the brunt of increased collateral flow from the intercostal arteries in the same way as the higher ribs. *All ribs* - Rib notching is a localized phenomenon reflecting increased blood flow through specific intercostal arteries involved in collateral circulation due to aortic coarctation. - Therefore, it does **not affect all ribs**, and its absence in certain ribs (like the 1st, 2nd, 11th, and 12th) helps differentiate this condition radiologically.
Explanation: ***Renal artery stenosis*** - The image shows a **narrowing (stenosis)** of the right renal artery (indicated by the white arrow), which is consistent with the clinical presentation of **resistant hypertension** in a 60-year-old patient. - **Renal artery stenosis** leads to decreased blood flow to the kidney, activating the **renin-angiotensin-aldosterone system** and causing refractory hypertension. *Autosomal dominant polycystic kidneys* - This condition presents with numerous **cysts** in both kidneys, leading to their enlargement and impaired function, which would appear as multiple fluid-filled sacs on CT angiography, not arterial narrowing. - While ADPKD can cause hypertension, it is due to renal parenchymal disease and cyst growth, not primarily a focal arterial narrowing as seen. *Polyarteritis Nodosa* - This is a form of **vasculitis** that can affect medium-sized arteries, including renal arteries, causing **microaneurysms** and infarctions, but typically not a single, focal stenosis as depicted. - PAN is a systemic disease with other clinical features like fever, weight loss, and skin lesions, which are not mentioned. *Duplication of collecting duct* - This is a congenital anomaly affecting the **urinary collecting system**, not the renal vasculature. - It would involve two ureters draining a single kidney or a bifid collecting system, and would not explain resistant hypertension or the arterial narrowing seen.
Explanation: ***Left anterior descending artery*** - The image illustrates the **left anterior descending (LAD) artery** (marked 'X') coursing down the anterior surface of the heart, adjacent to the pulmonary trunk. - This vessel characteristically runs in the **interventricular groove**, supplying the anterior wall of the left ventricle and the anterior two-thirds of the interventricular septum. *Left circumflex artery* - The **left circumflex artery** typically wraps around the left side of the heart in the **atrioventricular groove**. - It would not be seen coursing along the anterior interventricular groove as depicted by 'X'. *Right coronary artery* - The **right coronary artery (RCA)** originates from the **right sinus of Valsalva** and typically runs along the right atrioventricular groove. - Its anatomical position is on the right side of the heart, supplying the right ventricle and inferior aspects of the left ventricle. *Septal branch of LAD* - Septal branches are **smaller perforating arteries** that originate from the LAD and dive into the interventricular septum. - The vessel marked 'X' is the main trunk of the LAD, not one of its smaller septal branches.
Cardiovascular Anatomy
Practice Questions
Cardiac CT Techniques
Practice Questions
Cardiac MRI Techniques
Practice Questions
Ischemic Heart Disease Imaging
Practice Questions
Valvular Heart Disease
Practice Questions
Cardiomyopathies
Practice Questions
Pericardial Diseases
Practice Questions
Congenital Heart Disease
Practice Questions
Aortic and Great Vessel Imaging
Practice Questions
Peripheral Vascular Imaging
Practice Questions
Cardiovascular Interventional Procedures
Practice Questions
Post-Surgical Cardiovascular Imaging
Practice Questions
Get full access to all questions, explanations, and performance tracking.
Start For Free