What does the abbreviation DIBIRADS stand for in the context of breast imaging?
What is true about screening mammography?
When is mammography optimally performed in relation to the menstrual cycle?
Which one of the following is the most sensitive and specific screening test to detect breast cancer?
What is the hallmark of breast malignancy on mammography?
What is the typical effective radiation dose used in mammography?
Identify the investigation shown in the image:
A 35-year-old woman presents with a rapidly enlarging palpable breast mass over the past 3 months. Mammography is performed. What is the most likely diagnosis?

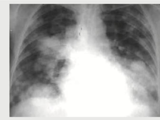
A breast cancer patient presents with difficulty in breathing. CXR shows:

Breast imaging reporting and data system (BI-RADS): Final assessment categorized a 45 year old female to have Category 5 disease. What does the report signify?
Explanation: **Explanation:** The **BI-RADS (Breast Imaging-Reporting and Data System)** is a standardized quality assurance tool developed by the **American College of Radiology (ACR)**. It provides a universal language for reporting breast imaging findings (Mammography, Ultrasound, and MRI), ensuring consistency between radiologists and referring clinicians. **Why Option A is Correct:** The acronym stands for **Breast Imaging Reporting and Data System**. Its primary purpose is to reduce ambiguity in breast imaging reports, provide a standardized assessment of findings, and offer specific management recommendations based on the level of suspicion for malignancy. **Why Other Options are Incorrect:** * **Options B & D:** "Best" is an incorrect descriptor; the system is defined by the anatomical site (Breast), not a qualitative adjective. * **Option C:** While there are other "RADS" systems (like LI-RADS for liver or TI-RADS for thyroid), there is no standard "Brain Imaging Reporting and Data System" under this specific nomenclature. **High-Yield Clinical Pearls for NEET-PG:** * **BI-RADS Categories:** * **0:** Incomplete (needs further imaging). * **1:** Negative (0% risk). * **2:** Benign (0% risk). * **3:** Probably Benign (<2% risk; requires short-interval follow-up). * **4:** Suspicious (2–95% risk; requires biopsy). * **5:** Highly Suggestive of Malignancy (>95% risk). * **6:** Known Biopsy-proven malignancy. * **Breast Density:** BI-RADS also classifies breast density (A to D), which is crucial because high density can mask small tumors on mammography. * **Management:** BI-RADS 4 and 5 always necessitate tissue diagnosis (biopsy).
Explanation: **Explanation:** Screening mammography is the gold standard for early detection of breast cancer in asymptomatic women. This question highlights the core clinical principles regarding its utility, benefits, and risks. * **Option A (Age Group):** Most international guidelines (including WHO and ACR) recommend screening mammography for women aged **50–70 years** (often biennially). While some guidelines suggest starting at 40, the 50–70 range is the most universally accepted "high-impact" window where the benefit-to-risk ratio is highest. * **Option B (Mortality Reduction):** Large-scale randomized controlled trials have consistently shown that regular screening mammography reduces breast cancer mortality by approximately **25–30%** due to early detection of non-palpable lesions (like DCIS or small invasive cancers). * **Option C (Radiation Risk):** Mammography uses low-dose ionizing radiation (X-rays). While the dose is minimal (approx. 0.4 mSv), there is a theoretical, albeit very low, stochastic risk that **radiation-induced DNA damage** could lead to carcinoma over a lifetime. However, the benefit of early cancer detection far outweighs this risk. **High-Yield Clinical Pearls for NEET-PG:** * **Standard Views:** Craniocaudal (CC) and Mediolateral Oblique (MLO). * **BI-RADS:** The standard reporting system. **BI-RADS 0** needs further imaging; **BI-RADS 3** is probably benign (short-term follow-up); **BI-RADS 4/5** requires biopsy. * **Microcalcifications:** Pleomorphic or fine linear branching calcifications are highly suspicious for malignancy. * **Best Time for Mammography:** Day 7 to 10 of the menstrual cycle (to minimize breast tenderness and density). * **Young Women:** Ultrasound is the preferred initial modality for women <30 years due to dense breast tissue.
Explanation: **Explanation:** **1. Why Option A is Correct:** Mammography is optimally performed during the **first half of the menstrual cycle (Follicular Phase)**, typically between days 5 and 12. During this phase, levels of estrogen and progesterone are relatively low. In the second half (Luteal Phase), increased progesterone causes physiological changes including breast engorgement, increased water content (edema), and increased glandular density. Performing the scan in the first half ensures **minimal breast tenderness** (improving patient cooperation for compression) and **lower parenchymal density**, which enhances the diagnostic sensitivity for detecting small masses or microcalcifications. **2. Why Other Options are Incorrect:** * **Option B:** During the second half of the cycle, the breasts are often tender and swollen. The increased density can "mask" underlying lesions (the "silhouette effect"), leading to higher recall rates or false negatives. * **Options C & D:** While these days fall within the first half, they are too specific. While the 5th day is often cited as the *start* of the ideal window, the entire first half (pre-ovulatory) is generally acceptable. Option A is the more comprehensive and standard clinical recommendation. **3. Clinical Pearls for NEET-PG:** * **BI-RADS:** Remember the Breast Imaging-Reporting and Data System (0-6). BI-RADS 3 (Probably Benign) requires a 6-month follow-up. * **Young Patients:** In women <35 years, **Ultrasound** is the initial investigation of choice due to high breast density and radiation sensitivity. * **Screening:** Standard screening mammography involves two views: **Craniocaudal (CC)** and **Mediolateral Oblique (MLO)**. * **Calcifications:** Fine, pleomorphic, or linear branching calcifications are highly suspicious for malignancy (DCIS).
Explanation: **Explanation:** **Mammography** is the gold standard and the most effective screening tool for breast cancer. Its high sensitivity and specificity stem from its ability to detect **microcalcifications** and small soft tissue masses (as small as 1–2 mm) long before they become clinically palpable. In screening programs, it has been proven to reduce breast cancer mortality by approximately 20–30%. **Analysis of Incorrect Options:** * **Regular X-ray:** Standard chest or skeletal X-rays lack the soft-tissue contrast resolution required to differentiate between normal glandular tissue and malignant lesions. Mammography uses low-energy (low kVp) X-rays specifically designed for soft tissue imaging. * **Self Breast Examination (SBE):** While useful for breast awareness, SBE has low sensitivity. It often detects tumors only when they reach a size of 1–2 cm. Studies have shown that SBE alone does not significantly reduce mortality rates compared to organized imaging screening. * **Regular Biopsy:** A biopsy (FNAC or Core Needle) is a **diagnostic** procedure, not a screening test. It is invasive and performed only after a suspicious lesion is identified via imaging or physical exam. **High-Yield Clinical Pearls for NEET-PG:** * **Standard Views:** Craniocaudal (CC) and Mediolateral Oblique (MLO). * **BIRADS:** The Breast Imaging-Reporting and Data System is used to standardize mammography reporting (BIRADS 0-6). * **Young Patients:** In women <35 years, **Ultrasound** is the initial investigation of choice due to high breast density. * **High-Risk Patients:** For patients with BRCA mutations, **Contrast-enhanced MRI** is the most sensitive screening modality (though not the primary screening tool for the general population).
Explanation: **Explanation:** The hallmark of breast malignancy on mammography is the presence of **clusters of pleomorphic microcalcifications**. These are typically small (<0.5 mm), irregular in shape, and vary in size and density. They represent calcium deposits within necrotic debris or secretions in the ducts (as seen in DCIS) or the stroma of an invasive tumor. While a spiculated mass is the most specific sign of malignancy, microcalcifications are often the earliest and most common mammographic sign of non-palpable cancers. **Analysis of Options:** * **A. Low density lesion:** Malignant lesions are typically **high-density** (radiopaque) compared to the surrounding fibroglandular tissue due to increased cellularity and stromal reaction (desmoplasia). * **B. Smooth margins:** Smooth, well-circumscribed margins are characteristic of **benign** lesions (e.g., simple cysts or fibroadenomas). Malignant lesions typically exhibit **spiculated, microlobulated, or obscured** margins. * **D. Popcorn calcification:** This is a classic "benign" calcification pattern. Large, coarse "popcorn" calcifications are pathognomonic for an **involuting fibroadenoma**. **High-Yield Clinical Pearls for NEET-PG:** * **BI-RADS Classification:** Used for standardized reporting. BI-RADS 4 (Suspicious) and 5 (Highly suggestive of malignancy) require biopsy. * **Most Specific Sign:** A **spiculated mass** is the most specific mammographic feature of malignancy. * **Stellate Lesions:** Differential includes Invasive Ductal Carcinoma (IDC), Radial Scar (benign but mimics cancer), and Fat Necrosis. * **Screening:** Mammography is the gold standard for screening women >40 years. For younger women or those with dense breasts, **Ultrasound (USG)** is the preferred initial modality.
Explanation: **Explanation:** The effective radiation dose for a standard screening mammogram (consisting of two views per breast) is approximately **0.7 mSv**. This value represents the average dose received by the patient, which is relatively low—roughly equivalent to the amount of natural background radiation a person receives over three months. * **Why 0.7 mSv is correct:** In mammography, the dose is often discussed in two ways: the **Mean Glandular Dose (MGD)**, which is typically around 3–4 mGy for a full exam, and the **Effective Dose**, which accounts for the radiosensitivity of the breast tissue. Standard international guidelines and radiological textbooks (like Grainger & Allison) cite the effective dose for a 4-view bilateral screening mammogram as approximately 0.7 mSv. * **Why other options are incorrect:** * **0.5 mSv:** This is slightly lower than the standard dose for a full 4-view study; it might represent a single-breast or 2-view study. * **0.9 mSv and 1 mSv:** These values are higher than the average for digital mammography. While doses can vary based on breast density and thickness, 0.7 mSv remains the standardized "textbook" value for exams. **Clinical Pearls for NEET-PG:** * **Mean Glandular Dose (MGD):** This is the most relevant parameter for assessing radiation risk in mammography. The legal limit (MQSA) is **3 mGy per view** (with a grid). * **Comparison:** A chest X-ray is ~0.1 mSv, while a CT abdomen is ~8–10 mSv. * **Risk vs. Benefit:** The risk of radiation-induced carcinogenesis from a mammogram is extremely low compared to the benefit of early breast cancer detection. * **Digital Breast Tomosynthesis (3D Mammography):** Usually results in a slightly higher dose than 2D mammography but often stays within the 0.7–1.2 mSv range.
Explanation: ***Mammography*** - The image displays the characteristic features of a mammogram, which is a specialized **low-dose X-ray** of the breast used for screening and diagnosis. - It clearly delineates the breast's internal structures, including **glandular tissue**, **adipose tissue**, and **ducts**, which is the primary purpose of this imaging modality. *CT* - A **Computed Tomography (CT)** scan produces cross-sectional (slice) images, whereas the image shown is a projectional view of the entire breast, typical of mammography. - CT scans of the chest would typically show surrounding structures like ribs, lungs, and the sternum, which are absent in this focused view. *X-ray* - While mammography is a type of X-ray, in clinical practice, the term "X-ray" usually refers to a standard radiograph (e.g., chest X-ray) that is not optimized for detailed **soft-tissue differentiation** of the breast. - The technique involves breast compression and specific views (like mediolateral oblique or craniocaudal) that are unique to mammography, not general radiography. *MRI* - **Magnetic Resonance Imaging (MRI)** of the breast produces images with different tissue contrast and appearance, often using gadolinium contrast to assess vascularity. - The texture and resolution of an MRI are distinct, and it does not typically show microcalcifications with the same clarity as a mammogram.
Explanation: ***Phyllodes tumor*** - The mammogram shows a **large, well-circumscribed, lobulated mass** with areas of increased density and possibly some calcifications, which is characteristic of a phyllodes tumor. - Phyllodes tumors are **biphasic fibroepithelial tumors** that can grow rapidly and tend to be larger than fibroadenomas, often presenting as palpable masses with a rapidly increasing size. *Fibroadenoma* - While fibroadenomas are also well-circumscribed, they are typically **smaller** and less lobulated than the mass seen in the image. - They often contain distinctive **"popcorn" calcifications** which are not clearly depicted here, and rapid growth is a less common feature. *Galactocele* - A galactocele is a **milk-filled cyst** that usually occurs in lactating or recently pregnant women. - Radiographically, it appears as a **well-defined, low-density mass** that can be challenging to differentiate from a fat lobule or lipoma, but it would not typically have the dense, solid-appearing components seen here. *Carcinoma breast* - Malignant breast tumors, especially invasive carcinomas, typically present with **spiculated margins**, irregular shapes, and architectural distortion, or suspicious microcalcifications. - The mass in the image, although large, is relatively **well-circumscribed** and does not exhibit the classic malignant features like spiculations or architectural distortion.
Explanation: ***Cannonball metastasis*** - The chest X-ray shows multiple, well-defined, rounded opacities of varying sizes scattered throughout both lung fields, consistent with the characteristic appearance of **cannonball metastases**. - Given the patient's history of **breast cancer** and new onset **dyspnea**, pulmonary metastases are a very likely cause. *Pneumothorax* - A pneumothorax would appear as an area of translucency with absence of lung markings, often accompanied by a visible visceral pleural line and tracheal deviation in severe cases. This is not observed here; instead, the lungs are filled with multiple lesions. - The image does not show any signs of a collapsed lung, air in the pleural space, or shifted mediastinum. *Pulmonary artery hypertension* - Pulmonary artery hypertension on CXR might show **enlarged central pulmonary arteries** and pruning of peripheral vessels, or signs of right heart enlargement. - The predominant features in this image are numerous discrete nodules, not signs of vascular dilation or heart changes. *Interstitial lung disease* - Interstitial lung disease typically presents with a **reticular, nodular, or reticulonodular pattern**, often with reduced lung volumes and honeycombing in advanced stages. - The distinct, large, spherical lesions seen here are not characteristic of the diffuse, fine patterns associated with most interstitial lung diseases.
Explanation: ***Highly suggestive of malignancy (≥95% malignant)*** - A **BI-RADS Category 5** classification indicates imaging findings that are highly suggestive of **cancer**, with a very high probability (typically ≥95%) of malignancy. - This category usually prompts a recommendation for **biopsy** and definitive diagnosis due to the high suspicion. *Incomplete assessment* - An **incomplete assessment** is represented by **BI-RADS Category 0**, meaning additional imaging evaluation or prior mammograms are needed before a final assessment can be made. - This category does not suggest the likelihood of malignancy, but rather the need for further information. *Probably benign (≤2% malignant)* - **Probably benign findings** are categorized as **BI-RADS Category 3**, signifying a low probability of malignancy (≤2%). - These cases typically recommend **short-interval follow-up**, usually within 6 months, to monitor for changes. *Negative- Annual screening can be recommended.* - A **negative** assessment is designated as **BI-RADS Category 1**, indicating that the breast tissue is normal and there are no abnormal findings. - In such cases, routine **annual screening** or appropriate follow-up based on age and risk factors is recommended.
Breast Anatomy and Physiology
Practice Questions
Male Breast Imaging
Practice Questions
Mammography Techniques
Practice Questions
BI-RADS Classification
Practice Questions
Breast Ultrasonography
Practice Questions
Breast MRI
Practice Questions
Digital Breast Tomosynthesis
Practice Questions
Benign Breast Diseases
Practice Questions
Breast Cancer Detection and Diagnosis
Practice Questions
Interventional Breast Procedures
Practice Questions
Breast Cancer Screening
Practice Questions
Male Breast Imaging
Practice Questions
Post-treatment Breast Imaging
Practice Questions
Get full access to all questions, explanations, and performance tracking.
Start For Free