Depolarization in myelinated axons jumps from one node of Ranvier to the next. This process is known as:
A patient diagnosed with depression responds well to MAO inhibitors. Which neurotransmitter is deficient in this patient, and from which structure is it primarily produced?
Pathology of which system can lead to disorders of the autonomic nervous system?
What structures form the blood-brain barrier?
Sympathetic stimulation causes all except?
Which of the following is not a feature of spinal cord reflex?
Under normal physiological conditions, CSF pressure is proportional to which of the following factors?
Delta waves on EEG are recorded in which stage of sleep?
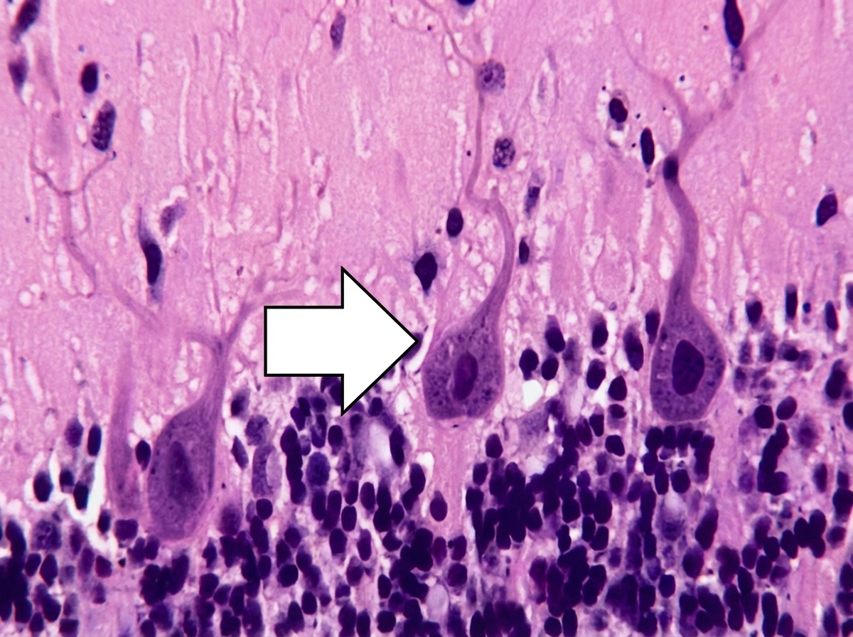
The marked cell inhibits which of the following structure?

What is the effect of axon thickening on nerve impulse conduction speed?
Explanation: **Explanation:** **1. Why Saltatory Conduction is Correct:** In myelinated axons, the lipid-rich **myelin sheath** acts as an electrical insulator, preventing ion flow across the axonal membrane. However, the sheath is interrupted at regular intervals by the **Nodes of Ranvier**, where there is a high density of voltage-gated $Na^+$ channels. Instead of a continuous wave of depolarization, the action potential "jumps" from one node to the next. This process is called **Saltatory Conduction** (from the Latin *saltare*, meaning "to leap"). This mechanism significantly increases the velocity of nerve impulse transmission and conserves energy, as $Na^+-K^+$ ATPase activity is only required at the nodes. **2. Why Other Options are Incorrect:** * **Retrograde conduction:** Refers to the movement of an impulse or substance backward (from the axon terminal toward the cell body). In physiology, this often refers to retrograde axonal transport (e.g., dynein-mediated). * **Antidromic conduction:** Refers to an action potential traveling in the opposite direction of its normal physiological pathway (e.g., from the axon terminal toward the soma). Normal physiological conduction is called **orthodromic**. **3. NEET-PG High-Yield Pearls:** * **Velocity:** Conduction velocity in myelinated fibers is directly proportional to the fiber diameter ($V \propto \text{diameter}$). * **Energy Efficiency:** Saltatory conduction is more energy-efficient because depolarization is localized, requiring less ATP to restore ionic gradients. * **Clinical Correlation:** **Multiple Sclerosis (MS)** is a CNS demyelinating disease where saltatory conduction is disrupted, leading to "conduction block" or slowing of impulses. **Guillain-Barré Syndrome (GBS)** is the equivalent for the Peripheral Nervous System. * **Myelin Producers:** Oligodendrocytes (CNS) and Schwann cells (PNS).
Explanation: **Explanation:** The patient’s response to **MAO inhibitors (MAOIs)** indicates a deficiency in monoamine neurotransmitters, specifically **Norepinephrine (NE)** or Serotonin. According to the monoamine hypothesis of depression, a decrease in NE levels in the brain is a primary driver of depressive symptoms. MAOIs work by inhibiting the enzyme Monoamine Oxidase, thereby preventing the breakdown of NE and increasing its availability in the synaptic cleft. The **Locus Ceruleus**, located in the posterior area of the **rostral pons**, is the primary site for the synthesis of Norepinephrine in the Central Nervous System. Axons from this small nucleus project widely throughout the brain, regulating mood, arousal, and attention. **Analysis of Incorrect Options:** * **Raphe Nucleus (Pons/Brainstem):** This is the primary site for **Serotonin (5-HT)** production. While serotonin is also involved in depression, the Locus Ceruleus is the classic anatomical correlation for NE-related pathways. * **Substantia Nigra:** Located in the midbrain, this structure (specifically the Pars Compacta) is the primary producer of **Dopamine**. Its degeneration is the hallmark of Parkinson’s disease. * **Hypothalamus:** While it produces various hormones and neurotransmitters (like Histamine in the tuberomammillary nucleus), it is not the primary source of the systemic norepinephrine involved in the pathophysiology of clinical depression. **High-Yield Clinical Pearls for NEET-PG:** * **Norepinephrine Synthesis:** Tyrosine → L-Dopa → Dopamine → Norepinephrine (via Dopamine $\beta$-hydroxylase). * **Metabolism:** NE is metabolized into **VMA (Vanillylmandellic acid)**; elevated urinary VMA is a marker for Pheochromocytoma. * **Anatomical Markers:** * Acetylcholine → Nucleus Basalis of Meynert. * GABA → Nucleus Accumbens/Striatum. * Dopamine → Substantia Nigra/Ventral Tegmental Area.
Explanation: **Explanation:** The autonomic nervous system (ANS) is not an isolated entity; it is an integrated network with components located in both the **Central Nervous System (CNS)** and the **Peripheral Nervous System (PNS)**. Therefore, pathology in either system can manifest as autonomic dysfunction (dysautonomia). 1. **Central Nervous System (CNS) Involvement:** The "control centers" for the ANS reside in the CNS. Key areas include the **Hypothalamus** (the highest integrator of autonomic function), the brainstem (medulla and pons containing vasomotor and respiratory centers), and the spinal cord (lateral gray horn from T1–L2 for sympathetic and S2–S4 for parasympathetic). Conditions like Multiple System Atrophy (MSA), Parkinson’s disease, or spinal cord injuries directly disrupt these central regulatory pathways. 2. **Peripheral Nervous System (PNS) Involvement:** The ANS executes its functions via peripheral nerves (pre-ganglionic and post-ganglionic fibers). Damage to these nerves, common in **Diabetic Neuropathy**, Guillain-Barré Syndrome, or Amyloidosis, prevents autonomic signals from reaching target organs (heart, blood vessels, glands), leading to symptoms like orthostatic hypotension or gastroparesis. **Why other options are incorrect:** * **Options A & B:** These are incomplete. Focusing on only one system ignores the integrated "reflex arc" of the ANS, which requires both central processing and peripheral transmission to function. **High-Yield Clinical Pearls for NEET-PG:** * **Horner’s Syndrome:** A classic example of ANS pathology that can be central (stroke), pre-ganglionic (Pancoast tumor), or post-ganglionic (carotid artery dissection). * **Pure Autonomic Failure (PAF):** A peripheral degeneration of post-ganglionic autonomic neurons. * **Multiple System Atrophy (Shy-Drager Syndrome):** A central neurodegenerative disorder characterized by prominent autonomic failure.
Explanation: The **Blood-Brain Barrier (BBB)** is a highly selective semipermeable border that separates the circulating blood from the brain extracellular fluid in the central nervous system. ### **1. Why Option A is Correct** The BBB is structurally composed of three main components: * **Endothelial Cells:** These are non-fenestrated and connected by **tight junctions** (zonula occludens), forming the primary physical barrier. * **Basal Lamina:** A continuous basement membrane supporting the endothelium. * **Astrocyte Foot Processes (Podocytes):** These "end-feet" encircle the capillaries. While the tight junctions of the endothelium provide the actual barrier, astrocytes are crucial for inducing and maintaining these junctions and regulating nutrient transport. ### **2. Why Other Options are Incorrect** * **Option B:** **Oligodendrocytes** are responsible for myelinating axons in the CNS; they do not contribute to the structural integrity of the BBB. * **Option C:** **Microglia** are the resident macrophages (immune cells) of the brain; they are involved in neuroinflammation, not barrier formation. * **Option D:** While astrocytes are a type of glial cell, "glial cells" is too broad a term (including ependymal cells, microglia, etc.). NEET-PG requires the most specific anatomical answer. ### **3. High-Yield Clinical Pearls for NEET-PG** * **Circumventricular Organs (CVOs):** These are specific areas where the **BBB is absent**, allowing the brain to monitor systemic blood chemistry (e.g., Area Postrema for vomiting, Posterior Pituitary for hormone release). * **Permeability:** The BBB is highly permeable to **lipid-soluble substances** (O2, CO2, alcohol, steroid hormones) but impermeable to large molecules and highly polar substances. * **Clinical Correlation:** In **Kernicterus**, unconjugated bilirubin crosses the immature BBB in neonates, leading to basal ganglia damage. Inflammation (Meningitis) increases BBB permeability, allowing certain antibiotics (like Penicillin) to cross more easily.
Explanation: **Explanation:** The autonomic nervous system (ANS) is divided into the sympathetic ("fight or flight") and parasympathetic ("rest and digest") systems. **Why Erection is the Correct Answer:** Penile erection is primarily a **parasympathetic** phenomenon mediated by the pelvic splanchnic nerves (S2–S4). Parasympathetic stimulation triggers the release of **Nitric Oxide (NO)**, which causes vasodilation of the helicine arteries and relaxation of the corpora cavernosa, leading to engorgement. Conversely, sympathetic stimulation causes **ejaculation** and subsequent detumescence (vasoconstriction). A common mnemonic to remember this is: **P**oint (Parasympathetic = Erection) and **S**hoot (Sympathetic = Ejaculation). **Analysis of Incorrect Options:** * **Positive Chronotropy:** Sympathetic fibers release norepinephrine, which acts on **β1 receptors** in the SA node to increase heart rate (positive chronotropy). * **Bronchodilatation:** Sympathetic stimulation acts on **β2 receptors** in the bronchial smooth muscle, causing relaxation to increase airflow during stress. * **Vasoconstriction:** Most blood vessels possess **α1 receptors**. Sympathetic stimulation causes systemic vasoconstriction to maintain blood pressure and divert blood to essential organs. **High-Yield Clinical Pearls for NEET-PG:** * **Exception to the Rule:** While sympathetic stimulation generally causes vasoconstriction (α1), it causes **vasodilation** in skeletal muscle vessels via **β2 receptors** (and historically via sympathetic cholinergic fibers). * **Sweat Glands:** These are anatomically sympathetic but **physiologically cholinergic** (utilize Acetylcholine). * **Adrenal Medulla:** Directly innervated by preganglionic sympathetic fibers; it acts as a modified sympathetic ganglion.
Explanation: **Explanation:** Spinal cord reflexes are involuntary, stereotyped motor responses to a specific sensory stimulus. These reflexes are mediated by a reflex arc consisting of a receptor, afferent nerve, synapse(s) in the spinal cord, efferent nerve, and effector organ. **Why "Memory" is the correct answer:** Memory is a higher-order cortical function primarily associated with the hippocampus and cerebral cortex. Spinal reflexes are **hard-wired and stereotyped**; they do not "learn" from previous experiences or store information for future recall. While spinal cord plasticity (like sensitization) exists, "Memory" in the classical physiological sense is not a characteristic feature of a simple spinal reflex arc. **Why the other options are incorrect:** * **Delay (Synaptic Delay):** Every reflex involves at least one synapse (monosynaptic) or more (polysynaptic). The time taken for the neurotransmitter to be released and act on the postsynaptic membrane causes a measurable delay (approx. 0.5 ms per synapse). * **Fatigue:** If a reflex is stimulated repeatedly and rapidly, the neurotransmitter stores at the synapse become depleted, leading to a gradual decrease and eventual disappearance of the reflex response. * **Summation:** Spinal reflexes exhibit both **Spatial Summation** (multiple afferent fibers stimulating a motor neuron) and **Temporal Summation** (repeated stimulation of a single afferent fiber), which helps in reaching the threshold for an action potential. **High-Yield Clinical Pearls for NEET-PG:** * **Monosynaptic Reflex:** The only example in the human body is the **Stretch Reflex** (e.g., Knee jerk). * **Polysynaptic Reflex:** Most reflexes, including the **Withdrawal Reflex**, involve interneurons. * **Reciprocal Inhibition:** When a reflex stimulates an agonist muscle, it simultaneously inhibits the antagonist muscle (e.g., stimulating quadriceps while inhibiting hamstrings in a knee jerk). * **Final Common Path:** Sherrington referred to the **Lower Motor Neuron (LMN)** as the final common path because all reflex and voluntary signals converge upon it.
Explanation: ### Explanation The correct answer is **A. Rate of CSF absorption.** **1. Why the correct answer is right:** Under normal physiological conditions, the production of Cerebrospinal Fluid (CSF) is a constant process (approx. 0.35 ml/min or 500 ml/day) that is largely independent of intracranial pressure. Therefore, the regulation of CSF pressure follows the **Davson’s Equation**: $$CSF\ Pressure = \frac{Rate\ of\ Formation}{Hydraulic\ Conductivity} + Dural\ Venous\ Pressure$$ Since formation is constant, the primary physiological variable that determines CSF pressure is the **resistance to absorption** at the arachnoid villi. As CSF pressure rises, the rate of absorption into the dural venous sinuses increases linearly to maintain equilibrium. Thus, CSF pressure is directly proportional to the rate of its absorption. **2. Why the incorrect options are wrong:** * **B. Rate of formation:** In a healthy individual, CSF formation is relatively constant and does not fluctuate to regulate pressure. It only becomes a factor in pathological states (e.g., choroid plexus papilloma). * **C. Cerebral Blood Flow (CBF):** While CBF can influence intracranial pressure (ICP) through vasodilation or constriction (the Monro-Kellie doctrine), CSF pressure specifically is regulated by the balance of fluid dynamics (formation vs. absorption) rather than the flow rate of arterial blood. * **D. Blood Pressure:** Autoregulation ensures that cerebral perfusion and CSF dynamics remain stable despite fluctuations in systemic blood pressure (within the range of 60–150 mmHg). **3. Clinical Pearls for NEET-PG:** * **Site of Absorption:** Arachnoid villi/granulations (into the Superior Sagittal Sinus). * **Normal CSF Pressure:** 70–180 mmH₂O (or 5–15 mmHg) in a lateral recumbent position. * **Hydrocephalus:** Communicating hydrocephalus is most commonly caused by **impaired absorption** at the arachnoid villi, reinforcing that absorption is the key regulatory step. * **Composition:** CSF is nearly acellular and has lower glucose and protein levels compared to plasma, but higher chloride levels.
Explanation: ### Explanation **Correct Answer: D. Deep sleep (Stage N3 NREM sleep)** **Medical Concept:** Electroencephalogram (EEG) waves are categorized by their frequency and amplitude. **Delta waves** are the slowest (0.5–4 Hz) and have the highest amplitude. They are the hallmark of **Stage N3 NREM sleep**, also known as **Slow-Wave Sleep (SWS)** or Deep Sleep. In this stage, at least 20% of the EEG activity consists of delta waves, reflecting synchronized cortical activity and a high threshold for arousal. **Analysis of Incorrect Options:** * **A. REM sleep:** The EEG shows "paradoxical" activity—low-voltage, high-frequency waves (Beta and Sawtooth waves) that resemble an awake state, despite the person being in deep muscle atonia. * **B. Stage N1 NREM sleep:** This is the transition from wakefulness to sleep. The EEG shows a disappearance of Alpha waves and the emergence of low-voltage, mixed-frequency **Theta waves** (4–7 Hz). * **C. Stage N2 NREM sleep:** This is light sleep characterized by specific EEG landmarks: **Sleep Spindles** (bursts of 12–14 Hz) and **K-complexes** (large negative-positive deflections). **High-Yield Facts for NEET-PG:** * **Mnemonic for EEG waves (Highest to Lowest frequency):** **B**at **D**rinks **B**lood (**B**eta > **A**lpha > **T**heta > **D**elta). * **Sleep Walking/Night Terrors:** These parasomnias occur during **Stage N3** (Deep Sleep), not REM. * **Bruxism (Teeth grinding):** Occurs primarily in **Stage N2**. * **Dreaming:** Occurs predominantly in **REM sleep**, which is also associated with penile tumescence and rapid eye movements. * **Growth Hormone:** Secretion peaks during Stage N3 NREM sleep.
Explanation: ***Deep cerebellar nuclei*** - **Purkinje cells** are the sole output neurons of the cerebellar cortex and send **inhibitory GABAergic fibers** exclusively to the deep cerebellar nuclei (dentate, emboliform, globose, fastigial). - This inhibitory connection is crucial for **motor coordination** and **motor learning**, modulating the excitatory output from the deep cerebellar nuclei to motor control centers. *Golgi cell* - **Golgi cells** are interneurons within the cerebellar cortex that receive input from **mossy fibers** and provide inhibitory feedback to granule cells. - Purkinje cells do not directly inhibit Golgi cells; instead, they receive input from **parallel fibers** (granule cell axons) that Golgi cells help regulate. *Basket cell* - **Basket cells** are inhibitory interneurons in the molecular layer that provide **lateral inhibition** to Purkinje cells through GABAergic synapses. - The relationship is reversed - basket cells inhibit Purkinje cells, not the other way around, helping to **sharpen motor responses**. *Vestibular nuclei* - While some **flocculonodular lobe** Purkinje cells do project to vestibular nuclei, this is not the primary target of most Purkinje cells. - The majority of Purkinje cells project to the **deep cerebellar nuclei**, making this a less accurate answer for the general Purkinje cell population.
Explanation: **Explanation:** The speed of nerve impulse conduction is directly proportional to the diameter of the axon. When an axon thickens (increases in diameter), the **internal longitudinal resistance** to the flow of ions decreases significantly. According to Ohm’s Law, lower resistance allows local current circuits to flow more rapidly and over longer distances, leading to a faster rate of depolarization in adjacent segments of the axonal membrane. In myelinated fibers, thicker axons also have longer internodal distances, allowing the action potential to "jump" (saltatory conduction) across larger gaps, further increasing velocity. **Analysis of Options:** * **Option A (Correct):** Increased diameter reduces internal resistance, facilitating faster current flow and higher conduction velocity. * **Option B:** Decreased speed is seen in axonal tapering, demyelinating diseases (like Multiple Sclerosis), or cooling of the nerve. * **Option C:** The absolute refractory period is determined by the inactivation gate of voltage-gated sodium channels, not by the physical thickness of the axon. * **Option D:** Unmyelination is a structural state (lack of Schwann cells/Oligodendrocytes) and is not a direct result of axonal thickening; in fact, thicker fibers in the body are typically myelinated. **NEET-PG High-Yield Pearls:** * **Erlanger-Gasser Classification:** Type A-alpha fibers are the thickest (12–20 µm) and fastest (70–120 m/s), while Type C fibers are the thinnest and slowest. * **Relationship:** Conduction velocity (m/s) in myelinated fibers is roughly **6 × diameter (µm)**. * **Factors increasing velocity:** Myelination, increased diameter, and increased temperature.
Neurons and Glial Cells
Practice Questions
Synaptic Transmission
Practice Questions
Sensory Processing
Practice Questions
Motor Control Systems
Practice Questions
Autonomic Nervous System
Practice Questions
Hypothalamus and Limbic System
Practice Questions
Cerebral Cortex Functions
Practice Questions
Electroencephalography
Practice Questions
Neuroplasticity
Practice Questions
Sleep and Wakefulness
Practice Questions
Get full access to all questions, explanations, and performance tracking.
Start For Free