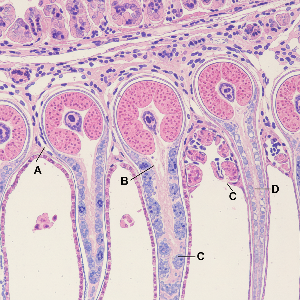
Which of the cells labelled below secrete hydrochloric acid?

Which of the following are functions of the gall bladder? I. Reservoir for bile II. Production of bile III. Secretion of mucus IV. Concentration of bile Select the correct answer using the code given below :
Iron is absorbed predominantly in the
With reference to the role of fibre in diet, consider the following statements: 1. It inhibits faecal mutagen synthesis. 2. It reduces post-prandial glucose. 3. It decreases the transit time of food in the bowel. Which of the above represent(s) the role of fibre in our diet?
Which transporter is responsible for the absorption of glucose in the intestine when a person is given Oral Rehydration Solution (ORS)?
A child presented with dehydration and was supplemented with ORS solution for management. Which of the following transporters help in the absorption of glucose from GIT?
A woman must vomit whenever she eats spicy food. Arrange the sequence of events during vomiting. 1. LES is open and UES is closed 2. Strong contractions in the stomach 3. Inspiration against a closed glottis 4. Relaxation of the pyloric sphincter 5. LES opens and UES opens 6. Reverse peristalsis in the small intestine LES: Lower esophageal sphincter UES: Upper esophageal sphincter
All of the following increases gastric acid secretion except?
The relaxation of the intestinal segment distal to the segment with the bolus of food during peristalsis is because of?
Which neurotransmitter primarily mediates slow synaptic transmission in the enteric nervous system?
Explanation: ***A*** - The cells labeled 'A' are **parietal cells** (oxyntic cells), which are large, often triangular or oval cells with an eosinophilic cytoplasm due to abundant mitochondria. - Parietal cells are responsible for secreting **hydrochloric acid (HCl)** and intrinsic factor, crucial for vitamin B12 absorption. *B* - The cells labeled 'B' appear to be **mucous neck cells** or chief cells found deeper in the gastric glands. - Mucous neck cells secrete **acidic mucus**, while chief cells primarily produce **pepsinogen**. *C* - The cells labeled 'C' are primarily **chief cells**, which are basophilic due to their abundant rough endoplasmic reticulum, associated with protein synthesis. - Chief cells secrete **pepsinogen** and gastric lipase, not hydrochloric acid. *D* - The structure labeled 'D' points to the connective tissue of the **lamina propria**, which contains blood vessels, nerves, and immune cells. - This area provides structural support and nutrition to the gastric glands but does not secrete digestive enzymes or acid.
Explanation: ***I, III and IV (Correct)*** - The gallbladder **stores bile** produced by the liver, acting as a reservoir (I) until it's needed for digestion. - It **concentrates bile** 5-20 fold (IV) by absorbing water and electrolytes through its epithelium. - The gallbladder epithelium **secretes mucin** (III), which forms a protective mucous layer. - The gallbladder does **NOT produce bile** (II) - this is exclusively a function of hepatocytes in the liver. *II, III and IV (Incorrect)* - This option incorrectly includes bile production (II), which is **not a function of the gallbladder**. - The **liver produces bile**; the gallbladder only stores and concentrates it. - While III and IV are correct functions, the inclusion of II makes this option wrong. *I, II and III (Incorrect)* - This option incorrectly states that the gallbladder produces bile (II), which is a **hepatic function**. - Additionally, it omits bile concentration (IV), which is one of the **primary functions** of the gallbladder. - Only I and III are correct in this combination. *I, II and IV (Incorrect)* - This option incorrectly includes bile production (II) as a gallbladder function. - The gallbladder's actual roles are **storage (I), concentration (IV), and mucus secretion (III)** - not bile production.
Explanation: ***Duodenum*** - The **duodenum** is the primary site for iron absorption, with maximum absorption occurring in the **duodenum and proximal jejunum**. - Iron is absorbed in both **heme** and **non-heme** forms through specific transporters like **DMT1** (divalent metal transporter 1) and **ferroportin**. - The acidic pH from gastric secretions helps maintain iron in the soluble **ferrous (Fe²⁺) form**, which is readily absorbed in the duodenum. - The duodenal enterocytes have the highest concentration of iron transport proteins, making this the most efficient site for iron absorption. *Jejunum* - Some iron absorption can occur in the **proximal jejunum**, but it decreases progressively in the distal parts. - The jejunum primarily absorbs **carbohydrates**, **proteins**, **amino acids**, and **fats**. - While it contributes to iron absorption, it is not the predominant site. *Ileum* - The ileum is specialized for absorption of **vitamin B12** (via intrinsic factor), **bile salts**, and fat-soluble vitamins. - Iron absorption in the ileum is minimal compared to the duodenum. - By the time chyme reaches the ileum, most iron has already been absorbed in the proximal small intestine. *Stomach* - The stomach does not absorb iron but plays an important preparatory role. - Gastric **hydrochloric acid** (HCl) helps solubilize iron and convert ferric iron (Fe³⁺) to ferrous iron (Fe²⁺), which is the absorbable form. - **Intrinsic factor** is secreted here for vitamin B12 absorption, not iron.
Explanation: ***1, 2 and 3*** - Dietary fiber aids in reducing the formation of **faecal mutagens** by diluting their concentration and promoting their excretion, thereby lowering the risk of colorectal cancer. - Fiber, especially **soluble fiber**, slows down the absorption of glucose from the digestive tract, which helps in reducing **post-prandial glucose** spikes and improving glycemic control. - It increases stool bulk and softness, which **decreases the transit time** of food through the bowel, preventing constipation and reducing exposure to potential toxins. *1 only* - This option is incomplete as it only includes the benefit of inhibiting faecal mutagen synthesis and ignores other established physiological roles of dietary fiber. - While fiber does inhibit faecal mutagen synthesis, it also has significant impacts on glucose metabolism and gut motility. *2 only* - This option is also incomplete, focusing solely on the reduction of post-prandial glucose. - It overlooks the crucial roles of fiber in gut health, such as inhibiting mutagen synthesis and regulating bowel transit time. *1 and 2 only* - This option recognizes the role of fiber in both **faecal mutagen synthesis** and **post-prandial glucose** control but fails to acknowledge its critical function in maintaining regular bowel movements. - Dietary fiber is well-known for its laxative effect and its ability to **decrease transit time**, which is a fundamental benefit for digestive health.
Explanation: ***SGLT-1 (Sodium-Glucose cotransporter 1)*** - **SGLT-1** is the primary transporter responsible for the **active absorption of glucose** and galactose from the intestinal lumen into enterocytes, utilizing the electrochemical gradient of sodium. - The mechanism of **ORS** relies on the co-transport of sodium and glucose via SGLT-1, which also facilitates the osmotic movement of water, making it effective for rehydration. *GLP-1 (Glucagon-like peptide-1)* - **GLP-1** is an **incretin hormone** that stimulates insulin secretion and inhibits glucagon release from the pancreas, playing a role in glucose homeostasis. - It is not a transporter for glucose absorption from the intestine but rather a **signaling molecule** involved in metabolic regulation. *SGLT-2 (Sodium-Glucose cotransporter 2)* - **SGLT-2** is predominantly found in the **renal tubules**, where it is responsible for the majority of glucose reabsorption from the filtrate back into the bloodstream. - While it is a glucose transporter, its primary role is in the **kidney**, not in intestinal glucose absorption. *GLUT-1 (Glucose Transporter 1)* - **GLUT-1** is found in all cell types and is primarily responsible for **basal glucose uptake** by cells, particularly high in red blood cells and at the blood-brain barrier. - It is a **facilitated diffusion transporter** and is not the primary mechanism for glucose absorption from the intestinal lumen.
Explanation: ***SGLT 1*** - **SGLT1 (Sodium-Glucose Co-transporter 1)** is responsible for the **active transport of glucose and galactose** from the intestinal lumen into the enterocytes, coupled with sodium. - The principle of **oral rehydration solutions (ORS)** relies on this co-transport mechanism, as glucose (or other carbohydrates like sucrose, which is broken down into glucose and fructose) facilitates the absorption of sodium and water across the intestinal wall. *GLUT 2* - **GLUT2** is primarily located on the **basolateral membrane of enterocytes** and facilitates glucose transport out of the cell into the bloodstream. It also plays a role in glucose uptake in the liver and pancreatic beta cells. - While involved in glucose handling, **GLUT2 does not absorb glucose from the intestinal lumen** into the enterocytes; rather, it transports glucose out of them. *SGLT 2* - **SGLT2 (Sodium-Glucose Co-transporter 2)** is predominantly found in the **proximal tubules of the kidneys**, where it is responsible for the reabsorption of the vast majority of filtered glucose back into the bloodstream. - It is not involved in **intestinal glucose absorption**. Selective SGLT2 inhibitors are used as antidiabetic drugs to promote glucose excretion via the kidneys. *GLUT 1* - **GLUT1 (Glucose Transporter 1)** is a ubiquitous glucose transporter found in nearly all cell types, particularly important for basal glucose uptake by tissues like the **brain** and **red blood cells**. - While essential for glucose transport in many tissues, **GLUT1 plays a negligible role in glucose absorption from the gastrointestinal tract**.
Explanation: ***6,4,2,3,1,5*** - The correct sequence of vomiting begins with **reverse peristalsis in the small intestine (6)**, which propels intestinal contents retrograde toward the stomach. - The **pyloric sphincter then relaxes (4)**, allowing duodenal contents to enter the stomach and mix with gastric contents. - **Strong stomach contractions (2)** follow, building initial pressure within the gastric lumen. - **Deep inspiration against a closed glottis (3)** is critical—this generates high intra-abdominal and intrathoracic pressure (the essential expulsive force). - The **LES opens while UES remains closed (1)**, allowing gastric contents to move into the esophagus. - Finally, the **UES opens (5)**, permitting expulsion of contents through the mouth. *4,6,2,1,3,5* - Incorrect because **pyloric sphincter relaxation precedes reverse peristalsis**, which is physiologically backwards—intestinal contents must first move toward the stomach before the pylorus can allow them entry. - The positioning of glottis closure late in the sequence misrepresents when intra-abdominal pressure is generated. *4,6,2,5,3,1* - This sequence incorrectly places **both sphincters opening (5) before the critical pressure-generating step (3)**, which would result in premature expulsion without adequate force. - The inspiration against closed glottis must occur before final sphincter opening to create the necessary expulsive pressure. *6,4,2,5,1,3* - This option misorders the final events by having **both sphincters open (5) before adequate pressure generation (3)** and before the sequential LES opening (1). - The glottis closure step is positioned too late—it must precede sphincter opening to generate the high intra-abdominal pressure required for forceful expulsion.
Explanation: ***Serotonin*** - **Serotonin** (5-HT) is primarily known for its roles in gastrointestinal motility and CNS function, but it does not directly stimulate **gastric acid secretion**. - While it can influence gastric function indirectly, it is not a direct secretagogue for **parietal cells**. *Acetylcholine* - **Acetylcholine** (ACh), released from parasympathetic nerve endings, directly stimulates **parietal cells** to secrete hydrochloric acid. - It also enhances the release of **histamine** and **gastrin**, both of which promote acid secretion. *Histamine* - **Histamine**, released from enterochromaffin-like (ECL) cells in the gastric mucosa, is a potent stimulator of **gastric acid secretion**. - It acts on **H2 receptors** on parietal cells, leading to increased acid production. *Gastrin* - **Gastrin**, a hormone produced by G cells in the pyloric antrum, is a powerful stimulator of **gastric acid secretion**. - It acts directly on **parietal cells** and also promotes **histamine release** from ECL cells.
Explanation: ***Nitric oxide (NO)*** - **Nitric oxide (NO)** is a key **inhibitory neurotransmitter** that causes relaxation of the smooth muscle distal to the bolus during peristalsis, allowing the food to move forward. - Along with **Vasoactive Intestinal Peptide (VIP)**, NO mediates the **descending relaxation reflex** in the gut, which is essential for effective propulsion. *Substance P* - **Substance P** is an **excitatory neurotransmitter** that primarily mediates contraction of the smooth muscle proximal to the bolus during peristalsis. - It works synergistically with **acetylcholine** to initiate the muscular squeeze that propels food. *Norepinephrine from adrenergic fibers* - **Norepinephrine** is the primary neurotransmitter released by **sympathetic adrenergic fibers** in the gastrointestinal tract. - While sympathetic stimulation generally **inhibits gastrointestinal motility**, this is a systemic effect that reduces overall gut activity rather than causing the specific segmental relaxation distal to a bolus during peristalsis. - The descending relaxation during peristalsis is mediated by **intrinsic enteric neurons** (releasing NO and VIP), not by extrinsic sympathetic innervation. *VIP* - **Vasoactive Intestinal Peptide (VIP)** is an **inhibitory neurotransmitter** that causes relaxation of smooth muscle in the gut. - While VIP does contribute to descending relaxation, **nitric oxide (NO)** is considered a more significant and primary mediator of this specific relaxation during peristalsis.
Explanation: **Nitric oxide** - **Nitric oxide (NO)** is a key **non-classical neurotransmitter** in the **enteric nervous system (ENS)**, mediating **slow synaptic transmission** due to its gaseous nature allowing for diffusion and longer-lasting effects. - It is involved in **smooth muscle relaxation**, **vasodilation**, and diverse gastrointestinal functions, including **peristalsis** and **sphincter relaxation**. *Substance P* - **Substance P** is a **neuropeptide** that acts as an **excitatory neurotransmitter** in the ENS, primarily mediating **fast synaptic transmission** and smooth muscle contraction. - It is involved in pain perception, inflammation, and is released by sensory neurons and some enteric neurons. *Serotonin* - **Serotonin (5-HT)** is a major neurotransmitter in the ENS, largely mediating **fast excitatory or inhibitory synaptic transmission** depending on the receptor subtype. - It plays a crucial role in regulating gut motility, secretion, and visceral sensation, and is involved in both rapid signaling and neuromodulation. *Acetylcholine* - **Acetylcholine (ACh)** is the primary **excitatory neurotransmitter** of the **parasympathetic nervous system** within the ENS, mediating **fast synaptic transmission** by binding to nicotinic and muscarinic receptors. - It is crucial for stimulating **smooth muscle contraction** (promoting peristalsis), increasing glandular secretions, and generally enhancing gut motility.
Gastrointestinal Motility
Practice Questions
Gastrointestinal Secretions
Practice Questions
Digestion and Absorption
Practice Questions
Gastrointestinal Hormones
Practice Questions
Hepatobiliary Physiology
Practice Questions
Pancreatic Exocrine Function
Practice Questions
Gastrointestinal Circulation
Practice Questions
Intestinal Immune System
Practice Questions
Gut Microbiome
Practice Questions
Regulation of Food Intake
Practice Questions
Get full access to all questions, explanations, and performance tracking.
Start For Free