Which of the following antiepileptic drugs does not cause oral contraceptive pill (OCP) failure?
Ciprofloxacin should not be given to an asthmatic using theophylline because:
Teeth stained by tetracycline appear _______ under UV light?
What is the basis for combining ritonavir with lopinavir?
Which of the following drugs does not increase the action of warfarin?
Which of the following drugs can lead to increased levels of theophylline?
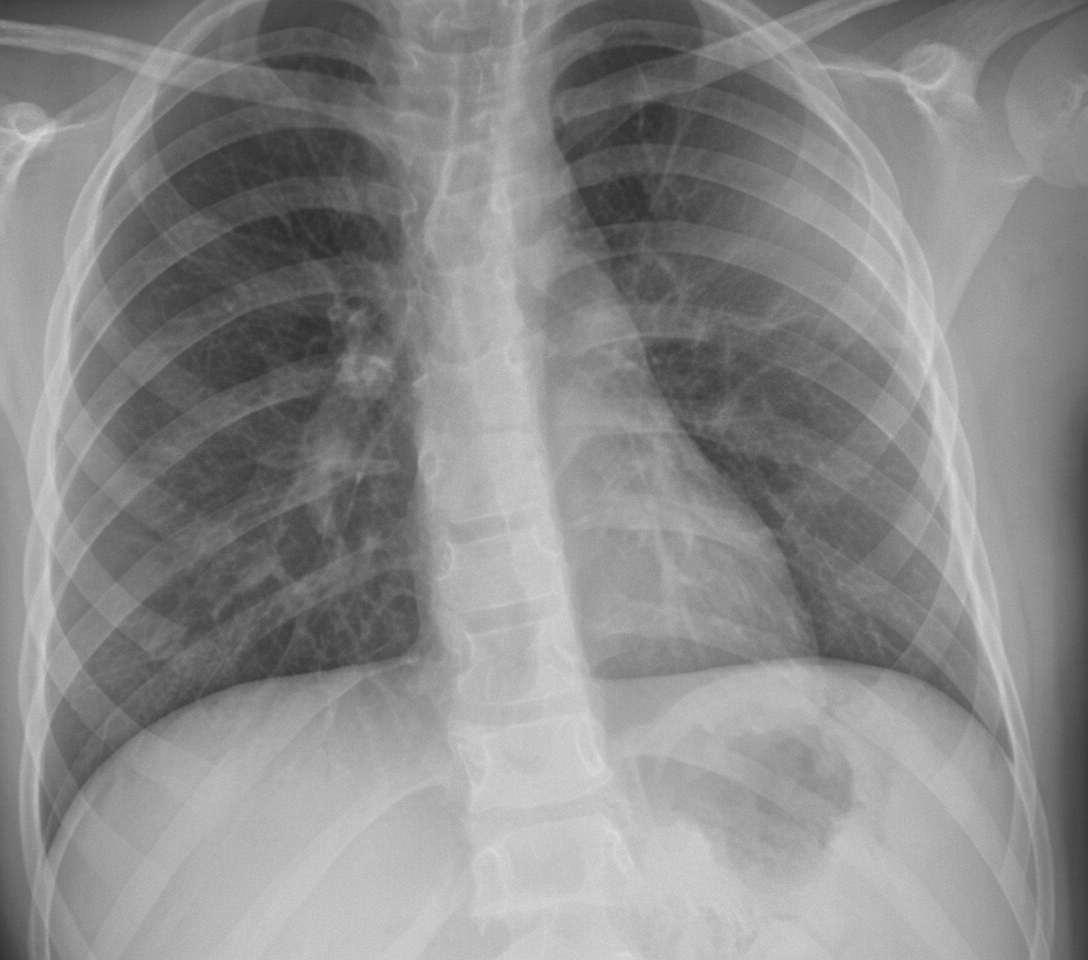
A 54-year-old non-smoking male presents with a flulike illness. Initially treated symptomatically, he returns two days later still feeling unwell. His primary physician prescribes a macrolide along with symptomatic treatment. After five days, the patient reports persistent fever, increasing fatigue, weakness, and cough. He also experiences pain and limited motion in his right wrist, and left groin pain with difficulty ambulating. On physical exam, vital signs include pulse 110 bpm, temperature 102°F, respirations 24/min, and blood pressure 100/68 mm Hg. He appears weak and has lost 8 lb in 10 days. Lung examination reveals egophony and E to A changes in the left anterior and posterior fields. Physical findings include swelling with skin sloughing on the right wrist and tenderness with limited movement in the left groin. Laboratory data shows Hb 11 g/dL, Hct 33%, WBCs 16,000/uL with 90% neutrophils, BUN 42 mg/dL, creatinine 1.1 mg/dL, sodium 142 mEq/L, and potassium 3.4 mEq/L. Arterial blood gases on room air are: pH 7.45, PCO2 34 mm Hg, PO2 65 mm Hg. A chest X-ray is provided. Associated findings may include all of the following except?

A 75-year-old male patient, a known case of pulmonary disease treated with inhalational corticosteroids and daily theophylline, was admitted for urinary retention. After catheterization and subsequent urinary tract infection treated with an antibiotic, the patient now presents with nausea, vomiting, abdominal pain, headache, fine hand tremor, and tachycardia. These symptoms are suspected to be due to increased serum levels of his medications. Which of the following drugs may be responsible for the patient's condition?
A hypertensive patient already receiving a drug 'X' to control his BP was prescribed a tricyclic antidepressant. This resulted in the abolition of the antihypertensive action of 'X'. Which of the following drug can be 'X'?
Which of the following medications is contraindicated in patients with allergy to sulphonamides?
Explanation: ### Explanation The core pharmacological concept behind this question is **Cytochrome P450 (CYP450) enzyme induction**. **1. Why Valproate is the Correct Answer:** Valproate is a potent **enzyme inhibitor**, not an inducer. Unlike many traditional antiepileptics, it does not increase the metabolism of steroid hormones. Therefore, it does not reduce the plasma concentration of estrogen or progesterone, meaning it **does not cause OCP failure**. It is considered safe to co-administer with hormonal contraceptives regarding contraceptive efficacy. **2. Why the Other Options are Incorrect:** * **Phenytoin, Carbamazepine, and Phenobarbitone** are classic, potent **CYP450 enzyme inducers** (specifically CYP3A4). * These drugs increase the rate of hepatic metabolism of the estrogenic and progestogenic components of the OCP [1]. * This leads to sub-therapeutic levels of the hormones, resulting in "breakthrough ovulation" and unintended pregnancy (OCP failure) [2]. **3. High-Yield Clinical Pearls for NEET-PG:** * **The "Big Four" Inducers:** Remember the mnemonic **GPPRS** (Griseofulvin, Phenytoin, Phenobarbitone, Rifampicin, St. John's Wort) and **Carbamazepine**. These all risk OCP failure. * **Newer AEDs:** Lamotrigine, Oxcarbazepine, and Topiramate (at high doses) can also decrease OCP efficacy. * **Safe Alternatives:** Levetiracetam, Valproate, Gabapentin, and Vigabatrin are generally considered "non-inducers" and do not interfere with OCPs. * **Clinical Management:** If an enzyme inducer must be used, patients are advised to use an alternative form of contraception (e.g., Barrier methods or IUD) or a high-dose estrogen pill (>50μg), though the latter is less preferred.
Explanation: **Explanation:** **1. Why Option A is Correct:** Ciprofloxacin is a potent inhibitor of the **Cytochrome P450 enzyme system**, specifically the **CYP1A2** isoenzyme. Theophylline is primarily metabolized by CYP1A2. When ciprofloxacin is co-administered, it inhibits the metabolism of theophylline, leading to a significant increase in its plasma concentration. Since theophylline has a **narrow therapeutic index**, this interaction can quickly lead to toxicity, manifesting as tremors, palpitations, seizures, or arrhythmias. **2. Why Other Options are Incorrect:** * **Option B & D:** Theophylline does not significantly affect the metabolic pathway of ciprofloxacin. Ciprofloxacin is primarily excreted renally, and theophylline is not a known enzyme inducer or inhibitor that would alter ciprofloxacin levels. * **Option C:** Ciprofloxacin actually **increases** the effect (and toxicity) of theophylline by raising its serum levels, rather than decreasing it. **3. Clinical Pearls & High-Yield Facts for NEET-PG:** * **Fluoroquinolones & CYP1A2:** Among fluoroquinolones, **Ciprofloxacin** and **Enoxacin** are the strongest inhibitors of CYP1A2. Levofloxacin and Moxifloxacin have negligible effects on theophylline levels and are safer alternatives. * **Other CYP1A2 Inhibitors:** Fluvoxamine and Clarithromycin also increase theophylline levels. * **Theophylline Toxicity:** Always monitor for "Theophylline Toxicity" in clinical scenarios involving new-onset seizures or tachycardia in an asthmatic patient recently started on antibiotics. * **Enzyme Inducers:** Smoking and Phenytoin **induce** CYP1A2, thereby *decreasing* theophylline levels (the opposite effect of Ciprofloxacin).
Explanation: **Explanation:** The correct answer is **Yellow**. **1. Underlying Medical Concept:** Tetracyclines are known to cross the placental barrier and are also deposited in calcifying tissues like teeth and bones. This occurs because tetracycline molecules form a stable complex with calcium phosphate (hydroxyapatite crystals). When these teeth are exposed to ultraviolet (UV) light, the tetracycline-calcium complex exhibits **fluorescence**, emitting a characteristic **bright yellow** color. This is a classic pharmacological property used to identify tetracycline deposition in forensic and clinical studies. **2. Analysis of Incorrect Options:** * **Red:** Red fluorescence under UV light is characteristic of **Porphyria** (specifically Congenital Erythropoietic Porphyria), where porphyrins deposit in the teeth (Erythrodontia). * **Green:** While some dental materials might fluoresce green, it is not associated with tetracycline staining. * **Brown:** This is a common point of confusion. Under **visible light**, old tetracycline stains often appear brownish or greyish due to the oxidation of the drug over time (photo-oxidation). However, the question specifically asks for the appearance under **UV light**, where the fluorescence is yellow. **3. NEET-PG Clinical Pearls:** * **Contraindication:** Tetracyclines are strictly contraindicated in pregnant women (after the 14th week of gestation) and children below **8 years** of age to prevent permanent tooth discoloration and bone growth retardation. * **Specific Drug:** **Minocycline** is unique as it can cause skin, mucosal, and dental pigmentation even in adults. * **Teratogenicity:** Tetracycline is classified as FDA Pregnancy Category D; it can cause "syndactyly" and "micromelia" in addition to skeletal defects.
Explanation: ### Explanation The combination of **ritonavir and lopinavir** (Kaletra) is a classic example of **pharmacokinetic enhancement**, commonly referred to as **"Ritonavir Boosting."** **1. Why Option B is Correct:** Lopinavir is a potent Protease Inhibitor (PI) used in HIV treatment, but it has poor oral bioavailability because it is rapidly metabolized by the hepatic enzyme **Cytochrome P450 3A4 (CYP3A4)**. Ritonavir is also a PI, but it is one of the most potent known **inhibitors of CYP3A4**. When a low, non-therapeutic dose of ritonavir is added to lopinavir, it "shuts down" the metabolic pathway of lopinavir. This leads to significantly higher plasma concentrations, a longer half-life, and improved therapeutic efficacy of lopinavir. **2. Why Other Options are Incorrect:** * **Option A:** Pharmaceutical compatibility refers to the physical/chemical stability of drugs in a mixture, which is not the primary pharmacological reason for this specific combination. * **Option C:** While ritonavir does have its own pharmacokinetic profile, the combination is based on its effect on the *metabolism of the partner drug*, not its own half-life. * **Option D:** Ritonavir actually often *adds* to the side effect profile (especially GI distress and lipid elevations) rather than counteracting lopinavir’s side effects. **3. NEET-PG High-Yield Pearls:** * **The "Booster" Concept:** Ritonavir is used at low doses (100–200 mg) as a booster for other PIs like Atazanavir and Darunavir, not just Lopinavir. * **Cobicistat:** Another drug used solely as a pharmacokinetic enhancer (CYP3A4 inhibitor) that lacks its own antiviral activity, unlike ritonavir. * **Enzyme Induction vs. Inhibition:** Remember that most Protease Inhibitors are CYP3A4 inhibitors, but **Rifampin** (a CYP inducer) is contraindicated with them as it would decrease PI levels.
Explanation: ### Explanation The therapeutic effect of **Warfarin** is primarily regulated by the **Cytochrome P450 (CYP2C9)** enzyme system. Drugs that interact with this system will either increase the risk of bleeding (inhibitors) or cause treatment failure/thrombosis (inducers). **Why Rifampicin is the Correct Answer:** Rifampicin is a **potent microsomal enzyme inducer**. It increases the synthesis of CYP450 enzymes, which accelerates the metabolism of Warfarin. This leads to **decreased** plasma levels of Warfarin and a **reduction** in its anticoagulant action (decreased INR). Therefore, it does not increase the action of Warfarin; it antagonizes it. **Analysis of Incorrect Options:** * **Cimetidine:** A well-known non-specific **enzyme inhibitor**. It decreases Warfarin metabolism, leading to increased drug levels and an increased risk of bleeding. * **Isoniazid (INH):** This antitubercular drug acts as an **enzyme inhibitor**. When co-administered with Warfarin, it increases the anticoagulant effect. * **Cotrimoxazole:** This antibiotic increases Warfarin's action through two mechanisms: it **inhibits CYP2C9** and displaces Warfarin from **plasma protein binding sites**. It is a high-risk drug for causing life-threatening bleeds in patients on anticoagulants. --- ### High-Yield Clinical Pearls for NEET-PG * **Mnemonic for Enzyme Inducers (Decrease Warfarin action):** **G**risesofulvin, **P**henytoin, **R**ifampicin, **S**moking, **C**arbamazepine (**GPRS Cell**). * **Mnemonic for Enzyme Inhibitors (Increase Warfarin action):** **V**itamin E, **I**soniazid, **C**imetidine, **K**etoconazole, **A**miodarone, **S**ulfonamides (**VICKAS**). * **Monitoring:** Warfarin action is monitored using **PT/INR** (Prothrombin Time/International Normalized Ratio). * **Broad-spectrum antibiotics** can also increase Warfarin's action by killing gut flora that synthesize **Vitamin K**.
Explanation: The correct answer is **Cimetidine**. The underlying medical concept is the modulation of the **Cytochrome P450 (CYP450)** enzyme system [1]. Theophylline is a methylxanthine with a narrow therapeutic index, primarily metabolized by the liver via the **CYP1A2** and **CYP3A4** isoenzymes. * **Why Cimetidine is correct:** Cimetidine is a potent **enzyme inhibitor** [3]. It binds to the heme iron of the CYP450 system, reducing the metabolic clearance of theophylline [3]. This leads to increased serum levels of theophylline, significantly raising the risk of toxicity (e.g., seizures, arrhythmias, and severe vomiting) [1]. * **Why other options are incorrect:** * **Rifampicin, Phenobarbitone, and Phenytoin** are all classic **enzyme inducers**. They increase the synthesis and activity of CYP450 enzymes. This accelerates the metabolism of theophylline, leading to *decreased* plasma levels and potential therapeutic failure [2]. **High-Yield Clinical Pearls for NEET-PG:** 1. **Narrow Therapeutic Index:** Theophylline levels must be monitored (Target: 10–20 µg/mL). Toxicity often manifests as GI distress, tachycardia, and CNS stimulation [1]. 2. **Other Inhibitors:** Apart from Cimetidine, other high-yield inhibitors that increase theophylline levels include **Erythromycin, Ciprofloxacin, and Allopurinol** [3]. 3. **Smoking Interaction:** Cigarette smoking *induces* CYP1A2, meaning smokers typically require higher doses of theophylline than non-smokers. 4. **H2 Blockers:** Unlike Cimetidine, newer H2 blockers like **Famotidine and Ranitidine** have negligible effects on CYP450 and do not significantly interact with theophylline.
Explanation: ***Reye syndrome*** - **Reye syndrome** is associated with **aspirin use** in children during **viral infections** and involves mitochondrial dysfunction, not bacterial septicemia. - This condition is completely **unrelated** to **Staphylococcus aureus bacteremia** and would not occur as a complication of bacterial sepsis. *Septic arthritis* - The patient's **right wrist swelling** with skin sloughing and **left groin pain** with limited movement are classic signs of **septic arthritis**. - **S. aureus bacteremia** commonly causes **hematogenous seeding** of joints, leading to septic arthritis in multiple locations. *Endocarditis* - **S. aureus** is a leading cause of **acute endocarditis**, particularly in patients with bacteremia and systemic illness. - The patient's **persistent fever**, **hemodynamic instability** (BP 100/68), and systemic toxicity are consistent with possible endocarditic complications. *Brain abscess* - **Hematogenous spread** of S. aureus can lead to **CNS complications** including brain abscess formation. - The patient's **altered mental status** (weakness, fatigue) and systemic S. aureus infection put him at risk for this serious complication.
Explanation: ### Explanation **Correct Answer: D. Ciprofloxacin** **Mechanism of Interaction:** The patient is presenting with classic signs of **Theophylline toxicity** (nausea, vomiting, abdominal pain, headache, tremors, and tachycardia). Theophylline is a methylxanthine with a narrow therapeutic index, primarily metabolized by the hepatic enzyme **CYP1A2**. **Ciprofloxacin** is a potent inhibitor of the CYP1A2 isoenzyme. When co-administered, Ciprofloxacin inhibits the metabolism of Theophylline, leading to a significant increase in its serum concentration and subsequent toxicity. This is a high-yield drug-drug interaction frequently tested in postgraduate exams. **Analysis of Incorrect Options:** * **A. Amoxicillin:** A penicillin derivative that is primarily excreted renally. It does not inhibit the Cytochrome P450 system and has no significant interaction with Theophylline. * **B. Ceftriaxone:** A third-generation cephalosporin. Like most beta-lactams, it does not interfere with the hepatic metabolism of methylxanthines. * **C. Nitrofurantoin:** Commonly used for UTIs, but its metabolism does not involve the CYP1A2 pathway, making it an unlikely cause for elevated Theophylline levels. **High-Yield Clinical Pearls for NEET-PG:** 1. **Narrow Therapeutic Index:** Theophylline requires monitoring; therapeutic levels are usually 10–20 μg/mL. Toxicity can progress to life-threatening seizures and arrhythmias. 2. **CYP1A2 Inhibitors (Theophylline "Boosters"):** Ciprofloxacin, Erythromycin, Clarithromycin, and Cimetidine. 3. **CYP1A2 Inducers (Theophylline "Reducers"):** Smoking (most common) and Rifampin. Smokers often require higher doses of Theophylline. 4. **Fluoroquinolone Exception:** While Ciprofloxacin is a potent inhibitor, **Levofloxacin** has minimal effect on Theophylline levels and is generally safer if a fluoroquinolone is necessary.
Explanation: ### Explanation The correct answer is **Clonidine**. **Mechanism of Interaction** The interaction between Tricyclic Antidepressants (TCAs) and Clonidine is a classic example of **pharmacodynamic antagonism**. 1. **Clonidine** is a centrally acting $\alpha_2$-adrenergic agonist. It works by stimulating presynaptic $\alpha_2$ receptors in the brainstem, which decreases sympathetic outflow, leading to a reduction in blood pressure. 2. **TCAs** (like Amitriptyline) block the reuptake of norepinephrine (NE) into the presynaptic terminals. This increases the concentration of NE in the synaptic cleft. 3. The excess NE competes with and antagonizes the effect of Clonidine at the $\alpha_2$ receptors. Furthermore, TCAs possess inherent $\alpha$-blocking properties. This results in the **abolition of Clonidine’s antihypertensive effect**, potentially leading to loss of BP control or rebound hypertension. **Analysis of Incorrect Options** * **A. Enalapril (ACE Inhibitor):** Works via the Renin-Angiotensin-Aldosterone System (RAAS). TCAs do not significantly interfere with the ACE-inhibitor pathway. * **C. Atenolol ($\beta$-blocker):** While TCAs can increase sympathetic tone, they do not directly abolish the peripheral $\beta_1$-blockade provided by Atenolol. * **D. Diltiazem (Calcium Channel Blocker):** Works by blocking L-type calcium channels in cardiac and smooth muscle. There is no direct pharmacological antagonism between TCAs and CCBs regarding BP control. **High-Yield Clinical Pearls for NEET-PG** * **Guanethidine Interaction:** TCAs also abolish the action of Guanethidine by blocking its uptake into the adrenergic neurons via the NET (Norepinephrine Transporter). * **Reserpine:** TCAs can interfere with the action of Reserpine by preventing the depletion of biogenic amines. * **Safety Tip:** When treating depression in a patient on Clonidine, SSRIs are generally preferred over TCAs to avoid this specific interaction.
Explanation: **Explanation:** **Brinzolamide** is the correct answer because it is a **topical Carbonic Anhydrase Inhibitor (CAI)**. Chemically, all carbonic anhydrase inhibitors (including acetazolamide, dorzolamide, and brinzolamide) are **sulfonamide derivatives**. In patients with a known hypersensitivity to sulfonamides, these drugs can trigger similar allergic reactions, ranging from localized rashes to severe systemic responses like Stevens-Johnson Syndrome (SJS) or Toxic Epidermal Necrolysis (TEN), even when administered topically as eye drops. **Analysis of Incorrect Options:** * **Levobunolol (Option A):** This is a non-selective **beta-blocker**. It does not contain a sulfonamide moiety and is not contraindicated in sulfa-allergic patients. * **Bimatoprost (Option B):** This is a **prostaglandin analog** (prostamide). It works by increasing uveoscleral outflow and has no chemical structural relationship to sulfonamides. * **Brimonidine (Option D):** This is a highly selective **alpha-2 adrenergic agonist**. While it is known for causing local ocular allergy (follicular conjunctivitis), it does not cross-react with sulfonamides. **High-Yield Clinical Pearls for NEET-PG:** * **Cross-Reactivity Rule:** Always screen for sulfa allergy before prescribing CAIs, Loop diuretics (Furosemide), Thiazides, and Sulfonylureas. * **Exception:** Silver sulfadiazine (used in burns) and Mafenide acetate are also sulfonamides; however, **Sulfadiazine** is the specific sulfa drug most commonly associated with crystalluria. * **Brinzolamide vs. Dorzolamide:** Brinzolamide is often preferred over dorzolamide because it is a suspension with a neutral pH, causing less stinging/burning upon instillation.
Mechanisms of Drug Interactions
Practice Questions
Pharmacokinetic Interactions
Practice Questions
Pharmacodynamic Interactions
Practice Questions
Drug-Food Interactions
Practice Questions
Drug-Disease Interactions
Practice Questions
Clinically Significant Drug Interactions
Practice Questions
Computer Systems for Detecting Drug Interactions
Practice Questions
Management of Drug Interactions
Practice Questions
Drug Interactions in Special Populations
Practice Questions
Role of P-glycoprotein in Drug Interactions
Practice Questions
Get full access to all questions, explanations, and performance tracking.
Start For Free