Which one of the following medications is most likely to be responsible for this appearance?

Forced alkaline diuresis is indicated in which of the following conditions?
Which of the following antimicrobials requires dose reduction even in mild renal failure?
Which of the following is an example of an idiosyncratic drug reaction?
All are adverse effects of cyclosporin, EXCEPT:
Cyclosporine acts on which of the following lymphocyte subsets?
Cyclosporine acts on which of the following lymphocyte subsets?
What is the recommended treatment for acute barbiturate poisoning?
Which drug can cause osteoporosis?
BAL is useful in treating poisoning due to all, except:
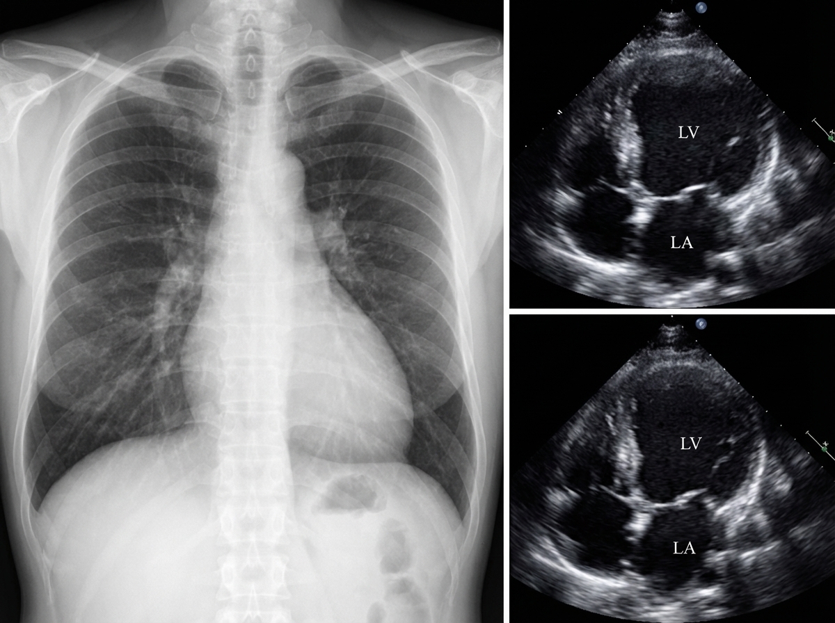
Explanation: ***Doxorubicin*** - **Doxorubicin** (anthracycline) causes **dose-dependent cardiotoxicity** leading to **dilated cardiomyopathy** and reduced ejection fraction as shown in the image. - The mechanism involves **free radical damage** to cardiac myocytes with a cumulative dose limit of ~**550 mg/m²**; **dexrazoxane** can be used for cardioprotection. *Clarithromycin* - This **macrolide antibiotic** primarily causes **QT prolongation** and potential arrhythmias, not structural heart changes. - Does not cause **cardiomegaly** or **dilated cardiomyopathy** as seen in the image. *Dexamethasone* - This **corticosteroid** causes **Cushingoid features** including moon face, buffalo hump, and central obesity. - Cardiovascular effects include **hypertension** and **fluid retention**, but not dilated cardiomyopathy. *Efavirenz* - This **NNRTI antiretroviral** causes **CNS effects** (vivid dreams, dizziness) and **neuropsychiatric symptoms**. - Associated with **lipodystrophy** and metabolic changes, but not cardiac structural abnormalities.
Explanation: **Explanation:** **1. Why Phenobarbitone is the Correct Answer:** The principle behind **Forced Alkaline Diuresis (FAD)** is **Ion Trapping**. Phenobarbitone is a **weakly acidic drug**. By administering intravenous Sodium Bicarbonate ($NaHCO_3$), the urine is alkalinized (pH > 7.5). In an alkaline medium, acidic drugs like Phenobarbitone become **ionized** (polar). Since ionized molecules are lipid-insoluble, they cannot be reabsorbed by the renal tubules and are "trapped" in the urine, leading to enhanced excretion. FAD is primarily indicated for **Salicylates (Aspirin)** and **Long-acting Barbiturates (Phenobarbitone)**. **2. Why Other Options are Incorrect:** * **Lead and Arsenic Poisoning (A & B):** These are heavy metal poisonings. The mainstay of treatment is **Chelation Therapy** (e.g., Dimercaprol/BAL, Penicillamine, or Succimer). Diuresis does not effectively remove heavy metals from the body. * **Alcohol Poisoning (D):** Ethanol is metabolized primarily by the liver (Alcohol Dehydrogenase). It is a small, non-polar molecule that is not significantly affected by urinary pH changes. Management is supportive, focusing on airway protection and glucose. **3. High-Yield Clinical Pearls for NEET-PG:** * **Acidic Drugs (Alkalinize urine):** Salicylates, Phenobarbitone, Methotrexate, Chlorpropamide. * **Basic Drugs (Acidify urine):** Amphetamines, Quinine, Phencyclidine (Note: Acid diuresis is rarely used clinically now due to the risk of metabolic acidosis and acute renal failure). * **Prerequisite for FAD:** The patient must have adequate renal function and no signs of congestive heart failure or pulmonary edema, as it involves significant fluid loading. * **Antidote for Phenobarbitone:** There is no specific pharmacological antagonist; management is supportive + FAD.
Explanation: The correct answer is **Ethambutol**.1. Why Ethambutol is correct:Ethambutol is a first-line antitubercular drug that is primarily excreted unchanged (approx. 80%) by the kidneys via glomerular filtration and tubular secretion. In patients with renal impairment, its half-life increases significantly, leading to accumulation. This accumulation is directly linked to its most serious side effect: **Optic Neuritis** (retrobulbar neuritis). Because the therapeutic index narrows significantly in renal failure, dose reduction or an increase in dosing intervals (e.g., from daily to 3 times weekly) is mandatory even in mild to moderate renal impairment to prevent permanent vision loss [1].Dosage adjustment of antimicrobials is essential for the prevention of adverse effects in patients with renal failure, and some agents are even contraindicated due to increased rates of serious toxicity [2].2. Why the other options are incorrect:* **Ciprofloxacin:** While it is renally excreted, dose adjustment is typically only required when the Creatinine Clearance (CrCl) falls below 30-50 mL/min (moderate to severe failure), not usually in mild cases.* **Carbenicillin:** This is an an antipseudonal penicillin. While it requires adjustment in severe renal failure to prevent seizures or bleeding diathesis, it has a wider safety margin in mild impairment compared to Ethambutol.* **Cefotaxime:** Most cephalosporins have a wide therapeutic index. Cefotaxime requires dose reduction only when CrCl falls below 20 mL/min (severe failure).3. Clinical Pearls for NEET-PG:* **Ethambutol Toxicity:** Always monitor visual acuity and color perception (red-green discrimination). It is relatively contraindicated in children too young to undergo visual testing [1].* **Safe in Renal Failure:** Drugs like **Rifampicin, Ceftriaxone, Doxycycline, and Erythromycin** are primarily eliminated via non-renal routes (biliary/fecal) and generally do not require dose adjustment in renal failure.* **Rule of Thumb:** For drugs with a narrow therapeutic index that are >70% renally excreted, assume dose adjustment is needed early in the course of renal decline. For example, nitrofurantoin is contraindicated in patients with significant renal insufficiency (creatinine clearance < 60 mL/min) [3].
Explanation: **Explanation:** **Idiosyncratic drug reactions (Type B reactions)** are unpredictable, dose-independent, and occur in only a small subset of the population. They are often genetically determined or involve immunological mechanisms, rather than being an extension of the drug's known pharmacological action. **Why Option D is Correct:** **Chloramphenicol-induced aplastic anemia** is the classic example of an idiosyncratic reaction. While chloramphenicol causes dose-dependent bone marrow suppression (reversible), it can also cause a rare, irreversible, and fatal **aplastic anemia** that is independent of the dose and duration of therapy. This occurs due to a unique genetic predisposition or hypersensitivity in the individual. **Analysis of Incorrect Options:** * **A. Captopril - dry cough:** This is a **Type A (Augmented)** reaction. It is a predictable side effect caused by the inhibition of ACE, leading to the accumulation of bradykinin and substance P in the lungs. * **B. Isoniazid - hepatitis:** This is generally considered a **Type A** toxic metabolite-mediated reaction (due to acetyl-hydrazine) or a predictable adverse effect, though it can sometimes have idiosyncratic features. However, compared to aplastic anemia, it is less "purely" idiosyncratic. * **C. Haloperidol - extrapyramidal side effects (EPS):** This is a **Type A** reaction. EPS is a predictable consequence of Haloperidol’s primary mechanism—the blockade of D2 receptors in the nigrostriatal pathway. **High-Yield NEET-PG Pearls:** * **Type A Reactions:** Predictable, dose-dependent (e.g., Gastritis by NSAIDs). * **Type B Reactions:** Unpredictable, dose-independent (e.g., G6PD deficiency-induced hemolysis by Primaquine). * **Chloramphenicol** is also associated with **"Gray Baby Syndrome"** in neonates due to deficient glucuronidation. * Other idiosyncratic examples: **Halothane-induced hepatitis** and **Succinylcholine-induced apnea** (pseudocholinesterase deficiency).
Explanation: **Explanation:** Cyclosporine is a calcineurin inhibitor used primarily as an immunosuppressant in organ transplantation and autoimmune disorders [1]. The correct answer is **Hypermagnesemia** because Cyclosporine actually causes **Hypomagnesemia**. **1. Why Hypermagnesemia is the Correct Answer (The Exception):** Cyclosporine induces renal tubular damage, specifically affecting the thick ascending limb and distal tubule. This leads to "renal magnesium wasting," where the kidneys fail to reabsorb magnesium, resulting in low serum magnesium levels (**Hypomagnesemia**). It also typically causes **Hyperkalemia** (due to decreased aldosterone responsiveness) [2] and **Hyperuricemia** (leading to gout) [1]. **2. Analysis of Incorrect Options (Common Side Effects):** * **Hypertension:** Occurs in up to 50% of patients due to renal vasoconstriction and increased sodium retention [1]. * **Gingival Hyperplasia:** A classic side effect (also seen with Phenytoin and Nifedipine) characterized by overgrowth of the gums [1]. * **Hyperlipidemia:** Cyclosporine interferes with bile acid synthesis and LDL receptor expression, leading to elevated cholesterol and triglycerides [1]. **Clinical Pearls for NEET-PG:** * **Mnemonic for Cyclosporine Toxicity (6 H's):** **H**ypertension, **H**yperplasia (Gingival), **H**irsutism, **H**yperlipidemia, **H**yperkalemia, and **H**epatotoxicity [1]. * **Nephrotoxicity:** This is the most common and dose-limiting adverse effect [1], [2]. * **Drug Interaction:** Cyclosporine is metabolized by **CYP3A4**. Grapefruit juice inhibits this enzyme, significantly increasing cyclosporine levels and toxicity. * **Comparison:** Unlike Cyclosporine, **Tacrolimus** (another calcineurin inhibitor) does *not* cause gingival hyperplasia or hirsutism but has a higher incidence of post-transplant diabetes mellitus [2].
Explanation: **Explanation:** **Mechanism of Action:** Cyclosporine is a potent immunosuppressant that acts as a **calcineurin inhibitor**. Its primary mechanism involves binding to an intracellular protein called **cyclophilin**. This complex then inhibits calcineurin, a phosphatase required for the activation of the transcription factor **NFAT** (Nuclear Factor of Activated T-cells). Without NFAT activation, the transcription of **Interleukin-2 (IL-2)** is blocked. Since IL-2 is the primary cytokine responsible for the proliferation and differentiation of **CD4+ T-helper cells**, Cyclosporine selectively inhibits this subset. **Analysis of Options:** * **CD4 cells (Correct):** Cyclosporine specifically targets the IL-2 mediated activation and proliferation of helper T-cells, making this the most specific and correct answer. * **CD8 cells:** While CD8+ (cytotoxic) T-cells are eventually affected due to the lack of helper signals from CD4 cells, they are not the primary or direct target of Cyclosporine. * **B-Lymphocytes:** Cyclosporine has minimal direct effect on B-cells; it primarily suppresses cell-mediated immunity rather than humoral immunity. * **T-Lymphocytes:** While technically true, this is a broad category. In competitive exams like NEET-PG, if both "T-lymphocytes" and "CD4 cells" are options, **CD4 cells** is the preferred answer as it demonstrates specific knowledge of the drug's target. **High-Yield Clinical Pearls for NEET-PG:** * **Therapeutic Uses:** Organ transplantation (prophylaxis of graft rejection), Rheumatoid Arthritis, and Psoriasis. * **Adverse Effects (The "H" Mnemonic):** **H**ypertension, **H**irsutism, **H**yperplasia of gums (gingival hyperplasia), and **H**yperkalemia. * **Most Serious Side Effect:** Nephrotoxicity (dose-related and usually reversible). * **Metabolism:** Metabolized by CYP3A4; avoid grapefruit juice as it increases drug levels.
Explanation: **Explanation:** **Mechanism of Action (Why CD4 is correct):** Cyclosporine is a potent immunosuppressant that primarily targets **Helper T-lymphocytes (CD4 cells)**. It acts as a **calcineurin inhibitor**. Under normal conditions, when an antigen activates a T-cell, intracellular calcium rises and binds to calmodulin, which activates calcineurin. Calcineurin then dephosphorylates the **Nuclear Factor of Activated T-cells (NFAT)**, allowing it to enter the nucleus and trigger the transcription of **Interleukin-2 (IL-2)**. Cyclosporine binds to an intracellular protein called **Cyclophilin**; this complex inhibits calcineurin, thereby blocking IL-2 production. Since IL-2 is the primary driver for the proliferation of CD4 cells, their inhibition is the hallmark of cyclosporine’s action. **Analysis of Incorrect Options:** * **CD8 cells (A):** While CD8 (cytotoxic) T-cells are eventually affected due to the lack of IL-2 "help" from CD4 cells, they are not the primary or direct target of cyclosporine. * **B-Lymphocytes (C):** Cyclosporine has no direct effect on B-cells. It does not inhibit humoral immunity directly, though B-cell responses may be blunted secondary to the lack of T-cell help. * **T-Lymphocytes (D):** While technically true, this option is too broad. In competitive exams like NEET-PG, when both a general category (T-cells) and a specific subset (CD4) are provided, the **most specific** answer is preferred. **High-Yield Clinical Pearls for NEET-PG:** * **Therapeutic Uses:** Prophylaxis of graft-versus-host disease (GVHD) in organ transplants and treatment of autoimmune conditions like rheumatoid arthritis and psoriasis. * **Side Effects (The "H" Mnemonic):** **H**ypertension, **H**irsutism, **H**yperplasia of gums (gingival hyperplasia), **H**yperlipidemia, and **H**epatotoxicity. * **Most Serious Toxicity:** Nephrotoxicity (dose-related). * **Metabolism:** Metabolized by **CYP3A4**; avoid grapefruit juice as it increases drug levels.
Explanation: **Explanation:** The management of acute barbiturate poisoning (specifically long-acting barbiturates like Phenobarbital) centers on enhancing renal excretion through **Forced Alkaline Diuresis (FAD)**. **Why Option A is Correct:** Barbiturates are **weakly acidic** drugs. According to the principle of ion trapping, increasing the pH of the urine (alkalinization) using **Sodium Bicarbonate ($NaHCO_3$)** causes the drug to exist in its ionized (polar) form. Ionized molecules cannot easily cross the renal tubular membrane to be reabsorbed into the blood; thus, they remain trapped in the tubular lumen and are excreted in the urine. **Analysis of Incorrect Options:** * **B. Acidification of urine:** This would decrease the ionization of weak acids like barbiturates, promoting their reabsorption into the systemic circulation and worsening toxicity. (Acidification is theoretically used for weak bases like Amphetamines, though rarely practiced clinically due to risks like rhabdomyolysis). * **C. Penicillamine:** This is a chelating agent used primarily for **Copper poisoning** (Wilson’s Disease) and Lead/Mercury toxicity. * **D. $CaNa_2$ EDTA:** This is the treatment of choice for **Lead poisoning**. **High-Yield Clinical Pearls for NEET-PG:** 1. **Specific Indication:** FAD is most effective for **long-acting barbiturates** (Phenobarbital) and **Salicylates** (Aspirin). It is less effective for short-acting barbiturates as they are primarily metabolized by the liver. 2. **Target pH:** The goal is to maintain urine pH between **7.5 and 8.5**. 3. **Hemodialysis:** If FAD fails or the patient has renal failure/severe toxicity, hemodialysis is the definitive treatment for phenobarbital removal. 4. **Contraindication:** Avoid FAD in patients with congestive heart failure or renal insufficiency due to the risk of fluid overload.
Explanation: **Explanation:** **Correct Answer: D. Heparin** Long-term administration of **Unfractionated Heparin (UFH)** is a well-documented cause of drug-induced osteoporosis. The underlying mechanism is two-fold: heparin increases **osteoclast** activity (bone resorption) and decreases **osteoblast** activity (bone formation). It also binds to osteoprotegerin, a decoy receptor that normally inhibits bone resorption, thereby accelerating bone loss. This risk is significantly lower with Low Molecular Weight Heparin (LMWH). **Analysis of Incorrect Options:** * **A. Vitamin K:** Vitamin K is actually essential for bone health. It acts as a cofactor for the gamma-carboxylation of **osteocalcin**, a protein secreted by osteoblasts that helps in bone mineralization. Deficiency, not supplementation, is linked to osteoporosis. * **B. Lithium:** Lithium is generally associated with an *increase* in bone mineral density. It inhibits Glycogen Synthase Kinase-3 beta (GSK-3β), which stimulates the Wnt signaling pathway, leading to increased bone formation. It can, however, cause hyperparathyroidism. * **C. Dilantin (Phenytoin):** While Phenytoin can cause **Osteomalacia** (defective mineralization) by inducing Cytochrome P450 enzymes that degrade Vitamin D, the classic association for "drug-induced osteoporosis" in standardized exams is Heparin or Glucocorticoids. **High-Yield Clinical Pearls for NEET-PG:** * **Other drugs causing Osteoporosis:** Glucocorticoids (most common), Aromatase inhibitors (Letrozole), GnRH agonists, Proton Pump Inhibitors (PPIs), and Aluminum-containing antacids. * **Heparin Monitoring:** Apart from osteoporosis, watch for **HIT (Heparin-Induced Thrombocytopenia)** and hyperkalemia (due to aldosterone suppression). * **Antidote:** Protamine sulfate (1 mg neutralizes 100 units of Heparin).
Explanation: **Explanation:** **BAL (British Anti-Lewisite)**, also known as **Dimercaprol**, is a dithiol chelating agent. It works by forming stable, non-toxic, soluble chelates with heavy metals, which are then excreted in the urine. **Why Cadmium is the Correct Answer:** While BAL can chelate Cadmium, it is **contraindicated** in Cadmium poisoning. This is because the BAL-Cadmium complex is highly **nephrotoxic**. Instead of protecting the body, BAL redistributes cadmium to the kidneys, leading to severe renal damage. For Cadmium toxicity, Calcium disodium EDTA is the preferred chelator. **Analysis of Other Options:** * **Arsenic:** BAL is the drug of choice for acute arsenic poisoning. It effectively binds to arsenic, preventing it from inhibiting sulfhydryl-containing enzymes. * **Mercury:** BAL is used for acute inorganic mercury poisoning [2]. However, it is ineffective (and potentially harmful) for chronic or organic mercury (methylmercury) poisoning as it can redistribute mercury to the brain [2]. * **Lead:** BAL is used as an adjunct to EDTA in cases of severe lead poisoning, especially in patients with **Lead Encephalopathy**, because it can cross the blood-brain barrier [1]. **High-Yield Clinical Pearls for NEET-PG:** * **Route of Administration:** BAL is administered via **deep intramuscular (IM)** injection in an oil base (peanut oil) [2]. It is contraindicated in patients with peanut allergies. * **Urine pH:** It is most effective when the urine is alkaline, as this prevents the dissociation of the metal-chelator complex. * **Key Contraindication:** BAL should not be used in **Iron poisoning** as the BAL-Iron complex is toxic. * **Water-soluble analogs:** Succimer (DMSA) and Unithiol (DMPS) are water-soluble analogs of BAL that can be given orally and have fewer side effects [2].
Principles of Clinical Pharmacology
Practice Questions
Therapeutic Drug Monitoring
Practice Questions
Drug Toxicity and Overdose
Practice Questions
Antidotes and Their Applications
Practice Questions
Management of Drug Poisoning
Practice Questions
Drug-Induced Liver Injury
Practice Questions
Drug-Induced Kidney Injury
Practice Questions
Drug-Induced Blood Dyscrasias
Practice Questions
Drug-Induced QT Prolongation
Practice Questions
Pharmacovigilance
Practice Questions
Get full access to all questions, explanations, and performance tracking.
Start For Free