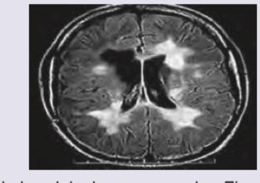
Which of the following drugs is NOT used in the condition shown?

Which one of the following oral drugs may be used as adjunctive therapy in the management of super-refractory status epilepticus?
The anticonvulsant of choice in the treatment of generalized tonic-clonic seizures is
The first drug approved for Rett syndrome is?
Which of the following is the most effective oral drug for smoking cessation?
Which of the following is a new drug approved for Rett syndrome?
Which of the following is the most effective drug in smoking cessation?
Which of the following is true regarding nicotine substitution therapy?
All of the following are actions produced by mu receptors of morphine except:-
Shortest-acting muscle relaxant is:
Explanation: ***Intravenous immunoglobulin*** - The image shows a brain MRI with **multiple, hyperintense white matter lesions**, characteristic of **multiple sclerosis (MS)**. IVIG is generally **not a primary treatment** for relapsing-remitting MS (RRMS) or progressive forms of MS, although it might be considered in rare, specific circumstances like highly active disease refractory to standard therapies or in pregnant women where other agents are contraindicated. - While IVIG is used in other autoimmune neurological conditions, its role in MS is **limited and controversial**, and it is not considered a standard disease-modifying therapy. *Methylprednisolone* - **High-dose intravenous methylprednisolone** is the **standard acute treatment for MS relapses**, rapidly reducing inflammation. - It works by suppressing the immune system and reducing the severity and duration of exacerbations in MS. *Fingolimod* - **Fingolimod** is an **oral disease-modifying therapy** approved for relapsing forms of MS, which acts by sequestering lymphocytes in lymph nodes, thus preventing them from entering the CNS. - It is effective in reducing relapse rates and slowing disease progression in MS. *Mitoxantrone* - **Mitoxantrone** is an **immunosuppressant chemotherapy drug** used for worsening relapsing-remitting MS, secondary progressive MS, and progressive relapsing MS. - It is a potent agent reserved for more aggressive forms of MS due to its potential for **cardiotoxicity**.
Explanation: ***Topiramate*** - **Topiramate** is an antiepileptic drug with multiple mechanisms of action, including potentiation of **GABAergic** activity, blockade of **voltage-gated sodium channels**, and antagonism of **AMPA/kainate glutamate receptors**. - Its broad-spectrum action and ability to be administered orally make it a suitable **adjunctive therapy** in complex cases like **super-refractory status epilepticus (SRSE)**, where patients have failed other conventional treatments. *Clobazam* - **Clobazam** is a **benzodiazepine** primarily used as an **anxiolytic** and antiepileptic drug, particularly for Lennox-Gastaut syndrome. - While supportive in status epilepticus, its primary role is in acute seizure termination rather than as a long-term adjunctive therapy for **super-refractory status epilepticus** post-acute phase. *Clonazepam* - **Clonazepam** is another **benzodiazepine** with potent **antiepileptic** properties. - It is effective in terminating acute seizures but is not typically used as a primary oral adjunctive agent for **super-refractory status epilepticus** due to its sedative side effects and potential for tolerance. *Lamotrigine* - **Lamotrigine** is an **antiepileptic drug** that primarily works by inhibiting **voltage-sensitive sodium channels**, thereby stabilizing neuronal membranes and modulating the release of excitatory neurotransmitters. - While effective for various seizure types, including focal and generalized seizures, it is not a first-line or common choice as an **adjunctive oral therapy** in **super-refractory status epilepticus**, which often requires drugs with faster onset or broader mechanisms beyond sodium channel blockade.
Explanation: ***Phenytoin*** - **Historical Context (2012):** Phenytoin was traditionally considered a first-line anticonvulsant for **generalized tonic-clonic seizures** due to its ability to stabilize neuronal membranes and prevent seizure propagation by **blocking voltage-gated sodium channels**. - **Current Guidelines:** While phenytoin remains effective, it is now generally considered a **second-line agent** due to its narrow therapeutic index, significant side effects (gingival hyperplasia, hirsutism, osteomalacia), and multiple drug interactions. **Valproate, levetiracetam, and lamotrigine** are now preferred first-line options per modern ILAE guidelines. - **Note:** This question reflects the 2012 exam standards when phenytoin was still widely taught as first-line therapy. *Diazepam* - **Diazepam** is a **benzodiazepine** primarily used for the **acute termination of seizures** (status epilepticus), not as long-term maintenance therapy for generalized tonic-clonic seizures. - It acts by enhancing **GABA-A receptor** activity, leading to rapid CNS depression and seizure termination. *Phenobarbital* - **Phenobarbital** is a **barbiturate** that can be used for generalized tonic-clonic seizures but is generally a **second or third-line agent** due to significant sedative effects, cognitive impairment, and potential for drug interactions. - Its mechanism involves increasing **GABA-mediated chloride influx**, causing neuronal hyperpolarization. *Magnesium sulphate* - **Magnesium sulfate** is specifically indicated for the prevention and treatment of seizures in **eclampsia and preeclampsia**, not for generalized tonic-clonic seizures in other contexts. - It exerts anticonvulsant effects by acting as an **NMDA receptor antagonist** and reducing neuronal excitability.
Explanation: ***Trofinetide*** - **Trofinetide** (marketed as Daybue) is the first drug specifically approved by the FDA for the treatment of Rett syndrome, receiving approval in March 2023. - It is an analog of the **N-terminal tripeptide of insulin-like growth factor-1 (IGF-1)** and is thought to reduce neuroinflammation and support synaptic function in the brain, improving core symptoms of Rett syndrome. *L-carnitine* - **L-carnitine** is a nutritional supplement that has been studied in Rett syndrome for potential mitochondrial dysfunction, but it is not a primary treatment or an FDA-approved drug for the condition. - While sometimes used adjunctively, there is limited evidence for its efficacy as a standalone therapy in Rett syndrome. *Naltrexone* - **Naltrexone** is an opioid antagonist typically used to treat opioid and alcohol dependence. - It has been explored in some neurodevelopmental disorders, but it is not approved for or considered a primary treatment for Rett syndrome. *Folinic acid* - **Folinic acid** is a form of folic acid that can bypass metabolic blocks in folate pathways, sometimes used in conditions with cerebral folate deficiency. - While metabolic abnormalities can occur in Rett syndrome, folinic acid is not an FDA-approved drug for Rett syndrome.
Explanation: ***Varenicline*** - **Varenicline** is a partial agonist at **α4β2 nicotinic acetylcholine receptors**, reducing the reward from smoking and alleviating withdrawal symptoms. - Clinical trials consistently demonstrate its superior efficacy compared to **bupropion** and **nicotine replacement therapy** in achieving long-term abstinence. - It is the **most effective FDA-approved oral medication** for smoking cessation with quit rates approximately 2-3 times higher than placebo. *Bupropion* - **Bupropion** is an antidepressant that acts as a **norepinephrine-dopamine reuptake inhibitor**, which can reduce cravings and withdrawal symptoms. - While effective, its efficacy is generally considered to be lower than that of **varenicline** for smoking cessation. - It is considered a **first-line alternative** for patients who cannot tolerate varenicline. *Nicotine gum* - **Nicotine gum** is an oral form of nicotine replacement therapy that delivers nicotine without the harmful chemicals of tobacco, helping to manage withdrawal symptoms. - It is effective but less successful than **varenicline** when used as monotherapy, though combination NRT approaches can improve outcomes. - Available in 2 mg and 4 mg strengths, with dosing based on smoking history. *Nortriptyline* - **Nortriptyline** is a tricyclic antidepressant that has shown some efficacy in reducing nicotine withdrawal symptoms, but its use is limited by its side effect profile. - It is considered a **second-line agent** for smoking cessation due to its lower efficacy and greater potential for adverse effects (anticholinergic, cardiac) compared to first-line options like **varenicline** and **bupropion**.
Explanation: ***Trofinetide*** - **Trofinetide**, marketed as Daybue, was approved by the FDA in **March 2023** specifically for the treatment of **Rett syndrome**. - It is a synthetic analog of **glycine-proline-glutamate (GPE)**, which is a cleavage product of **insulin-like growth factor-1 (IGF-1)**, and is thought to reduce neuroinflammation and improve synaptic function. - This is the **first and only FDA-approved drug** specifically indicated for Rett syndrome. *Sodium oxybate* - **Sodium oxybate (Xyrem)** is a CNS depressant (gamma-hydroxybutyrate or GHB) primarily used for the treatment of **narcolepsy with cataplexy**. - It is a GABA-B receptor agonist and has sedative properties, but it is **not approved for Rett syndrome**. - It does not address the underlying pathophysiology or core symptoms of Rett syndrome. *Memantine* - **Memantine** is an NMDA receptor antagonist used primarily for moderate to severe **Alzheimer's disease**. - While it has been studied in some neurodevelopmental disorders, it is **not approved for Rett syndrome**. - It may help with certain symptoms but is not a disease-specific treatment. *Lunesta* - **Lunesta (eszopiclone)** is a nonbenzodiazepine sedative-hypnotic medication used for the treatment of **insomnia**. - It is not indicated for **Rett syndrome** and would only address sleep disturbances symptomatically, not the core neurological deficits.
Explanation: ***Varenicline*** - **Varenicline** is a **partial agonist** of the **nicotinic acetylcholine receptor (nAChR)**, reducing cravings and withdrawal symptoms while blocking the pleasurable effects of nicotine. - It has been shown to be more effective than other pharmacological interventions, including bupropion and nicotine replacement therapies, in achieving **long-term abstinence**. *Nicotine gum* - **Nicotine gum** is a form of **Nicotine Replacement Therapy (NRT)** that provides nicotine to reduce withdrawal symptoms. - While effective, NRTs (including gum) are generally less effective than varenicline in achieving sustained smoking cessation. *Buspirone* - **Buspirone** is an anxiolytic drug primarily used to treat generalized anxiety disorder. - It does not have a primary indication or significant evidence of effectiveness for smoking cessation. *Rimonabant* - **Rimonabant** is a **cannabinoid receptor 1 (CB1) antagonist** that was once explored for smoking cessation and weight loss. - It was withdrawn from the market due to significant psychiatric side effects, including depression and suicidal ideation, and is not used for smoking cessation.
Explanation: ***There should be a 15-minute gap between nicotine gum and coffee/soda/acidic food as they decrease its absorption*** - **Acidic beverages** like coffee, soda, and fruit juices can alter the pH of the mouth and stomach, which significantly **reduces the absorption of nicotine** from gum. - This recommendation ensures optimal **nicotine delivery** and effectiveness of the therapy in reducing withdrawal symptoms. *Preferably given by gastrointestinal route* - Nicotine has poor bioavailability when taken orally due to **extensive first-pass metabolism** in the liver. - Nicotine substitution therapies are therefore preferentially administered via **transdermal**, **buccal** (gum, lozenges), or **nasal routes** to bypass first-pass metabolism and achieve therapeutic blood levels more effectively. *Varenicline comes with a black box warning of cardiovascular death* - Varenicline (Chantix) previously had a black box warning for **neuropsychiatric side effects**, including suicidal ideation and depression, which has since been removed due to further studies. - It does not carry a black box warning specifically for **cardiovascular death**, though cardiovascular events have been a subject of study, particularly in patients with pre-existing cardiovascular conditions. *Nicotine chewing gum is better for constant use as it gives 25% higher blood level than lozenges* - While both nicotine gum and lozenges are effective, the **blood levels achieved are comparable**, and the choice often depends on patient preference and proper technique. - Nicotine gum is best used with a **"chew and park" technique** to allow buccal absorption, and constant chewing can lead to excessive swallowing of nicotine, causing gastrointestinal upset.
Explanation: ***Hyperalgesia***- **Hyperalgesia** is not a direct effect of **μ-opioid receptor activation**; in fact, μ-receptor activation causes **analgesia**.- While chronic opioid use can lead to **opioid-induced hyperalgesia**, this is a complex phenomenon involving adaptations to long-term exposure, not an acute action of the receptor itself.*Respiratory depression*- Activation of **μ-opioid receptors** in the **brainstem** leads to a dose-dependent decrease in respiratory rate and depth [1].- This effect is mediated by reduced sensitivity of respiratory centers to **CO2 levels**, making it a major concern in opioid overdose [1].*Miosis*- **Miosis** (pinpoint pupils) is a classic sign of **opioid intoxication** and results from excitatory actions of μ-opioid receptor activation on the **Edinger-Westphal nucleus** of the oculomotor nerve [1, 3].- This effect is mediated through inhibition of **GABAergic neurons**, leading to increased parasympathetic outflow to the iris sphincter.*Decreased GI motility*- Activation of **μ-opioid receptors** in the **gastrointestinal tract** reduces peristalsis, increases water reabsorption, and decreases secretions [1, 2].- This leads to **constipation**, a very common and persistent side effect of opioid use [1, 2].
Explanation: ***Correct: Succinylcholine*** - **Succinylcholine** is a depolarizing neuromuscular blocker with a rapid onset and a very short duration of action, typically **5-10 minutes**, due to its rapid hydrolysis by **plasma pseudocholinesterase**. - Its ultrashort action makes it ideal for **rapid sequence intubation** and other procedures requiring brief muscle relaxation. *Incorrect: Atracurium* - **Atracurium** is an intermediate-acting nondepolarizing muscle relaxant with a duration of action of approximately **20-35 minutes**. - Its metabolism occurs via Hoffman elimination and ester hydrolysis, making it suitable for patients with **renal or hepatic dysfunction**. *Incorrect: Tubocurarine* - **Tubocurarine** is a long-acting nondepolarizing muscle relaxant that is now rarely used due to its significant adverse effects, including **histamine release** and ganglion blockade. - Its duration of action can be **60-120 minutes**. *Incorrect: Pancuronium* - **Pancuronium** is a long-acting nondepolarizing muscle relaxant with a duration of action of **60-90 minutes**. - It is eliminated primarily by the **kidneys**, making its duration prolonged in patients with **renal impairment**.
General Anesthetics
Practice Questions
Local Anesthetics
Practice Questions
Sedative-Hypnotics
Practice Questions
Antiepileptic Drugs
Practice Questions
Antiparkinsonian Drugs
Practice Questions
Opioid Analgesics
Practice Questions
Drugs of Abuse and Addiction
Practice Questions
Psychostimulants
Practice Questions
Hallucinogens
Practice Questions
CNS Stimulants and Cognitive Enhancers
Practice Questions
Get full access to all questions, explanations, and performance tracking.
Start For Free