Loeffler's syndrome is characterized by:
What are the WHO criteria for hospital admission in pneumonia?
All of the following are used in the acute attack of asthma in a 4-year-old child, except:
A 4-month-old infant presents with cough and a respiratory rate greater than 60/min, with no chest retractions. What is the appropriate management according to the Integrated Management of Childhood Illness (IMNCI) protocol?
A 3-year-old, well-immunized male child presents with sore throat, fever, noisy breathing, and inability to swallow for the past four hours. Examination reveals a toxic, tachypneic child with inspiratory stridor, suprasternal, supraclavicular, and intercostal retractions during inspiration. What is the most likely diagnosis?
A 14-year-old boy presented with chronic diarrhea and weight loss. History reveals that he has repeated attacks of respiratory tract infections with Pseudomonas aeruginosa. His younger brother died from a severe respiratory infection at the age of 7. Which of the following agents is most likely to improve this patient's condition?
Bronchiolitis obliterans is suggested by all findings except:
What is the MOST suitable management for a 2-year-old child presenting with cough for 5 days? On examination, the respiratory rate is 40/minute. The child is well-nourished, active, and feeding well.
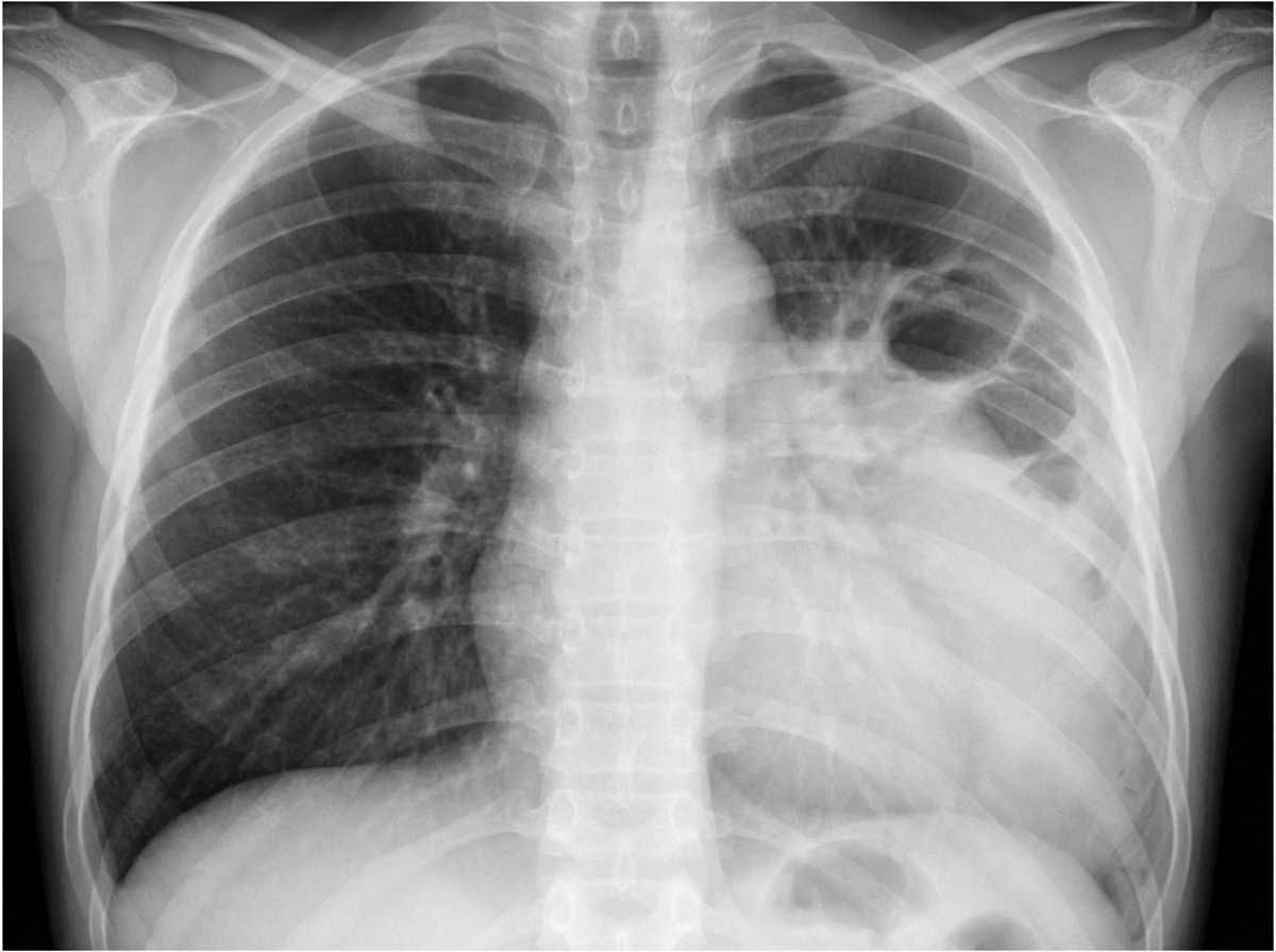
What is the most likely etiology in a 10-month-old child with a 7-day history of high-grade fever, exhibiting the following X-ray findings, and not responding to ceftriaxone?

Palivizumab, a monoclonal antibody, is used for the prophylaxis of:
Explanation: **Explanation:** **Loeffler’s Syndrome** (Simple Pulmonary Eosinophilia) is a transient respiratory illness characterized by the accumulation of eosinophils in the lungs. It is most commonly caused by a Type I hypersensitivity reaction to the trans-pulmonary migration of helminthic larvae, such as *Ascaris lumbricoides*, *Ancylostoma duodenale*, or *Necator americanus*. 1. **Why Option A is correct:** The hallmark radiological finding of Loeffler’s syndrome is **transient, migratory (fleeting) pulmonary infiltrates**. These are non-segmental, peripheral opacities that shift in location or disappear completely within 2–4 weeks as the larvae complete their migration through the lungs. 2. **Why Options B and C are incorrect:** Fibrosis (apical or basal) represents chronic, irreversible structural damage (as seen in Tuberculosis or Idiopathic Pulmonary Fibrosis). Loeffler’s syndrome is an acute, benign, and self-limiting condition that does not lead to permanent scarring or fibrosis. 3. **Why Option D is incorrect:** Miliary mottling refers to small (1–2 mm) uniform nodules distributed throughout the lung fields, typically seen in Miliary Tuberculosis or Sarcoidosis. **High-Yield Clinical Pearls for NEET-PG:** * **Triad:** Peripheral blood eosinophilia, migratory pulmonary infiltrates, and a benign clinical course. * **Commonest Cause:** *Ascaris lumbricoides* is the most frequent parasitic trigger. * **Diagnosis:** Often incidental on CXR; stool examination for ova/parasites may be negative during the respiratory phase (as the worms haven't reached the intestine yet). * **Treatment:** Usually self-limiting; requires only symptomatic management or anthelmintics once the larvae reach the gut.
Explanation: In pediatric practice, the WHO Integrated Management of Childhood Illness (IMCI) guidelines classify pneumonia based on clinical severity to determine the site of care. The correct answer is **All of the above** because each option represents a clinical sign of respiratory distress or systemic toxicity requiring inpatient management. ### **Explanation of Options:** * **Nasal Flaring & Difficulty in Breathing:** These are hallmark signs of **Severe Pneumonia**. According to WHO, the presence of "chest indrawing" or "danger signs" (nasal flaring, grunting, or use of accessory muscles) indicates that the work of breathing is significantly increased, necessitating oxygen therapy and parenteral antibiotics. * **High Fever:** While not a standalone criterion for "Severe Pneumonia," a very high fever in a child with cough/cold indicates systemic involvement or potential sepsis. In the context of the NEET-PG pattern, systemic signs (inability to drink, lethargy, or persistent high fever) are triggers for admission to monitor for complications like empyema or pleural effusion. ### **Clinical Pearls for NEET-PG:** * **WHO Classification (Revised):** 1. **Pneumonia:** Fast breathing (Age <2m: ≥60; 2–12m: ≥50; 1–5y: ≥40 bpm). *Treatment: Home antibiotics (Amoxicillin).* 2. **Severe Pneumonia:** Fast breathing + Chest indrawing OR any Danger Sign. *Treatment: Hospitalization + IV Ampicillin/Gentamicin.* * **General Danger Signs:** Inability to drink/breastfeed, persistent vomiting, lethargy/unconsciousness, and convulsions. * **Gold Standard for Diagnosis:** While WHO uses clinical signs for resource-limited settings, **Chest X-ray** is the investigation of choice to confirm pneumonia in a hospital setting. * **Most Common Cause:** *Streptococcus pneumoniae* remains the most common bacterial cause across all pediatric age groups (excluding neonates).
Explanation: In the management of acute asthma, the primary goal is to relieve airway obstruction and reduce inflammation. **Why Sedatives are Contraindicated (Correct Answer):** Sedatives (such as benzodiazepines or promethazine) are strictly contraindicated in acute asthma. They cause **respiratory center depression**, which can lead to hypoventilation, hypercapnia, and respiratory failure. In a child struggling to breathe, anxiety is often a physiological sign of hypoxia; suppressing this drive can be fatal. **Explanation of Other Options:** * **Salbutamol (Short-Acting Beta-2 Agonist):** This is the **first-line treatment** (Gold Standard) for acute attacks. It acts rapidly to cause bronchodilation by relaxing airway smooth muscle. * **Corticosteroids:** These are essential in acute management to reduce airway inflammation and edema. They prevent late-phase reactions and reduce the risk of relapse. Systemic steroids (oral or IV) are typically used in acute exacerbations. * **Theophylline:** While no longer first-line due to a narrow therapeutic index and side effects, intravenous Aminophylline/Theophylline can be used as an **add-on therapy** in severe refractory asthma (Status Asthmaticus) that does not respond to initial bronchodilators. **Clinical Pearls for NEET-PG:** * **Drug of Choice (Acute):** Inhaled Salbutamol (via MDI with spacer or nebulization). * **Most sensitive indicator of severity:** Use of accessory muscles and inability to speak in full sentences. * **Silent Chest:** A grave clinical sign indicating minimal air entry; it is a medical emergency. * **Magnesium Sulfate:** Used intravenously in severe cases for its smooth muscle relaxant properties.
Explanation: ### Explanation This question tests the application of the **IMNCI (Integrated Management of Neonatal and Childhood Illness)** classification for acute respiratory infections in children aged 2 months to 5 years. **1. Why Option B is Correct:** According to IMNCI guidelines, a child is classified based on clinical signs: * **Pneumonia:** Defined by **Fast Breathing** (RR ≥ 50/min in 2–12 months; RR ≥ 40/min in 12 months–5 years) without chest indrawing or danger signs. * The infant in the question is 4 months old with an RR of 60/min (Fast Breathing) and no chest retractions. Therefore, the classification is **Pneumonia**. * **Management:** Give oral Amoxicillin (80 mg/kg/day for 5 days), advise the mother on home care, explain danger signs, and follow up in 2 days. **2. Why Other Options are Incorrect:** * **Options A & D:** These represent the management for **Severe Pneumonia or Very Severe Disease** (characterized by chest indrawing or danger signs like lethargy, inability to feed, or convulsions). These cases require parenteral antibiotics (Ampicillin/Gentamicin) and urgent referral. * **Option C:** This is the management for **No Pneumonia (Cough or Cold)**, where the respiratory rate is normal and no retractions are present. It requires only home care and soothing of the throat. **3. High-Yield Clinical Pearls for NEET-PG:** * **Fast Breathing Cut-offs:** * < 2 months: ≥ 60/min (Classified as Severe Disease) * 2–12 months: ≥ 50/min * 12 months–5 years: ≥ 40/min * **Chest Indrawing:** Must be persistent and visible to classify as "Severe Pneumonia." * **First-line antibiotic:** Oral Amoxicillin is now the preferred drug over Cotrimoxazole in the updated IMNCI guidelines for Pneumonia.
Explanation: **Explanation:** The clinical presentation of a **toxic-looking** child with a rapid onset of high fever, sore throat, **drooling (inability to swallow)**, and inspiratory stridor is classic for **Acute Epiglottitis**. This is a life-threatening pediatric emergency involving inflammation of the supraglottic structures. The "4 Ds" (Drooling, Dysphagia, Distress, and Dysphonia) are hallmark signs. Despite being well-immunized (which reduces the risk of *H. influenzae* type b), other pathogens like *Streptococcus pyogenes* or *Staphylococcus aureus* can still cause the condition. **Why other options are incorrect:** * **Acute Laryngotracheobronchitis (Croup):** Typically presents with a "barking" cough, hoarseness, and a slower prodrome of URI symptoms. The child is usually not "toxic" or drooling. * **Diphtheria:** Characterized by a slow onset, low-grade fever, and a thick, grey, adherent **pseudomembrane** on the tonsils/pharynx. It does not typically cause the acute, fulminant respiratory distress seen here. * **Bronchopneumonia:** Presents with cough, rales/crepitations, and expiratory wheezing rather than inspiratory stridor. Stridor indicates an upper airway obstruction. **NEET-PG High-Yield Pearls:** * **X-ray Finding:** Lateral neck X-ray shows the **"Thumb sign"** (swollen epiglottis). * **Management:** The priority is **airway stabilization** (intubation) in a controlled environment (OR). Do not examine the throat with a tongue depressor, as it may trigger fatal laryngospasm. * **Positioning:** Children often assume the **"Tripod position"** (leaning forward on hands) to maximize airway diameter.
Explanation: ### Explanation **Diagnosis: Cystic Fibrosis (CF)** The clinical triad of **chronic diarrhea** (steatorrhea), **weight loss** (malnutrition), and **recurrent respiratory infections** with *Pseudomonas aeruginosa*, combined with a positive family history (sibling death), strongly points toward Cystic Fibrosis. In CF, a defect in the CFTR protein leads to thick, inspissated secretions. This causes **Exocrine Pancreatic Insufficiency** because thick mucus plugs the pancreatic ducts, preventing digestive enzymes from reaching the duodenum. This results in malabsorption of fats and proteins, leading to steatorrhea and failure to thrive. **Pancreatic enzyme replacement therapy (PERT)**, containing **pancreatic lipase**, amylase, and protease, is the cornerstone of management to improve digestion and nutritional status. **Analysis of Incorrect Options:** * **A. Octreotide:** A somatostatin analog used for secretory diarrhea (e.g., carcinoid syndrome or VIPoma). It would worsen malabsorption in CF by further inhibiting pancreatic secretion. * **C. Metronidazole:** Used for anaerobic infections or protozoal diarrhea (e.g., Giardiasis). While CF patients may have Small Intestinal Bacterial Overgrowth (SIBO), it is not the primary treatment for their chronic malabsorption. * **D. Loperamide:** An anti-motility agent used for symptomatic relief of acute diarrhea. It is contraindicated in CF as it does not address the underlying enzyme deficiency and could potentially worsen distal intestinal obstruction syndrome (DIOS). **High-Yield Clinical Pearls for NEET-PG:** * **Most common mutation:** ΔF508 (Class II defect - protein misfolding). * **Gold Standard Diagnosis:** Sweat Chloride Test (>60 mEq/L). * **Respiratory Pathogens:** *Staphylococcus aureus* is the most common in early childhood; ***Pseudomonas aeruginosa*** is the most common in adolescents and adults. * **Infertility:** 95% of males are infertile due to Congenital Bilateral Absence of the Vas Deferens (CBAVD). * **Screening:** Immunoreactive Trypsinogen (IRT) in neonates.
Explanation: **Explanation:** **Bronchiolitis Obliterans (BO)** is a chronic obstructive lung disease characterized by the fibrotic narrowing or complete occlusion of the small airways (bronchioles). **Why Option D is the Correct Answer:** In BO, the primary pathology is airway obstruction rather than alveolar filling. Therefore, the characteristic radiographic finding is **hyperlucency** (due to air trapping) and **vascular pruning**, rather than diffuse infiltrates. Diffuse infiltrates are more characteristic of acute infectious pneumonia or interstitial lung diseases, not the chronic obstructive remodeling seen in BO. **Analysis of Incorrect Options:** * **Option A (Hyperlucency):** This is a hallmark finding. As bronchioles become obliterated, air becomes trapped distally (check-valve mechanism), leading to hyperinflation and increased radiolucency on X-ray. * **Option B (Obstructive pattern):** Since BO involves the narrowing of small airways, Pulmonary Function Tests (PFTs) characteristically show a **fixed obstructive pattern** (decreased FEV1 and FEV1/FVC ratio) that does not respond to bronchodilators. * **Option C (Sequelae of Adenovirus):** Post-infectious BO is most commonly associated with **Adenovirus (types 3, 7, and 21)**. Other causes include Mycoplasma pneumoniae, measles, and graft-versus-host disease (GVHD) post-transplant. **NEET-PG High-Yield Pearls:** * **Swyer-James (MacLeod) Syndrome:** A classic manifestation of post-infectious BO where one lung or lobe appears hyperlucent and small with a small pulmonary artery. * **HRCT Finding:** The "gold standard" imaging finding is the **Mosaic Perfusion Pattern** (areas of decreased attenuation representing air trapping). * **Diagnosis:** Often clinical, based on a history of severe lower respiratory infection followed by persistent wheezing and obstruction unresponsive to therapy.
Explanation: This question tests your ability to classify and manage respiratory infections in children based on the **IMNCI (Integrated Management of Neonatal and Childhood Illness)** guidelines, which is a high-yield topic for NEET-PG. ### **Explanation of the Correct Answer** The key to this question lies in the **Respiratory Rate (RR)**. According to IMNCI criteria for a child aged 12 months to 5 years, **fast breathing** is defined as a respiratory rate of **≥ 40 breaths per minute**. In this case, the child is 2 years old and has an RR of 40/min. While this is at the threshold, the child is described as **well-nourished, active, and feeding well**, with no mention of chest indrawing or "danger signs" (such as inability to drink, lethargy, or convulsions). Under the revised WHO/IMNCI classification, a child with cough but **no fast breathing and no chest indrawing** is classified as **"No Pneumonia: Cough or Cold."** The management for this category is simple home care (soothing the throat, clearing the nose, and monitoring for worsening symptoms). ### **Why Other Options are Incorrect** * **Option B:** Cotrimoxazole (or Amoxicillin) is indicated for **Pneumonia** (defined by fast breathing). Since this child’s RR is exactly at the cutoff and they are clinically stable/active, the most conservative and appropriate initial step in a "Cough/Cold" scenario is home care. * **Option C:** IM Ampicillin is reserved for **Severe Pneumonia or Very Severe Disease** (characterized by chest indrawing or danger signs), which are absent here. ### **Clinical Pearls for NEET-PG** * **IMNCI RR Cut-offs:** * < 2 months: ≥ 60/min * 2–12 months: ≥ 50/min * **12 months–5 years: ≥ 40/min** * **Classification Tip:** If there is fast breathing but no chest indrawing/danger signs = **Pneumonia** (Oral antibiotics). If there is chest indrawing or any danger sign = **Severe Pneumonia** (IV/IM antibiotics + Referral). * **Home Care:** Includes breastfeeding, increased fluids, and avoiding harmful cough suppressants.
Explanation: ***Staphylococcus aureus*** - Characteristic X-ray findings in infants include **pneumatoceles**, **empyema**, and **pyopneumothorax**, which are pathognomonic for staphylococcal pneumonia. - Failure to respond to **ceftriaxone** suggests **MRSA**, as ceftriaxone does not provide adequate coverage against methicillin-resistant strains. *Streptococcus pneumoniae* - Typically responds well to **ceftriaxone** therapy, making this unlikely given the treatment failure described. - Usually presents with **lobar consolidation** on chest X-ray without the characteristic cavitary lesions or pneumatoceles seen with staph infections. *Mycoplasma* - Predominantly affects **school-age children** and adolescents, not typically seen in 10-month-old infants. - Presents with **atypical pneumonia** symptoms including gradual onset, dry cough, and bilateral interstitial infiltrates rather than high-grade fever and cavitary lesions. *Respiratory Syncytial Virus* - Causes **bronchiolitis** with hyperinflation and peribronchial thickening on chest X-ray, not lobar pneumonia with cavitary changes. - Typically presents with **wheezing**, **rhinorrhea**, and **cough** rather than high-grade fever and pneumonic consolidation.
Explanation: **Explanation:** **Palivizumab** is a humanized monoclonal antibody directed against the **F (fusion) protein** of the **Respiratory Syncytial Virus (RSV)**. By binding to this protein, it prevents the virus from entering the host cells, thereby inhibiting viral replication. **Why the correct answer is right:** * **Option D (RSV):** RSV is the leading cause of bronchiolitis and pneumonia in infants. Palivizumab is specifically FDA-approved for the **prophylaxis** (not treatment) of serious lower respiratory tract disease caused by RSV in high-risk pediatric populations (e.g., preterm infants, children with chronic lung disease, or hemodynamically significant congenital heart disease). **Why incorrect options are wrong:** * **Option A (hMPV):** While human metapneumovirus causes similar clinical symptoms to RSV, Palivizumab is highly specific to the RSV F-protein and does not cross-react with hMPV. * **Option B (Parainfluenza):** These viruses belong to the same family (*Paramyxoviridae*) but have different surface glycoproteins. There is currently no monoclonal antibody prophylaxis for Parainfluenza. * **Option C (Influenza):** Prevention of Influenza is primarily achieved through annual vaccination (inactivated or live-attenuated) or antiviral drugs like Oseltamivir, not monoclonal antibodies. **High-Yield Clinical Pearls for NEET-PG:** * **Administration:** It is given as a **monthly intramuscular injection** during the RSV season (usually 5 consecutive doses). * **Target:** It targets the **A antigenic site** of the F-protein. * **Newer Alternative:** **Nirsevimab** is a newer, long-acting monoclonal antibody recently approved for RSV prophylaxis that requires only a single dose per season. * **Note:** Palivizumab is **not effective** for the treatment of an active RSV infection; it is strictly for prevention.
Upper Respiratory Tract Infections
Practice Questions
Lower Respiratory Tract Infections
Practice Questions
Asthma Management
Practice Questions
Cystic Fibrosis
Practice Questions
Bronchiolitis
Practice Questions
Foreign Body Aspiration
Practice Questions
Sleep-Disordered Breathing
Practice Questions
Congenital Lung Malformations
Practice Questions
Pleural Diseases
Practice Questions
Tuberculosis in Children
Practice Questions
Chronic Lung Disease in Premature Infants
Practice Questions
Pulmonary Function Testing
Practice Questions
Get full access to all questions, explanations, and performance tracking.
Start For Free