"Steeple sign" on X-ray in children is most likely indicative of which condition?
What is true regarding bronchiolitis obliterans without cyanosis?
A 2-year-old boy presented with cough, fever, and difficulty in breathing. His respiratory rate is 50/min. There is no chest indrawing. Auscultation of the chest reveals bilateral crepitations. What is the most probable diagnosis?
All of the following are useful for treating acute bronchial asthma in children except?
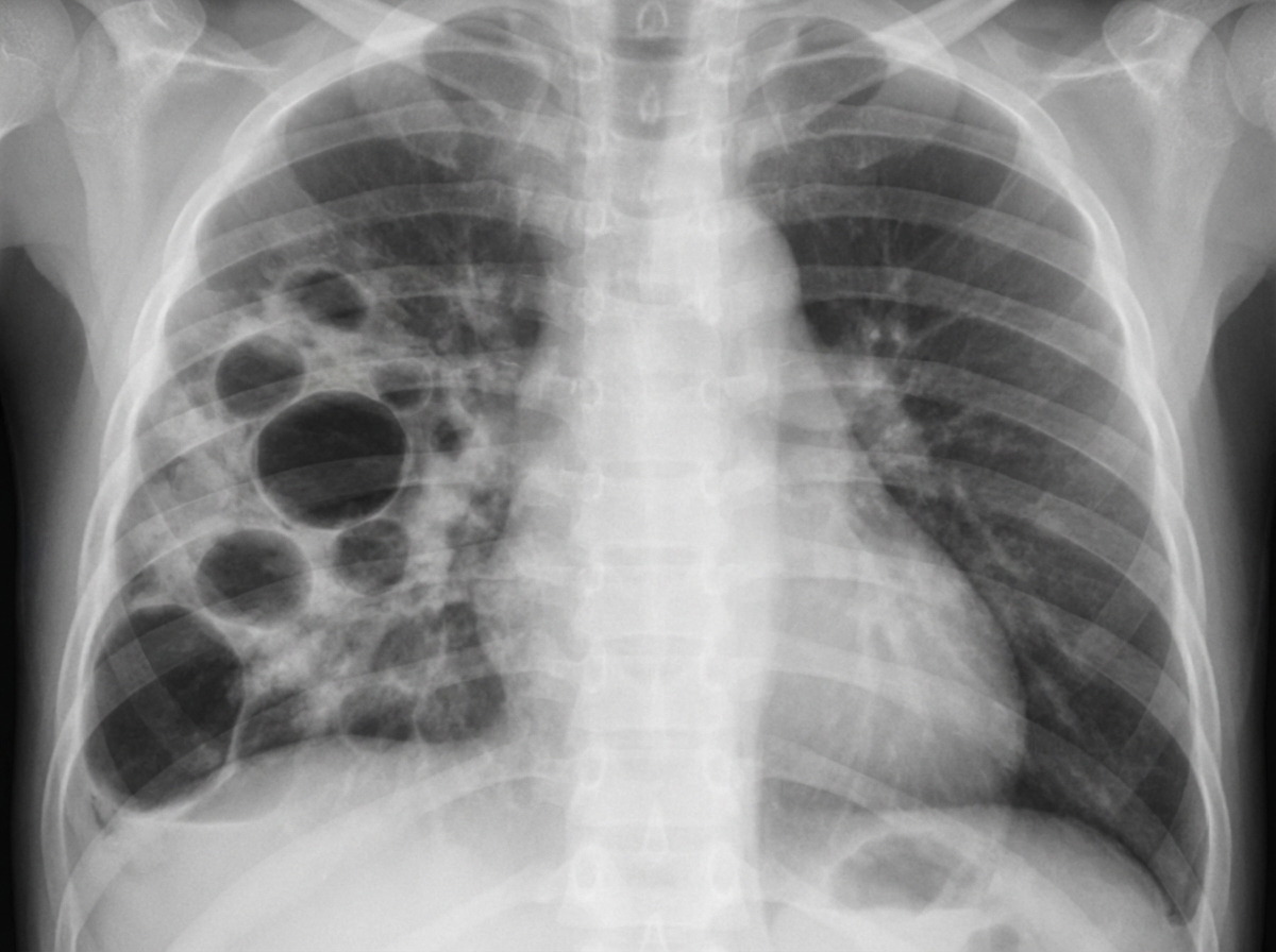
An infant presented to OPD with features of respiratory distress. The X-ray is shown below. The most probable organism is?

What is the most common mode of treatment for a 1-year-old child with asthma?
What is the drug of choice for the prophylaxis of Bronchiolitis in a child with heart disease?
The 'steeple sign' on a radiograph is characteristic of which condition?
An infant is admitted with respiratory distress and prolonged expiration with rhonchi in the chest. Chest X-ray shows hyperinflation. What is the diagnosis?
Crackles are frequently heard in which of the following conditions?
Explanation: **Explanation:** The **"Steeple sign"** (also known as the wine bottle sign) is a classic radiological finding seen on an anteroposterior (AP) view of the neck X-ray. It represents **subglottic narrowing** caused by edema and inflammation of the larynx and trachea. This narrowing gives the airway the appearance of a pointed church steeple. **1. Why Croup is Correct:** Croup, or **Laryngotracheobronchitis**, is most commonly caused by the **Parainfluenza virus (Type 1)**. The inflammation is localized to the subglottic region (just below the vocal cords). Clinically, it presents with a characteristic "barking cough," inspiratory stridor, and hoarseness in children aged 6 months to 3 years. **2. Why Incorrect Options are Wrong:** * **Vocal cord paralysis:** This is a functional or neurological issue. While it can cause stridor, it does not typically produce the symmetric subglottic narrowing seen on X-ray. * **Streptococcal pharyngitis:** This involves inflammation of the oropharynx and tonsils. X-rays are usually normal or show soft tissue swelling in the tonsillar area, not the subglottic airway. * **Asthma:** This is a lower airway disease characterized by bronchospasm and wheezing. X-rays typically show hyperinflation or are normal; they do not show upper airway narrowing. **High-Yield Clinical Pearls for NEET-PG:** * **Thumb Sign:** Seen on a lateral neck X-ray in **Epiglottitis** (caused by *H. influenzae* type B). * **Management of Croup:** Mild cases are treated with a single dose of **Dexamethasone**. Severe cases (stridor at rest) require **Nebulized Epinephrine** (L-epinephrine or Racemic). * **Westley Croup Score:** Used to clinically assess the severity of the condition. * **Omega-shaped Epiglottis:** A characteristic finding in **Laryngomalacia**, the most common cause of congenital stridor.
Explanation: **Explanation:** **Bronchiolitis Obliterans (BO)** is a chronic obstructive lung disease characterized by the inflammation and fibrosis of the terminal bronchioles, leading to luminal narrowing. In children, it most commonly occurs as a post-infectious complication (Post-Infectious Bronchiolitis Obliterans or PIBO). **Why Option C is Correct:** The management of PIBO is primarily **supportive**. Because the airway damage is structural and irreversible (fibrosis), the goal is to maintain adequate oxygenation and manage complications. **Continuous oxygen therapy** is the mainstay for patients with chronic hypoxemia to prevent pulmonary hypertension and cor pulmonale. **Analysis of Incorrect Options:** * **Option A:** The most common viral cause of PIBO is **Adenovirus** (specifically types 3, 7, and 21), not parainfluenza. Adenovirus is notorious for causing necrotizing bronchiolitis. * **Option B:** Ribavirin is an antiviral used specifically for **Respiratory Syncytial Virus (RSV)** bronchiolitis in high-risk infants. It has no role in the management of Bronchiolitis Obliterans, which is a late-stage fibrotic process. * **Option D:** Bronchodilators like **Ipratropium bromide** or Albuterol are frequently used in BO to manage the reversible component of airway obstruction. They are **not contraindicated**, though their efficacy varies among patients. **High-Yield Clinical Pearls for NEET-PG:** * **Radiology:** Characterized by the **"Mosaic attenuation pattern"** on HRCT (areas of air trapping due to bronchiolar obstruction). * **Diagnosis:** Gold standard is a lung biopsy, but it is often diagnosed clinically based on a history of severe pneumonia followed by persistent wheezing and obstructive patterns on PFTs. * **Swyer-James-MacLeod Syndrome:** A radiological manifestation of PIBO involving a small, hyperlucent lung with decreased vascularity.
Explanation: ### Explanation This question is based on the **WHO Integrated Management of Neonatal and Childhood Illness (IMNCI)** guidelines for the classification of cough and cold in children aged 2 months to 5 years. **1. Why "Pneumonia" is the correct answer:** According to IMNCI criteria, the classification is based on the presence of **fast breathing** or **chest indrawing**. * For a child aged 12 months to 5 years, fast breathing is defined as a **Respiratory Rate (RR) ≥ 40 breaths/min**. * In this case, the child is 2 years old with an RR of 50/min (fast breathing) but **no chest indrawing**. This specific combination classifies the condition as **Pneumonia**. **2. Why other options are incorrect:** * **No Pneumonia:** This is classified when there is no fast breathing and no chest indrawing. The child would typically have only a cough or cold. * **Severe Pneumonia:** This requires the presence of **chest indrawing**. Since the question explicitly states there is no chest indrawing, this option is ruled out. * **Very Severe Pneumonia (Severe Disease):** This classification is used when any **"General Danger Sign"** is present (e.g., inability to drink/breastfeed, lethargy, unconsciousness, convulsions, or stridor in a calm child). None of these are mentioned. **3. NEET-PG High-Yield Pearls:** * **Fast Breathing Thresholds (IMNCI):** * < 2 months: ≥ 60/min * 2–12 months: ≥ 50/min * 12 months–5 years: ≥ 40/min * **Auscultation:** While bilateral crepitations support a diagnosis of lower respiratory tract involvement, the IMNCI classification relies primarily on clinical signs (RR and indrawing) for rapid field diagnosis. * **Treatment:** Pneumonia (non-severe) is treated with oral Amoxicillin (40 mg/kg/dose twice daily for 5 days) at home, whereas Severe Pneumonia requires hospitalization and IV Ampicillin/Gentamicin.
Explanation: **Explanation:** The management of acute bronchial asthma focuses on immediate reversal of airway obstruction and hypoxia. **Why Sodium Cromoglycate is the correct answer:** Sodium Cromoglycate is a **Mast Cell Stabilizer**. It works by preventing the degranulation of mast cells and the subsequent release of inflammatory mediators (like histamine). However, it has **no bronchodilatory properties** and is ineffective once an attack has started. It is used strictly for **prophylaxis** (long-term control) to prevent exercise-induced or allergen-induced asthma. In an acute emergency, it may even worsen bronchospasm due to its irritant powder nature. **Analysis of incorrect options:** * **100% Oxygen:** Hypoxia is a common complication of acute asthma. Maintaining oxygen saturation (SpO2 >94%) is a first-line priority in emergency management. * **Salbutamol:** This is a Short-Acting Beta-2 Agonist (SABA) and the **drug of choice** for acute exacerbations. It provides rapid bronchodilation by relaxing airway smooth muscle. * **Hydrocortisone:** Systemic corticosteroids are indicated in moderate-to-severe acute asthma to reduce airway inflammation and edema, and to upregulate beta-receptors, preventing late-phase reactions. **High-Yield Clinical Pearls for NEET-PG:** * **Drug of Choice (Acute Attack):** Inhaled Salbutamol (SABA). * **Most effective long-term control:** Inhaled Corticosteroids (ICS) like Fluticasone or Budesonide. * **Status Asthmaticus:** If refractory to initial treatment, IV Magnesium Sulfate is often the next step. * **Ipratropium Bromide:** An anticholinergic often added to Salbutamol in the first hour of a severe attack for synergistic effects.
Explanation: ***S. aureus*** - **Pneumatoceles** (thin-walled air cysts) on chest X-ray are **pathognomonic** for staphylococcal pneumonia in infants. - S. aureus commonly causes **necrotizing pneumonia** with **cavitation** and **pneumothorax** formation in pediatric patients. *S. pyogenes* - Typically causes **pharyngitis** and **cellulitis** rather than severe pneumonia with cavitary lesions. - Chest X-ray findings usually show **lobar consolidation** without pneumatoceles or cavitation. *Klebsiella* - Commonly affects **immunocompromised adults** and causes **upper lobe consolidation** with **bulging fissures**. - Rarely causes **pneumatoceles** in infants; more associated with **thick, bloody sputum** production. *E. coli* - Primarily causes **neonatal sepsis** and **meningitis** rather than primary pneumonia in infants. - When it causes pneumonia, it typically presents as **diffuse infiltrates** without characteristic pneumatocele formation.
Explanation: **Explanation:** The management of asthma in children focuses on the rapid reversal of bronchospasm and long-term control of inflammation. For a 1-year-old child presenting with acute symptoms, **Inhaled Short-Acting Beta-2 Agonists (SABA)**, such as Salbutamol, are the first-line treatment. **1. Why Option A is Correct:** SABAs are the most effective bronchodilators. In infants and toddlers, the inhaled route is preferred over oral administration because it delivers the drug directly to the airways, ensuring a faster onset of action (within 5–15 minutes) and significantly fewer systemic side effects (like tachycardia or tremors). For this age group, delivery via a **Metered-Dose Inhaler (MDI) with a spacer and a face mask** is the gold standard. **2. Why Other Options are Incorrect:** * **Oral Theophylline:** This is rarely used in modern pediatrics due to its narrow therapeutic index, requiring frequent blood monitoring, and its high risk of toxicity (arrhythmias, seizures). * **Oral Ketotifen:** This is an H1-antihistamine and mast cell stabilizer. It is not effective for treating acute asthma symptoms and has limited clinical utility in standard asthma guidelines. * **Leukotriene Receptor Antagonists (e.g., Montelukast):** While used as "add-on" controller therapy for chronic asthma (Step 2 or 3), they are not the primary treatment for acute symptom relief. **High-Yield Clinical Pearls for NEET-PG:** * **Diagnosis:** Asthma in children <5 years is often termed "Wheeze" or "Reactive Airway Disease" as spirometry is difficult to perform. * **Drug of Choice:** Salbutamol (SABA) is the DOC for acute episodes across all age groups. * **Delivery Device:** For children <4 years, use MDI + Spacer + Face mask. For children >4–6 years, MDI + Spacer + Mouthpiece is preferred. * **Stepping Up:** If SABA is needed more than twice a week, Low-dose Inhaled Corticosteroids (ICS) are the preferred controller therapy.
Explanation: **Explanation:** **Bronchiolitis** is most commonly caused by the **Respiratory Syncytial Virus (RSV)**. In infants with underlying risk factors such as congenital heart disease (CHD) or prematurity, RSV infection can lead to severe respiratory failure. **Why Palivizumab is the Correct Answer:** Palivizumab is a **humanized monoclonal antibody** directed against the F (fusion) protein of RSV. It provides passive immunity by preventing the virus from entering the host cells. It is specifically indicated for the **prophylaxis** (not treatment) of RSV in high-risk groups, including: 1. Infants with hemodynamically significant **Congenital Heart Disease**. 2. Preterm infants (<35 weeks gestation). 3. Infants with Chronic Lung Disease of prematurity (Bronchopulmonary Dysplasia). **Analysis of Incorrect Options:** * **A. Ribavirin:** This is an antiviral agent formerly used for the *treatment* of severe RSV, but its use is now limited due to toxicity and lack of proven benefit in mortality. It is not used for prophylaxis. * **B. Doxycycline:** A tetracycline antibiotic used for atypical pneumonias (like Mycoplasma); it has no role in treating or preventing viral bronchiolitis. * **D. Penicillin V:** An antibiotic used for Gram-positive bacterial infections (e.g., Streptococcal pharyngitis); it is ineffective against RSV. **High-Yield Clinical Pearls for NEET-PG:** * **Route:** Palivizumab is administered **Intramuscularly (IM)** once a month during the RSV season (usually 5 doses). * **Diagnosis:** Bronchiolitis is a clinical diagnosis; the most common sign is **wheezing** preceded by upper respiratory symptoms. * **Treatment:** The mainstay of treatment for acute bronchiolitis is **supportive care** (hydration and oxygenation). Steroids and bronchodilators are generally not recommended.
Explanation: **Explanation:** **Laryngotracheobronchitis (Croup)** is the correct answer. The 'steeple sign' (also known as the wine bottle sign) is a classic radiologic finding seen on an **anteroposterior (AP) view** of the neck. It represents subglottic narrowing caused by inflammatory edema in the subglottic region. The narrowing of the tracheal lumen creates a tapered appearance resembling a church steeple. Croup is most commonly caused by the **Parainfluenza virus (Type 1)** and typically presents with a barking cough, inspiratory stridor, and hoarseness in children aged 6 months to 3 years. **Why other options are incorrect:** * **Acute Epiglottitis:** This condition is characterized by the **'Thumb sign'** on a **lateral neck X-ray**, representing a swollen, enlarged epiglottis. Unlike Croup, the subglottic space remains normal. It is a medical emergency usually caused by *Haemophilus influenzae* type b (Hib). * **Option C & D:** These are incorrect because the steeple sign is pathognomonic for subglottic narrowing (Croup) and is distinctly different from the supraglottic swelling seen in epiglottitis. **NEET-PG High-Yield Pearls:** * **Croup:** Steeple sign (AP view), Subglottic narrowing, Barking cough, Parainfluenza virus. * **Epiglottitis:** Thumb sign (Lateral view), Supraglottic swelling, Drooling, Tripod position, *H. influenzae*. * **Management Tip:** Nebulized adrenaline and corticosteroids (Dexamethasone) are the mainstays of treatment for moderate-to-severe Croup. Avoid examining the throat in suspected epiglottitis as it may trigger laryngospasm.
Explanation: **Explanation:** **Why Bronchiolitis is the correct answer:** Bronchiolitis is the most common lower respiratory tract infection in infants (typically <2 years). The clinical hallmark is **acute inflammation, edema, and necrosis of epithelial cells** in the small airways (bronchioles), leading to air trapping. * **Prolonged expiration and rhonchi/wheezing:** These occur due to the narrowing of the small airways. * **Hyperinflation on X-ray:** This is a classic finding caused by the "ball-valve" mechanism, where air enters during inspiration but becomes trapped during expiration due to airway obstruction. **Why the other options are incorrect:** * **Pneumonia:** Typically presents with high fever, crackles (crepitations), and bronchial breath sounds. Chest X-ray usually shows **focal consolidation** rather than generalized hyperinflation. * **Croup (Laryngotracheobronchitis):** This is an upper airway obstruction. It presents with **inspiratory stridor**, a barking cough, and hoarseness. X-ray would show the "Steeple sign" (subglottic narrowing), not hyperinflation. * **Asthma:** While the symptoms are similar, the first episode of wheezing in an infant is clinically diagnosed as bronchiolitis. Asthma is usually considered if there are recurrent episodes, a strong family history of atopy, or if the child is older. **High-Yield Clinical Pearls for NEET-PG:** * **Most common cause:** Respiratory Syncytial Virus (RSV). * **Most common age group:** 2 to 6 months. * **Treatment:** Primarily supportive (oxygenation and hydration). Routine use of bronchodilators, steroids, or antibiotics is **not** recommended. * **Palivizumab:** A monoclonal antibody used for prophylaxis in high-risk preterm infants.
Explanation: **Explanation:** **Correct Answer: D. Bronchiolitis** Bronchiolitis is an acute viral infection of the lower respiratory tract, most commonly caused by **Respiratory Syncytial Virus (RSV)**. The pathophysiology involves inflammation, edema, and necrosis of the epithelial cells lining the small airways (bronchioles), leading to increased mucus production and airway obstruction. **Crackles (crepitations)** occur when air forces open these small, collapsed, or fluid-filled distal airways during inspiration. In addition to crackles, bronchiolitis characteristically presents with expiratory wheezing, tachypnea, and chest retractions in infants. **Analysis of Incorrect Options:** * **A. Pneumothorax:** Characterized by the presence of air in the pleural space. Clinical findings include **decreased or absent breath sounds** and hyper-resonance on percussion on the affected side. * **B. Pleural Effusion:** Fluid in the pleural space acts as a barrier to sound transmission. This results in **stony dullness** on percussion and **diminished or absent breath sounds** over the area of effusion. * **C. Bronchial Asthma:** Primarily a disease of reversible airway narrowing. The hallmark auscultatory finding is a high-pitched, polyphonic **musical wheeze** (rhonchi) due to turbulent airflow through constricted bronchi. Crackles are not a typical feature unless there is secondary infection. **NEET-PG High-Yield Pearls:** * **Most common cause of Bronchiolitis:** Respiratory Syncytial Virus (RSV). * **Age group:** Typically affects children <2 years (peak age 3–6 months). * **Radiology:** Hyperinflation of lungs and flattened diaphragm are common findings. * **Management:** Primarily supportive (hydration and oxygenation). Routine use of bronchodilators or steroids is generally not recommended.
Upper Respiratory Tract Infections
Practice Questions
Lower Respiratory Tract Infections
Practice Questions
Asthma Management
Practice Questions
Cystic Fibrosis
Practice Questions
Bronchiolitis
Practice Questions
Foreign Body Aspiration
Practice Questions
Sleep-Disordered Breathing
Practice Questions
Congenital Lung Malformations
Practice Questions
Pleural Diseases
Practice Questions
Tuberculosis in Children
Practice Questions
Chronic Lung Disease in Premature Infants
Practice Questions
Pulmonary Function Testing
Practice Questions
Get full access to all questions, explanations, and performance tracking.
Start For Free