Which of the following is the most common cause of a posterior mediastinum mass in children?
A 5-year-old child presented with abdominal distension, pallor, easy bruising, and bone pain. Physical examination revealed hepatosplenomegaly and lymphadenopathy. The child was suspected to have a metabolic disorder, and a bone marrow biopsy was planned for histopathologic examination. Microscopic examination of the stained biopsy showed a distended phagocytic cell with fibrillary cytoplasm and an eccentrically placed nucleus. Periodic acid-Schiff (PAS) staining was intensely positive. Given this presentation, what is the primary management strategy for this condition?
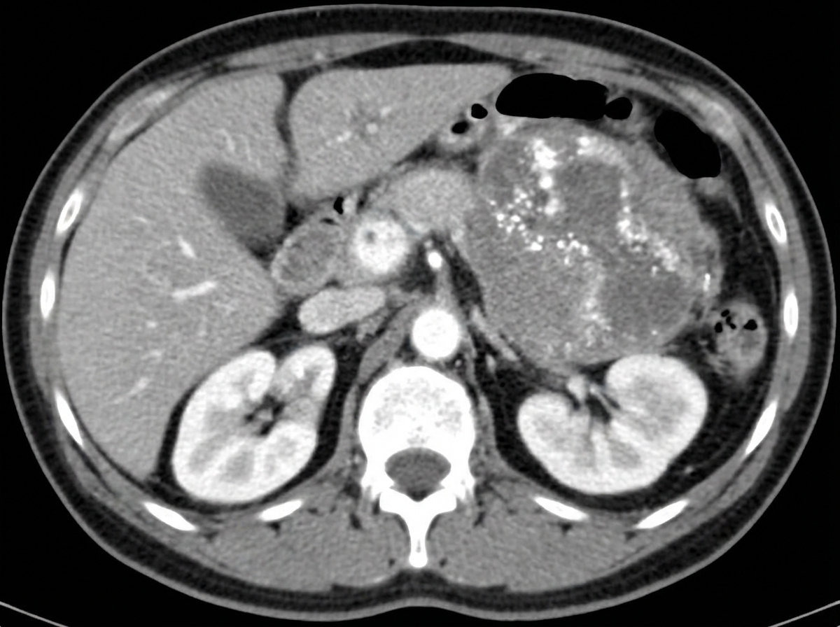
What is the most likely diagnosis?

A pediatrician discovers a large mass in the abdomen of a 3-year-old child. Ultrasound examination demonstrates that the mass appears to arise from the right kidney. Which of the following tumors is most likely present?
Which among the following is the most common thyroid malignancy in children?
Spontaneous regression can occur with which of the following conditions?
A child presents with proptosis, multiple skeletal limb secondaries, and sutural separation. What is the most likely diagnosis?
Which of the following malignancies is classified by the Chang staging system?
Which of the following is a poor prognostic indicator in ALL in children?
Blast cells of acute lymphocytic leukemia in childhood characteristically contain which of the following?
Explanation: ### Explanation **Neuroblastoma** is the correct answer because it is the most common extracranial solid tumor of childhood and the most frequent cause of a **posterior mediastinal mass** in children. These tumors arise from primordial neural crest cells of the sympathetic nervous system. In the thorax, they typically originate from the paravertebral sympathetic chain, which is anatomically located in the posterior mediastinum. **Analysis of Options:** * **Neuroblastoma (D):** Approximately 90% of pediatric mediastinal masses are neurogenic in origin, with Neuroblastoma, Ganglioneuroblastoma, and Ganglioneuroma being the primary types. * **Rhabdomyoma (A):** This is the most common primary cardiac tumor in children (often associated with Tuberous Sclerosis), not a primary mediastinal mass. * **Duplicated cyst of the esophagus (B):** While these occur in the middle or posterior mediastinum, they are much less common than neurogenic tumors. * **Thymoma (C):** This is a classic **anterior** mediastinal mass. While common in adults (often associated with Myasthenia Gravis), it is extremely rare in the pediatric population. **High-Yield Clinical Pearls for NEET-PG:** * **Mediastinal Compartments:** Remember the "4 T’s" for **Anterior** Mediastinum: **T**hymus (Thymoma/Hyperplasia), **T**errible Lymphoma, **T**eratoma (Germ cell tumors), and **T**hyroid. * **Neuroblastoma Markers:** Elevated urinary catecholamines (VMA/HVA) and N-myc amplification (poor prognostic factor). * **Imaging:** "Dumbbell-shaped" tumors extending into the spinal canal are characteristic of neurogenic tumors in the posterior mediastinum. * **Opsoclonus-Myoclonus Syndrome:** A high-yield paraneoplastic syndrome associated with Neuroblastoma ("Dancing eyes, dancing feet").
Explanation: **Explanation:** The clinical presentation of abdominal distension (hepatosplenomegaly), bone pain, and cytopenias (pallor, bruising) in a child, combined with the classic histopathology, points to **Gaucher Disease**, the most common lysosomal storage disorder. The "distended phagocytic cell with fibrillary cytoplasm" (often described as **"wrinkled tissue paper"** appearance) is the pathognomonic **Gaucher cell**. These are macrophages laden with glucocerebroside due to a deficiency of the enzyme **glucocerebrosidase**. The intense PAS positivity confirms the presence of complex carbohydrates/glycolipids. **Why the correct answer is right:** * **Option C (Enzyme Replacement Therapy - ERT):** This is the **gold standard** and primary management for Gaucher Disease Type 1 (the non-neuronopathic form). Recombinant enzymes (e.g., **Imiglucerase**) are administered intravenously to bypass the genetic defect, effectively reducing organomegaly and improving hematological parameters. **Why other options are incorrect:** * **Option A:** Hematopoietic stem cell transplantation (HSCT) is generally reserved for severe cases or those with neurological involvement (Type 2/3) where ERT is less effective, but it is not the first-line strategy. * **Option B:** Substrate Reduction Therapy (e.g., Miglustat) is an alternative for adults who cannot tolerate ERT, but it is not the primary treatment of choice in children. * **Option D:** Gene therapy is currently under investigation and is not yet the standard clinical management strategy. **NEET-PG High-Yield Pearls:** * **Enzyme Deficient:** Glucocerebrosidase (Acid β-glucosidase). * **Accumulated Substrate:** Glucocerebroside. * **Radiology:** Look for the **"Erlenmeyer flask deformity"** of the distal femur. * **Biomarker:** Elevated serum **Chitotriosidase** levels are used to monitor disease activity and response to therapy.
Explanation: ***Neuroblastoma*** - Classic **suprarenal location** with **calcifications** on imaging and ability to **cross the midline**, distinguishing it from other pediatric tumors. - Most common **extracranial solid tumor** in children, often presenting with **abdominal mass** and elevated **catecholamine metabolites** (VMA, HVA). *Histiocytosis X* - Typically presents with **lytic bone lesions**, **skin rashes**, and **pulmonary infiltrates** rather than solid abdominal masses. - More commonly affects **older children** and has characteristic **Langerhans cells** with **Birbeck granules** on histology. *Rhabdomyosarcoma* - Usually arises from **soft tissues** like head/neck, genitourinary tract, or extremities, not typically suprarenal. - Imaging shows **heterogeneous soft tissue mass** without the characteristic **calcifications** seen in neuroblastoma. *Wilms tumor* - Arises from **renal parenchyma** itself, appearing as a **well-circumscribed intrarenal mass** that **does not cross midline**. - Typically shows **less calcification** and **cystic components** compared to neuroblastoma's solid, calcified appearance.
Explanation: **Explanation:** **Nephroblastoma (Wilms Tumor)** is the most common primary renal malignancy in children, typically presenting between **2 and 5 years of age**. The classic clinical presentation is a large, smooth, firm, and asymptomatic abdominal mass that rarely crosses the midline. It arises from embryonic nephrogenic rests. In the context of a 3-year-old with a renal mass, Wilms tumor is the "must-know" diagnosis for NEET-PG. **Analysis of Incorrect Options:** * **A. Cortical adenoma:** These are small, benign epithelial tumors often found incidentally in adults. They are extremely rare in the pediatric population. * **B. Hemangioma:** While vascular tumors can occur in various organs, primary renal hemangiomas are rare and do not typically present as a large, solid abdominal mass in a toddler. * **D. Oncocytoma:** This is a benign renal epithelial tumor that occurs almost exclusively in older adults (6th–7th decade). It is virtually unheard of in a 3-year-old. **High-Yield Clinical Pearls for NEET-PG:** * **WAGR Syndrome:** Wilms tumor, Aniridia, Genitourinary anomalies, and intellectual disability (formerly Retardation). Associated with **WT1 gene** deletion on Chromosome 11p13. * **Beckwith-Wiedemann Syndrome:** Macroglossia, organomegaly, and hemihypertrophy; associated with **WT2 gene** on Chromosome 11p15. * **Histology:** Characterized by a **triphasic pattern** (blastemal, stromal, and epithelial cells). * **Management Tip:** Avoid vigorous palpation of the abdomen to prevent rupture of the tumor capsule and subsequent peritoneal seeding.
Explanation: **Explanation:** **1. Why Papillary Carcinoma is Correct:** Papillary Thyroid Carcinoma (PTC) is the most common pediatric thyroid malignancy, accounting for approximately **80–90%** of all cases. In children, it often presents as a painless, firm thyroid nodule or cervical lymphadenopathy. A key medical concept for NEET-PG is that while PTC in children is often more aggressive at presentation (higher rates of lymph node and pulmonary metastasis) compared to adults, the overall **prognosis remains excellent** with high survival rates. **2. Why the Other Options are Incorrect:** * **Follicular Carcinoma:** This is the second most common type but is significantly less frequent than PTC in the pediatric population. It typically spreads hematogenously (to bones/lungs) rather than via lymphatics. * **Medullary Carcinoma:** This arises from parafollicular C-cells. While rare, in children it is almost always associated with genetic syndromes like **MEN 2A or 2B**. * **Thyroid Lymphoma:** Extremely rare in children; it is more commonly seen in elderly patients, often arising in the background of Hashimoto’s thyroiditis. **3. Clinical Pearls for NEET-PG:** * **Risk Factor:** Prior **ionizing radiation** exposure to the head and neck is the most significant risk factor for pediatric PTC (e.g., survivors of childhood Hodgkin lymphoma). * **Histology:** Look for **Orphan Annie eye nuclei** (cleared-out chromatin) and **Psammoma bodies** (laminated calcifications). * **Genetics:** *RET/PTC* rearrangements are common in pediatric papillary carcinoma, whereas *BRAF* mutations are more frequent in adults. * **Management:** Total thyroidectomy followed by Radioactive Iodine (RAI) ablation is the standard of care.
Explanation: **Explanation:** The correct answer is **Strawberry angioma** (also known as Infantile Hemangioma). **1. Why Strawberry Angioma is correct:** Strawberry angiomas are the most common benign tumors of infancy. They follow a classic triphasic clinical course: * **Proliferation Phase:** Rapid growth during the first 6–12 months of life. * **Quiescent Phase:** Growth stabilizes. * **Involution Phase:** **Spontaneous regression** occurs over several years. A useful clinical "rule of thumb" is that 50% resolve by age 5, 70% by age 7, and 90% by age 9. Because of this natural history, most cases require only observation ("masterly inactivity") unless they obstruct vision or the airway. **2. Why the other options are incorrect:** * **Cavernous hemangioma:** Unlike strawberry angiomas (which are capillary), cavernous hemangiomas involve deeper, larger vascular channels. They are usually permanent and **do not undergo spontaneous regression**; they may even enlarge over time. * **Nevus flammeus (Port-wine stain):** This is a capillary malformation present at birth. It is **permanent** and does not regress. In fact, it tends to grow proportionately with the child, may darken (to a deep purple), and can become thickened or nodular in adulthood. **Clinical Pearls for NEET-PG:** * **Kasabach-Merritt Syndrome:** A high-yield complication where a rapidly growing vascular tumor (usually tufted angioma or kaposiform hemangioendothelioma) causes consumptive coagulopathy and thrombocytopenia. * **PHACE Syndrome:** Associated with large facial infantile hemangiomas (Posterior fossa malformations, Hemangiomas, Arterial anomalies, Cardiac defects, Eye anomalies). * **Treatment:** If treatment is required (e.g., for visual obstruction), **Propranolol** (oral beta-blocker) is now the first-line medical therapy, replacing systemic corticosteroids.
Explanation: **Explanation:** The clinical triad of **proptosis**, **skeletal limb secondaries**, and **sutural separation** in a pediatric patient is a classic presentation of metastatic **Neuroblastoma** (Stage M). 1. **Why Neuroblastoma is correct:** Neuroblastoma is the most common extracranial solid tumor of childhood, arising from neural crest cells. It has a high propensity for hematogenous spread to the bone and bone marrow. * **Proptosis:** Metastasis to the retro-orbital bones leads to "raccoon eyes" (periorbital ecchymosis) and proptosis. * **Skeletal Secondaries:** It frequently involves the long bones, causing pain and limping. * **Sutural Separation:** Metastasis to the skull bones and meninges increases intracranial pressure, which, in a child with open or non-fused sutures, leads to sutural diastasis (separation). 2. **Why other options are incorrect:** * **Medulloblastoma:** This is a primary CNS tumor of the posterior fossa. While it can spread via CSF (drop metastasis), systemic bony metastasis and proptosis are extremely rare. * **Retinoblastoma:** While it causes leukocoria (white reflex) and can cause proptosis if it invades the orbit locally, it does not typically present with widespread skeletal limb secondaries and sutural separation as the primary systemic feature. **Clinical Pearls for NEET-PG:** * **Most common site:** Adrenal medulla. * **Tumor Marker:** Elevated urinary VMA (Vanillylmandelic acid) and HVA (Homovanillic acid). * **Histology:** Homer-Wright rosettes. * **Opsoclonus-Myoclonus Syndrome:** A high-yield paraneoplastic syndrome associated with neuroblastoma ("dancing eyes, dancing feet"). * **N-myc amplification:** The most important poor prognostic factor.
Explanation: **Explanation:** **Medulloblastoma** is the most common malignant brain tumor in children, arising from the embryonal cells in the posterior fossa. The **Chang Staging System** is the classic classification used to stage this tumor based on two parameters: 1. **T (Tumor) Stage:** Based on the size and local invasiveness of the primary tumor (T1 to T4). 2. **M (Metastasis) Stage:** Based on the presence of cerebrospinal fluid (CSF) seeding or extraneural spread (M0 to M4). *Note: M1 indicates microscopic tumor cells in CSF, while M2/M3 indicate gross nodular seeding in the brain or spine.* **Why the other options are incorrect:** * **Retinoblastoma:** Primarily staged using the **International Classification of Retinoblastoma (ICRB)** for intraocular disease and the **Reese-Ellsworth** system (historically used for predicting vision preservation). * **Rhabdomyosarcoma:** Utilizes the **IRS (Intergroup Rhabdomyosarcoma Study)** grouping system, which is based on the extent of surgical resection, combined with a TNM-based clinical staging system. * **Ewing's Sarcoma:** Does not have a specific named staging system like Chang; it is generally classified as **Localized** or **Metastatic** based on imaging and biopsy. **High-Yield Clinical Pearls for NEET-PG:** * **Homer-Wright Rosettes:** A classic histopathological finding in Medulloblastoma (also seen in Neuroblastoma). * **Drop Metastasis:** Medulloblastoma is notorious for spreading via CSF to the spinal cord; hence, "craniospinal axis" imaging is mandatory. * **Molecular Subgroups:** Modern classification now includes four groups: **WNT** (best prognosis), **SHH**, **Group 3** (worst prognosis), and **Group 4**. * **Zuckerkandl's criteria** is sometimes confused with staging, but it refers to the location of extra-adrenal pheochromocytoma.
Explanation: In Acute Lymphoblastic Leukemia (ALL), prognosis is determined by several clinical and biological factors. **Explanation of the Correct Answer:** **Age** is a critical independent prognostic factor. The "favorable" age group is **1 to 9 years**. * **Infants (<1 year):** Often associated with *KMT2A (MLL)* gene rearrangements and have a very poor prognosis. * **Adolescents and Older Children (≥10 years):** Tend to have a higher incidence of T-cell ALL and unfavorable cytogenetics (like Philadelphia chromosome), leading to a poorer prognosis compared to the 1–9 age group. **Analysis of Incorrect Options:** * **TLC 4000-10,000:** This is a normal Total Leukocyte Count. In ALL, a **high TLC (>50,000/µL)** at presentation is a poor prognostic indicator. A low or normal count is generally considered a favorable feature. * **Presence of testicular involvement:** While Extramedullary Disease (EMD) like CNS or testicular involvement requires specific management (e.g., radiation or intensified chemo), it is **not** considered a primary poor prognostic indicator in modern risk stratification compared to age and initial TLC. * **Presence of blasts in peripheral smear:** This is a diagnostic feature of leukemia, not a prognostic one. The *clearance* of these blasts (Minimal Residual Disease - MRD) after induction therapy is a prognostic marker, but their mere presence at diagnosis is expected. **High-Yield Clinical Pearls for NEET-PG:** * **Best Prognostic Factor:** Rapid response to initial therapy (MRD negativity by day 28). * **Favorable Cytogenetics:** Hyperdiploidy (>50 chromosomes), t(12;21) *ETV6-RUNX1*. * **Unfavorable Cytogenetics:** Hypodiploidy (<44 chromosomes), t(9;22) *BCR-ABL1* (Philadelphia +ve), t(4;11). * **Immunophenotype:** Early Pre-B cell ALL has a better prognosis than T-cell ALL or Mature B-cell ALL.
Explanation: **Explanation:** **Acute Lymphoblastic Leukemia (ALL)** is the most common childhood malignancy. The diagnosis and classification of ALL rely heavily on immunophenotyping of the blast cells. **Why CALLA is the correct answer:** The **Common Acute Lymphoblastic Leukemia Antigen (CALLA)**, also known as **CD10**, is a cell surface neutral endopeptidase. It is the most characteristic marker for the most common subtype of childhood ALL (Pre-B cell ALL). Approximately 70-80% of childhood ALL cases are "CALLA positive." Its presence is a significant diagnostic marker and was historically associated with a better prognosis compared to CALLA-negative cases. **Analysis of Incorrect Options:** * **A. Surface antigens:** While blast cells do possess surface antigens (like CD19, CD20, or CD3), this is a generic term. The question asks for a *characteristic* feature; CALLA (CD10) is the specific, high-yield antigen associated with the "common" type of ALL. * **C. Antibodies to white blood cells:** Blast cells do not contain or produce antibodies against other WBCs. This is not a feature of leukemogenesis. * **D. Thrombocytopenia:** While thrombocytopenia is a common *clinical finding* in ALL due to bone marrow infiltration (crowding out), it is a systemic hematological consequence, not a component *contained within* the blast cells themselves. **NEET-PG High-Yield Pearls:** * **Most common subtype:** L1 (FAB classification) is the most common in children; L2 is more common in adults. * **Immunophenotype:** B-cell ALL (CD19, CD20, CD10/CALLA) is more common than T-cell ALL (CD2, CD3, CD5, CD7). * **Good Prognosis Markers:** Age 1–9 years, low initial WBC count (<50,000), hyperdiploidy (>50 chromosomes), and the **t(12;21)** translocation. * **Poor Prognosis Markers:** Age <1 or >10 years, high WBC count, and the **t(9;22)** Philadelphia chromosome.
Leukemias
Practice Questions
Lymphomas
Practice Questions
CNS Tumors
Practice Questions
Neuroblastoma
Practice Questions
Wilms Tumor
Practice Questions
Rhabdomyosarcoma
Practice Questions
Bone Tumors
Practice Questions
Retinoblastoma
Practice Questions
Histiocytosis Syndromes
Practice Questions
Principles of Pediatric Chemotherapy
Practice Questions
Hematopoietic Stem Cell Transplantation
Practice Questions
Late Effects of Cancer Treatment
Practice Questions
Get full access to all questions, explanations, and performance tracking.
Start For Free