Which of the following is a predisposing factor for leukemia?
Which of the following is NOT true about Hodgkin's lymphoma?
A 8-year-old boy presents with headache, a supracellar mass, and bilateral hemianopia. The MRI scan of his head is shown. What is the diagnosis?
All of the following are good prognostic factors for childhood Acute Lymphoblastic Leukemia, except?
All of the following are good prognostic factors for childhood Acute Lymphoblastic Leukemia, except?
Which chromosome is involved in Wilm's tumor?
Which of the following are true about nephroblastoma except:
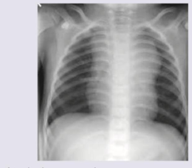
A 2-year-old boy presents with cough and breathlessness for last one month. On examination pallor is present and enlarged liver is palpable 3 cm below costal margin. CXR shows?

A 4-year-old child with rapidly growing swelling of left eye with loss of vision over last 4 weeks. On examination hepatosplenomegaly is noted. CBC shows anemia, hyperleukocytosis with low platelets. Bone marrow aspiration was performed. Diagnosis is?
An 8-year-old girl presents with swelling over right anterior chest wall. Which is the correct diagnosis?

Explanation: **Explanation:** **1. Why Down Syndrome is Correct:** Down syndrome (Trisomy 21) is the most common chromosomal disorder associated with an increased risk of leukemia. Children with Down syndrome have a **10 to 20-fold increased risk** of developing acute leukemia compared to the general population. * **Neonatal period:** They are uniquely predisposed to **Transient Myeloproliferative Disorder (TMD)** or Transient Abnormal Myelopoiesis. * **Under 3 years:** There is a specific predilection for **Acute Myeloid Leukemia (AML)**, particularly the **M7 subtype (Acute Megakaryoblastic Leukemia)**, often involving GATA1 mutations. * **Over 3 years:** **Acute Lymphoblastic Leukemia (ALL)** becomes more common, similar to the general pediatric population, though the overall risk remains elevated. **2. Why Incorrect Options are Wrong:** * **Lowe’s Syndrome (Oculocerebrorenal syndrome):** An X-linked recessive disorder characterized by hydrophthalmos (glaucoma), cataracts, intellectual disability, and renal Fanconi syndrome. It is not associated with a predisposition to malignancy. * **Fragile-X Syndrome:** The most common cause of inherited intellectual disability (due to CGG repeats in the FMR1 gene). While it presents with macro-orchidism and distinct facial features, it does not increase the risk of leukemia. **3. High-Yield Clinical Pearls for NEET-PG:** * **Other Genetic Predispositions:** Fanconi Anemia, Bloom Syndrome, Ataxia-Telangiectasia, and Li-Fraumeni Syndrome are also high-yield associations with leukemia. * **Prognosis:** Interestingly, children with Down syndrome and AML-M7 often have a **better response to chemotherapy** (specifically Cytarabine) compared to non-Down syndrome patients. * **TMD:** Most cases of Transient Myeloproliferative Disorder in Down syndrome resolve spontaneously but carry a risk of developing true AML later.
Explanation: **Explanation:** Hodgkin’s Lymphoma (HL) is a lymphoid malignancy characterized by the presence of Reed-Sternberg cells. Understanding its clinical behavior is crucial for NEET-PG. **Why Option B is the Correct Answer (The False Statement):** Hepatomegaly is **not** always present in Hodgkin’s Lymphoma. While extranodal involvement (liver, bone marrow, or lungs) can occur, it typically signifies advanced stage disease (Stage IV). In pediatric and adult cases, the most common presentation is painless, firm lymphadenopathy, usually in the cervical or supraclavicular regions. Systemic "B symptoms" (fever, night sweats, weight loss) occur in only about 30% of patients. **Analysis of Other Options:** * **Option A:** HL is characteristically **localized** to a single axial group of nodes (e.g., cervical, mediastinal, or para-aortic) in its early stages, unlike Non-Hodgkin Lymphoma (NHL), which is often widespread at diagnosis. * **Option C:** A hallmark of HL is its **orderly, contiguous spread** along adjacent lymph node chains. This predictability allows for targeted radiation fields. * **Option D:** HL is highly treatable. Even in advanced stages, it can be **cured** using multi-agent chemotherapy (e.g., ABVD or OEPA/COPP protocols) and low-dose involved-field radiotherapy. **Clinical Pearls for NEET-PG:** * **Bimodal Age Distribution:** Peaks at 15–35 years and again after 50 years. * **Reed-Sternberg (RS) Cells:** Described as "Owl’s eye" appearance; typically CD15+ and CD30+ (except in Nodular Lymphocyte Predominant type). * **Most Common Subtype:** Nodular Sclerosis (especially in adolescents/females). * **Best Prognosis:** Lymphocyte Predominant. * **Worst Prognosis:** Lymphocyte Depleted.
Explanation: ### **Explanation** **Diagnosis: Craniopharyngioma** **1. Why the Correct Answer is Right:** Craniopharyngiomas are the most common suprasellar tumors in children. They arise from remnants of **Rathke’s pouch**. The classic presentation involves a triad of: * **Visual Disturbances:** Compression of the optic chiasm leads to **bitemporal hemianopia**. * **Endocrine Dysfunction:** Growth hormone deficiency (short stature) or diabetes insipidus due to hypothalamic-pituitary axis compression. * **Increased Intracranial Pressure:** Headaches and vomiting. On imaging (MRI/CT), these tumors are characteristically **"90% tumors"**: 90% are cystic, 90% show calcification (especially the Adamantinomatous type seen in children), and 90% enhance with contrast. **2. Why the Other Options are Wrong:** * **Pituitary Apoplexy:** This is an acute clinical emergency caused by hemorrhage or infarction of the pituitary gland. It presents with sudden "thunderclap" headache and ophthalmoplegia, rather than the chronic progression seen in this child. * **Nasopharyngeal Fibroma:** This is a benign but aggressive vascular tumor found in the nasopharynx of adolescent males. It presents with recurrent epistaxis and nasal obstruction, not suprasellar neurological signs. * **Hypothalamic Glioma:** While located in the same region, these are typically solid tumors and less likely to show the heavy calcification or cystic components characteristic of craniopharyngiomas. **3. NEET-PG High-Yield Pearls:** * **Bimodal Age Distribution:** Peaks at 5–14 years and 50–75 years. * **Histology:** Two types—**Adamantinomatous** (children; "machine oil" fluid, calcification, wet keratin) and **Papillary** (adults; solid, lacks calcification). * **Imaging Hallmark:** Suprasellar calcification on CT is the most specific diagnostic clue in a pediatric patient. * **Management:** Surgical resection is the primary treatment, often followed by radiotherapy.
Explanation: This question tests your knowledge of prognostic markers in childhood Acute Lymphoblastic Leukemia (ALL). While the options provided contain several favorable factors, the question asks to identify the "exception." However, there is a critical nuance in pediatric oncology: **t(12;21) is actually a very good prognostic factor.** If this question appears in an exam where t(12;21) is marked as the "exception," it is likely due to a comparison of relative risk or a specific classification system (like NCI criteria). ### Explanation of Options: * **t(12;21) [TEL-AML1 / ETV6-RUNX1]:** This is the most common chromosomal translocation in childhood B-ALL. It is associated with an **excellent prognosis** and high cure rates. If the key marks this as the "except," it contradicts standard pediatric literature (Nelson Pediatrics), where it is a hallmark of favorable outcome. * **Hyperdiploidy (>50 chromosomes):** This is a classic **good prognostic factor**. These patients are highly sensitive to chemotherapy (especially methotrexate and steroids). * **Female Sex:** Historically, girls have a **better prognosis** than boys. Boys have a higher risk of late relapses, partly due to the testes acting as a pharmacological sanctuary site. * **Pre-B Cell ALL:** Common ALL (Early Pre-B) generally carries a **better prognosis** compared to T-cell ALL or mature B-cell (Burkitt-type) ALL. ### High-Yield Clinical Pearls for NEET-PG: | **Good Prognosis** | **Poor Prognosis** | | :--- | :--- | | Age: 1–9 years | Age: <1 year or >10 years | | WBC count: <50,000/µL | WBC count: >50,000/µL | | Genetics: Hyperdiploidy, t(12;21) | Genetics: Hypodiploidy, t(9;22) [Philadelphia+], t(4;11) | | Response: Rapid early response (Day 7/14) | Response: Slow response / Minimal Residual Disease (MRD) | **Note for Aspirants:** In standard textbooks, all four options listed are favorable. If forced to choose an "exception" in a clinical scenario, always prioritize **Age** and **WBC count** as the most significant initial predictors.
Explanation: In childhood Acute Lymphoblastic Leukemia (ALL), prognosis is determined by age, initial white blood cell (WBC) count, cytogenetics, and immunophenotype. ### **Analysis of Options** * **t(12;21) translocation (Correct Answer):** This translocation results in the *TEL-AML1* (ETV6-RUNX1) fusion gene. It is actually the **most common** genetic abnormality in childhood B-ALL and is associated with an **excellent prognosis**. The question asks for the "except" factor; however, in standard pediatric oncology, t(12;21) is a **good** prognostic factor. * *Note for NEET-PG:* If this question appears as "Except," it is often a "controversial" or "recall error" question. However, strictly speaking, all options listed (A, B, C, and D) are generally considered **good** prognostic factors. If forced to choose the "least good" or if the question intended to list a poor factor (like t(9;22)), t(12;21) remains clinically favorable. * **Hyperdiploidy (Incorrect):** Defined as >50 chromosomes per cell. This is a classic **good** prognostic factor. * **Female Sex (Incorrect):** Historically, girls have a slightly better prognosis than boys, partly due to the absence of the risk of testicular relapse. * **Pre-B cell ALL (Incorrect):** Common (Early) B-lineage ALL has a significantly better prognosis compared to T-cell ALL or mature B-cell (Burkitt) leukemia. ### **High-Yield Clinical Pearls for NEET-PG** | **Good Prognosis** | **Poor Prognosis** | | :--- | :--- | | Age: 1–9 years | Age: <1 year or >10 years | | WBC: <50,000/µL | WBC: >50,000/µL | | Cytogenetics: **Hyperdiploidy, t(12;21)** | Cytogenetics: **t(9;22) [Philadelphia+], t(4;11)** | | Response: Rapid clearance of blasts | Response: Slow response to induction | | Sex: Female | Sex: Male |
Explanation: **Explanation:** **Wilms Tumor (Nephroblastoma)** is the most common primary renal malignancy in children. The correct answer is **Chromosome 11** because the pathogenesis of Wilms tumor is primarily linked to mutations or deletions in tumor suppressor genes located on this chromosome. * **WT1 Gene (11p13):** Associated with WAGR syndrome and Denys-Drash syndrome. * **WT2 Gene (11p15):** Associated with Beckwith-Wiedemann syndrome. **Analysis of Incorrect Options:** * **Option B (Chromosome 13):** This is the location of the **RB1 gene**. Mutations here are associated with **Retinoblastoma** and Osteosarcoma. * **Option C (Chromosome 18):** Associated with **Edwards Syndrome** (Trisomy 18). While children with certain trisomies have increased cancer risks, it is not the primary locus for Wilms tumor. * **Option D (Chromosome 22):** This is the location of the **NF2 gene** (Neurofibromatosis type 2) and the **SMARCB1 gene** (associated with Malignant Rhabdoid Tumor of the kidney, which is a distinct entity from Wilms tumor). **High-Yield Clinical Pearls for NEET-PG:** 1. **WAGR Syndrome:** **W**ilms tumor, **A**niridia, **G**enitourinary anomalies, and mental **R**etardation (Deletion of 11p13). 2. **Beckwith-Wiedemann Syndrome:** Macroglossia, Organomegaly, Hemi-hypertrophy, and Omphalocele (11p15). 3. **Classic Presentation:** A painless, palpable abdominal mass in a child (usually 2–5 years old) that **does not cross the midline** (unlike Neuroblastoma). 4. **Histology:** Characterized by a **triphasic pattern** (blastemal, stromal, and epithelial cells). 5. **Most common site of metastasis:** Lungs ("Cannon-ball" appearance on X-ray).
Explanation: ***Correct Answer: Treatment is chemotherapy followed by surgery*** This is the **INCORRECT** statement (which makes it the correct answer for this EXCEPT question): - In **COG (Children's Oncology Group) protocol** used in India and US: **Primary treatment is upfront nephrectomy** (surgery first) followed by chemotherapy - SIOP protocol uses preoperative chemotherapy, but this is NOT the standard approach in India/FMGE context - **Surgery-first approach** allows for accurate staging and immediate tumor removal *Incorrect: Most common intra abdominal malignancy in children* - This is **TRUE** - Nephroblastoma (Wilms tumor) is indeed the most common intra-abdominal malignancy in children (peak age 3-4 years) *Incorrect: Early lung mets* - This is **TRUE** - Wilms tumor has propensity for **early hematogenous spread to lungs** - Lungs are the most common site of metastasis - Chest X-ray/CT is mandatory for staging *Incorrect: Hematogenous spread* - This is **TRUE** - Wilms tumor spreads via **hematogenous route** to lungs (most common), liver, and other sites - Unlike neuroblastoma which can spread lymphatically
Explanation: ***Mediastinal lymphadenopathy*** - The CXR shows evidence of **significant widening of the mediastinum**, particularly in the hilar and paratracheal regions, consistent with enlarged lymph nodes. - In a 2-year-old with chronic cough, breathlessness, pallor, and hepatomegaly, a likely underlying cause could be a condition leading to extensive lymphadenopathy, such as **tuberculosis** or **lymphoma**, which can present with these findings. *Atypical pneumonia* - Atypical pneumonia typically presents with **interstitial infiltrates**, not prominent mediastinal widening. - While it can cause cough and breathlessness, it does not usually explain the **pallor** or **hepatomegaly** observed in this patient. *Pneumonia* - Typical bacterial pneumonia usually manifests as **lobar or segmental consolidation** on CXR, which is not seen here. - Although it causes cough and breathlessness, **hepatomegaly** and **pallor** are not primary features of uncomplicated pneumonia. *Mediastinal fibrosis* - Mediastinal fibrosis is a rare condition that involves diffuse scarring of the mediastinal contents, leading to **narrowing of airways or blood vessels**. - It would typically appear as a more **dense, irregular mass** or diffuse haziness with potential calcifications, often resulting in symptoms related to compression, rather than discrete, enlarged lymph node structures.
Explanation: ***Chloroma*** - A rapidly growing orbital mass (often presenting as **proptosis** or periocular swelling) in a child, coupled with **hepatosplenomegaly** and CBC abnormalities (anemia, hyperleukocytosis, thrombocytopenia), are classic features of **acute myeloid leukemia** (AML) presenting as a chloroma. - A chloroma (also known as a **granulocytic sarcoma**) is an extramedullary manifestation of AML, consisting of leukemic cells infiltrating a tissue or organ, which can include the orbit. *Wilms tumor* - This is a common **kidney tumor** in children, typically presenting as an abdominal mass and sometimes hypertension or hematuria. - It does not typically present with orbital swelling or the described hematological abnormalities. *Hepatoblastoma* - This is the most common primary **malignant liver tumor** in children, presenting as an abdominal mass, elevated alpha-fetoprotein, and sometimes precocious puberty. - It does not cause orbital masses or the characteristic bone marrow findings of leukemia. *Non Hodgkin lymphoma* - While pediatric NHL can present with extranodal disease, including orbital involvement, the specific combination of rapidly growing orbital mass, prominent hepatosplenomegaly, and the **hyperleukocytosis with low platelets** usually points more strongly to an acute leukemia with extramedullary involvement, especially given a bone marrow aspiration would be performed to confirm. - In NHL, the bone marrow might be involved, but hyperleukocytosis with a severely deranged blood count (as seen in acute leukemia) is less characteristic as an initial presentation.
Explanation: ***Rhabdomyosarcoma*** - This is a highly malignant tumor originating from **mesenchymal cells** that are committed to skeletal muscle differentiation. It is the **most common soft tissue sarcoma in children**, often presenting as a rapidly growing mass in areas like the head and neck, genitourinary tract, or extremities, but can also occur on the chest wall. - The imaging, particularly the CT scan showing a large, irregularly shaped mass on the anterior chest wall in an 8-year-old, is highly suggestive of a **malignant soft tissue tumor**, with rhabdomyosarcoma being the most probable given the age and presentation. *Fibroadenoma* - This is a **benign tumor of the breast**, typically occurring in adolescent and young adult women. - It is **rare in prepubertal girls** and would be located within breast tissue, not as a superficial chest wall mass as depicted in the image. *Lipoma* - A lipoma is a **benign fatty tumor** that usually presents as a soft, mobile, non-tender subcutaneous mass. - While it can occur on the chest wall, the presented mass appears relatively firm and infiltrative on imaging, and **lipomas are less common in young children** as the cause of such a prominent, rapidly growing anterior chest wall swelling. *Cystosarcoma Phyllodes* - Also known as a **phyllodes tumor**, this is a rare fibroepithelial tumor of the breast, typically found in women between 30 and 50 years of age. - Like fibroadenomas, these tumors are located within the breast and are **extremely rare in children**, making it an unlikely diagnosis for an 8-year-old girl with a chest wall mass.
Leukemias
Practice Questions
Lymphomas
Practice Questions
CNS Tumors
Practice Questions
Neuroblastoma
Practice Questions
Wilms Tumor
Practice Questions
Rhabdomyosarcoma
Practice Questions
Bone Tumors
Practice Questions
Retinoblastoma
Practice Questions
Histiocytosis Syndromes
Practice Questions
Principles of Pediatric Chemotherapy
Practice Questions
Hematopoietic Stem Cell Transplantation
Practice Questions
Late Effects of Cancer Treatment
Practice Questions
Get full access to all questions, explanations, and performance tracking.
Start For Free