What is the most common malignant neoplasm of infancy?
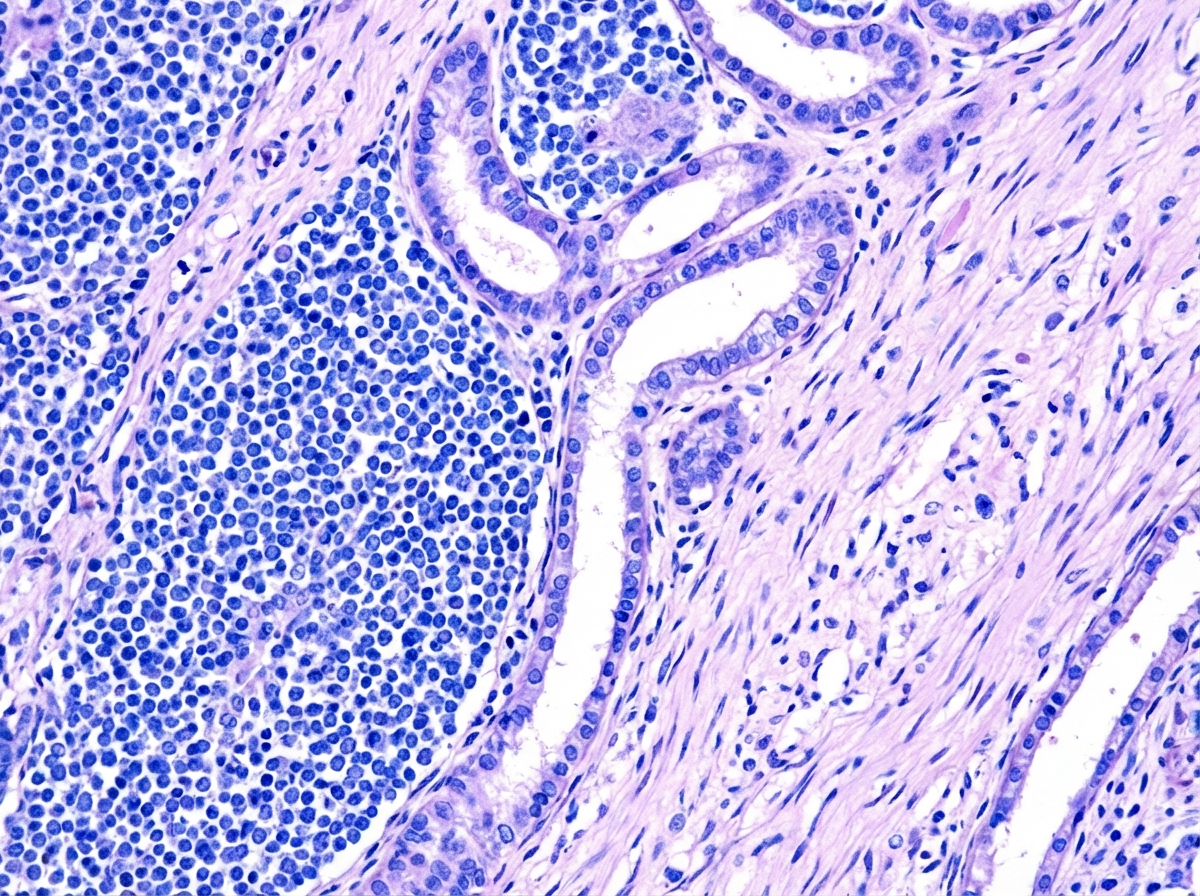
A 4-year-old child presented with a palpable, painless, and slowly increasing abdominal mass in the right flank region, accompanied by episodes of fever and hematuria. Examination revealed hypertension. Following a CT scan of the abdomen, the patient underwent surgical resection of the mass. The gross specimen and histopathological examination are provided. Which of the following drugs is NOT approved for the management of this condition?

WAGR syndrome includes all except?
What is the most common malignancy of the liver in children?
Wilms' tumour is associated with all of the following except?
What is the most common tumor in the posterior fossa of the head in a child presenting with signs of increased intracranial tension and imaging showing a brain growth?
Which of the following is the most common tumor of the fetus and newborn?
What is the most common tumor of the kidney in children?
Which of the following is NOT considered a good prognostic factor for childhood ALL?
Wilms tumor is associated with the following conditions, except?
Explanation: **Explanation:** **Neuroblastoma** is the most common extracranial solid tumor of childhood and the **most common malignant neoplasm of infancy** (defined as children <1 year of age). It originates from primordial neural crest cells of the sympathetic nervous system, most commonly occurring in the adrenal medulla. Its high incidence in infancy is attributed to its embryonal nature; in fact, many cases are congenital or detected during prenatal screening. **Analysis of Incorrect Options:** * **Malignant Teratoma:** While teratomas are the most common germ cell tumors in neonates (specifically Sacrococcygeal teratoma), the majority are benign at birth. They do not surpass neuroblastoma in overall malignant frequency during infancy. * **Wilms’ Tumor (Nephroblastoma):** This is the most common primary renal tumor in children, but its peak incidence occurs between **2 to 5 years** of age. It is relatively rare in the first year of life. * **Hepatoblastoma:** This is the most common liver malignancy in children, but it is significantly less common overall than neuroblastoma. **High-Yield Clinical Pearls for NEET-PG:** * **Median age of diagnosis:** 19 months (but it remains the #1 malignancy in the <1-year age group). * **Clinical Feature:** Often presents as a hard, irregular abdominal mass that **crosses the midline** (unlike Wilms’ tumor, which usually does not). * **Opsoclonus-Myoclonus Syndrome:** A classic paraneoplastic syndrome associated with neuroblastoma ("dancing eyes, dancing feet"). * **Biomarker:** Elevated urinary catecholamines (VMA and HVA) are found in 90% of cases. * **Prognosis:** Age is a major prognostic factor; infants (<18 months) generally have a much better prognosis, including the possibility of spontaneous regression (Stage 4S).
Explanation: ***Bleomycin*** - **Bleomycin** is NOT part of standard **Wilms' tumor** chemotherapy protocols (NWTS/COG regimens). - It is primarily used for **germ cell tumors** and **lymphomas**, not for **nephroblastoma**. *Doxorubicin* - **Doxorubicin** is a key component of **intermediate** and **high-risk** Wilms' tumor treatment protocols. - It is used in combination with other agents for **stage III-V** disease or **unfavorable histology**. *Dactinomycin* - **Dactinomycin** is a cornerstone drug in **all risk groups** of Wilms' tumor treatment. - It is part of the **standard two-drug regimen** along with vincristine for **favorable histology** cases. *Vincristine* - **Vincristine** is universally used in **all Wilms' tumor protocols** regardless of stage or histology. - It forms the **backbone** of treatment, often combined with dactinomycin in **low-risk** cases.
Explanation: **Explanation:** WAGR syndrome is a rare genetic contiguous gene deletion syndrome caused by the microdeletion of chromosome **11p13**. This specific region contains the **WT1** (Wilms Tumor 1) gene and the **PAX6** gene, which are responsible for the clinical manifestations of the syndrome. The acronym **WAGR** stands for: * **W – Wilms tumor:** Approximately 45-50% of affected children develop this nephroblastoma. * **A – Aniridia:** The absence of the iris (due to *PAX6* deletion), often the first sign noted at birth. * **G – Genitourinary anomalies:** Including cryptorchidism, hypospadias, or ambiguous genitalia. * **R – Range of developmental delays:** Formerly referred to as Mental Retardation. **Why Option C is correct:** **Anorectal malformations** are not a component of WAGR syndrome. They are more commonly associated with the **VACTERL** association (Vertebral, Anal atresia, Cardiac, Tracheo-Esophageal, Renal, Limb defects) or Currarino syndrome. **Why other options are incorrect:** * **Wilms tumor (A):** A core component; these patients require frequent renal ultrasounds for early screening. * **Mental Retardation (B):** Now termed intellectual disability, it is a classic feature of the syndrome. * **Genital anomalies (D):** These occur due to the involvement of the *WT1* gene, which is essential for normal urogenital development. **High-Yield Clinical Pearls for NEET-PG:** * **Genetics:** Microdeletion of **11p13**. * **WAGRO Syndrome:** If the deletion extends to include the *BDNF* gene, patients also present with **O**besity. * **Denys-Drash Syndrome:** Another *WT1* related disorder characterized by Wilms tumor, pseudohermaphroditism, and early-onset nephrotic syndrome (diffuse mesangial sclerosis). * **Beckwith-Wiedemann Syndrome:** Associated with Wilms tumor but involves chromosome **11p15** (WT2).
Explanation: **Explanation:** **Hepatoblastoma** is the most common primary liver malignancy in children, accounting for approximately 50% of all pediatric liver tumors. It typically presents in infants and toddlers, with the majority of cases diagnosed before the age of 3 years. The tumor originates from primitive epithelial cells (blasts) and is strongly associated with prematurity, low birth weight, and genetic syndromes like **Beckwith-Wiedemann Syndrome** and **Familial Adenomatous Polyposis (FAP)**. **Analysis of Options:** * **Hepatocellular Carcinoma (HCC):** While it is the most common primary liver cancer in adults, it is the second most common in children. It usually occurs in older children (10–15 years) and is often associated with underlying chronic liver diseases like Hepatitis B or Tyrosinemia. * **Lymphoma:** While the liver can be involved in systemic lymphoma (secondary involvement), primary hepatic lymphoma is extremely rare in the pediatric population. * **None of the above:** Incorrect, as Hepatoblastoma is the established leading primary malignancy. **High-Yield Clinical Pearls for NEET-PG:** * **Tumor Marker:** Serum **Alpha-fetoprotein (AFP)** is elevated in >90% of cases and is used for both diagnosis and monitoring treatment response. * **Imaging:** Ultrasound is the initial screening tool, but CT/MRI is required for Pre-treatment Extent of Disease (PRETEXT) staging. * **Pathology:** Look for "fetal" or "embryonal" epithelial cells on histology. * **Treatment:** A combination of neoadjuvant chemotherapy and surgical resection. It is a highly vascular tumor; hence, complete resection is the goal.
Explanation: **Explanation:** Wilms’ tumor (Nephroblastoma) is the most common primary renal malignancy in children. It is frequently associated with specific congenital malformation syndromes due to genetic mutations on chromosome 11 (WT1 and WT2 genes). **Why Polycystic Kidney Disease (PKD) is the correct answer:** PKD is a genetic disorder characterized by the growth of numerous cysts in the kidneys, but it is **not** a recognized syndromic association or a precursor to Wilms’ tumor. While both involve the kidneys, their underlying pathophysiology and genetic origins (PKD1/PKD2 vs. WT1/WT2) are distinct. **Analysis of Incorrect Options:** * **Aniridia:** This is the absence of the iris. It is a key component of the **WAGR syndrome** (Wilms’ tumor, Aniridia, Genitourinary anomalies, and intellectual disability/Range of developmental delays), caused by a microdeletion on chromosome 11p13. * **Beckwith-Wiedemann Syndrome (BWS):** A classic overgrowth syndrome (macroglossia, omphalocele, organomegaly) associated with Wilms’ tumor due to mutations at the 11p15.5 locus (WT2). * **Hemihypertrophy:** This refers to the asymmetric overgrowth of one side of the body. It is a common clinical finding in children with BWS and is a known high-risk marker for the development of Wilms’ tumor. **NEET-PG High-Yield Pearls:** 1. **Denys-Drash Syndrome:** Characterized by the triad of Wilms’ tumor, male pseudohermaphroditism, and early-onset renal failure (mesangial sclerosis). 2. **Screening:** Children with associated syndromes (BWS, WAGR, or isolated hemihypertrophy) require screening with abdominal ultrasound every 3 months until age 7. 3. **Most common presentation:** A painless, palpable abdominal mass that typically does not cross the midline (unlike Neuroblastoma). 4. **Metastasis:** The most common site of distant spread is the **Lungs**.
Explanation: **Explanation:** **Medulloblastoma** is the most common malignant brain tumor in children and the most frequent tumor found in the **posterior fossa**. It typically arises from the roof of the fourth ventricle (vermis), leading to early obstructive hydrocephalus and signs of increased intracranial tension (headache, vomiting, papilledema). On imaging, it appears as a solid, enhancing midline mass. **Analysis of Options:** * **A. Astrocytoma:** Specifically, Juvenile Pilocytic Astrocytoma (JPA) is the most common *overall* pediatric brain tumor. While it frequently occurs in the posterior fossa (cerebellum), it is often cystic with an enhancing mural nodule. In many competitive exams, if the question asks for the "most common posterior fossa tumor," Medulloblastoma is the preferred answer due to its classic midline presentation and high malignancy rate. * **C. Craniopharyngioma:** These are suprasellar (above the sella turcica) tumors, not posterior fossa tumors. They typically present with visual field defects (bitemporal hemianopia) and endocrine dysfunction. * **D. Meningioma:** These are common in adults but extremely rare in the pediatric population. **High-Yield Clinical Pearls for NEET-PG:** * **Histology:** Look for **Homer-Wright rosettes** and small round blue cells (primitive neuroectodermal cells). * **Spread:** Medulloblastoma has a high propensity for **CSF seeding** ("drop metastasis" to the spinal cord); hence, neuraxis imaging (MRI spine) is mandatory. * **Genetics:** Associated with **Turcot Syndrome** (APC gene) and Gorlin Syndrome. * **Location Rule:** In children, 70% of brain tumors are **infratentorial** (posterior fossa); in adults, 70% are supratentorial.
Explanation: **Explanation:** **Sacrococcygeal Teratoma (SCT)** is the most common tumor of the fetus and the newborn, occurring in approximately 1 in 35,000 to 40,000 live births. These tumors arise from the **totipotent cells of the primitive streak** (Hensen’s node) and contain elements from all three germ layers. They are more common in females (4:1 ratio) and are usually benign at birth, though the risk of malignancy increases significantly if not resected early. **Analysis of Incorrect Options:** * **Neuroblastoma:** This is the most common **extracranial solid tumor of childhood** and the most common malignancy in infants, but it is less frequent than SCT in the immediate neonatal period. * **Wilm’s Tumor (Nephroblastoma):** This is the most common renal tumor in children, but its peak incidence is between **2 to 5 years of age**. It is extremely rare in newborns (where Congenital Mesoblastic Nephroma is more common). * **Leukemia:** While it is the most common childhood cancer overall, it is not the most common tumor in the neonatal period. Congenital leukemia is rare and often associated with Down Syndrome (Transient Myeloproliferative Disorder). **High-Yield Clinical Pearls for NEET-PG:** * **Altman Classification:** Used for SCT; Type I is entirely external, while Type IV is entirely internal (presacral). * **Diagnosis:** Often suggested by increased **Alpha-fetoprotein (AFP)** levels and confirmed via prenatal ultrasound. * **Management:** Surgical excision including the **coccyx** is mandatory to prevent recurrence. * **Complication:** Large SCTs can cause **high-output cardiac failure** in the fetus due to "vascular steal."
Explanation: **Explanation:** **Wilms' Tumor (Nephroblastoma)** is the most common primary renal malignancy in children, accounting for approximately 95% of all pediatric kidney tumors. It typically presents as an asymptomatic, firm, smooth abdominal mass that does not cross the midline, usually in children aged 2 to 5 years. Pathologically, it is an embryonal tumor derived from the metanephros, characterized by a classic triphasic histology: blastemal, stromal, and epithelial cells. **Analysis of Incorrect Options:** * **Neuroblastoma:** While this is the most common extracranial solid tumor in children, it arises from the adrenal medulla or sympathetic chain, not the kidney parenchyma. Clinically, it presents as an irregular, nodular mass that often crosses the midline. * **Polycystic Kidney Disease (PKD):** This is a genetic disorder characterized by multiple cysts, not a neoplastic tumor. While it causes renal enlargement, it is benign in terms of oncogenesis. * **Renal Cell Carcinoma (RCC):** This is the most common kidney cancer in adults but is extremely rare in young children, typically occurring in adolescents or older populations. **High-Yield Clinical Pearls for NEET-PG:** * **Associated Syndromes:** WAGR syndrome (Wilms, Aniridia, Genitourinary anomalies, Retardation), Denys-Drash syndrome, and Beckwith-Wiedemann syndrome. * **Genetics:** Associated with mutations in the **WT1 gene** (Chromosome 11p13). * **Clinical Caution:** Avoid vigorous palpation of the abdomen in suspected cases to prevent rupture of the tumor capsule and subsequent peritoneal seeding. * **Most Common Site of Metastasis:** The lungs.
Explanation: In childhood Acute Lymphoblastic Leukemia (ALL), prognosis is determined by age, initial white blood cell (WBC) count, cytogenetics, and immunophenotype. **Explanation of the Correct Answer:** **Option C (Pre-B cell ALL)** is the correct answer because it is considered an **intermediate** prognostic factor. In the classification of ALL immunophenotypes, **Early Pre-B (Common ALL)**—which is CD10 (CALLA) positive—carries the **best** prognosis. In contrast, "Pre-B cell ALL" (characterized by cytoplasmic immunoglobulin) and "Mature B-cell ALL" (surface Ig positive/Burkitt type) have traditionally been associated with a poorer prognosis compared to the Early Pre-B subtype. **Explanation of Incorrect Options:** * **A. Hyperdiploidy:** Defined as >50 chromosomes per cell, this is a **strong positive prognostic factor**. It is associated with increased sensitivity of leukemic blasts to chemotherapy (antimetabolites). * **B. Female sex:** Historically, girls have a better prognosis than boys. Boys have a higher risk of late relapses, partly due to the testes acting as a "pharmacological sanctuary" where chemotherapy penetration is poor. **High-Yield Clinical Pearls for NEET-PG:** * **Age & WBC Count:** The "Standard Risk" (best prognosis) group includes children aged **1–9 years** with a WBC count **<50,000/µL**. * **Cytogenetics:** * **Good Prognosis:** t(12;21) [ETV6-RUNX1], Hyperdiploidy. * **Poor Prognosis:** t(9;22) [Philadelphia chromosome], t(4;11) [MLL rearrangement], Hypodiploidy (<44 chromosomes). * **Minimal Residual Disease (MRD):** Currently the most important predictor of treatment outcome; measured after the induction phase.
Explanation: **Explanation:** The correct answer is **Opsoclonus**. This is because Opsoclonus-Myoclonus-Ataxia syndrome (also known as "Dancing Eyes-Dancing Feet" syndrome) is a classic paraneoplastic manifestation of **Neuroblastoma**, not Wilms tumor. **Analysis of Options:** * **Opsoclonus (Correct Answer):** As mentioned, this is associated with Neuroblastoma. It is an autoimmune-mediated response against neural tissue triggered by the tumor. * **Aniridia:** This is a key component of the **WAGR syndrome** (Wilms tumor, Aniridia, Genitourinary anomalies, and intellectual disability/Range of developmental delays). It is caused by a microdeletion on chromosome 11p13 involving the *WT1* and *PAX6* genes. * **Horse-shoe kidney:** Children with renal fusion anomalies like horse-shoe kidneys have a significantly increased risk (approximately 2-fold) of developing Wilms tumor. * **Hemihypertrophy:** This is a hallmark feature of **Beckwith-Wiedemann Syndrome (BWS)**, an overgrowth disorder linked to chromosome 11p15. BWS is one of the most common syndromic associations with Wilms tumor. **High-Yield Clinical Pearls for NEET-PG:** 1. **Wilms Tumor (Nephroblastoma):** The most common primary renal tumor of childhood. It typically presents as a smooth, firm abdominal mass that **does not cross the midline** (unlike Neuroblastoma). 2. **Denys-Drash Syndrome:** Characterized by the triad of Wilms tumor, male pseudohermaphroditism, and early-onset renal failure (diffuse mesangial sclerosis). 3. **Genetics:** Associated with mutations in the *WT1* gene (11p13) and *WT2* gene (11p15). 4. **Staging:** Unlike many other tumors, Wilms tumor staging is primarily based on surgical evaluation and pathological findings.
Leukemias
Practice Questions
Lymphomas
Practice Questions
CNS Tumors
Practice Questions
Neuroblastoma
Practice Questions
Wilms Tumor
Practice Questions
Rhabdomyosarcoma
Practice Questions
Bone Tumors
Practice Questions
Retinoblastoma
Practice Questions
Histiocytosis Syndromes
Practice Questions
Principles of Pediatric Chemotherapy
Practice Questions
Hematopoietic Stem Cell Transplantation
Practice Questions
Late Effects of Cancer Treatment
Practice Questions
Get full access to all questions, explanations, and performance tracking.
Start For Free