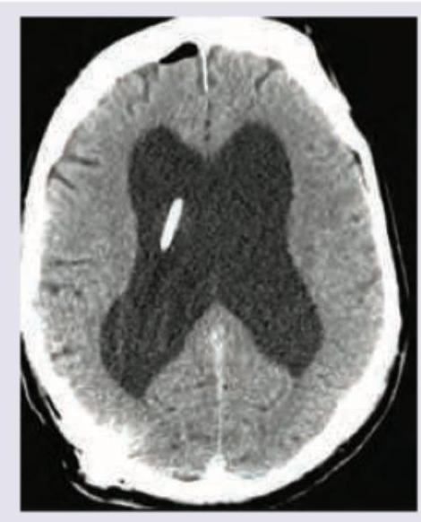
The image given below shows:

The image given below shows presence of:

Which reflex is being elicited in the patient?

A newborn presents with the clinical features shown in the image below. What is the most likely diagnosis?

The given ECG of a neonate born to a mother with SLE shows?

"Small for Date" (SFD) babies, also known as "small for gestational age" babies, weigh less than what percentile for the gestational age?
Which of the following are neonatal complications of maternal diabetes during pregnancy? I. Hyperbilirubinemia II. Hypocalcemia III. Cardiomyopathy IV. Hypoglycemia Select the correct answer using the code given below :
A term baby with birth weight of 2.8 kg is born to a primigravida mother through vaginal delivery and cried immediately after birth. Which of the following statements are correct regarding his initial care after birth ? I. The baby should be initiated on breastfeeding within one hour of birth II. The baby should be kept in a separate area from the mother III. The baby should be administered with 0.5 mg of vitamin K intramuscularly IV. The baby should be thoroughly examined for congenital malformations from head to toe Select the answer using the code given below :
Clinical features of an infant with Fetal growth retardation at birth include which of the following ? 1. Physical features give 'an old man look'. 2. Baby is alert, reflexes are normal. 3. Thick fat accumulates around shoulders of baby. Select the correct answer using the code given below :
A 30-year-old female P2L2 had a forceps delivery 2 days back. There was injury to head of baby resulting in collection of blood in soft tissue between pericranium and flat bone of skull, limited by suture line. What is the probable diagnosis?
Explanation: ***Pneumocephalus*** - The image clearly shows a **dark, hypodense collection** within the subdural space, anteriorly, which is characteristic of air - This finding, combined with the presence of a metal clip, often indicates **post-surgical air entrapment** or a **breach of the dura mater** - Pneumocephalus appears hypodense (dark) on CT imaging due to the low density of air compared to brain tissue *Interventricular bleeding* - **Intraventricular bleeding** would appear as a **hyperdense (bright)** collection within the ventricles due to the presence of blood, which is not seen here - The ventricles are enlarged and dark, consistent with cerebrospinal fluid, not hemorrhage - Blood products are radiodense and would show as bright white areas on CT *Artifact* - While artifacts can occur on CT scans, the **well-defined, crescent-shaped hypodensity** with a characteristic appearance of air makes it an unlikely explanation for this specific finding - Artifacts typically present as streaks, rings, or other image distortions, rather than anatomically consistent gas collections - The systematic location and morphology of this finding is consistent with true pathology *Ventriculoperitoneal shunting* - Although a **shunt catheter** is visible within the ventricle, the primary and most striking finding is the **presence of air (pneumocephalus)** in the cranial cavity - The shunt itself is a device/procedure, not the pathological finding being demonstrated - The shunt is likely related to the cause of the pneumocephalus (post-procedural complication) rather than being the diagnosis itself
Explanation: ***Ventriculoperitoneal shunt*** - The image clearly shows a **thin, radiopaque tube** extending from the cranial vault (indicated by the top arrow) down through the neck (indicated by the bottom arrow), consistent with the path of a ventriculoperitoneal shunt. - A ventriculoperitoneal shunt is surgically placed to **drain excess cerebrospinal fluid** from the brain's ventricles to the peritoneal cavity, commonly used in cases of hydrocephalus. *Enlarged sella turcica* - An enlarged sella turcica would appear as an expanded bony structure housing the pituitary gland, which is **not visible** or indicated in this image. - This finding is usually associated with **pituitary tumors** or other conditions causing increased intracranial pressure, but not identifiable here. *Craniosynostosis* - Craniosynostosis involves the **premature fusion of cranial sutures**, leading to an abnormally shaped skull. - While it can cause abnormal skull contour, there are **no clear signs of fused sutures** or specific deformation indicative of craniosynostosis in this lateral skull radiograph. *Pneumocephalus* - Pneumocephalus refers to the presence of **air within the cranial cavity**. - This would appear as **radiolucent (dark) areas** within the skull, which are not observed in the image; instead, a radiopaque structure is clearly visible.
Explanation: ***Hoffman reflex*** - The image shows the examiner flicking or snapping the patient's **middle finger**. - A positive Hoffman sign is indicated by involuntary flexion of the thumb and/or index finger in response to this maneuver, suggesting an **upper motor neuron lesion**. *Wartenberg reflex* - This reflex involves testing for an abnormal flexion and adduction of the thumb when attempting to extend the fingers, often seen in **ulnar nerve lesions**. - The maneuver in the image does not correspond to the elicitation of the Wartenberg reflex. *Finger flexion reflex* - This is a broad term that can refer to various reflexes involving finger flexion, but it is not a specific named reflex elicited by the maneuver shown. - The specific technique of flicking the middle finger metacarpophalangeal joint is characteristic of the Hoffman reflex. *Supinator jerk* - The supinator jerk (also known as the brachioradialis reflex) is elicited by tapping the **brachioradialis tendon** near the wrist. - This test assesses the C5-C6 spinal cord segments and involves forearm supination and elbow flexion, not finger flexion as depicted.
Explanation: ***18 trisomy*** - The image shows a newborn with an **omphalocele (abdominal wall defect)** and characteristic **clenched hands with overlapping fingers**, which are common features of Trisomy 18 (Edwards syndrome). - Other typical features include **low-set ears**, **micrognathia**, **rocker-bottom feet**, and severe developmental delay, contributing to a poor prognosis. *21 trisomy* - Trisomy 21 (Down syndrome) typically presents with **upslanting palpebral fissures**, an **epicanthal fold**, a **single palmar crease**, and **intellectual disability**, which are not the prominent features seen here. - While congenital heart defects can be present in both, the specific hand posture and omphalocele are more indicative of Trisomy 18. *13 trisomy* - Trisomy 13 (Patau syndrome) is characterized by severe malformations, including **cleft lip and palate**, **polydactyly**, **cutis aplasia**, and **microphthalmia**, which are distinct from the features in the image. - **Holoprosencephaly** is also common in Trisomy 13, which is not suggested by the visual findings. *12 trisomy* - Trisomy 12 is **not a recognized viable chromosomal aneuploidy** in humans that leads to a distinct syndrome such as those related to chromosomes 13, 18, or 21. - Genetic disorders involving chromosome 12 are typically mosaic or involve partial aneuploidies.
Explanation: ***Complete heart block*** - The ECG demonstrates **complete dissociation** between the P waves (atrial activity) and the QRS complexes (ventricular activity). The atrial rate is faster than the ventricular rate, and there is no consistent relationship between P waves and QRS complexes. - In a neonate of a mother with SLE, **congenital complete heart block** is a well-known complication due to transplacental transfer of maternal antibodies (anti-Ro/SSA and anti-La/SSB) that damage the atrioventricular (AV) node. *Mobitz I heart block* - This type of heart block (also known as **Wenckebach phenomenon**) is characterized by a **progressive prolongation of the PR interval** until a P wave is eventually not conducted, leading to a dropped QRS complex. - The ECG provided does not show a gradual lengthening of the PR interval; rather, it shows a complete lack of conduction between atria and ventricles. *Mobitz II heart block* - In Mobitz II block, there is a **fixed PR interval** for conducted beats, but some P waves are **intermittently blocked** without prior PR prolongation. - The ECG in the question shows no consistent PR interval whatsoever, as P waves and QRS complexes are completely dissociated. *Sick sinus syndrome* - This condition involves a malfunction of the **sinoatrial node**, leading to a variety of rhythm disturbances such as sinus bradycardia, sinus arrest, or *tachycardia-bradycardia syndrome*. - While it can cause bradycardia, it does not typically present with the **P-QRS dissociation** characteristic of advanced AV block seen in the ECG.
Explanation: ***10^th percentile*** - A baby is classified as **small for gestational age (SGA)** when their birth weight is below the **10th percentile** for their gestational age. - This definition helps identify infants who may be at increased risk for **perinatal morbidity and mortality** due to restricted growth. *20^th percentile* - A cutoff of the 20th percentile is generally considered within the **normal range** for birth weight. - Using this percentile would lead to an **overestimation** of infants experiencing growth restriction. *2^nd percentile* - While babies below the 2nd percentile are also considered SGA, this is a more **severe category** of growth restriction. - The standard definition for SGA encompasses all infants below the **10th percentile**, not just those with extreme growth deficits. *5^th percentile* - Similar to the 2nd percentile, the 5th percentile represents a subset of SGA babies with more **pronounced growth restriction**. - However, the universally accepted definition for **small for gestational age** uses the 10th percentile as the threshold.
Explanation: ***I, II and IV*** - This correctly identifies the three **most common and clinically significant neonatal complications** of maternal diabetes: **hyperbilirubinemia**, **hypocalcemia**, and **hypoglycemia**. - **Hypoglycemia** is the **most frequent complication** (25-50% of infants), occurring due to fetal hyperinsulinemia that persists after birth when maternal glucose supply is cut off. - **Hypocalcemia** occurs in 20-50% of cases due to impaired parathyroid hormone response, hypomagnesemia, and altered calcium-phosphorus metabolism. - **Hyperbilirubinemia** results from polycythemia (due to chronic intrauterine hypoxia), increased RBC breakdown, and impaired hepatic conjugation. *I, II and III* - While this includes **hyperbilirubinemia**, **hypocalcemia**, and **cardiomyopathy**, it inappropriately excludes **hypoglycemia**, which is the **most common and most critical** neonatal complication requiring immediate monitoring and management. - Omitting hypoglycemia makes this option medically incorrect as a primary answer. *II, III and IV* - This option excludes **hyperbilirubinemia**, which is a very common finding (occurs in up to 25% of infants of diabetic mothers) due to increased erythropoiesis and RBC destruction. - Fetal hyperinsulinemia drives increased oxygen consumption, leading to relative hypoxia and compensatory polycythemia. *I, III and IV* - This option misses **hypocalcemia**, which is one of the **classic metabolic complications** seen in 20-50% of infants of diabetic mothers. - Hypocalcemia typically presents in the first 24-72 hours of life and is exacerbated by concurrent **magnesium deficiency**, which impairs PTH secretion and action. **Note:** All four listed complications (I, II, III, and IV) are recognized complications of maternal diabetes. Hypertrophic cardiomyopathy occurs in 10-20% of cases but is generally less common than the metabolic triad of hypoglycemia, hypocalcemia, and hyperbilirubinemia, which require routine screening in all infants of diabetic mothers.
Explanation: ***I and IV*** - **Early initiation of breastfeeding within one hour** is crucial for promoting bonding, establishing successful lactation, and providing the newborn with colostrum for immunity. - A comprehensive **head-to-toe examination for congenital malformations** is a standard part of immediate newborn care to identify any anomalies requiring further evaluation or intervention. *II and III* - **Keeping the baby with the mother (rooming-in)** is recommended to promote bonding, facilitate unrestricted breastfeeding, and enable continuous monitoring by the mother. - The standard dose of **vitamin K administered intramuscularly for a term baby is 1 mg**, not 0.5 mg, to prevent hemorrhagic disease of the newborn. *I and II* - While early breastfeeding (I) is correct, **keeping the baby in a separate area from the mother (II) is incorrect** as rooming-in is highly encouraged for newborn care. - Separating the baby can hinder initial bonding and interfere with an early and successful breastfeeding experience. *I and III* - **Early initiation of breastfeeding within one hour (I) is correct**, but the **dose of vitamin K (III) is incorrect**, as 1 mg is the standard, not 0.5 mg. - Incorrect medication dosages can have clinical implications, making this combination an unsuitable choice for correct initial care.
Explanation: ***1 and 2 only*** - Infants with **fetal growth restriction (FGR)** often have a **wasted appearance** with sparse subcutaneous fat, giving them an "old man look" due to prominence of skin folds and bones. - Despite their small size, typically FGR infants are **neurologically intact** at birth, maintaining normal alertness and reflexes. *1, 2 and 3* - This option is incorrect because the third statement, regarding **thick fat accumulation**, is not characteristic of FGR infants. FGR involves **poor fetal growth**, leading to reduced subcutaneous fat. - **Thick fat** would suggest normal or even accelerated growth, which is contrary to the definition of fetal growth restriction. *2 and 3 only* - This option is incorrect as it includes the incorrect statement about **thick fat accumulation** (statement 3) and omits the correct finding of an "old man look" (statement 1), which is a classic presentation of FGR. - While statement 2 is correct regarding alertness and reflexes, the inclusion of statement 3 makes this option invalid. *1 and 3 only* - This option is incorrect because statement 3, describing **thick fat accumulation**, is contrary to the features of FGR, which are characterized by **poor fat reserves** and a wasted appearance. - It also omits the correct statement about the baby being alert with normal reflexes (statement 2).
Explanation: ***Cephalhaematoma*** - A **cephalhaematoma** is a collection of blood between the **pericranium** and the skull bone, which is characteristically limited by the **suture lines**. This perfectly matches the clinical description. - It is often associated with **traumatic deliveries** like forceps delivery due to shearing forces on the skull and can appear hours to days after birth. *Subgaleal haemorrhage* - A **subgaleal haemorrhage** involves bleeding into the **potential space between the epicranial aponeurosis and the periosteum** (galea aponeurotica). - Unlike cephalhaematoma, it is **not limited by suture lines** and can spread across the entire scalp, potentially leading to significant blood loss. *Caput succedaneum* - **Caput succedaneum** is an **oedematous swelling of the fetal scalp** caused by pressure during head engagement, leading to fluid accumulation above the periosteum. - It is present at birth, often **crosses suture lines**, and usually resolves within a few days, differentiating it from a blood collection limited by sutures. *Intraventricular haemorrhage* - **Intraventricular haemorrhage** is bleeding into the brain's ventricular system and is a serious condition most commonly seen in **premature infants**. - It involves **bleeding within the brain** itself, not an external scalp swelling, and presents with neurological symptoms.
Neonatal Resuscitation
Practice Questions
Care of the Normal Newborn
Practice Questions
Prematurity and Low Birth Weight
Practice Questions
Respiratory Distress Syndrome
Practice Questions
Neonatal Jaundice
Practice Questions
Neonatal Sepsis
Practice Questions
Necrotizing Enterocolitis
Practice Questions
Intraventricular Hemorrhage
Practice Questions
Persistent Pulmonary Hypertension
Practice Questions
Perinatal Asphyxia
Practice Questions
Neonatal Seizures
Practice Questions
Congenital Anomalies
Practice Questions
Get full access to all questions, explanations, and performance tracking.
Start For Free