Positive pressure ventilation (PPV) in neonatal resuscitation is indicated in all of the following except:
A neonate is being resuscitated as shown in the image. What is the ratio of chest compressions:rescue breaths for this patient?

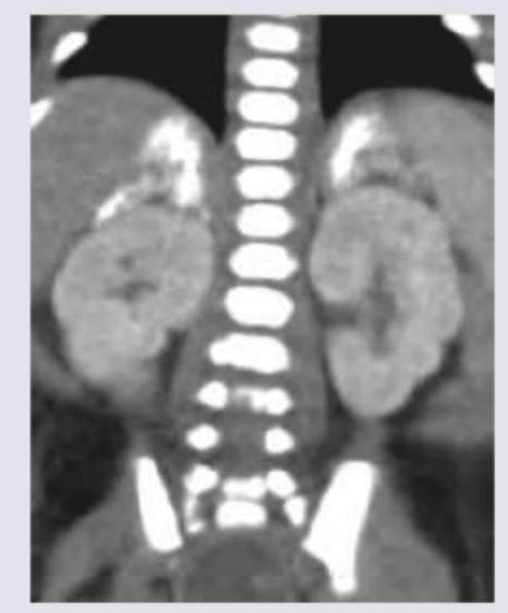
A child presents in the first week of life with recurrent vomiting, failure to thrive. On examination enlarged liver and spleen are palpated. Blood work shows hyperlipidemia and deranged LFT. CT abdomen was performed. What is the clinical diagnosis?

A 2-week-old neonate is brought with complaints of recurrent vomiting, prolongation of physiological jaundice. Urine tests negative for sugar by dipstick but Benedict's test is positive. Which of the following enzymatic defect is most likely responsible for this presentation?

What is incorrect about the neonate shown:

A 2-hour-old neonate born by normal vaginal delivery has a scalp swelling, with normal cry and activity. What is the probable cause?

In a neonate with the following findings, what is the likely etiology of hypothyroidism? (NEET Pattern 2018)

The following kit is used for management of?

The following image shows:

The picture shows a newborn with excessive salivation. Which of the following statements is NOT true regarding the condition shown?

Explanation: ***Nonvigorous child born through meconium stained liquor*** - The latest NRP guidelines advise against routine **intubation for tracheal suctioning** for *non-vigorous* infants born through meconium-stained amniotic fluid. - Instead, initial steps should focus on providing **positive pressure ventilation (PPV)** if the infant is apneic or gasping. *Apnea* - **Apnea** (absence of breathing) is a direct indication for initiating **positive pressure ventilation** in neonatal resuscitation. - An infant who is not breathing effectively requires immediate respiratory support. *Heart rate less than 100 BPM* - A **heart rate below 100 BPM** in a newborn baby is a critical indicator for initiating **positive pressure ventilation**. - This signifies inadequate oxygenation and perfusion, necessitating immediate intervention to improve oxygen delivery. *Persistent central cyanosis in spite of 100% free flow oxygen* - **Persistent central cyanosis** despite provision of 100% free-flow oxygen indicates a significant respiratory or cardiac issue requiring further intervention, often including **positive pressure ventilation**. - Free-flow oxygen alone is insufficient to correct profound hypoxemia in such cases.
Explanation: ***3:1*** - The image depicts a **neonate or infant** undergoing CPR, indicated by the two-thumb encircling technique for chest compressions. - For **neonatal resuscitation** (newborns in the delivery room and early neonatal period), the recommended compression-to-ventilation ratio is **3 compressions to 1 breath** as per NRP guidelines. - This ratio ensures adequate ventilation for presumed asphyxial cardiac arrest while maintaining coordinated compressions. *5:1* - This ratio is **NOT recommended** in current resuscitation guidelines (AHA/ILCOR/NRP). - This may cause confusion with older or obsolete protocols, but it is not part of modern CPR algorithms. *15:2* - The 15:2 ratio is recommended for **two-rescuer CPR in infants and children** (beyond the neonatal period). - This ratio aims to maximize ventilations while maintaining effective chest compressions in a team setting. - This is NOT used for neonatal resuscitation in the delivery room. *30:2* - The 30:2 ratio is the standard for **adult CPR** and **single-rescuer CPR in infants and children** (beyond neonatal period). - It prioritizes compressions over breaths and is used when only one rescuer is available. - This is NOT appropriate for neonatal resuscitation where the 3:1 ratio is preferred.
Explanation: ***Wolman disease*** - The constellation of **recurrent vomiting**, **failure to thrive**, **hepatosplenomegaly**, **hyperlipidemia**, **deranged LFTs** in an infant, and the presence of **adrenal calcifications** on CT abdomen (as suggested by the image showing bright areas above the kidneys) are highly characteristic of Wolman disease. - Wolman disease is a **lysosomal storage disorder** caused by a deficiency in **lysosomal acid lipase**, leading to the accumulation of cholesteryl esters and triglycerides in various tissues, particularly the liver, spleen, and adrenal glands. *Von Gierke disease* - This is a **glycogen storage disease** (Type I), characterized by **hypoglycemia**, lactic acidosis, hyperlipidemia, and hepatomegaly, but typically **without adrenal calcifications** or splenomegaly as prominent features in the first week of life. - While it causes hepatomegaly and hyperlipidemia, the profound adrenal calcification seen on CT rules it out as the primary diagnosis given the presented image. *Tay-Sachs disease* - This is a **lysosomal storage disorder** affecting hexosaminidase A, leading to GM2 ganglioside accumulation, primarily in neurons. - Clinical presentation involves **neurological deterioration**, **cherry-red spot on the retina**, and seizures, but typically **no hepatosplenomegaly, adrenal calcifications, or significant liver dysfunction**. *Biotinidase deficiency* - This is a metabolic disorder affecting biotin metabolism, presenting with **neurological symptoms** (seizures, hypotonia), skin rash, and alopecia. - It does **not typically involve hepatosplenomegaly, hyperlipidemia, or adrenal calcifications**.
Explanation: ***1*** - The enzymatic defect at position 1 represents **galactokinase deficiency**. This leads to the accumulation of **galactose** in the blood and urine. - While urinary dipstick tests for glucose will be negative, the Benedict's test, which detects all reducing sugars, will be **positive due to galactose**, explaining the presentation of recurrent vomiting and prolonged jaundice. *2* - The enzyme at position 2 is **galactose-1-phosphate uridylyltransferase (GALT)**. A deficiency in GALT causes classic **galactosemia**, a more severe condition. - Patients with classic galactosemia typically present with **hepatic dysfunction**, **cataracts**, and **developmental delay**, in addition to the symptoms mentioned, which are more pronounced due to the accumulation of toxic intermediates like galactose-1-phosphate. *3* - The enzyme at position 3 is **UDP-galactose 4'-epimerase (GALE)**. A deficiency in this enzyme is known as **epimerase deficiency galactosemia**. - This condition has variable severity; milder forms might be asymptomatic, while severe forms can present similarly to classic galactosemia, including **jaundice**, **vomiting**, and **cataracts**. However, it is less common than galactokinase deficiency. *4* - The enzyme at position 4 is **UDP-glucose pyrophosphorylase**, which is involved in the synthesis of UDP-glucose. - A defect in this enzyme would primarily affect glucose metabolism and glycogen synthesis, presenting with **hypoglycemia** and related symptoms, rather than the primary accumulation of galactose or its metabolites.
Explanation: ***Occipitoanterior presentation is common*** - Anencephaly, shown in the image, is associated with an **increased incidence of breech presentation** or other abnormal presentations, not occipitoanterior. - The absence of the cranial vault and brain tissue can affect the fetal head's ability to engage and present in the optimal occipitoanterior position. *Impaired swallowing reflex* - The absence of a developed brainstem in anencephaly leads to a **severely impaired or absent swallowing reflex**. - This prevents the fetus from swallowing amniotic fluid, which is a major contributor to polyhydramnios. *Polyhydramnios* - Due to the **impaired fetal swallowing reflex** in anencephaly, there is an accumulation of amniotic fluid. - The inability of the fetus to properly reabsorb amniotic fluid leads to an excessive volume of amniotic fluid. *Small adrenals* - In anencephaly, the **fetal pituitary gland is underdeveloped or absent**, which leads to a lack of ACTH stimulation. - This results in **hypoplasia (small size)** of the fetal adrenal glands because the adrenal cortex depends on ACTH for its development and function.
Explanation: ***Serosanguinous subcutaneous fluid*** - This description is consistent with **caput succedaneum**, a common finding in neonates after vaginal delivery. It is a **diffuse, edematous swelling of the scalp** that crosses suture lines, caused by pressure during birth. - The swelling arises from **serosanguinous fluid** accumulating in the **subcutaneous tissues** (between the skin and galea aponeurotica) and typically resolves within a few days. *Focal subaponeurotic blood collection* - This describes a **subgaleal hemorrhage**, which involves blood collection *between the scalp aponeurosis and the periosteum*. - Subgaleal hemorrhages can be very extensive and life-threatening, often presenting with signs of **hypovolemic shock** as it can accumulate a large amount of blood, which is inconsistent with the "normal cry and activity" of the neonate. *Chignon* - A chignon is a **localized scalp edema** or swelling that forms as a result of a **vacuum extractor** application during delivery. - While it is a scalp swelling, the question states "normal vaginal delivery" and does not mention vacuum extraction, making it less likely. *Depressed skull fracture* - A **depressed skull fracture** involves an indentation of the skull bone, which would be a **hard, bony defect** rather than a soft, fluid-filled swelling. - While it can occur during birth, it is usually a more severe injury and might present with neurological symptoms or a palpable bony depression, neither of which are described.
Explanation: ***Thyroid dysgenesis*** - The image shows a neonate with **cretinism features** (e.g., puffy face, large tongue, umbilical hernia) and a **newborn screening card** being collected (heel prick blood spots). - **Thyroid dysgenesis** (aplasia, hypoplasia, or ectopic thyroid) is the most common cause of **congenital hypothyroidism**, accounting for about 85% of cases. *Chronic lymphocytic thyroiditis* - Also known as **Hashimoto's thyroiditis**, this is an **autoimmune condition** that primarily affects adults and older children, not typically neonates. - While it can lead to hypothyroidism, it is an **acquired** rather than a congenital cause. *Thyroid dyshormonogenesis* - This refers to genetic defects in the **synthesis of thyroid hormones** due to enzymatic deficiencies within a structurally normal thyroid gland. - While it is a **congenital cause** of hypothyroidism, it is less common than thyroid dysgenesis (accounting for about 10-15% of cases). *None of above* - This option is incorrect because **thyroid dysgenesis** is a highly likely etiology given the clinical presentation and context of newborn screening.
Explanation: ***Inguinal bubo*** - The image displays a kit from **NACO (National AIDS Control Organization)** for STI/RTI management. These kits for **inguinal bubo** contain antibiotics like **Azithromycin and Cefixime** to treat underlying bacterial infections such as **Chlamydia trachomatis (LGV)** and **Haemophilus ducreyi (chancroid)**. - An inguinal bubo is a swollen, inflamed, and often painful **lymph node in the groin** that occurs in several sexually transmitted infections requiring specific antibiotic therapy. *Genital ulcer (Herpetic)* - **Herpetic genital ulcers** require **antiviral medications** like Acyclovir, Valacyclovir, or Famciclovir, which are not typically included in NACO bubo management kits. - **Herpes simplex virus (HSV)** causes painful, vesicular lesions that ulcerate, and management focuses on **viral suppression** rather than treating bacterial infections causing buboes. *Urethral discharge* - While NACO provides kits for **urethral discharge** caused by **gonorrhea** and **chlamydia**, these typically contain different antibiotic combinations like **Ceftriaxone plus Azithromycin**. - Urethral discharge management focuses on **urethritis treatment** rather than the lymphadenopathy associated with inguinal buboes. *Lower abdominal pain* - Lower abdominal pain is a broad symptom that can be caused by numerous conditions, including **pelvic inflammatory disease (PID)**, appendicitis, or urinary tract infections. - A kit specifically for generic "lower abdominal pain" would be too **non-specific** and would require different antibiotics or analgesics depending on the suspected cause, not the targeted bubo management approach.
Explanation: ***Transcutaneous bilirubinometer*** - The image depicts a handheld device placed on a **neonate's skin**, consistent with a **transcutaneous bilirubinometer** used to non-invasively measure bilirubin levels. - This device is crucial for screening and monitoring **neonatal jaundice**, as it reduces the need for frequent blood draws. *Woods lamp* - A Woods lamp emits **ultraviolet light** and is used to diagnose various skin conditions, including fungal infections and pigmentation disorders. - Its appearance and function are distinct from the device shown, which is applied directly to the skin for internal measurement. *Thermoscope* - A thermoscope is a device for detecting changes in temperature, often in a qualitative rather than quantitative way. Modern thermometers serve this purpose. - The device in the image has a digital display indicating complex readings, not simply temperature changes. *Transcutaneous pulse oximeter* - A transcutaneous pulse oximeter typically attaches to a digit, earlobe, or foot and measures **oxygen saturation** and **heart rate** through light absorption. - The device in the image has a different form factor and is designed for broad skin contact, not for pulsatile blood flow measurement.
Explanation: ***Always associated with absence of gas shadows in abdomen*** - While **tracheoesophageal fistula (TEF)** with **esophageal atresia** often leads to an absence of gas in the abdomen due to the complete obstruction of the esophagus, it is **not always** the case. - In situations where there is a **distal tracheoesophageal fistula (Type C)**, air can still pass from the trachea into the stomach and intestines, resulting in **gas shadows** in the abdomen. *Associated with polyhydramnios* - **Polyhydramnios** is a common association due to the inability of the fetus to **swallow amniotic fluid** because of the esophageal obstruction. - This leads to an excessive accumulation of amniotic fluid in the uterus. *Associated with VACTERL anomalies* - **Tracheoesophageal fistula** is a key component of the **VACTERL association**, which includes **Vertebral anomalies**, **Anal atresia**, **Cardiac defects**, **Tracheoesophageal fistula**, **Renal anomalies**, and **Limb abnormalities**. - These are often found together in affected newborns. *Surgical ligation of TEF and primary end-to-end anastomosis of esophagus is performed as definitive treatment* - The definitive treatment for **tracheoesophageal fistula (TEF)** with **esophageal atresia** is surgical repair. - This involves **ligation of the fistula** and a **primary end-to-end anastomosis** of the esophageal segments to restore continuity.
Neonatal Resuscitation
Practice Questions
Care of the Normal Newborn
Practice Questions
Prematurity and Low Birth Weight
Practice Questions
Respiratory Distress Syndrome
Practice Questions
Neonatal Jaundice
Practice Questions
Neonatal Sepsis
Practice Questions
Necrotizing Enterocolitis
Practice Questions
Intraventricular Hemorrhage
Practice Questions
Persistent Pulmonary Hypertension
Practice Questions
Perinatal Asphyxia
Practice Questions
Neonatal Seizures
Practice Questions
Congenital Anomalies
Practice Questions
Get full access to all questions, explanations, and performance tracking.
Start For Free