In a neonate, cessation of breathing for 10 seconds with bradycardia is defined as:
What is the most common causative organism for neonatal septicemia?
What is the APGAR score of a newborn presenting with cyanosis, heart rate of 70 beats per minute, hypotonia, and grimacing in response to nasal suction?
A 26-year-old multigravida mother delivered a male baby weighing 4.2 kg at 37 weeks of gestation via emergency cesarean section for obstructed labor. One hour after birth, the child developed respiratory distress. He was kept nil per os (NPO) and received intravenous fluids. He maintained oxygen saturation on room air. No antibiotics were administered. A chest radiograph revealed fluid in the interlobar fissure. The respiratory distress resolved by 24 hours of life. What is the most likely diagnosis?
Indications for exchange transfusion in neonates are all except?
Umbilical cord usually separates in newborns on which day?
Lecithin/Sphingomyelin ratio is done to assess the maturity of:
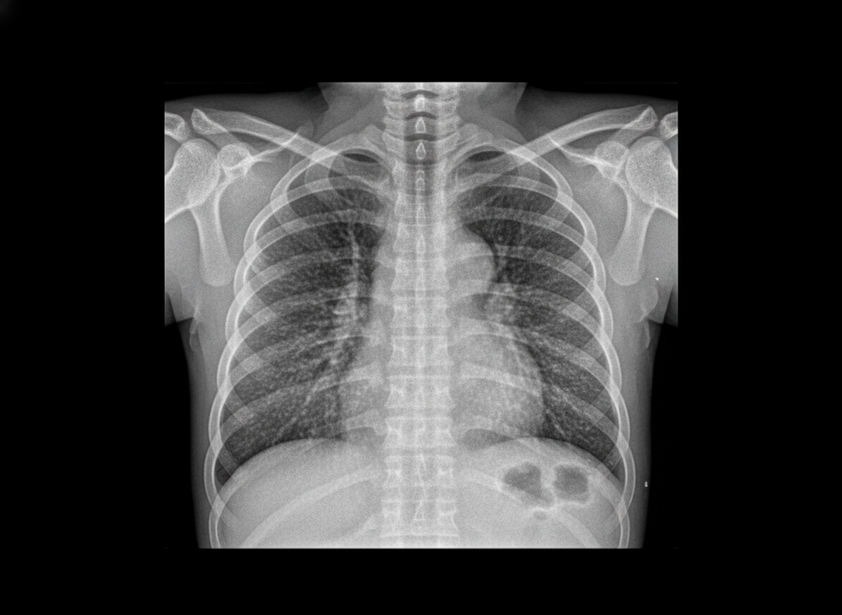
An 8-hour-old term infant develops increased respiratory distress, hypothermia, and hypotension. A complete blood count (CBC) demonstrates a white blood cell (WBC) count of 2500/mL with 80% bands. The chest radiograph is shown below. Which of the following is the most likely diagnosis?

Intrauterine growth retardation can be caused by all of the following except?
A 7-day-old premature infant born at 26 weeks of gestation presents with grossly bloody stool, abdominal distention, and increasing oxygen requirements. What is the best initial diagnostic step in evaluating this patient's apparent gastrointestinal hemorrhage?
Explanation: **Explanation:** The correct answer is **Apnea**. In neonatology, apnea is defined as the cessation of breathing for **more than 20 seconds**, OR a shorter pause (less than 20 seconds) if it is accompanied by **bradycardia** (heart rate <100 bpm) or **cyanosis/oxygen desaturation**. Since the question specifies a 10-second pause associated with bradycardia, it fulfills the clinical criteria for apnea. **Analysis of Options:** * **Apnea (Correct):** As per the American Academy of Pediatrics (AAP), the presence of physiological compromise (bradycardia/cyanosis) makes even a brief respiratory pause clinically significant. * **Dyspnea:** This refers to "difficulty in breathing" or "air hunger," typically manifested in neonates as tachypnea, grunting, or retractions, rather than a cessation of airflow. * **Cheyne-Stokes Respiration:** This is a specific pattern of crescendo-decrescendo breathing followed by apnea. While it involves pauses, it is a rhythmic cycle usually seen in heart failure or neurological injury, not a standalone definition for a 10-second pause with bradycardia. **High-Yield Clinical Pearls for NEET-PG:** 1. **Periodic Breathing:** This is a benign condition common in preterm infants characterized by cycles of 5–10 seconds of pausing followed by 10–15 seconds of rapid breathing. Crucially, it is **not** associated with bradycardia or color change. 2. **Primary vs. Secondary Apnea:** In neonatal resuscitation, primary apnea responds to tactile stimulation, whereas secondary apnea requires positive pressure ventilation (PPV). 3. **Treatment:** Caffeine citrate is the drug of choice for Apnea of Prematurity (AOP) as it stimulates the respiratory center and increases diaphragmatic contractility.
Explanation: **Explanation:** Neonatal septicemia is a clinical syndrome characterized by systemic signs of infection in the first 28 days of life. The etiology varies significantly based on geographic location and the timing of onset (Early Onset Sepsis vs. Late Onset Sepsis). **Why Group B Streptococcus (GBS) is correct:** Globally, **Group B Streptococcus (*Streptococcus agalactiae*)** is the most common cause of neonatal sepsis, particularly **Early Onset Sepsis (EOS)**, which occurs within the first 72 hours of life. It is typically transmitted vertically from the maternal birth canal during delivery. While the incidence has decreased in developed countries due to universal screening and intrapartum antibiotic prophylaxis, it remains the classic textbook answer for the most common organism worldwide. **Analysis of Incorrect Options:** * **B. Escherichia coli:** This is the **second most common** cause of neonatal sepsis globally. However, in many Indian neonatal intensive care units (NICUs), Gram-negative organisms like *E. coli* and *Klebsiella* often surpass GBS in frequency. * **C. Streptococcus viridans:** These are common commensals of the oral cavity and are rarely implicated as primary pathogens in neonatal septicemia. * **D. Staphylococcus aureus:** This is a frequent cause of **Late Onset Sepsis (LOS)** and hospital-acquired infections, but it is less common than GBS or *E. coli* in the immediate neonatal period. **High-Yield Clinical Pearls for NEET-PG:** * **Most common cause of EOS (Global):** Group B Streptococcus. * **Most common cause of EOS (India):** *Klebsiella pneumoniae* (followed by *E. coli*). * **Most common cause of LOS:** Coagulase-negative Staphylococci (CoNS), especially in preterm infants with indwelling catheters. * **Drug of Choice for EOS:** Ampicillin + Gentamicin. * **Drug of Choice for LOS:** Vancomycin + Amikacin/Ceftazidime (to cover MRSA and Pseudomonas).
Explanation: The APGAR score is a rapid clinical assessment performed at 1 and 5 minutes after birth to evaluate a newborn's transition to extrauterine life. It assesses five parameters, each scored from 0 to 2. ### **Breakdown of the Score:** 1. **Appearance (Color):** The newborn has **cyanosis** (blue/pale), which scores **0**. (A score of 1 is for acrocyanosis; 2 is for completely pink). 2. **Pulse (Heart Rate):** The heart rate is **70 bpm**, which is <100 bpm, scoring **1**. (A score of 0 is absent; 2 is >100 bpm). 3. **Grimace (Reflex Irritability):** There is a **grimace** in response to nasal suction, scoring **1**. (A score of 0 is no response; 2 is a cough, sneeze, or vigorous cry). 4. **Activity (Muscle Tone):** The newborn has **hypotonia** (some flexion/limp), scoring **1**. (A score of 0 is flaccid; 2 is active movement). 5. **Respiration:** Though not explicitly mentioned, the presence of only a "grimace" and "hypotonia" typically implies absent or gasping respirations in such clinical vignettes. However, based on the provided parameters: **0 + 1 + 1 + 1 = 3.** ### **Why Incorrect Options are Wrong:** * **Option B (2):** This underestimates the score by failing to account for the heart rate or reflex irritability. * **Option C (4) & D (5):** These overestimate the score, likely by incorrectly assigning 2 points to heart rate or assuming the baby is pink/active. ### **NEET-PG High-Yield Pearls:** * **Mnemonic:** **A**ppearance, **P**ulse, **G**rimace, **A**ctivity, **R**espiration. * **Interpretation:** 0–3: Severe distress; 4–6: Moderate distress; 7–10: Normal. * **Key Fact:** APGAR score is **not** used to decide the need for initial resuscitation; resuscitation must begin before the 1-minute score if the infant is apneic or bradycardic. * **Most sensitive indicator:** Heart rate is the most important prognostic component.
Explanation: ### Explanation **Correct Option: A. Transient Tachypnea of the Newborn (TTN)** TTN, also known as "Wet Lung Syndrome," is caused by the **delayed clearance of fetal lung fluid**. Under normal circumstances, the "thoracic squeeze" during vaginal delivery and catecholamine-induced activation of epithelial sodium channels (ENaC) help resorb this fluid. * **Clinical Context:** Risk factors in this case include **Cesarean section** (missing the thoracic squeeze) and **macrosomia** (4.2 kg). * **Radiology:** The pathognomonic finding is **fluid in the interlobar fissures**, prominent vascular markings (perihilar streaking), and occasionally pleural effusion. * **Course:** It is a benign, self-limiting condition that typically resolves within 24–72 hours with supportive care (NPO, oxygen). **Why Incorrect Options are Wrong:** * **B. Meconium Aspiration Syndrome (MAS):** Usually occurs in post-term infants with a history of meconium-stained liquor. X-ray shows "patchy opacities" and hyperinflation, not simple fissure fluid. * **C. Persistent Fetal Circulation (PPHN):** Characterized by severe cyanosis and a significant difference between pre-ductal and post-ductal oxygen saturation. It does not resolve spontaneously within 24 hours. * **D. Hyaline Membrane Disease (RDS):** Primarily affects **preterm** infants due to surfactant deficiency. X-ray classically shows a "ground-glass appearance" and air bronchograms. **High-Yield Pearls for NEET-PG:** * **Most common cause** of respiratory distress in term neonates: TTN. * **Key Risk Factors:** Elective C-section, maternal diabetes, and male sex. * **Management:** Supportive. If distress lasts >72 hours, reconsider the diagnosis. * **X-ray Buzzword:** "Sunburst appearance" or "Starry sky" (perihilar streaking) and fluid in the horizontal fissure.
Explanation: **Explanation:** Exchange transfusion (ET) is a critical intervention in neonatal hyperbilirubinemia designed to rapidly remove bilirubin and circulating antibodies. The decision to perform ET is based on specific thresholds that indicate a high risk of bilirubin encephalopathy (Kernicterus). **1. Why Option C is the correct answer:** Cord bilirubin levels are used to assess the severity of hemolysis at birth. An **indication** for immediate exchange transfusion is a **cord bilirubin > 5 mg/dL**. Therefore, a cord bilirubin **< 5 mg/dL** is a normal or sub-threshold finding and does not warrant an exchange transfusion, making it the "except" in this list. **2. Analysis of other options:** * **Option A (Unconjugated bilirubin > 18 mg/dL):** In term neonates with hemolytic disease, a total serum bilirubin (TSB) level exceeding 15–20 mg/dL (depending on age in hours and risk factors) is a standard indication for ET. 18 mg/dL falls within this critical range. * **Option B (Cord hemoglobin < 10 g/dL):** Severe anemia at birth (Cord Hb < 10–11 g/dL) indicates significant in-utero hemolysis and is a classic indication for immediate ET to restore oxygen-carrying capacity and remove sensitized RBCs. * **Option D (Bilirubin/Albumin ratio > 3.5):** Bilirubin binds to albumin; "free" bilirubin crosses the blood-brain barrier. A B/A ratio > 3.7 (often rounded to 3.5 in exams) in preterm infants or higher in term infants is an independent indicator for ET. **Clinical Pearls for NEET-PG:** * **Rate of Rise:** A TSB increase of **> 0.5 mg/dL/hr** despite intensive phototherapy is an indication for ET. * **Double Volume Exchange:** The standard procedure uses 2x the infant's blood volume (approx. 160–170 ml/kg), which removes ~85% of sensitized RBCs. * **Most common indication:** Historically Rh isoimmunization; currently, it is more frequently performed for ABO incompatibility or G6PD deficiency in many regions.
Explanation: **Explanation:** The separation of the umbilical cord is a physiological process involving **aseptic necrosis** and infarction. After birth, the cord undergoes drying (mummification). This process is mediated by the infiltration of polymorphonuclear leukocytes (neutrophils) at the junction of the cord and the abdominal wall, which digest the connecting tissue. * **Correct Answer (C):** In most healthy newborns, the umbilical cord typically separates between **7 to 10 days** of life. While the range can extend from 5 to 15 days, "7-10 days" is the standard clinical benchmark for exams. **Why other options are incorrect:** * **Options A & B:** Separation within the first 3 days is physiologically impossible as the process of mummification and leukocyte infiltration requires more time. * **Option D:** Separation after 1 month is considered significantly delayed and usually indicates an underlying pathological condition. **Clinical Pearls for NEET-PG:** 1. **Delayed Cord Separation:** If the cord does not fall off by **3 weeks (21 days)**, it is considered delayed. The most common association tested is **Leukocyte Adhesion Deficiency (LAD) Type 1**, where a defect in integrins (CD11/CD18) prevents neutrophils from migrating to the site. 2. **Other causes of delay:** Infection (Omphalitis), hypothyroidism, and excessive use of local antiseptics (like triple dye or chlorhexidine) which can kill the commensal bacteria that aid separation. 3. **Care:** The WHO currently recommends **"Dry Cord Care"** (keeping the cord clean and dry) as the standard, though chlorhexidine may be used in high-mortality/home-birth settings.
Explanation: **Explanation:** The **Lecithin/Sphingomyelin (L/S) ratio** is a classic biochemical test used to assess **fetal lung maturity**. **1. Why Lung is Correct:** Lecithin (Dipalmitoylphosphatidylcholine) is the primary active component of **pulmonary surfactant**, which reduces surface tension in the alveoli to prevent collapse. While Sphingomyelin levels remain relatively constant throughout gestation, Lecithin production increases significantly around **34–35 weeks**. * An **L/S ratio > 2.0** indicates mature lungs and a low risk of Respiratory Distress Syndrome (RDS). * An **L/S ratio < 1.5** indicates pulmonary immaturity and a high risk of RDS. **2. Why Other Options are Incorrect:** * **Fetal Circulation:** Assessed via Doppler ultrasonography (e.g., Umbilical artery or Middle Cerebral Artery flows), not biochemical markers in amniotic fluid. * **Brain:** Fetal brain development is monitored via ultrasound (biometry) and is not directly linked to surfactant phospholipids. * **Gonad:** Gonadal maturity is determined by chromosomal analysis or physical examination post-delivery, not by the L/S ratio. **Clinical Pearls for NEET-PG:** * **Diabetes Mellitus:** In pregnancies complicated by maternal diabetes, an L/S ratio of 2.0 may still result in RDS due to delayed surfactant functional maturity. In these cases, **Phosphatidylglycerol (PG)** levels are a more reliable indicator. * **Sample:** The test is performed on **amniotic fluid** obtained via amniocentesis. * **Other Tests:** The **Shake Test** (Bubble stability test) and **Lamellar Body Count** (LBC > 30,000-50,000/µL indicates maturity) are faster alternatives to the L/S ratio.
Explanation: ***Group B streptococcal pneumonia*** - **Leukopenia** (WBC 2500/mL) with **80% bands** in a term neonate within the first 24 hours is the hallmark of **early-onset GBS sepsis/pneumonia**. - Clinical presentation of **respiratory distress**, **hypothermia**, and **hypotension** with bilateral granular infiltrates on chest X-ray mimicking **RDS** in a term infant strongly suggests GBS pneumonia. *Congenital syphilis* - Typically presents with **hepatosplenomegaly**, **skin rashes**, and **osteochondritis**, not acute respiratory distress in the immediate newborn period. - **Normal WBC count** or lymphocytosis is more common, not severe leukopenia with left shift. *Diaphragmatic hernia* - Chest X-ray would show **bowel loops in the thoracic cavity** and **mediastinal shift**, not bilateral granular infiltrates. - **WBC count** would typically be normal unless secondary complications develop. *Transient tachypnea of the newborn* - Occurs in **term infants** born via **cesarean section** with **streaky perihilar markings** on chest X-ray, not bilateral granular infiltrates. - **Normal WBC count** and absence of systemic signs like hypothermia and hypotension distinguish it from sepsis.
Explanation: **Explanation:** Intrauterine Growth Retardation (IUGR) refers to a condition where a fetus fails to reach its biological growth potential due to maternal, placental, or fetal factors. The correct answer is **Phenothiazine**, as it is not typically associated with growth restriction. **1. Why Phenothiazine is the correct answer:** Phenothiazines (antipsychotics like Chlorpromazine) are generally considered safe regarding fetal growth. While some studies suggest a potential risk of neonatal withdrawal symptoms or extrapyramidal effects if used near term, they are **not** recognized as causative agents for IUGR. **2. Why the other options are incorrect:** * **Nicotine:** Smoking or nicotine use causes vasoconstriction of utero-placental vessels and increases carboxyhemoglobin levels, leading to fetal hypoxia and significant IUGR. * **Alcohol:** Chronic maternal alcohol consumption leads to Fetal Alcohol Syndrome (FAS), characterized by pre- and post-natal growth deficiency, microcephaly, and facial dysmorphism. * **Propranolol:** Beta-blockers, particularly Propranolol and Atenolol, are well-documented causes of IUGR. They can cause bradycardia and interfere with placental perfusion and fetal metabolic responses. **High-Yield Clinical Pearls for NEET-PG:** * **Most common cause of IUGR in India:** Maternal malnutrition and anemia. * **Symmetric vs. Asymmetric IUGR:** Symmetric IUGR (early insult) is often due to chromosomal anomalies or TORCH infections; Asymmetric IUGR (late insult) is usually due to placental insufficiency (e.g., Preeclampsia). * **Other Drugs causing IUGR:** Phenytoin, Warfarin, Methotrexate, and Steroids. * **Ponderal Index:** Used to identify the type of IUGR (decreased in asymmetric IUGR).
Explanation: **Explanation:** The clinical presentation of a premature infant (26 weeks) with abdominal distention, bloody stools, and systemic instability (increased oxygen requirements) is highly suggestive of **Necrotizing Enterocolitis (NEC)**. **1. Why Abdominal Series is Correct:** The "Abdominal Series" (consisting of AP, lateral decubitus, or left lateral views) is the **gold standard initial diagnostic step** for suspected NEC. It is used to identify pathognomonic findings such as **Pneumatosis intestinalis** (gas within the bowel wall), portal venous gas, or **Pneumoperitoneum** (indicating perforation). In a neonate with these symptoms, ruling out a surgical emergency like perforation is the immediate priority. **2. Why Other Options are Incorrect:** * **Fiberoptic endoscopy:** This is contraindicated in suspected NEC due to the high risk of bowel perforation from air insufflation and the friable nature of the inflamed mucosa. * **Apt test:** This test distinguishes between swallowed maternal blood and neonatal gastrointestinal bleeding. While useful in a healthy neonate with "bloody spit-up" on day 1, it is irrelevant in a 7-day-old premature infant showing signs of systemic illness and NEC. * **Routine stool culture:** While infections can trigger NEC, cultures take 48–72 hours and do not provide the immediate diagnostic information required to manage an acute abdomen. **Clinical Pearls for NEET-PG:** * **Bell’s Staging:** Used to classify the severity of NEC. * **Most common site:** Terminal ileum and proximal colon. * **Radiological Hallmark:** Pneumatosis intestinalis (Stage II). * **Absolute indication for surgery:** Pneumoperitoneum (Football sign on X-ray). * **Risk Factors:** Prematurity (most common), formula feeding, and intestinal ischemia.
Neonatal Resuscitation
Practice Questions
Care of the Normal Newborn
Practice Questions
Prematurity and Low Birth Weight
Practice Questions
Respiratory Distress Syndrome
Practice Questions
Neonatal Jaundice
Practice Questions
Neonatal Sepsis
Practice Questions
Necrotizing Enterocolitis
Practice Questions
Intraventricular Hemorrhage
Practice Questions
Persistent Pulmonary Hypertension
Practice Questions
Perinatal Asphyxia
Practice Questions
Neonatal Seizures
Practice Questions
Congenital Anomalies
Practice Questions
Get full access to all questions, explanations, and performance tracking.
Start For Free