In full term neonates, what causes the closure of the ductus arteriosus?
What is the effect of administration of large doses of vitamin K in a newborn?
A very ill neonate has widespread granulomas. In utero infection with which of the following organisms is suggested by this finding?
An Rh-negative woman is pregnant with an Rh-positive fetus. A few days after birth, the infant develops jaundice, ascites, hepatomegaly, and edema. What is the likely substance deposited in the skin and sclera in jaundice?
What is the drug of choice for neonatal convulsions?
True regarding APGAR score is all except?
Which of the following features of the neonatal airway enables a baby to breathe while suckling breast milk?
Which factor is responsible for maintaining the patency of the ductus arteriosus in a fetus?
Hydrops fetalis may be caused by the following except?
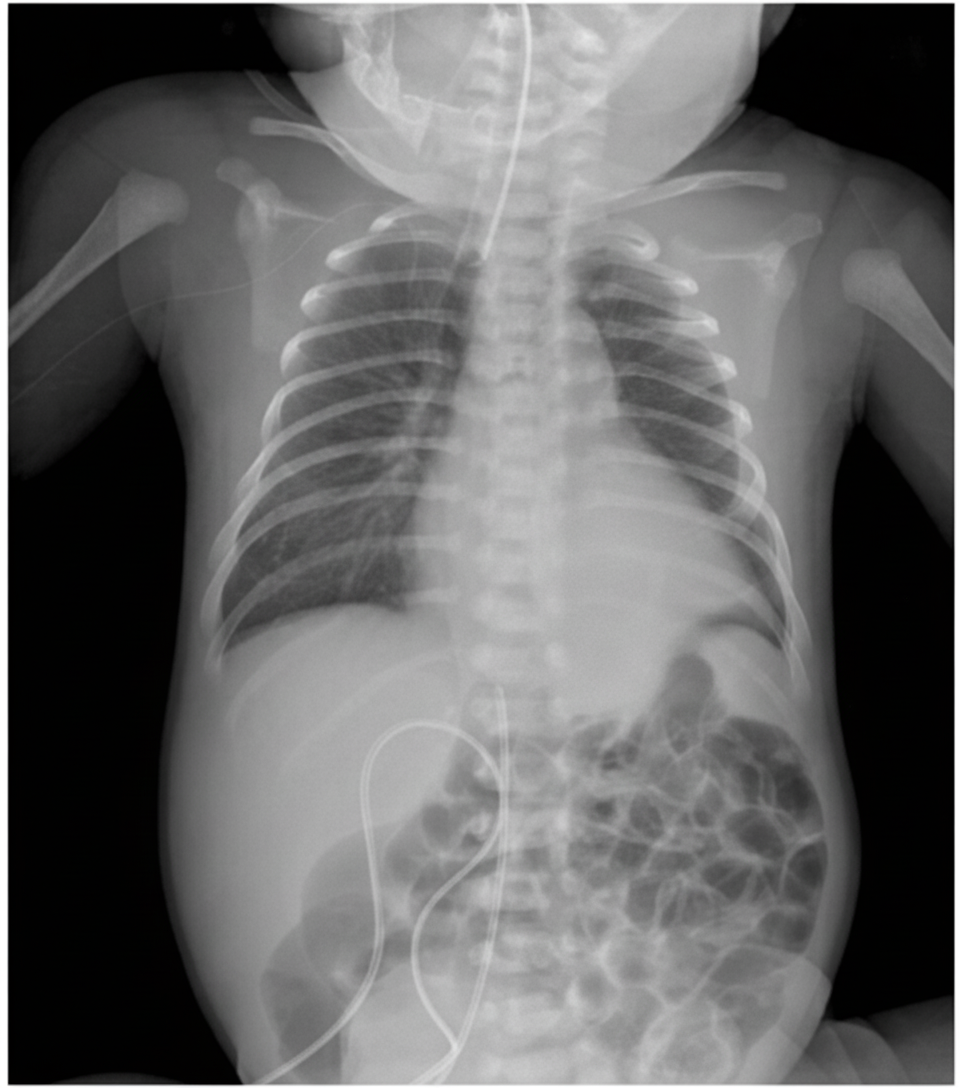
An infant presents with respiratory distress. What is the diagnosis based on the provided X-ray?

Explanation: **Explanation:** The closure of the **Ductus Arteriosus (DA)** in a full-term neonate is a two-stage process: functional closure (within 10–15 hours) and anatomical closure (by 2–3 weeks). **1. Why "High pressure O2" is correct:** In utero, the DA remains patent due to low fetal oxygen tension and high levels of circulating Prostaglandin E2 (PGE2). At birth, the first breath leads to lung expansion and a dramatic rise in the partial pressure of arterial oxygen (**PaO2**). This high-pressure oxygen acts directly on the smooth muscle of the ductal wall, causing **vasoconstriction**. It also triggers a decrease in PGE2 levels and inhibits voltage-gated potassium channels, leading to calcium influx and ductal contraction. **2. Why the other options are incorrect:** * **A. Cardiac output:** While neonatal hemodynamics change at birth, cardiac output itself is a result of circulatory changes, not the primary biochemical trigger for ductal constriction. * **B. Prostaglandins:** Prostaglandins (specifically **PGE2**) are responsible for keeping the ductus **open**. A *decrease* in prostaglandins leads to closure; therefore, their presence is not the cause of closure. * **C. Low pressure CO2:** While CO2 levels shift at birth, the primary regulatory stimulus for the ductus is the oxygen tension (PaO2), not the PaCO2. **Clinical Pearls for NEET-PG:** * **Drug of choice to close a PDA:** Indomethacin or Ibuprofen (NSAIDs that inhibit prostaglandin synthesis). * **Drug to keep DA open:** Alprostadil (PGE1 infusion), used in duct-dependent cyanotic heart diseases (e.g., Transposition of Great Arteries). * **Prematurity:** The most common cause of a persistent DA (PDA) because premature infants have immature lungs (low O2) and a ductus that is less sensitive to oxygen. * **Remnant:** After anatomical closure, the DA becomes the **Ligamentum arteriosum**.
Explanation: **Explanation:** The administration of large doses of synthetic Vitamin K (specifically Vitamin K3 or Menadione) in newborns is associated with significant toxicity, primarily **Hemolytic Anemia**. **Why Hemolytic Anemia occurs:** Newborns, especially preterm infants, have immature liver enzyme systems and low levels of glutathione. Large doses of Vitamin K act as an oxidizing agent, leading to the oxidation of hemoglobin and the formation of Heinz bodies. This results in the destruction of red blood cells (hemolysis). The subsequent breakdown of hemoglobin leads to an increase in unconjugated bilirubin, which can cause **hyperbilirubinemia** and, in severe cases, **kernicterus**. **Analysis of Incorrect Options:** * **A. Bulging of posterior fontanel:** This is not a side effect of Vitamin K. Bulging fontanels (increased intracranial pressure) are more commonly associated with Vitamin A toxicity or meningitis. * **C. Convulsions:** Vitamin K does not have a direct neurotoxic effect that triggers seizures. Neurological symptoms would only occur secondary to kernicterus caused by severe hemolysis. * **D. Hyperprothrombinemia:** Vitamin K is a cofactor for the synthesis of clotting factors (II, VII, IX, X), but excessive administration does not lead to "over-clotting" or abnormally high prothrombin levels beyond physiological limits. **High-Yield NEET-PG Pearls:** * **Standard Dose:** To prevent Vitamin K Deficiency Bleeding (VKDB), a single IM dose of **1 mg of Vitamin K1 (Phytonadione)** is recommended for all newborns (>1.5kg). For preterm infants (<1.5kg), the dose is **0.5 mg**. * **Vitamin K1 vs. K3:** Vitamin K1 (Phytonadione) is the preferred natural form as it is much less likely to cause hemolysis compared to the synthetic K3 (Menadione). * **VKDB Classification:** Remember the timing—Early (0-24 hrs), Classical (1-7 days), and Late (2-12 weeks). Late VKDB is often associated with exclusive breastfeeding and malabsorption.
Explanation: ### Explanation **Correct Option: D. Listeria monocytogenes** The presence of widespread granulomas in a neonate is the hallmark of **Granulomatosis Infantiseptica**, a severe form of early-onset neonatal listeriosis. * **Pathophysiology:** *Listeria monocytogenes* is a Gram-positive, facultative intracellular bacillus. It is typically transmitted to the fetus via the placenta (transplacental) following maternal ingestion of contaminated food (e.g., unpasteurized cheese, deli meats). * **Clinical Presentation:** The infection leads to the formation of disseminated pyogenic **granulomas** or microabscesses in multiple organs, most commonly the liver, spleen, lungs, and brain. This condition carries a high mortality rate if not treated promptly with Ampicillin and Gentamicin. --- ### Why Other Options are Incorrect: * **A. Clostridium botulinum:** This causes "Floppy Infant Syndrome" due to toxin ingestion (often from honey). It presents with descending paralysis and constipation, not granulomatous inflammation. * **B. Escherichia coli:** A leading cause of neonatal sepsis and meningitis, but it typically causes an acute inflammatory response (purulent) rather than granuloma formation. * **C. Haemophilus influenzae:** While it can cause neonatal sepsis, it is not associated with the specific "Granulomatosis Infantiseptica" pathology. --- ### NEET-PG High-Yield Pearls: 1. **Microbiology:** *Listeria* shows characteristic **"Tumbling Motility"** at 25°C and is a **cold-enrichment** organism (grows at 4°C). 2. **Drug of Choice:** **Ampicillin** is the gold standard for *Listeria*. Note that Cephalosporins (commonly used in sepsis) have a "hole" in their spectrum for *Listeria*. 3. **Early vs. Late Onset:** Early-onset (in utero) presents as Granulomatosis Infantiseptica; late-onset (during birth) typically presents as meningitis. 4. **Key Association:** Always suspect *Listeria* in a neonate with sepsis/meningitis if the mother had a "flu-like illness" during the third trimester.
Explanation: ### Explanation **1. Why the Correct Answer is Right:** The clinical presentation describes **Hydrops Fetalis** resulting from **Rh Isoimmunization**. In this condition, maternal antibodies cause severe hemolysis of fetal Rh-positive red blood cells. * **Unconjugated Bilirubin (UCB):** Massive hemolysis leads to an overproduction of UCB, which exceeds the liver's conjugating capacity. * **Conjugated Bilirubin (CB):** Severe anemia and extramedullary hematopoiesis (causing hepatomegaly) lead to **hepatocellular damage** and compression of intrahepatic bile ducts. This results in "Inspissated Bile Syndrome" or direct liver injury, causing a leak of conjugated bilirubin into the bloodstream. Therefore, the jaundice in severe Rh isoimmunization is a **mixed hyperbilirubinemia** (both conjugated and unconjugated). **2. Why Other Options are Wrong:** * **Option A (Biliverdin):** This is an intermediate breakdown product of heme. While it causes a greenish tint in some types of obstructive jaundice, it is not the primary pigment deposited in neonatal Rh hemolytic disease. * **Option C (Unconjugated bilirubin):** While UCB is elevated in all hemolytic diseases, it does not account for the hepatic dysfunction and biliary stasis seen in severe cases like Hydrops Fetalis. * **Option D (Conjugated bilirubin):** This is seen in biliary atresia or neonatal hepatitis. In Rh incompatibility, CB is elevated secondary to hemolysis and liver congestion, but UCB remains significantly high. **3. NEET-PG High-Yield Pearls:** * **Hydrops Fetalis Definition:** Abnormal accumulation of fluid in two or more fetal compartments (ascites, pleural effusion, pericardial effusion, or skin edema). * **Direct Coombs Test (DCT):** The gold standard for diagnosing Rh isoimmunization in the newborn. * **Kernicterus:** A major complication of high **Unconjugated Bilirubin**, as it is lipid-soluble and can cross the blood-brain barrier. * **Liley’s Chart:** Used to predict the severity of fetal hemolysis by measuring bilirubin levels in amniotic fluid ($\Delta OD_{450}$).
Explanation: **Explanation:** **Phenobarbitone** remains the **first-line drug of choice** for neonatal seizures. Its efficacy is rooted in its mechanism of action: it enhances GABA-mediated inhibition by increasing the duration of chloride channel opening. In the neonatal brain, where excitatory neurotransmitters (glutamate) often outweigh inhibitory ones, Phenobarbitone effectively stabilizes the neuronal membrane. It is preferred due to its long half-life, predictable pharmacokinetics, and extensive clinical track record in neonates. **Analysis of Options:** * **Valproate (Options A & B):** Valproate is generally avoided in neonates due to the high risk of **hepatotoxicity** and fatal organic acidemia-like syndromes (Valproate-induced hepatotoxicity is more common in children under 2 years). * **Carbamazepine (Option D):** This is primarily used for focal seizures in older children and adults. In neonates, oral absorption is erratic, and an intravenous formulation is not standard for acute seizure control. **Clinical Pearls for NEET-PG:** * **Loading Dose:** The standard loading dose of Phenobarbitone is **20 mg/kg IV**. If seizures persist, additional doses of 10 mg/kg can be given up to a maximum of 40 mg/kg. * **Second-line Drug:** If Phenobarbitone fails, **Levetiracetam** or **Fosphenytoin** (15-20 mg PE/kg) are the preferred second-line agents. * **Refractory Seizures:** For seizures resistant to standard therapy, consider **Pyridoxine** (Vitamin B6) deficiency. * **Most Common Cause:** The most common cause of neonatal convulsions is **Hypoxic-Ischemic Encephalopathy (HIE)**, followed by metabolic disturbances (hypoglycemia/hypocalcemia).
Explanation: **Explanation:** The APGAR score is a rapid assessment tool used to evaluate a newborn's clinical status immediately after birth. **Why Option C is the correct answer (The "Except"):** The APGAR score is **not** a reliable prognostic indicator of long-term neurologic outcomes (such as Cerebral Palsy). Most infants with low APGAR scores do not develop cerebral palsy, and many infants who later develop cerebral palsy had normal APGAR scores at birth. Long-term prognosis depends more on the underlying cause of depression and the response to resuscitation rather than the score itself. **Analysis of other options:** * **Option A:** The **1-minute score** reflects the infant's immediate transition to extrauterine life and identifies the need for immediate medical intervention or resuscitation. * **Option B:** The **5-minute score** (and subsequent scores if low) is a better predictor of neonatal survival and mortality. A low 5-minute score correlates with an increased risk of neonatal death. * **Option D:** The **change in score** between 1 and 5 minutes is a vital metric to assess how well the infant is responding to resuscitative efforts. An improving score indicates effective intervention. **High-Yield Clinical Pearls for NEET-PG:** * **Components:** Appearance (Color), Pulse (Heart Rate), Grimace (Reflex irritability), Activity (Muscle tone), and Respiration. * **Timing:** Routinely performed at 1 and 5 minutes. If the 5-minute score is <7, it should be repeated every 5 minutes up to 20 minutes. * **Heart Rate:** The most important clinical indicator. * **Resuscitation Rule:** Resuscitation must be initiated **immediately** if indicated; do not wait for the 1-minute APGAR score to begin life-saving measures.
Explanation: **Explanation:** The correct answer is **C. Higher position of the larynx.** In neonates, the larynx is positioned higher in the neck, with the epiglottis located at the level of the **C2–C4 vertebrae** (compared to C3–C6 in adults). This anatomical arrangement allows the epiglottis to approximate the soft palate, creating a physical separation between the respiratory and digestive tracts. This "high-riding" larynx forms a protected airway channel, enabling the infant to swallow milk laterally through the pyriform fossae while simultaneously breathing through the nasopharynx. This is a vital evolutionary adaptation for efficient feeding and airway protection. **Analysis of Incorrect Options:** * **A. Large, wide tongue:** While true that a neonate’s tongue is relatively large for the oral cavity, this is a disadvantage as it predisposes the infant to airway obstruction, especially during anesthesia or unconsciousness. * **B. Small pharynx:** A smaller pharyngeal space does not facilitate simultaneous breathing and swallowing; rather, it increases airway resistance. * **D. Large, soft palate:** While the soft palate is relatively large and meets the epiglottis, it is the **position of the larynx** that is the primary anatomical driver of this physiological mechanism. **High-Yield Clinical Pearls for NEET-PG:** * **Shape of Epiglottis:** In neonates, the epiglottis is **Omega-shaped (Ω)**, longer, and more flaccid, making intubation more challenging. * **Narrowest Part of Airway:** In children <8 years, the narrowest part is the **Cricoid cartilage** (subglottic region), whereas in adults, it is the Glottis (vocal cords). * **Obligate Nasal Breathers:** Neonates are obligate nasal breathers until approximately 4–6 months of age due to the high position of the larynx and the close proximity of the tongue to the soft palate.
Explanation: **Explanation:** The **Ductus Arteriosus (DA)** is a vital fetal vascular shunt that connects the pulmonary artery to the descending aorta, bypassing the non-functional fetal lungs. Its patency is primarily maintained by **Prostaglandins (specifically PGE2)**. 1. **Why Prostaglandins are correct:** In utero, the placenta produces high levels of PGE2. Additionally, the low oxygen tension in fetal blood prevents the degradation of prostaglandins. PGE2 acts on EP4 receptors in the ductal smooth muscle, leading to vasodilation. After birth, the removal of the placenta and the increase in pulmonary blood flow (which metabolizes PGE2) lead to a drop in prostaglandin levels, causing the ductus to close. 2. **Why other options are incorrect:** * **Reduced oxygen supply:** While the fetus exists in a state of relative hypoxia, it is the *presence* of prostaglandins, not the lack of oxygen to the heart itself, that maintains patency. In fact, *increased* oxygen after birth is a primary trigger for ductal closure. * **ATP:** ATP is an energy molecule and does not have a specific regulatory role in maintaining ductal patency. * **Absence of respiratory effort:** While the onset of respiration triggers physiological changes (like increased systemic resistance), it is the biochemical change (oxygen rise/prostaglandin fall) that dictates ductal status. **High-Yield NEET-PG Pearls:** * **Drug of choice to close a Patent Ductus Arteriosus (PDA):** Indomethacin or Ibuprofen (NSAIDs that inhibit prostaglandin synthesis). * **Drug of choice to keep the ductus open:** Alprostadil (PGE1 infusion), used in cyanotic heart diseases (Ductal-dependent circulation). * **Functional closure** usually occurs within 10–15 hours of birth; **Anatomical closure** (forming the Ligamentum arteriosum) takes 2–3 weeks.
Explanation: **Explanation:** Hydrops fetalis is defined as the abnormal accumulation of fluid in two or more fetal compartments (e.g., ascites, pleural effusion, pericardial effusion, or skin edema). It is broadly categorized into **Immune** (Rh isoimmunization) and **Non-immune** (90% of cases). **Why Congenital Varicella Syndrome is the correct answer:** While many intrauterine infections (TORCH) like Parvovirus B19, CMV, and Syphilis are notorious causes of non-immune hydrops, **Congenital Varicella Syndrome** typically presents with cicatricial skin scarring, limb hypoplasia, chorioretinitis, and microcephaly. It is **not** a recognized cause of hydrops fetalis. **Analysis of Incorrect Options:** * **Congenital Heart Block:** This is a classic cause of hydrops. It often results from maternal SLE (anti-Ro/SSA and anti-La/SSB antibodies). The resulting bradycardia leads to low cardiac output and high-output heart failure, causing fluid extravasation. * **Cystic Hygroma:** Large lymphatic malformations (often associated with Turner syndrome or Trisomy 21) cause lymphatic obstruction. This leads to impaired venous return and subsequent hydrops. * **Congenital Nephrosis (Finnish type):** This condition involves massive protein loss in utero. The resulting severe hypoproteinemia lowers oncotic pressure, leading to generalized edema and hydrops. **NEET-PG High-Yield Pearls:** * **Most common cause of Non-immune Hydrops:** Cardiovascular anomalies. * **Most common infectious cause:** Parvovirus B19 (due to suppression of erythropoiesis leading to profound anemia). * **Diagnostic marker:** Increased Nuchal Translucency (NT) in the first trimester is a screening red flag for hydrops. * **Alpha-Thalassemia (Hb Bart’s):** A very common cause of hydrops in Southeast Asian populations.
Explanation: ***Diaphragmatic hernia*** - Classic X-ray findings include **bowel loops** visible in the thoracic cavity with **mediastinal shift** away from the affected side. - Presents with **severe respiratory distress** in newborns due to lung compression and **pulmonary hypoplasia**. *Bronchiectasis* - Typically seen in **older children** with chronic respiratory infections, not in newborns. - X-ray shows **thickened bronchial walls** and **honeycomb appearance**, not bowel loops in chest. *Hyaline membrane disease* - Shows characteristic **ground-glass opacity** with **air bronchograms** throughout both lung fields. - Associated with **surfactant deficiency** in premature infants, not bowel displacement into thorax. *Pneumatocele* - Appears as **thin-walled air-filled cysts** within lung parenchyma, typically following pneumonia. - Usually develops **post-infection** in older infants, not as a congenital condition in newborns.
Neonatal Resuscitation
Practice Questions
Care of the Normal Newborn
Practice Questions
Prematurity and Low Birth Weight
Practice Questions
Respiratory Distress Syndrome
Practice Questions
Neonatal Jaundice
Practice Questions
Neonatal Sepsis
Practice Questions
Necrotizing Enterocolitis
Practice Questions
Intraventricular Hemorrhage
Practice Questions
Persistent Pulmonary Hypertension
Practice Questions
Perinatal Asphyxia
Practice Questions
Neonatal Seizures
Practice Questions
Congenital Anomalies
Practice Questions
Get full access to all questions, explanations, and performance tracking.
Start For Free