In neonatal herpes, what is true?
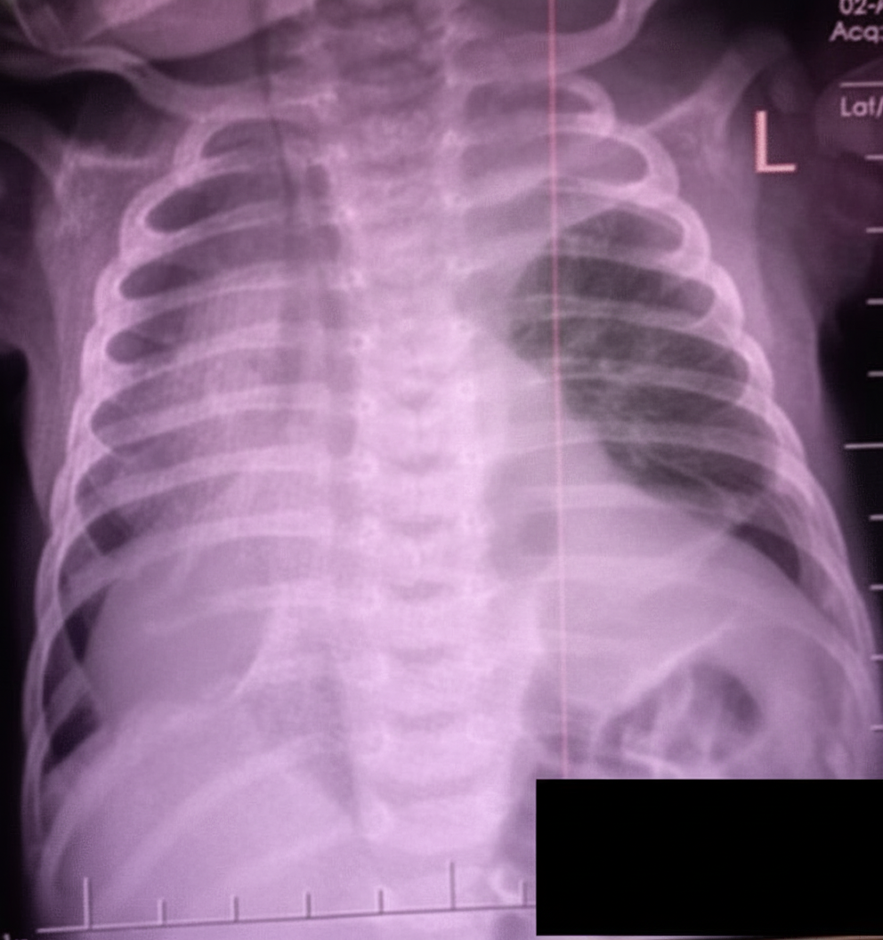
A 3-day-old child presents with the below CXR. What is the diagnosis?

Anatomical closure of the ductus arteriosus occurs at which time interval?
What is the definition of hypertension in a full-term newborn?
A 5-day-old neonate presents with shallow breathing, generalized hypotonia, rigidity, occasional spasms, and foul-smelling brown material around the umbilicus. The child was born at 39 weeks gestation via spontaneous vaginal delivery, with no antenatal care received. The parents reported a normal suck and cry after birth. What is the case load for this condition to be considered eliminated?
An infant of a diabetic mother can have all of the following conditions except:
Which vitamin is administered to newborns to prevent hemorrhage?
A premature baby born to a diabetic mother presented with respiratory distress and was admitted to the neonatal intensive care unit. Which of the following findings indicates Respiratory Distress Syndrome (RDS) in a newborn?
What are keratin-filled cysts commonly found along the midpalatine raphe of a newborn called?
Intrauterine seizure in a fetus is typically seen due to a deficiency of which of the following?
Explanation: Neonatal Herpes Simplex Virus (HSV) infection is a high-yield topic in neonatology, primarily occurring during delivery through an infected birth canal. **Explanation of the Correct Option:** * **Option A (Correct):** Approximately **70-80% of neonatal herpes cases are caused by HSV-2**. This is because most neonatal infections are acquired "vertically" during transit through the maternal genital tract, where HSV-2 is the predominant strain. HSV-1 accounts for the remaining 20-30% of cases. **Analysis of Incorrect Options:** * **Option B:** While hepatosplenomegaly can occur in the "Disseminated" form of the disease (along with jaundice and DIC), it is **not diagnostic**. Diagnosis requires definitive testing such as surface swabs for viral culture or PCR of the blood and CSF. * **Option C:** Spontaneous recovery does **not** occur. Neonatal HSV is a life-threatening emergency with high mortality and morbidity. Without treatment, the prognosis is extremely poor. * **Option D:** While dissemination is a risk, this statement is technically less "true" as a defining characteristic compared to the etiology. Many cases present as localized **SEM (Skin, Eye, Mouth)** or **CNS disease** rather than full dissemination. However, in the context of NEET-PG, the primary causative agent (HSV-2) is the most definitive factual answer. **High-Yield Clinical Pearls for NEET-PG:** 1. **Classification:** 1. SEM (45%), 2. CNS (30%), 3. Disseminated (25%). 2. **Timing:** Most infections are acquired **intrapartum** (85%). 3. **Treatment:** High-dose **Intravenous Acyclovir** (20 mg/kg every 8 hours) for 14–21 days is the gold standard. 4. **Prevention:** Cesarean section is indicated if the mother has active primary genital lesions at the time of delivery.
Explanation: ***Congenital diaphragmatic hernia*** - Classic presentation in a **3-day-old neonate** with **bowel loops visible in the hemithorax** on CXR, causing **mediastinal shift** to the contralateral side. - Associated with **respiratory distress** and **scaphoid abdomen** due to abdominal contents herniating into the thoracic cavity through a **diaphragmatic defect**. *Pneumothorax left side* - Would show **hyperlucent lung field** with **absent lung markings** and **pleural line**, not bowel loops in the thorax. - Typically presents with **sudden onset respiratory distress** and **asymmetric chest expansion**. *Consolidation* - Appears as **dense opacification** with **air bronchograms** on CXR, not the characteristic bowel loop pattern. - Usually associated with **pneumonia** or **respiratory distress syndrome**, showing homogeneous density rather than tubular structures. *Congenital lobar emphysema* - Shows **hyperinflated lobe** with **hyperlucent appearance** and **compressed adjacent lung tissue**. - Presents with **progressive respiratory distress** but lacks the characteristic **bowel loops** and **mediastinal shift** pattern seen in diaphragmatic hernia.
Explanation: **Explanation:** The closure of the Ductus Arteriosus (DA) occurs in two distinct stages: functional closure and anatomical closure. **1. Why 10-21 days is correct:** Anatomical closure involves the proliferation of the tunica intima, fibrosis, and permanent obliteration of the lumen, transforming the ductus into the **Ligamentum Arteriosum**. This process typically takes **1 to 3 weeks (10-21 days)** in healthy term neonates. **2. Analysis of incorrect options:** * **Birth (Option A):** At birth, the ductus is widely patent. Closure only begins after the first breath when oxygen levels rise and placental prostaglandins are removed. * **10-15 hours (Option D):** This represents the timing for **Functional Closure**. Within 10-15 hours of birth, increased arterial oxygen tension ($PaO_2$) and a drop in PGE2 levels cause the smooth muscles in the ductal wall to contract, stopping the shunt. * **3-4 days (Option B):** By this time, functional closure is usually complete in all term infants, but the anatomical remodeling (fibrosis) is still in its early stages. **Clinical Pearls for NEET-PG:** * **Mediators of Closure:** Increased $O_2$ and decreased Prostaglandin E2 (PGE2). * **Drug of Choice for PDA:** Indomethacin or Ibuprofen (NSAIDs inhibit prostaglandin synthesis). * **Maintaining Patency:** If a cyanotic heart defect is present, **Alprostadil (PGE1)** is used to keep the ductus open. * **Prematurity:** Functional closure is often delayed in preterm infants due to immature lungs (hypoxia) and increased sensitivity to prostaglandins.
Explanation: **Explanation:** In neonatology, blood pressure (BP) values are highly dynamic and depend on gestational age, birth weight, and postnatal age. For a **full-term newborn** (during the first week of life), hypertension is generally defined as a **systolic BP > 90 mmHg** or a **mean arterial pressure (MAP) > 70 mmHg**. The correct answer is **B (Mean BP > 70 mmHg)** because this threshold represents values persistently above the 95th percentile for a healthy term infant. At this level, clinical evaluation for underlying causes (most commonly renal artery thrombosis or renal parenchymal disease) is indicated. **Analysis of Incorrect Options:** * **Option A (> 80 mmHg):** While this value is certainly hypertensive, it is significantly higher than the diagnostic threshold for a newborn. Using this as a definition would delay the diagnosis of neonatal hypertension. * **Option C (> 90 mmHg):** This value is often used as the threshold for **systolic** blood pressure, not mean blood pressure. * **Option D (> 500 mmHg):** This is physiologically impossible and incompatible with life. **High-Yield Facts for NEET-PG:** * **Most common cause:** In neonates, hypertension is usually **secondary**. The most common cause is **umbilical artery catheterization** leading to renal artery embolism/thrombosis. * **Normal MAP Rule of Thumb:** In the first few days of life, the minimum acceptable MAP is roughly equal to the infant's **gestational age in weeks**. * **Measurement:** The gold standard for BP monitoring in sick neonates is **indwelling arterial line** manometry. For screening, the **oscillometric method** (cuff) is used, ensuring the cuff width is 40–50% of the arm circumference.
Explanation: ### **Explanation** **Diagnosis: Neonatal Tetanus** The clinical presentation of a 5-day-old neonate with **generalized hypotonia followed by rigidity, spasms, and an infected umbilical stump** (foul-smelling discharge) is classic for Neonatal Tetanus. The history of no antenatal care (suggesting an unimmunized mother) and a "normal suck and cry" at birth (ruling out congenital defects) followed by a sudden inability to suck around day 3–7 is the hallmark of this condition. **1. Why Option A is Correct:** According to the World Health Organization (WHO), **Neonatal Tetanus Elimination** is defined as a rate of **<1 case per 1,000 live births** in every district of a country. India achieved this milestone and was declared "Maternal and Neonatal Tetanus Free" in May 2015. This target is specific to the district level to ensure equitable healthcare coverage. **2. Why Other Options are Incorrect:** * **Options B, C, and D:** These values (10/1000, 100/10000, or 1000/100000) all mathematically represent a higher prevalence than the elimination threshold. In public health, "Elimination" for most infectious diseases (like Tetanus or Leprosy) is strictly defined by specific numerical benchmarks, and for Neonatal Tetanus, that benchmark is strictly <1/1000. **3. Clinical Pearls for NEET-PG:** * **Incubation Period:** Usually 3 to 14 days. The "Rule of 7" states that the shorter the incubation period (symptoms appearing before 7 days), the poorer the prognosis. * **Pathogenesis:** Caused by *Clostridium tetani* spores entering via an unclean umbilical cord (non-sterile delivery). * **Prevention:** The most effective strategy is the **"5 Cleans"** during delivery and ensuring mothers receive **two doses of Tetanus Toxoid (TT/Td)** during pregnancy. * **First Sign:** Inability to suck (due to trismus/lockjaw), followed by a "risus sardonicus" (grimacing expression) and opisthotonus (backward arching).
Explanation: **Explanation:** The correct answer is **Hyperglycemia**. Infants of diabetic mothers (IDM) are characterized by **hyperinsulinism**, which leads to hypoglycemia rather than hyperglycemia. **1. Why Hyperglycemia is the Correct Answer (The "Except"):** The underlying pathophysiology is the **Pedersen Hypothesis**. Maternal hyperglycemia leads to fetal hyperglycemia because glucose crosses the placenta. However, maternal insulin does not cross the placenta. In response to high glucose levels, the fetal pancreas undergoes beta-cell hyperplasia, leading to **fetal hyperinsulinism**. After birth, the glucose supply from the mother is abruptly cut off, but the infant’s insulin levels remain high, causing profound **hypoglycemia**, not hyperglycemia. **2. Why the other options are common in IDM:** * **Hypoglycemia:** As explained above, persistent neonatal hyperinsulinism causes a rapid drop in blood glucose levels post-delivery. * **Hyperbilirubinemia:** IDMs often have polycythemia (due to increased erythropoietin from fetal hypoxia). The breakdown of excess red blood cells leads to increased bilirubin levels. * **Respiratory Distress:** High insulin levels inhibit the action of cortisol on type II pneumocytes, interfering with **surfactant synthesis**. This makes IDMs prone to Respiratory Distress Syndrome (RDS), even if born at term. **High-Yield Clinical Pearls for NEET-PG:** * **Most common anomaly:** Congenital Heart Disease (specifically VSD and Transposition of Great Arteries). * **Most specific anomaly:** Caudal Regression Syndrome (Sacral Agenesis). * **Electrolyte imbalances:** Hypocalcemia and Hypomagnesemia are frequently seen. * **Cardiac:** Hypertrophic Cardiomyopathy (asymmetric septal hypertrophy) is common but usually transient.
Explanation: **Explanation:** **Correct Answer: A. Vitamin K** Newborns are naturally deficient in Vitamin K because it crosses the placenta poorly, and the neonatal gut is sterile (lacking the bacteria required for Vitamin K synthesis). Vitamin K is essential for the γ-carboxylation of clotting factors **II, VII, IX, and X**. Without it, infants are at high risk for **Vitamin K Deficiency Bleeding (VKDB)**, formerly known as Hemorrhagic Disease of the Newborn. To prevent this, a single intramuscular dose of 1 mg Vitamin K (Phytonadione) is routinely administered to all newborns within one hour of birth. **Incorrect Options:** * **Vitamin E:** While it is an antioxidant that prevents hemolysis in preterm infants, it does not play a direct role in the coagulation cascade. * **Vitamin D:** Essential for calcium homeostasis and bone health. Supplementation (400 IU/day) is recommended for breastfed infants to prevent rickets, but it does not prevent hemorrhage. * **Vitamin A:** Important for vision and immune function. Supplementation is part of the national immunization schedule starting at 9 months, not at birth for hemorrhage prevention. **High-Yield Clinical Pearls for NEET-PG:** * **VKDB Classification:** * *Early:* Within 24 hours (usually due to maternal drugs like anticonvulsants). * *Classic:* Days 2–7 (due to low intake/sterile gut). * *Late:* Weeks 2–12 (associated with exclusive breastfeeding or malabsorption). * **Route:** Intramuscular (IM) is preferred over oral due to better absorption and efficacy in preventing late VKDB. * **Dose:** 1 mg for infants >1500g; 0.5 mg for infants ≤1500g.
Explanation: **Explanation:** **Respiratory Distress Syndrome (RDS)**, also known as Hyaline Membrane Disease, is primarily caused by a deficiency of pulmonary surfactant, leading to alveolar collapse and decreased lung compliance. **Why Option C is Correct:** The hallmark radiological finding in RDS is a **"ground-glass appearance"** (diffuse reticulogranular opacities) with a prominent **air bronchogram**. An air bronchogram occurs when air-filled bronchi are visualized against the backdrop of collapsed (opaque) alveoli. This is a classic sign of parenchymal lung disease like RDS. **Why the Other Options are Incorrect:** * **Option A:** RDS typically presents **immediately at birth** or within the first few hours (usually <6 hours). A delayed onset often suggests other etiologies like pneumonia or sepsis. * **Option B:** Antenatal corticosteroids (e.g., Betamethasone) are a **preventive measure**. They accelerate fetal lung maturity and surfactant production, thereby *reducing* the risk and severity of RDS. * **Option D:** RDS is a disease of **prematurity**. While infants of diabetic mothers (IDM) are at higher risk due to insulin-mediated inhibition of surfactant synthesis, the risk is significantly higher in preterm babies. Term babies are more likely to present with Transient Tachypnea of the Newborn (TTN) or Meconium Aspiration Syndrome (MAS). **High-Yield Clinical Pearls for NEET-PG:** * **Risk Factors:** Prematurity (most common), Maternal Diabetes, Cesarean section without labor, and Male gender. * **L/S Ratio:** A Lecithin/Sphingomyelin ratio of **<2:1** in amniotic fluid indicates lung immaturity. * **Management:** The definitive treatment is **Exogenous Surfactant replacement** (administered via ET tube) and respiratory support (CPAP or mechanical ventilation). * **Silverman-Anderson Score:** Used to grade the severity of respiratory distress in neonates (higher score = more severe distress).
Explanation: ### Explanation **Correct Answer: A. Epstein pearl** **1. Why it is correct:** Epstein pearls are small (1–3 mm), firm, white-to-yellowish keratin-filled cysts found in approximately 60–85% of newborns. They are specifically located along the **midpalatine raphe** (the junction of the hard and soft palate). Pathophysiologically, they represent epithelial remnants trapped during the fusion of the palatal shelves. They are benign, asymptomatic, and typically resolve spontaneously within a few weeks of life without treatment. **2. Why the other options are incorrect:** * **B. Bohn’s nodules:** These are also keratin cysts but are found on the **buccal or lingual surfaces of the alveolar ridges** (away from the midline). They are remnants of minor salivary glands. * **C. Median palatine cyst:** This is a rare, larger developmental cyst of the palate. Unlike Epstein pearls, it is not a common transient finding in newborns and often requires clinical intervention. * **D. Eruption cyst:** These occur over the crown of an erupting tooth (usually deciduous) and appear as bluish, translucent fluctuant swellings on the alveolar ridge. **3. High-Yield Clinical Pearls for NEET-PG:** * **Location is Key:** Midline palate = Epstein pearls; Alveolar ridge = Bohn’s nodules. * **Management:** Reassurance only. No surgical intervention or "popping" is required as they exfoliate spontaneously. * **Differential:** Do not confuse these with **Milium** (small white papules on the nose/face) or **Milia** (keratin cysts on the skin). * **Prevalence:** They are more common in Caucasian infants compared to other ethnicities.
Explanation: **Explanation:** The correct answer is **Glutamic acid**, specifically in the context of **Pyridoxine (Vitamin B6) dependency**. **Underlying Medical Concept:** Intrauterine seizures are a hallmark of **Pyridoxine-dependent epilepsy (PDE)**. This condition is caused by a deficiency of the enzyme *α-aminoadipic semialdehyde dehydrogenase* (antiquitin). This deficiency leads to the accumulation of metabolites that inactivate Pyridoxal-5-Phosphate (PLP), the active form of Vitamin B6. PLP is a mandatory cofactor for the enzyme **Glutamic Acid Decarboxylase (GAD)**, which converts **Glutamic acid** (an excitatory neurotransmitter) into **GABA** (the primary inhibitory neurotransmitter). When this conversion fails, there is an excess of Glutamic acid and a deficit of GABA, resulting in intractable seizures that can begin *in utero*. Mothers often report rhythmic, jerky fetal movements that differ from normal fetal activity. **Analysis of Incorrect Options:** * **A. Biotin:** Deficiency typically presents in infancy with dermatitis, alopecia, and metabolic acidosis (Biotinidase deficiency), not intrauterine seizures. * **B. Riboflavin (B2):** Deficiency causes oroneurocutaneous syndrome (cheilosis, glossitis); it is not associated with neonatal or fetal seizures. * **C. Thiamine (B1):** Deficiency causes Beriberi or Wernicke-Korsakoff syndrome. While infantile beriberi can cause seizures, it does not manifest in the intrauterine period. **NEET-PG High-Yield Pearls:** * **Clinical Presentation:** Suspect Pyridoxine dependency in any neonate with seizures refractory to standard anticonvulsants (Phenobarbital/Phenytoin). * **Diagnostic/Therapeutic Test:** Intravenous administration of **100 mg of Pyridoxine** under EEG monitoring; cessation of seizures and normalization of EEG occur within minutes. * **Biochemical Marker:** Elevated pipecolic acid in CSF/plasma or alpha-aminoadipic semialdehyde (α-AASA) in urine.
Neonatal Resuscitation
Practice Questions
Care of the Normal Newborn
Practice Questions
Prematurity and Low Birth Weight
Practice Questions
Respiratory Distress Syndrome
Practice Questions
Neonatal Jaundice
Practice Questions
Neonatal Sepsis
Practice Questions
Necrotizing Enterocolitis
Practice Questions
Intraventricular Hemorrhage
Practice Questions
Persistent Pulmonary Hypertension
Practice Questions
Perinatal Asphyxia
Practice Questions
Neonatal Seizures
Practice Questions
Congenital Anomalies
Practice Questions
Get full access to all questions, explanations, and performance tracking.
Start For Free