The following cell type is seen in peripheral smear of a patient with membrane over the tonsils. All can be used in treatment except?

A 1-year-old unimmunised child with HbsAg positivity is having following skin lesions. What is the diagnosis?

A child presents with low grade fever for 5 days, joint pain in large joints and palpable purpuric rash on lower extremities and buttocks. The most probable diagnosis is:
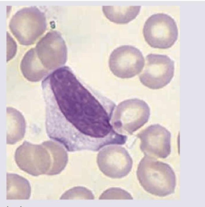
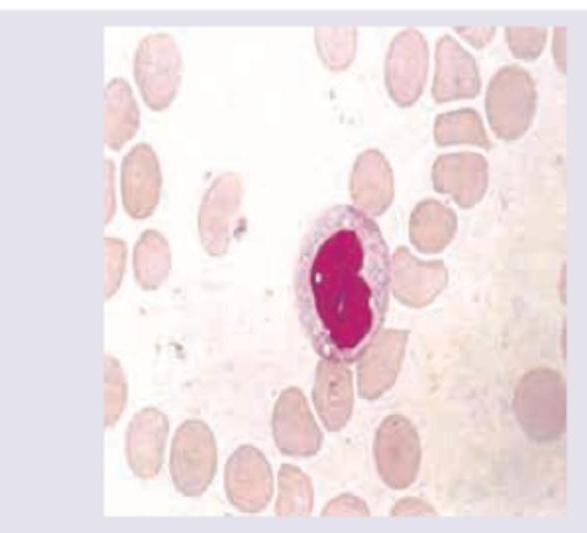
A 12-year-old child presents with fever, sore throat for 3 days and posterior cervical lymphadenopathy. Peripheral smear was performed. Diagnosis is?

Which of the following statements are correct regarding vaccination routes for children? I. Hepatitis B vaccine given in deltoid region has reduced efficacy II. Two vaccines may be given in the same thigh, but separated by 1 inch III. Separate sites are used when administering a vaccine and an immunoglobulin IV. Two intramuscular vaccines should never be given on the same day Select the answer using the code given below:
All cases of severe measles and all cases of measles in areas with high case fatality rate need to be treated with which of the following vitamins?
In measles, when do the Koplik's spots appear?
Varicella-Zoster Immunoglobulin (VZIG) is NOT recommended for which of the exposed susceptible individuals?
The classical triad of congenital defects in Congenital Rubella Syndrome include which of the following? 1. Hydrocephalus 2. Deafness 3. Cardiac malformations 4. Cataract
Hepatitis B vaccine administered at birth is
Explanation: ***Acyclovir*** - The image depicts an **atypical lymphocyte** (Downey cell), characteristic of **infectious mononucleosis**, commonly caused by the **Epstein-Barr virus (EBV)**. - Acyclovir is an **antiviral medication** primarily used for **herpes simplex virus (HSV)** and **varicella-zoster virus (VZV)** infections, and it is **not effective against EBV**. *Prednisolone* - **Corticosteroids** like prednisolone may be used in severe cases of infectious mononucleosis, especially when complications such as **airway obstruction** due to tonsillar hypertrophy, **hemolytic anemia**, or **thrombocytopenia** are present. - They help to **reduce inflammation** and suppress the immune response. *IVIG* - **Intravenous immunoglobulin (IVIG)** can be used in rare, severe, or complicated cases of infectious mononucleosis, particularly if there are significant **hematologic complications** (e.g., severe thrombocytopenia, severe hemolytic anemia) or in patients with **immunodeficiency**. - IVIG provides **passive immunity** and modulates the immune response. *Acetaminophen* - **Acetaminophen (paracetamol)** is a common **analgesic** and **antipyretic** used to manage symptomatic relief for fever, sore throat, and muscle aches associated with infectious mononucleosis. - It helps to **alleviate discomfort** and improve patient well-being during the acute phase of the illness.
Explanation: ***Gianotti-Crosti syndrome*** - This syndrome is characterized by a **papular acrodermatitis** of childhood, typically presenting as monomorphic, erythematous papules on the face, buttocks, and extensor surfaces of the extremities. - It is strongly associated with **viral infections**, particularly **Hepatitis B virus (HBV)** and Epstein-Barr virus (EBV), which aligns with the HbsAg positivity in this unimmunized child. *Erythema infectiosum* - This condition is caused by **Parvovirus B19** and typically presents with a "slapped cheek" rash on the face, followed by a lacy, reticulated rash on the trunk and extremities. - The rash in the image does not demonstrate the characteristic lacy pattern or typical "slapped cheek" appearance. *Pityriasis alba* - This is a common, mild, and often asymptomatic skin condition characterized by **hypopigmented (lighter) patches** with fine scales, predominantly on the face and arms. - The lesions in the image are erythematous (red) and papular, not hypopigmented. *Pityriasis rosea* - This condition typically begins with a single, larger "herald patch" followed by smaller, oval-shaped, pinkish-red patches with a characteristic **"Christmas tree" pattern** on the trunk and proximal extremities. - The rash in the image does not show a herald patch or the distinct distribution and morphology of pityriasis rosea.
Explanation: ***Henoch-Schönlein purpura*** - This diagnosis is characterized by the classic triad of **palpable purpura**, especially on the lower extremities and buttocks, **arthralgia** (joint pain), and **abdominal pain**, often preceded by an upper respiratory infection with a low-grade fever. - The disease involves **IgA deposition** in small blood vessels, leading to vasculitis, which explains the purpuric rash. *Rheumatic fever* - While it can cause fever and large joint polyarthritis (migratory in nature), it is typically associated with a history of **streptococcal pharyngitis** and can involve the heart (carditis) and central nervous system (Sydenham chorea), which are not mentioned. - The characteristic rash is **erythema marginatum**, not palpable purpura. *Acute ITP* - **Immune thrombocytopenic purpura (ITP)** involves a low platelet count, leading to purpura and petechiae, but these are typically non-palpable. - ITP does not characteristically cause joint pain or systemic signs of vasculitis like Henoch-Schönlein purpura. *Purpura fulminans* - This is a severe, acute, and often rapidly progressive condition characterized by large, confluent areas of **purpura with necrosis** and gangrene, often associated with sepsis or severe infection, and disseminated intravascular coagulation (DIC). - The presentation in the question describes a less severe, more localized, and palpable purpuric rash with joint pain, not widespread necrosis.
Explanation: ***Infectious mononucleosis*** - The image shows an **atypical lymphocyte** (Downey cell), characterized by a large, irregularly shaped nucleus and abundant, basophilic cytoplasm, often indenting surrounding red blood cells. These are characteristic of infectious mononucleosis. - The clinical presentation of **fever**, **sore throat**, and **posterior cervical lymphadenopathy** in a 12-year-old child is typical for infectious mononucleosis, commonly caused by the **Epstein-Barr virus (EBV)**. *Hodgkin lymphoma* - While Hodgkin lymphoma presents with lymphadenopathy, it typically involves **Reed-Sternberg cells** on biopsy, which are not seen in a peripheral smear. - Furthermore, the clinical course and presentation of Hodgkin lymphoma are usually more chronic and would not typically present with the acute viral-like syndrome described. *CLL* - **Chronic Lymphocytic Leukemia (CLL)** is a malignancy of mature B lymphocytes, primarily affecting older adults, and would be rare in a 12-year-old. - Peripheral smears in CLL show mature-appearing lymphocytes, often with "smudge cells," which are distinct from the atypical lymphocytes seen in the image. *Herpangina* - Herpangina is a viral illness causing **fever** and **painful mouth sores** (vesicles and ulcers) in the posterior oropharynx, often caused by Coxsackievirus. - While it can cause fever and sore throat, it does not typically present with significant lymphadenopathy, especially **posterior cervical lymphadenopathy**, and would not show atypical lymphocytes on a peripheral smear.
Explanation: ***II and III*** - Hepatitis B vaccine can be given in the **deltoid region** for older children and adults with good efficacy; reduced efficacy primarily occurs if administered in the gluteal region due to high fat content, not the deltoid. Administering two vaccines in the same thigh, separated by 1 inch, is a recognized practice when multiple injections are needed and separate limbs are not feasible. - Administering a vaccine and an immunoglobulin at **separate sites** is crucial to prevent the immunoglobulin from neutralizing the live attenuated vaccine, thereby reducing its efficacy. *I and III* - Statement I is incorrect because the **deltoid region** is an appropriate and effective site for Hepatitis B vaccine administration in older children and adults. - Statement III is correct, as separating the sites for vaccine and immunoglobulin prevents **immune interference**. *III only* - While statement III is correct regarding the separation of vaccine and immunoglobulin administration, statement II is also correct, making this option incomplete. - **Multiple injections** on the same limb with adequate spacing are acceptable under certain guidelines. *II, III, and IV* - Statement IV is incorrect; multiple **intramuscular vaccines** *can* be given on the same day if clinically indicated and the child is due for them, often in different limbs or at appropriately spaced sites on the same limb. - Statements II and III are correct, but the inclusion of the incorrect statement IV makes this option invalid.
Explanation: ***Vitamin A*** - **Vitamin A supplementation** is recommended for severe measles cases, especially in areas with high case fatality rates. - It helps to reduce morbidity and mortality by improving immune function and supporting the integrity of epithelial tissues. *Vitamin K* - **Vitamin K** is primarily involved in **blood clotting** and bone metabolism. - There is no established role for Vitamin K supplementation in the treatment or prognosis of measles. *Vitamin C* - **Vitamin C** is an **antioxidant** and supports immune function, but its role in measles management is not supported by strong evidence or recommendations. - While beneficial for overall immunity, it is not specifically indicated for severe measles as a life-saving intervention. *Vitamin D* - **Vitamin D** plays a crucial role in **bone health** and modulating the immune system. - Like Vitamin C, it has general immune benefits but is not a specific or recommended treatment for severe measles or its complications.
Explanation: ***1-2 days before the rashes appear*** - **Koplik's spots** are considered an **enanthem**, a pathognomonic sign of **measles**. - These small, white spots with a bluish-white center on an erythematous base on the buccal mucosa typically appear 1-2 days before the generalized maculopapular rash. *On the day that rashes appear* - The generalized **maculopapular rash** of measles typically appears a few days *after* Koplik's spots. - While the rash is a hallmark of measles, it is preceded by the oral lesions. *On the day that fever occurs* - **Fever** is usually one of the initial symptoms of measles, often appearing several days before Koplik's spots. - The fever is part of the **prodromal phase**, which includes cough, coryza, and conjunctivitis. *1-2 days before the fever occurs* - Measles symptoms, including fever, are usually the first indicators of infection, making it unlikely for a specific sign like Koplik's spots to appear before the fever itself. - The incubation period precedes any symptoms, including fever.
Explanation: ***Correct: Healthy sibling*** - VZIG is administered to **susceptible individuals** upon exposure to **Varicella-Zoster Virus (VZV)** to prevent or attenuate the infection - A **healthy sibling** with a **competent immune system** would typically mount an adequate immune response to the virus - VZIG is therefore **NOT indicated** for immunocompetent individuals as they can handle the infection naturally - VZIG is reserved for **high-risk populations** where varicella could cause severe complications *Incorrect: HIV/AIDS positive* - Individuals with **HIV/AIDS** are considered **immunocompromised** and are at **higher risk** for severe varicella infection and complications - VZIG **IS recommended** for these patients after exposure to VZV to provide **passive immunity** and reduce disease severity - This is particularly important in patients with CD4 counts <200 cells/μL *Incorrect: Newborn* - **Newborns** whose mothers developed varicella **5 days before to 2 days after delivery** are at high risk for severe, disseminated neonatal varicella - **VZIG IS recommended** for these neonates to offer immediate protection against the virus - Also indicated for premature infants <28 weeks or <1000g who are exposed, regardless of maternal immunity *Incorrect: Pregnant women* - **Pregnant women** who are **non-immune to varicella** and exposed to VZV are at risk for both **maternal complications** (varicella pneumonia) and **fetal abnormalities** (congenital varicella syndrome) - **VZIG IS recommended** for susceptible pregnant women exposed to varicella to reduce the risk of severe maternal disease - Should be administered within **10 days** of exposure, preferably within 96 hours
Explanation: ***2, 3 and 4*** - The classical triad of congenital defects associated with **Congenital Rubella Syndrome (CRS)** typically refers to **deafness**, **cataracts**, and **cardiac malformations**. - These are the most common and prominent features that result from transplacental infection during early pregnancy. *1, 2 and 3 and 4* - This option incorrectly includes **hydrocephalus** as part of the classical triad. While other neurological manifestations can occur in CRS, hydrocephalus is not a defining feature of the classical triad. - The three most prominent and characteristic defects in CRS are **deafness, cataracts, and cardiac malformations**. *1, 2 and 4* - This option incorrectly includes **hydrocephalus** and omits **cardiac malformations**, which is a key component of the classical triad. - The classical triad specifically highlights defects in the **eyes (cataracts)**, **ears (deafness)**, and **heart (cardiac malformations)**. *1, 2 and 3* - This option incorrectly includes **hydrocephalus** and omits **cataracts**, which is a definitive feature of the classical triad of CRS. - While cardiac and auditory defects (deafness) are part of the triad, ocular defects (cataracts) are equally crucial for the classical definition.
Explanation: ***A monovalent vaccine of Hepatitis B*** - The **initial dose** of the Hepatitis B vaccine given at birth is a **single-antigen (monovalent)** preparation. It is given as a **standalone vaccine** to ensure prompt protection against Hepatitis B virus. - This early administration is critical for preventing **perinatal transmission** of Hepatitis B from an infected mother to her newborn, and establishing immunity as soon as possible. *A pentavalent vaccine* - **Pentavalent vaccines** typically protect against five different diseases: **Diphtheria, Tetanus, Pertussis (DTP), *Haemophilus influenzae* type b (Hib), and Hepatitis B**. - While Hepatitis B is one component, the vaccine administered at birth is usually monovalent, and the pentavalent vaccine is given later in the infant's immunization schedule. *A fixed combination vaccine of Hepatitis B and Hib* - A fixed combination vaccine of Hepatitis B and **Hib (Haemophilus influenzae type b)** is available and used in some immunization schedules. - However, the **first dose** given at birth is specifically a monovalent Hepatitis B vaccine, not a combined Hib vaccine, to target immediate Hepatitis B protection. *A combined vaccine of inactivated Polio and Hepatitis B* - Combined vaccines that include **inactivated Polio vaccine (IPV)** and **Hepatitis B** do exist but are generally administered later, at 6 weeks and subsequent doses. - The **birth dose** of Hepatitis B vaccine is exclusively for Hepatitis B protection and does not typically include polio antigen.
Vaccine-Preventable Diseases
Practice Questions
Immunization Schedule
Practice Questions
Common Childhood Infections
Practice Questions
Pediatric HIV
Practice Questions
Congenital Infections
Practice Questions
Fever in Infants and Children
Practice Questions
Meningitis and Encephalitis
Practice Questions
Respiratory Tract Infections
Practice Questions
Gastrointestinal Infections
Practice Questions
Parasitic Infections
Practice Questions
Tuberculosis in Children
Practice Questions
Opportunistic Infections
Practice Questions
Get full access to all questions, explanations, and performance tracking.
Start For Free