An 11-day-old neonate presents with a sharp cough, mild conjunctivitis with pus, and pneumonia confirmed on chest film. Gram stain of the pus shows no organisms. What is the most likely causative agent?
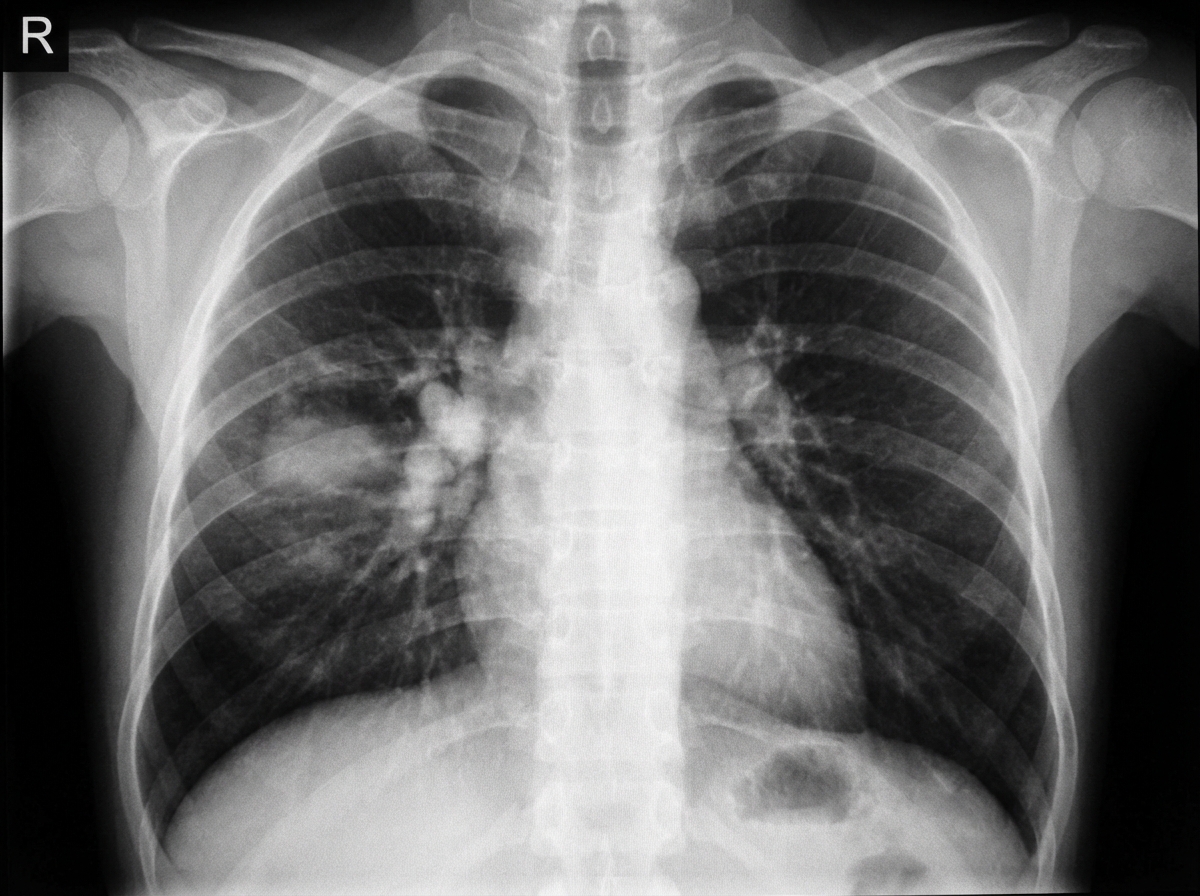
A 4-year-old child presented with cough persisting for 1 month and low-grade fever. There was a history of contact with TB. What is the chest X-ray suggestive of?

What is the diagnostic method for congenital syphilis?
CSF findings show protein 60%, sugar 40%, and neutrophils are predominant. What is the most likely diagnosis?
What is the recommended duration for isolation of a patient with bacterial meningitis?
A 2-year-old child is admitted to the ICU due to complications thought to be secondary to measles infection. Which of the following is the least common complication of measles?
In neonatal sepsis, which of the following is an acute phase reactant?
Primary complex in which of the following sites suggests congenital tuberculosis?
In cases of Streptococcal pharyngitis, how early should treatment be initiated to effectively prevent Rheumatic fever?
Which of the following investigations is the best method for diagnosing HIV in childhood?
Explanation: The clinical presentation of an 11-day-old neonate with **staccato cough** (sharp, repetitive), **purulent conjunctivitis**, and **pneumonia** is classic for **Chlamydia trachomatis (Serotypes D-K)**. ### **Why the Correct Answer is Right** * **Chlamydia trachomatis** is an **obligate intracellular organism** because it lacks the metabolic pathways to synthesize its own ATP (energy parasite). * **Clinical Correlation:** Neonatal chlamydial infection typically presents in two phases: 1. **Conjunctivitis:** Occurs 5–14 days after birth (later than Gonococcus). 2. **Pneumonitis:** Occurs at 2–19 weeks. The "staccato cough," lack of fever, and peripheral eosinophilia are hallmark features. * **Gram Stain:** Because it is intracellular and lacks a traditional peptidoglycan layer (though it contains genes for it), it **does not show up on a standard Gram stain**, matching the question's description. ### **Why Other Options are Wrong** * **Option B (Neisseria gonorrhoeae):** A Gram-negative diplococcus. It causes hyperacute, limb-threatening conjunctivitis (ophthalmia neonatorum) usually within the first 2–5 days of life. It would be visible on a Gram stain. * **Option C (Mycoplasma pneumoniae):** While it lacks a cell wall, it is not an obligate intracellular organism and typically causes "walking pneumonia" in school-aged children, not neonates. * **Option D (Rickettsia):** These are obligate intracellular organisms, but they primarily infect **vascular endothelium** and cause vasculitis/rashes (e.g., Rocky Mountain Spotted Fever), not neonatal pneumonia. ### **NEET-PG High-Yield Pearls** * **Treatment:** Oral **Erythromycin** or Azithromycin is the drug of choice for both conjunctivitis and pneumonia (topical therapy is insufficient for Chlamydia). * **Complication:** Use of systemic Erythromycin in neonates is associated with an increased risk of **Infantile Hypertrophic Pyloric Stenosis (IHPS)**. * **Diagnosis:** Gold standard is **NAAT** (Nucleic Acid Amplification Test) or culture from conjunctival scrapings (must contain epithelial cells).
Explanation: ***Primary TB*** - A 4-year-old child with **TB contact** and persistent cough typically presents with **primary TB complex** (Ghon focus + hilar lymphadenopathy). - Primary TB in children characteristically shows **hilar lymphadenopathy** with or without parenchymal infiltrates, forming the **Ranke complex**. *Pleural effusion* - More commonly seen in **adolescents and adults** with post-primary TB, not typical in young children. - Would present with **decreased breath sounds** and **dullness to percussion**, which are not mentioned here. *Miliary TB* - Chest X-ray would show **diffuse tiny nodules** (2-3mm) throughout both lung fields, resembling millet seeds. - Represents **hematogenous dissemination** and typically presents with more severe systemic symptoms than described. *Cavitation* - A feature of **post-primary (adult-type) TB**, extremely rare in children under 10 years of age. - Occurs due to **caseous necrosis** and tissue breakdown, which is uncommon in primary TB due to immature immune response.
Explanation: **Explanation:** The diagnosis of congenital syphilis is challenging because maternal IgG antibodies (detected by standard tests) cross the placenta, making it difficult to distinguish between an infant’s true infection and passive transfer from the mother. **Why FTA-ABS is the Correct Answer:** The **Fluorescent Treponemal Antibody Absorption (FTA-ABS) test**, specifically the **FTA-ABS 19S IgM** variant, is considered a highly specific diagnostic tool for congenital syphilis. Unlike IgG, **IgM antibodies do not cross the placenta.** Therefore, the presence of treponeme-specific IgM in the neonate’s serum is definitive evidence of an active fetal immune response to *Treponema pallidum*, confirming a diagnosis of congenital infection. **Analysis of Incorrect Options:** * **A. Culture:** *Treponema pallidum* cannot be cultured on artificial media. Diagnosis relies on microscopy (Darkfield) or serology. * **C. Rapid Plasma Reagin (RPR):** This is a non-treponemal screening test. While used to monitor treatment response (titer trends), a positive RPR in a neonate may simply reflect maternal IgG. It is not confirmatory unless the infant’s titer is fourfold higher than the mother’s. **High-Yield Clinical Pearls for NEET-PG:** * **Gold Standard for Visualization:** Darkfield microscopy of lesions or the umbilical cord (detects motile spirochetes). * **Screening:** Non-treponemal tests (VDRL/RPR) are used for screening, but must be confirmed. * **Clinical Triad (Hutchinson’s Triad):** Interstitial keratitis, Sensorineural hearing loss (8th nerve deafness), and Hutchinson’s teeth. * **Early Signs:** Snuffles (persistent rhinitis), palmoplantar desquamation, and Parrot’s pseudoparalysis (due to osteochondritis). * **Treatment of Choice:** Aqueous Crystalline Penicillin G for 10 days.
Explanation: **Explanation:** The CSF (Cerebrospinal Fluid) profile provided is characteristic of **Bacterial Meningitis**. In bacterial infections, the inflammatory response is intense, leading to a significant breakdown of the blood-brain barrier and the recruitment of polymorphonuclear leukocytes. * **Why Bacterial Meningitis is correct:** The hallmark findings are **Neutrophilic pleocytosis** (predominance of neutrophils), **elevated protein** (due to increased permeability), and **decreased sugar/glucose** (hypoglycorrhachia). In this case, the sugar is 40% (typically <40-50% of blood glucose), and neutrophils are the dominant cell type, which strongly points to a pyogenic bacterial etiology. **Analysis of Incorrect Options:** * **Viral Meningitis:** Typically presents with **lymphocytic predominance**, normal or slightly elevated protein, and **normal sugar** levels. * **Tuberculous Meningitis (TBM):** While TBM features high protein and low sugar, the cellular response is characteristically **lymphocytic** (chronic inflammation) rather than neutrophilic. * **Fungal Meningitis:** Similar to TBM, it usually presents with a **lymphocytic** picture and low sugar, often seen in immunocompromised patients. **NEET-PG High-Yield Pearls:** 1. **Normal CSF Glucose:** Usually 60-70% of simultaneous blood glucose. 2. **Early Viral Meningitis:** Can rarely show neutrophils in the first 24 hours (neutrophilic shift), but sugar remains normal. 3. **Late Bacterial Meningitis:** If partially treated, the cell type may shift toward lymphocytes, but sugar remains low. 4. **Most common cause (Pediatrics):** *Streptococcus pneumoniae* (overall), *Group B Streptococcus* (neonates).
Explanation: **Explanation:** In cases of bacterial meningitis, particularly those caused by *Neisseria meningitidis* and *Haemophilus influenzae* type b, the primary goal of isolation is to prevent droplet transmission. The correct answer is **24 hours after the start of effective antibiotic treatment** because most pathogenic bacteria are rapidly cleared from the nasopharynx within this timeframe. Once therapeutic levels of antibiotics (such as Ceftriaxone) are achieved, the patient is no longer considered contagious to others. **Analysis of Options:** * **Option A:** Waiting for a negative culture is impractical and unnecessary. Cultures can take 48–72 hours, and patients are typically non-infectious long before results are finalized. * **Option C & D:** Clinical markers like fever subsidence or resolution of neck rigidity are indicators of clinical recovery, not infectivity. A patient may remain symptomatic for several days despite being bacteriologically sterile and non-contagious. **High-Yield Clinical Pearls for NEET-PG:** * **Type of Isolation:** **Droplet Precautions** are mandatory for *N. meningitidis* and *H. influenzae*. For other causes like *S. pneumoniae*, standard precautions usually suffice, but 24-hour isolation is a safe general rule in clinical practice. * **Chemoprophylaxis:** Close contacts of patients with Meningococcal meningitis should receive prophylaxis (Rifampicin, Ciprofloxacin, or Ceftriaxone) as soon as possible. * **Steroids:** Dexamethasone should be administered **before or with the first dose** of antibiotics to reduce the risk of sensorineural hearing loss, especially in *H. influenzae* meningitis.
Explanation: **Explanation:** The question asks for the **least common** complication of measles. While measles is associated with several complications, they vary significantly in frequency. **1. Why SSPE is the correct answer:** Subacute sclerosing panencephalitis (SSPE) is a chronic, progressive neurodegenerative disease caused by a persistent infection with a mutant measles virus. It is the **rarest** complication, occurring in approximately **1 in 10,000 to 1 in 100,000** cases. It typically manifests 7–10 years after the initial infection, characterized by behavioral changes, myoclonus, and cognitive decline. **2. Analysis of incorrect options:** * **Diarrhea (Option A):** This is the **most common** complication of measles overall (occurring in ~8% of cases), particularly in malnourished children. It contributes significantly to measles-related morbidity. * **Pneumonia (Option B):** This is the **most common cause of death** related to measles in children. It can be caused by the measles virus itself (Hecht’s giant cell pneumonia) or secondary bacterial infections. * **Otitis Media (Option C):** This is the **most common bacterial complication** of measles, occurring in approximately 7–10% of children. **Clinical Pearls for NEET-PG:** * **Most common complication:** Diarrhea. * **Most common cause of death:** Pneumonia. * **Most common CNS complication:** Febrile seizures (Acute encephalitis is rarer, ~1 in 1,000). * **Vitamin A:** Supplementation is mandatory in all children with measles to reduce the risk of blindness and mortality. * **Koplik spots:** Pathognomonic enanthem seen on the buccal mucosa opposite the lower second molars during the prodromal stage.
Explanation: **Explanation:** In neonatal sepsis, **C-reactive protein (CRP)** is the most widely used and well-studied **acute-phase reactant (APR)**. APRs are proteins whose plasma concentrations increase (positive APRs) or decrease (negative APRs) by at least 25% during inflammatory states. CRP is synthesized by the liver in response to IL-6. It is highly sensitive for detecting infection, though its levels take 6–12 hours to rise, making serial measurements (at 12 and 24 hours) more clinically significant than a single initial value for ruling out sepsis. **Analysis of Options:** * **Option A (WBC Count):** While a high or low WBC count (leukopenia/leukocytosis) is part of the sepsis workup, it is a cellular component of the hematologic profile, not a plasma protein/acute phase reactant. * **Option B (Alpha-1-antitrypsin):** Although it is technically a positive APR, it is not used clinically as a marker for neonatal sepsis. Its primary clinical relevance is in congenital deficiency leading to liver or lung disease. * **Option C (Interleukin-6):** IL-6 is a **pro-inflammatory cytokine** that triggers the production of APRs (like CRP) in the liver. While it rises earlier than CRP, it is classified as a cytokine/mediator, not an acute phase reactant. **High-Yield Clinical Pearls for NEET-PG:** * **Most sensitive marker (Early):** Interleukin-6 (IL-6) and IL-8 (rise within hours). * **Most specific/Best marker:** Procalcitonin (PCT) is often considered superior to CRP as it rises faster (within 2–4 hours) and has a higher specificity for bacterial infections. * **Negative Predictive Value:** The strength of CRP lies in its high negative predictive value; two normal CRP levels 24 hours apart are strong evidence to discontinue antibiotics. * **I:T Ratio:** An Immature to Total neutrophil ratio **> 0.2** is a highly suggestive hematologic indicator of neonatal sepsis.
Explanation: **Explanation:** The correct answer is **Liver (Option B)**. **Why Liver is correct:** Congenital tuberculosis occurs when the fetus is infected *in utero*. The most common route of transmission is **hematogenous**, via the **umbilical vein**. Blood from the umbilical vein flows directly to the fetal liver; therefore, the primary complex (Ghon complex) first develops in the **liver** or the **periportal lymph nodes**. Finding a primary focus in the liver is pathognomonic for congenital TB and distinguishes it from post-natal (acquired) TB. **Why other options are incorrect:** * **Lungs (Option A):** This is the most common site for the primary complex in **acquired (post-natal) tuberculosis**, where the infection is inhaled. While a neonate can have lung lesions in congenital TB (via aspiration of infected amniotic fluid), the liver remains the classic diagnostic site for the hematogenous umbilical route. * **Lymph Nodes (Option C):** While regional lymph nodes are part of any primary complex (e.g., periportal nodes in the liver or hilar nodes in the lungs), they are not the primary site of seeding. * **Skin (Option D):** Primary skin involvement is extremely rare and usually occurs through direct inoculation (e.g., contaminated instruments), not via the congenital route. **High-Yield Clinical Pearls for NEET-PG:** * **Cantwell’s Criteria:** Used to diagnose congenital TB. It requires a proven TB lesion in the infant plus one of the following: (1) Primary complex in the liver, (2) Infection within the first week of life, (3) Exclusion of post-natal transmission. * **Route of Infection:** Most common is hematogenous (umbilical vein); second is aspiration of infected amniotic fluid. * **Clinical Presentation:** Often non-specific—hepatosplenomegaly, respiratory distress, fever, and poor feeding in the first 2–3 weeks of life.
Explanation: ### Explanation **Correct Answer: C. 9 days** **The Medical Concept:** Acute Rheumatic Fever (ARF) is a delayed, non-suppurative sequela of Group A Beta-hemolytic Streptococcal (GABHS) pharyngitis. The primary goal of antibiotic therapy in streptococcal sore throat—beyond symptom relief and preventing transmission—is the prevention of ARF. Clinical studies have established a "grace period" for the initiation of antibiotics. To effectively prevent the autoimmune trigger that leads to Rheumatic Fever, GABHS must be eradicated from the pharynx within **9 days** of the onset of symptoms. **Analysis of Options:** * **A & B (7 and 8 days):** While initiating treatment earlier is clinically ideal for symptom control and reducing the spread of infection, these are not the "outer limit" defined by guidelines for ARF prevention. * **C (9 days):** This is the gold standard timeframe. Even if treatment is delayed up to 9 days after the sore throat begins, the risk of developing ARF is significantly neutralized. * **D (10 days):** Waiting until the 10th day or beyond significantly increases the risk of the immunological cascade that leads to ARF. Note: While the *duration* of oral Penicillin V treatment is 10 days, the *window* to start treatment is 9 days. **High-Yield Clinical Pearls for NEET-PG:** * **Primary Prevention:** Treating the initial pharyngitis within 9 days prevents the first attack of ARF. * **Secondary Prevention:** Once a patient has had ARF, they require long-term antibiotic prophylaxis (e.g., Benzathine Penicillin G every 3–4 weeks) to prevent recurrences. * **Post-Streptococcal Glomerulonephritis (PSGN):** Unlike Rheumatic Fever, early antibiotic treatment of GABHS pharyngitis **does not** reliably prevent the development of PSGN. * **Drug of Choice:** Oral Penicillin V for 10 days or a single intramuscular injection of Benzathine Penicillin G remains the treatment of choice.
Explanation: In pediatric HIV, the choice of diagnostic test depends primarily on the **age of the child**. This question addresses the challenge of diagnosing HIV in infants born to HIV-positive mothers. ### Why P24 Antigen is Correct In children under **18 months**, maternal IgG antibodies cross the placenta and can persist in the infant's circulation. Therefore, antibody-based tests (like ELISA) will yield false positives. To diagnose HIV in this age group, **Virological Tests** are required. * **DNA-PCR** is the gold standard (most sensitive). * **P24 Antigen** assay is a highly specific virological marker that detects the viral capsid protein. Among the given options, it is the only test that directly detects a component of the virus rather than the immune response, making it the "best" choice listed for early diagnosis. ### Why Other Options are Incorrect * **CD4 Cell Counts (A):** This is used for **staging** the disease and monitoring progression/response to ART, not for primary diagnosis. CD4 counts are naturally higher in infants than adults. * **ELISA (C) & Anti-HIV Antibody (D):** These are the screening tests of choice for adults and children **over 18 months**. In infants, they cannot distinguish between maternal antibodies and true neonatal infection. ### High-Yield Clinical Pearls for NEET-PG * **Gold Standard (<18 months):** HIV DNA-PCR (performed at birth, 6 weeks, and 6 months). * **Diagnosis (>18 months):** Antibody-based tests (ELISA followed by Western Blot/Rapid tests). * **Prophylaxis:** All HIV-exposed infants should receive **Nevirapine** (or Zidovudine) from birth and **Cotrimoxazole** (to prevent *Pneumocystis jirovecii*) starting at 6 weeks of age until infection is ruled out. * **Breastfeeding:** In India (NACO guidelines), exclusive breastfeeding is recommended for the first 6 months if replacement feeding is not "AFASS" (Affordable, Feasible, Acceptable, Sustainable, and Safe).
Vaccine-Preventable Diseases
Practice Questions
Immunization Schedule
Practice Questions
Common Childhood Infections
Practice Questions
Pediatric HIV
Practice Questions
Congenital Infections
Practice Questions
Fever in Infants and Children
Practice Questions
Meningitis and Encephalitis
Practice Questions
Respiratory Tract Infections
Practice Questions
Gastrointestinal Infections
Practice Questions
Parasitic Infections
Practice Questions
Tuberculosis in Children
Practice Questions
Opportunistic Infections
Practice Questions
Get full access to all questions, explanations, and performance tracking.
Start For Free