Which of the following conditions is characterized by severe respiratory distress in newborns due to a small thorax, very short limbs, and a large head with midfacial hypoplasia and Cloverleaf skull deformity?
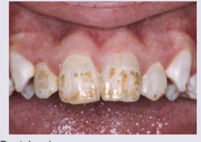
What is the dental condition shown in the image?

Which is incorrect about the patient shown in the image? (Recent NEET Pattern 2016-17)

What is incorrect about the condition shown in the image?

Comment on the diagnosis of the patient?

A newborn baby presents with hypotonia, flattened facial profile, and widely spaced first and second toes. The karyotype analysis is shown in the image. What is the most likely diagnosis?

A child can ride a tricycle, copies a circle, knows name and gender. The developmental age of this child is
A child can make a tower of 3 blocks, runs, copies his mother while sweeping and has a vocabulary of 8-10 words. His developmental age is
Consider the following disorders : 1. Delayed motor milestones 2. Spastic diplegia 3. Nyctalopia 4. Hearing defects Which of the above disorders occur as part of the spectrum of iodine deficiency disorders ?
Child starts speaking short sentences by the age of :
Explanation: ***Thanatophoric dwarfism*** - **Thanatophoric dwarfism** is a **lethal skeletal dysplasia** characterized by severe micromelia (very short limbs), a **small thorax**, and distinct craniofacial features including a large head with midfacial hypoplasia and **Cloverleaf skull deformity (Kleeblattschädel)** - The **small thorax** leads to **pulmonary hypoplasia**, causing severe respiratory distress and making it incompatible with life, typically resulting in death shortly after birth - It is caused by mutations in the **FGFR3 gene** and is the most common **lethal skeletal dysplasia** - The combination of cloverleaf skull, extreme micromelia, and severe respiratory distress is pathognomonic *Incorrect: Achondroplasia* - Most common **non-lethal** skeletal dysplasia also due to FGFR3 mutation - Features include short limbs and macrocephaly but **NO cloverleaf skull deformity** - Thorax is **relatively normal** - respiratory distress is not a feature - Compatible with life and normal intelligence *Incorrect: Osteogenesis imperfecta* - Characterized by **bone fragility** and multiple fractures, not micromelia - Craniofacial features include **blue sclera** and triangular facies, not cloverleaf skull - Caused by **collagen defects** (COL1A1/COL1A2 genes), not FGFR3 - Respiratory issues occur due to chest wall deformities from fractures, not small thorax *Incorrect: Achondrogenesis* - Another **lethal skeletal dysplasia** with severe micromelia and small thorax - However, it lacks the **characteristic cloverleaf skull deformity** and midfacial hypoplasia - Features include **severe trunk shortening**, hydrops fetalis, and markedly deficient ossification - Usually results in stillbirth or death within hours
Explanation: ***Fluorosis*** - The image displays **dental fluorosis**, characterized by **white flecks, streaks, or brown staining** on the enamel surface, often accompanied by a mottled appearance. These changes result from **excessive fluoride intake** during tooth development. - In more severe cases, as seen here with the noticeable brown discoloration and pitting, the enamel can become **porous and discolored**, reflecting significant exposure to high levels of fluoride. *Megadont teeth* - **Megadontia (macrodontia)** refers to abnormally large teeth, which is not evident in the provided image. The size of the teeth appears within the typical range. - This condition is often associated with certain genetic syndromes or developmental anomalies, but the primary visual finding here is enamel discoloration, not size. *Dental caries* - **Dental caries**, or tooth decay, typically presents as **cavities or dark spots** caused by bacterial acid erosion of the enamel and dentin. - While some discoloration similar to early caries might be present, the widespread, mottled, and brown staining pattern across multiple teeth is more indicative of fluorosis rather than localized decay. *Dentinogenesis imperfecta* - **Dentinogenesis imperfecta** is a genetic disorder affecting dentin formation, leading to teeth that appear **opalescent or translucent with a blue-gray or amber hue**. - Teeth affected by dentinogenesis imperfecta are also prone to **rapid wear and fracture**, with characteristic radiographic findings such as bulbous crowns and obliterated pulp chambers, none of which are typically observed on external visual inspection for fluorosis.
Explanation: ***Thanatophoric dwarfism*** - **INCORRECT statement (Correct Answer)** - **Thanatophoric dwarfism** is a severe form of skeletal dysplasia that is usually **lethal in the perinatal period** or early infancy, characterized by extremely short limbs, a narrow chest, and often cloverleaf skull deformity. - The patient in the image appears to be older than infancy, indicating that thanatophoric dwarfism is an incorrect diagnosis for this individual. The visible features are consistent with **achondroplasia**, not thanatophoric dwarfism. - This is the **answer** because it is the **false statement** about the patient. *Proximal shortening limbs* - **Correct statement (Incorrect Option)** - The image shows a patient with **rhizomelic dwarfism**, characterized by **proximal shortening of the limbs** (upper arms and thighs), which is a characteristic feature of achondroplasia. - This is observable in the image, as the upper arms appear disproportionately short compared to the trunk. - This statement is **TRUE** about the patient, so it's not the answer. *Calvarium enlargement* - **Correct statement (Incorrect Option)** - Patients with achondroplasia often exhibit **macrocephaly** (enlarged head circumference) with a prominent forehead, which can be described as **calvarium enlargement**. - This feature is consistent with the patient's head shape shown in the image. - This statement is **TRUE** about the patient, so it's not the answer. *Lumbar lordosis* - **Correct statement (Incorrect Option)** - **Exaggerated lumbar lordosis (swayback)** is a common skeletal manifestation in achondroplasia due to changes in vertebral body shape and interpedicular distance. - The side profile of the patient in the image clearly demonstrates an increase in the **lumbar curvature**, consistent with lordosis. - This statement is **TRUE** about the patient, so it's not the answer.
Explanation: The image shows an **aortic dissection**, characterized by a tear in the **intima** allowing blood to flow between the layers of the aortic wall, creating a **false lumen** (the white area dissecting the red aortic wall). ***Hydralazine is contraindicated*** - Hydralazine is an **arterial vasodilator** that can cause reflex tachycardia and increased aortic shear stress, exacerbating an aortic dissection. - Using hydralazine in this condition could worsen the dissection and lead to further complications, making it an **incorrect** treatment choice. *Intravenous esmolol* - **Intravenous esmolol** is a **beta-blocker** that is often used in the initial management of aortic dissection to lower heart rate and blood pressure. - Reducing heart rate and contractility decreases **aortic shear stress**, which is crucial in preventing the dissection from extending. *Aortography* - **Aortography** is an imaging technique that can visualize the aorta and its branches, including the presence and extent of an aortic dissection. - While other imaging modalities like CT angiography are more commonly used today, aortography remains a diagnostic option, especially in complex cases or when other modalities are inconclusive. *Hemiplegia* - **Hemiplegia**, or paralysis on one side of the body, can be a serious complication of aortic dissection if the dissection extends to involve the **carotid arteries** or other arteries supplying the brain. - Ischemia or infarction due to compromised blood flow to the brain can result in neurological deficits such as hemiplegia.
Explanation: ***Ventricular flutter*** - This ECG shows a very rapid, regular ventricular rhythm with **sine-wave-like morphology** and no discernible P waves or T waves, characteristic of ventricular flutter. - The rate is typically between **250-350 bpm**, and the QRS complexes are wide and uniform but merge with the T waves to create a continuous undulating pattern. *Ventricular tachycardia* - While ventricular tachycardia (VT) is a fast ventricular rhythm, it usually presents with **discrete QRS complexes** and identifiable (although wide) QRS and ST-T segments. - The rate in VT is typically **100-250 bpm**, and the complexes often show some degree of variability in morphology or R-R interval. *Ventricular fibrillation* - Ventricular fibrillation (VF) is characterized by **chaotic, irregular electrical activity** with no identifiable QRS complexes, P waves, or T waves. - The waveforms are highly variable in shape and amplitude, representing uncoordinated ventricular muscle activity, unlike the regular, undulating pattern seen here. *Electromechanical dissociation* - **Electromechanical dissociation (EMD)**, also known as pulseless electrical activity (PEA), occurs when there is organized electrical activity on the ECG but no palpable pulse. - The ECG in EMD can show a variety of rhythms, including normal sinus rhythm or bradycardia, but it will always show **discernible electrical complexes**, unlike the continuous sinusoidal pattern of ventricular flutter.
Explanation: ***Down's syndrome*** - The image presents a typical **karyotype** for Down's syndrome, specifically **Trisomy 21**, where there are three copies of chromosome 21 instead of two. - The phenotypic features shown, such as the widely spaced first and second toes (**sandal gap deformity**) and the general appearance of the infant (flattened facial profile, hypotonia, epicanthic folds), are characteristic of Down's syndrome. *Turner syndrome* - Turner syndrome is characterized by **monosomy X** (45, X), meaning there is only one X chromosome. - While associated with distinctive features like a **webbed neck** and **short stature**, these are not adequately represented or confirmed by the provided images, and the karyotype clearly shows an autosomal trisomy. *Prader-Willi syndrome* - Prader-Willi syndrome is caused by the **loss of function of specific genes on chromosome 15**, often due to a paternal deletion or maternal uniparental disomy. - It is characterized by **severe hypotonia** in infancy followed by **hyperphagia** and obesity in childhood, and there is no evidence of chromosome 15 abnormality in the karyotype. *Patau syndrome* - Patau syndrome is caused by **Trisomy 13**, meaning an extra copy of chromosome 13. - It typically manifests with severe developmental abnormalities, including **cleft lip/palate**, **polydactyly**, and severe central nervous system defects, which are distinct from the features presented in the image and not supported by the karyotype.
Explanation: ***3 years*** - A child who can **ride a tricycle**, **copy a circle**, and knows their **name and gender** has achieved developmental milestones typically seen around **3 years of age**. - **Riding a tricycle** demonstrates advanced gross motor skills, while **copying a circle** indicates fine motor skill development. **Knowing name and gender** points to cognitive and social-emotional understanding. *4 years* - By 4 years, a child can typically **hop on one foot**, **draw a square**, and **tell stories**. - While they might refine skills acquired at 3, the listed milestones are primary for the 3-year mark. *5 years* - A 5-year-old usually can **skip**, **draw a triangle**, and **count 10 or more objects**. - These milestones represent further advancements beyond those described in the question. *2 years* - At 2 years, a child typically starts to **kick a ball**, **draw a straight line**, and can say **two-to-four-word sentences**. - The skills described (tricycle, circle) are generally too advanced for a 2-year-old.
Explanation: ***18 months*** - At 18 months, children typically can **build a tower of 2-4 cubes**, run, and have a vocabulary of approximately **10 words**. - They also begin to engage in **imitative play**, such as copying household tasks like sweeping. *15 months* - A 15-month-old can usually **build a tower of 2 blocks** and walk independently, but **running** is generally not yet mastered. - Their vocabulary is typically smaller, around **4-6 words**, and imitative play is less complex. *24 months* - By 24 months, a child can build a tower of **5-7 cubes**, kick a ball, and their vocabulary expands significantly to **50-100 words** or more, including combining two words. - They participate in more elaborate **pretend play** and understand two-step commands. *12 months* - A 12-month-old typically can **pull to stand**, take a few steps, and transfer objects between hands, but **running** is not expected. - Their vocabulary is limited to **1-3 words** (like "mama" or "dada"), and their constructive play is minimal.
Explanation: ***1, 2 and 4*** - **Delayed motor milestones** and **spastic diplegia** are hallmark neurological symptoms of **cretinism**, caused by severe congenital iodine deficiency. The spasticity results from pyramidal tract involvement affecting motor development. - **Hearing defects** (sensorineural deafness) are frequently observed in individuals with iodine deficiency disorders due to impaired thyroid hormone synthesis affecting inner ear development during critical developmental periods. *2, 3 and 4* - **Nyctalopia (night blindness)** is primarily associated with **Vitamin A deficiency**, not iodine deficiency. - While spastic diplegia and hearing defects are linked to iodine deficiency, the inclusion of nyctalopia makes this option incorrect. *1, 2 and 3* - This option correctly identifies delayed motor milestones and spastic diplegia as symptoms of iodine deficiency, but **nyctalopia** is an incorrect association with iodine deficiency. - Therefore, the presence of nyctalopia invalidates this choice. *1 and 3 only* - This option correctly includes **delayed motor milestones** but incorrectly includes **nyctalopia** as an iodine deficiency disorder. - It also omits other significant neurological and developmental problems like spastic diplegia and hearing defects that are part of the IDD spectrum.
Explanation: ***24 months*** - By **24 months (2 years old)**, children typically begin to combine two or more words into **short sentences** and use about 50 words or more. - They also start to follow simple instructions and point to named objects and pictures. *15 months* - At **15 months**, children usually say a few words and can point to show what they want, but **short sentences** are not yet typical. They might use gestures more often. - Their vocabulary is still developing and usually consists of single words like "mama" or "dada." *12 months* - At **12 months (1 year old)**, most children are just starting to say their first words and are primarily communicating through gestures and sounds. - They are generally not forming combinations of words into sentences at this stage. *36 months* - By **36 months (3 years old)**, children have more advanced language skills, using **3-4 word sentences**, understanding most of what they hear, and having a vocabulary of several hundred words. - This age represents a more mature stage of language development than the initial formation of short sentences.
Normal Growth Parameters
Practice Questions
Developmental Milestones
Practice Questions
Puberty and Adolescent Development
Practice Questions
Growth Disorders
Practice Questions
Failure to Thrive
Practice Questions
Developmental Screening and Assessment
Practice Questions
Developmental Delays
Practice Questions
Growth Charts and Monitoring
Practice Questions
Short Stature
Practice Questions
Tall Stature
Practice Questions
Precocious and Delayed Puberty
Practice Questions
Psychosocial Development
Practice Questions
Get full access to all questions, explanations, and performance tracking.
Start For Free