Birth weight of a newborn baby doubles by which age?
A child typically climbs stairs at what age?
Which of the following developmental milestones is NOT typically achieved by 13 months of age?
Which of the following is considered a red flag sign in a child's development if not attained?
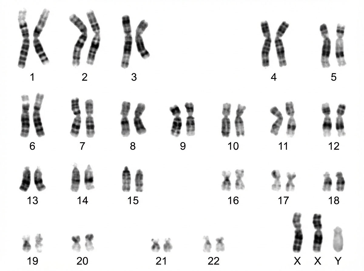
Which of the following chromosomal abnormalities is indicated by the chromosomal mapping?

What is a sternocleidomastoid tumor?
Short stature is defined as a height below which percentile?
Which of the following reflexes are present at birth?
Which X-ray view is used to determine bone age in a 3-year-old child?
A mother brings her 3-year-old female child complaining that the child is not eating. Her weight is 11 kg (50th percentile) and height is 88 cm (75th percentile). What should be done next?
Explanation: **Explanation:** The correct answer is **5 months**. In pediatric growth monitoring, weight is one of the most sensitive indicators of a child's nutritional status and general health. According to standard growth patterns (Nelson’s Textbook of Pediatrics), a healthy term neonate typically follows a predictable trajectory: 1. **Correct Option (B):** A newborn baby is expected to **double** their birth weight by **5 months** of age. While older textbooks sometimes cited 6 months, current clinical standards and the WHO growth charts recognize 5 months as the milestone for doubling. 2. **Incorrect Options (A, C, D):** * **4 months:** This is too early for the average infant to double their weight. * **6 months:** While widely taught in the past, 5 months is now the preferred answer for competitive exams like NEET-PG. * **7 months:** This indicates a potential growth delay or "failure to thrive" if the weight hasn't doubled by this point. **High-Yield Clinical Pearls for NEET-PG:** * **Initial Weight Loss:** Newborns lose about **5–10%** of their birth weight in the first week of life due to the excretion of excess extravascular fluid and low intake. They typically regain their birth weight by **day 10–14**. * **Weight Tripling:** Birth weight **triples** by **1 year** (12 months). * **Weight Quadrupling:** Birth weight **quadruples** by **2 years** (24 months). * **Formula for Weight Calculation (Weech’s Formula):** * 3–12 months: (Age in months + 9) / 2 * 1–6 years: (Age in years × 2) + 8 * 7–12 years: [ (Age in years × 7) – 5 ] / 2
Explanation: **Explanation:** The development of gross motor skills follows a predictable cephalocaudal (head-to-toe) pattern. Climbing stairs is a complex motor task that requires significant coordination, balance, and lower limb strength. **Why 24 months is correct:** By **24 months (2 years)**, a child typically climbs stairs using a **"two feet per step"** (marking time) pattern. At this age, they can go up and down stairs safely while holding onto a railing or a hand. This milestone follows the achievement of steady walking (12–15 months) and running (18 months). **Analysis of Incorrect Options:** * **6 months:** At this age, the child is just beginning to sit with support. They lack the trunk stability and limb strength required for any form of upright locomotion. * **12 months:** This is the milestone for **standing independently** and taking the first few steps (cruising or walking with support). Climbing stairs is too advanced for this stage. * **36 months (3 years):** By this age, the child progresses to climbing stairs using **alternating feet** (one foot per step) while going up. They still typically use "two feet per step" when coming down. **High-Yield NEET-PG Pearls:** * **Stairs Milestones:** * 2 years: Up and down (2 feet per step). * 3 years: Up (alternating feet); Down (2 feet per step). * 4 years: Up and down (alternating feet). * **Riding a Tricycle:** 3 years (36 months). * **Hopping on one foot:** 4 years (48 months). * **Skipping:** 5 years (60 months). * **Red Flag:** If a child is not walking independently by 18 months, it warrants a developmental evaluation.
Explanation: **Explanation:** The correct answer is **Casting**, as it is a milestone typically achieved between **15 to 18 months** of age. Casting refers to the deliberate action of throwing objects onto the floor, which signifies a child’s developing understanding of cause-and-effect and spatial relationships. **Why Casting is the correct choice:** While a 12-to-13-month-old can release an object into a container (voluntary release), the sophisticated motor coordination required to "cast" or throw objects purposefully develops later. In the context of NEET-PG, milestones at 12–13 months focus on the transition from infancy to toddlerhood, where casting is still an emerging skill. **Analysis of Incorrect Options:** * **A. Using index finger to point:** This is a fine motor/social milestone achieved by **9–10 months** (pincer grasp and index finger pointing). By 13 months, it is well-established. * **B. Walking independently:** Most children achieve independent walking (broad-based gait) by **12–13 months**. While the range is 9–15 months, it is a hallmark milestone for a 1-year-old. * **C. Saying single words:** By **12 months**, a child typically has 1–3 clear words with meaning (e.g., "Mama," "Dada"). **High-Yield Clinical Pearls for NEET-PG:** * **Tower of Blocks:** 15 months (2 blocks), 18 months (3 blocks), 2 years (6 blocks), 3 years (9 blocks or bridge). * **Social Milestone:** "Bye-bye" and "Pat-a-cake" are achieved by 9–10 months. * **Red Flag:** If a child is not walking by 18 months, it warrants a developmental evaluation.
Explanation: ### Explanation **Correct Answer: D. Social smile at 6 months** In pediatric development, a **"Red Flag"** is the failure to achieve a specific milestone by the upper limit of the normal age range. While most milestones have a wide window of attainment, certain delays are highly sensitive indicators of neurodevelopmental disorders or sensory impairments. * **Social Smile:** This is one of the earliest social milestones. A child normally develops a social smile by **2 months** of age. If a child has not attained a social smile by **6 months**, it is a significant red flag, often associated with visual impairment, attachment issues, or early signs of Autism Spectrum Disorder (ASD). **Analysis of Incorrect Options:** * **A. Vocalization at 2 months:** Cooing and vocalization typically begin around 2 months. Failing to do so at exactly 2 months is not a red flag; the red flag for lack of vocalization/babbling is usually set at **6 months**. * **B. Walking at 12 months:** The average age for independent walking is 12–13 months, but the "red flag" limit is **18 months**. Many healthy children do not walk at 12 months. * **C. Single word at 12 months:** While many children say "Mama/Dada" specifically by 12 months, the red flag for failing to use single words with meaning is **16 months**. **High-Yield Clinical Pearls for NEET-PG:** * **Social Smile:** 2 months (Red flag: 6 months). * **Head Control:** 3 months (Red flag: 6 months). * **Sitting without support:** 6–8 months (Red flag: 9–10 months). * **Standing alone:** 10–12 months (Red flag: 14 months). * **Hand Preference:** Should not appear before **18 months**. Early handedness may indicate spastic hemiplegia in the opposite limb.
Explanation: ***Klinefelter syndrome*** - The karyotype **47,XXY** shows an extra X chromosome in males, which is the classic chromosomal pattern for Klinefelter syndrome. - Clinical features include **hypogonadism**, **tall stature**, **gynecomastia**, and **infertility** due to the additional X chromosome. *Cri du chat syndrome* - Caused by a **deletion on chromosome 5p** (5p-), not an extra sex chromosome as shown in the mapping. - Characterized by a distinctive **cat-like cry**, **microcephaly**, and **intellectual disability**. *Eagle's syndrome* - This is **not a chromosomal abnormality** but rather an anatomical condition involving elongated **styloid process** or calcified **stylohyoid ligament**. - Presents with **throat pain**, **dysphagia**, and **otalgia**, unrelated to karyotypic changes. *Down's syndrome* - Results from **trisomy 21** (47,XX+21 or 47,XY+21), showing an extra chromosome 21, not extra sex chromosomes. - Clinical features include **intellectual disability**, **characteristic facial features**, and **cardiac defects**.
Explanation: **Explanation:** A **sternocleidomastoid (SCM) tumor**, also known as "fibromatosis colli," is a misnomer. It is not a neoplastic growth but rather a **localized hematoma** or fibrous thickening within the SCM muscle. It typically occurs due to birth trauma (e.g., breech delivery or forceps use), leading to intramuscular hemorrhage and subsequent fibrosis. **Why Option A is Correct:** The "tumor" is essentially a firm, non-tender mass (1–3 cm) that appears in the lower third of the SCM muscle, usually between 2 to 4 weeks of age. It results from the organization of a hematoma into fibrous tissue, which can cause shortening of the muscle, leading to **congenital muscular torticollis** (wry neck). **Why Other Options are Incorrect:** * **Option B & D:** Despite the name "tumor," it is a reactive fibroblastic proliferation, not a true malignancy or benign neoplasm. There is no risk of metastasis or neoplastic transformation. * **Option C:** Lymphadenopathy presents as multiple, often mobile nodes, whereas an SCM tumor is a solitary, fixed mass within the muscle belly itself. **NEET-PG High-Yield Pearls:** * **Clinical Presentation:** The infant’s head tilts *toward* the affected side, and the chin rotates *away* from it. * **Diagnosis:** Primarily clinical; **Ultrasonography (USG)** is the gold standard imaging modality to confirm fibrous replacement of muscle fibers. * **Management:** Over 90% of cases resolve with **conservative management** (passive stretching and positioning). Surgery (tenotomy) is reserved for refractory cases after 1 year of age. * **Association:** Always screen for **Developmental Dysplasia of the Hip (DDH)**, as there is a known clinical association.
Explanation: **Explanation:** **Short stature** is defined as a height that is more than **2 Standard Deviations (SD) below the mean** for age and sex, or **below the 3rd percentile** on a standardized growth chart. 1. **Why the 3rd percentile is correct:** In a normal (Gaussian) distribution of height, 95% of the population falls between -2 SD and +2 SD. The area below -2 SD corresponds approximately to the lowest 3rd percentile. Children falling below this threshold require clinical evaluation to differentiate between normal variants (like Constitutional Delay or Familial Short Stature) and pathological causes (like Growth Hormone deficiency or Turner syndrome). 2. **Why other options are incorrect:** * **5th percentile:** While some screening programs use the 5th percentile to identify children "at risk," it is not the formal diagnostic cutoff for short stature. * **15th and 25th percentiles:** These are well within the normal range of height distribution and do not signify growth failure. **High-Yield Clinical Pearls for NEET-PG:** * **Growth Velocity:** This is the most sensitive indicator of growth. A height velocity **<4 cm/year** between age 5 and puberty is considered pathological, even if the child is currently above the 3rd percentile. * **Bone Age:** In **Constitutional Delay**, bone age is delayed (matches height age); in **Familial Short Stature**, bone age is normal (matches chronological age). * **Mid-Parental Height (MPH):** * *Boys:* [Father's height + Mother's height + 13 cm] / 2 * *Girls:* [Father's height + Mother's height - 13 cm] / 2 * **Upper Segment:Lower Segment (US:LS) Ratio:** At birth, it is 1.7:1; at 3 years, it is 1.3:1; and it reaches **1:1 at 7–10 years**.
Explanation: **Explanation:** Primitive reflexes are involuntary motor responses originating in the brainstem and spinal cord. They are essential indicators of neurological integrity in neonates. Most primitive reflexes are **present at birth** (or develop in utero) and are gradually "inhibited" or integrated as the cerebral cortex matures. * **Moro’s Reflex:** This is a vestibular-driven protective response to a sudden loss of support. It appears at birth and typically disappears by 4–6 months. * **Palmar Grasp:** A tactile reflex where the infant curls their fingers around an object placed in the palm. It is present at birth and disappears by 3 months to allow for voluntary reaching. * **Asymmetrical Tonic Neck Reflex (ATNR):** Also known as the "fencing posture," it occurs when the head is turned to one side; the limbs on the "face side" extend while the "occiput side" limbs flex. It is present at birth and disappears by 4–6 months. Since all three reflexes are characteristic findings in a healthy term neonate, **Option D** is the correct answer. **High-Yield Clinical Pearls for NEET-PG:** 1. **Persistence:** If these reflexes persist beyond 6 months, it often indicates **Cerebral Palsy** or upper motor neuron lesions. 2. **Asymmetry:** An asymmetric Moro reflex suggests focal neurological or skeletal injury, such as **Erb’s Palsy** or a **fractured clavicle**. 3. **Parachute Reflex:** Unlike the reflexes above, this is a *protective* reflex that **appears at 6–9 months** and persists for life. It is NOT present at birth. 4. **Stepping Reflex:** Present at birth, disappears by 2 months (the earliest to disappear).
Explanation: **Explanation:** Bone age is a crucial clinical indicator used to assess a child's skeletal maturity and biological age. The choice of the anatomical site for X-ray depends primarily on the child's chronological age. **Why Wrist is Correct:** For children **older than 1 year**, the standard method for determining bone age is an X-ray of the **Left Hand and Wrist** (Non-dominant hand). This is because the hand and wrist contain a large number of ossification centers (8 carpal bones, metacarpals, and phalanges) that appear and fuse in a predictable chronological sequence. The most commonly used reference is the **Greulich and Pyle Atlas**. **Why the other options are incorrect:** * **Knee (A):** The knee (and foot/ankle) is used for bone age assessment in **infants (0–1 year)**. At birth, the distal femoral and proximal tibial epiphyses are typically present, making the knee a sensitive site for neonatal maturity. * **Shoulder (C):** The shoulder is not a standard site for routine bone age assessment as it lacks the density of small ossification centers found in the hand. * **Ankle (D):** Similar to the knee, the ankle/foot is used primarily in **infants less than 1 year old** to observe the appearance of the talus, calcaneum, and cuboid. **High-Yield Clinical Pearls for NEET-PG:** * **Standard Site:** Left Hand and Wrist (to avoid bias from dominant hand usage/trauma). * **Infants (<1 year):** Use X-ray of the Knee or Foot/Ankle. * **At Birth:** Only two carpal bones (none) are present; however, the **Distal Femoral Epiphysis** (appears at 36 weeks gestation) is a marker of fetal maturity. * **First Carpal Bone to Ossify:** Capitate (at ~1-3 months). * **Last Carpal Bone to Ossify:** Pisiform (at ~9-12 years). * **Tanner-Whitehouse (TW2) Method:** A more complex but accurate "point-scoring" system for bone age.
Explanation: This scenario describes a classic case of **"Physiological Anorexia"** of toddlerhood, a frequent concern in pediatric practice and a high-yield topic for NEET-PG. ### **1. Why Option C is Correct** The child’s growth parameters are the key to the diagnosis. At 3 years of age, a weight of 11 kg and a height of 88 cm are within normal limits (50th and 75th percentiles, respectively). * **Medical Concept:** Between ages 1 and 5, a child’s growth rate slows down significantly compared to the rapid growth of infancy. Consequently, their caloric requirement decreases, leading to a natural decline in appetite. * **Clinical Judgment:** If a child is active, meeting developmental milestones, and maintaining a normal growth curve, the "poor intake" is perceived rather than actual. Reassurance is the standard of care. ### **2. Why Other Options are Incorrect** * **Option A:** Vitamin tonics are often "placebo" treatments for parental anxiety. They do not address the physiological cause and are unnecessary if the child is growing well. * **Option B:** Forceful feeding is contraindicated as it creates a negative association with mealtime, potentially leading to genuine feeding disorders or obesity later in life. * **Option D:** While chronic infections like UTI can cause poor weight gain (Failure to Thrive), this child has normal growth parameters. Extensive investigations are not indicated in an asymptomatic, healthy-growing child. ### **3. High-Yield Clinical Pearls for NEET-PG** * **Weight Rule of Thumb:** Birth weight doubles by 5 months, triples by 1 year, and **quadruples by 2 years.** * **Height Rule of Thumb:** Birth length (avg 50 cm) increases by 25 cm in the 1st year and 12 cm in the 2nd year. A child **doubles their birth length at 4 years.** * **Physiological Anorexia:** Usually starts around 18 months. The most important step is to plot the **Growth Chart**; if the curve is normal, no intervention is needed.
Normal Growth Parameters
Practice Questions
Developmental Milestones
Practice Questions
Puberty and Adolescent Development
Practice Questions
Growth Disorders
Practice Questions
Failure to Thrive
Practice Questions
Developmental Screening and Assessment
Practice Questions
Developmental Delays
Practice Questions
Growth Charts and Monitoring
Practice Questions
Short Stature
Practice Questions
Tall Stature
Practice Questions
Precocious and Delayed Puberty
Practice Questions
Psychosocial Development
Practice Questions
Get full access to all questions, explanations, and performance tracking.
Start For Free