In the WHO 'Road to Health' card, what does the upper reference line represent?
In WHO growth charts, what does the 'Lower reference curve' represent?
At what age can a child typically kick a ball?
At what age can a child typically identify their gender?
Megalencephaly is commonly seen in which of the following conditions?
Which of the following statements is true regarding the serology of rickets?
What is the name of the device used to measure subscapular skin fold thickness?
At what age can a child play a simple ball game?
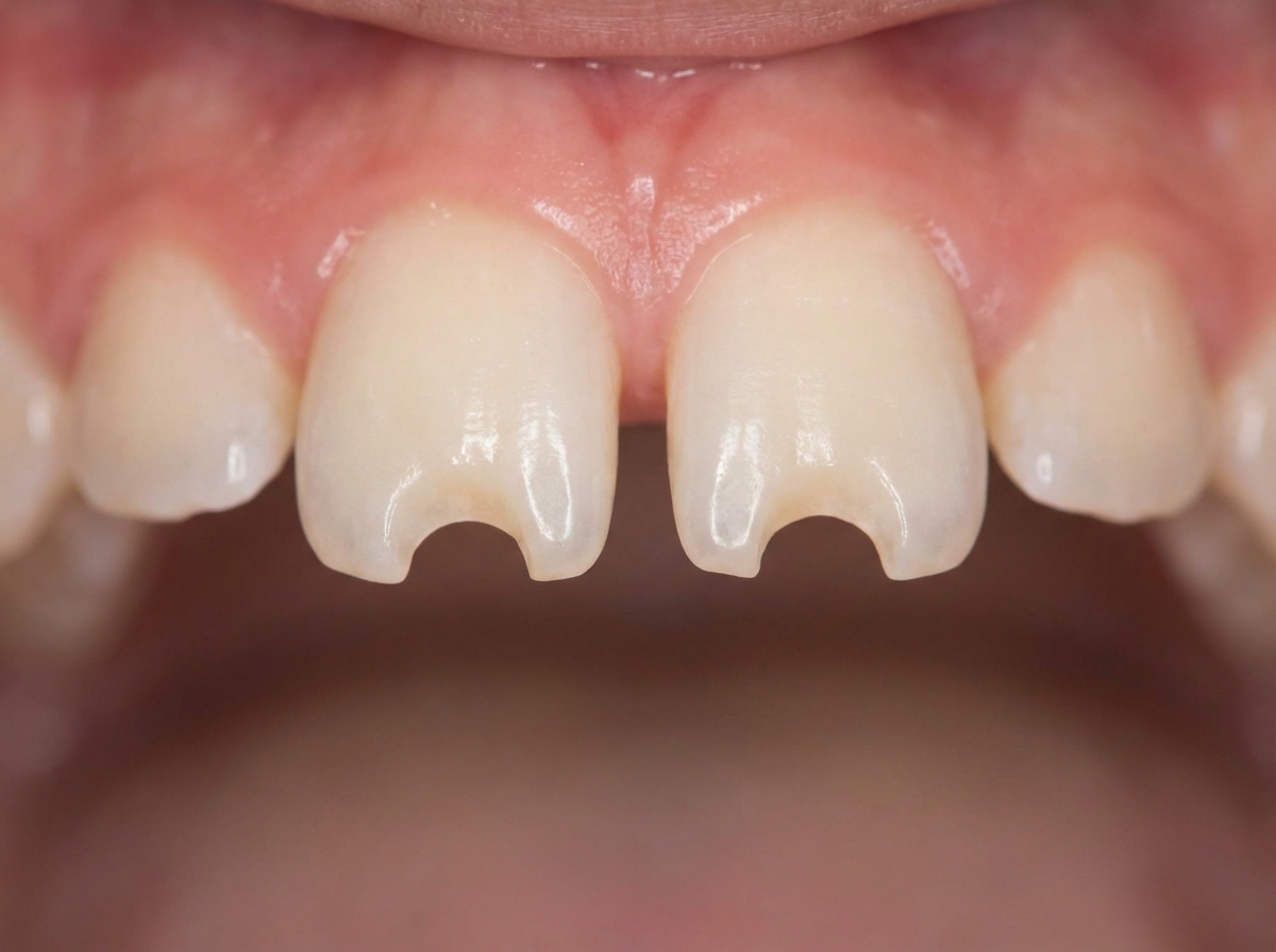
What is this teeth abnormality?

A child can typically withhold and postpone bowel movements voluntarily starting at approximately what age?
Explanation: ### Explanation The **WHO Growth Chart (Road to Health Card)** is a clinical tool used to monitor a child's nutritional status and development over time. The chart features two primary reference lines that define the "Road to Health" corridor. **1. Why the Correct Answer is Right:** The **upper reference line** represents the **50th percentile (Median) for boys**. In pediatric growth monitoring, the 50th percentile of a healthy, breastfed male population is used as the gold standard for optimal growth. If a child’s growth curve follows this line or stays within the corridor, it indicates adequate nutrition and health. **2. Analysis of Incorrect Options:** * **Option A & C (80th percentile):** The WHO charts use Z-scores (Standard Deviations) or percentiles (3rd, 15th, 50th, 85th, 97th). The 80th percentile is not a standard reference marker used on the Road to Health card. * **Option B (50th percentile for girls):** While girls have their own specific growth charts, the standard "Road to Health" card used in universal immunization and monitoring programs typically utilizes the **male median** as the upper reference because boys are generally larger than girls at the same age. Using the male median ensures that any child (regardless of sex) falling significantly below the lower limit is identified for intervention. **3. High-Yield Clinical Pearls for NEET-PG:** * **The Lower Line:** Represents the **3rd percentile** (or -2 Standard Deviations). * **The "Road to Health":** The area between the 50th and 3rd percentile. * **Growth Velocity:** The *direction* of the curve is more important than a single point. A **flattening curve** (stagnant weight) is the earliest sign of protein-energy malnutrition (PEM). * **Newer WHO Standards:** Based on the **Multicentre Growth Reference Study (MGRS)**, which establishes how children *should* grow (prescriptive) rather than just how they *do* grow (descriptive).
Explanation: In the WHO Child Growth Standards, growth is monitored using percentile curves or Z-scores. The **3rd percentile** is designated as the **lower reference curve**. ### Why the Correct Answer is Right The 3rd percentile represents the lower limit of the "normal" range. If a child is at the 3rd percentile, it means 97% of children of the same age and sex in the reference population are heavier/taller than them. In clinical practice, any value falling below this curve is a screening trigger for further evaluation to rule out conditions like failure to thrive, malnutrition, or endocrine disorders. ### Explanation of Incorrect Options * **B. 50th percentile:** This is the **median** or the "middle" reference curve. It represents the average growth of the reference population. * **C. 80th percentile:** This is not a standard reference line in WHO percentile charts. However, in the older **IAP (Indian Academy of Pediatrics) classification** for malnutrition, 80% of the median weight-for-age was used as the cutoff for Grade I malnutrition. * **D. 95th percentile:** This is often used as the **upper reference curve** (along with the 97th percentile). In older children, a BMI at or above the 95th percentile is the diagnostic cutoff for **obesity**. ### High-Yield Clinical Pearls for NEET-PG * **Standard Deviation (Z-scores):** WHO charts also use Z-scores. The **-2 SD** line corresponds roughly to the 3rd percentile (Moderate Malnutrition), while **-3 SD** indicates Severe Malnutrition (e.g., SAM). * **Road to Health Chart:** The area between the 3rd and 97th percentiles is considered the "Normal" zone. * **Most Sensitive Indicator:** **Weight-for-height** is the most sensitive indicator for acute malnutrition (wasting), while **Height-for-age** reflects chronic malnutrition (stunting).
Explanation: **Explanation:** The development of gross motor skills follows a predictable cephalocaudal (head-to-toe) pattern. Kicking a ball is a significant milestone that requires both **unilateral balance** and **coordinated leg movement**. * **Correct Answer: 24 months (2 years):** By this age, a child has developed sufficient postural stability to stand on one leg momentarily while swinging the other to kick a ball. This coincides with other 2-year milestones like walking up and down stairs (one step at a time) and running well. **Analysis of Incorrect Options:** * **12 months:** At this age, a child is typically just beginning to walk independently or with one hand held. They lack the balance required to lift one foot off the ground to kick. * **18 months:** A child at this stage can walk fast and may even climb stairs with help, but their coordination for "kicking" is usually limited to walking into a ball rather than a purposeful kick. * **36 months (3 years):** By 3 years, motor skills are more advanced; a child can pedal a tricycle and climb stairs using alternating feet. While they can certainly kick a ball, the milestone is typically achieved earlier at 24 months. **High-Yield Clinical Pearls for NEET-PG:** * **Stairs:** 18 months (crawls up), 24 months (2 feet per step), 36 months (alternating feet). * **Riding:** 24 months (pushes a toy), 36 months (tricycle). * **Hopping/Skipping:** Hopping on one foot occurs at 4 years; skipping occurs at 5 years. * **Rule of Thumb:** If a question asks about "complex" leg coordination without alternating feet, think **24 months**. If it involves alternating feet or pedaling, think **36 months**.
Explanation: **Explanation:** The development of gender identity is a stepwise cognitive process that aligns with a child’s overall psychosocial and language milestones. **Why 3 years is the correct answer:** By the age of **3 years**, most children have reached a level of cognitive development where they can label themselves and others as a boy or a girl. This is known as **Gender Identity**. At this stage, children begin to categorize behaviors and toys based on gender, although they do not yet understand that gender is a permanent trait. **Analysis of Incorrect Options:** * **2 years:** At this age, children are beginning to become aware of physical differences between sexes and are developing self-awareness, but they cannot yet consistently label gender. * **4 years:** By age 4, gender identity is already well-established. Children at this age are moving toward "Gender Stability"—the understanding that they will grow up to be a man or a woman. * **5 years:** By age 5 to 7, children achieve **Gender Constancy**. This is the realization that gender remains the same regardless of external changes, such as hair length or clothing choices. **Clinical Pearls for NEET-PG:** * **18–24 months:** Children begin to recognize and categorize gender groups. * **3 years:** Consistent self-identification of gender (Gender Identity). * **6 years:** Achievement of Gender Constancy (the most mature stage). * **High-Yield Milestone:** Remember that gender identity is distinct from sexual orientation; the former is established in early childhood, while the latter typically emerges during puberty.
Explanation: **Explanation:** **Megalencephaly** refers to an abnormally large and heavy brain, often manifesting clinically as macrocephaly (increased head circumference). **Why Tay-Sachs Disease is Correct:** Tay-Sachs is a lysosomal storage disorder caused by a deficiency of the enzyme **Hexosaminidase A**, leading to the accumulation of **GM2 gangliosides** within the neurons. This progressive intracellular accumulation causes the brain to increase in size and weight, typically becoming apparent after the first year of life. Other storage disorders associated with megalencephaly include Alexander disease, Canavan disease, and Gaucher’s disease. **Analysis of Incorrect Options:** * **Down Syndrome (Trisomy 21):** Characteristically associated with **microcephaly** (small head) and a flattened occiput (brachycephaly). * **Turner Syndrome (45, XO):** Generally does not affect head circumference significantly, though it is associated with short stature and specific physical stigmata (webbed neck, cubitus valgus). * **Intrauterine Infections (TORCH):** Most congenital infections (especially CMV and Toxoplasmosis) lead to **microcephaly** due to the destruction of developing brain tissue and subsequent calcification. **High-Yield Clinical Pearls for NEET-PG:** * **Tay-Sachs Triad:** Cherry-red spot on macula + Progressive neurodegeneration + **No** hepatosplenomegaly (distinguishes it from Niemann-Pick). * **Macrocephaly with Hydrocephalus:** Caused by CSF accumulation (e.g., Aqueductal stenosis). * **Macrocephaly with Megalencephaly:** Caused by brain parenchyma overgrowth (e.g., Sotos syndrome, Achondroplasia, or Storage disorders). * **Sotos Syndrome:** Also known as "Cerebral Gigantism," a key differential for megalencephaly.
Explanation: In nutritional Vitamin D deficiency rickets, the biochemical hallmark is a compensatory response to low calcium levels. **Correct Answer (C): Low/Normal Serum Calcium, Low Serum Phosphorus, and High Alkaline Phosphatase (ALP).** ### **Explanation of Biochemical Changes:** 1. **Serum Calcium:** Initially, calcium levels drop due to Vitamin D deficiency. However, this triggers **Secondary Hyperparathyroidism** (increased PTH). PTH mobilizes calcium from bones and increases renal reabsorption, often bringing serum calcium back to a **low-normal** range. 2. **Serum Phosphorus:** PTH decreases renal phosphate reabsorption (phosphaturia) to maintain calcium levels. This leads to consistently **low serum phosphorus**. 3. **Alkaline Phosphatase (ALP):** This is the **earliest and most sensitive marker**. Increased osteoblastic activity (an attempt to form bone despite poor mineralization) leads to significantly **elevated ALP**. ### **Analysis of Incorrect Options:** * **High Calcium:** Never seen in nutritional rickets; suggests Vitamin D toxicity or hyperparathyroidism. * **High Phosphorus:** Seen in renal failure (Renal Osteodystrophy) or hypoparathyroidism, not in classical rickets. * **Low ALP:** Seen in Hypophosphatasia (a rickets mimic), but in true nutritional rickets, ALP is always elevated. ### **NEET-PG High-Yield Pearls:** * **Earliest Sign of Rickets (Radiology):** Rarefaction of the zone of provisional calcification. * **Earliest Sign of Rickets (Clinical):** Craniotabes (softening of skull bones). * **Most Sensitive Biochemical Marker:** Elevated Serum Alkaline Phosphatase. * **Confirmatory Test:** Low levels of 25-hydroxyvitamin D [25(OH)D]. * **Vitamin D Resistant Rickets (PHEX mutation):** Characterized by normal Calcium, normal PTH, but very low Phosphorus.
Explanation: **Explanation:** The correct answer is **Harpenden Callipers**. **1. Why Harpenden Callipers is correct:** In pediatric assessment, skinfold thickness is a proxy measure for subcutaneous fat and nutritional status. The **Harpenden Skinfold Calliper** (or the Holtain calliper) is the gold-standard instrument used to measure skinfold thickness at various sites, most commonly the **triceps** and the **subscapular** region. It is designed to exert a constant pressure (10g/mm²) regardless of the thickness of the fold, ensuring standardized and reproducible measurements. **2. Why the other options are incorrect:** * **Orchidometer:** This is a string of graded wooden or plastic beads used to measure **testicular volume**, essential for assessing pubertal staging (Prader’s Orchidometer). * **Vernier callipers:** While used for precise linear measurements in various fields, they are not used for skinfold thickness because they lack the calibrated constant-pressure mechanism required for soft tissue assessment. * **Shakir’s tape:** This is a tri-colored non-stretchable tape used to measure the **Mid-Upper Arm Circumference (MUAC)**. It is a rapid screening tool for Malnutrition (PEM) in children aged 1–5 years. **3. High-Yield Clinical Pearls for NEET-PG:** * **Subscapular skinfold:** Measured just below the inferior angle of the scapula at a 45-degree angle. It is a better indicator of **central adiposity**. * **Triceps skinfold:** The most common site for assessing **long-term energy reserves**. * **Infantometer:** Used to measure **length** in children <2 years (recumbent). * **Stadiometer:** Used to measure **height** in children >2 years (standing). * **Stunted vs. Wasted:** Low height-for-age indicates **stunting** (chronic malnutrition); low weight-for-height indicates **wasting** (acute malnutrition).
Explanation: **Explanation:** The development of social play is a critical milestone in a child's first year. At **52 weeks (12 months)**, a child reaches a level of social and motor maturity that allows them to engage in **simple ball games** (like rolling a ball back and forth with an adult). This milestone signifies the transition from solitary play to early interactive social behavior and requires the coordination of voluntary release and social reciprocity. **Analysis of Options:** * **52 weeks (Correct):** By one year, the child has mastered the "voluntary release" of objects and understands the social concept of "turn-taking." * **44 weeks:** At this stage, a child is typically learning to "cruise" (walking holding onto furniture) and can perform a "pincer grasp," but lacks the social coordination for interactive ball play. * **36 weeks:** The child is usually sitting steadily and may begin to crawl. They can transition objects from hand to hand but cannot yet engage in reciprocal games. * **12 weeks:** This is the age of the "social smile" and head control. The child is far too young for complex motor tasks like grasping or releasing a ball. **High-Yield Clinical Pearls for NEET-PG:** * **Social Milestones:** * 2 months: Social smile. * 6 months: Recognizes strangers (Stranger anxiety). * 9 months: Waves "bye-bye." * 12 months: Plays simple ball games, comes when called. * 18 months: Copies parents in tasks (e.g., sweeping). * **Motor Milestone Link:** To play a ball game, the child must have **voluntary release** (10–12 months); prior to this, they may pick up an object but cannot intentionally let it go to another person.
Explanation: ***Hutchinson's teeth*** - **Notched, peg-shaped upper central incisors** with a distinctive **screwdriver appearance** are pathognomonic of congenital syphilis. - Part of **Hutchinson's triad** which includes **interstitial keratitis**, **eighth nerve deafness**, and these characteristic dental abnormalities. *Mulberry molars* - **Crown-shaped molars** with multiple **cuspal projections** resembling a mulberry, also seen in congenital syphilis. - Affects **first molars** specifically, not the **central incisors** as shown in the characteristic appearance described. *Natal teeth* - **Teeth present at birth** or erupting within the first month of life, typically **lower central incisors**. - These are **normal-shaped teeth** that appear prematurely, not malformed or notched teeth. *Supernumerary teeth* - **Extra teeth** beyond the normal dental formula, most commonly **mesiodens** (extra central incisor). - These are **additional teeth** rather than **malformed existing teeth** with characteristic notching pattern.
Explanation: **Explanation:** The ability to voluntarily withhold and postpone bowel movements is a milestone related to **sphincter control** and neurological maturation. While the physiological capacity to control the anal sphincter begins to develop between 18 and 24 months, the cognitive and behavioral maturity required to consistently "withhold and postpone" until reaching a toilet is typically achieved by **3 years of age**. * **Why 3 years is correct:** By age 3, most children have developed the necessary neuromuscular coordination and social awareness to regulate bowel habits. This coincides with the completion of myelination of the pyramidal tracts, allowing for voluntary control over the external anal sphincter. * **Why 1 year is incorrect:** At 12 months, a child lacks the neurological maturity for sphincter control. Bowel movements at this age are purely reflexive. * **Why 2 years is incorrect:** At 24 months, many children begin "toilet training" and may show signs of readiness (e.g., staying dry for 2 hours), but the consistent ability to postpone a bowel movement is often still developing. * **Why 4 years is incorrect:** By age 4, most children are already fully toilet trained. Achieving this milestone at 4 years would be considered slightly delayed, as the average age for daytime bowel and bladder control is 2.5 to 3 years. **High-Yield Clinical Pearls for NEET-PG:** * **Order of Control:** Usually, nocturnal bowel control is achieved first, followed by daytime bowel control, then daytime bladder control, and finally nocturnal bladder control. * **Encopresis:** Defined as the repeated passage of feces into inappropriate places (voluntary or involuntary) in a child **at least 4 years** of age. * **Enuresis:** Diagnosis is typically not made until the child is **at least 5 years** of age.
Normal Growth Parameters
Practice Questions
Developmental Milestones
Practice Questions
Puberty and Adolescent Development
Practice Questions
Growth Disorders
Practice Questions
Failure to Thrive
Practice Questions
Developmental Screening and Assessment
Practice Questions
Developmental Delays
Practice Questions
Growth Charts and Monitoring
Practice Questions
Short Stature
Practice Questions
Tall Stature
Practice Questions
Precocious and Delayed Puberty
Practice Questions
Psychosocial Development
Practice Questions
Get full access to all questions, explanations, and performance tracking.
Start For Free