All of the following statements regarding this image are true except:

A baby presents with colicky abdominal pain. Mother gives a history of bloody stools. All the statements regarding this condition are true except:
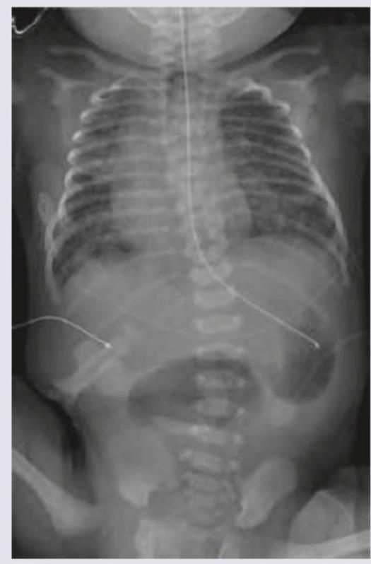
A baby on day 4 of its birth presents with repeated vomiting. The vomiting is bilious in nature. What is the most possible diagnosis as per the infantogram?

Neonate is brought at 3 weeks of age, with projectile vomiting. USG was performed and is shown below. When can the abdominal mass in this condition be best palpated?

USG abdomen of a 9-month-old child as shown below denotes:

All of the following statements regarding this image are true except: (Recent NEET Pattern 2016-17)

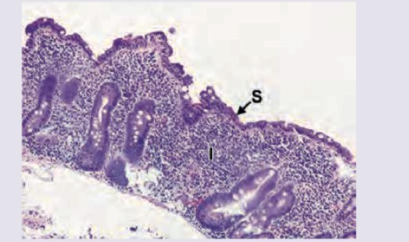
One-year-old child with failure to thrive and diarrhea. On examination anemia and puffy eyes are noted. Intestinal biopsy was performed. All are true about the condition shown except:

Which of the following statements are correct regarding the management of gastrointestinal bleeding in children? I. Somatostatin or octreotide infusion should be given for at least 7 days after stoppage of initial bleeding to prevent rebleeding II. Endoscopic Sclerotherapy (EST) involves endoscopic injection of N -butyl-2-cyanoacrylate or iso-butyl-2-cyanoacrylate III. EST has upto 90 % efficacy in controlling acute bleeding IV. Following an episode of acute variceal bleeding, all patients should receive secondary prophylaxis to prevent rebleeding Select the answer using the code given below :
Consider the following features: 1. Visible gastric peristalsis 2. Bilious vomiting 3. Palpable tumour 4. Melena Which of these is/are feature/features of infantile hypertrophic pyloric stenosis?
An eight month old male child is brought to the emergency with recurrent episodes of screaming and drawing up of legs. The child appears to be listless in between the attacks. Local examination of abdomen reveals feeling of emptiness in the right iliac fossa and blood stained mucus is found on the finger on rectal examination. The most probable clinical diagnosis in this child is
Explanation: ***Rate of re-occurrence is $50 \%$ after non-operative reduction*** - The recurrence rate of intussusception after successful non-operative reduction (e.g., pneumatic or hydrostatic enema) is typically quoted as **5-15%**, not 50%. - A 50% recurrence rate would be unusually high and is not supported by standard clinical data. *Diagnosis is confirmed by USG* - **Ultrasound (USG)** is the preferred initial imaging modality for suspected intussusception due to its high sensitivity and specificity. - The classic "**target sign**" or "**donut sign**" on ultrasound confirms the diagnosis. *Seventy percent of the cases can be reduced nonoperatively* - **Non-operative reduction** using pneumatic or hydrostatic enema is successful in approximately **70-75%** of cases of intussusception, especially when performed early. - This method is often the first-line treatment if there are no signs of peritonitis or perforation. *Baby may present with red currant jelly stools* - **Red currant jelly stools** (stools mixed with blood and mucus) are a classic clinical manifestation of intussusception. - This symptom results from the vascular compromise and mucosal ischemia in the telescoping bowel segment.
Explanation: ***Treatment of choice in this condition is resection and anastomosis*** - The initial treatment for **intussusception** in stable patients without signs of peritonitis or perforation is typically **non-operative reduction** using a pneumatic or hydrostatic enema. - **Surgical resection and anastomosis** are reserved for cases that fail enema reduction, have evidence of perforation, peritonitis, or bowel necrosis, or in cases where a pathological lead point is identified later. *Most common age of presentation is between 6-9 months* - This statement is true. The peak incidence of **intussusception** occurs between **5 and 9 months of age**, with 80-90% of cases presenting by 2 years of age. - This age range coincides with changes in diet and development of the intestinal immune system, which can contribute to the hypertrophy of lymphoid tissue. *Most common site is ileocolic* - This statement is true. **Ileocolic intussusception**, where the ileum telescopes into the colon through the ileocecal valve, accounts for about **75-90% of all cases**. - This anatomical arrangement at the ileocecal junction is particularly prone to telescoping. *Most common cause of this condition is hypertrophy of Peyer's patches* - This statement is true, particularly in infants and young children where a specific lead point is not found. - **Hypertrophy of Peyer's patches** during viral illnesses (e.g., adenovirus) or other infections is thought to act as a *lead point*, initiating the invagination process.
Explanation: ***Duodenal atresia*** - The infantogram shows the classic "double bubble" sign, indicating a distended stomach and a dilated duodenum separated by the pylorus. This is pathognomonic for **duodenal atresia**. - **Bilious vomiting** in a neonate, especially from day 1-2 of life, is a key clinical feature of duodenal atresia due to the obstruction being distal to the ampulla of Vater. *Hypertrophic obstructive pyloric stenosis* - This condition typically presents around **3-6 weeks of age** and is characterized by **non-bilious projectile vomiting**. - Radiologically, it would show a distended stomach but not a dilated duodenum; an ultrasound showing a thickened and elongated pyloric channel is diagnostic. *Jejunal atresia* - Jejunal atresia presents with **multiple dilated loops of small bowel proximally** due to the obstruction and air-fluid levels, often leading to a "triple bubble" or multiple air-fluid levels but not the distinct double bubble sign. - While it causes bilious vomiting, the imaging pattern is different from what is seen in the provided infantogram. *Meconium ileus* - This condition is typically associated with **cystic fibrosis** and presents with abdominal distension, failure to pass meconium, and bilious vomiting. - The infantogram would show multiple dilated loops of bowel of varying caliber, often with a "ground glass" appearance due to tenacious meconium, and typically no air-fluid levels or a distinct double bubble.
Explanation: ***During feeding*** - In **hypertrophic pyloric stenosis**, the characteristic **"olive" mass** formed by the thickened pylorus is most easily palpable **during feeding or immediately after vomiting**. - During this time, the infant’s abdominal muscles are relaxed, making palpation of the mass in the **epigastrium (right upper quadrant)** more successful. *In umbilical area* - The umbilical area is typically where **omphaloceles** or **umbilical hernias** are found, not the pyloric mass. - The pylorus is located much higher in the epigastric region, to the right of the midline. *In epigastric area* - While the pyloric mass is located in the **epigastric area**, palpation is more difficult when the infant is crying or agitated. - The question asks when it can be *best* palpated, emphasizing the conditions under which it is most detectable. *In Right upper quadrant* - The pylorus is indeed located in the **right upper quadrant/epigastrium**. - However, the optimal timing for palpation is during feeding or after vomiting, as the infant's abdomen is relaxed at that point.
Explanation: ***Intussusception*** - The ultrasound image clearly shows a "target sign" or "doughnut sign" in transverse view, and a "pseudokidney sign" or "sandwich sign" in longitudinal view, which are **pathognomonic for intussusception**. - Intussusception is the telescoping of one part of the intestine into an adjacent part, commonly presenting in infants with **abdominal pain**, **vomiting**, and **currant jelly stools**. *Meckel's diverticulum* - A Meckel's diverticulum is a **remnant of the omphalomesenteric duct** and typically appears as a blind-ended pouch on imaging, not a concentrically layered mass. - While it can cause bleeding or obstruction, it generally does not produce the characteristic sonographic appearance seen here. *Rectal polyp* - A rectal polyp is an **abnormal growth of tissue** protruding from the lining of the rectum. - Ultrasound of a rectal polyp would show a distinct mass in the rectum, which is not depicted in this image of the small or large bowel. *Congenital hypertrophic pyloric stenosis* - This condition involves **thickening of the pyloric muscle**, leading to gastric outlet obstruction, and is characterized by a "cervix sign" or "target sign" in the pylorus on ultrasound. - The image shown depicts a larger, more complex bowel involvement (likely ileocolic), not a focal pyloric thickening.
Explanation: ***Rate of reoccurrence is 50% after nonoperative reduction*** - The recurrence rate after successful nonoperative reduction of intussusception is typically around **5-10%**, not as high as 50%. - A 50% recurrence rate would suggest a highly unstable reduction or a strong underlying predisposing factor that is not being addressed. *Ileo-colic variety is common in children* - **Ileo-colic intussusception** is indeed the most common type of intussusception, especially in children, accounting for approximately 90% of cases. - This anatomical location is where the **ileum telescopes into the cecum and colon**, which is often depicted in images like the one provided. *70% of the cases can be reduced nonoperatively* - **Nonoperative reduction** using air or hydrostatic enema is successful in a significant majority of intussusception cases, with success rates often reported between **70-90%**. - This makes nonoperative reduction the first-line treatment in stable patients without signs of peritonitis or perforation. *Baby presents with red currant jelly stools* - **Red currant jelly stools**, which are a mixture of **blood and mucus**, are a classic symptom of intussusception, particularly in infants. - This symptom results from **ischemia and sloughing of the intestinal mucosa** due to compromised blood supply.
Explanation: ***Crypt abscess*** - The image and clinical presentation are classic for **celiac disease**, which involves **villous atrophy** and chronic inflammation of the small intestine. Crypt abscesses are characteristic of **inflammatory bowel disease** (e.g., ulcerative colitis), not celiac disease. - The biopsy shows **flattening of villi** and increased inflammatory cells in the lamina propria but no evidence of crypt abscess formation. *Associated with diabetes mellitus type 1* - **Celiac disease** is frequently associated with other autoimmune conditions, including **Type 1 Diabetes Mellitus**. - Both conditions share common genetic predispositions (e.g., HLA-DQ2/DQ8). *Increased lymphocytes in lamina propria* - A hallmark histological feature of **celiac disease** is an increased number of **intraepithelial lymphocytes** and lymphocytes within the lamina propria. - This lymphocytic infiltration contributes to the immune-mediated damage to the small intestinal mucosa. *Anti-epidermal tissue transglutaminase antibody is associated with dermatitis herpetiformis* - **Anti-tissue transglutaminase (tTG) antibodies**, particularly the IgA subclass, are highly specific and sensitive for **celiac disease**. - **Dermatitis herpetiformis**, a pruritic papulovesicular rash, is the **cutaneous manifestation of celiac disease** and is associated with IgA antibodies that cross-react with epidermal transglutaminase 3 (eTG3).
Explanation: ***III and IV*** **Statement I is INCORRECT:** Somatostatin or octreotide infusions are typically administered for **3-5 days** (not 7 days) after initial bleeding has stopped to prevent rebleeding. Prolonged use beyond this period is not generally recommended due to potential side effects and lack of additional benefit. **Statement II is INCORRECT:** Endoscopic Sclerotherapy (EST) for esophageal varices involves injection of sclerosants such as **ethanolamine oleate, sodium tetradecyl sulfate**, or polidocanol. The tissue adhesives **N-butyl-2-cyanoacrylate** or **iso-butyl-2-cyanoacrylate** are used in **endoscopic variceal obturation (EVO)** for **gastric varices**, not in standard sclerotherapy for esophageal varices. **Statement III is CORRECT:** Endoscopic Sclerotherapy (EST) demonstrates **up to 90% efficacy** in controlling acute variceal bleeding, making it a highly effective intervention for managing acute hemorrhage. **Statement IV is CORRECT:** Following an episode of acute variceal bleeding, **all patients should receive secondary prophylaxis** (typically combination of non-selective beta-blockers and endoscopic band ligation) to prevent rebleeding, which is associated with significant morbidity and mortality. *I and III* - Incorrect because Statement I is wrong about the duration of vasoactive drug therapy. *II and IV* - Incorrect because Statement II confuses sclerotherapy agents with tissue adhesives used for gastric varices. *I and II* - Incorrect because both statements I and II contain inaccuracies regarding duration of therapy and sclerosing agents respectively.
Explanation: ***1 and 3 only*** - **Visible gastric peristalsis** is a classic sign of pyloric stenosis, as the stomach attempts to overcome the obstruction. - A **palpable olive-shaped mass** (the hypertrophied pylorus) in the epigastrium is a hallmark physical finding. *2 and 4* - **Bilious vomiting** indicates an obstruction **distal** to the ampulla of Vater (duodenum or beyond), whereas pyloric stenosis is gastric outlet obstruction and typically causes **non-bilious vomiting**. - **Melena** (black, tarry stools) indicates upper gastrointestinal bleeding, which is not a typical feature of pyloric stenosis. *4 only* - **Melena** is not a feature of pyloric stenosis; it indicates upper gastrointestinal bleeding. - Pyloric stenosis primarily causes gastric outlet obstruction, leading to forceful, **non-bilious vomiting** and dehydration. *1, 2 and 3* - While **visible gastric peristalsis** and a **palpable tumour** are characteristic, **bilious vomiting** is not. - Vomiting in pyloric stenosis is typically **non-bilious** because the obstruction is proximal to the entry of bile into the duodenum.
Explanation: ***Acute intussusception*** - The classic triad of symptoms in an infant – **intermittent abdominal pain** (screaming, drawing up legs), **vomiting**, and **currant jelly stools** (blood-stained mucus) – is highly indicative of intussusception. - The presence of a **"dance sign"** (emptiness in the right iliac fossa due to the displacement of the cecum) and a palpable sausage-shaped mass (though not explicitly stated, implied by emptiness) further supports this diagnosis. *Rectal prolapse* - While rectal prolapse can present with crying and blood in the stool, it would typically involve the **visible protrusion of rectal tissue from the anus**, which is not described. - It does not cause the intermittent severe abdominal pain and listlessness consistent with an acute intestinal obstruction. *Midgut volvulus* - Midgut volvulus typically presents with **bilious vomiting** and signs of acute intestinal obstruction and ischemia (e.g., severe abdominal distension, peritonitis, shock). - While it can cause bloody stools due to ischemia, the characteristic **intermittent pain and asymptomatic periods** between attacks, along with the specific rectal findings, are more characteristic of intussusception. *Caecal volvulus* - Caecal volvulus is more common in **older children or adults** and presents with acute abdominal pain, distension, and signs of large bowel obstruction. - It would not typically present with the intermittent episodes of pain and the classic **"currant jelly" stools** or the "dance sign" seen in intussusception in an infant.
Gastroesophageal Reflux
Practice Questions
Peptic Ulcer Disease
Practice Questions
Inflammatory Bowel Disease
Practice Questions
Celiac Disease
Practice Questions
Malabsorption Syndromes
Practice Questions
Acute and Chronic Diarrhea
Practice Questions
Constipation and Encopresis
Practice Questions
Gastrointestinal Bleeding
Practice Questions
Intestinal Obstruction
Practice Questions
Liver Diseases in Children
Practice Questions
Pancreatic Disorders
Practice Questions
Pediatric Nutritional Support
Practice Questions
Get full access to all questions, explanations, and performance tracking.
Start For Free