These two brothers age 10 and 8 years are having short stature with midface hypoplasia, high squeaky voice. The levels of GH are elevated with normal TSH, FT4 and FT3. Diagnosis is?
The child in the image most likely suffers from?

The following child with Genu Valgum has been treated with multiple dosages of injectable vitamin D3 supplements at a P.H.C. The lab values ordered by you shows serum calcium = 9 mg% with low serum phosphate and normal levels of 25-hydroxycholecalciferol. The most probable defect is?

In this case of ambiguous genitalia, all of the following investigations are needed EXCEPT:

A 10-year-old short stature child presents with daily headache, vomiting, increased urine output and polydipsia. CT head is performed. All are true about the condition except:
A 5-year-old girl is referred for vaginal bleeding. Physical examination shows breast development, multiple cystic changes in bone radiologically and following skin finding. What is the most likely pubertal disorder?

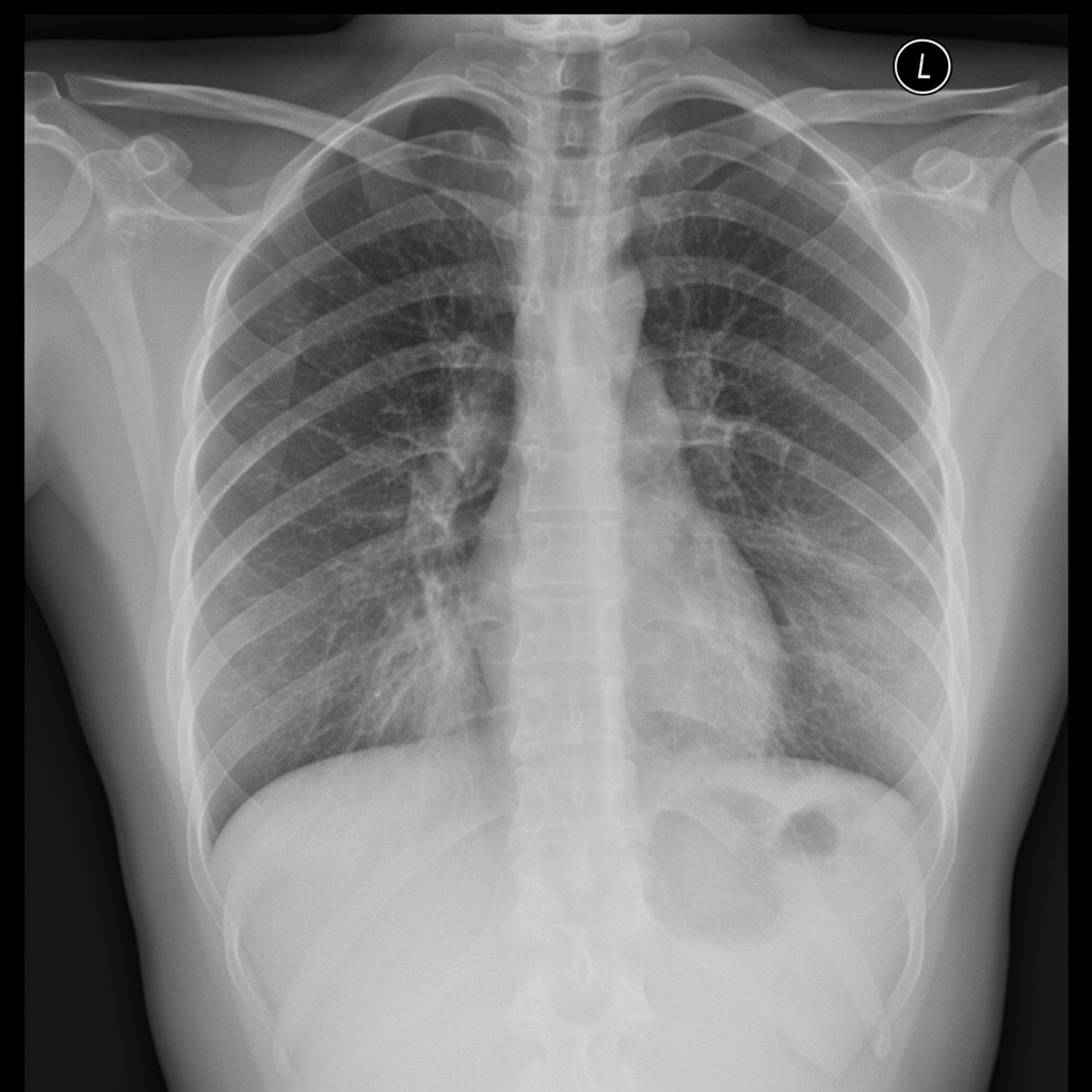
The chest X-ray of patient shows:

In a newly diagnosed case of a sick child with type 1 diabetes mellitus (DM), insulin was given. Which of the following will increase:
Cretinism is -
Screening for nephropathy in prepubertal children with type 1 DM should be initiated after how many years of disease onset?
Explanation: ***Laron syndrome*** - This syndrome is characterized by **short stature**, a **high-pitched voice**, and **midface hypoplasia**, all consistent with the patient's presentation. - Patients with Laron syndrome have **elevated growth hormone (GH) levels** but cellular insensitivity to GH, leading to low IGF-1 levels. Their normal TSH, FT4, and FT3 exclude thyroid disorders. *Simmonds syndrome* - Simmonds syndrome refers to **panhypopituitarism** in adults, typically caused by a pituitary tumor or infarction. - It would present with **deficiencies in multiple pituitary hormones**, including GH, TSH, and ACTH, which is not consistent with elevated GH and normal thyroid hormones in children. *Hypothalamic dysgenesis* - **Hypothalamic dysgenesis** can lead to growth hormone deficiency if the hypothalamus is unable to produce sufficient growth hormone-releasing hormone (GHRH). - This would result in **low GH levels**, not elevated GH as seen in the patient. *Thyroid dysgenesis* - **Thyroid dysgenesis** results in congenital hypothyroidism, characterized by **elevated TSH** and **low FT4/FT3**. - The patient has normal TSH, FT4, and FT3 levels, ruling out primary thyroid dysfunction.
Explanation: **Hypothyroidism** - The child presents with features consistent with **congenital hypothyroidism**, including a **puffy face**, **thickened tongue** (though not explicitly visible in this image, it's a common finding), and generalized **edema** or **myxedema** leading to a bloated appearance. - Other common signs of congenital hypothyroidism include **umbilical hernia**, **hypotonia**, **poor feeding**, and **developmental delay** if untreated, contributing to the overall impression of a sluggish metabolism. *Adrenal tumor* - An adrenal tumor could lead to **Cushing's syndrome** if it produces cortisol, characterized by central obesity, moon facies, and buffalo hump, but typically also includes features like hypertension and striae, which are not clearly evident. - If it were a virilizing tumor (androgen-producing), the child would often show signs of precocious puberty or virilization, which are inconsistent with the image. *Pan-hypopituitarism* - This condition involves deficiencies of multiple pituitary hormones, leading to a variety of symptoms depending on which hormones are affected. Common features include **growth failure**, **hypoglycemia**, and potentially **hypothyroidism** or **adrenal insufficiency** as secondary effects. - While it can manifest with some features of hypothyroidism (if TSH is deficient), it typically involves a broader range of deficiencies and often presents with more pronounced growth retardation rather than the specific puffy appearance seen here. *Non-functioning pituitary tumor* - A non-functioning pituitary tumor typically causes symptoms due to its **mass effect** (e.g., headaches, visual field defects) or by **compressing surrounding pituitary tissue**, leading to hypopituitarism. - It would not primarily cause the characteristic features of puffiness and edema seen in the image, which are more indicative of a primary endocrine dysfunction like hypothyroidism.
Explanation: ***Defect in PHEX gene*** - The combination of **Genu Valgum** (a sign of rickets/osteomalacia), low serum phosphate, normal calcium, and normal 25-hydroxycholecalciferol levels despite high-dose vitamin D3 supplementation is characteristic of **X-linked hypophosphatemic rickets (XLH)**. - XLH is caused by a **defect in the PHEX gene**, leading to increased levels of **FGF23**, which causes renal phosphate wasting and impaired 1,25-dihydroxyvitamin D production. *Chronic renal failure* - **Chronic renal failure** would typically present with **elevated phosphate** and low calcium due to impaired phosphate excretion and decreased calcitriol production. - The patient has **low serum phosphate**, which contradicts the typical electrolyte imbalance seen in chronic renal failure. *Hypoparathyroidism* - **Hypoparathyroidism** is characterized by **low calcium** and **high phosphate** due to insufficient parathyroid hormone (PTH) activity. - This patient has normal calcium and low phosphate, which is inconsistent with hypoparathyroidism. *Pseudohypoparathyroidism* - **Pseudohypoparathyroidism** involves **target organ resistance to PTH**, leading to **hypocalcemia** and **hyperphosphatemia**, as seen in hypoparathyroidism, but with elevated PTH levels. - The patient's normal calcium and low phosphate levels do not align with the biochemical profile of **pseudohypoparathyroidism**.
Explanation: ***24-hour urinary chloride*** - The image shows **ambiguous genitalia**, which is highly suggestive of **congenital adrenal hyperplasia (CAH)** due to 21-hydroxylase deficiency. - CAH in girls often presents with **salt-wasting crises**, leading to **hyponatremia** and **hyperkalemia**, but typically has **low urinary sodium and chloride** due to effective conservation by mineralocorticoids, so 24-hour urinary chloride would not be needed for diagnosis. *X-ray wrist and elbow* - **Bone age assessment** using X-rays of the wrist and elbow is crucial in CAH to monitor **accelerated growth and premature epiphyseal fusion**, which can lead to short adult stature if untreated. - This assessment helps in guiding treatment and evaluating its effectiveness. *Karyotype* - A **karyotype** is essential to determine the **genetic sex** in cases of ambiguous genitalia, differentiating between **46,XX CAH** and other conditions like **androgen insensitivity syndrome** (46,XY). - This test is fundamental for accurate diagnosis and gender assignment. *Serum electrolytes* - Infants with **classic CAH** due to 21-hydroxylase deficiency are at high risk for **salt-wasting crises**, which involve abnormalities in **serum sodium, potassium, and glucose**. - Monitoring serum electrolytes is vital for detecting and managing these life-threatening crises.
Explanation: ***Best managed with CNS radiation and chemotherapy*** - **Craniopharyngiomas** are benign tumors and aggressive management with **radiation** and **chemotherapy** is generally avoided due to significant risk of neurocognitive and endocrine side effects, especially in young children. - The primary treatment is **surgical resection**, which can be followed by adjuvant radiotherapy if there is residual tumor and high risk of recurrence. *Most common type is Adamantinomatous variant* - The **adamantinomatous craniopharyngioma** is the most common histological subtype, particularly in children. - It often presents with characteristic **cystic and solid components** and calcifications on imaging. *Supratentorial lesion with both solid and cystic presentation* - **Craniopharyngiomas** are typically **suprasellar tumors**, meaning they are located in the supratentorial region near the sella turcica. - They commonly exhibit both **solid and cystic components** on imaging, often with calcifications. *Leads to Pan-hypopituitarism* - Due to their location near the **pituitary gland** and **hypothalamus**, craniopharyngiomas frequently compress these structures. - This compression can lead to various **endocrine deficiencies**, including growth hormone deficiency (causing short stature), diabetes insipidus (increased urine output and polydipsia), and other hypopituitary states.
Explanation: ***Peripheral precocious puberty*** - The combination of **vaginal bleeding**, **breast development**, **multiple cystic changes in bone** (fibrous dysplasia), and the characteristic **café-au-lait spots with irregular borders** (as seen in the image) is highly suggestive of **McCune-Albright syndrome**. - McCune-Albright syndrome is a classic cause of **peripheral precocious puberty**, not due to premature activation of the hypothalamic-pituitary-gonadal (HPG) axis, but rather autonomous production of sex hormones (e.g., estrogen) from an ovarian cyst or other endocrine tissues. *Premature thelarche* - This condition involves isolated **breast development** without other signs of puberty or bone age advancement. - It does not typically present with vaginal bleeding, bone lesions, or café-au-lait spots. *Central precocious puberty* - This involves true activation of the **hypothalamic-pituitary-gonadal (HPG) axis**, leading to pulsatile GnRH secretion and elevated FSH/LH levels. - While it causes breast development and vaginal bleeding, it does not explain the multiple cystic bone changes or the characteristic café-au-lait spots. *Normal, no pubertal disorder* - Vaginal bleeding and breast development at 5 years of age are **abnormal** and indicate a pubertal disorder. - The presence of associated bone lesions and specific skin findings further rules out a normal developmental process.
Explanation: ***Reticular shadows*** - The image displays **linear opacities** forming a network or mesh-like pattern within the lung fields, particularly visible in the lower zones. This appearance is characteristic of **reticular shadowing**, often indicative of interstitial lung disease. - These linear opacities represent thickened interstitial structures such as septa or fibrosis. *Emphysema* - Emphysema typically manifests as **hyperinflation** of the lungs, flattened diaphragms, widened intercostal spaces, and often **bullae** (lucent areas without vascular markings). - The chest X-ray provided does not show these features; instead, it shows increased linear markings rather than exaggerated lucency. *Nodular shadows* - Nodular shadows appear as **discrete round or oval opacities** scattered throughout the lung fields, typically seen in conditions like miliary tuberculosis or metastatic disease. - The X-ray shows **linear patterns** rather than discrete nodular opacities. *Consolidation* - Consolidation presents as **homogeneous opacification** of lung parenchyma with air bronchograms, typically seen in pneumonia or pulmonary edema. - The image demonstrates a **reticular pattern** rather than homogeneous dense opacification characteristic of consolidation.
Explanation: ***pH*** - In newly diagnosed, uncontrolled **Type 1 DM**, patients often present with **diabetic ketoacidosis (DKA)**, leading to metabolic acidosis and a **critically low pH** (typically <7.3). - Administering insulin corrects the underlying metabolic derangements, reducing **ketoacid production** and allowing the body's **buffer systems** to restore pH towards normal. - **Correction of acidosis** is the **primary therapeutic goal** and the most clinically significant parameter that increases with insulin therapy in DKA. *Breathing rate* - In **DKA**, patients often exhibit **Kussmaul respirations** (deep, rapid breathing) as a compensatory mechanism to blow off CO2 and reduce acidosis. - As insulin therapy corrects the acidosis, the need for this compensatory mechanism decreases, leading to a **reduction**, not an increase, in breathing rate. *Urine osmolality* - In uncontrolled **Type 1 DM** and **DKA**, high blood glucose leads to **osmotic diuresis**, where glucose pulls water into the urine, resulting in polyuria and typically **low urine osmolality** (dilute urine). - While insulin therapy may allow some increase in urine concentration as osmotic diuresis decreases, this is a **secondary effect** and not the primary clinical focus in acute DKA management. - Additionally, initial fluid resuscitation in DKA treatment maintains diuresis, so urine osmolality changes are variable and less predictable. *Glucosuria* - **Glucosuria** (glucose in the urine) is a hallmark of uncontrolled diabetes due to hyperglycemia exceeding the renal threshold for glucose reabsorption. - Insulin treatment lowers blood glucose levels, which in turn **reduces or eliminates glucosuria**, as the kidneys no longer filter excessive amounts of glucose.
Explanation: ***Short stature with short trunk*** - **Cretinism** (congenital hypothyroidism) causes **proportionate dwarfism** where both the trunk and limbs are short but maintain relatively normal body proportions. - Untreated congenital thyroid hormone deficiency leads to **delayed bone maturation** affecting the entire skeleton uniformly, resulting in **generalized growth retardation**. - Clinical features include **short stature, infantile body proportions, delayed dentition, mental retardation, protruding abdomen, umbilical hernia, large tongue (macroglossia), coarse facial features, and hypotonia**. *Long stature with long trunk* - This describes conditions like **Marfan syndrome** or **Klinefelter syndrome** characterized by tall stature with elongated limbs. - Completely opposite to the **short stature** seen in cretinism. *Short stature with long trunk* - This is not characteristic of cretinism. - Neither trunk nor limbs are disproportionately affected in congenital hypothyroidism. *Disproportionate dwarfism* - This term refers to conditions where one body part (usually limbs) is significantly shorter than another (usually trunk). - Examples include **achondroplasia** (short limbs with normal trunk) and **rickets** (limb deformities). - **Cretinism causes proportionate, not disproportionate, dwarfism** with uniform growth retardation affecting the entire body.
Explanation: ***5 years*** - The **American Diabetes Association (ADA)** recommends initiating screening for **diabetic nephropathy** in type 1 DM patients starting at **5 years after diagnosis**, provided the patient has reached **puberty (Tanner stage 2-3) or age ≥11 years**. - In prepubertal children, even with 5+ years of disease duration, screening is typically **deferred until puberty** because microvascular complications are exceedingly rare before pubertal onset. - The **5-year duration threshold** is the standard timeframe, but it is coupled with pubertal status as a key criterion. *3 years* - This duration is too early according to current **ADA guidelines**, which recommend screening after **5 years** of disease duration. - The risk of **nephropathy** developing within 3 years in type 1 DM patients, especially prepubertal children, is very low. *4 years* - While closer to the guideline, **4 years** is still premature compared to the evidence-based **5-year threshold** recommended by major diabetes organizations. - Early screening before 5 years would increase false positives and unnecessary interventions. *2 years* - Initiating screening after only **2 years** is far too early and not supported by current evidence. - **Microvascular complications** including nephropathy require longer disease duration to develop, making 2-year screening inefficient and not cost-effective.
Disorders of Growth
Practice Questions
Thyroid Disorders
Practice Questions
Disorders of Puberty
Practice Questions
Adrenal Disorders
Practice Questions
Diabetes Mellitus in Children
Practice Questions
Disorders of Calcium and Phosphate Metabolism
Practice Questions
Disorders of Sexual Development
Practice Questions
Hypoglycemia
Practice Questions
Obesity and Metabolic Syndrome
Practice Questions
Pituitary Disorders
Practice Questions
Multiple Endocrine Neoplasia Syndromes
Practice Questions
Endocrine Emergencies
Practice Questions
Get full access to all questions, explanations, and performance tracking.
Start For Free