Which conditions are associated with Mitral Regurgitation (MR)?
Some children go through a period of intense appetite when they eat or chew on all sorts of inedible substances. What is this called?
Which of the following statements is NOT true regarding thumb sucking?
Which of the following methods cannot be used to detect subtelomeric fractions in children with idiopathic MR?
A 6-year-old child has an IQ of 50. Which of the following tasks should the child be able to perform?
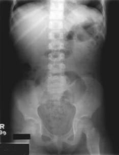
A 6-year-old boy presents with a 3-month history of soiling his underwear almost daily, despite being toilet trained at 2 years of age without difficulty. He has also experienced ongoing constipation for the last 2 years and frequently states, "I didn't know I had to go." He is otherwise healthy, performing well in school, and has a stable home environment. Examination reveals stool in the rectal vault. A plain radiograph of his abdomen is provided. What is the most appropriate initial management for this condition?

Regression of milestones occurs after normal development up to which age in Rett's disease?
Which of the following is FALSE regarding thumb sucking?
Which is the most common genetic cause of mental retardation?
What is true about autism?
Explanation: **Explanation:** The correct answer is **D (All of the above)**. Mitral Regurgitation (MR) in the pediatric population is often secondary to structural defects or connective tissue abnormalities associated with specific genetic syndromes. 1. **Trisomy 21 (Down Syndrome):** While Endocardial Cushion Defects (AVSD) are the most classic association, Trisomy 21 is also strongly linked to **Mitral Valve Prolapse (MVP)** and subsequent MR. This is due to the generalized connective tissue laxity inherent in the syndrome. 2. **Fragile X Syndrome:** This is the most common cause of inherited intellectual disability. Patients often exhibit connective tissue dysplasia, which manifests clinically as joint hyperextensibility, flat feet, and **Mitral Valve Prolapse (MVP)** leading to MR. 3. **Homocysteinemia (Homocystinuria):** This metabolic disorder results in a defect in collagen and elastin cross-linking. Similar to Marfan syndrome, it presents with "Marfanoid habitus" and cardiovascular complications, including dilation of the mitral annulus and **MVP**, both of which result in MR. **Clinical Pearls for NEET-PG:** * **Marfan Syndrome:** The most common cardiac cause of death is aortic root dissection, but **MVP with MR** is the most common valvular abnormality. * **Osteogenesis Imperfecta:** Also associated with MR and Aortic Regurgitation due to Type 1 collagen defects. * **Rheumatic Heart Disease (RHD):** Globally, RHD remains the most common *acquired* cause of MR in children and adolescents. * **High-Yield Distinction:** In Down Syndrome, the most common *cyanotic* heart disease is Tetralogy of Fallot, but the most common *overall* lesion is an Ostium Primum ASD or complete AVSD.
Explanation: ### Explanation **Correct Answer: A. Pica** **Pica** is a feeding disorder characterized by the persistent eating of non-nutritive, non-food substances (e.g., dirt, clay, chalk, paper, ice, or hair) for a period of at least one month. It is developmentally inappropriate in children older than 2 years. While often associated with intellectual disabilities or autism, in otherwise healthy children, it is frequently linked to **iron deficiency anemia** or **zinc deficiency**. The "intense appetite" for these substances is a hallmark clinical feature. **Why other options are incorrect:** * **B. Anorexia:** Refers to a lack or loss of appetite. *Anorexia Nervosa* is a specific eating disorder characterized by self-starvation and an intense fear of gaining weight, which is the opposite of the "intense appetite" described. * **C. Bulimia:** Part of *Bulimia Nervosa*, involving episodes of binge eating followed by compensatory behaviors (purging, excessive exercise). While it involves intense eating, it refers to food, not inedible substances. * **D. Astasia-abasia:** A neurological/psychiatric symptom where a patient is unable to stand or walk in a normal manner (often appearing "drunken" or wobbly) despite having normal leg strength. It is typically a conversion disorder and unrelated to appetite. **High-Yield Clinical Pearls for NEET-PG:** * **Common Variants:** *Geophagia* (soil/clay), *Pagophagia* (ice), and *Amylophagia* (raw starch). * **Complications:** Lead poisoning (from paint chips), intestinal obstruction/bezoars (from hair/paper), and parasitic infections (from soil). * **Management:** First-line management involves screening for and treating underlying nutritional deficiencies (Iron/Zinc) and behavioral modification. * **Age Criterion:** Diagnosis should not be made before age 2, as mouthing objects is a normal developmental stage before this age.
Explanation: ### Explanation **1. Why Option D is the Correct Answer (The "Not True" Statement):** Thumb sucking is a common self-soothing behavior that often begins in infancy. While most children naturally outgrow the habit between ages 2 and 4, it is **not exclusively** seen in this age group. Many children continue the habit into school age (5 years or older) due to stress, boredom, or habituation. In the context of NEET-PG, it is important to note that medical intervention or myofunctional therapy is usually only considered if the habit persists beyond age 4–6, as this is when permanent dentition begins to erupt. **2. Analysis of Incorrect Options:** * **Option A (Sign of insecurity):** This is a true statement. In older children, a sudden relapse into thumb sucking often indicates emotional distress, anxiety, or a need for security in a stressful environment. * **Option B (Pleasurable sensation):** This is true. Thumb sucking is a form of non-nutritive sucking that releases endorphins, providing a sense of comfort, warmth, and relaxation to the child. * **Option C (Dental problems):** This is true. Persistent, vigorous thumb sucking after the age of 5 can lead to malocclusion, specifically **anterior open bite**, maxillary protrusion ("buck teeth"), and narrowing of the palatal arch. **3. High-Yield Clinical Pearls for NEET-PG:** * **Management:** The first step is usually parental counseling and behavioral modification (positive reinforcement). * **Aversive Therapy:** If behavioral methods fail after age 5, chemical deterrents (e.g., Denatonium benzoate) or mechanical dental appliances (e.g., Palatal crib) may be used. * **Associated Habit:** Thumb sucking is often associated with "transitional objects" like a favorite blanket or teddy bear. * **Freudian Stage:** It corresponds to the **Oral Stage** of psychosexual development.
Explanation: **Explanation:** Subtelomeric rearrangements (deletions or duplications) are a significant cause of idiopathic mental retardation (MR), accounting for approximately 5–10% of cases. Detecting these micro-aberrations requires high-resolution molecular cytogenetic techniques. **Why "Laser Diode Index" is the correct answer:** A **Laser Diode** is a semiconductor device used in optical fiber communications and barcode readers; it is **not a diagnostic medical technique** for genetic analysis. There is no established "Laser Diode Index" used in cytogenetics or the detection of chromosomal fractions. **Analysis of Incorrect Options:** * **FISH (Fluorescence In Situ Hybridization):** Historically the "gold standard" for detecting subtelomeric deletions. It uses fluorescent probes specific to the telomeric regions to visualize missing or extra segments under a microscope. * **MALDI (Matrix-Assisted Laser Desorption/Ionization):** This is a type of Mass Spectrometry (MALDI-TOF). It is used for high-throughput analysis of DNA fragments and can detect single nucleotide polymorphisms (SNPs) and small deletions/insertions in subtelomeric regions. * **Array CGH (Comparative Genomic Hybridization):** Currently the first-line investigation for children with unexplained developmental delay or MR. It provides a much higher resolution than standard karyotyping, allowing for the detection of submicroscopic copy number variants (CNVs) across the entire genome, including subtelomeres. **Clinical Pearls for NEET-PG:** * **First-line investigation** for idiopathic MR/Developmental Delay: **Array CGH** (Microarray). * **Standard Karyotyping** resolution is ~5 Mb; subtelomeric rearrangements are often <5 Mb, necessitating molecular techniques. * Common subtelomeric syndrome: **22q13.3 deletion syndrome** (Phelan-McDermid syndrome).
Explanation: ### Explanation This question assesses the correlation between **Intellectual Quotient (IQ)** and **Mental Age (MA)**. The formula for IQ is: **IQ = (Mental Age / Chronological Age) × 100** For a 6-year-old child with an IQ of 50: $50 = (MA / 6) \times 100 \implies MA = 3 \text{ years.}$ Therefore, this child will perform tasks consistent with a **3-year-old developmental level**. **1. Why "Identify colors" is correct:** Naming at least one color is a milestone typically achieved by **3 years** of age. Since the child’s mental age is 3, they should be able to perform this task. **2. Analysis of Incorrect Options:** * **Read a sentence (Option B):** This is a literacy skill usually acquired around **6 years** of age (Grade 1 level). This requires a mental age far beyond this child's capability. * **Ride a bicycle (Option C):** While a child can ride a tricycle at 3 years, riding a bicycle (usually without training wheels) is a gross motor milestone for **5 years**. * **Copy a triangle (Option D):** Fine motor milestones for drawing shapes follow a specific sequence: Circle (3 years), Cross/Square (4 years), and **Triangle (5 years)**. A child with a mental age of 3 can only copy a circle. **Clinical Pearls for NEET-PG:** * **IQ Classification (WHO):** Mild (50–69), Moderate (35–49), Severe (20–34), Profound (<20). This child falls at the border of Mild and Moderate Intellectual Disability. * **High-Yield Drawing Milestones:** * 2 years: Vertical line * 3 years: Circle * 4 years: Cross/Square * 5 years: Triangle * 6 years: Diamond
Explanation: ***Disimpaction and short-term use of stool softeners*** - This is **functional encopresis with overflow incontinence** secondary to chronic constipation, requiring immediate **disimpaction** to remove the fecal impaction in the rectal vault. - **Stool softeners** (like polyethylene glycol) help maintain soft stools and prevent re-impaction while establishing regular bowel habits. *Barium enema and rectal biopsy* - These investigations are indicated for **Hirschsprung disease**, but this child was toilet trained normally at age 2, making congenital causes unlikely. - The history of **successful toilet training** and **gradual onset** of symptoms suggests functional rather than anatomical causes. *Family counseling* - While supportive care is important, **medical management** must address the underlying fecal impaction first before behavioral interventions. - Counseling alone cannot resolve the **physical obstruction** causing overflow incontinence and loss of rectal sensation. *Time-out when he soils his underwear* - **Punitive measures** are contraindicated as the child has **lost rectal sensation** due to chronic distension and cannot control the soiling. - Such approaches can worsen the condition by increasing **anxiety** and **shame** around bowel movements, perpetuating the cycle of withholding.
Explanation: **Explanation:** **Rett Syndrome** is a unique neurodevelopmental disorder primarily affecting females (X-linked dominant, lethal in males), caused by a mutation in the **MECP2 gene**. 1. **Why 5 months is correct:** The hallmark of Rett Syndrome is a period of **apparently normal development** for the first few months of life. According to the classic diagnostic criteria, the onset of regression—characterized by the deceleration of head growth (acquired microcephaly) and loss of purposeful hand skills—typically begins between **5 months and 48 months**. Therefore, normal development is guaranteed only up to the age of 5 months, after which the "stagnation" and "regression" phases can trigger. 2. **Why other options are incorrect:** * **1 month:** This is too early. Infants with Rett syndrome typically appear normal at birth and through the neonatal period. * **1 year and 2 years:** While regression *can* occur at these ages, the question asks up to which age development is *consistently* normal before the window of regression opens. The clinical definition marks the potential start of regression as early as 5 months. **High-Yield Clinical Pearls for NEET-PG:** * **Hand Stereotypies:** The most characteristic sign is the loss of purposeful hand movements replaced by repetitive **"hand-wringing"** or "hand-washing" motions. * **Gender:** Almost exclusively seen in **females**. * **Microcephaly:** It is one of the few conditions where a child is born with a normal head circumference but develops **acquired microcephaly** due to impaired brain growth. * **Phases:** It progresses from early stagnation to rapid regression, followed by a plateau phase.
Explanation: ### Explanation **1. Why Option A is the Correct (False) Statement:** Thumb sucking is considered a **normal physiological reflex** in infants and young children. In the first year of life, it is a self-soothing mechanism and a developmental milestone related to the oral stage of development. Medical consensus dictates that it should **not** be treated vigorously or discouraged during infancy, as most children abandon the habit spontaneously by age 3–4. Intervention is generally only considered if the habit persists beyond age 4–6, when permanent dentition begins to erupt. **2. Analysis of Incorrect Options:** * **Option B (Sign of insecurity):** While often physiological, persistent thumb sucking in older children can be a manifestation of anxiety, boredom, or emotional insecurity, serving as a "transitional object" for comfort. * **Option C (Source of pleasure):** Thumb sucking provides sensory gratification and oral stimulation. It releases endorphins, helping the child feel secure and relaxed. * **Option D (Can lead to malocclusion):** This is a clinical fact. Prolonged, vigorous thumb sucking (especially beyond age 5) can lead to dental deformities such as **anterior open bite**, maxillary protrusion ("buck teeth"), and narrowing of the palatal arch. **3. NEET-PG High-Yield Pearls:** * **Normal Age:** Thumb sucking is normal up to **3–4 years** of age. * **Management:** Use a "wait and watch" approach initially. If it persists, use behavioral therapy (positive reinforcement). Dental appliances (e.g., palatal cribs) are a last resort. * **Associated Condition:** It is often associated with **tongue thrusting**, which further exacerbates malocclusion. * **Freud’s Theory:** It corresponds to the **Oral Stage** (0–1 year) of psychosexual development.
Explanation: **Explanation:** The correct answer is **Fragile-X syndrome**. It is the most common **inherited** cause of intellectual disability (mental retardation) and the second most common genetic cause overall, following Down Syndrome (which is typically sporadic due to trisomy 21). **Why Fragile-X is correct:** Fragile-X syndrome is caused by an unstable CGG trinucleotide repeat expansion in the *FMR1* gene on the X chromosome. Because it is X-linked, it primarily affects males. It is a high-yield topic for NEET-PG due to its classic triad: intellectual disability, large ears, and macro-orchidism (enlarged testes) post-puberty. **Analysis of Incorrect Options:** * **A. Tuberous Sclerosis:** An autosomal dominant neurocutaneous syndrome. While it is associated with intellectual disability and seizures, it is significantly less common than Fragile-X. * **B. Cri-du-chat Syndrome:** Caused by a deletion of the short arm of chromosome 5 (5p-). It presents with a characteristic cat-like cry and microcephaly but is a rare chromosomal structural abnormality. * **D. Angelman Syndrome:** Caused by the loss of the maternal copy of chromosome 15q11-q13 (genomic imprinting). Known as "Happy Puppet" syndrome, it features severe intellectual disability but is much rarer than Fragile-X. **High-Yield Clinical Pearls for NEET-PG:** * **Most common cause of MR:** Down Syndrome (Genetic/Chromosomal). * **Most common *inherited* cause of MR:** Fragile-X Syndrome. * **Most common *preventable* cause of MR:** Iodine deficiency (Nutritional) or Fetal Alcohol Syndrome (Environmental). * **Fragile-X Genetics:** Shows **anticipation** (severity increases in successive generations) and is diagnosed via PCR or Southern Blot.
Explanation: **Explanation:** **Autism Spectrum Disorder (ASD)** is a neurodevelopmental disorder characterized by persistent deficits in social communication and interaction, along with restricted, repetitive patterns of behavior. **Why Option C is Correct:** According to DSM-5 and ICD-10 criteria, symptoms of autism must be present in the **early developmental period**. While the diagnosis may sometimes be made later when social demands exceed limited capacities, the core developmental delays typically manifest **before 3 years of age**. Parents often notice signs such as lack of social smiling or poor eye contact as early as 12–18 months. **Analysis of Incorrect Options:** * **Option A:** Autism has **no correlation with socioeconomic status**. It affects children across all economic, racial, and social backgrounds equally. * **Option B:** **Impaired communication** is a hallmark of ASD. This includes delayed speech, lack of "joint attention," inability to sustain conversations, and literal/pedantic language. * **Option D:** Autism is significantly **more common in boys** than girls, with a male-to-female ratio of approximately **4:1**. **High-Yield Clinical Pearls for NEET-PG:** * **M-CHAT (Modified Checklist for Autism in Toddlers):** The most commonly used screening tool (validated for ages 16–30 months). * **Earliest Sign:** Lack of joint attention (e.g., not pointing to objects of interest). * **Associated Findings:** Macrocephaly (in some cases), seizures (25% of cases), and "Savant" skills (exceptional memory or musical talent in a minority). * **Gold Standard Diagnosis:** Clinical evaluation using ADOS (Autism Diagnostic Observation Schedule).
Normal Development and Variations
Practice Questions
Developmental Delay and Intellectual Disability
Practice Questions
Autism Spectrum Disorders
Practice Questions
Attention Deficit Hyperactivity Disorder
Practice Questions
Learning Disabilities
Practice Questions
Language and Speech Disorders
Practice Questions
Motor Disorders
Practice Questions
Behavioral Problems in Young Children
Practice Questions
Sleep Disorders
Practice Questions
Mood and Anxiety Disorders
Practice Questions
Psychosomatic Disorders
Practice Questions
Developmental Surveillance and Screening
Practice Questions
Get full access to all questions, explanations, and performance tracking.
Start For Free