What could be the possible diagnosis for a newborn exhibiting weak lower limb pulses and strong upper limb pulses?
A 9-month-old infant presents with severe respiratory distress, central cyanosis not improving with oxygen, and a harsh systolic murmur. Chest X-ray shows boot-shaped heart with decreased pulmonary vascular markings. Echocardiography confirms the diagnosis. What is the most likely underlying cardiac defect?
A 4-year-old child presents with high-grade fever for 5 days, bilateral non-purulent conjunctival injection, strawberry tongue, cervical lymphadenopathy (>1.5 cm), and polymorphous rash. On day 6, desquamation of fingertips begins. Echocardiography shows coronary artery dilation. What is the most appropriate immediate treatment?
A 3-year-old child is brought to the clinic with a history of cyanosis since infancy. Which of the following is a component of Tetralogy of Fallot (TOF)?
A 6-week-old term baby presents with poor feeding. All are true about the condition shown except:

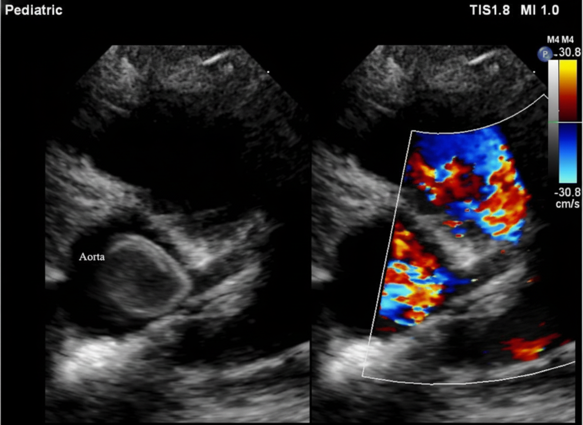
Which congenital heart disease is associated with the defect shown?

A 1 day old neonate presents with central cyanosis. CXR and ECG are performed (shown in the image). Which diagnosis is most consistent with these findings?

Choose the TRUE statement regarding the disease depicted in the images below:

Child presents with strawberry tongue, fever for 5 days, cracked lips, Periungual peeling of the skin and bulbar congestion. Which of the following cardiac lesions will be seen in this child?
What is the expected karyotype in this child with the following findings and having pulmonic stenosis on Echocardiography?

Explanation: ***COA*** (Coarctation of the Aorta) - The classic presentation of **Coarctation of the Aorta** involves a narrowing of the aorta, usually distal to the left subclavian artery, leading to increased pressure proximal to the coarctation (strong upper limb pulses) and decreased pressure distal to it (weak lower limb pulses). - This severe pressure gradient is manifested as **differential pulses** and potential **blood pressure discrepancy** between the arms and legs, making this the most likely diagnosis. *TGA* - **Transposition of the Great Arteries** is characterized by severe **cyanosis** presenting shortly after birth due to two parallel circulations (aorta from RV, pulmonary artery from LV). - It does not typically cause a significant differential in pulse strength between the upper and lower limbs unless complicated by underlying aortic arch anomalies. *TOF* - **Tetralogy of Fallot** typically presents with cyanosis and **hypercyanotic spells** (**tet spells**) due to severe right ventricular outflow tract obstruction and a large VSD. - While it is a common cyanotic heart disease, it primarily affects flow to the pulmonary circulation and does not cause obstruction in the systemic aorta leading to differential pulses. *Ebstein anomaly* - This condition involves the apical displacement of the **tricuspid valve** leaflets into the **right ventricle**, leading to tricuspid regurgitation and large right atrium. - Clinical features usually include varying degrees of cyanosis and signs of right heart failure but do not typically involve a differential in systemic arterial pulses.
Explanation: ***Tetralogy of Fallot*** - The combination of **severe respiratory distress**, **central cyanosis** unresponsive to oxygen (a **cyanotic spell**), **harsh systolic murmur** (due to **pulmonary stenosis**), and a **boot-shaped heart** (coeur en sabot) on chest X-ray with **decreased pulmonary vascular markings** (due to reduced blood flow) is the classic presentation of **Tetralogy of Fallot** (TOF). - TOF is the most common cyanotic congenital heart disease and consists of four defects: large **VSD**, **pulmonary stenosis**, **overriding aorta**, and **right ventricular hypertrophy**. *Transposition of Great Arteries (TGA)* - TGA presents with severe cyanosis, but the chest X-ray typically shows a **'egg-on-a-string'** appearance due to a narrow mediastinum and cardiomegaly, not a boot shape. - Pulmonary vascular markings are often **increased** or normal, depending on whether there is associated pulmonary stenosis, and the murmur is typically non-specific or absent. *Total Anomalous Pulmonary Venous Return (TAPVR)* - This condition presents with cyanosis and can show a **'snowman'** or **'figure-of-eight'** sign on the chest X-ray if the supra-cardiac type is present, due to enlarged vertical vein and SVC. - Pulmonary vascular markings are usually **increased** due to pulmonary venous obstruction. *Truncus Arteriosus* - Although cyanotic, truncus arteriosus is characterized by a single great artery overriding the ventricular septum, leading to **increased pulmonary blood flow** and consequently **increased pulmonary vascular markings** on the chest X-ray. - The heart shape is typically **cardiomegaly** with a common trunk arising from the heart, often resulting in a late-onset or subtle cyanosis compared to TOF or TGA.
Explanation: ***Intravenous immunoglobulin (IVIG) with aspirin*** - This is the **gold standard, immediate treatment** for acute Kawasaki disease to reduce systemic inflammation and prevent coronary artery complications - **IVIG** (2 g/kg as a single infusion over 10-12 hours) works by modulating the immune response and reducing inflammation - **High-dose aspirin** (80-100 mg/kg/day divided into 4 doses) provides anti-inflammatory effects during the acute febrile phase - This combination must be started **within 10 days of fever onset** (ideally within 7 days) to significantly reduce the risk of **coronary artery aneurysms** - Given that this child already has coronary artery dilation on echo, urgent IVIG + aspirin therapy is critical to prevent progression *High-dose aspirin alone* - Aspirin alone is **insufficient** to address the underlying immune-mediated vasculitis in Kawasaki disease - While aspirin has anti-inflammatory and antiplatelet effects, it does **not provide the immunomodulatory benefits** of IVIG - Monotherapy with aspirin has been shown to be **significantly less effective** at preventing coronary complications compared to combination therapy *Supportive care only* - Supportive care (hydration, antipyretics) addresses symptoms but **does not treat the underlying vasculitis** - Without specific immunomodulatory therapy, up to **25% of untreated KD patients** develop coronary artery aneurysms - This child already has coronary involvement, making specific therapy even more urgent *Oral corticosteroids* - Corticosteroids are generally reserved for **IVIG-refractory cases** (patients who remain febrile 36-48 hours after initial IVIG) or high-risk patients - They are **not recommended as first-line therapy** according to current AHA guidelines - IVIG remains superior for initial treatment in preventing coronary complications
Explanation: ***Infundibular pulmonary stenosis*** - This is the most common anatomic type of **pulmonary stenosis** seen in TOF, caused by hypertrophy of the muscle below the pulmonary valve (infundibulum). - The degree of this stenosis dictates the direction of flow across the VSD and, consequently, the severity of **cyanosis**. *Inter atrial septal defect* - An ASD is not a primary component of TOF. When TOF is associated with an ASD, the condition is termed **Pentalogy of Fallot**. - ASD typically causes a **left-to-right shunt** and is usually an acyanotic or late-onset cyanotic condition, unlike classic TOF. *Left ventricular hypertrophy (LVH)* - The pressure overload due to **pulmonary stenosis** and the large **VSD** leads to **Right Ventricular Hypertrophy (RVH)**. - LVH suggests conditions like severe **aortic stenosis** or systemic overloading, not the typical hemodynamics of TOF. *Transposition of the great arteries (TGA)* - **TGA** is a separate, distinct cyanotic congenital heart disease where the great arteries are transposed (aorta from RV, pulmonary artery from LV). - The components of TOF involve a single great artery relationship but with a large **Ventricular Septal Defect (VSD)** and overriding aorta.
Explanation: ***Ductal-dependent systemic circulation*** - This image depicts a **patent ductus arteriosus (PDA)**, where blood flows from the aorta to the pulmonary artery, creating a left-to-right shunt. - In isolated PDA, the shunt is **left-to-right**, meaning blood flows from the systemic circulation (aorta) to the pulmonary circulation (pulmonary artery). The **systemic circulation is NOT ductal-dependent** in this condition. - **Ductal-dependent systemic circulation** occurs in critical left-sided obstructive lesions such as **critical aortic stenosis, interrupted aortic arch, or hypoplastic left heart syndrome**, where systemic blood flow depends on right-to-left shunting through the ductus arteriosus. - Therefore, this statement is **FALSE** for isolated PDA. *Ibuprofen inhibits Prostaglandin production leading to closure* - **Ibuprofen** and other NSAIDs like indomethacin inhibit **COX enzymes and prostaglandin synthesis**, which is crucial for maintaining the patency of the ductus arteriosus. - Inhibiting prostaglandin production facilitates the **closure of the PDA** in newborns, making this a TRUE statement. *Anatomical closure occurs by 2-3 weeks* - The ductus arteriosus typically undergoes **functional closure** within the first 24-48 hours after birth due to increased oxygen tension and decreased prostaglandins. - **Anatomical closure**, involving tissue remodeling and fibrosis, usually occurs within **2-3 weeks** of life in normal circumstances. - A PDA persisting beyond this period (as in this 6-week-old baby) represents a **persistent/patent ductus arteriosus** requiring intervention. *Left ventricular failure* - A significant **left-to-right shunt** through a PDA increases blood flow to the pulmonary circulation, leading to increased venous return to the left atrium and ventricle. - This increased volume load on the **left ventricle** can eventually lead to **left ventricular dilation and failure** over time if the PDA remains uncorrected, making this a TRUE statement.
Explanation: ***Endocardial cushion defect*** - The image displays a **single palmar crease** (also known as a **simian crease**), which is a common dermatological feature observed in patients with **Down syndrome (Trisomy 21)**. - Approximately 40-50% of individuals with Down syndrome have **congenital heart disease**, with **endocardial cushion defects** (also known as atrioventricular septal defects) being the most common type. *Tricuspid atresia* - This is a complex cyanotic congenital heart defect characterized by the **absence of the tricuspid valve**, preventing blood flow from the right atrium to the right ventricle. - While it is a congenital heart defect, it is **not specifically associated with a single palmar crease** or Down syndrome as commonly as endocardial cushion defects. *Double outlet right ventricle* - This is a rare cyanotic congenital heart defect where **both the aorta and pulmonary artery arise primarily from the right ventricle**. - It is not typically associated with specific dermatological signs like a single palmar crease or specifically linked to Down syndrome. *Aortic regurgitation* - This is a condition where the **aortic valve does not close tightly**, causing blood to leak back into the left ventricle during diastole. - Aortic regurgitation is an **acquired or congenital valve defect**, but it is not directly linked to genetic syndromes like Down syndrome or the presence of a single palmar crease.
Explanation: ***Cardiomegaly with normal ECG suggestive of hypoplastic left heart syndrome*** - The chest X-ray shows **cardiomegaly with a globular heart**, which is characteristic of hypoplastic left heart syndrome (HLHS) due to right ventricular and right atrial enlargement. - In the **immediate newborn period (day 1)**, the ECG in HLHS may show relatively **subtle findings** with right ventricular dominance being less prominent compared to older infants, though it is rarely completely "normal." Typical findings include right axis deviation, right ventricular dominance, and possible right atrial enlargement that develop more clearly over the first few days. - **HLHS is a ductal-dependent lesion** causing central cyanosis from birth, making it clinically consistent with this presentation. *Cardiomegaly and Tall T waves in ECG suggestive of tetralogy of Fallot* - Tetralogy of Fallot (TOF) typically presents with a **boot-shaped heart** on CXR due to right ventricular hypertrophy and an upturned apex, not the globular cardiomegaly seen here. - The classical ECG finding in TOF is **right ventricular hypertrophy with right axis deviation**, not primarily tall T waves. - TOF may not present with severe cyanosis on day 1 of life unless there is severe pulmonary stenosis or pulmonary atresia. *Cardiomegaly with delta waves in ECG suggestive of Wolff-Parkinson-White syndrome* - **Wolff-Parkinson-White (WPW) syndrome** is characterized by a short PR interval and a **delta wave** on ECG due to an accessory pathway causing pre-excitation. - WPW is a rhythm disorder and **does not cause central cyanosis** in neonates, nor does it cause cardiomegaly as a primary feature. - This option represents an ECG abnormality unrelated to cyanotic congenital heart disease. *Cardiomegaly, Himalayan P waves in ECG suggestive of tricuspid atresia* - **Tricuspid atresia** presents with central cyanosis from birth and cardiomegaly on CXR. - The characteristic ECG findings include **left axis deviation (superior QRS axis)** and **tall, peaked P waves** (right atrial enlargement, sometimes called "Himalayan P waves"). - If prominent P waves are not clearly visible on this ECG, tricuspid atresia is less likely, though both HLHS and tricuspid atresia can present similarly in early neonatal period.
Explanation: ***Intravenous immunoglobulin (IVIG) and aspirin are the mainstays of treatment.*** - The images show features consistent with **Kawasaki disease**: a child with **conjunctival injection**, **strawberry tongue**, and **coronary artery aneurysms** on angiography (indicated by arrows). - **IVIG** (2 g/kg as a single infusion) helps prevent **coronary artery aneurysms**, and **aspirin** (initially high dose 80-100 mg/kg/day, then low dose 3-5 mg/kg/day) reduces inflammation and prevents thrombosis. - This combination is the **standard first-line treatment** for Kawasaki disease. *Antibiotics should be started immediately to prevent cardiac complications* - Kawasaki disease is **not an infectious disease** and does not respond to antibiotics. - It is a **vasculitis** of unknown etiology, likely triggered by immune dysregulation. - Antibiotics have no role in preventing coronary artery complications. *Corticosteroids are the first-line treatment for this condition* - Corticosteroids are **not first-line therapy** for Kawasaki disease. - They may be used as **adjunctive or second-line therapy** in IVIG-resistant cases. - IVIG + aspirin remain the primary treatment. *NSAIDs other than aspirin are preferred to reduce inflammatory response* - **Aspirin is specifically preferred** in Kawasaki disease due to its dual anti-inflammatory and antiplatelet effects. - Other NSAIDs do not provide the same antiplatelet benefits crucial for preventing coronary thrombosis. - Aspirin is one of the few indications for its use in children despite Reye syndrome risk.
Explanation: ***Mitral regurgitation*** - The constellation of symptoms (strawberry tongue, fever, cracked lips, periungual peeling, bulbar congestion) is highly characteristic of **Kawasaki disease**. - **Coronary artery aneurysms** and **mitral regurgitation** are common cardiac complications of Kawasaki disease due to inflammation affecting the heart valves and coronary arteries. *Mitral stenosis* - Mitral stenosis is less common in acute Kawasaki disease and is more typically a long-term complication of rheumatic fever or a congenital anomaly. - The acute inflammatory nature of Kawasaki disease is more likely to cause valvular insufficiency (regurgitation) rather than narrowing (stenosis). *Tricuspid stenosis* - Tricuspid stenosis is a relatively rare valvular lesion and is not typically associated with Kawasaki disease. - Inflammatory conditions like Kawasaki disease primarily affect the left-sided heart valves and coronary arteries. *Pulmonary regurgitation* - While pulmonary regurgitation can occur congenitally or due to pulmonary hypertension, it is not a direct or common cardiac complication of Kawasaki disease. - Kawasaki disease primarily targets the systemic vasculature and coronary arteries, leading to problems like mitral regurgitation.
Explanation: ***46,XY*** - The image depicts a child with features suggestive of **Noonan Syndrome**, characterized by widely spaced eyes, low-set ears, a short webbed neck, and **pulmonic stenosis**. - Noonan Syndrome is a **cardiofacial cutaneous syndrome** that is genetically heterogeneous; however, it typically presents with a **normal karyotype of 46,XY** for males or 46,XX for females, as it arises from mutations in genes like *PTPN11*, *SOS1*, *RAF1*, or *KRAS*, rather than chromosomal aneuploidies. *46,XX* - This karyotype represents a **normal female**. While females can have Noonan Syndrome, the general characteristic features pointing towards a male child in the provided image makes this option less likely in this specific context. - The question asks for the expected karyotype in "this child," implying a specific gender based on the drawing; however, if the child were female with Noonan Syndrome, 46,XX would be expected. *45,X* - This karyotype corresponds to **Turner Syndrome**, which typically affects females and is characterized by features such as **short stature**, a webbed neck, and **coarctation of the aorta** (not pulmonic stenosis). - While there is some phenotypic overlap (e.g., webbed neck), the presence of pulmonic stenosis and other facial features are more consistent with Noonan syndrome, which is not associated with a monosomy of the X chromosome. *47,XXY* - This karyotype represents **Klinefelter Syndrome**, which affects males and is characterized by **tall stature**, **hypogonadism**, and **gynecomastia**. - The features in the image, including the **facial dysmorphism** and **pulmonic stenosis**, are inconsistent with the typical presentation of Klinefelter Syndrome.
Congenital Heart Diseases: Cyanotic
Practice Questions
Congenital Heart Diseases: Acyanotic
Practice Questions
Rheumatic Heart Disease
Practice Questions
Kawasaki Disease
Practice Questions
Infective Endocarditis
Practice Questions
Myocarditis and Cardiomyopathies
Practice Questions
Arrhythmias in Children
Practice Questions
Heart Failure in Children
Practice Questions
Pulmonary Hypertension
Practice Questions
Systemic Hypertension
Practice Questions
Dyslipidemia in Children
Practice Questions
Cardiac Evaluation and Diagnostics
Practice Questions
Get full access to all questions, explanations, and performance tracking.
Start For Free