Which is true about the image shown?

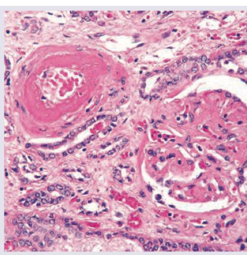
A 45-year-old male with severe hypertension presents with acute renal failure. A renal biopsy shows the histopathological findings in the image. What is the most likely diagnosis?

The histological image shows a blood vessel with characteristic changes. What is the most likely diagnosis?

Which is true about the image shown?

Virchow's triad includes all except:-
Berry aneurysm most commonly occurs due to?
Angiofibroma bleeds profusely because:
In polyarteritis nodosa, aneurysms are seen in all organs EXCEPT:
True about Henoch-Schonlein purpura are the following, EXCEPT:
White infarct is not seen in which of the following
Explanation: ***Hyperplastic arteriosclerosis*** - This condition is characterized by **concentric, laminated thickening** of the arteriolar walls, often described as an **"onion-skin" appearance** [1][2]. - It is typically seen in severe **malignant hypertension** and involves proliferation of smooth muscle cells and reduplication of the basement membrane [1][2]. *Hyaline arteriosclerosis* - This involves **homogeneous, pink, amorphous thickening** of arteriolar walls, often due to plasma protein leakage and increased extracellular matrix deposition [3]. - It is commonly associated with **benign hypertension** and diabetes mellitus, and does not show the "onion-skin" pattern [3]. *Monckeberg's arteriosclerosis* - This is characterized by **calcific deposits** in the media of muscular arteries, particularly in the elderly. - It does not narrow the vessel lumen significantly and is typically **asymptomatic**, unlike the changes seen in the image. *Fibrinoid necrosis* - This refers to the deposition of **fibrin-like material** in the vessel walls, often seen in malignant hypertension or immune-mediated vasculitis. - While it can occur in severe hypertension, the primary feature in the image is the **cellular proliferation and lamination**, not just amorphous fibrin deposition. **References:** [1] Kumar V, Abbas AK, et al.. Robbins and Cotran Pathologic Basis of Disease. 9th ed. The Kidney, p. 945. [2] Kumar V, Abbas AK, et al.. Robbins and Cotran Pathologic Basis of Disease. 9th ed. Diseases of Infancy and Childhood, pp. 498-499. [3] Kumar V, Abbas AK, et al.. Robbins and Cotran Pathologic Basis of Disease. 9th ed. The Kidney, pp. 943-945.
Explanation: ***Hyperplastic arteriosclerosis*** - This condition is characterized by **onion-skinning** of the arterial walls due to concentric thickening of the smooth muscle cells and reduplication of the internal elastic lamina [1][2]. - It is typically seen in severe **malignant hypertension**, where the rapid and severe elevation in blood pressure leads to these distinctive changes [2]. *Hyaline arteriosclerosis* - This involves **homogeneous, pink, hyaline thickening** of the arteriolar walls, often leading to luminal narrowing. - It is commonly associated with **benign hypertension** and diabetes mellitus, resulting from plasma protein leakage and increased extracellular matrix deposition. *Monckeberg's arteriosclerosis* - This is characterized by **calcific deposits** in the media of medium-sized muscular arteries, without significant luminal narrowing. - It is typically an **incidental finding** in older individuals and is not associated with significant clinical consequences like ischemia. *Fibrinoid necrosis* - This refers to the deposition of **fibrin-like material** in the vessel walls, leading to an amorphous, brightly eosinophilic appearance [1]. - While it can be seen in severe hypertension, it represents a more acute and severe form of vascular damage, often associated with **necrotizing arteriolitis**, and is not the primary description for the "onion-skinning" pattern [2]. **References:** [1] Kumar V, Abbas AK, et al.. Robbins and Cotran Pathologic Basis of Disease. 9th ed. The Kidney, p. 945. [2] Kumar V, Abbas AK, et al.. Robbins and Cotran Pathologic Basis of Disease. 9th ed. Diseases of Infancy and Childhood, pp. 498-499.
Explanation: ***Hyperplastic arteriosclerosis*** - The image likely shows **onion-skinning** of the arteriolar wall, which is characteristic of hyperplastic arteriosclerosis [1][2]. - This condition is typically seen in severe or **malignant hypertension** due to proliferation of smooth muscle cells and thickening of the basement membrane [1][2]. *Monckeberg's arteriosclerosis* - This involves **calcification of the media** of muscular arteries, without significant luminal narrowing. - It is typically asymptomatic and does not present with the **onion-skinning** appearance. *Hyaline arteriosclerosis* - Characterized by **homogeneous, pink, hyaline thickening** of arteriolar walls with luminal narrowing. - It is associated with benign hypertension and diabetes, but does not show the **concentric lamellar** appearance. *Fibrinoid necrosis* - This involves **deposition of fibrin-like material** in the vessel wall, often seen in malignant hypertension or vasculitis [3]. - While it can occur in severe hypertension, the primary image finding described as **onion-skinning** is more specific to hyperplastic arteriosclerosis [1]. **References:** [1] Kumar V, Abbas AK, et al.. Robbins and Cotran Pathologic Basis of Disease. 9th ed. The Kidney, p. 945. [2] Kumar V, Abbas AK, et al.. Robbins and Cotran Pathologic Basis of Disease. 9th ed. Diseases of Infancy and Childhood, pp. 498-499. [3] Cross SS. Underwood's Pathology: A Clinical Approach. 6th ed. Common Clinical Problems From Cardiovascular Disease, pp. 276-277.
Explanation: ***Monckeberg's Arteriosclerosis*** - This condition involves **calcification of the media of muscular arteries**, typically in individuals over 50 years old. - It is characterized by **ring-like calcifications** in the vessel wall, which can be seen on imaging or histology, and is usually not clinically significant as it does not narrow the lumen. *Hyaline Arteriosclerosis* - This type is characterized by **homogeneous, pink, hyaline thickening** of the walls of arterioles, with narrowing of the lumen. - It is typically seen in **benign hypertension** and **diabetes mellitus**, affecting small arteries and arterioles. *Hyperplastic Arteriosclerosis* - This condition is associated with **malignant hypertension** and is characterized by **concentric, laminated thickening** of the arteriole walls, often described as "onion-skinning." [1] - It involves proliferation of smooth muscle cells and reduplication of the basement membrane, leading to severe luminal narrowing [1]. *Fibrinoid necrosis* - This is a form of **necrosis** seen in the walls of blood vessels, characterized by deposition of **fibrin-like material** that stains intensely eosinophilic. - It is typically associated with **malignant hypertension** [2], **vasculitis**, or immune-mediated vascular damage, and is not a primary form of arteriosclerosis. **References:** [1] Kumar V, Abbas AK, et al.. Robbins and Cotran Pathologic Basis of Disease. 9th ed. The Kidney, p. 945. [2] Cross SS. Underwood's Pathology: A Clinical Approach. 6th ed. Common Clinical Problems From Cardiovascular Disease, pp. 276-277.
Explanation: ***Platelet thrombus*** - Virchow's triad describes the three primary categories of factors that are thought to contribute to **thrombosis**, but it does not specifically include a formed **thrombus** itself. [1] - While **platelet thrombus** formation is an outcome of an imbalance in these factors, it is not one of the predisposing conditions identified by Virchow's triad. *Stasis of blood flow* - **Stasis** refers to a reduction in the rate of blood flow, which allows clotting factors to accumulate and endothelial cells to become hypoxic, increasing the risk of **thrombosis**. [1] - This is a well-established component of Virchow's triad, explaining why factors like immobility or venous insufficiency predispose to clot formation. *Endothelial injury* - **Endothelial injury** or dysfunction exposes the subendothelial collagen, leading to platelet adhesion and activation, and the initiation of the coagulation cascade. [1] - It is a critical component of Virchow's triad, often seen in conditions like **atherosclerosis** or trauma, which directly promotes thrombus formation. [2] *Hypercoagulability* - **Hypercoagulability**, or thrombophilia, refers to an increased propensity for coagulation due to genetic or acquired abnormalities in clotting factors. [1] - This imbalance in the coagulation system is a central part of Virchow's triad, leading to an exaggerated thrombotic response even in the absence of significant stasis or injury. [2] **References:** [1] Kumar V, Abbas AK, et al.. Robbins and Cotran Pathologic Basis of Disease. 9th ed. Hemodynamic Disorders, Thromboembolic Disease, and Shock, pp. 132-133. [2] Cross SS. Underwood's Pathology: A Clinical Approach. 6th ed. (Basic Pathology) introduces the student to key general principles of pathology, both as a medical science and as a clinical activity with a vital role in patient care. Part 2 (Disease Mechanisms) provides fundamental knowledge about the cellular and molecular processes involved in diseases, providing the rationale for their treatment. Part 3 (Systematic Pathology) deals in detail with specific diseases, with emphasis on the clinically important aspects., pp. 142-143.
Explanation: ***Medial layer and internal elastic lamina defect*** - **Berry aneurysms** are most commonly saccular dilatations that occur at arterial bifurcations in the **Circle of Willis** [1]. - These aneurysms result from a congenital or acquired weakness in the **tunica media** and the **internal elastic lamina** at these bifurcation points, making the vessel wall susceptible to high pressures [1]. *Muscle and adventitial layer defect* - Defects primarily in the **muscle layer** (media) and **adventitia** are less commonly the primary cause of berry aneurysms. - While all layers contribute to vessel integrity, the specific absence in the medial and internal elastic lamina is key for berry aneurysms [1]. *Endothelial injury of vessel due to HTN* - While hypertension is a significant **risk factor** for aneurysm formation and rupture, it primarily exacerbates existing structural weaknesses rather than being the direct cause of the initial structural defect. - **Endothelial injury alone** is not the primary anatomical defect responsible for generating berry aneurysms; it contributes to atherosclerosis, which can lead to other types of aneurysms. *Adventitia defect* - A defect solely in the **adventitia** is not the primary predisposing factor for berry aneurysms. - The adventitia provides external support, but the integrity of the media and internal elastic lamina is crucial for maintaining the vessel's structural strength against intraluminal pressure [1]. **References:** [1] Kumar V, Abbas AK, et al.. Robbins and Cotran Pathologic Basis of Disease. 9th ed. The Central Nervous System, pp. 1272-1273.
Explanation: ***Vessels lack a contractile component*** - The distinctive feature of angiofibroma is the presence of **abundant, thin-walled blood vessels** that lack the typical muscular or elastic contractile layers found in normal arteries. - This structural deficiency prevents effective **vasoconstriction** and vessel closure, leading to severe and prolonged bleeding when injured. *It has multiple sites of origin* - While angiofibromas typically arise from the **nasopharynx**, their propensity to bleed is not related to having multiple sites of origin. - Their origin site does not inherently determine the vascular structure or bleeding risk. *It lacks a capsule* - The absence of a capsule can make surgical resection challenging and contribute to incomplete excision, but it does not directly explain the **profuse bleeding** from within the tumor itself. - Bleeding is primarily due to the internal vascular architecture rather than the presence or absence of a surrounding capsule. *None of the options* - This option is incorrect because the statement "Vessels lack a contractile component" accurately explains why angiofibromas bleed profusely. - The other options are not the primary reason for the extensive bleeding characteristic of these tumors.
Explanation: ***Lung*** - Polyarteritis nodosa (PAN) typically **spares the pulmonary circulation**, which helps distinguish it from other vasculitides like granulomatosis with polyangiitis (Wegener's) or eosinophilic granulomatosis with polyangiitis (Churg-Strauss) [3]. - Aneurysms are characteristic of PAN and occur in **medium-sized arteries** of various organs but are notably absent in the lungs [1]. *Pancreas* - The pancreas is a common site for vasculitic involvement in PAN, with **microaneurysms** and infarctions frequently observed in its arteries [2]. - Pancreatic involvement can lead to abdominal pain, pancreatitis, and other gastrointestinal symptoms [2]. *Kidney* - The **renal arteries** are frequently affected in PAN, leading to aneurysms, infarctions, and stenosis [1]. - This often results in **hypertension, renal insufficiency**, and hematuria, making kidney involvement a major cause of morbidity and mortality. *Liver* - **Hepatic artery aneurysms** are a recognized feature of PAN, often identified incidentally during imaging studies. - While less common than renal involvement, hepatic vasculitis can lead to abdominal pain and deranged liver function tests. **References:** [1] Kumar V, Abbas AK, et al.. Robbins and Cotran Pathologic Basis of Disease. 9th ed. Diseases of Infancy and Childhood, pp. 517-518. [2] Cross SS. Underwood's Pathology: A Clinical Approach. 6th ed. Common Clinical Problems From Osteoarticular And Connective Tissue Disease, pp. 687-688. [3] Kumar V, Abbas AK, et al.. Robbins and Cotran Pathologic Basis of Disease. 9th ed. Diseases of Infancy and Childhood, pp. 519-520.
Explanation: ***Is associated with a raised IgE in mesangium*** - **Henoch-Schonlein Purpura (HSP)** is characterized by **IgA deposition** in the mesangium, not IgE. This IgA deposition is a key pathological feature driving the renal manifestations. - While IgE can be elevated in some allergic conditions, it is not a hallmark of HSP's immune complex deposition in the kidneys. *50% patients can present with GN* - This statement is largely true; **glomerulonephritis (GN)**, ranging from microscopic hematuria to advanced renal failure, is a common complication affecting approximately 30-50% of HSP patients. - The severity of renal involvement is highly variable and can significantly impact the long-term prognosis of the disease. *Can present with abdominal pain* - **Abdominal pain** is a very common gastrointestinal manifestation of HSP, often described as colicky and severe, sometimes accompanied by nausea, vomiting, and gastrointestinal bleeding [1]. - This symptom results from vasculitis affecting the small blood vessels of the gastrointestinal tract, leading to **edema** and **hemorrhage** in the bowel wall. *Primarily a small vessel vasculitis* - HSP is indeed a **leukocytoclastic vasculitis** [2] that predominantly affects **small vessels**, particularly post-capillary venules. - This vasculitis leads to the characteristic palpable purpura [2], as well as the involvement of the gastrointestinal tract, joints, and kidneys. **References:** [1] Kumar V, Abbas AK, et al.. Robbins and Cotran Pathologic Basis of Disease. 9th ed. Diseases of Infancy and Childhood, pp. 518-519. [2] Cross SS. Underwood's Pathology: A Clinical Approach. 6th ed. Common Clinical Problems From Cardiovascular Disease, pp. 279-280.
Explanation: ***Heart*** - The **heart** develops **RED (hemorrhagic) infarcts**, NOT white infarcts, making it the correct answer [1], [3]. - The loose myocardial tissue structure and extensive anastomotic circulation allow blood to seep into the infarcted area. - Myocardial infarction characteristically shows **coagulative necrosis with hemorrhage** [3]. - This is the **classic example** of an organ that does NOT produce white infarcts. *Liver* - The **liver** CAN develop **white (anemic) infarcts**, though they are uncommon due to its dual blood supply (hepatic artery and portal vein). - White infarcts occur when the **hepatic artery** is occluded (e.g., thrombosis, ligation). - More commonly, liver develops **red infarcts** with venous occlusion (Budd-Chiari syndrome). *Kidney* - The **kidney** is a **classic site** for **white (anemic) infarcts** [1], [2]. - As a solid organ with **end-arterial circulation** (renal artery) and dense parenchyma, it perfectly fits the criteria for white infarcts [1]. - Renal infarcts appear as **wedge-shaped, pale areas** of coagulative necrosis [2]. *Spleen* - The **spleen** is another **classic site** for **white (anemic) infarcts** [1], [2]. - Its solid, dense structure and **end-arterial circulation** result in pale, wedge-shaped infarcts [1]. - Commonly seen in **infective endocarditis**, **sickle cell disease**, and **embolic events**. **References:** [1] Kumar V, Abbas AK, et al.. Robbins and Cotran Pathologic Basis of Disease. 9th ed. Hemodynamic Disorders, Thromboembolic Disease, and Shock, p. 140. [2] Cross SS. Underwood's Pathology: A Clinical Approach. 6th ed. (Basic Pathology) introduces the student to key general principles of pathology, both as a medical science and as a clinical activity with a vital role in patient care. Part 2 (Disease Mechanisms) provides fundamental knowledge about the cellular and molecular processes involved in diseases, providing the rationale for their treatment. Part 3 (Systematic Pathology) deals in detail with specific diseases, with emphasis on the clinically important aspects., pp. 148-149. [3] Kumar V, Abbas AK, et al.. Robbins and Cotran Pathologic Basis of Disease. 9th ed. The Heart, p. 552.
Atherosclerosis
Practice Questions
Hypertensive Vascular Disease
Practice Questions
Aneurysms and Dissection
Practice Questions
Vasculitis
Practice Questions
Venous Disease and Thrombosis
Practice Questions
Vascular Tumors
Practice Questions
Varicose Veins and Lymphatics
Practice Questions
Pathology of Vascular Interventions
Practice Questions
Vascular Diseases in Specific Organs
Practice Questions
Congenital Vascular Anomalies
Practice Questions
Get full access to all questions, explanations, and performance tracking.
Start For Free