Asbestosis of the lung is associated with all of the following except?
Which of the following is the most characteristic feature of Adult Respiratory Distress Syndrome (ARDS)?
What is the characteristic histopathological finding in shock lung?
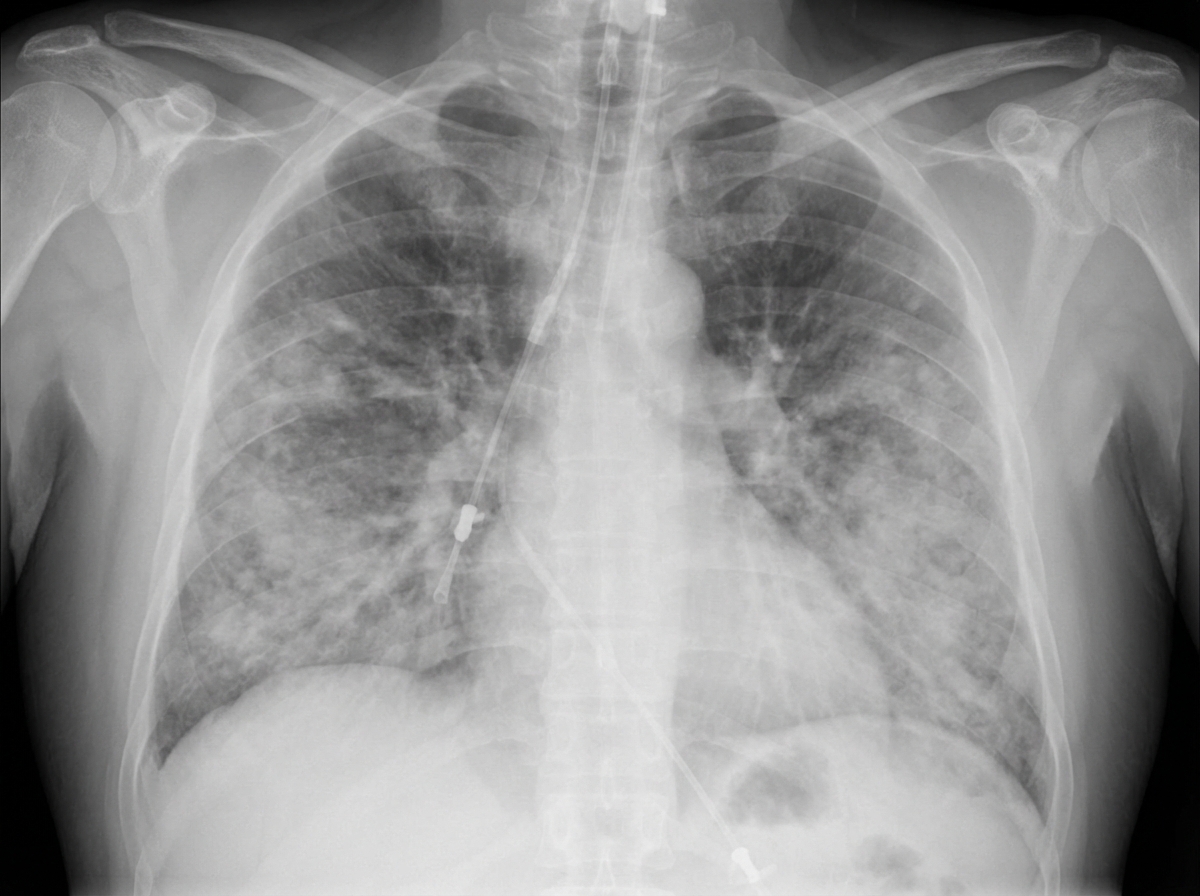
What is the pathophysiological cause of the disease shown in the X-ray and gross specimen from an ICU patient?

The term "brown induration" is used in relation to which of the following organs?
In the course of a laryngoscopic examination for hoarseness, a small lesion is found on the true vocal cord of a 57-year-old male smoker. On biopsy, severe squamous dysplasia is noted. If untreated, this lesion may progress to which of the following?
BAL of a patient shows foamy macrophages with decreased CD4:CD8 ratio. What is the diagnosis?
Curschmann's spirals in sputum are seen in which of the following conditions?
What is the most common presentation associated with thymoma?
A 50-year-old man dies of a chronic respiratory illness characterized by dyspnea, cough, and wheezing expiration over many years. His symptoms, initially episodic, increased in frequency and became continuous and intractable at the time of death. Which of the following is the most likely histologic finding in the lungs at autopsy?
Explanation: **Explanation:** Asbestosis is a chronic interstitial lung disease caused by the inhalation of asbestos fibers. The correct answer is **C** because asbestosis typically involves the **lower lobes** of the lungs and presents with **diffuse interstitial fibrosis**, not discrete nodular lesions [1]. **1. Why Option C is Correct (The "Except"):** Unlike Silicosis and Coal Worker’s Pneumoconiosis (CWP), which primarily affect the upper lobes with nodular patterns, Asbestosis starts in the lower lobes and subpleural regions [1]. The lesions are characterized by diffuse fibrosis rather than well-defined nodules. **2. Analysis of Other Options:** * **Option A (Mesothelioma):** Asbestos exposure is the only well-established environmental risk factor for malignant mesothelioma. While bronchogenic carcinoma is more common in asbestos workers, mesothelioma is the most specific tumor associated with it. * **Option B (Progression after exposure):** A hallmark of asbestosis is that the fibrotic process is often progressive [2]. Even after the individual is removed from the source of exposure, the fibers remaining in the lung continue to trigger inflammation and collagen deposition. * **Option D (Asbestos bodies in sputum):** Asbestos bodies (ferruginous bodies) are golden-brown, fusiform, or beaded rods with translucent centers [1]. Their presence in sputum or lung tissue is a marker of significant exposure. **Clinical Pearls for NEET-PG:** * **Golden Rule:** "Silica and Coal go UP (Upper lobe), Asbestos goes DOWN (Lower lobe)" [1]. * **Most Common Neoplasm:** Bronchogenic Carcinoma (especially in smokers, due to a synergistic effect). * **Most Specific Neoplasm:** Mesothelioma. * **Pleural Plaques:** The most common manifestation of asbestos exposure; they are usually asymptomatic and involve the parietal pleura (diaphragm) [1]. * **Microscopy:** Look for "Ferruginous bodies" stained with Prussian Blue (Perls' stain). **References:** [1] Kumar V, Abbas AK, et al.. Robbins and Cotran Pathologic Basis of Disease. 9th ed. The Lung, pp. 698-699. [2] Cross SS. Underwood's Pathology: A Clinical Approach. 6th ed. Common Clinical Problems From Respiratory Tract Disease, pp. 332-333.
Explanation: **Explanation:** **Adult Respiratory Distress Syndrome (ARDS)** is a clinical syndrome characterized by acute onset respiratory failure, bilateral pulmonary infiltrates, and severe hypoxemia in the absence of left heart failure [1]. **Why Option A is Correct:** The pathological hallmark and most characteristic histological feature of ARDS is **Diffuse Alveolar Damage (DAD)**. DAD occurs in phases: 1. **Exudative Phase:** Characterized by capillary congestion, interstitial edema, and the formation of **hyaline membranes** (composed of fibrin and necrotic cell debris) lining the alveolar walls [1]. 2. **Proliferative/Organizing Phase:** Marked by the proliferation of Type II pneumocytes and fibroblasts [1]. 3. **Fibrotic Phase:** Leading to interstitial fibrosis [1]. **Why Other Options are Incorrect:** * **Option B (Hypoxemia):** While hypoxemia is a clinical hallmark of ARDS, it is a *functional* consequence rather than a specific pathological feature [1]. Many conditions (e.g., PE, pneumonia) cause hypoxemia. * **Option C (Surfactant deficiency):** This is the primary cause of **Neonatal Respiratory Distress Syndrome (NRDS)** due to prematurity. In ARDS, surfactant is inactivated or lost secondary to DAD, but it is not the defining characteristic. * **Option D (Hypocapnia):** This may occur early due to compensatory hyperventilation, but it is a transient clinical finding, not a characteristic pathological feature. **High-Yield Clinical Pearls for NEET-PG:** * **Hyaline membranes** are the most diagnostic histological finding in the acute phase [1]. * **Berlin Criteria** for ARDS: Acute onset (<1 week), bilateral opacities on imaging, and $PaO_2/FiO_2$ ratio < 300 mmHg. * Common triggers: Sepsis (most common), gastric aspiration, and severe trauma. * The primary mechanism of injury is damage to the **alveolar capillary membrane** by neutrophils and inflammatory mediators [1]. **References:** [1] Kumar V, Abbas AK, et al.. Robbins and Cotran Pathologic Basis of Disease. 9th ed. The Lung, pp. 679-681.
Explanation: **Explanation:** **Shock Lung**, clinically known as **Acute Respiratory Distress Syndrome (ARDS)**, is a severe form of diffuse lung injury resulting from various triggers like sepsis, trauma, or shock [1]. **Why Option A is Correct:** The hallmark histopathological feature of ARDS is **Diffuse Alveolar Damage (DAD)**. This process begins with injury to the alveolar capillary endothelium and the alveolar epithelium (Type I pneumocytes) [1]. This damage leads to increased vascular permeability, resulting in the leakage of protein-rich fluid into the interstitial space and the alveolar spaces [1]. This fluid, combined with necrotic epithelial cell debris, organizes into characteristic **hyaline membranes** [1]. Therefore, **diffuse alveolar necrosis** (specifically of the alveolar lining cells) is the fundamental pathological event. **Why Other Options are Incorrect:** * **Option B:** While interstitial edema occurs in the early (exudative) phase, it is a non-specific finding seen in many conditions like congestive heart failure and is not the defining characteristic of shock lung [1]. * **Option C:** ARDS is characterized by an acute inflammatory infiltrate (primarily neutrophils) and hyaline membranes, rather than a primary "diffuse interstitial inflammation," which is more typical of interstitial lung diseases (e.g., UIP or NSIP). * **Option D:** While debris is present within the alveoli, it is a byproduct of the necrosis and membrane formation, not the primary diagnostic histopathological finding [1]. **NEET-PG High-Yield Pearls:** * **Stages of DAD:** 1. Exudative stage (Hyaline membranes), 2. Proliferative/Organizing stage (Type II pneumocyte hyperplasia), 3. Fibrotic stage [1]. * **Microscopic Hallmark:** Waxy, eosinophilic **Hyaline Membranes** lining the alveolar ducts [1]. * **Key Cell Involved:** Neutrophils play a central role by releasing ROS and proteases. * **Radiology:** Characterized by bilateral "white-out" or diffuse opacities on chest X-ray [1]. **References:** [1] Kumar V, Abbas AK, et al.. Robbins and Cotran Pathologic Basis of Disease. 9th ed. The Lung, pp. 679-681.
Explanation: ***Diffuse alveolar damage*** - **DAD** is the hallmark pathophysiological process of **ARDS** in ICU patients, characterized by **bilateral diffuse infiltrates** on X-ray and **heavy, firm, dark congested lungs** on gross examination. - Features **hyaline membrane formation**, **alveolar epithelial cell necrosis**, and **capillary endothelial damage** leading to increased vascular permeability and protein-rich edema. *Usual interstitial pneumonia* - **UIP** is a chronic fibrotic process with **honeycombing** and **subpleural distribution**, not the acute bilateral pattern seen in ICU settings. - Associated with **idiopathic pulmonary fibrosis** and shows **temporal heterogeneity** with areas of normal lung, inflammation, and fibrosis. *Acute interstitial pneumonia* - **AIP** (Hamman-Rich syndrome) presents similarly to DAD but is an **idiopathic** condition, not associated with the acute critical illness context of ICU patients. - Shows **diffuse alveolar damage** histologically but lacks the **identifiable precipitating factors** typically present in ICU-related ARDS. *Organizing pneumonia* - **OP** shows **intraluminal fibroblastic plugs** (Masson bodies) within **alveolar ducts and bronchioles**, creating a patchy rather than diffuse pattern. - Characterized by **preservation of lung architecture** and **good response to corticosteroids**, unlike the severe acute damage in ICU patients.
Explanation: **Explanation:** **Brown induration** is a classic pathological term used specifically to describe the gross appearance of the lungs in **Chronic Passive Congestion (CPC)**, most commonly resulting from left-sided heart failure [1]. **Why Option A is Correct:** In left-sided heart failure, the left ventricle cannot pump blood efficiently, leading to increased pressure in the pulmonary veins [2]. This causes chronic congestion of the alveolar capillaries. 1. **The "Brown" color:** High pressure causes micro-hemorrhages into the alveolar spaces. Macrophages phagocytose the released red blood cells and break down hemoglobin into **hemosiderin**. These "hemosiderin-laden macrophages" are known as **Heart Failure Cells**. 2. **The "Induration" (Firmness):** Chronic congestion and edema trigger interstitial fibrosis, making the lung tissue thick, firm, and leathery. **Why Other Options are Incorrect:** * **B. CPC Liver:** Known as **"Nutmeg Liver"** due to the speckled appearance of red (congested centrilobular areas) and tan (fatty peripheral areas). * **C. CPC Spleen:** Known as **"Siderotic nodules"** or **Gandy-Gamma bodies** (foci of fibrosis and hemosiderin), resulting in a firm, enlarged spleen (Splenomegaly). * **D. CPC Kidney:** Leads to congestion and tubular hypoxia, but does not have a specific descriptive term like brown induration. **NEET-PG High-Yield Pearls:** * **Stain:** Hemosiderin in "Heart Failure Cells" is best visualized using **Prussian Blue (Perl’s) stain**. * **Sequence:** Left Heart Failure → Pulmonary Venous Congestion → Brown Induration. * **Microscopy:** Look for thickened alveolar septa (fibrosis) and golden-brown pigment in macrophages [3]. **References:** [1] Kumar V, Abbas AK, et al.. Robbins and Cotran Pathologic Basis of Disease. 9th ed. The Heart, pp. 536-537. [2] Kumar V, Abbas AK, et al.. Robbins and Cotran Pathologic Basis of Disease. 9th ed. The Heart, pp. 537-538. [3] Kumar V, Abbas AK, et al.. Robbins and Cotran Pathologic Basis of Disease. 9th ed. The Heart, pp. 560-562.
Explanation: ### Explanation **Correct Answer: D. Squamous cell carcinoma** **1. Why Squamous Cell Carcinoma is correct:** The true vocal cords are naturally lined by **stratified squamous epithelium**. In the setting of chronic irritation (most commonly **smoking** or alcohol), this epithelium undergoes a predictable progression: **Hyperplasia → Dysplasia (mild to severe) → Carcinoma in situ → Invasive Squamous Cell Carcinoma (SCC)** [1], [2]. Severe squamous dysplasia is a high-grade pre-malignant change characterized by cellular atypia and loss of maturation involving the full thickness of the epithelium [3]. Since the lesion is already squamous in nature, the direct malignant progression is to Squamous Cell Carcinoma [4]. In the larynx, SCC accounts for approximately 95% of all primary malignancies [1]. **2. Why the other options are incorrect:** * **A. Adenocarcinoma:** These arise from glandular tissue. While the upper respiratory tract contains seromucinous glands, they are not the origin of lesions arising from squamous dysplastic epithelium of the true cords. * **B. Lymphoepithelioma:** This is a variant of undifferentiated nasopharyngeal carcinoma associated with EBV infection, typically found in the nasopharynx, not the larynx. * **C. Mucoepidermoid carcinoma:** This is a malignant salivary gland tumor. While it can occur in the larynx (from minor salivary glands), it does not arise from a precursor of squamous dysplasia. **3. High-Yield Clinical Pearls for NEET-PG:** * **Risk Factors:** Smoking is the #1 risk factor for laryngeal SCC; alcohol acts synergistically [1]. HPV (types 16 and 18) is also a known risk factor. * **Anatomic Site:** **Glottic tumors** (on the vocal cords) are the most common laryngeal cancers. They usually present early due to persistent hoarseness and have a better prognosis because the vocal cords have sparse lymphatic drainage (low rate of metastasis). * **Morphology:** Look for "Keratin pearls" and "Intercellular bridges" on histopathology for well-differentiated SCC. * **Vocal Cord Nodules (Singer’s Nodules):** These are non-neoplastic, bilateral reactive polyps, unlike the unilateral dysplastic lesion described here. **References:** [1] Kumar V, Abbas AK, et al.. Robbins and Cotran Pathologic Basis of Disease. 9th ed. Head and Neck, pp. 746-747. [2] Kumar V, Abbas AK, et al.. Robbins and Cotran Pathologic Basis of Disease. 9th ed. The Lung, p. 723. [3] Cross SS. Underwood's Pathology: A Clinical Approach. 6th ed. (Basic Pathology) introduces the student to key general principles of pathology, both as a medical science and as a clinical activity with a vital role in patient care. Part 2 (Disease Mechanisms) provides fundamental knowledge about the cellular and molecular processes involved in diseases, providing the rationale for their treatment. Part 3 (Systematic Pathology) deals in detail with specific diseases, with emphasis on the clinically important aspects., pp. 209-210. [4] Cross SS. Underwood's Pathology: A Clinical Approach. 6th ed. Common Clinical Problems From Respiratory Tract Disease, pp. 314-315.
Explanation: ### Explanation **Correct Option: C. Organising Pneumonia (OP)** Organising Pneumonia (formerly known as COP) is characterized histologically by the presence of **Masson bodies** (plugs of loose organizing connective tissue) within the alveoli and bronchioles [1]. * **BAL Findings:** The Bronchoalveolar Lavage (BAL) typically shows a "mixed cellularity" pattern. A hallmark finding is the presence of **foamy macrophages** (vacuolated macrophages) and a significant **decrease in the CD4:CD8 ratio** (usually <1.0). This occurs due to a relative increase in CD8+ T-lymphocytes, which helps differentiate it from other interstitial lung diseases. **Analysis of Incorrect Options:** * **A. Sarcoidosis:** Characterized by a high **CD4:CD8 ratio (>3.5)** in BAL fluid due to the accumulation of CD4+ helper T-cells in non-caseating granulomas. * **B. Hypersensitivity Pneumonitis (HP):** While HP also shows a **decreased CD4:CD8 ratio** (often <0.5) and lymphocytosis, it is typically associated with "dusty" exposure history and lacks the characteristic foamy macrophage predominance seen in OP [2]. * **D. Diffuse Alveolar Hemorrhage:** BAL would show **hemosiderin-laden macrophages** (siderophages) and progressively bloodier aliquots during the procedure. **High-Yield Clinical Pearls for NEET-PG:** * **CD4:CD8 Ratio >3.5:** Highly suggestive of Sarcoidosis. * **CD4:CD8 Ratio <1.0:** Suggestive of Organising Pneumonia, Hypersensitivity Pneumonitis, or Silicosis [2]. * **Milky/Opaque BAL:** Diagnostic of Pulmonary Alveolar Proteinosis (PAS-positive material). * **Ferruginous Bodies:** Suggestive of Asbestosis. * **Eosinophilia (>25%):** Suggestive of Tropical Pulmonary Eosinophilia or Loffler syndrome. **References:** [1] Cross SS. Underwood's Pathology: A Clinical Approach. 6th ed. Common Clinical Problems From Respiratory Tract Disease, pp. 330-331. [2] Kumar V, Abbas AK, et al.. Robbins and Cotran Pathologic Basis of Disease. 9th ed. The Lung, pp. 701-702.
Explanation: **Explanation:** **Curschmann’s spirals** are a classic microscopic finding in the sputum of patients with **Bronchial Asthma**. They are spiral-shaped mucus plugs formed from the cast of small bronchi and bronchioles [1]. In asthma, chronic inflammation leads to the hypersecretion of thick, tenacious mucus. When this mucus is forcefully expelled through narrowed airways, it undergoes a twisting motion, resulting in these characteristic whorled patterns of shed epithelium. **Analysis of Options:** * **Asthma (Correct):** Along with Curschmann’s spirals, other high-yield findings include **Charcot-Leyden crystals** (derived from eosinophil protein galectin-10) and **Creola bodies** (clusters of exfoliated bronchial epithelial cells). * **Tuberculosis cavity:** Sputum typically shows acid-fast bacilli (AFB) on Ziehl-Neelsen staining and caseous necrosis, not spiral mucus plugs. * **Bronchitis:** While mucus production is high (Reid Index >0.4), the mucus is generally not organized into spirals; instead, it presents as simple mucoid or mucopurulent sputum. * **Bronchiectasis:** Characterized by permanent dilation of bronchi [3], the sputum is typically "three-layered," foul-smelling, and purulent, often containing Dittrich’s plugs (foul-smelling yellowish lumps) rather than spirals. **NEET-PG High-Yield Pearls:** 1. **Curschmann’s spirals** = Twisted mucus plugs (Asthma) [1]. 2. **Charcot-Leyden crystals** = Eosinophil breakdown products (Asthma/Allergic conditions) [2]. 3. **Creola bodies** = Ciliated epithelial cell clusters (Asthma). 4. **Reid Index** = Ratio of bronchial gland thickness to total wall thickness (Increased in Chronic Bronchitis). **References:** [1] Cross SS. Underwood's Pathology: A Clinical Approach. 6th ed. Common Clinical Problems From Respiratory Tract Disease, pp. 328-329. [2] Kumar V, Abbas AK, et al.. Robbins and Cotran Pathologic Basis of Disease. 9th ed. The Lung, pp. 689-690. [3] Cross SS. Underwood's Pathology: A Clinical Approach. 6th ed. Common Clinical Problems From Respiratory Tract Disease, pp. 321-322.
Explanation: **Explanation:** **Thymoma** is the most common primary tumor of the anterior mediastinum, arising from thymic epithelial cells. **Why Myasthenia Gravis (MG) is correct:** The most significant clinical association with thymoma is **Myasthenia Gravis**, an autoimmune neuromuscular disorder [1]. Approximately **30-50% of patients with thymoma** have MG, while about 10-15% of patients with MG are found to have a thymoma. The underlying mechanism involves the tumor’s failure to properly "educate" T-cells (defective negative selection), leading to the production of autoantibodies against acetylcholine receptors (AChR) at the neuromuscular junction [1], [2]. **Why the other options are incorrect:** * **Renal and Hepatic Failure:** Thymomas are not typically associated with primary organ failure of the kidneys or liver. While paraneoplastic syndromes can occur, they usually manifest as hematologic (Pure Red Cell Aplasia) or immunologic (Hypogammaglobulinemia/Good Syndrome) issues rather than solid organ failure. * **Testicular Feminization:** This is a clinical term for Complete Androgen Insensitivity Syndrome (CAIS), a genetic condition involving androgen receptor mutations. It has no pathophysiological link to thymic pathology. **NEET-PG High-Yield Pearls:** * **Most common association:** Myasthenia Gravis. * **Other associations:** Pure Red Cell Aplasia (PRCA) and Good Syndrome (Hypogammaglobulinemia). * **Histology:** Characterized by a mixture of neoplastic epithelial cells and non-neoplastic "terminal" T-lymphocytes. * **Staging:** The **Masaoka Staging System** is used to determine the prognosis based on capsular invasion. * **Imaging:** CT chest is the gold standard for identifying an anterior mediastinal mass. **References:** [1] Kumar V, Abbas AK, et al.. Robbins and Cotran Pathologic Basis of Disease. 9th ed. Peripheral Nerves and Skeletal Muscles, pp. 1237-1238. [2] Kumar V, Abbas AK, et al.. Robbins and Cotran Pathologic Basis of Disease. 9th ed. Diseases of the Immune System, pp. 213-214.
Explanation: ### **Explanation** The clinical presentation of chronic dyspnea, cough, and wheezing that was initially episodic but became continuous is classic for **Bronchial Asthma** [1]. Over time, chronic inflammation leads to "airway remodeling," which explains the transition from episodic symptoms to permanent, intractable airflow obstruction [3]. **1. Why Option A is Correct:** The hallmarks of airway remodeling in asthma include **hypertrophy of bronchial smooth muscle**, hyperplasia of goblet cells, and thickening of the basement membrane [1]. Histologically, the inflammatory infiltrate is characteristically rich in **eosinophils** [2]. Other classic findings include **Curschmann spirals** (mucus plugs) and **Charcot-Leyden crystals** (derived from eosinophil proteins) [2]. **2. Why Incorrect Options are Wrong:** * **Option B (Diffuse Alveolar Damage):** This is the histologic hallmark of **Acute Respiratory Distress Syndrome (ARDS)**. It presents acutely with severe hypoxia, not as a chronic, episodic wheezing illness. * **Option C (Dilation of air spaces with destruction of walls):** This describes **Emphysema**. While emphysema causes chronic dyspnea, it is characterized by the loss of elastic recoil and alveolar septa, not the smooth muscle hypertrophy and eosinophilic infiltration seen in asthma. * **Option D (Hypoplasia of glands):** This is incorrect. In chronic obstructive conditions like asthma and chronic bronchitis, there is actually **hyperplasia and hypertrophy** of mucus-secreting glands (increased Reid Index) to compensate for chronic irritation [1]. ### **NEET-PG High-Yield Pearls** * **Airway Remodeling:** Key features are subepithelial fibrosis (Type I and III collagen), smooth muscle hypertrophy, and increased vascularity. * **Charcot-Leyden Crystals:** Composed of **Galectin-10** (formerly thought to be lysophospholipase). * **Reid Index:** Ratio of the thickness of the mucous gland layer to the thickness of the wall between the epithelium and cartilage. It is increased (>0.4) in chronic bronchitis. * **Status Asthmaticus:** The clinical term for the severe, intractable paroxysm described in the question that can lead to death [3]. **References:** [1] Cross SS. Underwood's Pathology: A Clinical Approach. 6th ed. Common Clinical Problems From Respiratory Tract Disease, pp. 328-329. [2] Kumar V, Abbas AK, et al.. Robbins and Cotran Pathologic Basis of Disease. 9th ed. The Lung, pp. 688-689. [3] Kumar V, Abbas AK, et al.. Robbins and Cotran Pathologic Basis of Disease. 9th ed. The Lung, pp. 689-690.
Congenital Anomalies
Practice Questions
Atelectasis and Acute Lung Injury
Practice Questions
Obstructive Pulmonary Diseases
Practice Questions
Restrictive Pulmonary Diseases
Practice Questions
Lung Infections
Practice Questions
Pulmonary Vascular Diseases
Practice Questions
Lung Tumors
Practice Questions
Pleural Diseases
Practice Questions
Interstitial Lung Diseases
Practice Questions
Occupational Lung Diseases
Practice Questions
Get full access to all questions, explanations, and performance tracking.
Start For Free