A 56-year-old chronic smoker has a mass in the bronchus resected. What is the possible marker for this type of tumor?
What is a feature of shock lung?
Pleural fibroma is differentiated from mesothelioma by the presence of which of the following markers in the former?
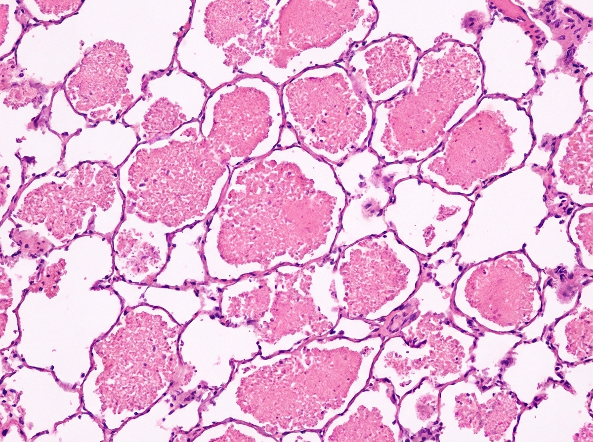
A full-term neonate develops severe progressive respiratory distress shortly after birth and subsequently dies. The image shows post-mortem lung biopsy findings. What is the most likely diagnosis?

True about panacinar emphysema?
Autopsy of a 23-year-old male victim of a motor vehicle accident reveals a small cluster of caseating granulomas in the right lung just above the interlobar fissure and similar granulomas in the hilar lymph nodes. Acid-fast staining demonstrates acid-fast bacilli within these lesions. No other lesions were found in the remaining organs and systems. Which of the following is the MOST accurate interpretation of these findings?
"Honeycomb lung" is most typical of which condition?
All of the following statements regarding centriacinar emphysema are true, except:
Pleural mesothelioma is associated with which of the following?
What is the most common clinical type of emphysema?
Explanation: The clinical presentation of a **56-year-old chronic smoker** with a **bronchial mass** strongly suggests a primary lung malignancy, most commonly **Squamous Cell Carcinoma** or **Small Cell Carcinoma** [1]. Both of these are epithelial tumors (carcinomas). 1. **Why Cytokeratin (Option A) is correct:** Cytokeratins are intermediate filaments found in the intracytoplasmic cytoskeleton of **epithelial cells**. Since the vast majority of lung cancers (90-95%) are carcinomas arising from the bronchial epithelium, **Cytokeratin** is the definitive immunohistochemical (IHC) marker used to confirm the epithelial origin of the tumor. 2. **Why other options are incorrect:** * **Vimentin (Option B):** This is the intermediate filament marker for cells of **mesenchymal origin**. It is used to identify sarcomas, melanomas, or renal cell carcinomas, but not primary bronchial carcinomas. * **Epithelial Membrane Antigen (EMA) (Option C):** While EMA is expressed in various carcinomas, it is less specific than Cytokeratin and is also expressed in some non-epithelial tumors (like messengers or plasma cell tumors). Cytokeratin remains the "gold standard" primary screen for epithelial lineage. * **Leukocyte Common Antigen (LCA/CD45) (Option D):** This is a specific marker for **hematopoietic cells**. It is used to diagnose lymphomas, which can occasionally present as a mediastinal mass but are not typically associated with a primary bronchial mass in a chronic smoker. **High-Yield Clinical Pearls for NEET-PG:** * **Squamous Cell Carcinoma:** Central location (bronchus), associated with smoking, shows "keratin pearls" and intercellular bridges [2] [3]. * **Small Cell Carcinoma:** Central location, neuroendocrine origin; markers include **Chromogranin, Synaptophysin, and CD56** [4]. * **Adenocarcinoma:** Peripheral location, most common type in non-smokers; marker is **TTF-1** (Thyroid Transcription Factor-1). * **Mesothelioma:** Marker is **Calretinin**. **References:** [1] Kumar V, Abbas AK, et al.. Robbins and Cotran Pathologic Basis of Disease. 9th ed. The Lung, p. 721. [2] Kumar V, Abbas AK, et al.. Robbins and Cotran Pathologic Basis of Disease. 9th ed. The Lung, pp. 723-724. [3] Cross SS. Underwood's Pathology: A Clinical Approach. 6th ed. Common Clinical Problems From Respiratory Tract Disease, pp. 336-337. [4] Cross SS. Underwood's Pathology: A Clinical Approach. 6th ed. Common Clinical Problems From Respiratory Tract Disease, pp. 337-338.
Explanation: **Explanation:** **Shock Lung** is the clinical-pathological term for **Acute Respiratory Distress Syndrome (ARDS)**. The hallmark pathological manifestation of ARDS is **Diffuse Alveolar Damage (DAD)** [1]. **Why Option A is Correct:** In shock lung, systemic insults (like sepsis, trauma, or shock) lead to endothelial and epithelial injury. This results in increased alveolar capillary permeability, leading to protein-rich edema and the formation of characteristic **hyaline membranes** lining the alveolar walls [1]. Pathologically, DAD progresses through an exudative phase (edema and hyaline membranes) followed by an organizing/proliferative phase [1]. **Why Incorrect Options are Wrong:** * **B. Usual Interstitial Pneumonitis (UIP):** This is the histological pattern of **Idiopathic Pulmonary Fibrosis (IPF)**. It is characterized by chronic, patchy interstitial fibrosis and "honeycombing," rather than acute alveolar injury. * **C. Organizing Pneumonia:** Formerly known as BOOP, this involves polypoid plugs of loose connective tissue (Masson bodies) within alveolar ducts and alveoli, typically seen in response to infection or inflammatory injury, but it is not the primary feature of shock lung. * **D. Bronchiolitis:** This refers to inflammation of the small airways (bronchioles), often viral (RSV) in children or related to smoking/toxins in adults, and does not involve the diffuse alveolar capillary membrane destruction seen in shock. **High-Yield Clinical Pearls for NEET-PG:** * **Microscopic Hallmark:** Hyaline membranes (composed of fibrin and necrotic type I pneumocyte debris) [1]. * **Key Cell Type:** **Type II Pneumocyte hyperplasia** occurs during the repair phase to replace damaged Type I cells. * **Clinical Definition:** Berlin Criteria (Acute onset, bilateral opacities on imaging, and $PaO_2/FiO_2$ ratio < 300 mmHg). **References:** [1] Kumar V, Abbas AK, et al.. Robbins and Cotran Pathologic Basis of Disease. 9th ed. The Lung, pp. 679-681.
Explanation: **Explanation:** **Pleural Fibroma** (also known as Solitary Fibrous Tumor of the pleura) is a mesenchymal tumor derived from submesothelial fibroblasts, whereas **Mesothelioma** is a malignant tumor arising from the mesothelial lining itself. Differentiating these two is a high-yield topic in respiratory pathology. **1. Why CD14 and CD34 are correct:** Pleural fibroma is of **mesenchymal (fibroblastic) origin**. Therefore, it consistently expresses mesenchymal markers. * **CD34:** This is the most characteristic marker for Solitary Fibrous Tumors (SFT). It is positive in nearly 90-95% of cases. * **CD14:** While less commonly discussed than CD34, it is a known marker expressed by the spindle cells in these tumors. * **Crucially**, Pleural Fibromas are **Cytokeratin negative**, which distinguishes them from Mesotheliomas. **2. Analysis of Incorrect Options:** * **Option B (CD24):** This is a cell adhesion molecule often associated with various carcinomas (like ovarian or breast) but is not a diagnostic marker for pleural fibroma. * **Option C & D:** While the **absence of Cytokeratin** is a valid feature of Pleural Fibroma, the question asks for the presence of specific markers. Option A is the most complete answer as it identifies the positive immunohistochemical profile (CD14/CD34) that defines the fibroblastic lineage. **3. NEET-PG High-Yield Pearls:** * **Origin:** Pleural Fibroma arises from **visceral pleura** and is often **pedunculated**. It is **NOT** related to asbestos exposure (unlike Mesothelioma) [1]. * **Clinical Sign:** It is associated with **Doege-Potter Syndrome** (paraneoplastic hypoglycemia due to secretion of IGF-2) and **Hypertrophic Osteoarthropathy** (Pierre-Marie-Bamberger syndrome) [1]. * **Mesothelioma Markers:** If the question asked for Mesothelioma, look for **Calretinin (most specific)**, WT-1, Cytokeratin 5/6, and Podoplanin. [1] * **Newer Marker:** **STAT6** is now considered the most sensitive and specific nuclear marker for Solitary Fibrous Tumors/Pleural Fibroma. **References:** [1] Cross SS. Underwood's Pathology: A Clinical Approach. 6th ed. Common Clinical Problems From Respiratory Tract Disease, pp. 339-340.
Explanation: ***Pulmonary alveolar proteinosis*** - Characterized by **PAS-positive granular lipoproteinaceous material** filling the alveoli, creating a distinctive "crazy paving" pattern on histology. - Congenital form presents with **severe respiratory distress at birth** in full-term neonates due to defective **surfactant metabolism** from GM-CSF receptor deficiency. *Pulmonary hemorrhage* - Histologically shows **red blood cells** filling the alveolar spaces, not lipoproteinaceous material. - Typically associated with **hemosiderin-laden macrophages** and would present differently on biopsy. *Pneumonia* - Would show **inflammatory cell infiltrate** including neutrophils, lymphocytes, and potentially organisms. - Alveolar spaces would contain **inflammatory exudate** rather than the characteristic proteinaceous material. *Pulmonary edema* - Presents with **watery, protein-poor transudate** in alveolar spaces, appearing as homogeneous pink fluid. - Lacks the **granular, lipoproteinaceous material** that is pathognomonic for alveolar proteinosis.
Explanation: **Explanation:** Emphysema is characterized by the permanent enlargement of airspaces distal to the terminal bronchioles [1]. **Panacinar (or panlobular) emphysema** is specifically defined by the uniform involvement of the entire acinus, from the respiratory bronchiole to the alveoli [2]. **1. Why Option C is Correct:** Panacinar emphysema is classically associated with **Alpha-1 Antitrypsin (A1AT) deficiency** [1]. A1AT is a protease inhibitor that neutralizes neutrophil elastase. In its absence, elastase unchecked destroys the elastic tissue of the alveolar walls throughout the acinus [3]. **2. Why the other options are incorrect:** * **Option A:** Panacinar emphysema typically involves the **lower lobes (bases)** of the lungs. In contrast, Centriacinar emphysema (associated with smoking) predominantly affects the apical/upper lobes [1]. * **Option B:** While smoking-related emphysema often presents later, A1AT deficiency-related panacinar emphysema typically manifests **earlier in life** (often in the 4th or 5th decade), especially if the patient smokes [3]. * **Option D:** While "panacinar" means the entire *acinus* is involved, it does not mean the "entire lung" is uniformly affected [2]. It shows a distinct predilection for the **lower zones**. **High-Yield Clinical Pearls for NEET-PG:** * **Centriacinar Emphysema:** Most common type; associated with smoking; affects respiratory bronchioles; upper lobes [1]. * **Paraseptal Emphysema:** Involves distal acinus; occurs near pleura; associated with **spontaneous pneumothorax** in young adults [2]. * **Genetics:** A1AT deficiency is linked to the **PiZZ phenotype** (highest risk) and can also cause liver cirrhosis due to misfolded protein accumulation in hepatocytes (PAS-positive diastase-resistant globules) [4]. **References:** [1] Kumar V, Abbas AK, et al.. Robbins and Cotran Pathologic Basis of Disease. 9th ed. The Lung, pp. 684-685. [2] Kumar V, Abbas AK, et al.. Robbins and Cotran Pathologic Basis of Disease. 9th ed. The Lung, p. 683. [3] Kumar V, Abbas AK, et al.. Robbins and Cotran Pathologic Basis of Disease. 9th ed. The Lung, pp. 683-684. [4] Kumar V, Abbas AK, et al.. Robbins and Cotran Pathologic Basis of Disease. 9th ed. Liver and Gallbladder, pp. 856-858.
Explanation: **Explanation:** The autopsy findings describe a classic **Ghon complex**, which is the hallmark of **Primary Tuberculosis**. [1] 1. **Why the correct answer is right:** A Ghon complex consists of two components: * **Ghon Focus:** A small (1–1.5 cm) area of granulomatous inflammation (caseating necrosis) typically located in the mid-to-lower lung zones, often near the interlobar fissure. * **Nodal Involvement:** Spread of the bacilli to the draining **hilar or tracheobronchial lymph nodes**, which also undergo caseation. [1] In this case, the presence of acid-fast bacilli (AFB) within these localized lesions in a young patient with no other systemic involvement confirms primary TB infection that has been contained. [2] 2. **Why the incorrect options are wrong:** * **Cavitary tuberculosis:** This represents **Secondary (Reactivation) TB**. It typically involves the **apices** of the lungs (due to high oxygen tension) and shows extensive tissue destruction with cavity formation, rather than a localized subpleural focus. * **Histoplasma infection:** While *Histoplasma capsulatum* can cause granulomas, the question explicitly mentions **acid-fast bacilli**, which are pathognomonic for Mycobacteria, not fungal spores. [2] * **Miliary tuberculosis:** This occurs when the bacilli disseminate hematogenously, resulting in tiny, "millet-seed" like lesions throughout multiple organs (liver, spleen, bone marrow). The question states no other lesions were found. [3] **High-Yield NEET-PG Pearls:** * **Ranke Complex:** When a Ghon complex undergoes progressive fibrosis and **calcification**, it is termed a Ranke complex (visible on X-ray). * **Location:** Primary TB favors the lower part of the upper lobe or upper part of the lower lobe (subpleural). Secondary TB favors the lung apices. * **Simon Focus:** A calcified nodule in the apex of the lung resulting from hematogenous seeding during primary infection; it is a common site for later reactivation. **References:** [1] Kumar V, Abbas AK, et al.. Robbins and Cotran Pathologic Basis of Disease. 9th ed. Infectious Diseases, pp. 382-383. [2] Kumar V, Abbas AK, et al.. Robbins and Cotran Pathologic Basis of Disease. 9th ed. Infectious Diseases, pp. 383-384. [3] Kumar V, Abbas AK, et al.. Robbins and Cotran Pathologic Basis of Disease. 9th ed. Infectious Diseases, pp. 379-380.
Explanation: **Explanation:** **Honeycomb lung** is the radiological and pathological end-stage of various chronic interstitial lung diseases [1]. It is characterized by the destruction of alveoli and the formation of cystic spaces lined by hyperplastic type II pneumocytes or bronchiolar epithelium, separated by dense inflammatory fibrosis. **Why Hamman-Rich Syndrome is correct:** Hamman-Rich syndrome, also known as **Acute Interstitial Pneumonia (AIP)**, is a fulminant form of idiopathic interstitial pneumonia. While it begins with diffuse alveolar damage (similar to ARDS) [2], survivors often progress rapidly to extensive interstitial fibrosis. This architectural remodeling leads to the classic "honeycomb" appearance. It falls under the umbrella of Interstitial Lung Diseases (ILD), which are the primary cause of honeycombing [1]. **Why the other options are incorrect:** * **Options A & C (Emphysema):** Emphysema involves the permanent enlargement of airspaces distal to the terminal bronchioles due to wall destruction *without* significant fibrosis [3]. While it shows lucencies on imaging, it does not produce the thick-walled, fibrotic cysts characteristic of honeycombing. * **Option B (Lymphangitic spread):** This refers to the infiltration of tumor cells within the pulmonary lymphatics. It typically presents as thickened interlobular septa and "beaded" appearances on CT, but does not result in cystic honeycombing. **NEET-PG High-Yield Pearls:** * **Most common cause of Honeycomb Lung:** Idiopathic Pulmonary Fibrosis (IPF/UIP) [1]. * **Histology:** Look for "Fibroblastic foci" (hallmark of UIP). * **Radiology:** Honeycombing is best visualized on **HRCT** and is usually subpleural and basal in distribution [1]. * **Other causes:** Asbestosis, Sarcoidosis (Stage IV), and Chronic Hypersensitivity Pneumonitis. **References:** [1] Kumar V, Abbas AK, et al.. Robbins and Cotran Pathologic Basis of Disease. 9th ed. The Lung, pp. 691-692. [2] Kumar V, Abbas AK, et al.. Robbins and Cotran Pathologic Basis of Disease. 9th ed. The Lung, pp. 679-681. [3] Cross SS. Underwood's Pathology: A Clinical Approach. 6th ed. Common Clinical Problems From Respiratory Tract Disease, pp. 326-327.
Explanation: ### Explanation **1. Why Option C is the correct answer (The Exception):** Centriacinar (centrilobular) emphysema is characteristically **more common and more severe in the upper lobes**, particularly in the apical segments [1]. This is a high-yield distinction in pathology. In contrast, **Panacinar emphysema** (associated with $\alpha_1$-antitrypsin deficiency) typically affects the **lower lobes** of the lungs [4]. Therefore, the statement that centriacinar emphysema is more severe in the lower lobes is false. **2. Analysis of Incorrect Options:** * **Option A:** Centriacinar emphysema accounts for more than 95% of clinically significant cases, making it the **most common type** [2]. * **Option B:** In this type, the central or proximal parts of the acini (formed by **respiratory bronchioles**) are affected, while the distal alveoli are relatively spared [1], [3]. This localized destruction is the hallmark of the "centriacinar" pattern. * **Option D:** There is a direct and strong causal relationship between **heavy smoking** and centriacinar emphysema [2]. It is often seen in conjunction with chronic bronchitis. **3. NEET-PG High-Yield Pearls:** * **Centriacinar:** Upper lobes, Smoking-related, Respiratory bronchioles involved. * **Panacinar:** Lower lobes, $\alpha_1$-Antitrypsin deficiency, Entire acinus involved [4]. * **Paraseptal:** Distal acinus involved, occurs near pleura/septa, associated with **spontaneous pneumothorax** in young adults [1]. * **Microscopic Hallmark:** Destruction of alveolar walls without significant fibrosis. * **Radiology:** "Dirty chest" on X-ray; CT shows "hole-in-lung" appearance without visible walls in centriacinar types. **References:** [1] Kumar V, Abbas AK, et al.. Robbins and Cotran Pathologic Basis of Disease. 9th ed. The Lung, p. 683. [2] Kumar V, Abbas AK, et al.. Robbins and Cotran Pathologic Basis of Disease. 9th ed. The Lung, pp. 684-685. [3] Cross SS. Underwood's Pathology: A Clinical Approach. 6th ed. Common Clinical Problems From Respiratory Tract Disease, pp. 326-327. [4] Kumar V, Abbas AK, et al.. Robbins and Cotran Pathologic Basis of Disease. 9th ed. The Lung, pp. 683-684.
Explanation: **Explanation:** **1. Why Asbestosis is Correct:** Malignant Mesothelioma is a rare neoplasm of mesothelial cells, most commonly arising in the parietal or visceral pleura [1]. There is a strong, established causal link between **asbestos exposure** and mesothelioma, with a long latency period of 25 to 40 years [3]. Asbestos fibers (particularly the sharp, needle-like **amphibole** type) reach the pleura via lymphatic drainage, where they induce chronic inflammation and oncogenic transformation. It is important to note that while asbestos is the primary risk factor for mesothelioma, the most common cancer associated with asbestos exposure is actually **Bronchogenic Carcinoma** [1]. **2. Why Incorrect Options are Wrong:** * **Berylliosis:** Caused by exposure to beryllium (e.g., aerospace or electronics industries). It typically presents as a **non-caseating granulomatous disease** similar to sarcoidosis, rather than a malignancy. * **Silicosis:** Caused by inhalation of crystalline silica (e.g., mining, sandblasting). It is characterized by **silicotic nodules** and eggshell calcification of hilar lymph nodes [2]. While it increases the risk of tuberculosis and lung cancer, it is not specifically linked to mesothelioma. **3. NEET-PG High-Yield Pearls:** * **Marker of Choice:** **Calretinin** is the most specific immunohistochemical marker for mesothelioma. Other markers include WT-1 and Cytokeratin 5/6. * **Gross Appearance:** Characterized by a thick, firm, grayish-white "rind" or "sheath" that encases and compresses the lung. * **Psammoma Bodies:** These may be seen histologically in the epithelial variant of mesothelioma. * **Smoking Link:** Unlike bronchogenic carcinoma, the risk of mesothelioma is **not** increased by smoking [1]. **References:** [1] Cross SS. Underwood's Pathology: A Clinical Approach. 6th ed. (Basic Pathology) introduces the student to key general principles of pathology, both as a medical science and as a clinical activity with a vital role in patient care. Part 2 (Disease Mechanisms) provides fundamental knowledge about the cellular and molecular processes involved in diseases, providing the rationale for their treatment. Part 3 (Systematic Pathology) deals in detail with specific diseases, with emphasis on the clinically important aspects., pp. 221-222. [2] Kumar V, Abbas AK, et al.. Robbins and Cotran Pathologic Basis of Disease. 9th ed. The Lung, pp. 698-699. [3] Cross SS. Underwood's Pathology: A Clinical Approach. 6th ed. Common Clinical Problems From Respiratory Tract Disease, pp. 339-340.
Explanation: **Explanation:** Emphysema is characterized by the permanent enlargement of airspaces distal to the terminal bronchioles, accompanied by the destruction of their walls [1]. The classification is based on the anatomical distribution within the acinus [3]. **1. Why Centriacinar is correct:** **Centriacinar (Centrilobular) emphysema** is the **most common clinical type**, accounting for more than 95% of cases [1]. It primarily affects the central or proximal parts of the acini (formed by respiratory bronchioles), while distal alveoli are spared [2]. It is most commonly seen in **heavy smokers** and typically involves the **upper lobes** of the lungs [1]. **2. Why other options are incorrect:** * **Panacinar (Panlobular):** In this type, the entire acinus is uniformly enlarged [2]. It is classically associated with **$̑_1$-antitrypsin deficiency** and tends to occur in the **lower zones** of the lung [1]. * **Paraseptal (Distal Acinar):** This involves the distal part of the acinus. It is typically found near the pleura and along connective tissue septa [2]. While it can cause spontaneous pneumothorax in young adults (due to ruptured blebs), it is not the most common type [2]. * **Segmental:** This is not a standard pathological classification of emphysema. **High-Yield Clinical Pearls for NEET-PG:** * **Smoking** = Centriacinar = Upper Lobes [1]. * **$̑_1$-Antitrypsin Deficiency** = Panacinar = Lower Lobes [1]. * **Irregular Emphysema:** Associated with scarring (most common type found at autopsy, but not the most common *clinical* type) [2]. * **Microscopic Hallmark:** Destruction of alveolar walls without significant fibrosis [1]. **References:** [1] Kumar V, Abbas AK, et al.. Robbins and Cotran Pathologic Basis of Disease. 9th ed. The Lung, pp. 684-685. [2] Kumar V, Abbas AK, et al.. Robbins and Cotran Pathologic Basis of Disease. 9th ed. The Lung, p. 683. [3] Cross SS. Underwood's Pathology: A Clinical Approach. 6th ed. Common Clinical Problems From Respiratory Tract Disease, pp. 326-327.
Congenital Anomalies
Practice Questions
Atelectasis and Acute Lung Injury
Practice Questions
Obstructive Pulmonary Diseases
Practice Questions
Restrictive Pulmonary Diseases
Practice Questions
Lung Infections
Practice Questions
Pulmonary Vascular Diseases
Practice Questions
Lung Tumors
Practice Questions
Pleural Diseases
Practice Questions
Interstitial Lung Diseases
Practice Questions
Occupational Lung Diseases
Practice Questions
Get full access to all questions, explanations, and performance tracking.
Start For Free