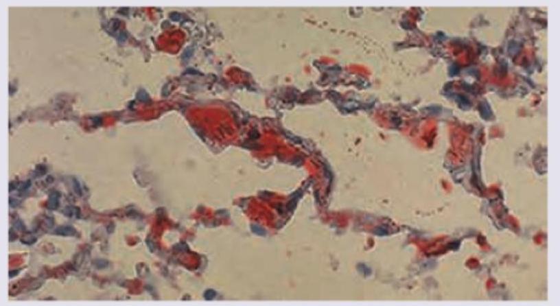
Postmortem lung specimen of a patient who developed severe respiratory distress and petechiae after fracture of shaft of femur is given below. All are true about the condition except:

A 35-year-old patient presents with progressive cough and hemoptysis. Bronchoscopy shows 4 cm polypoidal mass projecting into bronchial lumen. CT guided lung biopsy image is given below. All are true about the condition shown except:

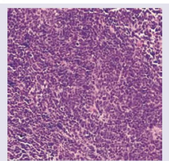
All are true about the type of lung cancer shown in the figure except: (Recent NEET Pattern 2016-17)

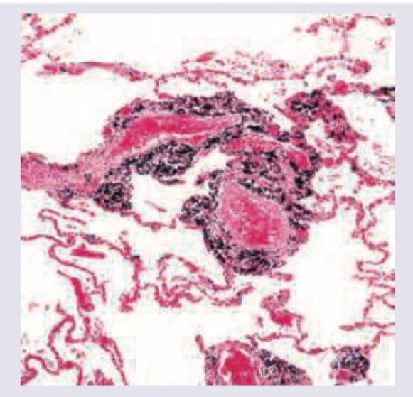
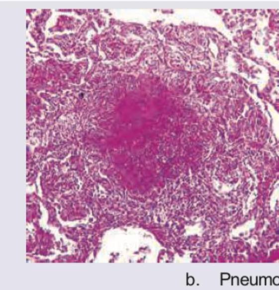
Lung biopsy of an urban city dweller shows presence of: (Recent NEET Pattern 2016-17)

A 35-year-old female presents with difficulty in breathing at rest. On examination stridor is noted. The lung histopathological specimen shows presence of: (Recent NEET Pattern 2016-17)

A 25-year-old woman with ocular myasthenia Gravis on prednisolone for last 5 years is having cough with night sweats and significant weight loss. The lung histopathological specimen shows:

An 8-year-old boy with acute lymphoblastic leukemia on chemotherapy develops fever with nonproductive cough and respiratory distress. The lung specimen shows:

A 32-year-old chain-smoker presented with persistent productive cough, fever and recurrent pulmonary infections. After his death, lung specimen was extracted. Which of the components are destroyed?

A patient with a depressive illness is brought to casualty with acute breathlessness. X-ray shows diffuse infiltrates in right middle lobe and right lower lobe. The patient expired. The lung specimen on biopsy shows:

'Masson Bodies' formed due to proliferation of immature collagen are a characteristic histopathological finding seen in which of the following conditions?
Explanation: ***Diffuse white matter petechial hemorrhages*** - While **petechial hemorrhages** can occur in **fat embolism syndrome (FES)**, they are typically found in the **gray matter** and **white matter** of the brain, but the statement specifically mentions "diffuse white matter petechial hemorrhages" which is not the most characteristic or exclusive finding. - The most characteristic neurological finding in FES is **cerebral edema** and **microinfarcts** due to fat emboli, leading to altered mental status. *Oil Red O stain for fat* - **Oil Red O stain** is a crucial diagnostic tool used to identify **fat globules** in tissue sections, particularly in the lungs, confirming the presence of fat emboli. - This stain is used on **frozen sections** because routine paraffin embedding dissolves fat. *Noncardiogenic pulmonary edema* - **Fat embolism syndrome (FES)** [1] often leads to **acute respiratory distress syndrome (ARDS)**, which is characterized by **noncardiogenic pulmonary edema**. - This edema results from the inflammatory response triggered by fat emboli in the pulmonary capillaries, increasing vascular permeability. *GURD criteria* - The **Gurd and Wilson criteria** are clinical diagnostic criteria used to diagnose **fat embolism syndrome (FES)**. - These criteria include major signs (respiratory insufficiency, cerebral involvement, petechial rash) and minor signs (tachycardia, fever, retinal changes, fat in urine, etc.). **References:** [1] Cross SS. Underwood's Pathology: A Clinical Approach. 6th ed. (Basic Pathology) introduces the student to key general principles of pathology, both as a medical science and as a clinical activity with a vital role in patient care. Part 2 (Disease Mechanisms) provides fundamental knowledge about the cellular and molecular processes involved in diseases, providing the rationale for their treatment. Part 3 (Systematic Pathology) deals in detail with specific diseases, with emphasis on the clinically important aspects., pp. 146-147.
Explanation: ***Necrosis is common*** - The image and description are highly suggestive of a **bronchial carcinoid tumor**, which is a well-differentiated neuroendocrine tumor [1]. - **Necrosis** is typically **uncommon or absent** in typical carcinoid tumors, and its presence, especially extensive necrosis, would suggest a more aggressive neuroendocrine tumor like atypical carcinoid or small cell carcinoma [1]. *Chromogranin positivity* - **Chromogranin A** is a common **neuroendocrine marker** that stains positive in carcinoid tumors, indicating their neuroendocrine origin [1]. - This positivity aids in the diagnosis of carcinoid tumors and differentiates them from other lung malignancies. *Nests of tumor cells sharply demarcated by stroma* - Bronchial carcinoid tumors classically exhibit a **nested or insular growth pattern** with uniform cells [1]. - These nests are often **sharply demarcated** by a delicate, vascularized stroma, which is a characteristic histological feature. *Stain positively with Argyrophilic stains* - Carcinoid tumors are **neuroendocrine tumors** and contain neurosecretory granules that can be stained by **argyrophilic stains** (e.g., Grimelius, Sevier-Munger) [1]. - This staining property reflects their ability to take up and reduce silver salts, further confirming their neuroendocrine differentiation. **References:** [1] Kumar V, Abbas AK, et al.. Robbins and Cotran Pathologic Basis of Disease. 9th ed. The Lung, p. 727.
Explanation: ***Dense core granules are absent*** - This statement is incorrect because **small cell lung carcinoma (SCLC)**, characterized by diffuse sheets of hyperchromatic cells and positive synaptophysin, is a neuroendocrine tumor. - Neuroendocrine tumors, by definition, contain **dense core granules** which store neurosecretory products. Their absence would contradict the neuroendocrine nature of SCLC. *Diffuse sheets of hyperchromatic cells* - This is a characteristic histological feature of **small cell lung carcinoma (SCLC)**, where cells are small, round to oval, with scant cytoplasm and hyperchromatic nuclei, often forming diffuse sheets [1]. - The cells show **nuclear molding** and a high mitotic rate, consistent with aggressive growth. *Positive for Synaptophysin* - **Synaptophysin** is a neuroendocrine marker, and its positivity is a key immunohistochemical feature of **small cell lung carcinoma (SCLC)**, confirming its neuroendocrine differentiation [1]. - Other neuroendocrine markers like **chromogranin A** and **CD56** are also typically positive in SCLC. *3p allele loss* - Loss of heterozygosity on the **short arm of chromosome 3 (3p)** is a very common genetic alteration found in **small cell lung carcinoma (SCLC)** [2,4]. - This region harbors several **tumor suppressor genes**, including *FHIT* and *RASSF1A*, whose inactivation contributes to SCLC pathogenesis. **References:** [1] Cross SS. Underwood's Pathology: A Clinical Approach. 6th ed. Common Clinical Problems From Respiratory Tract Disease, pp. 337-338. [2] Kumar V, Abbas AK, et al.. Robbins and Cotran Pathologic Basis of Disease. 9th ed. The Lung, pp. 720-721. [3] Kumar V, Abbas AK, et al.. Robbins and Cotran Pathologic Basis of Disease. 9th ed. The Lung, p. 721.
Explanation: ***Anthracosis*** - Anthracosis is the accumulation of **carbon pigment** in the lungs, commonly seen in urban dwellers due to exposure to **air pollution** and smoke [1]. - It is generally considered a benign condition and is a common finding in lung biopsies of individuals living in polluted environments. *Simple coal worker pneumoconiosis* - This condition is caused by the inhalation of **coal dust** and is primarily seen in **coal miners**, not typically in urban city dwellers without occupational exposure [1]. - It is characterized by the presence of **coal macules** and **nodules** in the lungs, which are distinct from the diffuse carbon deposition of anthracosis. *Progressive massive fibrosis* - This is a severe complication of **coal worker pneumoconiosis** or **silicosis**, characterized by large fibrotic masses in the lungs [1]. - It implies significant occupational exposure to dust and is not a typical finding in an urban city dweller without such a history. *Silicosis* - Silicosis results from the inhalation of **silica dust**, commonly found in occupations like **mining, quarrying, and sandblasting** [1]. - It is characterized by specific **silicotic nodules** and is an occupational lung disease, not generally associated with typical urban living. **References:** [1] Kumar V, Abbas AK, et al.. Robbins and Cotran Pathologic Basis of Disease. 9th ed. The Lung, p. 695.
Explanation: ***Wegener's granulomatosis*** - **Stridor** indicates upper airway obstruction, which can be caused by **granulomatous inflammation** in the trachea or larynx, a feature of Wegener's. - Histopathology would show **necrotizing granulomatous inflammation** and **vasculitis**, consistent with this diagnosis [1]. *Tuberculosis* - While tuberculosis can cause respiratory symptoms, **stridor** is an uncommon presentation unless there is significant **lymph node enlargement** compressing the airway. - Histopathology typically shows **caseating granulomas** with Langhans giant cells, which is different from necrotizing vasculitis. *Sarcoidosis* - Sarcoidosis can cause **dyspnea** and **lung involvement**, but **stridor** is rare unless there is significant laryngeal or tracheal involvement, which is not typical. - Histopathology reveals **non-caseating granulomas** without vasculitis [2]. *Hypersensitivity pneumonitis* - This condition primarily affects the **alveoli and bronchioles**, leading to **dyspnea** and cough, but **stridor** is not a characteristic feature. - Histopathology shows **non-caseating granulomas**, **interstitial inflammation**, and **bronchiolitis**, but not necrotizing vasculitis [3]. **References:** [1] Kumar V, Abbas AK, et al.. Robbins and Cotran Pathologic Basis of Disease. 9th ed. Diseases of Infancy and Childhood, pp. 519-520. [2] Kumar V, Abbas AK, et al.. Robbins and Cotran Pathologic Basis of Disease. 9th ed. The Lung, pp. 700-701. [3] Kumar V, Abbas AK, et al.. Robbins and Cotran Pathologic Basis of Disease. 9th ed. The Lung, pp. 701-702.
Explanation: ***Pneumocystis carinii*** - The patient is on chronic **prednisolone** (a corticosteroid), which causes **immunosuppression**, making her susceptible to opportunistic infections like *Pneumocystis jirovecii* pneumonia (PJP), formerly known as *Pneumocystis carinii* [1]. - Symptoms like **cough, night sweats, and significant weight loss** are consistent with a chronic opportunistic infection in an immunocompromised host [1]. *TB* - While **TB** can cause cough, night sweats, and weight loss, it is less likely to be the primary diagnosis in a patient on chronic corticosteroids without other specific risk factors for TB exposure. - Histopathology for TB would typically show **granulomas with caseous necrosis**, which is not the most common opportunistic infection in this scenario. *Aspergillosis* - **Aspergillosis** can occur in immunocompromised patients [1], but it often presents with specific features like **hemoptysis** or **fungal balls** (aspergilloma) in the lungs. - Histopathology would show **septate hyphae with acute angle branching**, which is distinct from *Pneumocystis*. *Mucormycosis* - **Mucormycosis** is a severe fungal infection typically seen in patients with **diabetes mellitus** or profound immunosuppression, often affecting the sinuses and brain. - Lung involvement is possible but less common than PJP in this clinical context, and histopathology would show **broad, non-septate hyphae with right-angle branching**. **References:** [1] Cross SS. Underwood's Pathology: A Clinical Approach. 6th ed. Common Clinical Problems From Respiratory Tract Disease, pp. 318-319.
Explanation: ***Aspergillosis*** - In an immunocompromised patient, such as a child on **chemotherapy** for **acute lymphoblastic leukemia**, **Aspergillus** is a common cause of invasive fungal infections, including **pulmonary aspergillosis** [1][2]. - The symptoms of fever, nonproductive cough, and respiratory distress are consistent with **invasive pulmonary aspergillosis**, which can be confirmed by lung biopsy showing **septate hyphae** with acute angle branching [1]. *Mucormycosis* - While also an opportunistic fungal infection in immunocompromised patients, **Mucormycosis** typically presents with **broad, non-septate hyphae** with right-angle branching on histology. - It often involves the **paranasal sinuses** and **brain** in addition to the lungs, and is more common in patients with **diabetes mellitus** or **neutropenia**. *Desquamative interstitial pneumonitis* - This is a form of **idiopathic interstitial pneumonia** characterized by accumulation of **macrophages** in the alveolar spaces [3]. - It is typically seen in **smokers** and is not an acute infectious process, nor is it directly linked to chemotherapy-induced immunosuppression in this context [3]. *Nonspecific interstitial pneumonitis* - This is another form of **idiopathic interstitial pneumonia** with a more uniform pattern of inflammation and fibrosis. - It is a chronic condition and does not present as an acute febrile illness with respiratory distress in an immunocompromised patient due to an opportunistic infection. **References:** [1] Kumar V, Abbas AK, et al.. Robbins and Cotran Pathologic Basis of Disease. 9th ed. Infectious Diseases, pp. 396-397. [2] Cross SS. Underwood's Pathology: A Clinical Approach. 6th ed. Common Clinical Problems From Respiratory Tract Disease, pp. 318-319. [3] Kumar V, Abbas AK, et al.. Robbins and Cotran Pathologic Basis of Disease. 9th ed. The Lung, pp. 702-703.
Explanation: ***All of the above*** - Chronic inflammation and recurrent infections in a chain-smoker, as seen in conditions like **bronchiectasis** or severe **COPD**, can lead to widespread destruction of lung architecture [1]. - This destruction can involve **cartilage** in the bronchi, **smooth muscle** in the airways, and the crucial **elastic tissue** of the alveoli and small airways, leading to irreversible damage and loss of lung function [1]. *Cartilage* - While **cartilage** in the larger airways (bronchi) can be damaged by chronic inflammation and infection, it is not the primary or sole component destroyed in the context of widespread pulmonary disease from smoking and recurrent infections. - Its destruction alone would not account for the full clinical picture of a chain-smoker with recurrent infections. *Muscle* - **Smooth muscle** in the bronchial walls can undergo hypertrophy and spasm in chronic lung diseases, but in severe, long-standing inflammatory conditions, it can also be damaged or replaced by fibrous tissue [1]. - However, muscle destruction is typically part of a broader pattern of tissue damage, not an isolated finding. *Elastic tissue* - **Elastic tissue** is critically important for maintaining the structural integrity and recoil of the alveoli and small airways, and its destruction is a hallmark of **emphysema**, a common consequence of chronic smoking [1]. - While its destruction is significant, the overall pathology in a case with recurrent infections and widespread damage often involves more than just elastic tissue. **References:** [1] Kumar V, Abbas AK, et al.. Robbins and Cotran Pathologic Basis of Disease. 9th ed. The Lung, pp. 683-686.
Explanation: ***Aspiration pneumonitis*** - The lung biopsy shows **alveolar necrosis** and intra-alveolar edema with **foreign body giant cells** formed in response to aspirated material—these are the characteristic histologic features of aspiration pneumonitis. - The clinical context strongly supports this diagnosis: the patient's **depressive illness** predisposes to impaired consciousness or reflexes, increasing aspiration risk. The X-ray findings of diffuse infiltrates in the **right middle and lower lobes** are classic sites for aspirated contents due to anatomical positioning (right main bronchus is more vertical and wider). - Aspiration pneumonitis results from chemical injury to lung tissue from acidic gastric contents, causing acute inflammation, necrosis, and foreign body reaction. *Pulmonary alveolar proteinosis* - Characterized by accumulation of **lipid-rich proteinaceous material (surfactant)** in the alveoli, appearing as granular, eosinophilic debris on histology with PAS-positive staining—not alveolar necrosis with foreign body giant cells. - While it can cause diffuse infiltrates on X-ray and breathlessness, the histologic pattern is distinct, and there is no predisposing clinical context for aspiration. *Tuberculosis* - Typically shows **caseating granulomas** with epithelioid macrophages and Langhans giant cells on biopsy—these features are absent here. - TB usually has a more chronic presentation and different radiological pattern (upper lobe predominance, cavitation), not the acute presentation with aspiration risk factors seen in this case. *Fat embolism syndrome* - Would show **fat globules within pulmonary capillaries** and arterioles on histology (visible with Oil Red O or Sudan stains), along with pulmonary edema and hemorrhage—not foreign body giant cells and alveolar necrosis. - Typically occurs after long bone fractures or orthopedic trauma, which is not mentioned in this clinical scenario.
Explanation: ***Cryptogenic Organizing Pneumonia*** - **Masson bodies**, which are intraluminal plugs of organizing connective tissue composed of fibroblasts, myofibroblasts, and immature collagen, are the **hallmark histopathological feature** of cryptogenic organizing pneumonia (COP) [1]. - These plugs are found predominantly in the **alveolar ducts** and **bronchioles**, leading to a characteristic pattern of organizing pneumonia [1]. *Lymphocytic Interstitial Pneumonia* - Characterized by a **dense interstitial infiltrate** dominated by **lymphocytes**, plasma cells, and histiocytes, often forming germinal centers. - It is frequently associated with **immunodeficiency states** such as HIV infection or autoimmune diseases like Sjögren's syndrome. *Desquamative Interstitial Pneumonia* - Marked by the accumulation of a large number of **macrophages** within the alveolar spaces, with minimal interstitial inflammation or fibrosis. - Primarily seen in **smokers** and is thought to be a reaction to inhaled particulate matter. *Respiratory Bronchiolitis* - Characterized by **peribronchiolar inflammation** and fibrosis, with pigment-laden macrophages accumulating within the respiratory bronchioles. - This condition is also strongly associated with **cigarette smoking** and is considered a milder variant of interstitial lung disease. **References:** [1] Cross SS. Underwood's Pathology: A Clinical Approach. 6th ed. Common Clinical Problems From Respiratory Tract Disease, pp. 330-331.
Congenital Anomalies
Practice Questions
Atelectasis and Acute Lung Injury
Practice Questions
Obstructive Pulmonary Diseases
Practice Questions
Restrictive Pulmonary Diseases
Practice Questions
Lung Infections
Practice Questions
Pulmonary Vascular Diseases
Practice Questions
Lung Tumors
Practice Questions
Pleural Diseases
Practice Questions
Interstitial Lung Diseases
Practice Questions
Occupational Lung Diseases
Practice Questions
Get full access to all questions, explanations, and performance tracking.
Start For Free