S1ADH is associated with which of the following malignancies?
All of the following features are seen in asbestosis except?
What type of lung carcinoma is characterized by the presence of hyperscretory granules?
Extensive pleural thickening and calcification, especially involving the diaphragmatic pleura, are classical features of which condition?
Increased Reid Index is used to characterize which condition?
Intralobar sequestration of the lung is commonest in which segment?
Necrotic nodules in the lung are seen in which of the following conditions?
A 65-year-old smoker presents with chronic cough, hemoptysis, and weight loss. Chest X-ray shows a cavitary lesion. What is the most likely diagnosis?
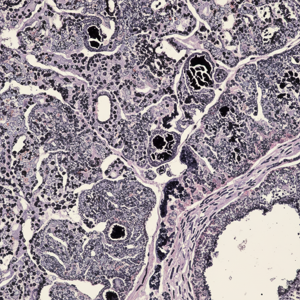
Examination of the lungs of a 55-year-old coal miner during autopsy reveals small hilar lymph nodes which are jet black in colour. The microscopic appearance of one lymph node is shown. What is the most likely diagnosis?

Periodic Acid Schiff (PAS) stain positive intra-alveolar material is seen in which of the following conditions?
Explanation: **Explanation:** **Small cell carcinoma (SCC) of the lung** is the correct answer because it is a neuroendocrine tumor derived from Kulchitsky cells (APUD cells). These cells have the metabolic machinery to synthesize and secrete ectopic hormones [1]. **SIADH (Syndrome of Inappropriate Antidiuretic Hormone)** is a classic paraneoplastic syndrome associated with SCC, where the tumor secretes ectopic ADH, leading to hyponatremia and concentrated urine [1]. **Analysis of Incorrect Options:** * **Adenocarcinoma:** This is the most common lung cancer in non-smokers and females. It is typically peripheral and is more commonly associated with **hypertrophic osteoarthropathy (digital clubbing)** rather than endocrine syndromes. * **Squamous Cell Carcinoma:** This is strongly associated with smoking and a central location. Its classic paraneoplastic manifestation is **Hypercalcemia** due to the secretion of Parathyroid Hormone-related Protein (PTHrP). (Mnemonic: **S**quamous = **S**tony calcium). * **Mixed Cell Tumor:** These are rare and do not have a specific, high-yield association with SIADH compared to the classic neuroendocrine profile of Small Cell Carcinoma. **High-Yield Clinical Pearls for NEET-PG:** * **Small Cell Carcinoma Associations:** SIADH, ACTH secretion (Cushing Syndrome), and Lambert-Eaton Myasthenic Syndrome [1]. * **Histology of SCC:** Look for "Oat cell" appearance, scant cytoplasm, nuclear molding [2], and the **Azzopardi effect** (DNA staining of vessel walls). * **Treatment Note:** SCC is usually disseminated at the time of diagnosis [1]; therefore, it is treated primarily with chemotherapy/radiotherapy rather than surgery [2]. **References:** [1] Kumar V, Abbas AK, et al.. Robbins and Cotran Pathologic Basis of Disease. 9th ed. The Lung, pp. 725-727. [2] Cross SS. Underwood's Pathology: A Clinical Approach. 6th ed. Common Clinical Problems From Respiratory Tract Disease, pp. 337-338.
Explanation: **Explanation:** **Asbestosis** is a form of pneumoconiosis caused by the inhalation of asbestos fibers. The correct answer is **Emphysema**, as it is primarily a disease of the airways and alveoli caused by smoking or alpha-1 antitrypsin deficiency [1], not by asbestos exposure. **Why Emphysema is the correct answer:** Asbestosis is characterized by a **restrictive** lung pattern due to diffuse interstitial fibrosis. Emphysema, conversely, is an **obstructive** lung disease involving the permanent enlargement of airspaces distal to the terminal bronchioles [1], [2]. While asbestos exposure increases the risk of lung cancer (especially in smokers), it does not directly cause emphysematous changes. **Analysis of Incorrect Options:** * **Diffuse pulmonary interstitial fibrosis (A):** This is the hallmark of asbestosis. It typically begins in the lower lobes and subpleural regions, progressing to involve the entire lung, potentially leading to a "honeycomb" appearance. * **Fibrous pleural thickening (B):** Asbestos exposure frequently leads to diffuse pleural fibrosis, which can restrict lung expansion. * **Calcific pleural plaques (D):** These are the **most common** manifestation of asbestos exposure. They are well-circumscribed areas of dense collagen, often calcified, typically involving the parietal pleura and the domes of the diaphragm. **Clinical Pearls for NEET-PG:** 1. **Ferruginous Bodies:** Asbestos fibers coated with iron-containing proteinaceous material (golden-brown, beaded rods with knobbed ends). 2. **Location:** Unlike most pneumoconioses (like Silicosis), Asbestosis predominantly affects the **lower lobes**. 3. **Malignancy:** The most common cancer in asbestos workers is **Bronchogenic Carcinoma**, but the most specific (pathognomonic) is **Mesothelioma**. 4. **Synergy:** Smoking and asbestos exposure have a **multiplicative (synergistic)** effect on the risk of lung cancer. **References:** [1] Cross SS. Underwood's Pathology: A Clinical Approach. 6th ed. Common Clinical Problems From Respiratory Tract Disease, pp. 326-328. [2] Kumar V, Abbas AK, et al.. Robbins and Cotran Pathologic Basis of Disease. 9th ed. The Lung, pp. 684-685.
Explanation: ### Explanation **Correct Answer: B. Small cell carcinoma** **Why it is correct:** Small cell carcinoma (SCLC) is a highly aggressive, high-grade neuroendocrine tumor [1]. Because it originates from neuroendocrine cells (Kulchitsky cells) of the bronchial epithelium, it contains **neurosecretory (hyperscretory) granules**. On electron microscopy, these appear as membrane-bound, dense-core granules (approximately 100 nm in diameter) [3]. These granules contain hormones and biogenic amines, which explains why SCLC is frequently associated with various paraneoplastic syndromes (e.g., SIADH, ACTH production) [2]. **Why the other options are incorrect:** * **A. Adenocarcinoma:** This is characterized by glandular differentiation or mucin production. On microscopy, you would see gland formation or intracellular mucin (PAS positive), not neurosecretory granules. * **C. Large cell carcinoma:** This is a diagnosis of exclusion. It represents undifferentiated malignant epithelial tumors that lack the cytological features of small cell carcinoma, glandular differentiation, or squamous differentiation [1]. * **D. Bronchoalveolar carcinoma (now termed Adenocarcinoma in situ):** This is a subtype of adenocarcinoma characterized by a "lepidic" growth pattern along the alveolar walls. It does not possess neuroendocrine features. **NEET-PG High-Yield Pearls:** * **Small Cell Carcinoma:** Strongly associated with smoking; centrally located; shows "Azzopardi effect" (DNA staining of vessel walls); expresses markers like **Chromogranin A, Synaptophysin, and CD56** [1]. * **Paraneoplastic Syndromes:** SCLC is most commonly associated with **SIADH** (hyponatremia) and **Ectopic ACTH** (Cushing syndrome) [2]. It is also linked to Lambert-Eaton Myasthenic Syndrome. * **Genetics:** Nearly 100% of SCLC cases show mutations in **TP53 and RB1**. **References:** [1] Cross SS. Underwood's Pathology: A Clinical Approach. 6th ed. Common Clinical Problems From Respiratory Tract Disease, pp. 337-338. [2] Kumar V, Abbas AK, et al.. Robbins and Cotran Pathologic Basis of Disease. 9th ed. The Lung, pp. 725-727. [3] Kumar V, Abbas AK, et al.. Robbins and Cotran Pathologic Basis of Disease. 9th ed. The Lung, p. 727.
Explanation: ### Explanation **Correct Answer: B. Asbestosis** The hallmark of asbestos exposure is the development of **pleural plaques** [1]. These are well-circumscribed areas of dense collagen, often undergoing **calcification** [1]. They most commonly involve the parietal pleura, particularly the **anterior and posterolateral aspects** and the **domes of the diaphragm** [1], [2]. While asbestosis refers to the interstitial fibrosis caused by asbestos, pleural plaques are the most common manifestation of exposure and are considered a pathognomonic radiological marker. The involvement of the diaphragmatic pleura is a highly specific diagnostic clue for asbestos-related disease [1]. **Why other options are incorrect:** * **A. Coal Worker’s Pneumoconiosis (CWP):** Characterized by coal macules and nodules, primarily in the upper lobes. It does not typically cause significant pleural thickening or diaphragmatic calcification. * **C. Silicosis:** Presents with "eggshell calcification" of the hilar lymph nodes and silicotic nodules in the lung parenchyma. Pleural involvement is rare compared to asbestosis. * **D. Siderosis:** Caused by the inhalation of iron oxide (common in welders). It is generally a benign pneumoconiosis that presents with fine reticular opacities but lacks pleural thickening or calcification. **High-Yield Clinical Pearls for NEET-PG:** * **Asbestos Bodies (Ferruginous bodies):** Golden-brown, fusiform, or beaded rods with a translucent center (iron-coated asbestos fibers). * **Most Common Malignancy:** Bronchogenic carcinoma (risk is synergistically increased with smoking). * **Most Specific Malignancy:** Malignant Mesothelioma [1], [2]. * **Radiology:** Pleural plaques are often described as "holly leaf" appearances on a chest X-ray. * **Lower Lobe Predominance:** Unlike Silicosis and CWP, asbestosis primarily affects the lower lobes. **References:** [1] Kumar V, Abbas AK, et al.. Robbins and Cotran Pathologic Basis of Disease. 9th ed. The Lung, p. 699. [2] Cross SS. Underwood's Pathology: A Clinical Approach. 6th ed. Common Clinical Problems From Respiratory Tract Disease, pp. 339-340.
Explanation: **Explanation:** The **Reid Index (RI)** is a pathological measurement used specifically to quantify the hypertrophy of mucus-secreting glands in the airways [1]. It is the gold standard histological marker for **Chronic Bronchitis** [1]. **1. Why Chronic Bronchitis is correct:** Chronic bronchitis is defined clinically by a productive cough; however, pathologically, it is characterized by the hyperplasia and hypertrophy of submucosal mucous glands in the trachea and bronchi [1]. The Reid Index is the ratio of the **thickness of the submucosal gland layer** to the **total thickness of the bronchial wall** (measured from the epithelium to the internal edge of the cartilage). * **Normal RI:** < 0.4 * **Chronic Bronchitis RI:** > 0.5 (due to glandular expansion) **2. Why other options are incorrect:** * **Bronchiectasis:** Characterized by permanent, abnormal dilation of the bronchi due to chronic inflammation and infection [3]. While mucus is present, the diagnostic hallmark is airway wall destruction, not specific glandular ratio changes [3]. * **Bronchial Asthma:** Characterized by eosinophilic inflammation, Curschmann spirals, Charcot-Leyden crystals, and thickening of the basement membrane. * **Emphysema:** Defined by the permanent enlargement of airspaces distal to the terminal bronchioles with destruction of alveolar walls [2]. It is a disease of the lung parenchyma, not the bronchial glands. **Clinical Pearls for NEET-PG:** * **Definition of Chronic Bronchitis:** Productive cough for at least 3 consecutive months in at least 2 consecutive years [1]. * **Reid Index Calculation:** Gland thickness / (Epithelium to Cartilage distance). * **High-Yield Association:** Chronic bronchitis is often referred to as the **References:** [1] Kumar V, Abbas AK, et al.. Robbins and Cotran Pathologic Basis of Disease. 9th ed. The Lung, pp. 685-686. [2] Cross SS. Underwood's Pathology: A Clinical Approach. 6th ed. Common Clinical Problems From Respiratory Tract Disease, pp. 327-328. [3] Kumar V, Abbas AK, et al.. Robbins and Cotran Pathologic Basis of Disease. 9th ed. The Lung, pp. 690-691.
Explanation: ### Explanation **Pulmonary sequestration** refers to a mass of non-functioning lung tissue that lacks a normal connection to the tracheobronchial tree and receives its blood supply from the systemic circulation (usually the thoracic or abdominal aorta) rather than the pulmonary arteries. **Why the Correct Answer is Right:** **Intralobar sequestration (ILS)** is the more common type (75-90% of cases) and is located within the visceral pleura of a normal lung lobe. It occurs most frequently in the **lower lobes**, specifically the **posterior basal segment**. Statistically, approximately 60% of cases occur on the left side and 40% on the right, but in both instances, the posterior basal segment is the predilection site due to the embryological proximity to the descending aorta during development. **Why the Incorrect Options are Wrong:** * **Option A (Apical segment):** Sequestrations are almost never found in the upper lobes; they are developmental anomalies associated with the primitive foregut, which typically affects the lower lung buds. * **Option B (Medial segment of middle lobe):** The middle lobe is an extremely rare site for sequestration. Middle lobe pathologies are more commonly associated with "Middle Lobe Syndrome" (obstructive atelectasis). * **Option C (Lateral basal segment):** While sequestrations occur in the lower lobes, the posterior basal segment is statistically more common than the lateral basal segment. **High-Yield Clinical Pearls for NEET-PG:** * **Blood Supply:** The hallmark of sequestration is an **anomalous systemic artery** (usually from the aorta). * **Venous Drainage:** In **Intralobar** sequestration, drainage is usually via **pulmonary veins** (left-to-left shunt). In **Extralobar** sequestration, drainage is via **systemic veins** (azygos/hemi-azygos). * **Extralobar Sequestration:** Often presents in neonates with other congenital anomalies (e.g., diaphragmatic hernia) and has its own separate pleura [1]. * **Clinical Presentation:** ILS often presents in older children or adults with recurrent localized pneumonia or bronchiectasis [1]. **References:** [1] Kumar V, Abbas AK, et al.. Robbins and Cotran Pathologic Basis of Disease. 9th ed. Red Blood Cell and Bleeding Disorders, pp. 677-679.
Explanation: **Explanation:** The presence of necrotic nodules in the lung is a common pathological finding across various infectious and non-infectious granulomatous diseases. The correct answer is **All of the above** because each condition listed can manifest with focal, necrotic pulmonary lesions. 1. **Tuberculosis (A):** This is the classic cause of necrotic nodules. TB is characterized by **caseating granulomas**, where the center of the nodule undergoes "cheese-like" necrosis due to the delayed-type hypersensitivity reaction against *Mycobacterium tuberculosis* [1]. 2. **Sarcoidosis (B):** While typically known for "non-caseating" granulomas, **necrotizing sarcoid granulomatosis (NSG)** is a recognized variant. In these cases, large nodules form that exhibit central necrosis and vasculitis, making it a differential for necrotic lung nodules. 3. **Rheumatoid Arthritis (C):** Patients with RA can develop **Rheumatoid Nodules** in the lung parenchyma [2]. These nodules histologically show a central area of **fibrinoid necrosis** surrounded by palisading macrophages. When these nodules occur in the setting of coal worker's pneumoconiosis, it is known as **Caplan Syndrome** [2]. **High-Yield Pearls for NEET-PG:** * **Caplan Syndrome:** Combination of Rheumatoid Arthritis + Coal Worker's Pneumoconiosis (presents with large necrotic nodules) [2]. * **Ghon Focus:** A specific subpleural necrotic nodule seen in primary TB [1]. * **Differential Diagnosis:** Other causes of necrotic lung nodules include Wegener’s Granulomatosis (Granulomatosis with Polyangiitis) and fungal infections (e.g., Histoplasmosis). * **Key Distinction:** TB shows *caseating* necrosis; RA shows *fibrinoid* necrosis. **References:** [1] Cross SS. Underwood's Pathology: A Clinical Approach. 6th ed. Common Clinical Problems From Respiratory Tract Disease, pp. 319-321. [2] Cross SS. Underwood's Pathology: A Clinical Approach. 6th ed. Common Clinical Problems From Respiratory Tract Disease, pp. 333-334.
Explanation: **Explanation:** The clinical presentation of a chronic smoker with a **cavitary lesion** on imaging is a classic "high-yield" scenario for **Squamous Cell Carcinoma (SCC)** of the lung. [1] **Why Squamous Cell Carcinoma is correct:** SCC is strongly associated with smoking and typically arises **centrally** in the bronchi [1], [2]. The hallmark of SCC is its tendency to undergo **central necrosis**, leading to the formation of a **cavity** [1], [2]. Histologically, it is characterized by keratin pearls and intercellular bridges [1], [2]. **Analysis of Incorrect Options:** * **A. Undifferentiated Large Cell Carcinoma:** While it can occasionally cavitate, it is a diagnosis of exclusion and is less common than SCC. It typically presents as a large peripheral mass. * **B. Small Cell Carcinoma:** This is a central tumor strongly linked to smoking, but it is characterized by rapid growth and early metastasis. It is notorious for **not cavitating**. * **C. Adenocarcinoma:** This is the most common lung cancer overall and the most common in non-smokers. It typically presents as a **peripheral lesion** and rarely shows cavitation [1]. **NEET-PG High-Yield Pearls:** * **Mnemonic for SCC:** Remember the **4 C’s**: **C**entral, **C**igarettes, **C**avitation, and **C**alcium (due to PTHrP-induced hypercalcemia). * **Location:** SCC and Small Cell are usually **Central**; Adenocarcinoma and Large Cell are usually **Peripheral** [1]. * **Paraneoplastic Syndromes:** SCC is associated with Hypercalcemia (PTHrP), whereas Small Cell is associated with SIADH, ACTH (Cushing’s), and Lambert-Eaton Syndrome. **References:** [1] Cross SS. Underwood's Pathology: A Clinical Approach. 6th ed. Common Clinical Problems From Respiratory Tract Disease, pp. 336-337. [2] Kumar V, Abbas AK, et al.. Robbins and Cotran Pathologic Basis of Disease. 9th ed. The Lung, pp. 723-724.
Explanation: ***Anthracotic pigmentation*** - **Coal dust inhalation** in miners leads to deposition of **carbon particles** in hilar lymph nodes, causing the characteristic **jet black coloration**. - Microscopy shows **anthracotic pigment** (carbon particles) within **macrophages** without significant inflammation or fibrosis in early stages. *Metastasis* - Metastatic deposits typically appear as **gray-white nodules** rather than jet black pigmentation. - Microscopy would show **malignant cells** with cellular atypia, not carbon-laden macrophages. *Hemosiderosis* - Results from **iron deposition** causing **golden-brown pigmentation**, not jet black coloration. - Microscopy reveals **hemosiderin-laden macrophages** that stain positive with **Prussian blue stain** for iron. *Sarcoidosis* - Characterized by **non-caseating granulomas** with **epithelioid cells** and **giant cells**. - Lymph nodes appear **enlarged and firm** but typically **gray-pink**, not jet black in color.
Explanation: **Explanation:** **Pulmonary Alveolar Proteinosis (PAP)** is the correct answer because it is characterized by the accumulation of surfactant-derived lipoproteinaceous material within the alveolar spaces [1]. This material is rich in phospholipids and proteins, making it characteristically **PAS-positive** and diastase-resistant [1]. On histology, the alveoli are filled with a granular, eosinophilic, "pinkish" material, while the underlying alveolar architecture remains preserved [1]. **Analysis of Incorrect Options:** * **Alpha-1 Antitrypsin Deficiency:** While this condition is associated with PAS-positive, diastase-resistant globules, these are found within the **hepatocytes** (liver), not as intra-alveolar material in the lungs [2]. In the lungs, it typically manifests as panacinar emphysema [2]. * **Lipoid Pneumonia:** This involves the accumulation of lipids (exogenous or endogenous) within alveolar macrophages (foam cells). Lipids are typically washed out during routine processing and are better visualized with **Sudan Black** or **Oil Red O** stains, not PAS. * **Abetalipoproteinemia:** This is a systemic lipid malabsorption disorder characterized by acanthocytosis and fat-laden enterocytes. It does not typically present with intra-alveolar PAS-positive material. **High-Yield Clinical Pearls for NEET-PG:** * **Pathogenesis:** Most adult cases are autoimmune, involving **anti-GM-CSF antibodies** which impair surfactant clearance by alveolar macrophages [1]. * **Morphology:** Bronchoalveolar lavage (BAL) fluid shows a characteristic **"milky/turbid" appearance**. * **Imaging:** Classic **"Crazy Paving" pattern** on High-Resolution CT (HRCT) due to interlobular septal thickening superimposed on ground-glass opacities. * **Treatment:** The gold standard is **Whole Lung Lavage (WLL)**. **References:** [1] Kumar V, Abbas AK, et al.. Robbins and Cotran Pathologic Basis of Disease. 9th ed. The Lung, pp. 703-705. [2] Kumar V, Abbas AK, et al.. Robbins and Cotran Pathologic Basis of Disease. 9th ed. Liver and Gallbladder, pp. 856-858.
Congenital Anomalies
Practice Questions
Atelectasis and Acute Lung Injury
Practice Questions
Obstructive Pulmonary Diseases
Practice Questions
Restrictive Pulmonary Diseases
Practice Questions
Lung Infections
Practice Questions
Pulmonary Vascular Diseases
Practice Questions
Lung Tumors
Practice Questions
Pleural Diseases
Practice Questions
Interstitial Lung Diseases
Practice Questions
Occupational Lung Diseases
Practice Questions
Get full access to all questions, explanations, and performance tracking.
Start For Free