In ARDS, which cells are primarily damaged?
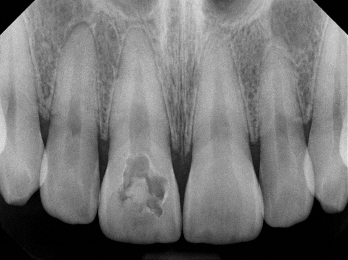
A patient gives a history of previous chronic abscess on the deciduous precursor of tooth 11. The following radiograph indicates:

Dentigerous cysts originate from which structure?
Which of the following is a variant of bronchoalveolar carcinoma?
Which of the following substances is NOT secreted by the bronchial mucosa?
What is the most common lung malformation?
A scar in lung tissue may transform into which type of carcinoma?
A 65-year-old male diagnosed by biopsy with squamous cell carcinoma of the lung presents with very high serum calcium levels. What is the probable cause of hypercalcemia?
Lung carcinoma is most commonly associated with which of the following?
The dangerous particle size causing pneumoconiosis varies from:
Explanation: **Explanation:** Acute Respiratory Distress Syndrome (ARDS) is characterized by **diffuse alveolar damage (DAD)** [1]. The primary pathological event is an injury to the alveolar-capillary unit, involving both the microvascular endothelium and the alveolar epithelium. **1. Why Type 1 Pneumocytes are the correct answer:** Type 1 pneumocytes are thin, squamous cells that cover approximately 95% of the alveolar surface area. Due to their large surface area and delicate structure, they are **exquisitely sensitive** to injury. In the early (exudative) phase of ARDS, the destruction of Type 1 pneumocytes leads to increased alveolar permeability, resulting in the formation of protein-rich fluid and characteristic **hyaline membranes** [1]. **2. Analysis of Incorrect Options:** * **Type 2 Pneumocytes:** These are cuboidal cells that produce surfactant and act as progenitor cells. While they can be damaged, their primary role in ARDS occurs during the **proliferative phase**, where they hyperplasia to replace the lost Type 1 cells. * **Clara Cells (Club Cells):** These are found in the bronchioles, not the alveoli. They protect the bronchiolar epithelium and are not the primary targets in ARDS. * **Alveolar Macrophages:** These cells play a role in the inflammatory cascade by releasing cytokines (IL-1, IL-8, TNF), but they are the *mediators* of the damage rather than the primary site of structural destruction [1]. **High-Yield Clinical Pearls for NEET-PG:** * **Hallmark Pathology:** Hyaline membranes (composed of fibrin and necrotic cell debris) [1]. * **Key Cytokine:** **IL-8** is a potent neutrophil chemoattractant central to ARDS pathogenesis. * **Clinical Definition (Berlin Criteria):** Acute onset (<1 week), bilateral opacities on imaging, and a PaO2/FiO2 ratio <300 mmHg, not fully explained by heart failure [1]. * **Progenitor Role:** Remember that Type 2 pneumocytes are the "stem cells" of the alveoli; they proliferate to restore the alveolar lining after Type 1 cells are destroyed [1]. **References:** [1] Kumar V, Abbas AK, et al.. Robbins and Cotran Pathologic Basis of Disease. 9th ed. The Lung, pp. 679-681.
Explanation: ***Turner's hypoplasia*** - **Localized enamel hypoplasia** of a permanent tooth caused by **infection or trauma** to the overlying deciduous tooth, exactly matching this patient's history of chronic abscess. - Presents as **irregular enamel surface** with **yellowish-brown discoloration** and **pitted areas** on the crown, typically affecting only one tooth. *Enamel hypoplasia* - This is a **generalized condition** affecting multiple teeth due to **systemic factors** during tooth development. - Does not explain the **localized involvement** of tooth 11 following a specific history of deciduous tooth infection. *Amelogenesis imperfecta* - A **genetic disorder** affecting **enamel formation** in all teeth, not just a single tooth. - Would show **bilateral symmetrical involvement** and **family history**, which contradicts the localized presentation here. *Dentinogenesis imperfecta* - A **genetic defect** affecting **dentin formation**, causing **opalescent teeth** with **amber or blue-gray discoloration**. - Affects the **dentin layer**, not enamel, and would involve **multiple teeth** rather than a single localized defect.
Explanation: **Explanation:** A **Dentigerous cyst** (also known as a follicular cyst) is the most common type of developmental odontogenic cyst. It originates from the **reduced enamel epithelium** that surrounds the crown of an **unerupted or impacted tooth** [1]. 1. **Why Option A is Correct:** The cyst develops due to the accumulation of fluid between the reduced enamel epithelium and the tooth crown [1]. As the fluid builds up, it creates a pressure-induced expansion. Radiologically, it typically appears as a well-defined, unilocular radiolucency attached to the cemento-enamel junction (CEJ) of an unerupted tooth, most commonly the **mandibular third molar**. 2. **Why Other Options are Incorrect:** * **Paranasal sinuses:** While a large dentigerous cyst in the maxilla can displace into the maxillary sinus, it does not originate from sinus tissue. * **Tooth pulp:** The pulp is the innermost vascular part of the tooth; cysts arising from inflammatory processes at the root apex are called Radicular cysts, not dentigerous cysts. * **Retention cyst:** These (like Mucoceles) occur due to the blockage of salivary gland ducts, unrelated to tooth development. **High-Yield Clinical Pearls for NEET-PG:** * **Most Common Site:** Mandibular 3rd molars (followed by maxillary canines). * **Histology:** Lined by thin, non-keratinized stratified squamous epithelium. * **Potential Complications:** If left untreated, they can transform into an **Ameloblastoma** [1] (most common transformation), Squamous cell carcinoma, or Mucoepidermoid carcinoma. * **Treatment:** Complete surgical enucleation. **References:** [1] Kumar V, Abbas AK, et al.. Robbins and Cotran Pathologic Basis of Disease. 9th ed. Head and Neck, pp. 741-742.
Explanation: Bronchoalveolar Carcinoma (BAC), now reclassified in the current WHO nomenclature as **Adenocarcinoma in situ (AIS)**, is a subtype of adenocarcinoma characterized by its unique growth along pre-existing alveolar structures without stromal, vascular, or pleural invasion (lepidic growth pattern) [1]. **Why Clara Cell is correct:** Histologically, BAC/AIS arises from the terminal bronchioloalveolar unit. It is derived from two primary cell types: **Clara cells** (non-ciliated canalicular cells) and **Type II pneumocytes**. In many classic pathology texts and NEET-PG contexts, the Clara cell variant is highlighted as a hallmark cellular origin for the non-mucinous type of this carcinoma. **Analysis of Incorrect Options:** * **Adenosarcoma (B):** This is a biphasic tumor containing both epithelial and mesenchymal components, typically found in the female reproductive tract (e.g., uterus), not a variant of lung adenocarcinoma. * **Mucinous type (C):** While "Mucinous" is indeed a subtype of BAC, the question asks for a *cellular variant*. In the context of cellular origin, Clara cells and Type II pneumocytes are the progenitors. (Note: If the question asks for morphological subtypes, Mucinous and Non-mucinous are the answers). * **Type II pneumocyte (D):** While also a progenitor, Clara cell is often the preferred answer in older MCQ formats. However, in modern pathology, both are recognized. In a "single best answer" scenario for NEET-PG, Clara cell is the traditional high-yield association. **High-Yield Pearls for NEET-PG:** * **Lepidic Growth:** Described as "butterflies sitting on a fence." * **Radiology:** Often presents as a peripheral coin lesion or mimics pneumonia (pneumonic form). * **Driver Mutations:** Frequently associated with **EGFR mutations**, especially in non-smokers and females [1]. * **Prognosis:** Excellent (100% 5-year survival) if it meets the strict criteria for Adenocarcinoma in situ (≤3 cm). **References:** [1] Cross SS. Underwood's Pathology: A Clinical Approach. 6th ed. Common Clinical Problems From Respiratory Tract Disease, pp. 335-336.
Explanation: ### Explanation The bronchial mucosa contains specialized neuroendocrine cells known as **Kulchitsky cells** (or Bronchial Kultschitzky cells). These cells are part of the Diffuse Neuroendocrine System (DNES) and are responsible for secreting various biogenic amines and peptide hormones that regulate airway tone and vascular permeability. **Why Bradykinin is the Correct Answer:** **Bradykinin** is a potent inflammatory mediator and vasodilator, but it is **not secreted** by the bronchial mucosa. Instead, it is produced in the blood through the kinin-kallikrein system [1]. Specifically, high-molecular-weight kininogen is cleaved by the enzyme kallikrein to form bradykinin [1]. While the lungs are a major site for bradykinin *metabolism* (via Angiotensin-Converting Enzyme/ACE), they are not the primary site of its secretion. **Analysis of Incorrect Options:** * **Bombesin (Gastrin-Releasing Peptide):** This is a major product of fetal and adult Kulchitsky cells. It acts as a growth factor for pulmonary epithelial cells. * **Calcitonin:** Though primarily associated with the thyroid gland, pulmonary neuroendocrine cells also secrete calcitonin, which serves as a marker for certain lung pathologies. * **Serotonin (5-HT):** This biogenic amine is secreted by Kulchitsky cells [2] and plays a role in regulating bronchoconstriction and local blood flow. **High-Yield Clinical Pearls for NEET-PG:** * **Small Cell Carcinoma (SCLC) & Carcinoid Tumors:** These malignancies arise from the **Kulchitsky cells**. This explains why these tumors often present with **Paraneoplastic Syndromes** (e.g., ectopic ACTH or SIADH). * **ACE Inhibitors & Cough:** ACE normally breaks down bradykinin in the lungs. ACE inhibitors prevent this breakdown, leading to bradykinin accumulation, which triggers the characteristic dry cough [1]. * **Markers:** Neuroendocrine tumors of the lung are identified using immunohistochemical markers like **Chromogranin A, Synaptophysin, and CD56**. **References:** [1] Kumar V, Abbas AK, et al.. Robbins and Cotran Pathologic Basis of Disease. 9th ed. Inflammation and Repair, pp. 100-101. [2] Kumar V, Abbas AK, et al.. Robbins and Cotran Pathologic Basis of Disease. 9th ed. Inflammation and Repair, pp. 94-95.
Explanation: **Explanation:** **Congenital cysts** are considered the most common lung malformations. These are typically formed due to abnormal detachment of a fragment of the primitive foregut during embryonic development. They are most frequently found in the mediastinum (bronchogenic cysts) or within the lung parenchyma. While often asymptomatic, they can present clinically if they become infected or cause compression of adjacent structures. **Analysis of Options:** * **Hypoplasia of lung (Option A):** This refers to the incomplete development of the lungs, resulting in a decreased number of cells, airways, and alveoli. It is usually secondary to conditions that restrict thoracic space (e.g., congenital diaphragmatic hernia) or oligohydramnios (Potter sequence), rather than being the most common primary malformation. * **Vascular anomalies (Option C):** These include conditions like Arteriovenous Malformations (AVMs). While significant, they are less frequent than cystic lesions [1]. * **Lobar sequestration (Option D):** This is a rare anomaly where a mass of lung tissue lacks a normal connection to the bronchial tree and receives its blood supply from the systemic circulation (aorta) [1]. It is much less common than congenital cysts. **High-Yield Facts for NEET-PG:** * **Bronchogenic Cysts:** Most common type of congenital lung cyst; usually located in the middle mediastinum near the carina. * **Congenital Cystic Adenomatoid Malformation (CCAM):** Now often called CPAM; it is a multicystic mass of non-functioning lung tissue [1]. * **Sequestration:** *Extralobar* sequestration is usually seen in infants (associated with other anomalies), while *Intralobar* sequestration often presents in older children/adults with recurrent infections [1]. * **Potter Sequence:** Remember the triad of Renal agenesis → Oligohydramnios → Pulmonary hypoplasia. **References:** [1] Kumar V, Abbas AK, et al.. Robbins and Cotran Pathologic Basis of Disease. 9th ed. Red Blood Cell and Bleeding Disorders, pp. 677-679.
Explanation: **Explanation:** The transformation of a lung scar into a malignancy is historically referred to as **"Scar Carcinoma."** The underlying mechanism involves chronic inflammation and repetitive tissue injury within the fibrotic area, leading to **squamous metaplasia** of the bronchial or alveolar epithelium [2]. Over time, this metaplastic epithelium undergoes dysplasia [1] and eventually transforms into **Squamous Cell Carcinoma**. While older literature often linked peripheral scars to adenocarcinoma, modern clinicopathological studies and the WHO classification emphasize that most "scars" associated with adenocarcinomas are actually a desmoplastic response *to* the tumor rather than the cause of it. Therefore, in the context of true metaplastic transformation of pre-existing scar tissue (like old TB foci or infarcts), Squamous Cell Carcinoma is the recognized entity. **Analysis of Options:** * **Option A (Adenocarcinoma):** Often found in the periphery near scars, but the scar is usually a result of the tumor's stromal reaction (desmoplasia) rather than the precursor [3]. * **Option B (Oat cell/Small cell carcinoma):** This is a neuroendocrine tumor strongly linked to smoking and typically arises centrally; it does not arise from fibrotic scars [4]. * **Option D (Columnar cell carcinoma):** This is not a standard histological classification for primary lung cancer; most columnar-lined tumors fall under the spectrum of adenocarcinoma. **High-Yield Pearls for NEET-PG:** * **Most common site for Scar Carcinoma:** Upper lobes (due to the prevalence of old Tuberculosis scars). * **Squamous Cell Carcinoma** is characterized by keratin pearls and intercellular bridges [3]. * **Pancoast Tumor:** Most commonly a Squamous Cell Carcinoma arising in the superior sulcus. * **Cavitation:** Most frequently seen in Squamous Cell Carcinoma (due to central necrosis) [3]. **References:** [1] Kumar V, Abbas AK, et al.. Robbins and Cotran Pathologic Basis of Disease. 9th ed. The Lung, p. 723. [2] Kumar V, Abbas AK, et al.. Robbins and Cotran Pathologic Basis of Disease. 9th ed. Cellular Responses to Stress and Toxic Insults: Adaptation, Injury, and Death, p. 49. [3] Cross SS. Underwood's Pathology: A Clinical Approach. 6th ed. Common Clinical Problems From Respiratory Tract Disease, pp. 336-337. [4] Kumar V, Abbas AK, et al.. Robbins and Cotran Pathologic Basis of Disease. 9th ed. The Lung, p. 721.
Explanation: **Explanation:** The correct answer is **Parathyroid hormone-related peptide (PTHrP)** [2]. This patient is presenting with **Humoral Hypercalcemia of Malignancy (HHM)**, a classic paraneoplastic syndrome [1]. **1. Why PTHrP is correct:** Squamous cell carcinoma (SCC) of the lung is the most common lung cancer associated with hypercalcemia [2]. The tumor cells secrete PTHrP, which mimics the action of Parathyroid Hormone (PTH) [2]. It binds to PTH-1 receptors in the bone (increasing osteoclast activity) and kidneys (increasing calcium reabsorption), leading to elevated serum calcium levels [2]. Unlike true PTH, PTHrP does not significantly increase Vitamin D activation. **2. Why other options are incorrect:** * **A. Parathyroid hormone (PTH):** Ectopic production of true PTH by non-endocrine tumors is extremely rare [1]. In HHM, the actual PTH levels are typically **suppressed** due to negative feedback from high calcium. * **C. Calcitonin:** Secreted by the parafollicular C-cells of the thyroid (and elevated in Medullary Thyroid Carcinoma), calcitonin acts to *lower* serum calcium [3]. It would not cause hypercalcemia. * **D. Calcitonin-related peptide (CGRP):** This is a potent vasodilator and neurotransmitter; it does not play a primary role in systemic calcium homeostasis or paraneoplastic hypercalcemia. **NEET-PG High-Yield Pearls:** * **Mnemonic for SCC:** Remember the **4 C’s** of Squamous Cell Carcinoma: **C**entral (hilar) location, **C**avitary lesions, **C**igarette smoking association, and **C**alcium elevation (via PTHrP). * **Small Cell Carcinoma** is more commonly associated with **ACTH** (Cushing syndrome) and **ADH** (SIADH) [2]. * Hypercalcemia in malignancy can also be caused by **local osteolytic hypercalcemia** (due to bone metastases), common in breast cancer and multiple myeloma [1]. **References:** [1] Cross SS. Underwood's Pathology: A Clinical Approach. 6th ed. Common Clinical Problems From Osteoarticular And Connective Tissue Disease, pp. 667-668. [2] Kumar V, Abbas AK, et al.. Robbins and Cotran Pathologic Basis of Disease. 9th ed. Neoplasia, pp. 338-339. [3] Cross SS. Underwood's Pathology: A Clinical Approach. 6th ed. Common Clinical Problems From Liver And Biliary System Disease, pp. 431-432.
Explanation: The correct answer is **Asbestosis (Option B)**. While several occupational dusts are linked to lung pathology, asbestos is the most potent carcinogen among the common pneumoconioses. [1] **1. Why Asbestosis is correct:** Asbestos fibers (particularly the needle-like amphiboles) are highly oncogenic. Exposure significantly increases the risk of **Bronchogenic Carcinoma** (the most common malignancy) and **Mesothelioma** (the most specific malignancy). [1] The risk of lung cancer in asbestos workers is increased 5-fold; however, if the worker also smokes, the risk multiplies synergistically to approximately 55-fold. **2. Analysis of Incorrect Options:** * **Silicosis (Option A):** While silica is a known carcinogen, its association with lung cancer is less frequent than asbestos. [1] Silicosis primarily increases the risk of **Tuberculosis** (due to impaired macrophage function). [1] * **Coal Dust (Option C):** Coal Worker’s Pneumoconiosis (CWP) is generally **not** associated with an increased risk of lung cancer in non-smokers. [1] It primarily leads to progressive massive fibrosis (PMF). * **Beryllium (Option D):** Berylliosis can cause granulomatous disease (mimicking sarcoidosis) and is associated with a slightly increased risk of lung cancer, but it is far less common than asbestos exposure in clinical practice and exam scenarios. **High-Yield Clinical Pearls for NEET-PG:** * **Most common cancer in Asbestosis:** Bronchogenic Carcinoma (NOT Mesothelioma). [1] * **Most specific cancer in Asbestosis:** Mesothelioma. * **Marker of exposure:** Ferruginous bodies (asbestos bodies) – golden-brown, fusiform/beaded rods seen on Prussian Blue stain. [1] * **Radiology:** Pleural plaques (most common finding) usually involve the parietal pleura and the diaphragm. [1] * **Synergy:** Asbestos + Smoking = Multiplicative risk for Bronchogenic Carcinoma (but smoking does NOT increase the risk of Mesothelioma). **References:** [1] Kumar V, Abbas AK, et al.. Robbins and Cotran Pathologic Basis of Disease. 9th ed. The Lung, pp. 697-699.
Explanation: ### Explanation **Core Concept: Particle Size and Deposition** The pathogenesis of pneumoconiosis depends on the ability of inhaled dust particles to reach the gas-exchange units of the lung [1]. The respiratory system has a tiered filtration mechanism based on particle size: * **The Correct Answer (D: 1-5 µm):** Particles in the **1 to 5 µm** range are considered the most "dangerous" because they are small enough to bypass the upper airway's mucociliary clearance but large enough to settle in the **terminal bronchioles and alveoli** via sedimentation [1]. Once they reach the alveoli, they are engulfed by alveolar macrophages, triggering the inflammatory and fibrotic cascades characteristic of pneumoconiosis (e.g., Silicosis, Coal Worker’s Pneumoconiosis) [1]. **Analysis of Incorrect Options:** * **Options A & B (50-150 µm):** These particles are too large to be inhaled deeply. They are typically filtered out by the vibrissae (nasal hairs) or impact the nasal mucosa. * **Option C (10-50 µm):** Particles larger than 10 µm are generally trapped by the mucus lining of the trachea and bronchi and are cleared by the **mucociliary escalator**. * **Note on <1 µm:** Particles smaller than 1 µm often remain suspended in the air (Brownian motion) and are simply exhaled without depositing in the lung tissue. **High-Yield Clinical Pearls for NEET-PG:** * **Silicosis:** The most common pneumoconiosis worldwide [3]. Look for "Eggshell calcification" of hilar lymph nodes and "Silicotic nodules" [4]. * **Asbestosis:** Characterized by "Ferruginous bodies" (asbestos bodies) and pleural plaques [2]. It primarily affects the **lower lobes** (unlike most other pneumoconioses). * **Caplan Syndrome:** The co-existence of Rheumatoid Arthritis and Coal Worker’s Pneumoconiosis (nodular lung lesions) [2]. * **Key Rule:** The smaller the particle (down to 1 µm), the deeper the penetration; the deeper the penetration, the higher the pathogenicity. **References:** [1] Kumar V, Abbas AK, et al.. Robbins and Cotran Pathologic Basis of Disease. 9th ed. The Lung, pp. 695-697. [2] Kumar V, Abbas AK, et al.. Robbins and Cotran Pathologic Basis of Disease. 9th ed. The Lung, p. 695. [3] Kumar V, Abbas AK, et al.. Robbins and Cotran Pathologic Basis of Disease. 9th ed. The Lung, p. 697. [4] Kumar V, Abbas AK, et al.. Robbins and Cotran Pathologic Basis of Disease. 9th ed. The Lung, pp. 697-698.
Congenital Anomalies
Practice Questions
Atelectasis and Acute Lung Injury
Practice Questions
Obstructive Pulmonary Diseases
Practice Questions
Restrictive Pulmonary Diseases
Practice Questions
Lung Infections
Practice Questions
Pulmonary Vascular Diseases
Practice Questions
Lung Tumors
Practice Questions
Pleural Diseases
Practice Questions
Interstitial Lung Diseases
Practice Questions
Occupational Lung Diseases
Practice Questions
Get full access to all questions, explanations, and performance tracking.
Start For Free