A newborn male is noted to have difficulty feeding and "turns blue and chokes when drinking formula." The prenatal records reveal that the amniotic fluid appeared normal on ultrasound. A pediatric feeding tube is passed orally to 20 cm without difficulty, with gastric secretions aspirated. Which of the following is the most likely diagnosis?
A 3-year-old child presents with respiratory distress and a history of recurrent respiratory infections. Based on the provided imaging, what is the most likely diagnosis?

Which one of the following life-threatening congenital anomalies in the newborn presents with polyhydramnios, aspiration pneumonia, excessive salivation and difficulty in passing a nasogastric tube?
Bronchogenic sequestration is seen in which lobe?
Which condition is characterized by a specific appearance on CT scans that resembles small centrilobular nodules with branching linear structures?
Congenital cyanotic heart disease with pulmonary oligemia is seen with –
Oesophageal atresia may occur as part of the VACTERL group of anomalies. What does "TE" refer to in this context?
A primary structural defect of an organ resulting from an intrinsically abnormal developmental process is termed as:
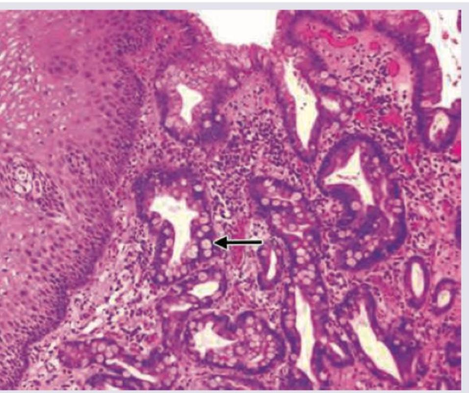
A 40-year-old patient presents with heart burn and increased salivation. UGI endoscopy was performed and biopsy was taken. What is the diagnosis? (AIIMS May 2017)

What occurs during the stage of Grey hepatization?
Explanation: ***Tracheoesophageal fistula*** - The combination of **feeding difficulties**, **cyanosis** ("turns blue"), and **choking** in a newborn, along with the ability to pass a feeding tube to 20 cm, strongly suggests a tracheoesophageal fistula (TEF), specifically a type where the **proximal esophagus ends in a blind pouch and the distal esophagus connects to the trachea**. - The **normal amniotic fluid** on prenatal ultrasound suggests that the fetus was able to swallow amniotic fluid, ruling out esophageal atresia without a fistula as the primary cause of polyhydramnios. Passage of the feeding tube to 20 cm and aspiration of gastric secretions indicates that the stomach is connected to the esophagus, but the reflux of gastric contents during feeding leads to aspiration into the trachea via the fistula. *Floppy epiglottis* - **Laryngomalacia**, or "floppy epiglottis," typically causes **stridor** (a high-pitched inspiratory sound), especially when crying or feeding, which is not the primary symptom described here. - While it can cause some feeding difficulties, **severe cyanosis and recurrent choking** during feeding are more characteristic of aspiration due to a different anatomical defect like TEF. *Zenker diverticulum* - A **Zenker diverticulum is a pharyngoesophageal pouch** that typically causes dysphagia, regurgitation of undigested food, and halitosis, primarily in **older adults**. - It is an acquired condition and **extremely rare in newborns**, making it an unlikely diagnosis for these symptoms in an infant. *Congenital heart disease* - While congenital heart disease can cause **cyanosis and feeding difficulties** due to increased metabolic demand or heart failure, it would not typically present with the specific description of **choking during feeding and successful passing of a feeding tube to the stomach with aspirated gastric secretions**. - The symptoms in this case point more directly to a **problem with the swallowing mechanism or the connection between the esophagus and the trachea**.
Explanation: ***CPAM (Congenital Pulmonary Airway Malformation)*** - The imaging shows **cystic lesions** within the lung parenchyma, which are characteristic of CPAM. These lesions can cause **respiratory distress** and predispose to **recurrent infections**. - The age of the child (3 years old) and the history of recurrent respiratory infections are consistent with CPAM, as these malformations often manifest with symptoms in early childhood. *Lung abscess* - A lung abscess typically presents as a **cavity with an air-fluid level** and surrounding consolidation, usually in a single, well-defined area. - While recurrent infections can occur, the widespread cystic appearance on imaging makes an abscess less likely than CPAM. *Pyopneumothorax* - Pyopneumothorax is characterized by the presence of both **pus and air in the pleural space**, leading to a visible air-fluid level that occupies the pleural cavity. - The imaging does not show evidence of gas and fluid within the pleural space, nor the typical chest wall separation seen in pneumothorax. *CDH (Congenital Diaphragmatic Hernia)* - CDH involves the **herniation of abdominal contents** into the chest cavity, displacing lung tissue and often causing severe respiratory distress from birth due to pulmonary hypoplasia. - The images show cystic changes within the lung parenchyma, not abdominal organs in the chest, and the age of presentation makes a new diagnosis of uncorrected CDH less likely, as it usually presents as a neonatal emergency. *Pulmonary sequestration* - Pulmonary sequestration is a congenital malformation characterized by **non-functioning lung tissue with aberrant systemic arterial supply**, typically from the aorta. - While it can present with recurrent infections, the imaging typically shows a **solid or mixed solid-cystic mass**, often in the lower lobes with visible feeding vessels on contrast imaging, rather than the predominantly multicystic appearance seen in CPAM.
Explanation: ***Tracheo-esophageal fistula*** - This condition presents with **polyhydramnios** due to the fetus being unable to swallow amniotic fluid, **excessive salivation** from accumulated secretions in the blind-ending esophageal pouch, and difficulty passing a **nasogastric tube** because of the esophageal obstruction. - **Aspiration pneumonia** is a common complication as saliva and gastric contents can be aspirated into the lungs through the fistula. *Choanal atresia* - Characterized by **blocked nasal passages**, leading to **cyclical cyanosis** relieved by crying, but not typically associated with polyhydramnios or excessive salivation in this manner. - While it can cause respiratory distress, it does not involve esophageal obstruction or directly cause aspiration pneumonia from swallowed fluids. *Gastroschisis* - This is an **abdominal wall defect** where intestines protrude outside the body, unrelated to swallowing difficulties, polyhydramnios caused by inability to swallow, or excessive salivation. - It does not involve difficulty in passing a nasogastric tube or directly cause aspiration pneumonia. *Diaphragmatic hernia* - Involves **abdominal contents herniating into the chest cavity**, leading to **pulmonary hypoplasia** and respiratory distress. - It does not explain polyhydramnios due to impaired swallowing, excessive salivation, or the characteristic inability to pass a nasogastric tube.
Explanation: ***Left lower lobe*** - **Bronchopulmonary sequestration**, particularly the **intralobar type**, most commonly affects the **posterior basal segment of the left lower lobe**. [1] - This congenital malformation involves a segment of lung tissue that lacks normal communication with the tracheobronchial tree and receives its blood supply from a systemic artery. [1] *Right upper lobe* - While sequestration can occur anywhere, the **right upper lobe** is a much less common location for bronchopulmonary sequestration compared to the lower lobes. - Sequestration in the upper lobes is rare and usually associated with specific anatomical variations. *Right middle lobe* - The **right middle lobe** is also an infrequent site for bronchopulmonary sequestration. - The typical presentation involves the basal segments of the lower lobes due to embryonic developmental patterns. *Left upper lobe* - **Left upper lobe** involvement in bronchopulmonary sequestration is uncommon. - The majority of cases are found in the lower lobes, especially the left lower lobe.
Explanation: ***Pulmonary tuberculosis*** - This description ("small centrilobular nodules with **branching linear structures**") is characteristic of the **tree-in-bud pattern** seen on CT scans, which is a hallmark finding in active **endobronchial spread of tuberculosis**. - The tree-in-bud pattern results from the impaction of tuberculous **granulomas** and caseous material in the terminal and respiratory bronchioles. *Silicosis* - Characterized by multiple small, well-defined **nodules** (often in the upper lobes) that tend to calcify, but typically lacks the fine **branching linear structures**. - It’s associated with occupational exposure to **silica dust** and may progress to **massive progressive fibrosis**. *Pulmonary hydatid cyst* - Presents as a well-defined, usually **single, large cystic lesion** on CT, often with internal membranes if ruptured (water lily sign or crumpled membrane sign). - It does not typically manifest with small centrilobular nodules or branching linear structures. *Small cell carcinoma* - Usually appears as a **large central mass**, often with mediastinal lymphadenopathy, and sometimes associated with obstructive pneumonitis. - It does not typically present as diffuse small centrilobular nodules with branching patterns.
Explanation: ***Tricuspid atresia*** - **Tricuspid atresia** is a **cyanotic congenital heart disease** where the tricuspid valve is absent, preventing blood flow from the right atrium to the right ventricle, leading to **pulmonary hypoperfusion** or **oligemia**. - Systemic venous return must shunt across an **atrial septal defect (ASD)** or **patent foramen ovale (PFO)** to the left atrium, mixing with oxygenated blood, resulting in cyanosis. - Chest X-ray characteristically shows **decreased pulmonary vascular markings** (oligemia). *VSD* - A **Ventricular Septal Defect (VSD)** typically causes a **left-to-right shunt**, leading to **pulmonary plethora (increased pulmonary blood flow)**, not oligemia. - While large VSDs can eventually lead to Eisenmenger syndrome with cyanosis, the initial presentation is usually characterized by increased pulmonary flow. *Hypoplastic left ventricle* - **Hypoplastic left heart syndrome (HLHS)** is a **cyanotic** condition, but it results in **pulmonary plethora (increased pulmonary blood flow)**, not oligemia. - All systemic venous return flows to the right ventricle, which pumps to both the pulmonary arteries (normal pathway) and to the systemic circulation via a **patent ductus arteriosus (PDA)**, resulting in normal or increased pulmonary blood flow. - The primary issue is a severely underdeveloped left side of the heart, which does not lead to pulmonary oligemia. *ASD* - An **Atrial Septal Defect (ASD)** usually causes a **left-to-right shunt**, leading to **pulmonary plethora (increased pulmonary blood flow)** and is typically an **acyanotic** heart condition. - Cyanosis only develops late if pulmonary hypertension leads to shunt reversal (Eisenmenger syndrome), which is not the primary presentation.
Explanation: ***Tracheo-oesophageal fistula*** - The acronym VACTERL stands for **V**ertebral defects, **A**nal atresia, **C**ardiac defects, **T**racheo-**E**sophageal fistula, **R**enal anomalies, and **L**imb defects. - Oesophageal atresia often coexists with a **tracheo-oesophageal fistula (TE)**, which explains the "TE" component in the VACTERL association. *Tetralogy of Fallot* - This is a type of **cardiac defect (C)**, which is covered by the "C" in VACTERL, not "TE." - It involves four specific heart abnormalities but doesn't directly relate to the **oesophageal or tracheal components**. *Thoracic empyema* - **Thoracic empyema** describes a collection of pus in the pleural space, usually due to infection, and is not a congenital anomaly. - It is an **acquired condition** and not part of the VACTERL association. *Talipes equinovarus* - This condition, also known as **clubfoot**, is a **limb defect (L)**. - While it is a recognized part of the VACTERL association, it specifically relates to the "L" and not the "TE."
Explanation: ***Malformation*** - Refers to a **primary structural defect** present at birth, arising during development, leading to abnormal organ structure. - Typically involves intrinsic factors and can affect any organ or system, making it a key category of congenital anomalies. *Association* - Describes a **non-random occurrence** of two or more anomalies but does not indicate a structural defect of a specific organ. - Does not imply a direct defect, as it can occur without an **underlying structural issue** in a particular organ. *Deformation* - Refers to a change in the **shape or structure** of a normally formed organ or body part due to an external force rather than an intrinsic defect [1]. - Examples include clubfoot or positional plagiocephaly, which are not classified as malformations [1]. *Disruption* - Involves the breakdown of an originally normal tissue or organ due to extrinsic factors, leading to secondary structural defects. - Not inherent to the embryological development process itself, differentiating it from intrinsic faults like malformations. **References:** [1] Kumar V, Abbas AK, et al.. Robbins and Cotran Pathologic Basis of Disease. 9th ed. Diseases of Infancy and Childhood, pp. 460-462.
Explanation: ***Barrett's esophagus*** - The symptoms of **heartburn** and **increased salivation** are classic for **gastroesophageal reflux disease (GERD)**, which is the primary risk factor for Barrett's esophagus. - **Biopsy** is crucial for diagnosing Barrett's esophagus [2], which is characterized by the replacement of normal **squamous epithelium** with **specialized intestinal metaplasia** in the distal esophagus [1]. *Esophagitis* - While **esophagitis** (inflammation of the esophagus) can cause heartburn, it is a broader term and does not specifically describe the **metaplastic change** seen on biopsy. - Esophagitis can be caused by various factors (e.g., reflux, infections, eosinophilic), and without the specific biopsy finding of **intestinal metaplasia** [1], it's not the most precise diagnosis. *Adenocarcinoma esophagus* - **Adenocarcinoma of the esophagus** typically arises from **Barrett's esophagus** [1], but the question implies a diagnosis based on the initial presentation and biopsy, not necessarily a malignant transformation yet. - While Barrett's esophagus is a **pre-malignant condition** [1], the biopsy finding would specifically state adenocarcinoma if it were present, not just the changes leading to it. *Squamous cell carcinoma esophagus* - **Squamous cell carcinoma** is more commonly associated with risk factors like **smoking** and **alcohol consumption**, and typically arises from the **squamous epithelium** of the esophagus, not from metaplastic changes. - The symptoms of heartburn and increased salivation are more indicative of reflux-related changes, which predispose to adenocarcinoma via Barrett's, rather than squamous cell carcinoma. **References:** [1] Cross SS. Underwood's Pathology: A Clinical Approach. 6th ed. Common Clinical Problems From Alimentary System Disease, pp. 348-349. [2] Kumar V, Abbas AK, et al.. Robbins and Cotran Pathologic Basis of Disease. 9th ed. The Gastrointestinal Tract, pp. 764-765.
Explanation: ***Accumulation of fibrin*** - Grey hepatization is characterized by the **presence of fibrinous exudate** in the alveoli, indicating significant lung pathology, usually in cases of pneumonia [1,2]. - This stage follows red hepatization and reflects the **progression of inflammation** within the lung tissue [1,2]. *RBC's fill the alveoli* - This occurs during the **red hepatization** stage, where RBCs invade alveoli, not grey hepatization [1,2]. - **Grey hepatization** is marked by **fibrinous deposits** instead of erythrocytes [1,2]. *Organisms fill the alveoli* - While organisms, such as bacteria, can be present, they are more characteristic of the **initial infection phase** rather than grey hepatization [1]. - This stage reflects more on the **inflammatory response** than the presence of pathogens. *WBC's fill the alveoli* - The infiltration of **WBCs (like neutrophils)** represents an earlier inflammatory process, usually preceding grey hepatization [1,2]. - In grey hepatization, the focus is on the **accumulation of fibrin**, not directly on WBC infiltration [1,2]. **References:** [1] Kumar V, Abbas AK, et al.. Robbins and Cotran Pathologic Basis of Disease. 9th ed. The Lung, pp. 711-712. [2] Cross SS. Underwood's Pathology: A Clinical Approach. 6th ed. Common Clinical Problems From Respiratory Tract Disease, pp. 317-318.
Get full access to all questions, explanations, and performance tracking.
Start For Free