What is the most common primary tumor to cause a Krukenberg tumor?
Which of the following markers is NOT typically elevated in a testicular teratoma?
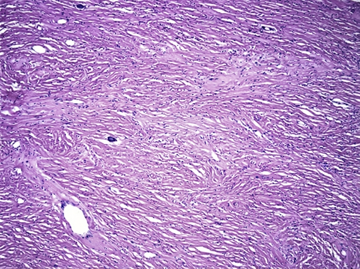
A 35-year-old female underwent hysterectomy, which revealed specific gross and histological features. What is the most likely diagnosis?

Schiller-Duval bodies are seen in which of the following tumor types?
Which of the following benign breast lesions is associated with a moderately increased risk of invasive breast carcinoma?
All changes occur in a fibroid uterus. Except?
What is the histological type of cervical cancer that is most sensitive to radiotherapy?
How does seminoma typically spread?
A 30-year-old patient presents with testicular hypoechoic mass and back pain. Which tumor marker is most appropriate?
Seminoma is carcinoma of:
Explanation: A **Krukenberg tumor** refers to a metastatic signet-ring cell carcinoma of the ovary, where the primary malignancy arises from a gastrointestinal site. **1. Why Gastric Adenocarcinoma is correct:** The most common primary site for a Krukenberg tumor is the **stomach (gastric adenocarcinoma)**, specifically the diffuse type (linitis plastica). The characteristic histological feature is the **signet-ring cell**, where intracellular mucin displaces the nucleus to the periphery [1]. The spread is traditionally thought to occur via retrograde lymphatic dissemination, though transcoelomic spread is also possible [1]. It typically presents as bilateral, solid ovarian enlargement. **2. Why the other options are incorrect:** * **Ovarian cancer:** By definition, a Krukenberg tumor is a *metastatic* lesion. Primary ovarian cancers (like serous cystadenocarcinoma) arise within the ovary itself and do not show signet-ring morphology. * **Hepatocellular carcinoma:** While HCC can metastasize, it rarely involves the ovaries and does not produce the signet-ring mucinous histology required for this diagnosis. * **Renal cell carcinoma:** RCC typically spreads hematogenously to the lungs or bones. While it can metastasize to unusual sites, it is not a recognized primary source for Krukenberg tumors. **3. High-Yield Clinical Pearls for NEET-PG:** * **Primary Sites:** Stomach (>70%) > Colon > Appendix > Breast (Lobular carcinoma). * **Histology:** Nests of signet-ring cells in a dense, cellular stroma (sarcomatoid-like reaction) [1]. * **Laterality:** Usually **bilateral** (80% of cases), which helps distinguish it from primary ovarian mucinous cystadenocarcinoma (usually unilateral). * **Stain:** Positive for **PAS** and **Mucicarmine** (due to mucin content). * **Clinical:** Often presents with ascites and abdominal pain; the ovarian mass may be detected before the primary gastric lesion is symptomatic. **References:** [1] Kumar V, Abbas AK, et al.. Robbins and Cotran Pathologic Basis of Disease. 9th ed. The Gastrointestinal Tract, p. 779.
Explanation: ### Explanation In testicular germ cell tumors (GCTs), serum markers are critical for diagnosis, staging, and monitoring treatment response. **Why CEA is the correct answer:** **Carcinoembryonic antigen (CEA)** is a non-specific oncofetal antigen primarily associated with adenocarcinomas of the gastrointestinal tract (e.g., colorectal cancer), pancreas, and lungs. It is **not** a recognized marker for testicular germ cell tumors, including teratomas. **Analysis of incorrect options:** * **Alpha-fetoprotein (AFP):** Teratomas in adults are frequently "mixed" germ cell tumors. If a teratoma contains yolk sac elements, AFP will be elevated [1]. Even in pure teratomas, focal areas of differentiation can lead to minor AFP elevations. * **Human chorionic gonadotropin (HCG):** Similar to AFP, if a mixed GCT has syncytiotrophoblastic components (common in embryonal carcinoma or choriocarcinoma elements associated with teratoma), HCG will be elevated [1], [3]. * **Lactate dehydrogenase (LDH):** This is a non-specific marker of tumor burden, growth rate, and cellular turnover. It is elevated in many testicular GCTs, including teratomas and seminomas, and is used for prognostic staging (S-classification). **High-Yield Clinical Pearls for NEET-PG:** * **Pure Seminoma:** Characteristically shows elevated **LDH** and occasionally low levels of HCG (if syncytiotrophoblasts are present), but **never** elevated AFP [2]. * **Yolk Sac Tumor:** The most common testicular tumor in infants; characteristically shows markedly elevated **AFP** and **Schiller-Duval bodies** on histology. * **Choriocarcinoma:** Associated with very high **HCG** levels; often presents with early hematogenous metastasis (e.g., "cannonball" lung lesions) [3]. * **Teratoma in Adults:** Unlike in children, post-pubertal testicular teratomas are considered **malignant** regardless of histological maturity and often present as part of a mixed GCT [1]. **References:** [1] Cross SS. Underwood's Pathology: A Clinical Approach. 6th ed. Common Clinical Problems From Diseases Of The Urinary And Male Genital Tracts, pp. 512-513. [2] Kumar V, Abbas AK, et al.. Robbins and Cotran Pathologic Basis of Disease. 9th ed. The Lower Urinary Tract and Male Genital System, pp. 980-982. [3] Kumar V, Abbas AK, et al.. Robbins and Cotran Pathologic Basis of Disease. 9th ed. The Lower Urinary Tract and Male Genital System, p. 982.
Explanation: ***Leiomyoma*** - **Gross features** include **well-circumscribed**, **whorled**, **white-gray nodules** that are firm and rubbery in consistency. - **Histologically** shows **interlacing smooth muscle bundles** with **minimal nuclear atypia** and **low mitotic index** (<10 mitoses per 10 HPF). *Carcinoma endometrium* - **Gross appearance** typically shows **friable**, **hemorrhagic**, or **necrotic tissue** rather than well-circumscribed nodules. - **Histologically** demonstrates **malignant glandular epithelium** with **nuclear pleomorphism** and **loss of normal architecture**. *Malignant mixed Mullerian tumor* - **Gross features** include **large**, **polypoid**, **hemorrhagic masses** that are often **necrotic** and **friable**. - **Histologically** contains both **malignant epithelial** and **mesenchymal components**, unlike the homogeneous smooth muscle appearance. *Leiomyosarcoma* - **Gross appearance** shows **areas of coagulative necrosis**, **hemorrhage**, and **soft consistency** unlike the firm whorled pattern. - **Histologically** exhibits **high mitotic rate** (>10 mitoses per 10 HPF), **marked nuclear atypia**, and **coagulative tumor cell necrosis**.
Explanation: **Explanation:** **Schiller-Duval bodies** are the pathognomonic histological hallmark of **Yolk Sac Tumors** (also known as Endodermal Sinus Tumors). These structures consist of a central capillary surrounded by visceral and parietal layers of neoplastic cells, mimicking a primitive glomerulus. 1. **Why Yolk Sac Tumor is correct:** These tumors are the most common testicular germ cell tumor in children [1]. They characteristically produce **Alpha-Fetoprotein (AFP)**, which serves as a vital serum marker for diagnosis and monitoring. Histologically, the presence of Schiller-Duval bodies is definitive, though they are only present in about 50% of cases. 2. **Why other options are incorrect:** * **Teratoma:** Characterized by tissues derived from all three germ layers (ectoderm, mesoderm, endoderm), such as cartilage, hair, or intestinal epithelium [1]. * **Seminoma:** The most common germ cell tumor in adults. Histology shows large, uniform cells with clear cytoplasm (“fried-egg appearance”) and lymphocytic infiltration in the stroma [1]. * **Choriocarcinoma:** A highly malignant tumor characterized by the proliferation of cytotrophoblasts and syncytiotrophoblasts [1]. It is associated with markedly elevated **hCG** levels and lacks Schiller-Duval bodies. **High-Yield Clinical Pearls for NEET-PG:** * **Tumor Marker:** AFP is elevated in Yolk Sac Tumors; hCG is elevated in Choriocarcinoma. * **Hyaline Droplets:** Besides Schiller-Duval bodies, Yolk Sac Tumors often show eosinophilic, PAS-positive hyaline droplets. * **Age Factor:** If a testicular mass is presented in a child under 3 years old, Yolk Sac Tumor is the most likely diagnosis [1]. **References:** [1] Kumar V, Abbas AK, et al.. Robbins and Cotran Pathologic Basis of Disease. 9th ed. The Lower Urinary Tract and Male Genital System, pp. 979-980.
Explanation: **Explanation:** The risk of developing invasive breast carcinoma is categorized based on the histological features of benign breast lesions. This classification is a high-yield topic for NEET-PG. **1. Why Atypical Lobular Hyperplasia (ALH) is correct:** ALH falls under the category of **Atypical Hyperplasia (Proliferative disease with atypia)**. These lesions possess some, but not all, features of carcinoma in situ [1]. They are associated with a **moderately increased risk (4 to 5-fold)** of developing invasive cancer in either breast [1]. This category also includes Atypical Ductal Hyperplasia (ADH). **2. Analysis of Incorrect Options:** * **Sclerosing adenosis (Option A):** This is a **Proliferative disease without atypia**. It carries only a **mildly increased risk (1.5 to 2-fold)**. Other examples include radial scars and complex sclerosing lesions. * **Apocrine metaplasia (Option C):** This is a feature of **Non-proliferative breast changes** (Fibrocystic changes). It carries **no increased risk** of malignancy. * **Squamous metaplasia (Option D):** Usually seen in the lactiferous ducts (e.g., Zuska’s disease/SMLO), it is a reactive process and is **not associated** with an increased risk of invasive carcinoma. **Clinical Pearls for NEET-PG:** * **No Risk (1x):** Cysts, apocrine metaplasia, mild hyperplasia, fibroadenoma (without complex features). * **Slight Risk (1.5–2x):** Sclerosing adenosis, papillomatosis, moderate/florid hyperplasia without atypia. * **Moderate Risk (4–5x):** ADH and ALH [1]. * **High Risk (8–10x):** LCIS and DCIS (Carcinoma in situ). * **Note:** If a patient with atypical hyperplasia has a positive family history, the risk can increase up to 10-fold. **References:** [1] Kumar V, Abbas AK, et al.. Robbins and Cotran Pathologic Basis of Disease. 9th ed. The Breast, pp. 1054-1056.
Explanation: **Explanation:** The correct answer is **Squamous metaplasia**. Leiomyomas (fibroids) are benign tumors derived from the **smooth muscle cells** of the myometrium [1]. Squamous metaplasia is a process where one adult epithelial cell type is replaced by another (e.g., columnar to squamous). Since fibroids are mesenchymal (connective tissue) tumors and not epithelial, they do not undergo squamous metaplasia. Squamous metaplasia is typically seen in the cervix or the endometrial lining, but not within the substance of a leiomyoma. **Analysis of Incorrect Options:** * **Atrophy (A):** Fibroids are estrogen-dependent. Following menopause or during treatment with GnRH analogues, the lack of estrogen leads to a reduction in cell size (atrophy) and shrinkage of the tumor. * **Hyaline Degeneration (C):** This is the **most common** type of degeneration in fibroids. The smooth muscle is replaced by homogenous, eosinophilic collagenous tissue [2]. * **Calcification (D):** Often occurring after menopause (secondary to circulatory changes), this is known as "calcareous degeneration." It results in a "womb stone" appearance on X-ray. **Clinical Pearls for NEET-PG:** * **Most common degeneration:** Hyaline degeneration. * **Most common degeneration during pregnancy:** Red degeneration (Carneous degeneration), caused by rapid growth leading to venous thrombosis and infarction. * **Malignant transformation:** Leiomyosarcomas almost always arise *de novo* and NOT from pre-existing fibroids. [2] * **Cystic degeneration:** Occurs when hyaline tissue liquefies; often mimics pregnancy or ovarian cysts on ultrasound. **References:** [1] Kumar V, Abbas AK, et al.. Robbins and Cotran Pathologic Basis of Disease. 9th ed. Neoplasia, pp. 276-278. [2] Kumar V, Abbas AK, et al.. Robbins and Cotran Pathologic Basis of Disease. 9th ed. The Female Genital Tract, pp. 1024-1025.
Explanation: **Explanation:** **1. Why Squamous Cell Carcinoma (SCC) is the correct answer:** Squamous cell carcinoma is the most common histological type of cervical cancer (accounting for approximately 75-80% of cases). In oncology, there is a general radiobiological principle that **poorly differentiated cells with high mitotic rates** are more sensitive to ionizing radiation. [2] Squamous cells, particularly those in the cervix, exhibit high radiosensitivity compared to glandular tissues. Radiotherapy (External Beam Radiation + Brachytherapy) is a primary treatment modality for locally advanced SCC, often achieving excellent tumor regression due to the rapid destruction of these malignant epithelial cells. **2. Why the other options are incorrect:** * **Adenocarcinoma:** This arises from the glandular epithelium of the endocervix. [1] Glandular tumors are characteristically more **radioresistant** than squamous tumors. While radiation is used, the response rate is slower and less predictable than in SCC. * **Endometrioid carcinoma:** This is a subtype of adenocarcinoma (more common in the endometrium than the cervix). [1] Like other glandular malignancies, it does not share the same high level of radiosensitivity as SCC. * **Mixed variety (Adenosquamous):** These tumors contain both components. [1] The presence of the adenocarcinoma component typically makes the overall tumor more aggressive and less responsive to radiation therapy compared to pure SCC. **NEET-PG High-Yield Pearls:** * **Most common type of Cervical CA:** Squamous Cell Carcinoma (Large cell non-keratinizing is the most frequent subtype). * **Strongest Risk Factor:** Persistent infection with High-Risk HPV (Types 16 and 18). [3] * **Staging:** Cervical cancer is staged **clinically** (FIGO staging), though imaging (MRI/CT) is now integrated. [1] * **Radiotherapy:** It is the treatment of choice for FIGO Stage IIB and above (where the disease has spread to the parametrium). **References:** [1] Cross SS. Underwood's Pathology: A Clinical Approach. 6th ed. Common Clinical Problems From Female Genital Tract Disease, pp. 470-471. [2] Cross SS. Underwood's Pathology: A Clinical Approach. 6th ed. Common Clinical Problems From Female Genital Tract Disease, pp. 467-468. [3] Kumar V, Abbas AK, et al.. Robbins and Cotran Pathologic Basis of Disease. 9th ed. The Female Genital Tract, pp. 1006-1007.
Explanation: **Explanation:** **1. Why Lymphatics is Correct:** Seminoma, the most common germ cell tumor (GCT) of the testis, follows a predictable pattern of spread. Like most carcinomas (and unlike most sarcomas), seminomas primarily spread via the **lymphatic system**. The lymphatic drainage of the testes follows the path of the testicular arteries back to their origin from the aorta. Therefore, the primary site of metastasis is the **retroperitoneal para-aortic lymph nodes** [1]. **2. Why Other Options are Incorrect:** * **Hematogenous route:** While non-seminomatous germ cell tumors (NSGCTs), particularly choriocarcinoma, frequently spread via the blood to the lungs and liver, seminomas rarely do so in the early stages [1]. * **Direct route/Spermatic cord:** While local invasion into the tunica albuginea or spermatic cord can occur (T-staging), it is not the *typical* or primary mode of systemic dissemination. **3. NEET-PG High-Yield Pearls:** * **Lymphatic Exception:** If a patient has a history of orchiopexy or scrotal surgery, the lymphatic drainage may shift to the **inguinal lymph nodes** instead of the para-aortic nodes. * **Radiosensitivity:** Seminomas are exquisitely **radiosensitive** and have an excellent prognosis (95% cure rate in early stages). * **Tumor Markers:** Seminomas may show elevated **hCG** (if syncytiotrophoblasts are present) but **never** show elevated AFP [2]. An elevated AFP in a suspected seminoma automatically reclassifies it as a Mixed Germ Cell Tumor. * **Microscopy:** Look for "Fried egg" appearance (clear cytoplasm, central nuclei) and fibrous septa infiltrated with **T-lymphocytes** [2]. **References:** [1] Cross SS. Underwood's Pathology: A Clinical Approach. 6th ed. Common Clinical Problems From Diseases Of The Urinary And Male Genital Tracts, pp. 510-512. [2] Kumar V, Abbas AK, et al.. Robbins and Cotran Pathologic Basis of Disease. 9th ed. The Lower Urinary Tract and Male Genital System, pp. 980-982.
Explanation: **Explanation:** The clinical presentation of a **testicular hypoechoic mass** in a young male (30 years old) associated with **back pain** (suggestive of retroperitoneal lymphadenopathy/metastasis) is highly suspicious for a **Germ Cell Tumor (GCT)** [1]. Among the options provided, **AFP (Alpha-fetoprotein)** is the only relevant tumor marker for testicular GCTs. * **Why AFP is correct:** AFP is a glycoprotein normally produced by the fetal yolk sac. In the context of testicular tumors, elevated AFP is diagnostic of a **Yolk Sac Tumor** component [1]. It is also elevated in **Embryonal Carcinomas**. Crucially, AFP is **never** elevated in pure Seminomas; its elevation in a suspected seminoma indicates a mixed germ cell tumor. * **Why other options are incorrect:** * **Calcitonin:** A marker for Medullary Thyroid Carcinoma. * **CA 19-9:** Primarily used for Pancreatic and Biliary tract cancers. * **CEA:** A non-specific marker used mainly for Colorectal carcinoma and other GI malignancies. **High-Yield Clinical Pearls for NEET-PG:** 1. **The "Big Three" Markers:** The standard markers for testicular GCTs are **AFP, LDH, and beta-hCG**. 2. **Seminoma vs. Non-Seminoma:** Pure Seminomas may show elevated **beta-hCG** (in 15% of cases [3] due to syncytiotrophoblasts) but **never AFP** [1]. 3. **Yolk Sac Tumor:** Characterized histologically by **Schiller-Duval bodies** and immunohistochemically by **AFP**. 4. **Choriocarcinoma:** Always associated with significantly high **beta-hCG** levels [2]; often presents with early hematogenous spread (e.g., to lungs). **References:** [1] Kumar V, Abbas AK, et al.. Robbins and Cotran Pathologic Basis of Disease. 9th ed. The Lower Urinary Tract and Male Genital System, pp. 979-980. [2] Kumar V, Abbas AK, et al.. Robbins and Cotran Pathologic Basis of Disease. 9th ed. The Lower Urinary Tract and Male Genital System, p. 982. [3] Cross SS. Underwood's Pathology: A Clinical Approach. 6th ed. Common Clinical Problems From Diseases Of The Urinary And Male Genital Tracts, pp. 512-513.
Explanation: **Explanation:** **Seminoma** is the most common germ cell tumor (GCT) of the **testis**, typically occurring in men aged 30–40 years. It arises from the germinal epithelium of the seminiferous tubules and is the male counterpart to the ovarian **Dysgerminoma** [1]. * **Why Testes is Correct:** Seminomas are malignant neoplasms derived from primordial germ cells [1]. Histologically, they are characterized by large, uniform cells with clear cytoplasm (rich in glycogen), distinct cell borders, and large nuclei with prominent nucleoli. These cells are arranged in lobules separated by delicate fibrous septa containing a **lymphocytic infiltrate**. * **Why Incorrect Options are Wrong:** * **Kidney:** The most common primary malignancy is Renal Cell Carcinoma (RCC), derived from renal tubular epithelium, not germ cells. * **Urinary Bladder:** The most common malignancy is Urothelial (Transitional Cell) Carcinoma. * **Penis:** The most common malignancy is Squamous Cell Carcinoma, often associated with HPV infection or poor hygiene (smegma). **High-Yield Clinical Pearls for NEET-PG:** 1. **Tumor Markers:** Seminomas are typically negative for AFP (Alpha-fetoprotein). Elevated AFP always indicates a non-seminomatous component (like Yolk Sac Tumor). HCG may be mildly elevated in 10-15% of cases if syncytiotrophoblastic giant cells are present [1]. 2. **Radiosensitivity:** Seminomas are exquisitely **radiosensitive** and have an excellent prognosis. 3. **Immunohistochemistry (IHC):** Positive for **OCT3/4, SALL4, and CD117 (c-KIT)** [1]. They are typically negative for CD30 (which distinguishes them from Embryonal Carcinoma). 4. **Spermatocytic Tumor:** Formerly "Spermatocytic Seminoma," it is now a distinct entity occurring in older men (>50 years) with no metastatic potential [1]. **References:** [1] Kumar V, Abbas AK, et al.. Robbins and Cotran Pathologic Basis of Disease. 9th ed. The Lower Urinary Tract and Male Genital System, pp. 979-982.
Diseases of Male Genital Tract
Practice Questions
Testicular Tumors
Practice Questions
Prostate Pathology
Practice Questions
Diseases of Female Genital Tract
Practice Questions
Cervical Pathology and Neoplasia
Practice Questions
Endometrial Pathology
Practice Questions
Ovarian Diseases and Tumors
Practice Questions
Gestational Trophoblastic Disease
Practice Questions
Placental Pathology
Practice Questions
Sexually Transmitted Infections
Practice Questions
Get full access to all questions, explanations, and performance tracking.
Start For Free