A 30-year-old female presents to the OPD with a 3 cm breast lump in the upper medial quadrant. The lump has an uneven, bosselated surface, and the overlying skin is mildly ulcerated. Microscopic examination reveals the given findings. What is the most likely diagnosis?
A 50 year old female presented with a breast mass that was operated and the microscopic examination in given. What is the diagnosis?
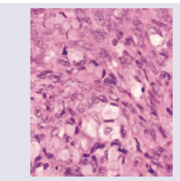
A biopsy from a breast mass in a 55-year-old woman shows infiltrating ductal carcinoma. Immunohistochemistry reveals ER negative, PR negative, and HER2/neu negative. What is the classification of this tumor?
Histopathological features of granulosa cell tumor include all except:
A 30-year-old man presents with a painless testicular mass. An ultrasound shows a well-circumscribed, homogeneous, non-hemorrhagic testicular tumor. Which of the following is the most likely diagnosis?
A 50-year-old lady developed ascites. CT abdomen showed bilateral ovarian masses which were resected. The histopathological slide from the mass is shown below. What is the diagnosis?

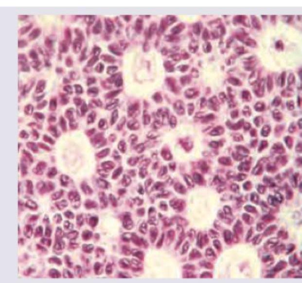
A 6-year-old girl with precocious puberty was found to have an ovarian tumour, which was resected laparoscopically. Histopathological slides were prepared. What is the diagnosis?

A 24 -year-old male patient with undescended testis has a lump in the groin since birth which was increasing since last 6 months. The resected specimen is shown below. All are correct about the condition except:

The following is a post-orchidectomy histopathological specimen. Diagnosis is:

Hysterectomy specimen from a 40-year-old lady is shown along with histology slide. The diagnosis is:

Explanation: ***Phyllodes tumor*** - The histology shows a classic **leaf-like (phyllodes)** architecture, which is pathognomonic [1]. This is a fibroepithelial lesion characterized by an overgrowth of the stromal component forming these projections [1]. - Clinically, these tumors often present as large, rapidly growing, bosselated masses [1]. Skin ulceration, as seen in this patient, can occur with larger or more aggressive (borderline/malignant) phyllodes tumors. *Galactocele* - A galactocele is a milk-filled cyst, typically occurring during or after lactation. Histologically, it would appear as a cyst lined by flattened epithelium containing **inspissated, eosinophilic material**, not a complex stromal proliferation. - Clinically, it presents as a smooth, mobile, and often tender cyst, which is inconsistent with the uneven, bosselated mass described. *Fibroadenoma* - While also a fibroepithelial tumor, a fibroadenoma has a less cellular stroma and lacks the prominent **leaf-like structures** and stromal overgrowth seen in the image [1]. The glands are typically compressed by a paucicellular stroma [2]. - Fibroadenomas are usually smaller, well-circumscribed, rubbery, and highly mobile masses (often called a **'breast mouse'**) that rarely cause skin changes like ulceration [2]. *Paget's disease* - Paget's disease is an adenocarcinoma affecting the epidermis of the nipple-areolar complex. Histology would show malignant **Paget cells** infiltrating the epidermis, which is not seen here. - The clinical presentation involves an eczematous, crusted, or ulcerating lesion of the **nipple and areola**, not a distinct lump in a breast quadrant [3]. **References:** [1] Kumar V, Abbas AK, et al.. Robbins and Cotran Pathologic Basis of Disease. 9th ed. The Breast, p. 1074. [2] Cross SS. Underwood's Pathology: A Clinical Approach. 6th ed. Common Clinical Problems From Liver And Biliary System Disease, pp. 448-449. [3] Cross SS. Underwood's Pathology: A Clinical Approach. 6th ed. Common Clinical Problems From Liver And Biliary System Disease, pp. 443-444.
Explanation: ***Mucinous carcinoma breast*** - The micrograph shows clusters and nests of relatively uniform tumor cells floating in abundant extracellular **mucin**, which is the hallmark of this diagnosis. - This subtype of invasive ductal carcinoma is typically well-differentiated, hormone receptor-positive (**ER/PR positive**), and carries a more favorable prognosis than conventional invasive ductal carcinoma. *Lobular carcinoma breast* - This carcinoma is characterized by small, discohesive tumor cells infiltrating the stroma individually or in a **single-file** or **“Indian file”** pattern, which is not seen here [1]. - A key feature is the loss of **E-cadherin** expression, leading to the discohesive nature of the cells [3]. *Medullary carcinoma* - Histologically, this tumor presents as poorly differentiated cells arranged in solid, **syncytial sheets** with a prominent **lymphoplasmacytic infiltrate** [2]. - The image lacks both the syncytial growth pattern and the dense inflammatory background characteristic of medullary carcinoma [2]. *Phyllodes tumour* - This is a biphasic **fibroepithelial tumor**, characterized by a hypercellular stromal component and an epithelial component arranged in a **leaf-like** (phyllodes) architecture. - The defining feature is the proliferating stroma, whereas the image shows a carcinoma defined by its epithelial cells and extracellular mucin. **References:** [1] Cross SS. Underwood's Pathology: A Clinical Approach. 6th ed. Common Clinical Problems From Liver And Biliary System Disease, pp. 454-455. [2] Cross SS. Underwood's Pathology: A Clinical Approach. 6th ed. Common Clinical Problems From Liver And Biliary System Disease, pp. 455-456. [3] Kumar V, Abbas AK, et al.. Robbins and Cotran Pathologic Basis of Disease. 9th ed. The Breast, pp. 1068-1069.
Explanation: ***Triple negative breast cancer (TNBC)*** - This classification is definitively characterized by the tumor being negative for **Estrogen Receptor (ER)**, negative for **Progesterone Receptor (PR)**, and negative for **Human Epidermal growth factor Receptor 2 (HER2/neu)** expression [1]. - TNBC is considered an aggressive subtype, typically having a **basal-like phenotype**, and is managed with chemotherapy since it lacks targets for endocrine or anti-HER2 therapy [2, 3]. *Luminal A* - Luminal A tumors are characterized by being **ER positive** (and/or PR positive) and **HER2 negative**, usually associated with a low proliferation rate (**low Ki-67**). - This subtype typically represents the best prognosis and is highly sensitive to endocrine therapy. *Luminal B* - Luminal B tumors are defined by being **ER positive** (and/or PR positive) and either **HER2 negative** (but with a high proliferation rate, **high Ki-67**) or **HER2 positive**. - They generally have a poorer prognosis than Luminal A tumors, often requiring chemotherapy in addition to endocrine therapy. *HER2 positive* - This classification strictly requires the tumor to show **overexpression or amplification of the HER2/neu gene**, irrespective of the ER/PR status. - Since the provided immunohistochemistry explicitly states the tumor is **HER2/neu negative**, it cannot be classified as a primary HER2-positive tumor. **References:** [1] Kumar V, Abbas AK, et al.. Robbins and Cotran Pathologic Basis of Disease. 9th ed. The Breast, pp. 1064-1066. [2] Cross SS. Underwood's Pathology: A Clinical Approach. 6th ed. (Basic Pathology) introduces the student to key general principles of pathology, both as a medical science and as a clinical activity with a vital role in patient care. Part 2 (Disease Mechanisms) provides fundamental knowledge about the cellular and molecular processes involved in diseases, providing the rationale for their treatment. Part 3 (Systematic Pathology) deals in detail with specific diseases, with emphasis on the clinically important aspects., pp. 258-259. [3] Kumar V, Abbas AK, et al.. Robbins and Cotran Pathologic Basis of Disease. 9th ed. The Breast, pp. 1066-1068.
Explanation: ***CA-125 positivity*** - **CA-125** is a **serum marker** predominantly associated with **epithelial ovarian cancer** (especially serous carcinoma), not a histopathological feature visible on microscopy. - It is not typically expressed by granulosa cell tumors (GCTs), which are sex cord-stromal tumors that produce **Inhibin** as their characteristic serum marker [1]. - **This is NOT a histopathological feature** but rather a laboratory/serological test, making it the correct answer to this "EXCEPT" question. *Incorrect: Microfollicular pattern* - Granulosa cells arrange themselves in **microfollicular or macrofollicular patterns**, creating small cystic spaces that are a key architectural feature [1]. - This pattern of growth is one of the characteristic **histopathological findings** seen on routine microscopy of adult GCTs. *Incorrect: Coffee bean nuclei* - This describes the characteristic appearance of tumor cell nuclei with **longitudinal grooves or infoldings**, giving them a distinct **'coffee bean'** appearance [1]. - This unique **nuclear morphology** is a classic and essential **histopathological feature** observed on H&E staining for diagnosis of GCT [1]. *Incorrect: Call-Exner bodies* - These are **small rosette-like structures** with central cystic spaces filled with eosinophilic material, formed by granulosa cells arranged in a circular pattern [1]. - Their presence is a **pathognomonic microscopic feature** of adult GCTs and represents follicular differentiation seen in these sex cord-stromal tumors [1]. **References:** [1] Kumar V, Abbas AK, et al.. Robbins and Cotran Pathologic Basis of Disease. 9th ed. The Female Genital Tract, pp. 1036-1037.
Explanation: Seminoma - The clinical presentation (painless mass in a 30-year-old) combined with ultrasound findings (well-circumscribed, homogeneous, non-hemorrhagic tumor) strongly favors seminoma, the most common testicular germ cell tumor [1]. - Histologically, seminomas consist of large, clear cells separated by delicate fibrovascular septa infiltrated with lymphocytes, confirming this diagnosis [1]. Yolk sac tumor - This tumor is primarily the most common germ cell malignancy in infants and young children (under 3 years old) [1]. - It is classically associated with significantly elevated serum marker Alpha-fetoprotein (AFP). Choriocarcinoma - This highly aggressive tumor is characterized by significant hemorrhage, necrosis, and cavitation due to vascular invasion, which contradicts the 'non-hemorrhagic' description [2]. - It produces high levels of Human Chorionic Gonadotropin (hCG) due to the presence of syncytiotrophoblasts [1]. Teratoma - Teratomas are typically seen as heterogeneous or complex cystic masses on ultrasound due to the presence of various differentiated tissue elements (e.g., cartilage, bone, fat) [3]. - Pure teratomas are rare in adults; they usually form part of a mixed germ cell tumor [1]. **References:** [1] Kumar V, Abbas AK, et al.. Robbins and Cotran Pathologic Basis of Disease. 9th ed. The Lower Urinary Tract and Male Genital System, pp. 979-982. [2] Cross SS. Underwood's Pathology: A Clinical Approach. 6th ed. Common Clinical Problems From Diseases Of The Urinary And Male Genital Tracts, pp. 512-513. [3] Kumar V, Abbas AK, et al.. Robbins and Cotran Pathologic Basis of Disease. 9th ed. The Lower Urinary Tract and Male Genital System, pp. 982-983.
Explanation: ***Krukenberg tumour*** - The presence of **bilateral ovarian masses** and **ascites** in a 50-year-old lady, along with the typical histopathological appearance of **signet ring cells** (which would be implied by the image), is highly characteristic of a Krukenberg tumour. - Krukenberg tumours are **metastatic adenocarcinomas** to the ovary, most commonly originating from the stomach, colon, or breast, and are known for their bilateral presentation and mucin-filled signet ring cells. *Dysgerminoma* - Dysgerminomas are **germ cell tumours** that typically affect younger women and are often unilateral [1]. - Histologically, they are characterized by large, polygonal cells with clear cytoplasm and prominent nucleoli, arranged in nests or cords separated by fibrous septa infiltrated by lymphocytes, which is different from signet ring cells. *Serous cystadenoma* - Serous cystadenomas are **benign epithelial ovarian tumours** that are typically unilateral and cystic, filled with clear, watery fluid. - Histologically, they show a single layer of cuboidal or columnar epithelial cells lining the cyst, lacking the solid appearance and signet ring cells seen in Krukenberg tumours. *Granulosa cell tumour* - Granulosa cell tumours are **sex cord-stromal tumours** that are often unilateral and can produce estrogen, leading to symptoms like abnormal uterine bleeding [2]. - Histologically, they are characterized by Call-Exner bodies (small, fluid-filled spaces between granulosa cells) and coffee-bean nuclei, which are distinct from the signet ring cells of a Krukenberg tumour. **References:** [1] Kumar V, Abbas AK, et al.. Robbins and Cotran Pathologic Basis of Disease. 9th ed. The Female Genital Tract, pp. 1034-1035. [2] Cross SS. Underwood's Pathology: A Clinical Approach. 6th ed. Common Clinical Problems From Female Genital Tract Disease, pp. 481-482.
Explanation: ***Granulosa cell tumour*** - Granulosa cell tumours are the most common **estrogen-producing ovarian tumours** in children, leading to **precocious puberty** [2]. - Histologically, they often show **Call-Exner bodies** and a coffee-bean nuclear groove. - These tumors can occur at any age and all cases are potentially malignant [2]. *Arrhenoblastoma* - Arrhenoblastomas are **androgen-producing tumours** that cause **virilization** (e.g., hirsutism, clitoromegaly), not precocious puberty [3]. - They are typically composed of Sertoli and Leydig cells. *Endodermal sinus tumour* - Endodermal sinus tumours (yolk sac tumours) are **germ cell tumours** that produce **alpha-fetoprotein (AFP)**. - They are highly malignant and do not typically cause precocious puberty. *Thecoma* - Thecomas are benign ovarian tumours that can produce **estrogen**, but they are **less common** than granulosa cell tumours as a cause of precocious puberty in this age group [2]. - They are composed primarily of lipid-laden spindle cells [2]. **References:** [1] Kumar V, Abbas AK, et al.. Robbins and Cotran Pathologic Basis of Disease. 9th ed. The Female Genital Tract, pp. 1036-1037. [2] Cross SS. Underwood's Pathology: A Clinical Approach. 6th ed. Common Clinical Problems From Female Genital Tract Disease, pp. 481-482. [3] Kumar V, Abbas AK, et al.. Robbins and Cotran Pathologic Basis of Disease. 9th ed. The Female Genital Tract, pp. 1037-1038.
Explanation: ***Does not invade the tunica*** - This statement is incorrect. **Seminomas**, which are common in undescended testes, often **invade the tunica albuginea** and rete testis. - Invasion of the tunica is a common feature of testicular germ cell tumors, including seminoma, and is an important prognostic factor. *Tumor maintains the testis contour* - **Seminomas** typically grow as a large, homogeneous mass that can **replace the testicular parenchyma** but often maintains the overall contour of the testis. - The tumor expands within the tunica albuginea, leading to an enlarged but often still ovoid shape of the testis. *Necrosis commonly starts from center of tumor* - **Necrosis** is a common feature in larger **seminomas**, and it typically starts in the **center of the tumor** due to inadequate blood supply as the tumor outgrows its vascularization. - This central necrosis can lead to cystic degeneration within the tumor. *PAS positive tumor cells in sheets* - **Seminoma cells** are typically rich in **glycogen**, which stains **PAS (Periodic Acid-Schiff) positive** [1]. - These cells are characteristically arranged in **sheets or lobules** separated by delicate fibrovascular septa, often with a prominent lymphocytic infiltrate [1]. **References:** [1] Kumar V, Abbas AK, et al.. Robbins and Cotran Pathologic Basis of Disease. 9th ed. The Lower Urinary Tract and Male Genital System, pp. 980-982.
Explanation: ***Seminoma*** - The image shows a **monotonous population of large, clear cells** with prominent nucleoli and distinct cell borders, arranged in lobules separated by fibrous septa with **lymphocytic infiltration** [1]. - This classic histological appearance, along with the presence of **syncytiotrophoblasts** (though not explicitly mentioned as a key feature for diagnosis from this image alone, it can be seen in some seminomas), is characteristic of **seminoma**, the most common germ cell tumor of the testis [1]. *Teratoma* - Teratomas are characterized by the presence of **multiple germ layers** (ectoderm, mesoderm, endoderm) with various differentiated tissues like cartilage, bone, neural tissue, or glandular structures [1]. - The image does not show the **heterogeneous tissue differentiation** typical of a teratoma. *Lymphoma* - Testicular lymphoma typically presents with a **diffuse infiltrate of atypical lymphoid cells**, often with a high mitotic rate, and lacks the clear cell appearance and fibrous septa seen in the image. - It is more common in **older men** and can be bilateral, unlike the typical presentation of seminoma. *Yolk sac tumor* - Yolk sac tumors (endodermal sinus tumors) are characterized by various architectural patterns, including **reticular, microcystic, solid, and papillary**, often with **Schiller-Duval bodies** (glomeruloid structures) [1]. - The image does not display these specific patterns or the characteristic Schiller-Duval bodies. **References:** [1] Kumar V, Abbas AK, et al.. Robbins and Cotran Pathologic Basis of Disease. 9th ed. The Lower Urinary Tract and Male Genital System, pp. 979-982.
Explanation: ***Leiomyoma*** - Leiomyomas are **benign smooth muscle tumors** of the uterus, characterized by well-demarcated, whorled, and firm cut surfaces [1]. - Histologically, they show bundles of **smooth muscle cells** arranged in fascicles, with minimal atypia and low mitotic activity [1]. *Carcinoma endometrium* - Endometrial carcinoma typically presents as an **irregular, friable mass** originating from the endometrial lining, often with areas of necrosis or hemorrhage. - Histologically, it shows **glandular proliferation** with architectural complexity, nuclear atypia, and often invasion into the myometrium [2]. *Leiomyosarcoma* - Leiomyosarcomas are **malignant smooth muscle tumors** that are often poorly circumscribed, with areas of hemorrhage and necrosis [1]. - Histologically, they exhibit significant **nuclear atypia**, high mitotic activity (often >10 mitoses/10 HPF), and atypical mitoses [1]. *Endometriosis* - Endometriosis involves the presence of **endometrial glands and stroma outside the uterus**, often forming "chocolate cysts" in the ovaries or implants on peritoneal surfaces. - Histology would reveal **endometrial glands and stroma** surrounded by hemosiderin-laden macrophages, not a smooth muscle tumor. **References:** [1] Kumar V, Abbas AK, et al.. Robbins and Cotran Pathologic Basis of Disease. 9th ed. The Female Genital Tract, pp. 1024-1025. [2] Kumar V, Abbas AK, et al.. Robbins and Cotran Pathologic Basis of Disease. 9th ed. The Female Genital Tract, pp. 1020-1021.
Diseases of Male Genital Tract
Practice Questions
Testicular Tumors
Practice Questions
Prostate Pathology
Practice Questions
Diseases of Female Genital Tract
Practice Questions
Cervical Pathology and Neoplasia
Practice Questions
Endometrial Pathology
Practice Questions
Ovarian Diseases and Tumors
Practice Questions
Gestational Trophoblastic Disease
Practice Questions
Placental Pathology
Practice Questions
Sexually Transmitted Infections
Practice Questions
Get full access to all questions, explanations, and performance tracking.
Start For Free