A 72-year-old man presents with a 10-year history of increasing difficulty with urination, characterized by nocturia, urgency with small urine volumes, and hesitancy in starting and stopping micturition. Physical examination reveals an enlarged, non-tender prostate, approximately twice its normal size. His serum prostate-specific antigen (PSA) level was 6 ng/mL one year ago and remains unchanged. Which of the following drugs is most likely to be effective in treating this patient's condition?
Which of the following is an exception for secreting hormones?
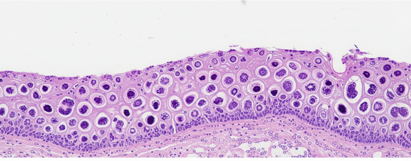
A cervical lesion is shown, which is similar to that obtained in a cone cervical biopsy from a 28-year-old sexually active woman who had had a "positive" Pap smear. What type of cervical change is often characterized by the lesion shown?

A patient presents with an abdominal mass. Investigations reveal bilateral ovarian masses with smooth surfaces. Microscopy shows cells with signet ring shapes. What is the most likely diagnosis?
P57KIP2 immunostaining is helpful in diagnosing which of the following conditions?
Gleason score is used to grade which cancer?
A pathologist is examining placentas from five different patients. He notes the following characteristics in the placentas: Patient A: fused dichorionic diamniotic; Patient B: dichorionic diamniotic; Patient C: circumvallate placenta; Patient D: monochorionic diamniotic. Which of the patients unquestionably gave birth to identical twins?
Which of the following is a marker for testicular tumor?
Which of the following microscopic features is NOT typically seen in seminoma?
HCG is raised in all of the following conditions except:
Explanation: The clinical presentation of a 72-year-old male with chronic obstructive urinary symptoms (hesitancy, urgency, nocturia) and a non-tender, symmetrically enlarged prostate is classic for **Benign Prostatic Hyperplasia (BPH)** [4]. A stable PSA of 6 ng/mL (mildly elevated but unchanged over a year) further supports a benign process rather than malignancy [1]. **Why Finasteride is correct:** BPH is driven by **Dihydrotestosterone (DHT)**, which is synthesized from testosterone by the enzyme **5α-reductase (Type 2)** in prostatic stromal cells [2]. **Finasteride** is a 5α-reductase inhibitor that blocks this conversion, leading to a reduction in DHT levels [1]. This results in the shrinkage of the prostatic glandular tissue, improvement in urine flow, and a reduction in the long-term risk of acute urinary retention [1]. **Why other options are incorrect:** * **Estrogen:** While estrogens may play a synergistic role in BPH pathogenesis by increasing androgen receptor expression, they are not a standard treatment and can cause feminizing side effects. * **Mitoxantrone:** This is a cytotoxic chemotherapy agent used for metastatic hormone-refractory prostate cancer, not for benign hyperplasia. * **Nitrofurantoin:** This is an antibiotic used to treat urinary tract infections (UTIs). While BPH predisposes patients to UTIs due to stasis, it does not treat the underlying prostatic enlargement [1]. **High-Yield Clinical Pearls for NEET-PG:** * **Anatomical Site:** BPH primarily involves the **Transition Zone** (periurethral), whereas Prostate Cancer typically arises in the **Peripheral Zone** [2]. * **PSA and Finasteride:** Finasteride typically **halves (reduces by 50%)** the serum PSA level after 6 months of use. This must be factored in when screening for prostate cancer. * **Microscopy:** Characterized by hyperplasia of both **glandular and stromal** elements [3]. * **First-line Medical Management:** Often involves **α1-adrenoceptor antagonists** (e.g., Tamsulosin) for rapid symptomatic relief by relaxing smooth muscle [1]. Finasteride is added for mechanical reduction of prostate size. **References:** [1] Cross SS. Underwood's Pathology: A Clinical Approach. 6th ed. Common Clinical Problems From Diseases Of The Urinary And Male Genital Tracts, pp. 499-500. [2] Kumar V, Abbas AK, et al.. Robbins and Cotran Pathologic Basis of Disease. 9th ed. The Lower Urinary Tract and Male Genital System, pp. 986-988. [3] Cross SS. Underwood's Pathology: A Clinical Approach. 6th ed. Common Clinical Problems From Diseases Of The Urinary And Male Genital Tracts, pp. 498-499. [4] Cross SS. Underwood's Pathology: A Clinical Approach. 6th ed. Common Clinical Problems From Diseases Of The Urinary And Male Genital Tracts, pp. 490-491.
Explanation: **Explanation:** In germ cell tumors (GCTs), the production of tumor markers and hormones depends on the direction of differentiation. **Why Dysgerminoma is the Correct Answer:** **Dysgerminoma** (and its male counterpart, **Seminoma**) is composed of primitive, undifferentiated germ cells. Because these cells have not differentiated into specialized tissues (like syncytiotrophoblasts or yolk sac elements), they are characteristically **non-secretory** [1]. While a small percentage of dysgerminomas may contain scattered syncytiotrophoblastic giant cells that produce mild elevations of hCG, the classic "pure" dysgerminoma is the exception among GCTs as it does not typically secrete hormones [1], [2]. **Analysis of Other Options:** * **Choriocarcinoma:** This is a highly malignant tumor differentiating toward trophoblastic tissue. It characteristically secretes very high levels of **beta-hCG** (human chorionic gonadotropin), which is essential for its diagnosis and monitoring [3]. * **Seminoma:** While Seminoma is the histological equivalent of Dysgerminoma, the question asks for the "exception for secreting hormones." In the context of standard pathology exams, Dysgerminoma is the classic answer cited for being hormonally inert, whereas Seminomas are more frequently associated with elevated **LDH** (though LDH is an enzyme, not a hormone) [4]. However, since Dysgerminoma is the specific female counterpart often tested this way, and Choriocarcinoma is a potent secretor, Dysgerminoma stands out as the primary exception. **High-Yield Clinical Pearls for NEET-PG:** * **Dysgerminoma:** Most common malignant germ cell tumor in females; associated with **Turner Syndrome (45,XO)** and **Gonadal Dysgenesis** [1]. * **Tumor Markers:** * **Yolk Sac Tumor:** Alpha-fetoprotein (AFP) and Schiller-Duval bodies. * **Choriocarcinoma:** beta-hCG [3]. * **Dysgerminoma:** LDH (marker of tumor burden, not a hormone). * **Radiosensitivity:** Both Seminoma and Dysgerminoma are exquisitely radiosensitive [2]. **References:** [1] Kumar V, Abbas AK, et al.. Robbins and Cotran Pathologic Basis of Disease. 9th ed. The Female Genital Tract, pp. 1034-1035. [2] Cross SS. Underwood's Pathology: A Clinical Approach. 6th ed. Common Clinical Problems From Female Genital Tract Disease, pp. 480-481. [3] Kumar V, Abbas AK, et al.. Robbins and Cotran Pathologic Basis of Disease. 9th ed. The Female Genital Tract, pp. 1035-1036. [4] Kumar V, Abbas AK, et al.. Robbins and Cotran Pathologic Basis of Disease. 9th ed. The Lower Urinary Tract and Male Genital System, pp. 980-982.
Explanation: ***Genomic integration of HPV sequences*** - **Genomic integration of HPV DNA** into host cell chromosomes is the key molecular event underlying **cervical intraepithelial neoplasia (CIN)** detected in cone biopsies following positive Pap smears. - This integration disrupts normal cellular growth control mechanisms, leading to the **dysplastic changes** characteristic of precancerous cervical lesions without invasion. *Local invasion* - Local invasion indicates **invasive cervical carcinoma**, which would present with deeper tissue penetration beyond the epithelium. - A cone biopsy showing invasion would require more aggressive treatment than the **precancerous CIN lesions** typically found after positive Pap smears. *Penetration of the basement membrane* - **Basement membrane breach** defines the transition from **carcinoma in situ** to **invasive carcinoma**, representing advanced disease. - CIN lesions detected by cone biopsy characteristically remain **confined above the basement membrane**, maintaining the epithelial boundary. *Lymphatic spread* - **Lymphatic dissemination** occurs only in **invasive cervical carcinoma** when tumor cells have breached tissue barriers. - Cone biopsy findings in a young woman with positive Pap smear typically reveal **localized dysplastic changes** without metastatic potential.
Explanation: ### Explanation **Krukenberg tumour** is a metastatic signet ring cell carcinoma of the ovary, most commonly originating from a primary site in the **stomach** (diffuse type gastric adenocarcinoma) [1], followed by the colon or breast. #### Why the Correct Answer is Right: The diagnosis is based on three classic features described in the question: 1. **Bilateral involvement:** Approximately 80% of Krukenberg tumours are bilateral. 2. **Gross appearance:** They typically present as large, solid masses with smooth, bosselated surfaces (unlike primary ovarian cancers which are often irregular or cystic). 3. **Microscopy:** The hallmark is the **signet ring cell**—mucin-filled cells that displace the nucleus to the periphery [1]. These cells are embedded within a dense, reactive fibroblastic stroma (desmoplasia). #### Why Other Options are Wrong: * **Dysgerminoma:** This is a germ cell tumour (the female counterpart of seminoma). While it can be bilateral (10-15%), microscopy shows large, clear cells with central nuclei and lymphocytic infiltration, not signet ring cells. * **Primary Adenocarcinoma of the Ovaries:** These are usually unilateral (if epithelial) and lack the characteristic signet ring morphology. They typically show glandular or papillary patterns. * **Epithelial Ovarian Tumours:** This is a broad category (e.g., Serous, Mucinous). While mucinous cystadenocarcinomas contain mucin, they are usually cystic, often unilateral, and do not show the diffuse signet ring infiltration seen in Krukenberg tumours. #### NEET-PG High-Yield Pearls: * **Most common primary site:** Stomach (Pylorus). * **Route of spread:** Traditionally thought to be transcoelomic (seeding), but recent evidence suggests **lymphatic spread** is more likely. * **Histology stain:** Signet ring cells are positive for **PAS (Periodic Acid-Schiff)** and **Mucicarmine** due to intracellular mucin [1]. * **Clinical Note:** Always perform an upper GI endoscopy in a patient with bilateral ovarian masses to rule out a primary gastric malignancy. **References:** [1] Kumar V, Abbas AK, et al.. Robbins and Cotran Pathologic Basis of Disease. 9th ed. The Gastrointestinal Tract, p. 779.
Explanation: **Explanation:** The correct answer is **Complete molar pregnancy**. **Underlying Medical Concept:** The **p57 protein** (encoded by the *CDKN1C* gene) is a cyclin-dependent kinase inhibitor that is **paternally imprinted** and **maternally expressed**. This means the gene is normally active only on the maternal allele. * **Complete Hydatidiform Mole (CHM):** These are androgenetic (usually 46,XX), containing only paternal chromosomes [1]. Since the maternal allele is absent, the p57 protein is not produced. Therefore, CHM shows **negative (absent) p57 immunostaining** in the cytotrophoblasts and villous stroma. * **Partial Hydatidiform Mole (PHM):** These are triploid (usually 69,XXY), containing a maternal set of chromosomes [2]. Thus, p57 expression is **positive**. **Analysis of Incorrect Options:** * **A & B (Ectopic and Normal Pregnancy):** Both contain maternal genetic material; therefore, p57 staining will be **positive**. * **D (Missed Abortion):** Hydropic changes in a spontaneous abortion can mimic a mole morphologically, but because maternal DNA is present, p57 staining remains **positive** [4]. **NEET-PG High-Yield Pearls:** 1. **p57 is the "Gold Standard"** IHC marker to differentiate Complete Mole (Negative) from Partial Mole and Hydropic Abortions (Positive). 2. **Genetics:** Complete Mole = 46,XX (all paternal); Partial Mole = 69,XXY (maternal + paternal) [2]. 3. **Risk of Choriocarcinoma:** Significantly higher in Complete Moles (~2%) compared to Partial Moles (negligible) [2]. 4. **Morphology:** "Snowstorm appearance" on USG and "Bunch of grapes" appearance grossly are classic for molar pregnancies [3]. **References:** [1] Kumar V, Abbas AK, et al.. Robbins and Cotran Pathologic Basis of Disease. 9th ed. The Female Genital Tract, pp. 1043-1044. [2] Kumar V, Abbas AK, et al.. Robbins and Cotran Pathologic Basis of Disease. 9th ed. The Female Genital Tract, p. 1044. [3] Kumar V, Abbas AK, et al.. Robbins and Cotran Pathologic Basis of Disease. 9th ed. The Female Genital Tract, pp. 1044-1046. [4] Cross SS. Underwood's Pathology: A Clinical Approach. 6th ed. Common Clinical Problems From Female Genital Tract Disease, pp. 482-484.
Explanation: The **Gleason Scoring System** is the gold standard for grading **Prostate Adenocarcinoma** [1]. Unlike many other grading systems that rely on nuclear atypia, the Gleason system is based entirely on the **architectural pattern** of the tumor glands under low-power magnification [1]. ### Why Prostate Cancer is Correct: The Gleason score is calculated by adding the primary (most predominant) pattern and the secondary (second most predominant) pattern. Each pattern is graded from 1 to 5 [1]: * **Grade 1:** Uniform, discrete, closely packed small glands. * **Grade 5:** No gland formation; solid sheets, cords, or single infiltrating cells. * **Calculation:** A Gleason score of $3+4=7$ has a better prognosis than $4+3=7$ because the primary pattern is less aggressive [1]. ### Why Other Options are Incorrect: * **Transitional Cell Carcinoma (Urothelial):** Graded using the **WHO/ISUP classification**, which categorizes tumors as Papillary Urothelial Neoplasm of Low Malignant Potential (PUNLMP), Low-grade, or High-grade. * **Penile Cancer:** Most commonly Squamous Cell Carcinoma (SCC), graded using the **Broders’ system** based on the degree of cellular differentiation and keratinization. * **Anal Cancer:** Also typically SCC; staging is more clinically significant than a specific named grading score like Gleason. ### High-Yield Clinical Pearls for NEET-PG: * **Gleason Grade Groups (ISUP 2014):** Modern pathology now groups scores into five categories (Group 1: $\leq 6$; Group 2: $3+4=7$; Group 3: $4+3=7$; Group 4: $8$; Group 5: $9-10$) to better predict clinical outcomes [1]. * **Prostate Biopsy:** Usually performed via **TRUS-guided** (Transrectal Ultrasound) needle biopsy. * **Metastasis:** Prostate cancer characteristically spreads to the bone (lumbar spine), producing **osteoblastic** (radio-opaque) lesions [1]. **References:** [1] Kumar V, Abbas AK, et al.. Robbins and Cotran Pathologic Basis of Disease. 9th ed. The Lower Urinary Tract and Male Genital System, pp. 989-994.
Explanation: The key to solving this question lies in understanding the relationship between **chorionicity** and **zygosity** in twin pregnancies. [1] ### 1. Why Patient D is Correct **Monochorionic diamniotic (MCDA)** placentation occurs only when a single fertilized ovum (monozygotic) splits between days 4 and 8 of development. [1] Because a single placenta (monochorionic) cannot be formed by two separate fertilizations, Patient D **unquestionably** gave birth to identical twins. In medical exams, "Monochorionic" is synonymous with "Monozygotic." [1] ### 2. Analysis of Incorrect Options * **Patient A & B (Dichorionic Diamniotic):** DCDA placentas can occur in both fraternal (dizygotic) and identical (monozygotic) twins. If the zygote splits early (within the first 3 days), it results in DCDA placentation. [1] Therefore, while these *could* be identical, it is not "unquestionable" as they are more commonly fraternal. Note: Fused placentas (Patient A) are simply two separate placentas that grew close together; they remain functionally dichorionic. [1] * **Patient C (Circumvallate Placenta):** This is a morphological abnormality where the fetal membranes "double back" over the edge of the placenta. [2] It is associated with placental abruption and growth restriction but has no inherent link to twinning or zygosity. ### 3. High-Yield Clinical Pearls for NEET-PG * **The "Twin Peak" (Lambda) Sign:** Seen on ultrasound in **Dichorionic** pregnancies. * **The "T-sign":** Seen on ultrasound in **Monochorionic** pregnancies (thin membrane). * **Timing of Split:** * Days 0–3: Dichorionic Diamniotic (DCDA) * Days 4–8: Monochorionic Diamniotic (MCDA) — *Most common monozygotic type.* * Days 8–13: Monochorionic Monoamniotic (MCMA) * After Day 13: Conjoined twins. * **Rule of Thumb:** All monochorionic twins are monozygotic, but not all monozygotic twins are monochorionic. [1] **References:** [1] Kumar V, Abbas AK, et al.. Robbins and Cotran Pathologic Basis of Disease. 9th ed. The Female Genital Tract, pp. 1040-1041. [2] Cross SS. Underwood's Pathology: A Clinical Approach. 6th ed. Common Clinical Problems From Female Genital Tract Disease, pp. 484-485.
Explanation: **Explanation:** Serum tumor markers play a pivotal role in the diagnosis, staging, and monitoring of germ cell tumors (GCTs). **Beta-hCG (Human Chorionic Gonadotropin)** is a glycoprotein normally produced by syncytiotrophoblasts [1]. In the context of testicular pathology, it is the most sensitive marker for **Choriocarcinoma** (where it is always elevated) and is also elevated in approximately 15% of pure **Seminomas** containing syncytiotrophoblastic giant cells [2]. **Analysis of Options:** * **Beta-hCG (Correct):** Essential for monitoring treatment response and recurrence in GCTs [1]. * **Acid Phosphatase (B):** Historically used as a marker for **Prostate Cancer** (specifically Prostatic Acid Phosphatase), but has largely been replaced by PSA (Prostate-Specific Antigen). * **Alkaline Phosphatase (C):** While the *Placental-like* isoform (PLAP) is a marker for Seminoma [2], general Alkaline Phosphatase is non-specific and typically associated with bone or liver pathologies. * **Alpha-fetoprotein (D):** While AFP is indeed a marker for testicular tumors (specifically **Yolk Sac Tumors**), it is **never** elevated in pure Seminomas [2]. In the context of this specific question format, Beta-hCG is often the prioritized classic answer, though both A and D are technically markers. *Note: In many exams, if both are present, Beta-hCG is favored due to its association with multiple GCT subtypes.* **High-Yield Clinical Pearls for NEET-PG:** 1. **Yolk Sac Tumor:** Characterized by elevated **AFP** and Schiller-Duval bodies. 2. **Seminoma:** Most common testicular tumor; **PLAP** is the most specific marker [2]. **AFP is always normal.** 3. **LDH (Lactate Dehydrogenase):** Used as a marker for tumor burden and bulk in testicular cancers, though it is non-specific. 4. **Rule of Thumb:** Any elevation of AFP in a patient with a "Seminoma" biopsy means there is a hidden non-seminomatous component (Mixed GCT) [1]. **References:** [1] Cross SS. Underwood's Pathology: A Clinical Approach. 6th ed. Common Clinical Problems From Diseases Of The Urinary And Male Genital Tracts, pp. 512-513. [2] Kumar V, Abbas AK, et al.. Robbins and Cotran Pathologic Basis of Disease. 9th ed. The Lower Urinary Tract and Male Genital System, pp. 979-982.
Explanation: **Explanation:** **Seminoma** is the most common germ cell tumor (GCT) of the testis, typically occurring in the 3rd to 4th decades of life. Understanding its classic histology is crucial for NEET-PG. **Why Gland Formation is the Correct Answer:** Gland formation is **not** a feature of seminoma. Seminomas are characterized by a **solid, sheet-like growth pattern** of cells [1]. The presence of glands, acini, or papillary structures points toward a diagnosis of **Embryonal Carcinoma** or Yolk Sac Tumor, which are non-seminomatous germ cell tumors (NSGCTs) [1]. **Analysis of Incorrect Options:** * **Lymphocytic Infiltration:** This is a hallmark feature. The tumor is divided into lobules by delicate fibrous septa, which are characteristically infiltrated by T-lymphocytes [2]. Granulomatous reactions may also be seen [2]. * **Monomorphic Cells:** Seminoma cells are remarkably uniform (monomorphic). They are large, round-to-polyhedral cells with distinct cell membranes, clear cytoplasm (rich in glycogen), and large central nuclei with prominent nucleoli [2]. * **Destruction of Seminiferous Tubules:** As the tumor grows, it aggressively invades and replaces the normal testicular parenchyma, leading to the destruction of the seminiferous tubules. **High-Yield Clinical Pearls for NEET-PG:** * **Marker:** The most specific marker for Seminoma is **PLAP** (Placental-like Alkaline Phosphatase). **c-KIT (CD117)** and **OCT4** are also positive [2]. * **Biochemical Note:** Unlike NSGCTs, pure seminomas typically have **normal AFP** levels. HCG may be mildly elevated if syncytiotrophoblastic giant cells are present [2]. * **Radiosensitivity:** Seminomas are highly radiosensitive and have an excellent prognosis. * **Female Counterpart:** The ovarian equivalent of a seminoma is the **Dysgerminoma** [3]. **References:** [1] Kumar V, Abbas AK, et al.. Robbins and Cotran Pathologic Basis of Disease. 9th ed. The Lower Urinary Tract and Male Genital System, pp. 979-980. [2] Kumar V, Abbas AK, et al.. Robbins and Cotran Pathologic Basis of Disease. 9th ed. The Lower Urinary Tract and Male Genital System, pp. 980-982. [3] Kumar V, Abbas AK, et al.. Robbins and Cotran Pathologic Basis of Disease. 9th ed. The Endocrine System, pp. 1140-1141.
Explanation: **Explanation:** The correct answer is **Seminoma**. While human chorionic gonadotropin (hCG) is a classic marker for germ cell tumors (GCTs), its elevation depends on the presence of specific cell types. 1. **Why Seminoma is the correct answer:** Pure Seminomas typically do not produce hCG [2]. However, in approximately 10–15% of cases, Seminomas may contain **syncytiotrophoblastic giant cells**, which can cause a mild elevation in serum hCG [3]. Despite this, among the options provided, Seminoma is the least likely to be associated with significantly raised hCG compared to non-seminomatous germ cell tumors (NSGCTs). 2. **Why the other options are incorrect:** * **Embryonal Carcinoma:** This is a highly aggressive NSGCT. It frequently shows elevation of both **hCG and Alpha-Fetoprotein (AFP)** because it often contains primitive pleomorphic cells and syncytiotrophoblastic elements [1]. * **Yolk Sac Tumor & Endodermal Sinus Tumor:** These are two names for the same entity. While the hallmark marker for Yolk Sac tumors is **AFP**, they are frequently part of "Mixed Germ Cell Tumors" [1]. In the context of NEET-PG questions, if a tumor is mixed or contains syncytiotrophoblastic components, hCG will be elevated. (Note: In a "pure" Yolk Sac tumor, AFP is the primary marker, but in clinical practice and exams, NSGCTs are often grouped as hCG-producers). **High-Yield Clinical Pearls for NEET-PG:** * **Choriocarcinoma:** Always produces extremely high levels of **hCG** (100% of cases) [4]. * **Yolk Sac Tumor:** Characterized by **Schiller-Duval bodies** and elevated **AFP**. * **Seminoma:** Most common testicular tumor; markers are usually negative, but **LDH** can be used to monitor tumor burden. * **Rule of Thumb:** If AFP is elevated, it is **never** a pure Seminoma; it must be a Non-Seminomatous Germ Cell Tumor [3]. **References:** [1] Cross SS. Underwood's Pathology: A Clinical Approach. 6th ed. Common Clinical Problems From Diseases Of The Urinary And Male Genital Tracts, pp. 512-513. [2] Kumar V, Abbas AK, et al.. Robbins and Cotran Pathologic Basis of Disease. 9th ed. The Lower Urinary Tract and Male Genital System, pp. 979-980. [3] Kumar V, Abbas AK, et al.. Robbins and Cotran Pathologic Basis of Disease. 9th ed. The Lower Urinary Tract and Male Genital System, pp. 980-982. [4] Kumar V, Abbas AK, et al.. Robbins and Cotran Pathologic Basis of Disease. 9th ed. The Lower Urinary Tract and Male Genital System, p. 982.
Diseases of Male Genital Tract
Practice Questions
Testicular Tumors
Practice Questions
Prostate Pathology
Practice Questions
Diseases of Female Genital Tract
Practice Questions
Cervical Pathology and Neoplasia
Practice Questions
Endometrial Pathology
Practice Questions
Ovarian Diseases and Tumors
Practice Questions
Gestational Trophoblastic Disease
Practice Questions
Placental Pathology
Practice Questions
Sexually Transmitted Infections
Practice Questions
Get full access to all questions, explanations, and performance tracking.
Start For Free