Mallory hyaline is seen in all the following conditions except:
Centrilobular necrosis in the liver is due to which of the following conditions?
Acetaminophen poisoning causes which of the following changes in the liver?
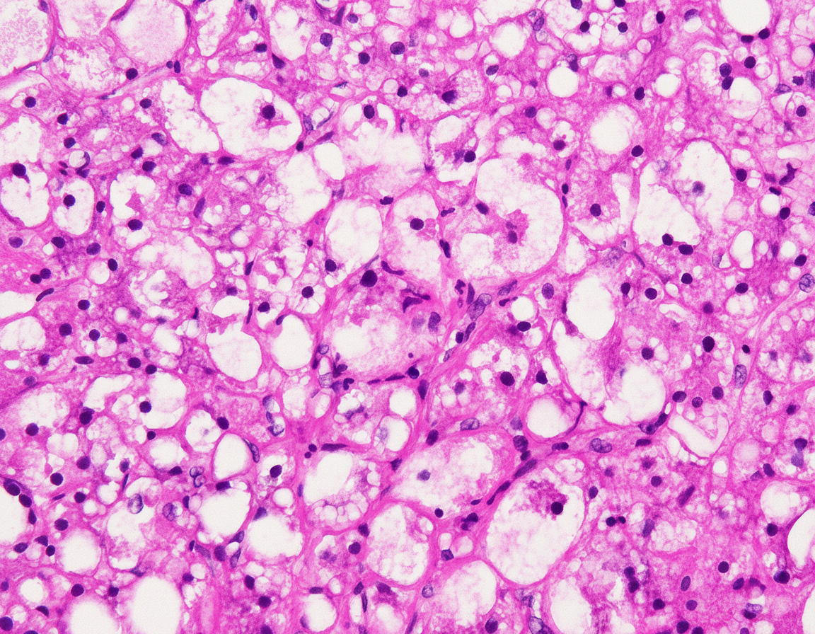
A 45-year-old male with a history of chronic alcoholism presented with pain in the abdomen. Ultrasound suggested fatty liver. A liver biopsy was performed and is shown below. What is your interpretation and likely diagnosis?

Which of the following is the inheritance pattern of Caroli's syndrome?
Strawberry gallbladder is a condition characterized by which of the following findings?
More than 80% of gallstones are composed of which of the following substances?
Which of the following conditions is associated with Hepatitis B?
Centrilobular necrosis of the liver is typically associated with which of the following agents?
Anti-LKM antibodies are a series of autoantibodies directed against enzymes in the endoplasmic reticulum of hepatocytes and other cells that are mainly associated with various liver diseases. Which of the following statements about LKM antibodies is FALSE?
Explanation: **Explanation:** **Mallory-Denk bodies (Mallory Hyaline)** are eosinophilic, rope-like intracytoplasmic inclusions found within hepatocytes. They are composed of tangled intermediate filaments, specifically **Cytokeratin 8 and 18**, ubiquitinated proteins, and heat shock proteins. **Why Neonatal Hepatitis is the correct answer:** Neonatal hepatitis is characterized by giant cell transformation of hepatocytes, cholestasis, and inflammation, but it **does not** typically feature the formation of Mallory hyaline [2]. The presence of Mallory bodies usually signifies chronic oxidative stress or toxic injury to the hepatocyte cytoskeleton, which is not a hallmark of neonatal hepatitis. **Analysis of Incorrect Options:** * **Alcoholic Liver Disease (ALD):** This is the classic association [1]. Mallory hyaline is a hallmark of alcoholic steatohepatitis, though it is not pathognomonic. * **Indian Childhood Cirrhosis (ICC):** This condition is characterized by massive copper deposition and extensive Mallory hyaline formation, often more abundant than in ALD. * **Hepatocellular Carcinoma (HCC):** Mallory bodies are frequently seen in the malignant hepatocytes of HCC, as well as in Wilson’s disease and Non-alcoholic steatohepatitis (NASH) [1]. **NEET-PG High-Yield Pearls:** * **Composition:** Primarily Cytokeratin 8/18 (Intermediate filaments). * **Staining:** They appear bright pink on H&E stain and can be highlighted using **Ubiquitin** immunohistochemical stains. * **Mnemonic (Conditions with Mallory Hyaline): "WITCH"** * **W**ilson’s disease [1] * **I**ndian childhood cirrhosis * **T**oxic (Alcoholic) hepatitis [1] * **C**hronic cholestatic disorders (e.g., Primary Biliary Cholangitis) * **H**epatocellular carcinoma / **H**epatosteatosis (NASH) [1] **References:** [1] Kumar V, Abbas AK, et al.. Robbins and Cotran Pathologic Basis of Disease. 9th ed. Liver and Gallbladder, pp. 852-854. [2] Kumar V, Abbas AK, et al.. Robbins and Cotran Pathologic Basis of Disease. 9th ed. Liver and Gallbladder, pp. 862-864.
Explanation: **Explanation:** The liver lobule is divided into three zones based on oxygenation and metabolic activity. **Zone 3 (Centrilobular area)** surrounds the central vein and is the most susceptible to injury because it receives the least oxygenated blood and contains the highest concentration of cytochrome P450 enzymes [1]. **Why Yellow Fever is the correct answer:** Yellow fever is a classic cause of **mid-zonal necrosis (Zone 2)**; however, in severe cases, the necrosis typically extends to involve the **centrilobular (Zone 3)** area. A hallmark finding in Yellow Fever is the presence of **Councilman bodies** (apoptotic hepatocytes). While it is uniquely associated with Zone 2, in the context of standard pathology exams like NEET-PG, it is frequently grouped with conditions causing centrilobular damage due to the progression of the viral insult. **Analysis of Incorrect Options:** * **Halothane:** Primarily causes **massive hepatic necrosis** or diffuse necrosis rather than isolated centrilobular patterns, though it can start in Zone 3 due to metabolite activation. * **Chronic Venous Congestion (CVC):** Leads to the "Nutmeg Liver" appearance. While it causes centrilobular congestion and atrophy, the primary pathological process is pressure-induced rather than pure necrotic insult, though severe CVC can lead to centrilobular necrosis (cardiac sclerosis) [1]. * **Hemorrhagic Shock:** Typically results in **centrilobular ischemic necrosis** (Ischemic hepatitis) [2]. However, in many standardized MCQ banks, Yellow Fever is the preferred "textbook" answer for specific viral-induced centrilobular/mid-zonal patterns. **High-Yield Pearls for NEET-PG:** * **Zone 1 (Periportal):** Affected by Phosphorus poisoning, Eclampsia, and Iron toxicity. * **Zone 2 (Mid-zonal):** Classically **Yellow Fever**. * **Zone 3 (Centrilobular):** Affected by Ischemia (Shock), Right Heart Failure, Acetaminophen (Paracetamol) toxicity, and Carbon Tetrachloride ($CCl_4$) [1]. * **Councilman Bodies:** Eosinophilic remnants of apoptotic hepatocytes seen in Yellow Fever and Viral Hepatitis. **References:** [1] Kumar V, Abbas AK, et al.. Robbins and Cotran Pathologic Basis of Disease. 9th ed. Liver and Gallbladder, pp. 828-832. [2] Kumar V, Abbas AK, et al.. Robbins and Cotran Pathologic Basis of Disease. 9th ed. Liver and Gallbladder, pp. 870-872.
Explanation: **Explanation:** Acetaminophen (Paracetamol) toxicity is a classic cause of **Centrilobular (Zone 3) Necrosis** [1]. **1. Why Option A is Correct:** Acetaminophen is metabolized in the liver primarily by conjugation. However, in overdose, these pathways are saturated, and the drug is processed by the **Cytochrome P450 system** (specifically CYP2E1) into a highly reactive toxic metabolite called **NAPQI** (*N-acetyl-p-benzoquinone imine*). * **Zone 3 (Centrilobular area)** has the highest concentration of CYP450 enzymes and the lowest oxygen tension [1]. * NAPQI depletes glutathione stores, leading to oxidative stress and hepatocyte death specifically in this region. **2. Why Other Options are Incorrect:** * **B. Microvesicular fatty infiltration:** This is characteristic of **Reye’s Syndrome**, Acute Fatty Liver of Pregnancy, or Valproate toxicity, not acetaminophen. * **C. Cholestasis:** This involves impaired bile flow (e.g., primary biliary cholangitis or drug-induced like anabolic steroids). Acetaminophen causes acute hepatocellular death rather than biliary obstruction. * **D. Periportal inflammation:** Zone 1 (Periportal) is typically affected by toxins that do not require metabolic activation (e.g., Phosphorus) or viral hepatitis. Acetaminophen spares this zone initially because it has lower P450 activity. **3. NEET-PG High-Yield Pearls:** * **Antidote:** **N-acetylcysteine (NAC)**, which replenishes glutathione stores. * **Histology:** Look for "confluent necrosis" starting in Zone 3 [1]. * **Alcohol Connection:** Chronic alcoholics are at higher risk because alcohol induces CYP2E1, leading to faster production of toxic NAPQI even at lower doses. * **Most common cause** of drug-induced acute liver failure (ALF) worldwide [1]. **References:** [1] Kumar V, Abbas AK, et al.. Robbins and Cotran Pathologic Basis of Disease. 9th ed. Liver and Gallbladder, p. 832.
Explanation: ***Macrovesicular steatosis, Alcoholic liver disease*** - **Macrovesicular steatosis** is characterized by large fat vacuoles that displace the hepatocyte nucleus to the periphery, consistent with chronic alcohol consumption. - The **clinical history of chronic alcoholism** combined with **fatty liver on ultrasound** strongly supports alcoholic liver disease as the underlying etiology. *Lymphocytic infiltrate, Hepatitis C* - **Chronic hepatitis C** typically shows **portal lymphocytic infiltration** with **interface hepatitis** and **piecemeal necrosis**, not fat accumulation. - The **absence of viral hepatitis symptoms** and presence of **steatosis** makes this diagnosis unlikely in this clinical context. *Neutrophilic infiltrate, Hepatitis B* - **Acute hepatitis B** presents with **neutrophilic infiltration**, **hepatocyte necrosis**, and **ballooning degeneration**, not fatty changes. - **Chronic HBV infection** shows **ground glass hepatocytes** and **lymphocytic portal inflammation**, which differs from the described steatotic pattern. *Squamous pearls, Metastasis* - **Squamous pearls** are pathognomonic for **squamous cell carcinoma** and indicate **keratinization**, not seen in liver metastases from hepatocellular origin. - **Hepatic metastases** typically show **tumor cell clusters** with **desmoplastic reaction**, completely different from the fatty infiltration pattern described.
Explanation: **Explanation:** **Caroli’s disease** is a rare congenital disorder characterized by multifocal segmental dilatation of the large intrahepatic bile ducts. When this condition is associated with **congenital hepatic fibrosis**, it is termed **Caroli’s syndrome**. 1. **Why Autosomal Recessive is correct:** Caroli’s syndrome is inherited in an **autosomal recessive** pattern [1]. It is frequently associated with **Autosomal Recessive Polycystic Kidney Disease (ARPKD)** [3]. Both conditions result from mutations in the *PKHD1* gene, which encodes the protein **fibrocystin** [1]. This protein is essential for the normal development of the primary cilia in the epithelial cells of the bile ducts and renal tubules (making it a "ciliopathy") [1]. 2. **Why other options are incorrect:** * **Autosomal Dominant:** While Autosomal Dominant Polycystic Kidney Disease (ADPKD) is common, it is typically associated with liver cysts rather than the ductal plate malformations seen in Caroli’s syndrome [2]. * **X-linked patterns:** There is no documented X-linked inheritance for Caroli’s syndrome; it affects males and females equally and follows Mendelian recessive inheritance. **High-Yield Clinical Pearls for NEET-PG:** * **Ductal Plate Malformation:** The underlying developmental pathology in Caroli’s syndrome. * **Clinical Presentation:** Recurrent bouts of bacterial cholangitis, hepatolithiasis, and signs of portal hypertension (due to hepatic fibrosis). * **Imaging Hallmark:** The **"Central Dot Sign"** on CT/MRI, representing small portal vessels surrounded by dilated bile ducts. * **Complication:** Increased risk of **cholangiocarcinoma** (approximately 7% risk). **References:** [1] Kumar V, Abbas AK, et al.. Robbins and Cotran Pathologic Basis of Disease. 9th ed. The Kidney, pp. 952-953. [2] Kumar V, Abbas AK, et al.. Robbins and Cotran Pathologic Basis of Disease. 9th ed. The Kidney, pp. 950-951. [3] Cross SS. Underwood's Pathology: A Clinical Approach. 6th ed. Common Clinical Problems From Diseases Of The Urinary And Male Genital Tracts, pp. 544-545.
Explanation: **Explanation:** **Strawberry Gallbladder (Cholesterosis)** is a common, usually asymptomatic condition characterized by the accumulation of cholesterol-laden macrophages (foam cells) within the lamina propria of the gallbladder wall. 1. **Why Cholesterosis is correct:** The term "Strawberry Gallbladder" is a gross descriptive term. The yellow specks of cholesterol deposits against the background of a hyperemic (reddened) gallbladder mucosa resemble the seeds and skin of a strawberry. It is caused by an imbalance in the secretion of cholesterol and bile salts, leading to the focal accumulation of cholesterol esters. 2. **Why other options are incorrect:** * **Emphysematous Cholecystitis:** This is a severe form of acute cholecystitis caused by gas-forming organisms (e.g., *Clostridium perfringens*). It is characterized by gas in the gallbladder wall/lumen, not cholesterol deposits. * **Mucocoele (Hydrops):** This occurs due to chronic cystic duct obstruction, where the bile is resorbed and replaced by clear, mucinous secretions, leading to a distended, thin-walled gallbladder. * **Gallbladder Polyp:** While cholesterol polyps are a subtype of cholesterosis, the "strawberry" appearance refers specifically to the diffuse mucosal pattern of cholesterosis rather than a solitary neoplastic or inflammatory growth. **High-Yield NEET-PG Pearls:** * **Microscopy:** Look for "Foam cells" (lipid-laden macrophages) in the tips of the mucosal folds (villi). * **Association:** It is **not** necessarily associated with high serum cholesterol levels or gallstones (though stones coexist in ~50% of cases). * **Radiology:** On Ultrasound, cholesterol polyps appear as small, non-shadowing, non-mobile echogenic foci attached to the wall. * **Clinical Significance:** Usually an incidental finding during cholecystectomy; it does not carry a risk of malignancy.
Explanation: **Explanation:** In Western and many developing nations, **Cholesterol stones** are the most common type of gallstones, accounting for more than **80%** of cases [1]. **1. Why Cholesterol is Correct:** Cholesterol is normally rendered soluble in bile by the detergent action of bile salts and phospholipids. Gallstones form when the bile becomes **supersaturated** with cholesterol (lithogenic bile). This occurs due to either excessive cholesterol secretion or a deficiency in bile salts/lecithin. Once supersaturated, cholesterol nucleates into solid crystals, which then aggregate to form stones. **2. Why the other options are incorrect:** * **Bile Pigments (Option A):** These form **Pigment stones** (Black or Brown) [1]. While common in conditions involving chronic hemolysis (e.g., Sickle Cell Anemia) or biliary tract infections, they account for less than 20% of the total gallstone burden. * **Calcium Salts (Option C):** Calcium (as calcium carbonate or bilirubinate) is often a component of mixed stones, but it is rarely the primary constituent. Its presence is significant because it makes stones **radio-opaque** on X-rays. * **Phospholipids (Option D):** Phospholipids (like Lecithin) are actually **solubilizers** of cholesterol [2]. A decrease in phospholipids promotes stone formation, but they are not the primary structural component of the stones themselves. **High-Yield Clinical Pearls for NEET-PG:** * **The "4 F’s" Risk Factors:** Female, Fat, Fertile (multiparity), and Forty [2]. * **Radiology:** 80% of cholesterol stones are **radiolucent** (cannot be seen on X-ray); 20% are radio-opaque due to calcium content. * **Pure Cholesterol Stones:** Usually large, single, and yellowish-white with a crystalline surface. * **Stasis:** Gallbladder stasis (e.g., in pregnancy or rapid weight loss) is a major contributor to stone formation. **References:** [1] Kumar V, Abbas AK, et al.. Robbins and Cotran Pathologic Basis of Disease. 9th ed. Liver and Gallbladder, p. 882. [2] Cross SS. Underwood's Pathology: A Clinical Approach. 6th ed. Common Clinical Problems From Liver And Biliary System Disease, pp. 403-404.
Explanation: **Explanation:** **Correct Answer: C. Polyarteritis nodosa (PAN)** Polyarteritis nodosa is a systemic necrotizing vasculitis of medium and small-sized muscular arteries. Approximately **10% to 30%** of patients with PAN are positive for the **Hepatitis B Surface Antigen (HBsAg)**. The pathogenesis involves the deposition of immune complexes (containing HBsAg and anti-HBs antibodies) in the vessel walls, leading to transmural inflammation and fibrinoid necrosis [1]. This association is a classic "high-yield" link in pathology and internal medicine. **Why the other options are incorrect:** * **A. Wegener’s granulomatosis (GPA):** This is a small-vessel vasculitis characterized by granulomatous inflammation of the respiratory tract and glomerulonephritis. It is strongly associated with **c-ANCA (PR3-ANCA)**, not Hepatitis B [1]. * **B. Systemic Lupus Erythematosus (SLE):** SLE is a multisystem autoimmune disease characterized by antinuclear antibodies (ANA). While viral infections can sometimes trigger flares, there is no specific causal association with Hepatitis B [2]. * **D. Sjogren Syndrome:** This is an autoimmune destruction of exocrine glands (lacrimal and salivary). It is more commonly associated with **Hepatitis C** (which can cause cryoglobulinemia and sicca-like symptoms), but not specifically with Hepatitis B. **Clinical Pearls for NEET-PG:** * **PAN Key Features:** "Rosary sign" or "string of beads" appearance on angiography due to microaneurysms; characteristically **spares the lungs**. * **Hepatitis B Associations:** Apart from PAN, HBV is also associated with **Membranous Nephropathy** (especially in children) [2]. * **Hepatitis C Associations:** Strongly linked with **Mixed Cryoglobulinemia**, Porphyria Cutanea Tarda, and Lichen Planus. **References:** [1] Cross SS. Underwood's Pathology: A Clinical Approach. 6th ed. Common Clinical Problems From Osteoarticular And Connective Tissue Disease, pp. 687-688. [2] Kumar V, Abbas AK, et al.. Robbins and Cotran Pathologic Basis of Disease. 9th ed. The Kidney, pp. 910-911.
Explanation: **Explanation:** **Centrilobular necrosis (Zone 3 necrosis)** refers to damage surrounding the terminal hepatic vein. This area is most susceptible to injury because it has the lowest oxygen tension (farthest from the hepatic artery) and the highest concentration of **Cytochrome P450 enzymes**. **Why Carbon tetrachloride (CCl4) is correct:** CCl4 is the classic example of a direct hepatotoxin. In Zone 3, it is metabolized by the P450 system into the highly reactive **trichloromethyl radical (•CCl3)**. This radical initiates lipid peroxidation of the endoplasmic reticulum membranes, leading to cellular swelling, fatty change, and ultimately, centrilobular necrosis. Other causes of Zone 3 necrosis include paracetamol (acetaminophen) toxicity [1] and congestive heart failure (nutmeg liver) [1]. **Analysis of Incorrect Options:** * **White phosphorus:** Typically causes **Zone 1 (Periportal) necrosis**. This area is the first to encounter blood-borne toxins entering via the portal triad. * **Yellow fever virus:** Characteristically causes **Mid-zonal (Zone 2) necrosis**. A high-yield finding here is the presence of **Councilman bodies** (apoptotic hepatocytes). * **Eclampsia:** Associated with **Periportal (Zone 1) necrosis** and subcapsular hemorrhages, often as part of the HELLP syndrome. **High-Yield Pearls for NEET-PG:** * **Zone 1 (Periportal):** First to receive oxygen; affected by phosphorus, eclampsia, and viral hepatitis. * **Zone 2 (Mid-zonal):** Affected by Yellow fever. * **Zone 3 (Centrilobular):** Most sensitive to ischemia (shock liver) and metabolic toxins (CCl4, Halothane, Rifampicin, and Acetaminophen) [1]. * **Councilman bodies:** Eosinophilic globules representing apoptotic hepatocytes, seen in Yellow fever and Viral hepatitis. **References:** [1] Kumar V, Abbas AK, et al.. Robbins and Cotran Pathologic Basis of Disease. 9th ed. Liver and Gallbladder, pp. 832, 870-872.
Explanation: **Explanation:** Anti-Liver Kidney Microsomal (LKM) antibodies are key serological markers used to differentiate types of autoimmune and drug-induced liver diseases. **Why Option C is the correct (False) statement:** LKM-2 antibodies are specifically associated with **drug-induced hepatitis**, particularly that caused by **Ticrynafen** (a diuretic no longer in use). They are directed against Cytochrome P450 2C9. In contrast, it is **LKM-3** antibodies that are associated with **Chronic Hepatitis D (HDV)** infection (and sometimes Type 2 AIH). Therefore, linking LKM-2 to HDV is pathologically incorrect. **Analysis of other options:** * **Option A & D:** **LKM-1** antibodies are the hallmark of **Type 2 Autoimmune Hepatitis (AIH)** [1]. This condition typically affects children and young women and often progresses to chronic hepatitis and cirrhosis [1]. The target antigen is Cytochrome P450 2D6 [1]. * **Option B:** As mentioned, **LKM-2** is classically linked to drug-induced liver injury (Ticrynafen), making this a true statement. **High-Yield NEET-PG Pearls:** * **AIH Type 1:** Most common; associated with **ANA** (Anti-Nuclear Antibody) and **ASMA** (Anti-Smooth Muscle Antibody) [1]. * **AIH Type 2:** Associated with **Anti-LKM-1** and **Anti-LC1** (Liver Cytosol antigen type 1) [1]. * **LKM-3:** Associated with **Hepatitis D** and 10% of Type 2 AIH cases. * **SLA/LP:** Anti-Soluble Liver Antigen is the most specific marker for AIH [1]. * **Histology:** Look for "Interface Hepatitis" (piecemeal necrosis) and plasma cell infiltrates [1], [2]. **References:** [1] Kumar V, Abbas AK, et al.. Robbins and Cotran Pathologic Basis of Disease. 9th ed. Liver and Gallbladder, pp. 845-846. [2] Kumar V, Abbas AK, et al.. Robbins and Cotran Pathologic Basis of Disease. 9th ed. Liver and Gallbladder, p. 846.
Jaundice and Cholestasis
Practice Questions
Viral Hepatitis
Practice Questions
Alcoholic and Non-alcoholic Fatty Liver Disease
Practice Questions
Drug and Toxin Induced Liver Injury
Practice Questions
Cirrhosis and Its Complications
Practice Questions
Metabolic Liver Diseases
Practice Questions
Liver Tumors
Practice Questions
Gallbladder and Biliary Tract Diseases
Practice Questions
Congenital Liver Diseases
Practice Questions
Liver Transplantation Pathology
Practice Questions
Get full access to all questions, explanations, and performance tracking.
Start For Free