Microvesicular fatty liver is seen in which of the following conditions?
Microvesicular fatty change in hepatocytes is seen due to infection with which of the following viruses?
What is the triad of hemochromatosis?
Which of the following statements is false regarding Focal nodular hyperplasia?
A 50-year-old man presents for a routine physical examination, which demonstrates an enlarged liver. During the visit, he describes memos from his supervisor at work regarding chronic exposure to vinyl chloride. The patient has an elevated risk for which of the following tumors?
Which of the following statements is NOT true regarding α-fetoprotein?
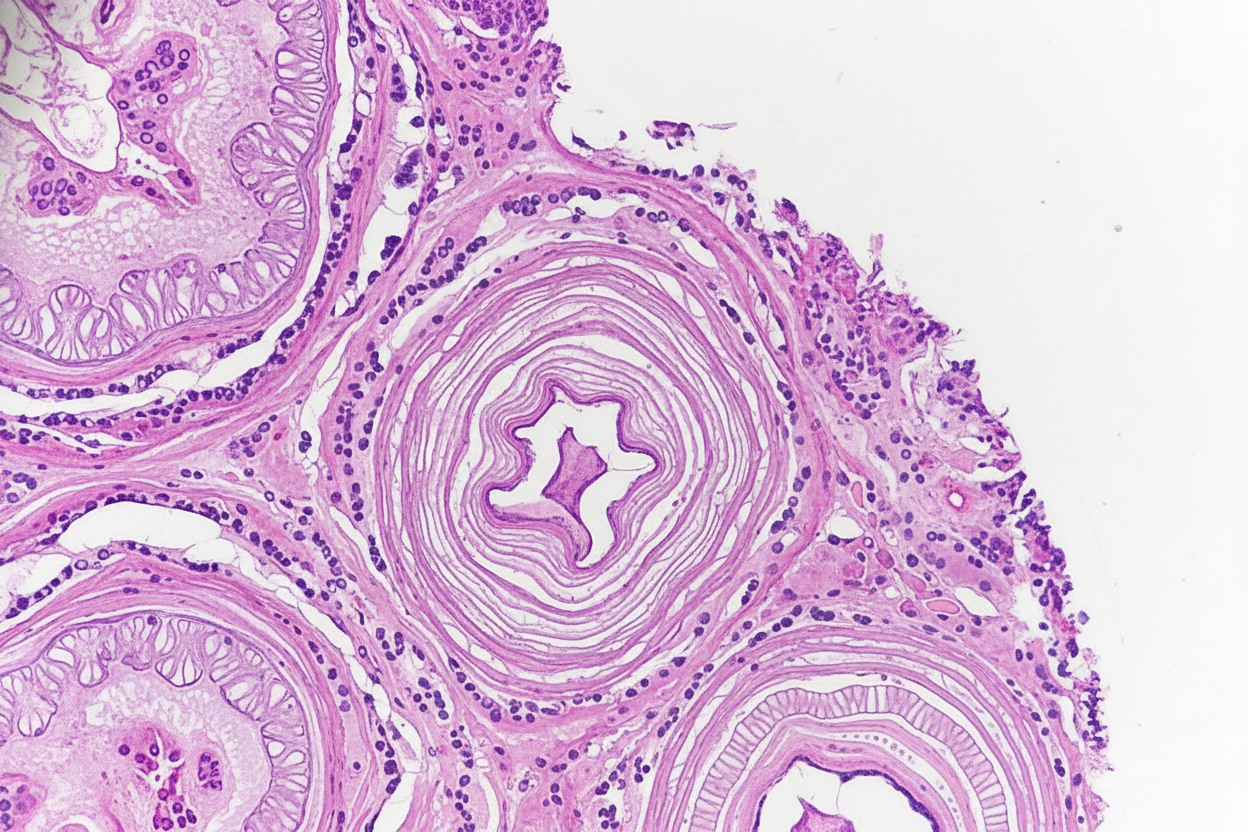
A 25-year-old male presents with jaundice, clay-colored stools, and pruritus. Laboratory investigations reveal a total bilirubin of 7 mg/dL, direct bilirubin of 5 mg/dL, and an ALP of 500 IU/L. A biopsy of the biliary tract shows specific findings. What is your diagnosis?

Hepatocellular carcinoma is associated with infection caused by which virus?
What is the most common malignant mesenchymal tumor of the liver?
In cirrhosis of the liver, which of the following findings is typically NOT seen?
Explanation: **Explanation:** Steatosis (fatty liver) is categorized into **macrovesicular** and **microvesicular** types based on the size of the lipid droplets and the position of the nucleus [1]. **Microvesicular fatty liver** is characterized by the presence of multiple tiny lipid droplets within the cytoplasm of hepatocytes that **do not displace the nucleus** to the periphery. This condition is typically a result of severe mitochondrial dysfunction, leading to the failure of beta-oxidation of fatty acids. * **Reye’s Syndrome:** Classically occurs in children following a viral illness (Influenza or Varicella) treated with Aspirin. It involves mitochondrial damage leading to acute hepatic failure and encephalopathy. * **Drugs (Valproate & Tetracycline):** Both are well-known hepatotoxins that interfere with mitochondrial function. High-dose intravenous tetracycline and valproic acid are classic triggers for microvesicular change. * **Other causes:** Acute Fatty Liver of Pregnancy (AFLP) and Jamaican Vomiting Sickness. **Why "All of the Above" is correct:** Since Valproic acid, Tetracycline, and Reye’s syndrome all share the common pathophysiology of mitochondrial impairment resulting in small-droplet fat accumulation, they are all classic causes of microvesicular steatosis. **High-Yield Clinical Pearls for NEET-PG:** * **Macrovesicular Steatosis:** The most common form; seen in **Alcoholic Liver Disease**, Obesity, and Diabetes Mellitus. The nucleus is pushed to the periphery. * **AFLP (Acute Fatty Liver of Pregnancy):** Occurs in the 3rd trimester; associated with a deficiency of the enzyme **LCHAD** (Long-chain hydroxyacyl-CoA dehydrogenase). * **Stain:** Lipid in fatty liver can be demonstrated on frozen sections using **Oil Red O** or **Sudan Black** stains. **References:** [1] Kumar V, Abbas AK, et al.. Robbins and Cotran Pathologic Basis of Disease. 9th ed. Cellular Responses to Stress and Toxic Insults: Adaptation, Injury, and Death, p. 73.
Explanation: **Explanation:** The correct answer is **Hepatitis D virus (HDV)**. **Why HDV is correct:** Microvesicular steatosis (fatty change) is a characteristic histological feature of **Hepatitis D virus** infection, particularly in severe or fulminant cases [1]. In HDV infection, the accumulation of small fat droplets within the cytoplasm of hepatocytes occurs without displacing the nucleus. This is often attributed to the direct cytopathic effect of the Delta antigen on mitochondrial function, leading to impaired beta-oxidation of fatty acids. **Analysis of Incorrect Options:** * **Hepatitis A (HAV):** Typically presents with lobular inflammation, hepatocyte swelling (ballooning degeneration), and acidophilic (Councilman) bodies. It does not typically cause steatosis. * **Hepatitis B (HBV):** The hallmark histological finding is **"Ground-glass hepatocytes,"** caused by the accumulation of HBsAg in the endoplasmic reticulum. While it causes inflammation, it is not associated with microvesicular fat. * **Hepatitis C (HCV):** HCV is famously associated with **Macrovesicular steatosis** (large fat droplets displacing the nucleus), lymphoid aggregates in portal tracts, and bile duct injury. It does not typically cause microvesicular change. **High-Yield NEET-PG Pearls:** 1. **Microvesicular Steatosis Differential:** Remember the mnemonic **"RASH"**: **R**eye’s syndrome, **A**cute fatty liver of pregnancy, **S**alicylates/Sodium Valproate toxicity, and **H**epatitis D (also HEV in pregnant women) [1]. 2. **HDV Requirement:** HDV is a defective RNA virus that requires the HBsAg coat from HBV for its transmission and replication [1]. 3. **HCV vs. HDV Fat:** If the question mentions "Steatosis" generally, think HCV (Genotype 3). If it specifies "Microvesicular," think HDV. **References:** [1] Kumar V, Abbas AK, et al.. Robbins and Cotran Pathologic Basis of Disease. 9th ed. Liver and Gallbladder, pp. 836-837, 842.
Explanation: **Explanation:** The classic triad of **Hereditary Hemochromatosis** is often referred to as **"Bronze Diabetes."** It consists of **micronodular cirrhosis, diabetes mellitus, and skin pigmentation.** 1. **Micronodular Cirrhosis:** Chronic iron overload leads to the accumulation of hemosiderin in hepatocytes. This triggers lipid peroxidation and collagen formation, resulting in a characteristic micronodular pattern of cirrhosis. [1] 2. **Diabetes Mellitus:** Iron deposition in the endocrine pancreas causes selective destruction of beta cells, leading to secondary insulin-dependent diabetes. [2] 3. **Skin Pigmentation:** The "bronze" appearance results from both increased melanin production and the deposition of hemosiderin in the dermis. **Analysis of Incorrect Options:** * **Option A:** While it includes diabetes and pigmentation, the cirrhosis in hemochromatosis is typically **micronodular** (similar to alcoholic cirrhosis) rather than macronodular. * **Option B:** The triad involves **Diabetes Mellitus** (pancreatic pathology), not Diabetes Insipidus (posterior pituitary/renal pathology). [3] **High-Yield NEET-PG Pearls:** * **Genetics:** Most commonly due to a mutation in the **HFE gene** (C282Y mutation on Chromosome 6). [4] * **Staining:** **Prussian Blue** (Perl’s stain) is used to visualize iron deposits (blue granules). [1] * **Other Features:** Dilated cardiomyopathy, "hook-like" osteophytes in the joints, and hypogonadism (due to pituitary deposition). * **Screening:** Transferrin saturation is the best initial screening test; Ferritin levels are used to monitor iron stores. * **Treatment:** Therapeutic phlebotomy is the mainstay of management. [4] **References:** [1] Kumar V, Abbas AK, et al.. Robbins and Cotran Pathologic Basis of Disease. 9th ed. Liver and Gallbladder, pp. 854-855. [2] Cross SS. Underwood's Pathology: A Clinical Approach. 6th ed. Common Clinical Problems From Liver And Biliary System Disease, pp. 435-436. [3] Cross SS. Underwood's Pathology: A Clinical Approach. 6th ed. (Basic Pathology) introduces the student to key general principles of pathology, both as a medical science and as a clinical activity with a vital role in patient care. Part 2 (Disease Mechanisms) provides fundamental knowledge about the cellular and molecular processes involved in diseases, providing the rationale for their treatment. Part 3 (Systematic Pathology) deals in detail with specific diseases, with emphasis on the clinically important aspects., pp. 120-122. [4] Kumar V, Abbas AK, et al.. Robbins and Cotran Pathologic Basis of Disease. 9th ed. Liver and Gallbladder, p. 854.
Explanation: **Explanation:** **Focal Nodular Hyperplasia (FNH)** is a benign, non-neoplastic liver lesion [1]. It is considered a hyperplastic response of hepatocytes to a pre-existing localized vascular malformation rather than a true neoplasm. 1. **Why Option D is the correct answer (False statement):** FNH is a completely **benign** condition. Unlike Hepatic Adenomas, FNH has **no malignant potential** and does not progress to Hepatocellular Carcinoma (HCC). Therefore, surgical resection is usually not required unless the patient is symptomatic. 2. **Analysis of Incorrect Options (True statements):** * **Option A:** Since FNH is not a germ cell tumor or a malignancy, tumor markers like **Alpha-fetoprotein (AFP) remain normal** [2]. * **Option B:** While the association is much stronger with Hepatic Adenomas, FNH can occasionally be associated with **Oral Contraceptive Pills (OCPs)** and anabolic steroids, which may cause the lesion to enlarge. * **Option C:** The hallmark of FNH is a **central stellate (star-shaped) scar**. This scar contains large thick-walled arteries with eccentric intimal hyperplasia, which radiate outward to the periphery. **Clinical Pearls for NEET-PG:** * **Demographics:** Most common in young to middle-aged women. * **Imaging Hallmark:** On CT/MRI, the central scar shows **delayed enhancement** (the scar "lights up" in the venous/delayed phase). * **Microscopy:** Shows nodules of normal-appearing hepatocytes separated by fibrous septa (resembling "localized cirrhosis"). Importantly, it lacks normal portal tracts but contains bile ductule proliferation. * **Key Distinction:** Unlike Hepatic Adenoma, FNH is **not** associated with a risk of spontaneous rupture or intraperitoneal hemorrhage. **References:** [1] Cross SS. Underwood's Pathology: A Clinical Approach. 6th ed. Common Clinical Problems From Liver And Biliary System Disease, pp. 398-399. [2] Cross SS. Underwood's Pathology: A Clinical Approach. 6th ed. Common Clinical Problems From Liver And Biliary System Disease, pp. 399-400.
Explanation: **Explanation:** The correct answer is **Angiosarcoma of the liver**. **1. Why the correct answer is right:** Angiosarcoma is a rare, highly aggressive malignant tumor of the vascular endothelial cells. There is a well-established causal link between chronic occupational exposure to **vinyl chloride** (used in the plastics industry), **thorotrast** [1] (a legacy radiocontrast agent), and **arsenic**. These carcinogens induce DNA damage in the sinusoidal endothelial cells of the liver, leading to malignant transformation. Clinically, it presents with hepatomegaly, weight loss, and often carries a very poor prognosis due to its rapid growth and tendency for late diagnosis. **2. Why the incorrect options are wrong:** * **Carcinoid tumor:** These are neuroendocrine tumors most commonly found in the gastrointestinal tract (appendix, ileum) or lungs. They are not associated with vinyl chloride exposure. * **Hepatic adenoma:** This is a benign liver tumor [2] strongly associated with the use of **oral contraceptive pills (OCPs)** in women or anabolic steroid use. It carries a risk of rupture and hemorrhage, but not a link to industrial chemicals. * **Lymphoma:** While primary hepatic lymphoma can occur, it is rare and typically associated with chronic hepatitis C or immunosuppression (HIV), not chemical carcinogens like vinyl chloride. **3. NEET-PG High-Yield Pearls:** * **Markers:** Angiosarcomas are positive for endothelial markers like **CD31** and **von Willebrand factor (vWF)**. * **Other associations:** Thorotrast is also associated with Cholangiocarcinoma. * **Aflatoxin B1:** Strongly associated with **Hepatocellular Carcinoma (HCC)**, especially in the presence of Hepatitis B. * **Vinyl Chloride:** Also associated with CNS tumors and Raynaud’s phenomenon (acro-osteolysis). **References:** [1] Cross SS. Underwood's Pathology: A Clinical Approach. 6th ed. (Basic Pathology) introduces the student to key general principles of pathology, both as a medical science and as a clinical activity with a vital role in patient care. Part 2 (Disease Mechanisms) provides fundamental knowledge about the cellular and molecular processes involved in diseases, providing the rationale for their treatment. Part 3 (Systematic Pathology) deals in detail with specific diseases, with emphasis on the clinically important aspects., pp. 216-217. [2] Cross SS. Underwood's Pathology: A Clinical Approach. 6th ed. Common Clinical Problems From Liver And Biliary System Disease, pp. 398-399.
Explanation: Alpha-fetoprotein (AFP) is a glycoprotein normally synthesized by the fetal liver and yolk sac. In adults, it serves as a crucial tumor marker, but its diagnostic utility depends on the specific pathology involved. **Why Option A is the Correct Answer (The False Statement):** Fibrolamellar Hepatocellular Carcinoma (FL-HCC) is a distinct variant of liver cancer that typically occurs in young adults (20–40 years) without underlying cirrhosis. A hallmark diagnostic feature of FL-HCC is that **AFP levels are usually normal.** This distinguishes it from conventional Hepatocellular Carcinoma (HCC), where AFP is frequently elevated [1]. **Analysis of Other Options:** * **Option B:** In conventional HCC, high pre-operative AFP levels (>1000 ng/mL) correlate with larger tumor size, vascular invasion, and a higher rate of recurrence, thus indicating a **worse prognosis** [1]. * **Option C:** AFP is not exclusive to the liver. It can be elevated in **germ cell tumors** (Yolk sac tumor) [2] and certain gastrointestinal malignancies, most notably **gastric (stomach) carcinoma** and pancreatic cancer. * **Option D:** AFP is an "acute phase" marker of hepatocyte regeneration. Therefore, transiently **increased levels** are commonly seen in non-malignant conditions like **acute/chronic hepatitis** and liver cirrhosis [1]. **High-Yield Clinical Pearls for NEET-PG:** * **Normal AFP:** <10–20 ng/mL. * **Diagnostic for HCC:** Levels >400–500 ng/mL in a patient with a liver mass are highly suggestive of HCC [1]. * **FL-HCC Characteristics:** "Oncocytic" hepatocytes, abundant mitochondria, and dense collagen bands (lamellae). It has a better prognosis than conventional HCC. * **Triple Test/Quadruple Screen:** AFP is decreased in Down Syndrome and increased in Neural Tube Defects (NTDs). **References:** [1] Cross SS. Underwood's Pathology: A Clinical Approach. 6th ed. Common Clinical Problems From Liver And Biliary System Disease, pp. 399-400. [2] Cross SS. Underwood's Pathology: A Clinical Approach. 6th ed. Common Clinical Problems From Diseases Of The Urinary And Male Genital Tracts, pp. 512-513.
Explanation: ***Primary Sclerosing Cholangitis (PSC)*** - Young male with **cholestatic pattern** (high ALP, direct bilirubin predominance) and the classic **"onion-skin" periductal concentric fibrosis** on biopsy is pathognomonic for PSC. - PSC predominantly affects **young males** and is strongly associated with **inflammatory bowel disease** (especially ulcerative colitis). *Secondary Bile Duct Carcinoma (SBC)* - Would typically present in **older patients** with more severe constitutional symptoms like **weight loss** and **abdominal pain**. - Biopsy would show **malignant epithelial cells** and **invasive carcinoma**, not the benign concentric fibrosis seen in PSC. *Primary Biliary Cholangitis (PBC)* - Predominantly affects **middle-aged women** (female:male ratio 9:1), making it unlikely in a young male. - Characteristic biopsy finding is **florid duct lesion** with **granulomatous destruction** of bile ducts, not concentric fibrosis. *Bile duct stones* - Would typically cause **fluctuating symptoms** with episodes of **biliary colic** and possible **Charcot's triad**. - Imaging would reveal **ductal dilatation** and **stone shadows**, while biopsy would show **acute inflammation** without the specific fibrotic pattern.
Explanation: **Explanation:** Hepatocellular Carcinoma (HCC) is strongly associated with chronic viral hepatitis, specifically **Hepatitis C Virus (HCV)** [1] and Hepatitis B Virus (HBV) [4]. HCV is an RNA virus that does not integrate into the host genome; instead, it promotes oncogenesis through chronic inflammation, repeated cycles of hepatocyte death and regeneration, and the production of reactive oxygen species [4]. This persistent injury eventually leads to **cirrhosis**, which is the primary precursor for HCC in HCV-infected patients [2]. **Analysis of Options:** * **Hepatitis C Virus (Correct):** Chronic infection leads to cirrhosis in approximately 20% of cases, significantly increasing the risk of HCC [2]. * **Hepatitis A and E Viruses:** These are transmitted via the fecal-oral route and cause **acute** hepatitis only [2]. They do not progress to chronic carrier states, cirrhosis, or malignancy. * **Hepatitis G Virus:** While it can cause chronic viremia, it is not currently established as a significant cause of chronic liver disease or HCC. **High-Yield Clinical Pearls for NEET-PG:** * **Most common cause of HCC worldwide:** Hepatitis B Virus (HBV) [1]. * **Most common cause of HCC in the West/developed nations:** Hepatitis C Virus (HCV) and NAFLD [2]. * **Mechanism:** HBV can cause HCC *without* cirrhosis (via DNA integration/HBx protein) [3], whereas HCV-induced HCC almost always occurs in the setting of **cirrhosis** [1]. * **Tumor Marker:** Alpha-fetoprotein (AFP) is the most commonly used screening marker for HCC. * **Characteristic Histology:** Look for "Mallory bodies" (also seen in alcoholic liver disease) and "pseudoglandular" patterns in HCC. **References:** [1] Kumar V, Abbas AK, et al.. Robbins and Cotran Pathologic Basis of Disease. 9th ed. Liver and Gallbladder, pp. 876-877. [2] Cross SS. Underwood's Pathology: A Clinical Approach. 6th ed. Common Clinical Problems From Liver And Biliary System Disease, pp. 391-392. [3] Kumar V, Abbas AK, et al.. Robbins and Cotran Pathologic Basis of Disease. 9th ed. Liver and Gallbladder, pp. 838-840. [4] Kumar V, Abbas AK, et al.. Robbins and Cotran Pathologic Basis of Disease. 9th ed. Neoplasia, pp. 336-337.
Explanation: **Explanation:** The key to answering this question lies in distinguishing between **epithelial** and **mesenchymal** (connective tissue) tumors. **1. Why Angiosarcoma is correct:** Angiosarcoma is a highly aggressive tumor arising from the endothelial cells lining the blood vessels [2]. Since blood vessels are mesenchymal in origin, **Angiosarcoma is the most common primary malignant mesenchymal tumor of the liver.** While rare overall, it is classically associated with specific chemical exposures such as **Vinyl Chloride**, **Thorotrast** (a contrast agent), and **Arsenic**. **2. Why the other options are incorrect:** * **Hepatocellular Carcinoma (HCC):** This is the most common primary malignancy of the liver overall [3]. However, it arises from hepatocytes, which are **epithelial** cells, not mesenchymal. * **Cholangiocarcinoma:** This is the second most common primary liver malignancy [3]. It arises from the bile duct epithelium, making it an **epithelial** tumor (adenocarcinoma). * **Hepatoblastoma:** This is the most common liver tumor in **children** [1]. While it can contain mesenchymal elements (mixed type), it is primarily considered an embryonal epithelial tumor [1]. **3. NEET-PG High-Yield Pearls:** * **Most common primary liver tumor:** HCC (Epithelial). * **Most common liver tumor overall:** Metastasis (usually from colon, lung, or breast) [3]. * **Most common benign liver tumor:** Cavernous Hemangioma (Mesenchymal) [3]. * **Angiosarcoma Marker:** CD31 (Endothelial marker) [2]. * **Clinical Presentation:** Angiosarcomas are often multicentric and carry a high risk of spontaneous intraperitoneal hemorrhage. **References:** [1] Kumar V, Abbas AK, et al.. Robbins and Cotran Pathologic Basis of Disease. 9th ed. Liver and Gallbladder, pp. 875-876. [2] Kumar V, Abbas AK, et al.. Robbins and Cotran Pathologic Basis of Disease. 9th ed. Diseases of Infancy and Childhood, pp. 527-528. [3] Cross SS. Underwood's Pathology: A Clinical Approach. 6th ed. Common Clinical Problems From Liver And Biliary System Disease, pp. 398-399.
Explanation: **Explanation:** Cirrhosis is defined by a diffuse process characterized by the conversion of normal liver architecture into structurally abnormal **regenerative nodules** separated by **bridging fibrosis** [1]. **Why "Fatty Infiltration" is the correct answer:** While fatty change (steatosis) can be a *precursor* or a *cause* of cirrhosis (as seen in Alcohol-related Liver Disease or NAFLD), it is **not a defining pathological feature** of cirrhosis itself [2]. Once the liver reaches the end-stage of cirrhosis, the fat often disappears—a phenomenon sometimes referred to as "burnt-out" NASH [2]. Therefore, fatty infiltration is not a typical or required finding for a diagnosis of cirrhosis. **Analysis of Incorrect Options:** * **Loss of normal hepatic architecture:** This is a hallmark of cirrhosis [1]. The normal lobular structure and the relationship between portal tracts and central veins are completely disrupted. * **Degeneration of hepatocytes:** Cirrhosis involves ongoing cycles of hepatocyte death (degeneration/necrosis) and compensatory regeneration [3]. * **Loss of intercellular connective tissue matrix:** This is a distractor; in cirrhosis, there is actually an **increase** in the extracellular matrix (fibrosis). However, the question asks what is *typically NOT seen*. In the context of standard pathology textbooks (like Robbins), the focus is on the *deposition* of collagen in the Space of Disse, which disrupts the normal delicate intercellular framework [4]. **NEET-PG High-Yield Pearls:** * **Gold Standard for Diagnosis:** Liver biopsy remains the definitive method to confirm cirrhosis [1]. * **Key Pathogenetic Cell:** The **Stellate Cell (Ito Cell)** is the primary cell responsible for collagen deposition and fibrosis in cirrhosis [4]. * **Classification:** Cirrhosis is classified morphologically into Micronodular (<3mm, e.g., Alcohol) and Macronodular (>3mm, e.g., Viral Hepatitis) [1]. * **Reversibility:** While traditionally considered irreversible, early-stage fibrosis may regress if the underlying cause is removed. **References:** [1] Cross SS. Underwood's Pathology: A Clinical Approach. 6th ed. Common Clinical Problems From Liver And Biliary System Disease, pp. 395-396. [2] Cross SS. Underwood's Pathology: A Clinical Approach. 6th ed. Common Clinical Problems From Liver And Biliary System Disease, pp. 389-390. [3] Kumar V, Abbas AK, et al.. Robbins and Cotran Pathologic Basis of Disease. 9th ed. Liver and Gallbladder, p. 848. [4] Kumar V, Abbas AK, et al.. Robbins and Cotran Pathologic Basis of Disease. 9th ed. Liver and Gallbladder, p. 852.
Jaundice and Cholestasis
Practice Questions
Viral Hepatitis
Practice Questions
Alcoholic and Non-alcoholic Fatty Liver Disease
Practice Questions
Drug and Toxin Induced Liver Injury
Practice Questions
Cirrhosis and Its Complications
Practice Questions
Metabolic Liver Diseases
Practice Questions
Liver Tumors
Practice Questions
Gallbladder and Biliary Tract Diseases
Practice Questions
Congenital Liver Diseases
Practice Questions
Liver Transplantation Pathology
Practice Questions
Get full access to all questions, explanations, and performance tracking.
Start For Free