Which of the following is NOT a characteristic feature of a granuloma?
Which of the following is not a proinflammatory cytokine?
A 95-year-old woman touches a pot of boiling water. Within 2 hours, she has marked erythema of the skin of the fingers of her hand, and small blisters appear on the finger pads. This has led to which one of the following inflammatory responses?
A 40-year-old man presents with a 5-day history of productive cough and fever. *Pseudomonas aeruginosa* is isolated from a pulmonary abscess. A complete blood count (CBC) shows a marked leukocytosis (50,000/mL) with a left shift in granulocytes. Which of the following terms best describes these hematologic findings?
Caspase-1 mediated cell death with inflammation is known as
The image shows presence of which cells?

The image shows a histological section of intestinal tissue with a granuloma. What is the most likely diagnosis?

A patient presents with a solitary bone lesion. Histopathological examination shows the following microscopic features. What is the most likely diagnosis?

The maximum tensile strength that a wound can reach after healing is complete, in comparison to normal skin, is
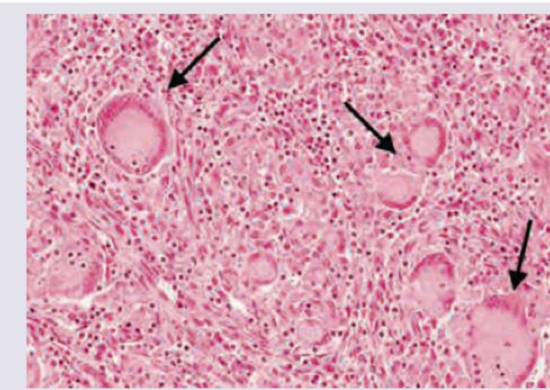
Langhans' giant cells are characteristically seen in
Explanation: ### Explanation A **granuloma** is a distinctive pattern of chronic inflammation characterized by a focal collection of activated macrophages, known as **epithelioid cells**, surrounded by a collar of mononuclear leukocytes (lymphocytes and plasma cells) [2]. **Why Option D is the Correct Answer:** **PMNs (Polymorphonuclear neutrophils)** are the hallmark of **acute inflammation**, not granulomatous (chronic) inflammation [1]. **Fibrinoid necrosis** is typically associated with immune-complex mediated vasculitis (Type III Hypersensitivity) or malignant hypertension, rather than the classic "caseous" or "non-caseous" necrosis seen in granulomas. **Analysis of Incorrect Options:** * **A. Chronic inflammatory infiltrate:** Granulomas are a subtype of chronic inflammation. They always contain lymphocytes (T-cells) and plasma cells which orchestrate the immune response [1], [3]. * **B. Epithelioid cells:** These are the **pathognomonic** feature of a granuloma. They are activated macrophages with abundant pink cytoplasm and slipper-shaped nuclei, resembling epithelial cells [2]. * **C. Giant cells:** Formed by the fusion of multiple epithelioid cells (e.g., Langhans giant cells in TB or Foreign body giant cells), these are frequently present in granulomas, though not strictly required for the definition [2]. --- ### High-Yield Clinical Pearls for NEET-PG * **Definition:** A granuloma is a **Type IV Hypersensitivity** reaction. * **Key Cytokine:** **IFN-̳** (Interferon-gamma) is the most important cytokine for activating macrophages into epithelioid cells. It is secreted by Th1 cells [2]. * **TNF-̱:** Essential for maintaining the structural integrity of a granuloma. (Anti-TNF drugs can cause the breakdown of granulomas, leading to the reactivation of latent TB). * **Caseating vs. Non-caseating:** * *Caseating:* Tuberculosis (central "cheese-like" necrosis). * *Non-caseating:* Sarcoidosis, Crohn’s disease, Leprosy, and Berylliosis. * **Schumann Bodies & Asteroid Bodies:** Characteristic inclusions found within giant cells in **Sarcoidosis**. **References:** [1] "Kumar V, Abbas AK, et al.. Robbins and Cotran Pathologic Basis of Disease. 9th ed. Infectious Diseases, p. 360." [2] "Kumar V, Abbas AK, et al.. Robbins and Cotran Pathologic Basis of Disease. 9th ed. Inflammation and Repair, p. 109." [3] "Kumar V, Abbas AK, et al.. Robbins and Cotran Pathologic Basis of Disease. 9th ed. Infectious Diseases, pp. 360-362."
Explanation: ### Explanation The correct answer is **A. IL-10**. Cytokines are signaling molecules that coordinate the inflammatory response [1]. They are broadly classified into **pro-inflammatory** (promoting inflammation) and **anti-inflammatory** (limiting or resolving inflammation). **1. Why IL-10 is the correct answer:** IL-10 is a potent **anti-inflammatory cytokine**. Its primary role is to terminate the inflammatory response and prevent tissue damage. It acts by inhibiting the synthesis of pro-inflammatory cytokines (like TNF and IL-12) by activated macrophages and dendritic cells. It also downregulates the expression of MHC Class II and co-stimulatory molecules, thereby suppressing T-cell activation. **2. Analysis of Incorrect Options:** * **IL-8 (Option B):** This is a major **chemokine** (CXC family) produced by macrophages [1]. Its primary function is the recruitment and activation of **neutrophils** at the site of inflammation [1]. * **IL-1 (Option C):** (Note: The option says IL-1, though IL-11 is sometimes listed in variations). **IL-1** is a "master" pro-inflammatory cytokine that induces fever (pyrogen), activates endothelium, and stimulates the production of acute-phase reactants [1]. * **TNF-alpha (Option D):** Along with IL-1, TNF is a cardinal mediator of acute inflammation [1]. It stimulates adhesion molecule expression on endothelial cells and, in high concentrations, can lead to septic shock [1]. **3. NEET-PG High-Yield Pearls:** * **Anti-inflammatory Cytokines:** Remember the duo **IL-10 and TGF-β**. They are the "brakes" of the immune system. * **Pro-inflammatory Cytokines:** The "Big Three" are **TNF-α, IL-1, and IL-6** [1]. * **IL-8** is the most specific chemotactic factor for **neutrophils** [1]. * **IL-17** is critical for recruiting neutrophils in defense against extracellular bacteria and fungi (produced by Th17 cells). * **Acute Phase Reactants** (like CRP) are primarily stimulated by **IL-6**. **References:** [1] Kumar V, Abbas AK, et al.. Robbins and Cotran Pathologic Basis of Disease. 9th ed. Inflammation and Repair, pp. 93-99.
Explanation: ### Explanation **Correct Answer: D. Serous Inflammation** **Why it is correct:** Serous inflammation is characterized by the outpouring of a thin, protein-poor fluid (transudate/effusion) derived either from the plasma or from the secretions of mesothelial cells [1]. In the context of a **thermal burn** (like touching boiling water), the heat causes increased vascular permeability, allowing fluid to accumulate under the epidermis or within the skin layers, forming a **blister (bulla/vesicle)** [1]. This is the hallmark of a mild injury or the early stages of inflammation [3]. **Why the other options are incorrect:** * **A. Fibrinous inflammation:** This occurs with more severe vascular leaks, allowing large molecules like **fibrinogen** to pass the endothelial barrier [1]. It is typically seen in body cavities (e.g., pericarditis, pleuritis) and results in a "bread and butter" appearance, not simple skin blisters [1]. * **B. Granulomatous inflammation:** This is a form of **chronic inflammation** characterized by collections of activated macrophages (epithelioid cells). It occurs in response to persistent irritants (e.g., TB, sarcoidosis) and does not develop within 2 hours of an acute injury. * **C. Purulent (Suppurative) inflammation:** This is characterized by the production of **pus**, consisting of neutrophils, liquefied debris, and edema fluid. It is usually caused by pyogenic bacterial infections (e.g., Staphylococci), not sterile thermal burns. **NEET-PG High-Yield Pearls:** * **Serous fluid** in a skin blister is technically an effusion into a space created by cell injury; it is the simplest form of morphological inflammation [1]. * **Fibrinous exudates** can lead to scarring (organization) if the fibrin is not removed by fibrinolysis [1]. * **Ulceration** is another morphological pattern of inflammation where a local defect or excavation is produced by the shedding of inflamed necrotic tissue [2]. * **Cardinal signs of inflammation:** Rubor (redness), Calor (heat), Tumor (swelling), Dolor (pain), and Functio laesa (loss of function). **References:** [1] Kumar V, Abbas AK, et al.. Robbins and Cotran Pathologic Basis of Disease. 9th ed. Inflammation and Repair, pp. 101-103. [2] Kumar V, Abbas AK, et al.. Robbins and Cotran Pathologic Basis of Disease. 9th ed. Inflammation and Repair, p. 103. [3] Kumar V, Abbas AK, et al.. Robbins and Cotran Pathologic Basis of Disease. 9th ed. Inflammation and Repair, pp. 84-85.
Explanation: ### Explanation **Correct Option: A. Leukemoid Reaction** A **leukemoid reaction** refers to an extreme elevation in the white blood cell (WBC) count (typically >50,000 cells/µL) in response to severe infection, inflammation, or malignancy. It mimics leukemia but is a benign, reactive process. * **Mechanism:** Severe infections (like the *Pseudomonas* abscess in this case) trigger the bone marrow to release a massive number of leukocytes into the peripheral blood [1], [2]. * **Key Feature:** The presence of a **"left shift"** (increased immature precursors like band cells, metamyelocytes, and myelocytes) is characteristic. * **Differentiation:** It is distinguished from Chronic Myeloid Leukemia (CML) by a **high Leukocyte Alkaline Phosphatase (LAP) score** and the absence of the Philadelphia chromosome. **Incorrect Options:** * **B. Leukopenia:** This refers to a *decrease* in the total WBC count (<4,000/µL), which is the opposite of the findings in this patient. * **C. Myeloid Metaplasia:** Also known as extramedullary hematopoiesis, this occurs when blood cell production happens outside the bone marrow (e.g., spleen/liver), typically seen in Primary Myelofibrosis. It is characterized by teardrop RBCs (dacrocytes). * **D. Neutrophilia:** While the patient does have neutrophilia (increased absolute neutrophil count), "Leukemoid reaction" is the **best** term to describe the specific combination of extreme leukocytosis (>50,000) and the left shift. **Clinical Pearls for NEET-PG:** 1. **LAP Score:** High in Leukemoid reaction; Low in CML. 2. **Toxic Granulations & Döhle Bodies:** These are cytoplasmic findings in neutrophils commonly seen in leukemoid reactions due to sepsis/infection. 3. **Common Causes:** Pyogenic infections (abscesses, pneumonia), severe hemolysis, and certain solid tumors [1]. **References:** [1] Kumar V, Abbas AK, et al.. Robbins and Cotran Pathologic Basis of Disease. 9th ed. Diseases of White Blood Cells, Lymph Nodes, Spleen, and Thymus, p. 592. [2] Cross SS. Underwood's Pathology: A Clinical Approach. 6th ed. Common Clinical Problems From Blood And Bone Marrow Disease, pp. 580-581.
Explanation: ***Pyroptosis*** - This form of programmed cell death is characterized by the formation of an **inflammasome** complex [2], activating **Caspase-1** [1]. - Caspase-1 activation leads to the cleavage of pro-IL-1$\beta$ and pro-IL-18 into their active forms, resulting in a highly **inflammatory** process and cell lysis [1]. *Necroptosis* - This programmed, but non-apoptotic, cell death is mediated by the **RIPK1/RIPK3/MLKL** signaling pathway, involving receptor-interacting protein kinases [1]. - It is morphologically similar to necrosis but can be pharmacologically inhibited; it is **Caspase-independent** [3]. *Ferroptosis* - Ferroptosis is a form of regulated necrosis driven by **iron-dependent lipid peroxidation**. - It is characterized by the accumulation of reactive oxygen species and is typically **Caspase-independent**. *Necrosis* - Necrosis is an uncontrolled, **non-programmed** form of cell death resulting from acute cellular injury or pathology (e.g., ischemia). - It involves cell swelling, rupture of the plasma membrane, and leakage of cellular contents, leading to massive local inflammation, but is **not directly mediated by Caspase-1**. **References:** [1] Kumar V, Abbas AK, et al.. Robbins and Cotran Pathologic Basis of Disease. 9th ed. Cellular Responses to Stress and Toxic Insults: Adaptation, Injury, and Death, p. 71. [2] Kumar V, Abbas AK, et al.. Robbins and Cotran Pathologic Basis of Disease. 9th ed. Diseases of the Immune System, p. 196. [3] Kumar V, Abbas AK, et al.. Robbins and Cotran Pathologic Basis of Disease. 9th ed. Cellular Responses to Stress and Toxic Insults: Adaptation, Injury, and Death, pp. 69-71.
Explanation: ***Langhan cells*** - **Langhan cells** are a type of **giant cell** characterized by multiple nuclei arranged in a **horseshoe or peripheral pattern** [1]. - They are typically found in **granulomas**, especially those associated with **tuberculosis** and other chronic inflammatory conditions [1]. *Epithelioid cells* - **Epithelioid cells** are activated macrophages that resemble epithelial cells and are a key component of **granulomas** [1][2]. - While present in granulomas, they are **mononuclear** and do not have the characteristic multinucleated appearance with peripheral nuclei seen in the image [1]. *Anitschkow cells* - **Anitschkow cells** are plump macrophages with a characteristic **caterpillar nucleus** or **owl-eye appearance**. - They are pathognomonic for **rheumatic fever** and are found in **Aschoff bodies** within the myocardium, not typically in granulomas. *Mott cells* - **Mott cells** are plasma cells containing multiple large, eosinophilic cytoplasmic inclusions called **Russell bodies**. - These inclusions are accumulations of **immunoglobulins** and are seen in conditions with chronic antigenic stimulation, such as **multiple myeloma** or chronic inflammation, but are not giant cells. **References:** [1] Kumar V, Abbas AK, et al.. Robbins and Cotran Pathologic Basis of Disease. 9th ed. Inflammation and Repair, p. 109. [2] Cross SS. Underwood's Pathology: A Clinical Approach. 6th ed. (Basic Pathology) introduces the student to key general principles of pathology, both as a medical science and as a clinical activity with a vital role in patient care. Part 2 (Disease Mechanisms) provides fundamental knowledge about the cellular and molecular processes involved in diseases, providing the rationale for their treatment. Part 3 (Systematic Pathology) deals in detail with specific diseases, with emphasis on the clinically important aspects., pp. 198-200.
Explanation: ***Crohn's*** - Crohn's disease is characterized by **non-caseating granulomas** in the intestinal wall, which are a key diagnostic feature [1][3]. - These granulomas are typically **non-necrotizing** and can be found in any part of the gastrointestinal tract from mouth to anus [1][2]. *TB* - Tuberculosis (TB) typically forms **caseating granulomas** with central necrosis, which is distinct from the non-caseating granulomas of Crohn's. - TB granulomas often contain **Langhans giant cells** [4] and are associated with a specific infectious etiology. *Cat scratch disease* - Cat scratch disease, caused by *Bartonella henselae*, presents with **stellate or suppurative granulomas** in lymph nodes. - These granulomas are characterized by a central area of **necrosis and neutrophils**, surrounded by epithelioid cells, differing from Crohn's. *Syphilis* - Syphilis, particularly in its tertiary stage, can form **gummas**, which are granulomatous lesions. - Gummas are characterized by **coagulative necrosis** and a chronic inflammatory infiltrate, but they are not typically found in the intestinal wall as a primary feature like in Crohn's. **References:** [1] Kumar V, Abbas AK, et al.. Robbins and Cotran Pathologic Basis of Disease. 9th ed. The Gastrointestinal Tract, pp. 806-807. [2] Cross SS. Underwood's Pathology: A Clinical Approach. 6th ed. Common Clinical Problems From Alimentary System Disease, pp. 365-366. [3] Cross SS. Underwood's Pathology: A Clinical Approach. 6th ed. Common Clinical Problems From Alimentary System Disease, pp. 366-367. [4] Kumar V, Abbas AK, et al.. Robbins and Cotran Pathologic Basis of Disease. 9th ed. Inflammation and Repair, p. 109.
Explanation: ***Unifocal Langerhans cell histiocytosis*** - This condition is characterized by a single lesion of **Langerhans cells**, often presenting as a **lytic bone lesion** in children or young adults [1]. - It is the most benign form of Langerhans cell histiocytosis and typically has an excellent prognosis after local treatment. *Monoclonal Gammopathy of unknown significance* - MGUS is an asymptomatic condition characterized by the presence of a **monoclonal protein** in the blood without evidence of multiple myeloma or related disorders. - It does not typically present with **lytic bone lesions** or symptoms of bone pain. *Multiple myeloma* - Multiple myeloma is a malignant proliferation of **plasma cells** in the bone marrow [3], leading to widespread **lytic bone lesions** [2,4], hypercalcemia, renal failure, and anemia. - While it causes lytic lesions, the presentation is usually more systemic and aggressive than a single bone lesion [4]. *Paget's disease* - Paget's disease is a chronic bone disorder characterized by abnormal bone remodeling, leading to enlarged and weakened bones. - It typically presents with **bone pain**, deformities, and increased bone turnover markers, but the lesions are often **sclerotic** or mixed, not purely lytic, and it's more common in older adults. **References:** [1] Kumar V, Abbas AK, et al.. Robbins and Cotran Pathologic Basis of Disease. 9th ed. Diseases of White Blood Cells, Lymph Nodes, Spleen, and Thymus, p. 630. [2] Kumar V, Abbas AK, et al.. Robbins and Cotran Pathologic Basis of Disease. 9th ed. Diseases of White Blood Cells, Lymph Nodes, Spleen, and Thymus, p. 608. [3] Kumar V, Abbas AK, et al.. Robbins and Cotran Pathologic Basis of Disease. 9th ed. Diseases of White Blood Cells, Lymph Nodes, Spleen, and Thymus, pp. 606-607. [4] Cross SS. Underwood's Pathology: A Clinical Approach. 6th ed. Common Clinical Problems From Blood And Bone Marrow Disease, pp. 616-617.
Explanation: ***60%–80%*** - A fully healed wound, after complete maturation (typically **3 months**), achieves approximately **70–80%** of the **tensile strength** of normal unwounded skin [1]. - This is the **maximum tensile strength** that can be attained despite ongoing **collagen remodeling** and cross-linking [1]. - The strength never reaches 100% because scar tissue has a different collagen architecture compared to normal tissue, with **Type I collagen** replacing the original dermis but in a less organized pattern. *50%–60%* - This range underestimates the final tensile strength achieved by completely healed wounds. - At approximately **6 weeks**, wounds may be at this strength level, but further maturation increases strength to 70–80% [1]. *20%–30%* - This represents the tensile strength at an **early stage** of wound healing (around 3 weeks). - By the time healing is **complete**, the tensile strength is substantially higher than this range. *30%–50%* - This range also underestimates the maximum tensile strength of fully healed wounds. - While this may represent intermediate stages of healing, the final mature scar achieves greater strength approaching 70–80%. **References:** [1] Kumar V, Abbas AK, et al.. Robbins and Cotran Pathologic Basis of Disease. 9th ed. Inflammation and Repair, pp. 119-121.
Explanation: ***Peritoneal tuberculosis*** - **Langhans' giant cells** are a characteristic histological feature of **granulomatous inflammation**, particularly seen in **tuberculosis** [1], [2]. - They are formed by the fusion of epithelioid histiocytes and are a hallmark of **mycobacterial infections**, including peritoneal tuberculosis [2]. - While not pathognomonic, their presence in the appropriate clinical context strongly suggests tuberculosis [1]. *Typhoid Peyer's patch* - **Typhoid fever** causes **macrophage infiltration** with **necrosis** and **ulceration** in Peyer's patches. - The inflammatory response is mononuclear but does **not** form **epithelioid granulomas** or Langhans' giant cells. - Histology shows mononuclear cell infiltration and typhoid nodules, not granulomatous inflammation. *Tuberculoma* - A **tuberculoma** is a localized form of tuberculosis and **also contains Langhans' giant cells** within its granulomatous structure [1]. - However, peritoneal tuberculosis represents a broader clinical entity where identification of these cells in peritoneal tissue/fluid is diagnostically significant. - Both are forms of TB, but the question context favors the systemic/cavity involvement over a localized mass lesion. *Lymphoma* - **Lymphoma** shows malignant proliferation of lymphoid cells with effacement of normal architecture. - It does **not** show **granulomatous inflammation** or Langhans' giant cells. - Histology reveals sheets of atypical lymphoid cells, not epithelioid granulomas. **References:** [1] Kumar V, Abbas AK, et al.. Robbins and Cotran Pathologic Basis of Disease. 9th ed. Infectious Diseases, pp. 383-384. [2] Kumar V, Abbas AK, et al.. Robbins and Cotran Pathologic Basis of Disease. 9th ed. Inflammation and Repair, p. 109.
Acute Inflammation: Vascular Events
Practice Questions
Acute Inflammation: Cellular Events
Practice Questions
Chemical Mediators of Inflammation
Practice Questions
Chronic Inflammation
Practice Questions
Granulomatous Inflammation
Practice Questions
Systemic Effects of Inflammation
Practice Questions
Wound Healing
Practice Questions
Tissue Regeneration
Practice Questions
Fibrosis and Repair
Practice Questions
Resolution of Inflammation
Practice Questions
Get full access to all questions, explanations, and performance tracking.
Start For Free