A 29-year-old carpenter receives a traumatic laceration to her left arm. Which of the following is the most important factor that determines whether this wound will heal by primary or secondary intention?
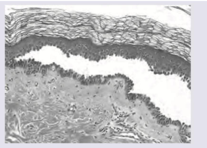
The morphological pattern of inflammation shown here is:

Provisional matrix is made up of which of the following components?
What is the primary type of collagen found in early granulation tissue?
Which of the following statements regarding keloid formation is true?
Which of the following is NOT seen in the inflammatory stage of wound healing?
Which of the following statements regarding primary intentional healing is true?
In healing by first intention, all of the following occur EXCEPT?
Which of the following is NOT an action of TGF-beta?
Which of the following chemical mediators of inflammation is an example of a C-X-C or alpha chemokine?
Explanation: The fundamental distinction between primary and secondary intention healing lies in the **nature of the wound closure**. [2] **1. Why "Apposition of Edges" is Correct:** Healing by **Primary Intention** (e.g., a clean surgical incision) occurs when the wound edges are closely apposed (brought together) using sutures, staples, or tape. [2] This minimizes the gap, requiring very little granulation tissue and resulting in a thin scar. Healing by **Secondary Intention** occurs when there is a large tissue defect or extensive loss where edges cannot be apposed. [1] The wound must "fill-in" from the bottom up with abundant granulation tissue, leading to significant wound contraction (mediated by myofibroblasts) and larger scars. [1], [3] Therefore, the physical proximity of the wound margins is the primary determinant of the healing pathway. **2. Why Other Options are Incorrect:** * **Depth of wound:** While deep wounds are more complex, even a deep surgical incision can heal by primary intention if the layers are correctly apposed. * **Metabolic status:** Factors like Vitamin C deficiency or Diabetes Mellitus affect the *rate* and *quality* of healing (e.g., wound dehiscence), but they do not dictate the *mode* (primary vs. secondary) of intention. * **Skin site affected:** While vascularity varies by site (e.g., the face heals faster than the foot), the site itself does not determine the intention of healing. **3. High-Yield NEET-PG Pearls:** * **Myofibroblasts:** These are the key cells responsible for **wound contraction**, a hallmark of secondary intention. [3], [4] * **Type III vs. Type I Collagen:** Initial scars have more Type III collagen; during remodeling, it is replaced by Type I (the strongest type). * **Tensile Strength:** At the end of 1 week (suture removal), strength is ~10%. [4] It reaches a plateau of **70-80%** of original strength by 3 months; it rarely reaches 100%. [4] **References:** [1] Kumar V, Abbas AK, et al.. Robbins and Cotran Pathologic Basis of Disease. 9th ed. Inflammation and Repair, p. 119. [2] Cross SS. Underwood's Pathology: A Clinical Approach. 6th ed. (Basic Pathology) introduces the student to key general principles of pathology, both as a medical science and as a clinical activity with a vital role in patient care. Part 2 (Disease Mechanisms) provides fundamental knowledge about the cellular and molecular processes involved in diseases, providing the rationale for their treatment. Part 3 (Systematic Pathology) deals in detail with specific diseases, with emphasis on the clinically important aspects., pp. 106-107. [3] Cross SS. Underwood's Pathology: A Clinical Approach. 6th ed. (Basic Pathology) introduces the student to key general principles of pathology, both as a medical science and as a clinical activity with a vital role in patient care. Part 2 (Disease Mechanisms) provides fundamental knowledge about the cellular and molecular processes involved in diseases, providing the rationale for their treatment. Part 3 (Systematic Pathology) deals in detail with specific diseases, with emphasis on the clinically important aspects., pp. 105-106. [4] Kumar V, Abbas AK, et al.. Robbins and Cotran Pathologic Basis of Disease. 9th ed. Inflammation and Repair, pp. 119-121.
Explanation: ***Serous*** - Characterized by **watery, protein-poor fluid** with minimal cellular content, typically seen in **blisters** and **vesicles**. - Classic example includes **skin blisters** from burns or allergic reactions, where clear fluid accumulates in tissue spaces. *Fibrinous* - Features **fibrin strands** and **fibrin deposits** creating a mesh-like appearance on tissue surfaces. - Commonly seen in **pericarditis** and **pleuritis**, where fibrin forms a "bread-and-butter" appearance on organ surfaces. *Purulent* - Contains abundant **neutrophils** and **pus formation** with thick, yellowish inflammatory exudate. - Typical of **bacterial infections** like abscesses, where neutrophil infiltration dominates the inflammatory response. *Chronic* - Dominated by **lymphocytes**, **macrophages**, and **plasma cells** rather than acute inflammatory cells. - Develops over **weeks to months** and often involves **tissue destruction** and **fibrosis** formation.
Explanation: The **provisional matrix** is a temporary extracellular scaffold formed during the early stages of wound healing (specifically the inflammatory and proliferative phases). It serves as a critical bridge that stabilizes the wound and provides a substrate for cell migration before the permanent collagen-rich matrix is synthesized. ### **Explanation of the Correct Answer** The correct answer is **All of the above** because the provisional matrix is formed by the extravasation of plasma proteins and the activation of the coagulation cascade: * **Fibrin:** Formed from fibrinogen via the thrombin-mediated coagulation pathway, fibrin creates the structural meshwork of the initial blood clot [2]. * **Fibronectin:** This glycoprotein acts as a "biological glue." It binds to fibrin and provides essential attachment sites (via RGD sequences) for the migration of fibroblasts, macrophages, and endothelial cells [1]. * **Fibrinogen:** As plasma leaks into the interstitial space following vascular injury, fibrinogen is the precursor present that is rapidly converted to fibrin [2]. ### **Why other options are considered together** Options A, B, and C are individual components, but none of them exist in isolation within the wound bed. The provisional matrix is a **composite structure**. Selecting only one would be incomplete, as the synergy between fibrin and fibronectin is what allows for effective cell adhesion and subsequent granulation tissue formation [2]. ### **High-Yield Clinical Pearls for NEET-PG** * **Transition:** The provisional matrix is eventually replaced by **Type III Collagen** (granulation tissue) and finally by **Type I Collagen** (scar tissue). * **Key Growth Factor:** **TGF-β** is the most important cytokine for the transition from the provisional matrix to the definitive collagen matrix [2]. * **Function:** It doesn't just provide structure; it acts as a reservoir for growth factors like VEGF and PDGF, which are essential for angiogenesis [2]. * **Mnemonic:** Remember **"F-F-F"** for Provisional Matrix: **F**ibrin, **F**ibronectin, and **F**ibrinogen. **References:** [1] Cross SS. Underwood's Pathology: A Clinical Approach. 6th ed. (Basic Pathology) introduces the student to key general principles of pathology, both as a medical science and as a clinical activity with a vital role in patient care. Part 2 (Disease Mechanisms) provides fundamental knowledge about the cellular and molecular processes involved in diseases, providing the rationale for their treatment. Part 3 (Systematic Pathology) deals in detail with specific diseases, with emphasis on the clinically important aspects., pp. 88-89, 105-106. [2] Kumar V, Abbas AK, et al.. Robbins and Cotran Pathologic Basis of Disease. 9th ed. Inflammation and Repair, pp. 117-119.
Explanation: **Explanation:** Granulation tissue is the hallmark of early wound healing, characterized by the proliferation of fibroblasts, new thin-walled capillaries (angiogenesis), and a loose extracellular matrix (ECM) [1]. 1. **Why Type I and IV is correct:** * **Type IV Collagen:** This is a crucial component of the **basement membrane** of the newly formed, fragile capillary sprouts during angiogenesis. Since granulation tissue is highly vascular, Type IV collagen is abundant [4]. * **Type I Collagen:** While **Type III collagen** is the predominant structural collagen initially secreted by fibroblasts in early repair, **Type I collagen** is also present as the matrix begins its transition and provides early tensile strength [3]. * *Note:* In many classic textbooks, Type III is emphasized as the "early" collagen; however, in the context of this specific question, the combination of Type I (structural) and Type IV (vascular basement membrane) represents the primary constituents found within the developing tissue. 2. **Why other options are incorrect:** * **Option A (Type I only):** Type I is the strongest collagen found in mature scars, bone, and tendons. While present, it is not the sole component of early granulation tissue. * **Option B (Type IV only):** While essential for the new blood vessels, Type IV does not provide the interstitial structural support required for the wound gap. **NEET-PG High-Yield Pearls:** * **Collagen Switch:** In wound healing, **Type III collagen** (embryonic/early) is eventually replaced by **Type I collagen** (mature/strong) by the enzyme **collagenase** (requires Zinc as a cofactor). * **Tensile Strength:** At the end of 1 week, wound strength is ~10% [2]. It reaches a maximum of ~70-80% by 3 months. * **Granulation Tissue vs. Granuloma:** Do not confuse them. Granulation tissue is a phase of **repair**, while a granuloma is a feature of **chronic specific inflammation** (e.g., TB) [1]. **References:** [1] Cross SS. Underwood's Pathology: A Clinical Approach. 6th ed. (Basic Pathology) introduces the student to key general principles of pathology, both as a medical science and as a clinical activity with a vital role in patient care. Part 2 (Disease Mechanisms) provides fundamental knowledge about the cellular and molecular processes involved in diseases, providing the rationale for their treatment. Part 3 (Systematic Pathology) deals in detail with specific diseases, with emphasis on the clinically important aspects., pp. 105-106. [2] Kumar V, Abbas AK, et al.. Robbins and Cotran Pathologic Basis of Disease. 9th ed. Inflammation and Repair, pp. 115-119. [3] Cross SS. Underwood's Pathology: A Clinical Approach. 6th ed. (Basic Pathology) introduces the student to key general principles of pathology, both as a medical science and as a clinical activity with a vital role in patient care. Part 2 (Disease Mechanisms) provides fundamental knowledge about the cellular and molecular processes involved in diseases, providing the rationale for their treatment. Part 3 (Systematic Pathology) deals in detail with specific diseases, with emphasis on the clinically important aspects., pp. 88-89. [4] Kumar V, Abbas AK, et al.. Robbins and Cotran Pathologic Basis of Disease. 9th ed. Inflammation and Repair, pp. 115-116.
Explanation: Keloids represent an exuberant, abnormal wound-healing response characterized by an imbalance between collagen synthesis and degradation. [1] **1. Why Option D is Correct:** The hallmark of a keloid is the excessive accumulation of **Type I and Type III collagen**. Histologically, these appear as thick, eosinophilic, "glassy" collagen bundles (hyalinized collagen). [1] Unlike mature scars, keloids maintain **increased vascularity** and a high density of fibroblasts, which contributes to their persistent growth and reddish-purple appearance. **2. Why Other Options are Incorrect:** * **Option A:** Keloids are driven by **elevated levels of growth factors**, particularly **TGF-β (Transforming Growth Factor-beta)**, which stimulates fibroblasts to overproduce extracellular matrix proteins. * **Option B:** Surgical excision alone is rarely the primary treatment because keloids have a **high recurrence rate (up to 45-100%)**. [1] Treatment usually requires a multimodal approach, including intralesional corticosteroids (Triamcinolone) or radiotherapy. * **Option C:** This describes a *hypertrophic scar*. A defining clinical feature of a **keloid** is that it **extends beyond the boundaries** of the original wound and rarely regresses spontaneously. [2] **High-Yield Clinical Pearls for NEET-PG:** * **Genetic Predisposition:** More common in individuals with darker skin pigmentation (African, Asian descent). [2] * **Common Sites:** Presternal area, deltoid, and earlobes. * **Key Histology:** Look for "Broad, thick, collagen bundles" (Keloidal collagen). [1] * **Keloid vs. Hypertrophic Scar:** Hypertrophic scars stay within wound boundaries, contain parallel collagen, and often regress; Keloids outgrow boundaries, contain disorganized collagen, and do not regress. [2] **References:** [1] Kumar V, Abbas AK, et al.. Robbins and Cotran Pathologic Basis of Disease. 9th ed. Inflammation and Repair, p. 121. [2] Cross SS. Underwood's Pathology: A Clinical Approach. 6th ed. (Basic Pathology) introduces the student to key general principles of pathology, both as a medical science and as a clinical activity with a vital role in patient care. Part 2 (Disease Mechanisms) provides fundamental knowledge about the cellular and molecular processes involved in diseases, providing the rationale for their treatment. Part 3 (Systematic Pathology) deals in detail with specific diseases, with emphasis on the clinically important aspects., pp. 106-107.
Explanation: Wound healing occurs in three overlapping phases: **Inflammatory, Proliferative, and Remodeling.** ### Why Angiogenesis is the Correct Answer **Angiogenesis** (the formation of new blood vessels) is a hallmark of the **Proliferative phase**, not the inflammatory phase [1]. It typically begins 3–5 days after injury, driven by Vascular Endothelial Growth Factor (VEGF) [4]. During this stage, granulation tissue is formed to provide nutrients and oxygen to the healing site. ### Analysis of Incorrect Options * **Increased Vessel Permeability:** This occurs immediately during the **Inflammatory phase** (specifically the vascular stage). Histamine and leukotrienes cause endothelial gaps, allowing fluid and plasma proteins to leak into the extravascular space [2]. * **Chemotaxis:** This is the process by which inflammatory cells (neutrophils followed by macrophages) are recruited to the site of injury [3]. It is a critical component of the **Inflammatory phase** to clear debris and bacteria. * **Release of Cytokines and Chemokines:** These signaling molecules (e.g., TNF, IL-1) are released by resident mast cells and arriving leukocytes during the **Inflammatory phase** to orchestrate the cellular response [1]. ### NEET-PG High-Yield Pearls * **Timeline:** Inflammation (0–3 days) → Proliferation (3 days–3 weeks) → Remodeling (3 weeks–6 months+). * **Key Cells:** Neutrophils are the first to arrive (acute inflammation), but **Macrophages** are the "master conductors" of wound healing, transitioning the wound from the inflammatory to the proliferative phase [1]. * **Type of Collagen:** In the proliferative phase, **Type III collagen** is deposited; during remodeling, it is replaced by **Type I collagen** (stronger). * **Tensile Strength:** At 1 week, wound strength is ~10%; it reaches a maximum of ~70–80% by 3 months. It never returns to 100% of original strength. **References:** [1] Kumar V, Abbas AK, et al.. Robbins and Cotran Pathologic Basis of Disease. 9th ed. Inflammation and Repair, pp. 117-119. [2] Cross SS. Underwood's Pathology: A Clinical Approach. 6th ed. (Basic Pathology) introduces the student to key general principles of pathology, both as a medical science and as a clinical activity with a vital role in patient care. Part 2 (Disease Mechanisms) provides fundamental knowledge about the cellular and molecular processes involved in diseases, providing the rationale for their treatment. Part 3 (Systematic Pathology) deals in detail with specific diseases, with emphasis on the clinically important aspects., pp. 187-188. [3] Cross SS. Underwood's Pathology: A Clinical Approach. 6th ed. (Basic Pathology) introduces the student to key general principles of pathology, both as a medical science and as a clinical activity with a vital role in patient care. Part 2 (Disease Mechanisms) provides fundamental knowledge about the cellular and molecular processes involved in diseases, providing the rationale for their treatment. Part 3 (Systematic Pathology) deals in detail with specific diseases, with emphasis on the clinically important aspects., pp. 188-189. [4] Kumar V, Abbas AK, et al.. Robbins and Cotran Pathologic Basis of Disease. 9th ed. Inflammation and Repair, pp. 115-116.
Explanation: Explanation: Primary intention healing (healing of a clean, uninfected surgical incision approximated by sutures) follows a predictable chronological sequence of events [1]. 1. Why Option A is Correct: Neovascularization (angiogenesis) and collagen proliferation are hallmarks of the proliferative phase. In primary intention, **neovascularization reaches its peak by Day 5** [1]. At this stage, the bridge of granulation tissue is most vascular, and the incision space is filled with connective tissue. 2. Why the Other Options are Incorrect: * **Option B:** By Day 3, neutrophils have largely been replaced by macrophages, and granulation tissue is just beginning to form, but it has not yet reached its peak vascularity [1]. * **Option C:** Neutrophils are the first responders; they appear at the wound margins within **24 hours** (Day 1), not Day 3. By Day 3, the cellular profile shifts toward macrophages [1]. * **Option D:** Epithelial regeneration happens quickly. By **48 hours** (Day 2), epithelial cells from both edges migrate and proliferate along the dermis, meeting in the midline to form a continuous thin epithelial layer. The epidermis recovers its normal thickness much earlier than Day 7 [1]. High-Yield NEET-PG Pearls: * **24 Hours:** Neutrophils appear; fibrin clot forms [1]. * **Day 3:** Macrophages replace neutrophils; granulation tissue starts [1]. * **Day 5:** **Peak neovascularization**; collagen fibrils begin to bridge the incision [1]. * **Week 2:** Proliferation of fibroblasts and continued collagen accumulation; "blanching" begins as vascularity decreases. * **Month 1:** Scar consists of connective tissue devoid of inflammation, covered by intact epidermis. * **Tensile Strength:** At 1 week (suture removal), strength is ~10%. It increases rapidly over 4 weeks, peaking at **70-80%** of original strength by 3 months [2]. It rarely reaches 100%. **References:** [1] Kumar V, Abbas AK, et al.. Robbins and Cotran Pathologic Basis of Disease. 9th ed. Inflammation and Repair, pp. 117-119. [2] Kumar V, Abbas AK, et al.. Robbins and Cotran Pathologic Basis of Disease. 9th ed. Inflammation and Repair, pp. 119-121.
Explanation: **Explanation:** Healing by first intention (primary union) occurs in clean, uninfected surgical incisions approximated by sutures. The correct answer is **C** because it provides an incorrect timeline for collagen synthesis. **1. Why Option C is the Correct Answer (The Exception):** In primary intention healing, **new collagen fibers** (specifically Type III collagen initially) can be demonstrated at the margins of the incision as early as **Day 3 to 5**. By Day 5, collagen synthesis peaks, bridging the wound gap [1]. Waiting until 8 to 10 days would be too late in the physiological timeline of primary healing. **2. Analysis of Other Options:** * **Option A:** Within **24 to 48 hours**, epithelial cells from both edges begin to migrate and proliferate along the dermis, meeting in the midline to form a thin but continuous epithelial layer [1]. * **Option B:** By the **2nd to 3rd day**, neutrophils are replaced by macrophages, and granulation tissue begins to invade [1]. **Reticulin fibers** (precursors to mature collagen) appear during this early fibroblastic phase. * **Option C (Incorrect Statement):** As explained, collagen appears by Day 3-5, not Day 8-10. * **Option D:** By the **end of the 1st month (4th week)**, the scar is composed of cellular connective tissue devoid of inflammation, and the increased vascularity subsides (blanching), leading to a decrease in cellular and vascular elements [1]. **High-Yield Clinical Pearls for NEET-PG:** * **Tensile Strength:** At the end of 1 week (suture removal), strength is ~10%. It reaches ~70-80% by 3 months but **never** returns to 100% of pre-wound strength [2]. * **Collagen Switch:** Type III collagen (early/granulation tissue) is eventually replaced by Type I collagen (mature scar) via the action of metalloproteinases (Zinc-dependent). * **Macrophage Role:** The macrophage is the most critical cell for wound healing, orchestrating the transition from inflammation to repair [1]. **References:** [1] Kumar V, Abbas AK, et al.. Robbins and Cotran Pathologic Basis of Disease. 9th ed. Inflammation and Repair, pp. 117-119. [2] Kumar V, Abbas AK, et al.. Robbins and Cotran Pathologic Basis of Disease. 9th ed. Inflammation and Repair, pp. 119-121.
Explanation: **Explanation:** **TGF-beta (Transforming Growth Factor-beta)** is a multifunctional cytokine that plays a pivotal role in the resolution of inflammation and the promotion of tissue repair (fibrosis). **Why "Anaphylaxis" is the correct answer:** Anaphylaxis is a Type I hypersensitivity reaction mediated primarily by **IgE antibodies** and the release of vasoactive amines (like histamine) from **mast cells and basophils** [2]. TGF-beta is not involved in triggering this acute allergic response [3]; in fact, its general role is to suppress the overactive immune responses that lead to such hypersensitivity. **Analysis of other options:** * **Anti-inflammatory effects:** TGF-beta is a potent anti-inflammatory cytokine. It inhibits lymphocyte proliferation and suppresses the activity of macrophages and other leukocytes, helping to "switch off" the inflammatory response. * **Proliferation of fibrous tissue:** It is the most important cytokine for **synthesis and deposition of connective tissue** [1]. It stimulates fibroblast chemotaxis and enhances the production of collagen and fibronectin. * **Inhibition of metalloproteinases:** TGF-beta promotes repair by decreasing the degradation of the extracellular matrix (ECM). It achieves this by inhibiting **Matrix Metalloproteinases (MMPs)** and increasing the activity of **Tissue Inhibitors of Metalloproteinases (TIMPs)**. **NEET-PG High-Yield Pearls:** * **Dual Role:** In early stages of cancer, TGF-beta acts as a tumor suppressor; in late stages, it promotes metastasis by inducing **Epithelial-Mesenchymal Transition (EMT)**. * **Scarring:** Persistent TGF-beta signaling is the hallmark of pathological fibrosis (e.g., Liver Cirrhosis, Pulmonary Fibrosis). * **Source:** Produced by platelets, macrophages, and endothelial cells. **References:** [1] Kumar V, Abbas AK, et al.. Robbins and Cotran Pathologic Basis of Disease. 9th ed. Inflammation and Repair, pp. 115-116. [2] Kumar V, Abbas AK, et al.. Robbins and Cotran Pathologic Basis of Disease. 9th ed. Inflammation and Repair, pp. 100-101. [3] Kumar V, Abbas AK, et al.. Robbins and Cotran Pathologic Basis of Disease. 9th ed. Diseases of the Immune System, pp. 211-212.
Explanation: ### Explanation **Correct Answer: B. Interleukin IL-8** Chemokines are a family of small proteins that act primarily as chemoattractants for specific types of white blood cells [1]. They are classified into four groups based on the arrangement of conserved cysteine (C) residues [1]. * **C-X-C Chemokines (Alpha-chemokines):** These have one amino acid separating the first two conserved cysteine residues [1]. **IL-8 (CXCL8)** is the prototype of this group. Its primary function is the **activation and chemotaxis of neutrophils** [1]. It is secreted by activated macrophages and endothelial cells in response to microbial products and other cytokines (like IL-1 and TNF) [1]. **Analysis of Incorrect Options:** * **A. Lipoxin LXA4:** These are anti-inflammatory lipid mediators derived from arachidonic acid. They inhibit neutrophil chemotaxis and adhesion, serving as "stop signals" for inflammation rather than acting as chemokines. * **C. Interleukin IL-6:** While IL-6 is a major pro-inflammatory cytokine, it is not classified as a chemokine. It primarily mediates the **acute-phase response** (inducing synthesis of CRP and fibrinogen in the liver) and stimulates B-cell growth. * **D. Monocyte Chemoattractant Protein (MCP-1):** This belongs to the **C-C (Beta) chemokine** family (CCL2), where the first two cysteines are adjacent. It primarily attracts monocytes, eosinophils, and lymphocytes, but *not* neutrophils [1]. **High-Yield Facts for NEET-PG:** * **C-X-C (Alpha):** Acts mainly on **Neutrophils** (Example: IL-8) [1]. * **C-C (Beta):** Acts on Monocytes, Lymphocytes, Eosinophils (Examples: MCP-1, Eotaxin, RANTES, MIP-1α) [1]. * **C (Gamma):** Lacks the first and third cysteines; specific for lymphocytes (Example: Lymphotactin) [1]. * **CX3C:** Has three amino acids between cysteines (Example: Fractalkine); exists in both membrane-bound and soluble forms [1]. **References:** [1] Kumar V, Abbas AK, et al.. Robbins and Cotran Pathologic Basis of Disease. 9th ed. Inflammation and Repair, pp. 97-99.
Acute Inflammation: Vascular Events
Practice Questions
Acute Inflammation: Cellular Events
Practice Questions
Chemical Mediators of Inflammation
Practice Questions
Chronic Inflammation
Practice Questions
Granulomatous Inflammation
Practice Questions
Systemic Effects of Inflammation
Practice Questions
Wound Healing
Practice Questions
Tissue Regeneration
Practice Questions
Fibrosis and Repair
Practice Questions
Resolution of Inflammation
Practice Questions
Get full access to all questions, explanations, and performance tracking.
Start For Free