Arrange the following in sequential order with regards to the steps of collection of samples for pap smear testing: Use posterior vaginal wall retractor Take the sample Make smear on a slide Fix the smear
Which of the following molecular analysis methods is used to detect RNA?
A patient with prolonged ICU stay develops fever and hypotension. Blood culture shows budding yeast with pseudohyphae. What is the best rapid test to speciate this organism?
Blood culture is positive in which infection caused by Staphylococcus aureus?
A farmer presents to the emergency department with painful inguinal lymphadenopathy and a history of fever and flu-like symptoms. Clinical examination reveals an ulcer on the leg. Which of the following stains should be used to detect suspected bipolar-stained organisms?
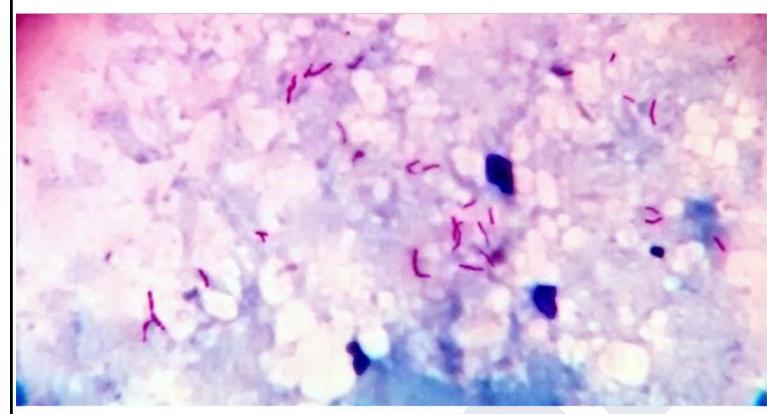
A 32 year old laborer working at a construction site presented with fever and hemoptysis. The sputum sample collected for examination showed the following. The smear will be stained by which of the following sequences?

What are the reasons a sample may be disqualified for culture?
Which of the following is true about anti-CMV IgG antibodies?
In a patient presenting with fever and suspected systemic infection, which of the following specimens is the most appropriate for the isolation of microorganisms in laboratory diagnosis?
What is the clinical significance of the Vi antigen in Salmonella typhi?
Explanation: ***1,2,3,4*** - The correct sequence for collecting a Pap smear involves first **visualizing the cervix** using a posterior vaginal wall retractor, then **taking the sample** (e.g., using a broom or spatula and brush), followed by **making a smear on a slide** and finally **fixing the smear** to preserve the cells. - This sequential order ensures proper cell collection and preservation for accurate cytological examination. *1,2,4,3* - This option incorrectly places **fixing the smear** before **making the smear on the slide**. Cells must first be spread onto the slide before they can be fixed. - Fixing an un-smeared sample or attempting to smear after fixing would lead to an inadequate or damaged specimen. *3,1,2,4* - This sequence incorrectly starts with **making a smear on a slide** before any sample has been collected or the cervix visualized. - One cannot make a smear without first taking a sample and accessing the cervix via a retractor. *2,1,3,4* - This option incorrectly states that **taking the sample** occurs before **using a posterior vaginal wall retractor**. The retractor is essential for proper visualization and access to the cervix to obtain a quality sample. - Attempting to take a sample without proper visualization would lead to an inadequate or incorrect specimen collection.
Explanation: ***RT-PCR*** - **Reverse transcriptase polymerase chain reaction (RT-PCR)** is a molecular method that first converts **RNA into complementary DNA (cDNA)** using reverse transcriptase before amplification via PCR. - This technique is commonly used to detect and quantify specific **RNA sequences**, such as viral RNA or gene expression levels. *Western blot* - **Western blot** is a laboratory technique used to detect specific **proteins** in a sample. - It involves separating proteins by size using gel electrophoresis, transferring them to a membrane, and then detecting the target protein using specific antibodies. *G banding* - **G banding** is a cytogenetic technique used to produce a visible **karyotype** by staining condensed chromosomes. - This method is primarily used to detect large-scale structural changes in chromosomes, not to detect RNA. *Sanger's method* - **Sanger's method**, also known as **dideoxy sequencing**, is a DNA sequencing technique. - It is used to determine the exact order of **nucleotides within a DNA molecule**, not to detect RNA directly.
Explanation: ***Germ tube test*** - The presence of **budding yeast with pseudohyphae** in a patient with fever and hypotension in the ICU setting is highly suggestive of a *Candida* infection, especially *Candida albicans*. - A **germ tube test** is a rapid and simple method used to differentiate *Candida albicans* from other *Candida* species by observing the formation of germ tubes when incubated in serum. *Acid-fast stain* - This stain is primarily used to identify **acid-fast bacteria**, such as *Mycobacterium tuberculosis*, which would appear as rod-shaped bacteria, not budding yeast. - It would not be effective for identifying fungi like *Candida*. *Silver stain* - **Silver stains** (e.g., Gomori methenamine silver stain) are used for staining fungi and can visualize fungal cell walls, but they do not differentiate common *Candida* species specifically. - While useful for general fungal detection in tissue, it's not the best confirmatory test for *Candida albicans* from a blood culture when germ tube formation is a classic sign. *India ink stain* - **India ink stain** is commonly used for the identification of encapsulated yeasts, particularly *Cryptococcus neoformans*, which shows characteristic halos around the cells. - It is not used for *Candida* species, which do not produce a capsule.
Explanation: ***Infective endocarditis*** - **Infective endocarditis** is characterized by the presence of bacteria in the bloodstream, leading to a **positive blood culture** [2]. *Staphylococcus aureus* is a common cause, particularly in intravenous drug users [1], [2]. - The infection involves the **endothelial lining of the heart**, often affecting heart valves, causing vegetations that can shed bacteria into the circulation [2], [3]. *Toxic Shock Syndrome (TSS)* - TSS is caused by toxins (e.g., **TSST-1**) produced by *Staphylococcus aureus*, not by the direct presence of bacteria in the bloodstream in high numbers that would consistently yield a positive blood culture. - While *S. aureus* is present, the systemic effects are primarily **toxin-mediated**, and blood cultures are often negative. *Impetigo* - Impetigo is a **superficial skin infection** caused by *Staphylococcus aureus* or *Streptococcus pyogenes*. - It does not involve systemic bacteremia, so **blood cultures are typically negative**. *Staphylococcal Scalded Skin Syndrome (SSSS)* - SSSS is a **toxin-mediated disease** caused by exfoliatin toxins produced by *Staphylococcus aureus*. - The bacteria usually remain localized at the site of infection (e.g., nose, throat, or skin), and **blood cultures are generally negative**.
Explanation: ***Wayson's stain*** - This stain is specifically used for the detection of **Yersinia pestis**, the causative agent of **plague**, which often presents with **bipolar staining**. - Clinical features like **painful inguinal lymphadenopathy** (buboes), fever, flu-like symptoms, and an ulcer (possibly an inoculation site) are highly suggestive of **plague**. *Albe's stain* - **Albe's stain** is used for demonstrating **bacterial capsules**, not for bipolar-stained organisms. - It would not specifically identify **Yersinia pestis** in this context. *Mc Fayden's stain* - **McFadyen's stain** is primarily used to detect the capsule of **Bacillus anthracis** (anthrax) from smears. - While helpful for anthrax, it is not the specific stain for bipolar staining of **Yersinia pestis**. *Ziehl Nelson stain* - **Ziehl-Neelsen stain** is an **acid-fast stain** used to identify organisms with high mycolic acid content in their cell walls, such as **Mycobacterium tuberculosis**. - It is not suitable for visualizing gram-negative bacteria like **Yersinia pestis** or their bipolar staining characteristics.
Explanation: ***Carbol fuchsin - acid - alcohol- methylene blue*** - The image displays thin, red, rod-shaped bacteria against a blue background, characteristic of **acid-fast bacilli** stained using the **Ziehl-Neelsen (ZN) method**. This staining sequence identifies *Mycobacterium tuberculosis*. - The ZN stain involves **carbol fuchsin** as the primary stain, followed by **acid-alcohol** as a decolorizer, and then **methylene blue** as a counterstain. *Methylene blue- malachite green-acetic acid - water* - This sequence is not a standard microbiological staining procedure for identifying common pathogens or acid-fast bacteria. - It does not contain the necessary components to achieve **acid-fast staining**, which is crucial for identifying mycobacteria. *Gentian violet - iodine - alcohol saffranin* - This sequence describes the reagents used in a **Gram stain**, which differentiates bacteria based on their cell wall composition. - Gram staining would show either purple (Gram-positive) or pink (Gram-negative) bacteria, not the red acid-fast bacilli seen in the image. *Methanol - methylene blue-acid - water* - While methylene blue is a counterstain in ZN, this sequence is incomplete and incorrect for standard acid-fast staining or other common bacterial stains. - It lacks **carbol fuchsin** as the primary stain, which is essential for acid-fast bacteria to retain the stain after destaining.
Explanation: ***Sample brought in formalin*** - Formalin is a **fixative** that will kill any viable **microorganisms** present in the sample, rendering it unsuitable for culture because no growth will occur. - The purpose of a culture is to identify living organisms; a fixed sample prevents this crucial step. *Sample brought within 2 hr of collection* - This is an **ideal scenario** for sample integrity, as it minimizes the time for degradation or overgrowth of contaminants. - **Prompt transport** ensures the viability of fastidious organisms and accurate representation of the original microbial load. *Sample brought in sterile plastic container* - Using a **sterile container** is essential for preventing **contamination** from external sources. - A non-sterile container would introduce environmental microbes, leading to misleading culture results. *Sample obtained after cleaning the collection site* - **Cleaning the collection site** reduces the presence of **normal flora** or skin contaminants. - This practice helps to ensure that any organisms grown in culture are more likely to be pathogens from the infection site rather than surface contaminants.
Explanation: ***IgG avidity assay helps in differentiating past and primary infection*** - **IgG avidity** measures the binding strength of IgG antibodies to their antigen. In a **primary infection**, IgG antibodies have low avidity. - As the immune response matures over several months, the avidity of IgG antibodies increases, indicating a **past infection**. *Denotes latent CMV infection* - While the presence of IgG antibodies indicates a past exposure and often a latent infection, it doesn't solely *denote* latency, as primary infection also involves IgG production. - **Latent CMV infection** specifically refers to the persistence of the virus in cells without active replication, which is usually confirmed by the presence of IgG antibodies but needs further contextual information like negative IgM and viral load. *Denotes chronic CMV infection with immunity to other serotypes* - CMV typically exists as one serotype, and IgG antibodies confer protection against *re-activation* of that specific virus, not immunity to "other serotypes." - **Chronic infection** usually implies ongoing active replication or persistent symptoms, which a positive IgG alone does not confirm. *Indicates acute CMV infection* - **Acute CMV infection** is primarily indicated by the presence of **IgM antibodies**, which appear early in the infection. - While IgG antibodies also rise during acute infection, their presence alone is not specific for an **acute phase** as they persist after the infection resolves.
Explanation: ***Blood culture for isolation of bacteria*** - For **systemic infection** and **fever**, **blood culture** is the most direct method to isolate and identify the causative microorganism disseminated throughout the body. - It helps guide **appropriate antibiotic therapy** by determining the pathogen's **susceptibility profile**. *Stool sample in cases of gastroenteritis* - This specimen is appropriate for diagnosing **gastrointestinal infections** where the pathogen primarily affects the digestive tract. - It is not the primary choice for suspected **systemic infection** unless GI symptoms are prominent and dissemination is suspected. *Throat swab for suspected pharyngitis* - A throat swab is specific for diagnosing **pharyngitis** or upper **respiratory tract infections**, localizing the infection to the pharynx. - It would not sufficiently identify a **systemic infection**, as the pathogen may not be present in the throat in such cases. *Urine sample for urinary tract infection* - A urine sample is indicated for diagnosing **urinary tract infections (UTIs)**, where the pathogen is concentrated in the urinary system. - While a UTI can lead to systemic symptoms, a urine sample alone is insufficient to confirm a generalized systemic infection unless the infection has specifically localized there.
Explanation: ***Indicates carrier status in individuals*** - The **Vi (Virulence) antigen** is a **capsular polysaccharide** found on *Salmonella typhi* that helps the bacterium evade immune responses - The presence of persistent **anti-Vi antibodies** is the **hallmark of chronic typhoid carriers**, particularly those harboring bacteria in the **gallbladder** - Vi antibody testing is specifically used for **carrier screening** and identification, as carriers maintain high anti-Vi titers even without active symptoms - This is the **primary clinical significance** of the Vi antigen in diagnostic microbiology *Used for diagnosing typhoid fever* - This is **incorrect** - the Vi antigen is NOT used for diagnosing acute typhoid fever - The standard **Widal test** detects antibodies against **O (somatic)** and **H (flagellar)** antigens, NOT Vi antigen - Acute diagnosis relies on **blood culture** and detection of O and H antibodies, not Vi antibodies - Vi antibodies appear later in infection and persist longer, making them markers of **chronic carriage** rather than acute disease *Stimulates an immune response* - While true that Vi antigen stimulates antibody production, this is not its **clinical significance** - All bacterial antigens stimulate immune responses - this doesn't distinguish Vi antigen's specific clinical utility - The key clinical value lies in its use for **carrier detection**, not merely immunogenicity *Not primarily used in Widal test* - This is a **true statement** but not the answer to what the clinical significance IS - The Widal test uses O and H antigens for acute diagnosis - While accurate, this option describes what Vi antigen is NOT used for, rather than its actual clinical significance as a **carrier marker**
Get full access to all questions, explanations, and performance tracking.
Start For Free