All of the following statements are true about Wiskott-Aldrich syndrome, except:
Which of the following diseases is characterized by the features presented?

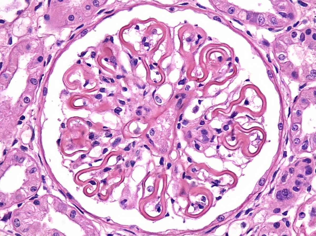
Which type of collagen is primarily affected in Goodpasture syndrome?
Leukocyte adhesion deficiency type 1 is associated with which chromosome?
A 45-year-old woman with autoimmune hemolytic anemia presents with increasing fatigue. Which of the following mediators of inflammation is primarily responsible for antibody-mediated hemolysis in this patient?
DiGeorge's syndrome is due to which of the following?
Which of the following conditions is an example of Type II hypersensitivity?
A patient with recurrent bacterial infections is diagnosed to have a genetic deficiency in myeloperoxidase. What is the cause of this increased susceptibility to infections?
Which of the following hypersensitivity types cannot be detected by a skin test?
A 42-year-old man develops urticaria, stridor, and hypotension during a blood transfusion, requiring IV epinephrine. He has a history of frequent sinusitis and bronchitis. Which is the most likely immunologic deficiency?
Explanation: **Explanation:** Wiskott-Aldrich Syndrome (WAS) is a rare immunodeficiency characterized by the triad of **thrombocytopenia, eczema, and recurrent infections** [1]. **Why Option A is the correct answer (The Exception):** Wiskott-Aldrich Syndrome is an **X-linked recessive** disorder [1], not autosomal recessive. It is caused by a mutation in the *WAS* gene located on the short arm of the X chromosome (Xp11.23) [1]. This gene encodes the Wiskott-Aldrich Syndrome Protein (WASP), which is essential for actin cytoskeleton remodeling in hematopoietic cells. **Analysis of other options:** * **Option B (Low IgM):** Patients typically show a characteristic "inverted" immunoglobulin pattern: **Low IgM**, normal to high IgG, and **elevated IgA and IgE** levels [1]. * **Option C (Thrombocytopenia):** This is a hallmark feature. Patients present with micro-thrombocytopenia (small platelets) and are at high risk for mucosal bleeding and intracranial hemorrhage. * **Option D (Eczema):** Severe atopic dermatitis (eczema) is a classic component of the clinical triad, usually appearing in early infancy. **High-Yield Clinical Pearls for NEET-PG:** * **Mnemonic (TIE):** **T**hrombocytopenia, **I**mmunodeficiency, **E**czema. * **Cellular Defect:** Impaired formation of the **immunological synapse** and defective migration of white blood cells [1]. * **Complications:** Increased risk for **B-cell lymphomas** [1] and autoimmune hemolytic anemia. * **Treatment:** Hematopoietic stem cell transplant (HSCT) is the definitive treatment [1]. * **Laboratory finding:** Small-sized platelets on peripheral smear (unique to WAS). **References:** [1] Kumar V, Abbas AK, et al.. Robbins and Cotran Pathologic Basis of Disease. 9th ed. Diseases of the Immune System, pp. 250-251.
Explanation: ***Systemic Lupus Erythematosus (SLE)*** - **Wire-loop lesions** on renal biopsy are pathognomonic of **lupus nephritis**, specifically seen in Class IV diffuse endocapillary/extracapillary proliferative glomerulonephritis - The characteristic **subendothelial immune complex deposits** create the distinctive wire-loop appearance under light microscopy, indicating active **Type III hypersensitivity** reaction *Rheumatoid Arthritis (RA)* - Primarily affects **synovial joints** with pannus formation, not typically associated with glomerular wire-loop lesions - Renal involvement in RA is usually secondary to **drug toxicity** (NSAIDs, DMARDs) rather than immune complex nephritis *Autoimmune hepatitis* - Characterized by **hepatocellular necrosis** and **portal inflammation** with plasma cell infiltration in liver tissue - Does not cause **glomerular pathology** or wire-loop lesions, as it primarily targets hepatocytes *Human Immunodeficiency Virus (HIV)* - Associated with **HIV-associated nephropathy (HIVAN)** showing collapsing focal segmental glomerulosclerosis, not wire-loop lesions - Causes **immunosuppression** rather than autoimmune complex-mediated glomerular damage typical of SLE
Explanation: **Explanation:** **Goodpasture Syndrome** is a classic example of a **Type II Hypersensitivity reaction**. It is characterized by the formation of autoantibodies against the glomerular basement membrane (GBM) and the alveolar basement membrane [2]. **Why Type IV is correct:** The specific target of these autoantibodies is the **non-collagenous domain (NC1)** of the **alpha-3 chain of Type IV collagen** [1]. Type IV collagen is the primary structural component of basement membranes [1]. When antibodies bind to these chains in the kidneys and lungs, it triggers a complement-mediated inflammatory response, leading to **Rapidly Progressive Glomerulonephritis (RPGN)** and pulmonary hemorrhage [2]. **Why other options are incorrect:** * **Type I Collagen:** This is the most abundant collagen, found in bone, skin, and tendons. It is not the target in Goodpasture syndrome (associated with Osteogenesis Imperfecta). * **Type II Collagen:** Primarily found in hyaline cartilage and vitreous humor (associated with Achondrogenesis). * **Type III Collagen:** Known as "reticulin," it is found in extensible tissues like blood vessels and fetal skin (associated with Vascular Ehlers-Danlos Syndrome). **High-Yield Clinical Pearls for NEET-PG:** * **Immunofluorescence (IF) Pattern:** Shows a characteristic **linear** deposition of IgG and C3 along the glomerular capillaries (unlike the "granular" pattern seen in immune-complex diseases) [1], [3]. * **Clinical Triad:** Hemoptysis (lung involvement), Hematuria (kidney involvement), and anemia [2]. * **HLA Association:** Strongly associated with **HLA-DRB1*1501** and **HLA-DR4** [2]. * **Treatment:** Plasmapheresis (to remove circulating antibodies) combined with corticosteroids and cyclophosphamide [2]. **References:** [1] Cross SS. Underwood's Pathology: A Clinical Approach. 6th ed. Common Clinical Problems From Diseases Of The Urinary And Male Genital Tracts, pp. 526-527. [2] Cross SS. Underwood's Pathology: A Clinical Approach. 6th ed. Common Clinical Problems From Diseases Of The Urinary And Male Genital Tracts, pp. 537-538. [3] Kumar V, Abbas AK, et al.. Robbins and Cotran Pathologic Basis of Disease. 9th ed. The Kidney, p. 909.
Explanation: **Explanation:** **Leukocyte Adhesion Deficiency Type 1 (LAD-1)** is an autosomal recessive disorder characterized by a defect in the process of leukocyte migration. 1. **Why Option C is Correct:** LAD-1 is caused by a mutation in the **ITGB2 gene**, which is located on **Chromosome 21 (21q22.3)**. This gene encodes the **CD18** protein, which is the common $\beta_2$-integrin subunit. CD18 normally pairs with various $\alpha$-subunits (CD11a, CD11b, CD11c) to form functional integrins (like LFA-1 and Mac-1) on the surface of leukocytes. Without CD18, leukocytes cannot adhere firmly to the vascular endothelium, preventing them from migrating into tissues to fight infection. 2. **Why Other Options are Incorrect:** * **Option A (Chr 1):** While many genes are on Chromosome 1, it is not the locus for the ITGB2 gene. * **Option B (Chr 5):** Chromosome 5 is associated with conditions like Cri-du-chat syndrome or Familial Adenomatous Polyposis (APC gene), not LAD-1. * **Option D (Chr X):** LAD-1 is autosomal recessive, not X-linked. However, Chronic Granulomatous Disease (CGD) is frequently X-linked. **High-Yield Clinical Pearls for NEET-PG:** * **Classic Triad:** Delayed separation of the umbilical cord (>30 days), recurrent bacterial infections (skin/mucosa), and **absent pus formation** at infection sites. * **Laboratory Finding:** Marked **neutrophilia** (leukocytosis) even during health, because neutrophils cannot exit the bloodstream into the tissues. * **LAD Type 2:** Defect in **Sialyl-Lewis X** (ligand for selectins) due to a mutation in the GDP-fucose transporter (Chromosome 11). * **Diagnosis:** Flow cytometry showing decreased expression of **CD11/CD18** on leukocytes.
Explanation: **Explanation:** The clinical presentation of autoimmune hemolytic anemia (AIHA) is a classic example of **Type II Hypersensitivity (Antibody-mediated cytotoxicity)** [1]. **1. Why Complement Proteins are correct:** In AIHA, IgG or IgM antibodies bind to antigens on the surface of red blood cells (RBCs). This antigen-antibody complex triggers the **Classical Complement Pathway** [2]. * **Intravascular Hemolysis:** Activation of the complement cascade leads to the formation of the **Membrane Attack Complex (MAC, C5b-9)**, which creates pores in the RBC membrane, causing direct osmotic lysis [2]. * **Extravascular Hemolysis:** RBCs coated with **C3b** (an opsonin) are recognized by CR1 receptors on splenic macrophages, leading to phagocytosis or the formation of spherocytes [1], [3]. **2. Why the other options are incorrect:** * **Arachidonic acid metabolites (Prostaglandins/Leukotrienes):** These are primarily involved in vasodilation, pain, and chemotaxis during acute inflammation, not direct cell lysis. * **Coagulation proteins:** While the coagulation cascade is linked to inflammation (e.g., in DIC), it is responsible for fibrin clot formation, not the immunological destruction of RBCs. * **Kallikrein and kinins:** These mediators (like Bradykinin) increase vascular permeability and cause pain; they do not play a role in antibody-mediated cytotoxic destruction. **High-Yield Clinical Pearls for NEET-PG:** * **Direct Coombs Test:** The gold standard for diagnosing AIHA; it detects antibodies or complement (C3d) already bound to the patient's RBCs [3]. * **Warm AIHA:** Mediated by **IgG** (optimal at 37°C); usually results in extravascular hemolysis (spherocytes) [3]. * **Cold AIHA:** Mediated by **IgM** (optimal at <30°C); IgM is a potent activator of the **Classical Complement Pathway**, often leading to C3b-mediated destruction [3]. **References:** [1] Kumar V, Abbas AK, et al.. Robbins and Cotran Pathologic Basis of Disease. 9th ed. Diseases of the Immune System, p. 214. [2] Kumar V, Abbas AK, et al.. Robbins and Cotran Pathologic Basis of Disease. 9th ed. Inflammation and Repair, pp. 99-100. [3] Kumar V, Abbas AK, et al.. Robbins and Cotran Pathologic Basis of Disease. 9th ed. Red Blood Cell and Bleeding Disorders, pp. 651-652.
Explanation: **Explanation:** **DiGeorge Syndrome (DGS)** is a primary immunodeficiency caused by the abnormal development of the **third and fourth pharyngeal pouches** during embryogenesis [2]. 1. **Why Option A is Correct:** The failure of these pouches to develop leads to **congenital thymic aplasia** (or hypoplasia) [1]. Since the thymus is the site of T-cell maturation, its absence results in a profound deficiency of T-lymphocytes, leading to impaired cell-mediated immunity. 2. **Why Other Options are Incorrect:** * **Option B:** Complement deficiencies (e.g., C2, C3, or C1 esterase inhibitor deficiency) involve the innate immune system, not thymic development. * **Option C:** Inborn errors of metabolism (e.g., Gaucher’s or Hurler’s syndrome) involve enzyme defects, whereas DGS is a structural developmental defect. * **Option D:** While DGS is associated with a **22q11.2 deletion** [3], the question asks for the *pathological cause* of the syndrome's manifestations. "Congenital thymic aplasia" is the specific anatomical defect that defines the immunodeficiency in DGS. **High-Yield Clinical Pearls for NEET-PG:** * **CATCH-22 Mnemonic:** **C**ardiac defects (Truncus arteriosus, Tetralogy of Fallot), **A**bnormal facies, **T**hymic aplasia, **C**left palate, **H**ypocalcemia (due to parathyroid hypoplasia/aplasia) [2]. * **Genetics:** Microdeletion of chromosome **22q11.2** (detected via FISH) [3]. * **Immunology:** Low T-cell count, but normal B-cell count (though antibody production may be impaired due to lack of T-cell help). * **Morphology:** Absence of thymic shadow on chest X-ray in a neonate. **References:** [1] Kumar V, Abbas AK, et al.. Robbins and Cotran Pathologic Basis of Disease. 9th ed. The Endocrine System, pp. 1107-1108. [2] Cross SS. Underwood's Pathology: A Clinical Approach. 6th ed. (Basic Pathology) introduces the student to key general principles of pathology, both as a medical science and as a clinical activity with a vital role in patient care. Part 2 (Disease Mechanisms) provides fundamental knowledge about the cellular and molecular processes involved in diseases, providing the rationale for their treatment. Part 3 (Systematic Pathology) deals in detail with specific diseases, with emphasis on the clinically important aspects., pp. 167-168. [3] Kumar V, Abbas AK, et al.. Robbins and Cotran Pathologic Basis of Disease. 9th ed. Genetic Disorders, p. 173.
Explanation: **Explanation:** **Type II Hypersensitivity (Antibody-Mediated)** occurs when IgG or IgM antibodies bind to specific antigens on the surface of cells or extracellular matrix, leading to cell destruction, inflammation, or cellular dysfunction. **Why Option A is Correct:** **Pernicious Anemia** is a classic example of Type II hypersensitivity [1]. It involves autoantibodies directed against **gastric parietal cells** or **Intrinsic Factor (IF)** [2]. These antibodies lead to the destruction of parietal cells and the neutralization of IF, preventing Vitamin B12 absorption. This fits the Type II mechanism where antibodies target specific tissue-bound antigens. **Why Other Options are Incorrect:** * **B. Serum Sickness:** This is a systemic **Type III hypersensitivity** reaction. It occurs when soluble antigens (e.g., foreign proteins) form circulating immune complexes that deposit in blood vessels, leading to vasculitis and arthritis. * **C. Arthus Phenomenon:** This is a localized **Type III hypersensitivity** reaction. It occurs when an antigen is injected into the skin of a previously sensitized individual, causing local immune complex formation and necrotizing vasculitis. * **D. Pathergy Phenomenon:** This refers to an exaggerated skin injury response (pustule formation) following a minor trauma (like a needle prick). It is a clinical sign characteristic of **Behçet’s disease** and is not classified under the standard Coombs and Gell hypersensitivity types. **High-Yield Clinical Pearls for NEET-PG:** * **Type II Subtypes:** Remember that Type II can be **cytotoxic** (e.g., Autoimmune Hemolytic Anemia, Goodpasture syndrome) or **non-cytotoxic/stimulatory** (e.g., Graves’ disease, Myasthenia Gravis). * **Pernicious Anemia Triad:** Megaloblastic anemia, Atrophic gastritis (Type A) [2], and Neurological symptoms (Subacute combined degeneration of the spinal cord). * **Mnemonic for Hypersensitivity:** **ACID** (Type I: **A**topy/Anaphylaxis; Type II: **C**ytotoxic; Type III: **I**mmune Complex; Type IV: **D**elayed). **References:** [1] Kumar V, Abbas AK, et al.. Robbins and Cotran Pathologic Basis of Disease. 9th ed. Red Blood Cell and Bleeding Disorders, pp. 655-656. [2] Kumar V, Abbas AK, et al.. Robbins and Cotran Pathologic Basis of Disease. 9th ed. The Gastrointestinal Tract, pp. 771-772.
Explanation: ### **Explanation** The primary defect in **Myeloperoxidase (MPO) deficiency** is the inability of neutrophils to convert hydrogen peroxide ($H_2O_2$) and halides (like $Cl^-$) into **hypochlorous acid (HOCl)**, a potent hydroxyhalide radical [1]. #### **1. Why Option C is Correct** Phagocytosis triggers an "oxidative burst" where NADPH oxidase converts oxygen into superoxide ($O_2^{ullet-}$), which then dismutates into $H_2O_2$. In normal neutrophils, the enzyme **Myeloperoxidase** (found in azurophilic granules) uses $H_2O_2$ and chloride to create **HOCl (bleach)** [1]. HOCl is the most effective bactericidal agent in the phagolysosome. Without MPO, HOCl cannot be produced, leading to a decreased ability to kill microbes, particularly *Candida albicans*. #### **2. Why Other Options are Incorrect** * **Option A:** Degranulation (the fusion of granules with the phagosome) is structurally intact; the defect is purely enzymatic within the granule. * **Option B:** Prostaglandin synthesis involves the cyclooxygenase (COX) pathway and is unrelated to the microbicidal activity of the MPO-halide system. * **Option D:** Oxygen consumption (the respiratory burst) is actually **normal or even increased** in MPO deficiency because the upstream enzyme, NADPH oxidase, is functioning correctly. #### **3. High-Yield Clinical Pearls for NEET-PG** * **Most Common:** MPO deficiency is the most common primary phagocyte deficiency (inherited as Autosomal Recessive). * **Clinical Presentation:** Most patients are **asymptomatic**. The most characteristic clinical manifestation is recurrent **disseminated Candidiasis**, especially in diabetic patients. * **Diagnostic Test:** Flow cytometry or histochemical staining for MPO (Nitroblue Tetrazolium/NBT test is **normal**, unlike in CGD). * **Contrast with CGD:** In Chronic Granulomatous Disease (CGD), the defect is in **NADPH oxidase**, meaning *no* superoxide or $H_2O_2$ is produced, leading to a negative NBT test and infections with catalase-positive organisms. **References:** [1] Kumar V, Abbas AK, et al.. Robbins and Cotran Pathologic Basis of Disease. 9th ed. Inflammation and Repair, pp. 91-92.
Explanation: ### Explanation The correct answer is **Type 2 Hypersensitivity**. **Why Type 2 is the correct answer:** Type 2 hypersensitivity (Antibody-mediated/Cytotoxic) involves antibodies (IgG or IgM) binding to antigens on **fixed cell surfaces or specific tissues**, leading to cell lysis or dysfunction [1]. Because the reaction is directed against specific tissue-bound antigens (e.g., RBCs in hemolytic anemia or acetylcholine receptors in Myasthenia Gravis), it cannot be elicited by a localized intradermal injection of a soluble antigen. Therefore, skin tests are not used for its diagnosis. **Analysis of Incorrect Options:** * **Type 1 (Immediate):** Detected by the **Skin Prick Test** or Intradermal Test [2]. It involves IgE-mediated mast cell degranulation, causing an immediate "wheal and flare" reaction (within 15–30 minutes) [2]. * **Type 3 (Immune Complex-mediated):** Detected by the **Arthus Reaction** [2]. When an antigen is injected into the skin of an individual with circulating IgG antibodies, immune complexes form in local blood vessel walls, causing edema and necrosis (peaks at 4–10 hours) [2]. * **Type 4 (Delayed-type):** Detected by the **Mantoux Test** (Tuberculin test) or Patch Test [2]. It is mediated by T-cells and takes 48–72 hours to manifest as induration [2]. **High-Yield NEET-PG Pearls:** * **Mnemonic for Hypersensitivity (ACID):** **A**naphylactic (Type 1), **C**ytotoxic (Type 2), **I**mmune-Complex (Type 3), **D**elayed (Type 4). * **Type 2 Examples:** Goodpasture syndrome, Pemphigus vulgaris, Rheumatic fever. * **Type 3 Examples:** SLE, Post-streptococcal glomerulonephritis (PSGN), Serum sickness [2]. * **Type 4 Examples:** Contact dermatitis, Sarcoidosis, Lepromin test. **References:** [1] Kumar V, Abbas AK, et al.. Robbins and Cotran Pathologic Basis of Disease. 9th ed. Diseases of the Immune System, pp. 208-210. [2] Cross SS. Underwood's Pathology: A Clinical Approach. 6th ed. (Basic Pathology) introduces the student to key general principles of pathology, both as a medical science and as a clinical activity with a vital role in patient care. Part 2 (Disease Mechanisms) provides fundamental knowledge about the cellular and molecular processes involved in diseases, providing the rationale for their treatment. Part 3 (Systematic Pathology) deals in detail with specific diseases, with emphasis on the clinically important aspects., pp. 171-175.
Explanation: ### Explanation The clinical presentation describes a classic case of **Selective IgA Deficiency** manifesting as an **anaphylactic transfusion reaction** [1]. **1. Why Option D is Correct:** Selective IgA deficiency is the most common primary immunodeficiency. Patients often present with recurrent sinopulmonary infections (sinusitis, bronchitis) and chronic diarrhea (due to Giardia) because IgA is the primary protector of mucosal surfaces. The hallmark of this condition is the presence of **anti-IgA antibodies** (usually IgG type) in the patient's serum [1]. When these patients receive blood products containing even trace amounts of IgA, a Type I hypersensitivity reaction occurs, leading to urticaria, airway obstruction (stridor), and vascular collapse (hypotension) [1]. **2. Why Other Options are Incorrect:** * **Wiskott-Aldrich Syndrome:** Characterized by the triad of eczema, thrombocytopenia (small platelets), and recurrent infections [2]. It is an X-linked recessive disorder involving the WASP gene [2]. * **Ataxia Telangiectasia:** Presents with cerebellar ataxia, oculocutaneous telangiectasias, and increased sensitivity to ionizing radiation [2]. While IgA levels can be low, the multisystem features (neurological/vascular) are absent here. * **DiGeorge Syndrome:** A T-cell deficiency due to thymic hypoplasia (22q11 deletion). It presents with hypocalcemic tetany, congenital heart defects, and abnormal facies, rather than isolated anaphylaxis to blood. **3. NEET-PG High-Yield Pearls:** * **Diagnosis:** Serum IgA levels < 7 mg/dL with normal IgG and IgM levels. * **Management:** If transfusion is necessary, use **washed red blood cells** (to remove donor plasma/IgA) or blood from an IgA-deficient donor. * **Association:** High incidence of autoimmune diseases (SLE, Rheumatoid Arthritis) and false-positive pregnancy tests (due to heterophile antibodies). * **Contraindication:** Never give intravenous immunoglobulin (IVIG) to these patients, as it contains IgA and can trigger anaphylaxis. **References:** [1] Kumar V, Abbas AK, et al.. Robbins and Cotran Pathologic Basis of Disease. 9th ed. Red Blood Cell and Bleeding Disorders, pp. 673-674. [2] Kumar V, Abbas AK, et al.. Robbins and Cotran Pathologic Basis of Disease. 9th ed. Diseases of the Immune System, pp. 250-251.
Cells and Tissues of the Immune System
Practice Questions
Innate Immunity
Practice Questions
Adaptive Immunity
Practice Questions
Hypersensitivity Reactions
Practice Questions
Autoimmune Diseases
Practice Questions
Immunodeficiency Disorders
Practice Questions
Transplantation Immunopathology
Practice Questions
Immune Response to Infections
Practice Questions
Immunologic Laboratory Techniques
Practice Questions
Tumor Immunology
Practice Questions
Get full access to all questions, explanations, and performance tracking.
Start For Free